CASO CLÍNICO-MICROBIOLÓGICO
INFECCIOSAS
Paula Ascorbe
Varón de 43 años que acude a URG por fiebre y malestar general
Antecedentes personales
No AMC
Hábitos tóxicos: Exconsumidor de cannabis.
Exfumador desde 2018. Niega consumo
enólico.
Situación basal: vive en Andratx con su
familia (hijos y esposa). Tiene un perro
doméstico.
Factores de riesgo: No contacto con
animales de granja. No viajes al extranjero.
No relaciones sexuales de riesgo.
Antecedentes médicos
SAHS moderado (IAH 24.7)
Carcinoma urotelial papilar pT1G3 sin
invasión vascular. RTU + instilaciones de
BCG
Antecedentes quirúrgicos
RTU vesical
Varón de 43 años que acude a URG por fiebre y malestar general
Enfermedad actual
Fiebre vespertina
Malestar general
Artralgias
Parestesias
Octubre 2021
Fiebre
Vómitos
Diarrea
Agosto 2021
Gastroenteritis
aguda
Urocultivo y
coprocultivo negativos
¿Hepatitis viral?
MAP
Persistencia de la
fiebre
Signos vitales Tª axilar 38ºC, FC 114 lpm, TA 110/65 mmHg, SatO2 98%
Exploración física
Buen estado general, normohidratado y normocoloreado. No adenopatías laterocervicales. No lesiones
dermatológicas. Febril.
CAR. Taquicardia rítmica sin soplos (120 lpm). No edemas de MMII. Pulsos periféricos presentes y simétricos.
RESP. Murmullo vesicular sin ruidos sobreañadidos
ABD. Ruidos peristálticos presentes, no ruidos metálicos. Blando y depresible, no doloroso a la palpación.
Posible esplenomegalia de 1-2 cm.
NRL. Consciente y orientado. Sin alteraciones campimétricas. Pupilas isocóricas y normoreactivas. PPCC sin
alteraciones significativas. Balance muscular 4/5 EID (asocia dolor durante la movilización de dicha extremidad).
Sin déficits sensitivos. Babinsky indiferente en ambos pies. Leve hiperreflexia en ambos ROT rotulianos. Babinsky
indeterminado bilateral. Sin dismetrías. Romberg negativo. Sin rigidez nucal.
Varón de 43 años que acude a URG por fiebre y malestar general
Serologías por MAP
¿Pruebas complementarias?
Pruebas complementarias
Analítica Rx tórax
Rx cadera derecha
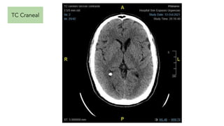
TC Craneal
Hemocultivos
Urocultivo
Analítica
Rx tórax
Rx cadera derecha
TC Craneal
TC Craneal. No signos de sangrado agudo intracraneal. Lesión hipodensa en cabeza del
caudado-adyacente al asta anterior del VLI, que por las características es probablemente en relación con
una lesión crónica secundaria a antigua ¿isquemia,sangrado? Sistema ventricular de tamaño y
morfología normal. Línea media centrada. Cisternas basales permeables. Conclusión: Sin evidencia de
signos de hipertensión intracraneal.
Punción lumbar
PIC NRL. No relación con clínica actual. Valorar PL.
Ingreso en MIF
Varón de 43 años que acude a URG por fiebre y malestar general
Fiebre prolongada a estudio
Diagnóstico sindrómico
Diagnóstico diferencial
Pruebas complementarias
Tratamiento

Presentacion

  • 1.
  • 2.
    Varón de 43años que acude a URG por fiebre y malestar general Antecedentes personales No AMC Hábitos tóxicos: Exconsumidor de cannabis. Exfumador desde 2018. Niega consumo enólico. Situación basal: vive en Andratx con su familia (hijos y esposa). Tiene un perro doméstico. Factores de riesgo: No contacto con animales de granja. No viajes al extranjero. No relaciones sexuales de riesgo. Antecedentes médicos SAHS moderado (IAH 24.7) Carcinoma urotelial papilar pT1G3 sin invasión vascular. RTU + instilaciones de BCG Antecedentes quirúrgicos RTU vesical
  • 3.
    Varón de 43años que acude a URG por fiebre y malestar general Enfermedad actual Fiebre vespertina Malestar general Artralgias Parestesias Octubre 2021 Fiebre Vómitos Diarrea Agosto 2021 Gastroenteritis aguda Urocultivo y coprocultivo negativos ¿Hepatitis viral? MAP Persistencia de la fiebre
  • 4.
    Signos vitales Tªaxilar 38ºC, FC 114 lpm, TA 110/65 mmHg, SatO2 98% Exploración física Buen estado general, normohidratado y normocoloreado. No adenopatías laterocervicales. No lesiones dermatológicas. Febril. CAR. Taquicardia rítmica sin soplos (120 lpm). No edemas de MMII. Pulsos periféricos presentes y simétricos. RESP. Murmullo vesicular sin ruidos sobreañadidos ABD. Ruidos peristálticos presentes, no ruidos metálicos. Blando y depresible, no doloroso a la palpación. Posible esplenomegalia de 1-2 cm. NRL. Consciente y orientado. Sin alteraciones campimétricas. Pupilas isocóricas y normoreactivas. PPCC sin alteraciones significativas. Balance muscular 4/5 EID (asocia dolor durante la movilización de dicha extremidad). Sin déficits sensitivos. Babinsky indiferente en ambos pies. Leve hiperreflexia en ambos ROT rotulianos. Babinsky indeterminado bilateral. Sin dismetrías. Romberg negativo. Sin rigidez nucal. Varón de 43 años que acude a URG por fiebre y malestar general
  • 5.
  • 6.
  • 7.
    Pruebas complementarias Analítica Rxtórax Rx cadera derecha TC Craneal Hemocultivos Urocultivo
  • 8.
  • 9.
  • 10.
  • 11.
  • 12.
    TC Craneal. Nosignos de sangrado agudo intracraneal. Lesión hipodensa en cabeza del caudado-adyacente al asta anterior del VLI, que por las características es probablemente en relación con una lesión crónica secundaria a antigua ¿isquemia,sangrado? Sistema ventricular de tamaño y morfología normal. Línea media centrada. Cisternas basales permeables. Conclusión: Sin evidencia de signos de hipertensión intracraneal. Punción lumbar PIC NRL. No relación con clínica actual. Valorar PL.
  • 13.
    Ingreso en MIF Varónde 43 años que acude a URG por fiebre y malestar general Fiebre prolongada a estudio Diagnóstico sindrómico Diagnóstico diferencial Pruebas complementarias Tratamiento