Tuberculosis pulmonar
Objetivos
• Definir el agente etiológico de la tuberculosis pulmonar
• Determinar las características moleculares de M. tuberculosis
que le dan las características clínicas específicas.
• Describir la epidemiología de la tuberculosis
• Describir los mecanismos de transmisión
• Describir la patogénesis
• Definir la clasificación de la Tuberculosis
• Definir los criterios diagnósticos
• Describir el tratamiento de la Tb de acuerdo a la Norma Oficial
Mexicana y el manejo de los contactos.
Etiología
• Complejo M. tuberculosis
– M. tuberculosis
– M. bovis
– M. africanum
– M. microti
– M. canettii
Mycobacterium tuberculosis
• Alto contenido de lípidos,
glucolípidos y glucoproteínas
en la pared celular:
– Ácidos micólicos, ácidos grasos de
cadena larga entrecruzados y
otros lípidos de la pared celular
causantes de la ácido alcohol
resistencia
– Arabinogalactano y
péptidoglucano responsables de la
baja permeabilidad (inefectividad
de antibióticos)
– Lipoarabinomanana relacionada
con la supervivencia de la bacteria
en el interior del macrófago
• Crecimiento lento:
– Infección insidiosa
– Cultivo positivo hasta las 4 a
6 semanas.
Cuantificación de BAAR
Epidemiología en 2011
• 8.7 millones de nuevos casos reportados mundialmente
• 13% con HIV
• 310 000 casos incidentes de tuberculosis
multirresistente.
• El 60%
– China
– India
– Federación rusa
– Paquistán
– Sudáfrica
• 84 países reportaron casos de Tb multirresistente
• África sub-Sahariana con la tasa más alta de Tb activa
• China con el número más grande de casos
N Eng J Med 368:745-755, 2013
Epidemiología
Epidemiología
• Un tercio de la población infectada por
Micobacterium
• 15 000 casos nuevos por año en México
(probablemente el doble)
• En México, alrededor del 30- 50% de los
contactos no se siguen.
• Tasa de mortalidad: de menor a 0.5 por
100000 habitantes en países desarrollados
• Tasa de mortalidad: de 1.5 a 7.5 por 100000
habitantes en México
Mecanismo de transmisión
• Por vía respiratoria:
– Inhalación de partículas infectantes aerosolizadas por
la tos, estornudo o el habla de personas infectadas
– Las partículas menores a 5 a 10 micras pueden
quedar suspendidas en el ambiente por horas y llegar
a los alveólos.
• Por ingesta de lecha contaminada por M.
bovis (poca importancia actualmente)
• Piel o placenta (muy raras y sin importancia
epidemiológica).
Patogénesis complejo primario
Partículas infectantes
Alvéolo
Penetración a macrófagos no activados
Macrófago gana
Factores del agente
Inóculo
virulencia
Macrófago pierde
Factores del huésped:
Susceptibilidad genética (NRAMP1)
Comorbilidad
Inhibición del fagosoma
Proliferación en el interior del macrófago
Lisis celular
C2a
C3b
Genes del bacilo
katG rpoV erp
2 a 4 semanas después
Respuesta de daño tisular
Por Hipersensibilidad tipo IV
(hipersensibilidad retardada)
Respuesta de activación
de macrófagos
IL-1 (Fiebre)
IL-6 (hiperglobulinemia
TNF-a (granuloma, lisis
bacteriana)
PPD+
Células de Langhans
Diseminación a ganglios linfáticos
Activación linfocitos T CD4+
Respuesta Th1 (IFNg, IL-2)
Patogénesis complejo primario
Patogénesis complejo primario
Historia natural de la enfermedad
Inhalación bacilos
Complejo primario
Neumonía inespecífica
Linfangitis
Adenitis
Progresión
Desarrollo de
inmunidad (PPD+)
Granuloma
Estabilización
Tb latente
Reactivación
Tb tipo adulto
(posprimaria)
Reinfección exógena
Diseminación
broncógena
Tb primaria
progresiva
Diseminación
hematógena
Tb miliar
Tb extrapulmonar
Curación
Caso clínico
• Paciente masculino de 35 años de edad, campesino,
previamente sano.
• Inició hace aproximadamente 2 meses con tos seca
primero y productiva después, y fiebre no
cuantificada. Sudores nocturnos. Refiere pérdida del
apetito y astenia
• Actualmente la tos es productiva constante. El
esputo es purulento en regular cantidad. Hace una
semana inició con disnea.
• EF: se le observa adelgazado, sin facies
característica. A la EF se escuchan estertores
bilaterales inspiratorios en las regiones
supraclaviculares de ambos pulmones. No se
integra ningún síndrome pleuropulmonar.
Cuadro clínico
• No hay un cuadro específico
• Inicio insidioso
– Ataque al estado general
– Fiebre
– Sudoración nocturna
– Anorexia
– Pérdida de peso
– Tos, seca primero y productiva después
• Hempotisis (raro)
Cuadro clínico
• Exploración física:
– Normal
– Hallazgos no sistematizables
• Estertores inspiratorios
• Roncus
– Síndrome de condensación
– Síndrome cavitario
– Síndrome de derrame pleural
– Cuando hay signos, es común que se encuentren en
los segmentos apicales y posteriores de los lóbulos
superiores
Cuadro clínico
EN MÉXICO, SOSPECHAR DE
TUBERCULOSIS EN
PACIENTES CON TOS DE MÁS
DE DOS SEMANAS DE
EVOLUCIÓN
Guía clínica mexicana 2009
Cuadro clínico
• 6.2.1.1 La búsqueda de casos se debe realizar entre consultantes con tos y
expectoración sin importar el motivo de la demanda, entre los contactos de un
caso de tuberculosis y en grupos vulnerables o de alto riesgo:
– Personas privadas de su libertad,
– jornaleros,
– migrantes,
– usuarios de drogas,
– alcohólicos,
– personas que viven con diabetes,
– inmunocomprometidos,
– asilos,
– fábricas,
– albergues,
– grupos indígenas y
– personas que viven con el virus del VIH.
NOM para Tb, rev 2010
Clasificación de la Tuberculosis
(American Lung Association)
• Grupo 0: Sin exposición a la tuberculosis
(PPD negativo)
• Grupo 1: Contacto con tuberculosis, sin en-
fermedad (PPD negativo)
• Grupo 2: Infección tuberculosa sin enferme-
dad evidente, PPD positivo y baciloscopía
negativa (tuberculosis latente).
– Sin quimioterapia
– Con quimioterapia
– Tratamiento terminado
• Completo
• Incompleto
Clasificación de la Tuberculosis
(American Lung Association)
• Grupo 3: Infección tuberculosa con enfermedad (estudios completos):
– Localización (Pulmonar, Pleural, linfática, etc.)
– Bacteriología
• Negativa
– No hecha
– Microscopía
– PCR
– Cultivo
• Positiva
– Microscopía
– PCR
– Cultivo
– Resultados de susceptibilidad
– Quimioterapia
• Ninguna
• Tratamiento
– En curso
– Completa
– Incompleta
– Hallazgos radiográficos
• Normal
• Anormal
– Cavitaria o no cavitaria
– Estabilizada, progresión o mejoría
– Prueba tuberculínica (Positiva, dudosa, negativa o no practicada)
Clasificación de la Tuberculosis
(American Lung Association)
• Grupo 4: Tuberculosis sin enfermedad
activa
– Antecedentes de haber padecido
tuberculosis, Rx anormal con lesiones
estabilizadas, PPD positivo, no bacilífero.
• Sospecha de tuberculosis
– Se debe confirmar el Dx antes de 3 meses y
reclasificarlo en el grupo correspondiente.
Diagnóstico
• Todo paciente adulto con tos productiva de mas de 2
semanas de duración descartar Tb
• Baciloscopía en serie de tres
– Baciloscopía positiva = tratamiento
– Baciloscopía negativa y sospecha de Tb =cultivo
• Cultivo de esputo
– Sospecha Tb con baciloscopia negativa
– Sospecha Tb extrapulmonar
– Sospecha Tb en pacientes con VIH/SIDA
– Sospecha Tb en niños
– Baciloscopía positiva después de 4 meses de tx
– Confirmación de fracaso de tx, Tb multirresistente
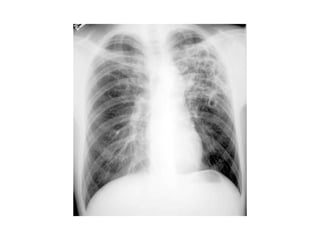
• Rx
– A TODOS LOS PACIENTES CON SOSPECHA DE Tb
Diagnóstico
• PCR
– En pacientes BAAR positivos
• Sensibilidad 95%
• Especificidad 98%
– En pacientes BAAR negativos
• Sensibilidad 48-53% (comparado con los
pacientes con cultivo positivo)
• Especificidad 95%
Prueba de PPD
• Indicaciones:
– Estudio de contactos
– Apoyo al Dx diferencial de Tb
– Estudios epidemiológicos
• Dosis:
– 0.1 ml equivale a 2 UT de PPD RT- 23 o 5 UT de PPD-S, por vía intradérmica en la
cara anteroexterna del antebrazo izquierdo, en la unión del tercio superior con el
tercio medio
• Administración:
– Intradérmica en la cara anteroexterna del antebrazo izquierdo, e la unión del tercio
superior con el tercio medio.
• Interpretación:
– Lectura a las 72 horas, expresada siempre en mm del diámetro transverso
– > 10 mm indica reactor a PPD en población general.
– > 5 mm indica reactor a PPD en:
• Recien nacido
• Desnutrido
• VIH
• Inmunocomprometidos.
Tipos de tratamiento
Tratamiento
Tratamiento
Tratamiento
Otros regímenes de tratamiento
primario
Quimioprofilaxis en contactos
sin evidencia de enfermedad
• ISONIACIDA 5-10 MG/KG POR 6 MESES
(sin exceder 300 mg diarios) 1 toma
díaria v.o.
– Contactos sin BCG entre 5 y 14 años de edad
– Todos los contactos menores de 5 años sin
Tb (no importa la BCG)
– Contactos sin Tb mayores de 15 años con
VIH+ o inmunocomprometidos : Tx por 12
meses
Contactos
• Juanito: 3 años, vacunado con BCG
• Chona: 34 años, no fue vacunada,
PPD+.
• Pedro: 14 años, no BCG
• Ramiro: 7 años, vacunado.
• Donaldegundo: 36 años, trasplantado
de riñón, vacunado con BCG
• Pancracia: 54 años, no vacunada, PPD+
Tx Tb multirresistente
• Sospechar multirresistencia en:
– Recaídas
– Abandonos múltiples
– Fracaso de retratamiento primario
• Fármacos:
– Amikacina
– Kanamicina
– Capreomicina
– Ciprofloxacina
– Ofloxacina
– Pirazinamida
– Etionamida
– Protionamida
Conclusiones
• La tuberculosis es una enfermedad frecuente en
nuestro medio, por lo que debemos pensar en ella
• Todo paciente con tos productiva de más de dos
semanas de duración, descartar tuberculosis.
• La baciloscopía seriada se debe efectuar en todos
los pacientes con sospecha de tuberculosis.
• La NOM establece el empleo de tratamiento
primario acortado estrictamente supervisado a
base de rifampicina, isoniacida, pirazinamida y
etambutol

Tuberculosis

  • 1.
  • 2.
    Objetivos • Definir elagente etiológico de la tuberculosis pulmonar • Determinar las características moleculares de M. tuberculosis que le dan las características clínicas específicas. • Describir la epidemiología de la tuberculosis • Describir los mecanismos de transmisión • Describir la patogénesis • Definir la clasificación de la Tuberculosis • Definir los criterios diagnósticos • Describir el tratamiento de la Tb de acuerdo a la Norma Oficial Mexicana y el manejo de los contactos.
  • 3.
    Etiología • Complejo M.tuberculosis – M. tuberculosis – M. bovis – M. africanum – M. microti – M. canettii
  • 4.
    Mycobacterium tuberculosis • Altocontenido de lípidos, glucolípidos y glucoproteínas en la pared celular: – Ácidos micólicos, ácidos grasos de cadena larga entrecruzados y otros lípidos de la pared celular causantes de la ácido alcohol resistencia – Arabinogalactano y péptidoglucano responsables de la baja permeabilidad (inefectividad de antibióticos) – Lipoarabinomanana relacionada con la supervivencia de la bacteria en el interior del macrófago • Crecimiento lento: – Infección insidiosa – Cultivo positivo hasta las 4 a 6 semanas.
  • 6.
  • 7.
    Epidemiología en 2011 •8.7 millones de nuevos casos reportados mundialmente • 13% con HIV • 310 000 casos incidentes de tuberculosis multirresistente. • El 60% – China – India – Federación rusa – Paquistán – Sudáfrica • 84 países reportaron casos de Tb multirresistente • África sub-Sahariana con la tasa más alta de Tb activa • China con el número más grande de casos N Eng J Med 368:745-755, 2013
  • 8.
  • 9.
    Epidemiología • Un terciode la población infectada por Micobacterium • 15 000 casos nuevos por año en México (probablemente el doble) • En México, alrededor del 30- 50% de los contactos no se siguen. • Tasa de mortalidad: de menor a 0.5 por 100000 habitantes en países desarrollados • Tasa de mortalidad: de 1.5 a 7.5 por 100000 habitantes en México
  • 10.
    Mecanismo de transmisión •Por vía respiratoria: – Inhalación de partículas infectantes aerosolizadas por la tos, estornudo o el habla de personas infectadas – Las partículas menores a 5 a 10 micras pueden quedar suspendidas en el ambiente por horas y llegar a los alveólos. • Por ingesta de lecha contaminada por M. bovis (poca importancia actualmente) • Piel o placenta (muy raras y sin importancia epidemiológica).
  • 11.
    Patogénesis complejo primario Partículasinfectantes Alvéolo Penetración a macrófagos no activados Macrófago gana Factores del agente Inóculo virulencia Macrófago pierde Factores del huésped: Susceptibilidad genética (NRAMP1) Comorbilidad Inhibición del fagosoma Proliferación en el interior del macrófago Lisis celular C2a C3b Genes del bacilo katG rpoV erp
  • 12.
    2 a 4semanas después Respuesta de daño tisular Por Hipersensibilidad tipo IV (hipersensibilidad retardada) Respuesta de activación de macrófagos IL-1 (Fiebre) IL-6 (hiperglobulinemia TNF-a (granuloma, lisis bacteriana) PPD+ Células de Langhans Diseminación a ganglios linfáticos Activación linfocitos T CD4+ Respuesta Th1 (IFNg, IL-2) Patogénesis complejo primario
  • 13.
  • 14.
    Historia natural dela enfermedad Inhalación bacilos Complejo primario Neumonía inespecífica Linfangitis Adenitis Progresión Desarrollo de inmunidad (PPD+) Granuloma Estabilización Tb latente Reactivación Tb tipo adulto (posprimaria) Reinfección exógena Diseminación broncógena Tb primaria progresiva Diseminación hematógena Tb miliar Tb extrapulmonar Curación
  • 15.
    Caso clínico • Pacientemasculino de 35 años de edad, campesino, previamente sano. • Inició hace aproximadamente 2 meses con tos seca primero y productiva después, y fiebre no cuantificada. Sudores nocturnos. Refiere pérdida del apetito y astenia • Actualmente la tos es productiva constante. El esputo es purulento en regular cantidad. Hace una semana inició con disnea. • EF: se le observa adelgazado, sin facies característica. A la EF se escuchan estertores bilaterales inspiratorios en las regiones supraclaviculares de ambos pulmones. No se integra ningún síndrome pleuropulmonar.
  • 16.
    Cuadro clínico • Nohay un cuadro específico • Inicio insidioso – Ataque al estado general – Fiebre – Sudoración nocturna – Anorexia – Pérdida de peso – Tos, seca primero y productiva después • Hempotisis (raro)
  • 17.
    Cuadro clínico • Exploraciónfísica: – Normal – Hallazgos no sistematizables • Estertores inspiratorios • Roncus – Síndrome de condensación – Síndrome cavitario – Síndrome de derrame pleural – Cuando hay signos, es común que se encuentren en los segmentos apicales y posteriores de los lóbulos superiores
  • 18.
    Cuadro clínico EN MÉXICO,SOSPECHAR DE TUBERCULOSIS EN PACIENTES CON TOS DE MÁS DE DOS SEMANAS DE EVOLUCIÓN Guía clínica mexicana 2009
  • 19.
    Cuadro clínico • 6.2.1.1La búsqueda de casos se debe realizar entre consultantes con tos y expectoración sin importar el motivo de la demanda, entre los contactos de un caso de tuberculosis y en grupos vulnerables o de alto riesgo: – Personas privadas de su libertad, – jornaleros, – migrantes, – usuarios de drogas, – alcohólicos, – personas que viven con diabetes, – inmunocomprometidos, – asilos, – fábricas, – albergues, – grupos indígenas y – personas que viven con el virus del VIH. NOM para Tb, rev 2010
  • 20.
    Clasificación de laTuberculosis (American Lung Association) • Grupo 0: Sin exposición a la tuberculosis (PPD negativo) • Grupo 1: Contacto con tuberculosis, sin en- fermedad (PPD negativo) • Grupo 2: Infección tuberculosa sin enferme- dad evidente, PPD positivo y baciloscopía negativa (tuberculosis latente). – Sin quimioterapia – Con quimioterapia – Tratamiento terminado • Completo • Incompleto
  • 21.
    Clasificación de laTuberculosis (American Lung Association) • Grupo 3: Infección tuberculosa con enfermedad (estudios completos): – Localización (Pulmonar, Pleural, linfática, etc.) – Bacteriología • Negativa – No hecha – Microscopía – PCR – Cultivo • Positiva – Microscopía – PCR – Cultivo – Resultados de susceptibilidad – Quimioterapia • Ninguna • Tratamiento – En curso – Completa – Incompleta – Hallazgos radiográficos • Normal • Anormal – Cavitaria o no cavitaria – Estabilizada, progresión o mejoría – Prueba tuberculínica (Positiva, dudosa, negativa o no practicada)
  • 22.
    Clasificación de laTuberculosis (American Lung Association) • Grupo 4: Tuberculosis sin enfermedad activa – Antecedentes de haber padecido tuberculosis, Rx anormal con lesiones estabilizadas, PPD positivo, no bacilífero. • Sospecha de tuberculosis – Se debe confirmar el Dx antes de 3 meses y reclasificarlo en el grupo correspondiente.
  • 23.
    Diagnóstico • Todo pacienteadulto con tos productiva de mas de 2 semanas de duración descartar Tb • Baciloscopía en serie de tres – Baciloscopía positiva = tratamiento – Baciloscopía negativa y sospecha de Tb =cultivo • Cultivo de esputo – Sospecha Tb con baciloscopia negativa – Sospecha Tb extrapulmonar – Sospecha Tb en pacientes con VIH/SIDA – Sospecha Tb en niños – Baciloscopía positiva después de 4 meses de tx – Confirmación de fracaso de tx, Tb multirresistente • Rx – A TODOS LOS PACIENTES CON SOSPECHA DE Tb
  • 25.
    Diagnóstico • PCR – Enpacientes BAAR positivos • Sensibilidad 95% • Especificidad 98% – En pacientes BAAR negativos • Sensibilidad 48-53% (comparado con los pacientes con cultivo positivo) • Especificidad 95%
  • 29.
    Prueba de PPD •Indicaciones: – Estudio de contactos – Apoyo al Dx diferencial de Tb – Estudios epidemiológicos • Dosis: – 0.1 ml equivale a 2 UT de PPD RT- 23 o 5 UT de PPD-S, por vía intradérmica en la cara anteroexterna del antebrazo izquierdo, en la unión del tercio superior con el tercio medio • Administración: – Intradérmica en la cara anteroexterna del antebrazo izquierdo, e la unión del tercio superior con el tercio medio. • Interpretación: – Lectura a las 72 horas, expresada siempre en mm del diámetro transverso – > 10 mm indica reactor a PPD en población general. – > 5 mm indica reactor a PPD en: • Recien nacido • Desnutrido • VIH • Inmunocomprometidos.
  • 30.
  • 31.
  • 32.
  • 33.
  • 34.
    Otros regímenes detratamiento primario
  • 36.
    Quimioprofilaxis en contactos sinevidencia de enfermedad • ISONIACIDA 5-10 MG/KG POR 6 MESES (sin exceder 300 mg diarios) 1 toma díaria v.o. – Contactos sin BCG entre 5 y 14 años de edad – Todos los contactos menores de 5 años sin Tb (no importa la BCG) – Contactos sin Tb mayores de 15 años con VIH+ o inmunocomprometidos : Tx por 12 meses
  • 37.
    Contactos • Juanito: 3años, vacunado con BCG • Chona: 34 años, no fue vacunada, PPD+. • Pedro: 14 años, no BCG • Ramiro: 7 años, vacunado. • Donaldegundo: 36 años, trasplantado de riñón, vacunado con BCG • Pancracia: 54 años, no vacunada, PPD+
  • 38.
    Tx Tb multirresistente •Sospechar multirresistencia en: – Recaídas – Abandonos múltiples – Fracaso de retratamiento primario • Fármacos: – Amikacina – Kanamicina – Capreomicina – Ciprofloxacina – Ofloxacina – Pirazinamida – Etionamida – Protionamida
  • 39.
    Conclusiones • La tuberculosises una enfermedad frecuente en nuestro medio, por lo que debemos pensar en ella • Todo paciente con tos productiva de más de dos semanas de duración, descartar tuberculosis. • La baciloscopía seriada se debe efectuar en todos los pacientes con sospecha de tuberculosis. • La NOM establece el empleo de tratamiento primario acortado estrictamente supervisado a base de rifampicina, isoniacida, pirazinamida y etambutol