Dra Vallejo R3 Rx
 Abarca cualquier situación que produzca un
impedimento en el trayecto de la orina desde
las papilas hasta el meato uretral
 Tipos
◦ Aguda : reversible, alteraciones funcionales
transitorias
◦ Crónica : silente que produce grandes daños
funcionales renales (tumores, malformaciones
congénitas)
 Patología urinaria mas frecuente
 Incidencia bimodal: periodo neonatal,
mayores 70 años
 Los acontecimientos que acompañan a la
obstrucción difieren según se trate del
aparato urinario superior o inferior, y los
mecanismos anatómicos, fisiológicos y
esfinterianos de protección del aparato
urinario son trascendentales. La dilatación
progresiva de la vía excretora y la
hiperpresión son los mecanismos
responsables más relevantes.
 Cólico nefrítico
◦ Desencadenado por obstrucción litiasica
◦ Se debe a la dilatación producida por la obstrucción
y no a la supuesta contracción espasmódica
muscular, por ello e dolor es constante
 Presión a nivel de la papila 10 cm H2O
 El obstáculo produce reacción inflamatoria
del uréter, lo que incrementa la presión y
produce una distensión luminal y un
incremento en los movimientos peristálticos=
eliminar obstáculo
 Continúa proceso: orina asciende, orina se
opone al flujo de los tubulos colectores, que
comienzan a llenarse en su mayoría por la FG
que continúa hasta que se supera la presión
de filtrado: riñón mudo UIV
 El cuerpo incrementa el flujo sanguíneo renal y la
reabsorción tubular= reinicio de la FG
 Ciclo que cada vez maneja mayores presiones
 Elevada presión produce paso de orina al
intersticio renal= linfaticos=drenan edema=FG
 Persiste obstrucción: presión urinaria máxima de
80mmH2O hay una disrupción intersticial a nivel
del fórnix papilocalicial= extravasación de orina
(FG, dolor) perinefritis, abscesos perinefriticos
 Disminución de la función renal permanente =
disminución tamaño renal
 Tienen por objeto definir la presencia de
obstrucción, su gravedad, grado de afectación
funcional, necesidad y tipo de terapéutica,
seguimiento de los resultados
Urografía
TC
RM
Angiografía
Pielografía
Ecografía
 El estudio radiológico debe iniciarse con la
radiografía simple de abdomen, que ofrece
información útil
◦ tamaño de las siluetas renales
◦ presencia o no de litiasis radio-opacas en áreas
renales, en teóricos trayectos ureterales o en área
vesical
◦ posibles lesiones metastásicas óseas o
desplazamientos anómalos de órganos vecinos
 Proporciona una visión íntegra de la anatomía y
de la función de todo el aparato urinario,
pudiendo informar del lugar, la etiología y el
grado de repercusión funcional sobre la vía
urinaria .
 Además, proporciona información válida sobre
la función renal contralateral.
 Las proyecciones en prono contribuyen a
mejorar el vaciado de los cálices y de la pelvis
renal, proporcionando mejores imágenes y las
placas tardías es trascendental
 Signos diferentes en agudas y crónicas
 Nefrograma denso y
persistente = túbulos
reabsorben agua y sodio
pero no contraste por lo que
se acumula en el
parénquima
 Edema = Incremento del
tamaño renal imagen estrías
 Este signo puede ser unico
en la obstrucción debida a
tumor extrínseco o fibrosis
periureteral que producen
poca nula dilatación
 Eliminación retrasada y en baja concentración
debido a la oposición de presiones
 La baja concentración de contraste en la
pelvis renal y uréter dificulta la visualización
de la causa, a menos que se tomen placas
tardía
 Dilatación del árbol urinario proximal a la
obstrucción
 Ruptura a nivel del fornix calicial= imagen de
cortina estriada superpuesta al sistema
colector superior que representa el MC
extravasado desde el seno renal
 Ureter en columna, retraso funcional, mayor o
menor grado de dilatación
 Depende de si la obstrucción es completa o
incompleta
◦ Completa:
 En pocas semanas existe pérdida parenquimatosa
produciendo nefrogramas en cáscara
◦ Incompleta
 Densidad nefrográfica puede ser normal pero
deformada por la impronta del sistema pielocalicial
dilatado
 Pielocaliograma en negativo
◦ El grosor del parénquima o la distancia entre la
linea interpapilar y el contorno renal externo
informan indirectamente la cantidad de tejido renal
residual
◦ Anillos de Dumbar o signo de semiluna: se visualiza
en fase nefrográfica y puede permanecer en la fase
excretora
 Corresponden a los tubulos medulares opacificados
distorsionados, paralelos al contorno calicial
 Imágenes lacunares: imágenes producidas
por disrupciones de los fórnices
reepitelizados
 Signo de las burbujas o signo del borde:
visible en hidronefrosis terminal con cálices
muy hidronefróticos
◦ Fino anillo de contraste, representa perfusión
parenquimatosa sin capacidad eliminatoria
 Tamaño renal
◦ Incrementado: obstrucción intermitente, incompleta y con
conservación funcional. Gran crecimiento se manifiesta en
ocasiones como una masa abdominal y se debe al
atrapamiento urinario
◦ Disminuido: perdida funcional, obstrucción completa y
crónica
 Util cuando la obstrucción es intermitente,
dilatación no concluyente.
 IV .25 mg/Kg de furosemida tras haber
aplicado el MC
◦ Produce una dilatación transitoria del segmento
afectado en las dilataciones no obstructivas
 Alternativa a UIV
en pacientes con
IRC
 Se visualiza el
trayecto afectado
dilatado que
maneja 10UH y
hasta 30UH en
pionefrosis
 Visualiza litiasis y
el tejido
periureteral
 Discrimina si la
obstrucción es
intrínseca o
extrínseca
 Nivel liquido líquido entre contraste y orina
retenida
 Sitio de estenosis
 Signo del borde: trombosis vena renal
 Patrón estriado: pielonefritis, contusión renal
 Nefrograma persistente: bilateral hTA, o
anomalías de la función tubular
 Espacio perirrenal húmedo: ingurgitación
linfática, edema u orina extravasada
 Elongación y
distorsión de las
arterial principales
por la pelvis dilatada
y de las segmentarias
por los cálices
deformados
 Nefrograma en
cascara
 Pielografía retrógrada
 Indicada en UIV muda
 Procedimiento previo a la derivación urinaria
por litiasis, fibrosis, atrapamiento ureteral
benigno o maligno
 Desv.: requiere soporte endoscópico o
fluoroscópico
 Ecografía
 Descarta malformaciones
congénitas renales
 Evalúa tamaño renal y
morfología
 58% identifica litiasis
 Valora ecogenicidad el
parénquima y si existe o no
edema
 Distingue presencia minima de
liquido perirrenal subcapsular
por las disrrupciones del
fórnix
 Primarios
 Se forman dentro de la cavidad vesical
 La obstrucción crónica con vejigas dilatadas, con estasis e
infección de dicha orina
◦ Tumores prostáticos
◦ Vejigas neurogénica.
 La presencia de cuerpos extraños contribuye a la
formación de cálculos primarios
◦ Fragmentos de sondas, catéteres con larga permanencia en su
interior, suturas no reabsorbible
 Secundarios o Migratorio
 Es aquel que se forma en el Riñón migra a la vejiga
 Presupone una enfermedad obstructiva asociada, ya que si
un cálculo pequeño transita por el uréter, librar el cuello
vesical y uretra.
 Los síntomas se desencadenan cuando la
presencia de un cálculo irrita su revestimiento
interno o bien obstruye la salida de la orina de la
vejiga.
 - Urgencia urinaria.
 - Interrupción del chorro urinario.
 - Dificultad para la micción o incapacidad para
orinar posicional
 - Hematuria.
 - Dolor abdominal y en perine o pene
 Rx simple de
abdomen o de la
pelvis puede
mostrar la
presencia de
cálculos.
 La ecografía es el
procedimiento
diagnóstico
definitivo
 Micción es un proceso neurológico bien
coordinado controlado por la corteza cerebral
 Control sobre el músculo detrusor, esfínteres
uretral interno y externo
 Causas
◦ Arreflexia del detrusor: lesiones de la motoneurona
inferior
◦ Hiperreflexia del detrusor: lesiones por encima del
arco reflejo sacro
 Conduce a una vejiga de gran capacidad con
paredes lisas y delgadas
 Vejiga de pared engrosada, trabeculada y de
disposición vertical, a menudo asociada a
dilatación del tracto urinario superior
 Importante residuo post-miccional
RADIOLOGIA DE LA UROPATIA OBSTRUCTIVA

RADIOLOGIA DE LA UROPATIA OBSTRUCTIVA

  • 1.
  • 2.
     Abarca cualquiersituación que produzca un impedimento en el trayecto de la orina desde las papilas hasta el meato uretral  Tipos ◦ Aguda : reversible, alteraciones funcionales transitorias ◦ Crónica : silente que produce grandes daños funcionales renales (tumores, malformaciones congénitas)
  • 3.
     Patología urinariamas frecuente  Incidencia bimodal: periodo neonatal, mayores 70 años
  • 5.
     Los acontecimientosque acompañan a la obstrucción difieren según se trate del aparato urinario superior o inferior, y los mecanismos anatómicos, fisiológicos y esfinterianos de protección del aparato urinario son trascendentales. La dilatación progresiva de la vía excretora y la hiperpresión son los mecanismos responsables más relevantes.
  • 6.
     Cólico nefrítico ◦Desencadenado por obstrucción litiasica ◦ Se debe a la dilatación producida por la obstrucción y no a la supuesta contracción espasmódica muscular, por ello e dolor es constante
  • 7.
     Presión anivel de la papila 10 cm H2O  El obstáculo produce reacción inflamatoria del uréter, lo que incrementa la presión y produce una distensión luminal y un incremento en los movimientos peristálticos= eliminar obstáculo  Continúa proceso: orina asciende, orina se opone al flujo de los tubulos colectores, que comienzan a llenarse en su mayoría por la FG que continúa hasta que se supera la presión de filtrado: riñón mudo UIV
  • 8.
     El cuerpoincrementa el flujo sanguíneo renal y la reabsorción tubular= reinicio de la FG  Ciclo que cada vez maneja mayores presiones  Elevada presión produce paso de orina al intersticio renal= linfaticos=drenan edema=FG  Persiste obstrucción: presión urinaria máxima de 80mmH2O hay una disrupción intersticial a nivel del fórnix papilocalicial= extravasación de orina (FG, dolor) perinefritis, abscesos perinefriticos  Disminución de la función renal permanente = disminución tamaño renal
  • 9.
     Tienen porobjeto definir la presencia de obstrucción, su gravedad, grado de afectación funcional, necesidad y tipo de terapéutica, seguimiento de los resultados Urografía TC RM Angiografía Pielografía Ecografía
  • 10.
     El estudioradiológico debe iniciarse con la radiografía simple de abdomen, que ofrece información útil ◦ tamaño de las siluetas renales ◦ presencia o no de litiasis radio-opacas en áreas renales, en teóricos trayectos ureterales o en área vesical ◦ posibles lesiones metastásicas óseas o desplazamientos anómalos de órganos vecinos
  • 11.
     Proporciona unavisión íntegra de la anatomía y de la función de todo el aparato urinario, pudiendo informar del lugar, la etiología y el grado de repercusión funcional sobre la vía urinaria .  Además, proporciona información válida sobre la función renal contralateral.  Las proyecciones en prono contribuyen a mejorar el vaciado de los cálices y de la pelvis renal, proporcionando mejores imágenes y las placas tardías es trascendental  Signos diferentes en agudas y crónicas
  • 12.
     Nefrograma densoy persistente = túbulos reabsorben agua y sodio pero no contraste por lo que se acumula en el parénquima  Edema = Incremento del tamaño renal imagen estrías  Este signo puede ser unico en la obstrucción debida a tumor extrínseco o fibrosis periureteral que producen poca nula dilatación
  • 13.
     Eliminación retrasaday en baja concentración debido a la oposición de presiones  La baja concentración de contraste en la pelvis renal y uréter dificulta la visualización de la causa, a menos que se tomen placas tardía
  • 14.
     Dilatación delárbol urinario proximal a la obstrucción  Ruptura a nivel del fornix calicial= imagen de cortina estriada superpuesta al sistema colector superior que representa el MC extravasado desde el seno renal  Ureter en columna, retraso funcional, mayor o menor grado de dilatación
  • 16.
     Depende desi la obstrucción es completa o incompleta ◦ Completa:  En pocas semanas existe pérdida parenquimatosa produciendo nefrogramas en cáscara ◦ Incompleta  Densidad nefrográfica puede ser normal pero deformada por la impronta del sistema pielocalicial dilatado
  • 17.
     Pielocaliograma ennegativo ◦ El grosor del parénquima o la distancia entre la linea interpapilar y el contorno renal externo informan indirectamente la cantidad de tejido renal residual ◦ Anillos de Dumbar o signo de semiluna: se visualiza en fase nefrográfica y puede permanecer en la fase excretora  Corresponden a los tubulos medulares opacificados distorsionados, paralelos al contorno calicial
  • 19.
     Imágenes lacunares:imágenes producidas por disrupciones de los fórnices reepitelizados
  • 20.
     Signo delas burbujas o signo del borde: visible en hidronefrosis terminal con cálices muy hidronefróticos ◦ Fino anillo de contraste, representa perfusión parenquimatosa sin capacidad eliminatoria
  • 21.
     Tamaño renal ◦Incrementado: obstrucción intermitente, incompleta y con conservación funcional. Gran crecimiento se manifiesta en ocasiones como una masa abdominal y se debe al atrapamiento urinario ◦ Disminuido: perdida funcional, obstrucción completa y crónica
  • 22.
     Util cuandola obstrucción es intermitente, dilatación no concluyente.  IV .25 mg/Kg de furosemida tras haber aplicado el MC ◦ Produce una dilatación transitoria del segmento afectado en las dilataciones no obstructivas
  • 23.
     Alternativa aUIV en pacientes con IRC  Se visualiza el trayecto afectado dilatado que maneja 10UH y hasta 30UH en pionefrosis  Visualiza litiasis y el tejido periureteral  Discrimina si la obstrucción es intrínseca o extrínseca
  • 24.
     Nivel liquidolíquido entre contraste y orina retenida  Sitio de estenosis  Signo del borde: trombosis vena renal  Patrón estriado: pielonefritis, contusión renal  Nefrograma persistente: bilateral hTA, o anomalías de la función tubular  Espacio perirrenal húmedo: ingurgitación linfática, edema u orina extravasada
  • 27.
     Elongación y distorsiónde las arterial principales por la pelvis dilatada y de las segmentarias por los cálices deformados  Nefrograma en cascara
  • 28.
     Pielografía retrógrada Indicada en UIV muda  Procedimiento previo a la derivación urinaria por litiasis, fibrosis, atrapamiento ureteral benigno o maligno  Desv.: requiere soporte endoscópico o fluoroscópico
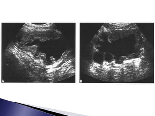
  • 29.
     Ecografía  Descartamalformaciones congénitas renales  Evalúa tamaño renal y morfología  58% identifica litiasis  Valora ecogenicidad el parénquima y si existe o no edema  Distingue presencia minima de liquido perirrenal subcapsular por las disrrupciones del fórnix
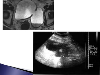
  • 33.
     Primarios  Seforman dentro de la cavidad vesical  La obstrucción crónica con vejigas dilatadas, con estasis e infección de dicha orina ◦ Tumores prostáticos ◦ Vejigas neurogénica.  La presencia de cuerpos extraños contribuye a la formación de cálculos primarios ◦ Fragmentos de sondas, catéteres con larga permanencia en su interior, suturas no reabsorbible  Secundarios o Migratorio  Es aquel que se forma en el Riñón migra a la vejiga  Presupone una enfermedad obstructiva asociada, ya que si un cálculo pequeño transita por el uréter, librar el cuello vesical y uretra.
  • 34.
     Los síntomasse desencadenan cuando la presencia de un cálculo irrita su revestimiento interno o bien obstruye la salida de la orina de la vejiga.  - Urgencia urinaria.  - Interrupción del chorro urinario.  - Dificultad para la micción o incapacidad para orinar posicional  - Hematuria.  - Dolor abdominal y en perine o pene
  • 35.
     Rx simplede abdomen o de la pelvis puede mostrar la presencia de cálculos.  La ecografía es el procedimiento diagnóstico definitivo
  • 40.
     Micción esun proceso neurológico bien coordinado controlado por la corteza cerebral  Control sobre el músculo detrusor, esfínteres uretral interno y externo  Causas ◦ Arreflexia del detrusor: lesiones de la motoneurona inferior ◦ Hiperreflexia del detrusor: lesiones por encima del arco reflejo sacro
  • 41.
     Conduce auna vejiga de gran capacidad con paredes lisas y delgadas  Vejiga de pared engrosada, trabeculada y de disposición vertical, a menudo asociada a dilatación del tracto urinario superior  Importante residuo post-miccional