RIÑÓN
IMAGENOLOGIA
Largo: 11-12cm
Ancho: 5-8cm
Grueso: 3cm
Peso: 120-170gr.
• Posición: oblicua con el polo
superior mas medial
• Borde medial = hilio renal
Retroperitoneales
• Laterales a la columna
vertebral T12 –L3
ANATOMÍA
vejiga
uréter
La Pelvis Renal
Cálices mayores
Cálices menores
Papila de las pirámides
Largo: 25-35cm
Ancho: 3mm
Porciones:
 Lumbar: pelvis renal hasta
cruce con arterias
ováricas o espermáticas.
 Iliaca: hasta cruce con las
iliacas
 Pélvica: desde las arterias
iliacas a la vejiga
Uréteres
Urografía intravenosa
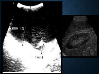
Ultrasonografía
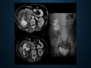
TAC
Angiografía
Urografía intravenosa
 Inyección de 50cc de contraste
intravenoso
 La exploración debe incluir la
visualización de todo el sistema
colector
• Radiografías oblicuas: separa
calcificaciones superpuestas a las
siluetas renales.
• Radiografía en prono: cuando el
uréter no es completamente visible.
• Radiografía retrasada: cuando
existe retraso en el funcionamiento
de uno de los dos riñones.
Indicaciones de los Ultrasonidos
 Masa Renal: diferenciación de
masas solidas y liquidas
 Masas quísticas
 Enfermedad medica renal
 Hidronefrosis
 Patología fetal (anomalías del
tracto urinario)
 Anomalías congénitas
 Evaluación del espacio perirrenal
 Próstata: tumores vesicales
 Testículo
Indicaciones de una TAC renal
 Estadiaje de tumores
 Demostración de adenopatías
pélvicas
 Hemorragia retroperitoneal baja
 Fibrosis retroperitoneal baja
 Abscesos pélvicos
 Lipomatosis pélvicas
 Lesiones óseas de la pelvis menor
 Recidiva de tumores
Indicaciones de la Angiografía
Renal
 Tumores parenquimatosos
renales.
 Tumores de células transicionales
del sistema colector
 Seudotumores
 Tumores Benignos
 Trauma
 Lesiones vasculares renales
1. Aneurismas
2. Displasia fibromuscular
3. Fistulas arteriovenosas
4. Embolismo de la arteria renal
5. Hipertensión arterial
6. Transplanes renales
Número
Tamaño
Posición y Fusión
Sistema pielocalicial
ANOMALÍAS DE NÚMERO
AGENESIA
Bilateral
Rara y acompañada de anomalías en
otros órganos.
Síndrome de Potter (cara,
extremidades, oligohidramnios)
Unilateral
Varones en riñón izquierdo
Uréter ausente y mitad
correspondiente del trígono
Sospecha radiológica: desplazamiento
anormal medial de la flexura
esplénica, situación anómala del
duodeno
ANOMALÍAS DE TAMAÑO
HIPOPLASIA RENAL
 2/3 del tamaño
normal
 Menos de la mitad de
los cálices y nefronas
 Funcionamiento renal
conservado
 Cólico renal y
lumbalgia
ANOMALÍAS DE POSICIÓN:
ECTOPIA simple
El ascenso excesivo
origina un riñón torácico,
situándose a la altura del
diafragma, pudiendo
producir una lobulación
en el mismo.
ECTOPIA CRUZADA
Cuando un riñón se sitúa
en el lado contrario
cruzando la línea media.
PTOSIS
Riñón descendido por una
perdida de los soportes
anatómicos del mismo o
por un aumento de la
longitud de los vasos
renales.
ANOMALIAS DE FUSION
Fusion renal en la pelvis
1/600-1/800 nacimientos
Hay aumento de la
incidencia:
• Obstrucción
• Litiasis
• Infección
• Aneurisma abdominal
• Tumor de willms
RIÑON EN HERRADURA
ANOMALIAS DE FORMA
Columna de bertin
Tejido cortical que se extiende
inferiormente entre las papilas
renales
Zona suprahiliar
Dismorfismo cortical,
lobulaciones, joroba
esplenica
Seudotumor, termino utilizado para
referirnos a tejido renal normal que
puede simular una masa renal.
Los riñones tienen dos pelvis
separadas y drenadas por sus
respectivos uréteres, aunque
a veces estos se unen antes de
su entrada en la vejiga y es el
llamado uréter bífido, trífido o
multífido.
Dilatacion quistica congenita
de la porcion final del
uréter.
En el interior vesical aparece
una imagen sacular que se
rellena de contraste,
separada del resto por un
halo radiotransparente
 I Simple (25%) en
adultos
 II Ectópico (75%) se asocia
a duplicación, unilateral
(80%)
CALCIFICACIONES
Clasificación de la urolitiasis
1. Litiasis renal idiopática
• 70-80%
• Sexo masculino 5:1
2. Síndromes renales tubulares
3. Desordenes enzimáticos
4. Estadios hipercalcémicos
5. Enfermedad gastrointestinal
6. Otras causas que producen
hipercalciuria
La composicion de los
calculos y su frecuencia
es: fosfato y oxalato
cálcico (66%), fosfato de
magnesio y amonio(15%),
urato, acido urico y
cistina(10%), xantina,
alicatos y matriz(9%).
RADIOGRAFIA SIMPLE
DE ABDOMEN Y
UROGRAFIA
INTRAVENOSA
Calculo laminado grande
calcificación
cálculos
Cálculos coraliformes
Voluminoso cálculo en el riñón
izquierdo, así como múltiples
calcificaciones más pequeñas
en ambos riñones.
Calcificaciones en el
parénquima renal con
o sin calculosis
asociada
Pueden ocurrir
• Cortical
• Médula Rx simple abdomen: Nefrocalcinosis
bilateral
MANIFESTACIONES
RADIOLOGICAS
En la placa de abdomen simple
se observa imágenes de calcio
sobre el área renal.
Urografía intravenosa las
calcificaciones quedan
localizadas en el parenquima
renal,.la nefrocalcinosis es
bilateral.
Formamedular
Hipercalciuria
renal
Inducida por
fármacos
Alimentaria
Endócrina
Idiopática
Hiperoxaluria
Hiperuricemia
Necrosis papilar
Acidosis tubular renal
Furosemida
Esteroides
Hipervitaminosis D
Sustituto de calcio o fosfato
HPT
Sx Cushing
Forma hereditaria
primaria
Gota renal
Sx Lesch-Nyhan
- Necrosis cortical renal
- Glomerulonefritis crónica
- Síndrome de Alport
- Oxalosis congénita
Sólidas
• Carcinoma
• Tuberculosis
Quísticas
• hidatídico
UROPATÍA
OBSTRUCTIVA
UROPATÍA OBSTRUCTIVA AGUDA
• El tamaño renal puede ser normal o
grande
• El nefrograma se va haciendo
paulatinamente más denso, observándose
el parénquima renal completamente
blanco, y pudiendo persistir con estas
características durante minutos e incluso
horas.
• El uréter dilatado, mostrándose elongado,
tortuoso, con atonía del segmento situado
por encima del nivel de la obstrucción.
UROPATÍA OBSTRUCTIVA CRÓNICA
• Riñón aumentado de tamaño
• Retraso en la opacificación del sistema colector dilatado, que se
encuentra repleto de orina, se produce un pielograma negativo
• El signo de los cálices en semiluna, anillos de Dunbaf;
radiológicamente aparecen unas líneas difusas, finas, curvilíneas,
que corresponden a los túbulos dispuestos paralelamente a los
cálices dilatados.
Niveles de obstrucción
NIVEL 1
Cáliz e infundíbulo.
Uropatia obstructiva del grupo calicial
superior derecho mostrando dilatación
de todos los cálices, así como la
estenosis del infundíbulo en caso de
tuberculosis.
NIVEL 2
Uréteropélvica
Estenosis congénita de la
unión uteropelvica
produciendo marcada
uropatia obstructiva.
Existe un calculo libre en
la pelvis.
NIVEL 3
Uréter Lumbar
Uropatía obstructiva izquierda por
un gran calculo lumbar que
obstruye el uréter y dilata todo el
sistema colector por encima.
NIVEL 4
Uréter pélvico
Una gran masa de un cistoadenocarcinoma ovario que asciende hasta el
epigastrio y desplaza la vejiga, presenta calcificaciones produciendo
uropatia obstructiva bilateral a nivel pélvico.
NIVEL 5
Unión ureterovesical
Carcinoma de vejiga que presenta una vejiga pequeña produciendo
uropatia obstructiva izquierda a nivel de la unión ureterovesical.
NIVEL 6
Nivel uretral
Niño con válvulas uretrales y uropatia obstructiva crónica bilateral
mostrando dilatación de la vejiga, uréteres y los sistemas colectores de
ambos riñones, que muestran atrofia importante.
Pielonefritis Aguda
ULTRASONIDO
• Crecimiento renal
• Perdida de la
diferenciación
corteza-médula
UROGRAFÍA
EXCRETORA
• Retraso en la fase de
eliminación
• Compresión del
sistema colector
• Bandas en el
uroepitelio
TAC
• Áreas de menos
perfusión
• Áreas focales de
hipodensidad
• Complicaciones
 Escherichia coli +++
 Vía de entrada ascendente +++
 Mujeres 14 – 40 años
 Hallazgos radiologías en el 25% de las pielonefritis agudas no
complicadas.
La pielonefritis puede definirse como una nefritis
intersticial producida por infección.
CARACTERÍSTICAS:
Crecimiento
renal
Retardo de la
fase
nefrográfica y
de eliminación
Dilatación o
borramiento
del sistema
colector
UROGRAFÍA EXCRETORA
TAC
1. La fase simple puede ser
normal
2. Áreas hipodensas de forma
triangular entre la papila y la
corteza renal
Infección necrotizante de los riñones. Presencia de gas de origen
bacteriano en:
• Parénquima renal
• Espacio perirrenal
• Vías urinarias
Casi exclusivamente en diabéticos y/o con uropatía obstructiva
El tratamiento agresivo
• Nefrectomía
TAC método
mas confiable y
sensible.
Dilatación de la pelvis renal y el riñón por una acumulación
purulenta con obliteración del uréter.
ⶡ Abierta
ⶡ Cerrada
2 tipos de Pionefrosis:
• Infección secundaria de una hidronefrosis preexistente.
• Transformación purulenta de una Pielonefritis previa.
Se valora
• Antecedente de la afección renal previa
• Los síntomas referidos de fiebre elevada
• Dolor lumbar
• Orinas turbias
• Alteraciones radiográficas que se descubren mediante el
examen simple y contrastado del tracto urinario.
 Proceso granulomatoso destructivo crónico que resulta de la
respuesta inmune atípica e incompleta a una infección
bacteriana subaguda
 Se asocia a litiasis piélica y a hidronefrosis
 5 o 6 decada de vida
 Imagen:
 Litiasis coraliforme
 Nefromegalia
 Riñón excluido
 Áreas de cicatrización
 Atrofia y adelgazamiento
cortical
 Hipertrofia del tejido
residual normal
 Abombamiento caliceal en
el sitio de cicatriz
 Engrosamiento y dilatación
del sistema colector
 Asimetría renal
Necrosis papilar y destrucción
parenquimatosa, engrosamiento,
ulceración y fibrosis del sistema
colector
Imagen:
Estenosis, dilatación caliceal,
cavitación de la papila
La cicatrización involucra a la
médula y a la corteza:
 Contorno lobulado
 Retracción
 Calcificación
 Exclusión
• Autosómico dominante
• Múltiples quistes en riñones
Síntomas
• Sensibilidad o dolor abdominal
• Sangre en la orina
• Micción excesiva durante la noche
• Dolor de costado en uno o ambos lados
Estudios TAC abdominal, RM, Ecografía
• Pediátrico: Tumor de Wilms
• Adulto: Adenocarcinoma de células claras
Masas expansivas e invasivas que causan deformaciones del
sistema pielocalicial.
 Ecografía
 TAC
 RM
1. Masa con deformidad del contorno
renal y destrucción pielocaliceal
2. Hemorragia y necrosis
3. Realzamiento heterogéneo
4. Calcificación (10%)
5. Invasión del seno renal y vena renal
6. 95% hipervasculares en angiografía

Riñón y sus métodos de imagen

  • 1.
  • 2.
    Largo: 11-12cm Ancho: 5-8cm Grueso:3cm Peso: 120-170gr. • Posición: oblicua con el polo superior mas medial • Borde medial = hilio renal Retroperitoneales • Laterales a la columna vertebral T12 –L3 ANATOMÍA vejiga uréter La Pelvis Renal Cálices mayores Cálices menores Papila de las pirámides
  • 3.
    Largo: 25-35cm Ancho: 3mm Porciones: Lumbar: pelvis renal hasta cruce con arterias ováricas o espermáticas.  Iliaca: hasta cruce con las iliacas  Pélvica: desde las arterias iliacas a la vejiga Uréteres
  • 4.
    Urografía intravenosa Ultrasonografía TAC Angiografía Urografía intravenosa Inyección de 50cc de contraste intravenoso  La exploración debe incluir la visualización de todo el sistema colector • Radiografías oblicuas: separa calcificaciones superpuestas a las siluetas renales. • Radiografía en prono: cuando el uréter no es completamente visible. • Radiografía retrasada: cuando existe retraso en el funcionamiento de uno de los dos riñones. Indicaciones de los Ultrasonidos  Masa Renal: diferenciación de masas solidas y liquidas  Masas quísticas  Enfermedad medica renal  Hidronefrosis  Patología fetal (anomalías del tracto urinario)  Anomalías congénitas  Evaluación del espacio perirrenal  Próstata: tumores vesicales  Testículo Indicaciones de una TAC renal  Estadiaje de tumores  Demostración de adenopatías pélvicas  Hemorragia retroperitoneal baja  Fibrosis retroperitoneal baja  Abscesos pélvicos  Lipomatosis pélvicas  Lesiones óseas de la pelvis menor  Recidiva de tumores Indicaciones de la Angiografía Renal  Tumores parenquimatosos renales.  Tumores de células transicionales del sistema colector  Seudotumores  Tumores Benignos  Trauma  Lesiones vasculares renales 1. Aneurismas 2. Displasia fibromuscular 3. Fistulas arteriovenosas 4. Embolismo de la arteria renal 5. Hipertensión arterial 6. Transplanes renales
  • 5.
  • 6.
    ANOMALÍAS DE NÚMERO AGENESIA Bilateral Raray acompañada de anomalías en otros órganos. Síndrome de Potter (cara, extremidades, oligohidramnios) Unilateral Varones en riñón izquierdo Uréter ausente y mitad correspondiente del trígono Sospecha radiológica: desplazamiento anormal medial de la flexura esplénica, situación anómala del duodeno
  • 7.
    ANOMALÍAS DE TAMAÑO HIPOPLASIARENAL  2/3 del tamaño normal  Menos de la mitad de los cálices y nefronas  Funcionamiento renal conservado  Cólico renal y lumbalgia
  • 8.
    ANOMALÍAS DE POSICIÓN: ECTOPIAsimple El ascenso excesivo origina un riñón torácico, situándose a la altura del diafragma, pudiendo producir una lobulación en el mismo. ECTOPIA CRUZADA Cuando un riñón se sitúa en el lado contrario cruzando la línea media. PTOSIS Riñón descendido por una perdida de los soportes anatómicos del mismo o por un aumento de la longitud de los vasos renales.
  • 9.
    ANOMALIAS DE FUSION Fusionrenal en la pelvis 1/600-1/800 nacimientos Hay aumento de la incidencia: • Obstrucción • Litiasis • Infección • Aneurisma abdominal • Tumor de willms RIÑON EN HERRADURA
  • 11.
    ANOMALIAS DE FORMA Columnade bertin Tejido cortical que se extiende inferiormente entre las papilas renales Zona suprahiliar Dismorfismo cortical, lobulaciones, joroba esplenica Seudotumor, termino utilizado para referirnos a tejido renal normal que puede simular una masa renal.
  • 12.
    Los riñones tienendos pelvis separadas y drenadas por sus respectivos uréteres, aunque a veces estos se unen antes de su entrada en la vejiga y es el llamado uréter bífido, trífido o multífido.
  • 13.
    Dilatacion quistica congenita dela porcion final del uréter. En el interior vesical aparece una imagen sacular que se rellena de contraste, separada del resto por un halo radiotransparente  I Simple (25%) en adultos  II Ectópico (75%) se asocia a duplicación, unilateral (80%)
  • 14.
  • 15.
    Clasificación de laurolitiasis 1. Litiasis renal idiopática • 70-80% • Sexo masculino 5:1 2. Síndromes renales tubulares 3. Desordenes enzimáticos 4. Estadios hipercalcémicos 5. Enfermedad gastrointestinal 6. Otras causas que producen hipercalciuria La composicion de los calculos y su frecuencia es: fosfato y oxalato cálcico (66%), fosfato de magnesio y amonio(15%), urato, acido urico y cistina(10%), xantina, alicatos y matriz(9%). RADIOGRAFIA SIMPLE DE ABDOMEN Y UROGRAFIA INTRAVENOSA Calculo laminado grande calcificación cálculos Cálculos coraliformes
  • 16.
    Voluminoso cálculo enel riñón izquierdo, así como múltiples calcificaciones más pequeñas en ambos riñones.
  • 17.
    Calcificaciones en el parénquimarenal con o sin calculosis asociada Pueden ocurrir • Cortical • Médula Rx simple abdomen: Nefrocalcinosis bilateral MANIFESTACIONES RADIOLOGICAS En la placa de abdomen simple se observa imágenes de calcio sobre el área renal. Urografía intravenosa las calcificaciones quedan localizadas en el parenquima renal,.la nefrocalcinosis es bilateral.
  • 18.
    Formamedular Hipercalciuria renal Inducida por fármacos Alimentaria Endócrina Idiopática Hiperoxaluria Hiperuricemia Necrosis papilar Acidosistubular renal Furosemida Esteroides Hipervitaminosis D Sustituto de calcio o fosfato HPT Sx Cushing Forma hereditaria primaria Gota renal Sx Lesch-Nyhan - Necrosis cortical renal - Glomerulonefritis crónica - Síndrome de Alport - Oxalosis congénita
  • 19.
  • 20.
  • 21.
    UROPATÍA OBSTRUCTIVA AGUDA •El tamaño renal puede ser normal o grande • El nefrograma se va haciendo paulatinamente más denso, observándose el parénquima renal completamente blanco, y pudiendo persistir con estas características durante minutos e incluso horas. • El uréter dilatado, mostrándose elongado, tortuoso, con atonía del segmento situado por encima del nivel de la obstrucción.
  • 22.
    UROPATÍA OBSTRUCTIVA CRÓNICA •Riñón aumentado de tamaño • Retraso en la opacificación del sistema colector dilatado, que se encuentra repleto de orina, se produce un pielograma negativo • El signo de los cálices en semiluna, anillos de Dunbaf; radiológicamente aparecen unas líneas difusas, finas, curvilíneas, que corresponden a los túbulos dispuestos paralelamente a los cálices dilatados.
  • 23.
    Niveles de obstrucción NIVEL1 Cáliz e infundíbulo. Uropatia obstructiva del grupo calicial superior derecho mostrando dilatación de todos los cálices, así como la estenosis del infundíbulo en caso de tuberculosis. NIVEL 2 Uréteropélvica Estenosis congénita de la unión uteropelvica produciendo marcada uropatia obstructiva. Existe un calculo libre en la pelvis. NIVEL 3 Uréter Lumbar Uropatía obstructiva izquierda por un gran calculo lumbar que obstruye el uréter y dilata todo el sistema colector por encima.
  • 24.
    NIVEL 4 Uréter pélvico Unagran masa de un cistoadenocarcinoma ovario que asciende hasta el epigastrio y desplaza la vejiga, presenta calcificaciones produciendo uropatia obstructiva bilateral a nivel pélvico. NIVEL 5 Unión ureterovesical Carcinoma de vejiga que presenta una vejiga pequeña produciendo uropatia obstructiva izquierda a nivel de la unión ureterovesical. NIVEL 6 Nivel uretral Niño con válvulas uretrales y uropatia obstructiva crónica bilateral mostrando dilatación de la vejiga, uréteres y los sistemas colectores de ambos riñones, que muestran atrofia importante.
  • 26.
    Pielonefritis Aguda ULTRASONIDO • Crecimientorenal • Perdida de la diferenciación corteza-médula UROGRAFÍA EXCRETORA • Retraso en la fase de eliminación • Compresión del sistema colector • Bandas en el uroepitelio TAC • Áreas de menos perfusión • Áreas focales de hipodensidad • Complicaciones  Escherichia coli +++  Vía de entrada ascendente +++  Mujeres 14 – 40 años  Hallazgos radiologías en el 25% de las pielonefritis agudas no complicadas. La pielonefritis puede definirse como una nefritis intersticial producida por infección.
  • 27.
    CARACTERÍSTICAS: Crecimiento renal Retardo de la fase nefrográficay de eliminación Dilatación o borramiento del sistema colector UROGRAFÍA EXCRETORA
  • 28.
    TAC 1. La fasesimple puede ser normal 2. Áreas hipodensas de forma triangular entre la papila y la corteza renal
  • 29.
    Infección necrotizante delos riñones. Presencia de gas de origen bacteriano en: • Parénquima renal • Espacio perirrenal • Vías urinarias Casi exclusivamente en diabéticos y/o con uropatía obstructiva El tratamiento agresivo • Nefrectomía TAC método mas confiable y sensible.
  • 30.
    Dilatación de lapelvis renal y el riñón por una acumulación purulenta con obliteración del uréter. ⶡ Abierta ⶡ Cerrada 2 tipos de Pionefrosis: • Infección secundaria de una hidronefrosis preexistente. • Transformación purulenta de una Pielonefritis previa.
  • 31.
    Se valora • Antecedentede la afección renal previa • Los síntomas referidos de fiebre elevada • Dolor lumbar • Orinas turbias • Alteraciones radiográficas que se descubren mediante el examen simple y contrastado del tracto urinario.
  • 33.
     Proceso granulomatosodestructivo crónico que resulta de la respuesta inmune atípica e incompleta a una infección bacteriana subaguda  Se asocia a litiasis piélica y a hidronefrosis  5 o 6 decada de vida  Imagen:  Litiasis coraliforme  Nefromegalia  Riñón excluido
  • 35.
     Áreas decicatrización  Atrofia y adelgazamiento cortical  Hipertrofia del tejido residual normal  Abombamiento caliceal en el sitio de cicatriz  Engrosamiento y dilatación del sistema colector  Asimetría renal
  • 36.
    Necrosis papilar ydestrucción parenquimatosa, engrosamiento, ulceración y fibrosis del sistema colector Imagen: Estenosis, dilatación caliceal, cavitación de la papila La cicatrización involucra a la médula y a la corteza:  Contorno lobulado  Retracción  Calcificación  Exclusión
  • 37.
    • Autosómico dominante •Múltiples quistes en riñones Síntomas • Sensibilidad o dolor abdominal • Sangre en la orina • Micción excesiva durante la noche • Dolor de costado en uno o ambos lados Estudios TAC abdominal, RM, Ecografía
  • 38.
    • Pediátrico: Tumorde Wilms • Adulto: Adenocarcinoma de células claras Masas expansivas e invasivas que causan deformaciones del sistema pielocalicial.  Ecografía  TAC  RM 1. Masa con deformidad del contorno renal y destrucción pielocaliceal 2. Hemorragia y necrosis 3. Realzamiento heterogéneo 4. Calcificación (10%) 5. Invasión del seno renal y vena renal 6. 95% hipervasculares en angiografía