Universidad
José Carlos Mariátegui
Facultad Ciencias de la Salud
Escuela Profesional de Enfermería
Integrantes:
“SEMIOLOGIA DE LA
INFLAMACIÓN”
INFLAMACIÓN
Inflamación es el conjunto de mecanismos ante una lesión que produce
cambios estos mecanismos que pueden celulares o físicos
 Agresión física (traumatismo)
 Agentes lesión química (una quemadura)
 Agentes lesión infecciosa (virus hongos y bacterias)
FASES FUNCIONALES
1.- Inmediata o
precoz:
predominan
funciones
nerviosas.
•Sensitivas: dolor,
analgesia.
•Motoras: Contracción,
relajación.
2.- Intermedia:
predominan
funciones
inmunes.
• Infiltración tisular:
Molecular o
celular.
3.- Tardía:
predominan
funciones
endocrinas.
• Anabolismo
• Catabolismo
CLASIFICACION DE INFLAMACIÓN
AGUDA
•Acumulación de liquido y
componentes del plasma
en el tejido afectado corta
duración (días)
•Estimulación intravascular
de plaquetas y presencia
de PMN
•Tendencia a la curación
•Respuesta inmediata
frente a la agresión
CRÓNICA:
•Duración prolongada
(semanas o meses)
•Los componentes
celulares característicos
de una inflamación
crónica son:
•Macrófagos
•Linfocitos
•Plasmocitos
INFLAMACIÓN
CRÓNICA
GRANULOMATOSA
:
•Células epitelioides
•Macrófagos activados
•Se fusionan constituyendo
células gigantes
multinucleadas
FACTORES MODIFICADORES
Estado nutricional:
Aguantará mejor o
peor la inflamación
Estado
cardiovascular: En
personas con
torrente sanguíneo
comprometido llega
peor la irrigación de
los tejidos y
modificará la
inflamación
Estado hormonal:
Una persona con
Cushing se
defenderá peor de
la reacción
inflamatoria, al
igual que un
diabético.
Estado
hematológico: Una
persona con
inmunodeficiencia o
aplasia con anemia
se defenderá peor
de la respuesta
inflamatoria
Carga genética. Etiología
CAUSAS
 Microorganismos: Hay que diferenciar infección de inflamación, la
segunda intenta evitar la primera. Pero los dos pueden causar
inflamación.
 Agentes físicos: Traumatismos, agentes térmicos y radiaciones (RX,
luz, IR, UV...)
 Agentes químicos: Pueden ser exógenos o endógenos alterados
 Agentes endógenos: procesos inmunes, alteraciones genéticas y
necrosis tisular.
CLASIFICACIÓN
Patrón alterativo:
alteración de la
zona de la lesión
Patrón
exudativo
Patrón
proliferativo
RADIOGRAFIA DE PACIENTE CON
TBC
CLÍNICA
Según Celso:
Rubor: vasodilatación y estasis
vascular
Tumor: Exudado inflamatorio y
sangre
Calor: Consecuencia de la
vasodilatación y aumento del
metabolismo
Dolor: Consecuencia de la irritación
de fibras nerviosas por el agente
etiológico y las sustancias químicas.
Virchow también
incluyó la
impotencia
funcional, la
incapacidad del
órgano alterado de
cumplir su función.
Además de la
sintomatología
local, también hay
una respuesta
sistémica del
organismo
acompañante que
tiene que ver con el
estrés y su
intensidad es
variable.
SIGNOS Y SÍNTOMAS
• Síntomas: Astenia (cansancio, poca motivación),
anorexia (falta de apetito) y malestar general
• Signos clínicos: Fiebre, taquicardia y taquipnea
dependiendo del grado de inflamación
• Signos analíticos: Leucocitosis con neutrofilia,
reactantes de fase agua (proteína C reactiva) y
los mediadores inflamatorios (IL-6)
FIEBRE
Elevación de la temperatura
corporal por estimulación del
centro regulador hipotalámico
y los pirógenos, que pueden
ser exógenos o endógenos
(como las citoquinas IL1, IL6,
TNFα e interferonas) que
activan el metabolismo del
ácido araquidónico y se
producen prostaglandinas que
producen vasoconstrucción
periférica y contracción
muscular (tiritona)
Entre los efectos beneficiosos
encontramos que el calor
mejora la función leucocitaria y
además dificulta el desarrollo
de algunos gérmenes.
FISIOPATOLOGÍA DE
LA INFLACIÓN
• La inflamación es un proceso tisular
constituido por una serie de fenómenos
moleculares, celulares y vasculares de
finalidad defensiva frente a agresiones
físicas, químicas o biológicas.
FASES DE LA INFLAMACIÓN
1. Liberación de
mediadores.
2. Efecto de los
mediadores
3. Llegada de moléculas
y células inmunes al
foco inflamatorio.
Son moléculas, la mayor parte de ellas, de
estructura elemental que son liberadas por el
mastocito bajo la actuación de determinados
estímulos.
Proceden en su mayor parte de la sangre, pero
también de las zonas circundantes al foco.
Estas moléculas producen alteraciones
vasculares y efectos quimiotácticos que
favorecen la llegada de moléculas y células
inmunes al foco inflamatorio
4. Regulación del
proceso inflamatorio.
El fenómeno inflamatorio también integra
una serie de mecanismos inhibidores
tendentes a finalizar o equilibrar el
proceso.
5. Reparación.
Fase constituida por fenómenos que van a
determinar la reparación total o parcial de
los tejidos dañados por el agente agresor o
por la propia respuesta inflamatoria.
LIBERACIÓN DE MEDIADORES
EL MASTOCITO
• Esta es una célula inmune inespecífica que también
procede de la médula ósea.
• El mastocito contiene en el citoplasma gránulos con
mediadores de la inflamación preformados.
• La liberación de mediadores ocurre por distintas causas,
pero quizás la más frecuente sea la lesión directa de la
célula por le agente agresivo.
• Cuando la inflamación progresa y se acumulan en el foco
suficientes factores activados del complemento, el C3a y el
C5a, actuando sobre receptores de membrana, inducen la
activación del mastocito y la consiguiente liberación de
mediadores.
HISTAMINA.
• Es un mediador ampliamente
distribuido por el organismo
aunque se detecta
principalmente en el mastocito y
basófilo.
ENZIMAS
PROTEOLÍTICAS.
• Las distintas enzimas proteolíticas liberadas
por el mastocito, quizás la más interesante
sea la kininogenasa que actúa sobre las
proteínas procedentes de la sangre y
denominadas kininógenos, produciendo su
ruptura en péptidos más pequeños
denominados kininas.
EFECTOS DE LOS
MEDIADORES
MEDIADORES PREFORMADOS
FACTORES
QUIMIOTÁCTIC
OS.
• El ECF-A incluye dos tetrapéptidos de
alrededor 500 d. de peso molecular que
atraen eosinófilos al foco inflamatorio
HEPARINA • Al inhibir la coagulación, favorece la
llegada al foco inflamatorio desde la
sangre de moléculas y células
MEDIADORES SINTETIZADOS DE NOVO
PGE2.
Es la prostaglandina más importante
en el proceso inflamatorio. Produce
vasodilatación y dolor.
LTB4.
Es un factor quimiotáctico para
eosinófilos, neutrófilos, mastocitos y
macrófagos.
Factor activador de plaquetas
Activa las plaquetas determinando su
agregación, con la liberación de
mediadores por parte de estos cuerpos e
inicio de los procesos de coagulación.
LLEGADA DE MOLÉCULAS Y CÉLULAS INMUNES
AL FOCO INFLAMATORIO
Los mediadores de la inflamación van a producir básicamente dos efectos:
• En una primera fase inicial, alteraciones vasculares que facilitan el trasvase
de moléculas desde la sangre al foco inflamatorio, así como la producción
de edema.
• En una segunda fase, más tardía, las propias alteraciones vasculares, así
como la liberación en el foco de factores quimiotácticos, determinan la
llegada de células inmunes procedentes de la sangre y de los tejidos
circundantes
FASE INICIAL. LLEGADA DE MOLÉCULAS
Inmunoglobulinas.
Los anticuerpos se unen y bloquean
el germen y sus toxinas.
Factores del complemento.
El complemento se puede activar por
la vía alternativa, por productos
liberados directamente por el
germen.
Kininógenos
Sobre estas moléculas actúan las
kininogenasas liberadas por el
mastocito y basófilo dando lugar a
las kininas.
Proteínas de la fase aguda
Destaca la proteína C Reactiva (PCR)
que tiene la capacidad de fijar
determinados gérmenes como el
neumococo y de activar el
complemento por la vía clásica .
Factores de la coagulación.
FASE TARDÍA. LLEGADA DE CÉLULAS
Basófilo: Contribuye, junto con el mastocito, a la
liberación de mediadores
Neutrófilo: Las primeras células en llegar al foco
inflamatorio. Elimina al germen mediante
fagocitosis es así, una muerte extracelular
Monocito/Macrófago: Procedente de la sangre el
monocito, y de los tejidos cercanos el macrófago,
llegan al foco más tardíamente. El monocito, en los
tejidos, se diferencia en macrófago
LINFOCITOS T Y B:
Las células B procedentes de los tejidos
linfoides asociados a tejidos, basófilo
pueden potenciar la inflamación
Las células T comienzan a producir
linfoquinas que prolongan la inflamación
en una respuesta inmune más elaborada
EOSINÓFILO:
Es una célula citotóxica en las infecciones
parasitarias.
Parece además tener en la inflamación
una función reguladora
REGULACIÓN DE LA RESPUESTA
INFLAMATORIA
• Los mediadores que producen activación, al variar su concentración o actuar
sobre distintos receptores, van a producir inhibición, consiguiendo, de esta
forma, un equilibrio o modulación de la respuesta inflamatoria.
• Los siguientes factores intervienen en esta regulación
Histamina
Actuando sobre
receptores H2, induce en
el mastocito y basófilo
una inhibición de la
liberación de
mediadores.
PGE.
Produce en el mastocito
y basófilo una inhibición
de la liberación de
mediadores y sobre los
linfocitos una inhibición
de la proliferación y
diferenciación.
Agonistasautonómicos
La activación del
receptor β-
adrenérgico produce
una inhibición,
mientras que la
activación del α-
adrenérgico y ζ-
colinérgico inducen
la estimulación
Heparina
Inhibe la coagulación
Eosinófilo.
Acude al foco
inflamatorio donde
libera una serie de
enzimas que
degradan
determinados
mediadores
potenciadores de la
inflamación.
REPARACIÓN
• Han sido eliminadas por la propia respuesta inflamatoria, se
inician los procesos de reparación.
• Estos procesos integran la llegada a la zona de fibroblastos que
van a proliferar y sintetizar colágeno, proliferación de células
epiteliales y proliferación de vasos dentro de la herida.
ACTORES DEL PROCESO INFLAMATORIO
• Participan:
a. Células
sanguíneas y del
tejido conectivo
b. Vasos
sanguíneas y
linfáticos
c. Mediadores
químicos.
d. Matriz
extracelular
ACTORES CELULARES
Tipo Celular Principales funciones
Neutrófilos
• Inflamacion aguda ausente en tejidos sanos.
• Primera defensa a infección, oxidantes y otros
• Células terminales
Eosinófílos
• Reacciones inmunológicas
• Parasitarias.
Monocitos - Macrofagos
• Monocito es precursor de macrófago
• Inflamacion crónica
• Sintetiza mediadores
• Bactericida
• Vida media larga
Plaquetas
• Esencial en endotelio normal.
• Fuente de mediadores en tejidos injuriados
• Rol en: hemostasis, trombosis, coagulación.
Endotelio
 Contrala el intercambio de fluidos y
células en inflamación.
 Fuente de mediadores.
Fibroblastos
 Participa en separación .
 Modula a miofibroblasto
 Produce colágeno.
Mastocitos
 Fuente de mediadores.
 Rol en inmune.
Células Killer
 Lisis celular independiente de respuesta
inmune.
Linfocitos B
 Producen anticuerpos
 Respuesta inmune.
Linfocitos T
 Produce citoquinas
 Respuesta inmune
 Destruye celulas
DIAGNOSTICO
DE LA INFLAMACIÓN
INSPECCIÓN
PALPACIÓN
PERCUSIÓN
AUSCULTACIÓN
TECNICAS DE EXPLORACIÓN FISICA
Calor
Rubor
Tumor
Dolor
ANÁLISIS DE SANGRE
El análisis de sangre de proteína C reactiva
(PCR) se utiliza para identificar
inflamaciones e infecciones del
organismo.
Poco después del inicio de una infección o
inflamación, el hígado libera la proteína C
reactiva en la sangre. La PCR es un
indicador temprano de estos problemas y
su nivel puede elevarse rápidamente.
PROTEÍNA C REACTIVA
¿POR QUÉ SE HACE?
• Los médicos pueden
solicitar un análisis
de proteína C
reactiva.
Si los síntomas
parecen indicar que
hay algún tipo de
inflamación.
• En particular relacionada
con la enfermedad
inflamatoria intestinal, las
recaídas de artritis o un
trastorno autoinmune,
como la artritis
reumatoide o el lupus.
También se puede
utilizar para detectar
infecciones en pacientes
vulnerables. • El análisis de PCR
también puede ayudar
a determinar si el
tratamiento para alguna
de estas afecciones
está surtiendo efecto.
Porque los niveles de
PCR caen rápidamente a
medida que la
inflamación cede.
Para someterse a este análisis, no es necesario realizar ningún tipo de
preparación. Asegúrese de avisarle a su médico acerca de cualquier
medicamento que su hijo esté tomando porque algunos fármacos pueden
alterar los resultados del análisis.
Por lo general, un profesional de la salud
extraerá la sangre de una vena. Si se trata de un
lactante, se puede obtener la sangre haciendo
una pequeña punción en el talón con una aguja
pequeña (denominada lanceta).
Si se hace la extracción desde una vena, se
limpia la superficie de la piel con un antiséptico
y se coloca una goma elástica (que hace de
torniquete) en la parte superior del brazo para
ejercer presión y conseguir que las venas se
hinchen y se llenen de sangre.
A continuación, se inserta una
aguja en el interior de una vena
(generalmente en la cara
interna del codo o en el dorso
de la mano) y la sangre se
extrae y se recoge en un vial o
en una jeringuilla.
Después del procedimiento, se
retira la goma elástica. Una vez
recogida la sangre, se extrae la
aguja y, para detener el
sangrado, se cubre el área del
pinchazo con un trocito de
algodón, que se tapa con una
tirita o un apósito. La extracción
de sangre para llevar a cabo
este análisis solo dura unos
pocos minutos.
Cualquiera de los dos métodos que se utilizan para extraer muestras de
sangre (sea punzando el talón o pinchado la vena) provoca molestias de
carácter temporal y lo único que siente el paciente es un breve pinchazo.
Después de la extracción, es posible que aparezca un pequeño
hematoma, que debería desaparecer en pocos días.
La muestra de sangre se procesará utilizando una
máquina. Los resultados suelen estar disponibles en unas
horas o al día siguiente.
En general, un nivel elevado de PCR indica que existe
una infección o inflamación en alguna parte del
cuerpo.
Pero la PCR por sí sola no les indica a los médicos dónde
se encuentra el problema o qué lo está causando; por lo
tanto, es posible que sea necesario hacer más análisis.
OBTENCIÓN DE LOS RESULTADOS
Riesgos
• El análisis de la
proteína C reactiva
se considera un
procedimiento
seguro. De todos
modos, como ocurre
en muchos estudios
médicos, pueden
surgir algunos
problemas durante
la extracción de
sangre, como los
siguientes:
Desmayos o mareos
Dolor
Hematoma (acumulación
de sangre bajo la piel que
provoca un bulto y/o un
moretón)
• Nivel de glucosa en sangre, que se mide en ayunas
Esta prueba se utiliza para detectar diabetes y
enfermedades del corazón, pero también es un
marcador de inflamación. Cuanto más alto sea tu
nivel de GLUCOSA en sangre más inflamación está
produciendo tu cuerpo.
• Nivel de triglicéridos que debería ser inferior a 100 mg/dL a
pesar que el rango considerado normal esté en 45-150%.
Los niveles elevados de triglicéridos son un factor de
riesgo independiente para una enfermedad del corazón.
Otros problemas de salud relacionados a altos niveles de
triglicéridos incluyen la diabetes, hipotiroidismo, presión
sanguínea alta, pancreatitis, obesidad y enfermedades
crónicas del riñón, el hígado y la circulación.
NUCLEAR
EN
PATOLOGÍ
AS MAS
FRECUENT
ES
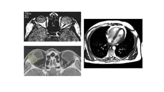
DEFINICIÓN:
• La resonancia magnética nuclear permite obtener
imágenes detalladas del interior del cuerpo desde
cualquier perspectiva, aportando información sobre
patologías que no pueden verse con un TAC o una
ecografía.
En la cabeza puede ver tumores, abscesos, aneurismas, sangrado,
infartos o lesiones nerviosas. También puede servir para estudiar
patologías en los ojos y en el oído o enfermedades degenerativas
cerebrales.
En el tórax se está utilizando mucho para estudiar la anatomía
cardiaca o la patología de las arterias coronarias. También se utiliza
en el estudio del cáncer de mama o en caso de tumores del
pulmón.
En el abdomen y la pelvis permite estudiar con mucho detalle
órganos tales como el páncreas, los riñones o el hígado, el útero y
los ovarios en mujeres, o la próstata en varones. Allí se pueden
encontrar tumores, infecciones, malformaciones, etcétera.
¿POR QUÉ SE HACE UNA
RESONANCIA MAGNÉTICA NUCLEAR?
En muchas ocasiones,
para realizar esta técnica
es necesario administrar
un líquido llamado
contraste que resalta los
órganos estudiados y
facilita la interpretación
de las imágenes. El
contraste más utilizado se
llama gadolinio y, al
contrario que el contraste
usado para hacer un TAC,
no está compuesto por
yodo, por lo que es poco
probable que cause
efectos secundarios o
alergia. Este medio de
contraste se administra
por vía intravenosa.
RESONANCIA
MAGNÉTICA
NUCLEAR
Si tiene que tomar alguna
medicación, hágalo con la
mínima cantidad de agua.
Haga uso de los servicios
higiénicos antes de
realizarse el examen.
Si su examen es con sustancia de
contraste, es importante estar en
ayuna cuatro (4) horas antes de
su cita y presentar un EXAMEN
DE CREATININA con mínimo cinco
(5) días de vigencia
(OBLIGATORIO)
¿QUÉ NECESITA HACER
DURANTE EL EXAMEN?
Usted solo
deberá
descansar, no
moverse durante
el examen.
Nuestro personal
médico estará
presente para
atenderlo
durante el
examen y cuando
este haya
terminado.
¿CÓMO DEBE IR VESTIDO?
Deberá
presentarse
con ropa
ligera de
algodón, no
usar ropa
sintética con
adornos o
aplicaciones
de metal.
¿Quienes no pueden someterse
a un examen por Resonancia?
El resonador al
ser un gran imán
atrae algunos
objetos
metálicos, por
más pequeño
que sea este.
Por tal razón,
está prohibido
ingresar con:
Marcapasos,
válvulas
cardiacas
metálicas,
aparatos
auditivos.
Cualquier
implante y/o
elemento
ferromagnético.
Pacientes que
tengan
perdigones
y/o esquirlas
ferromagnétic
as dentro del
cuerpo.
Cabello húmedo
y/o extensiones,
maquillajes
permanentes,
tatuajes
extensos y
recientes.
Tarjetas de
Creditos,
teléfonos
celulares, llaves,
hebillas, vinchas,
monedas, joyas,
entre otras
¿Cuanto tiempo dura el examen de
RM?
El tiempo aproximado es de 15 a 20 minutos, este tiempo puede
variar según el tipo de examen. Usted debe acudir 30 minutos antes
de su cita.
BENEFICIOS
La RMN es una técnica de
exploración no invasiva que
no implica exposición a la
radiación ionizante.
Las imágenes de RM de la columna son
más claras y detalladas que las
imágenes que se obtienen con otros
métodos de diagnóstico por imágenes.
La RMN puede identificar
anormalidades, lesiones y
enfermedades en la región espinal que
podrían no ser detectadas con otros
métodos de toma de imágenes.
La RMN hace posible
descubrir anormalidades
que pueden quedar ocultas
por los huesos con otros
métodos de exploración.
El material de contraste
utilizado en los exámenes de
RMN tiene menos
probabilidades de producir una
reacción alérgica que los
materiales a base de yodo,
utilizados para rayos X
convencionales y exploraciones
por TC.
LA RESONANCIA
MAGNETICA
NUCLEAR DE LAS
ARTICULACIONES
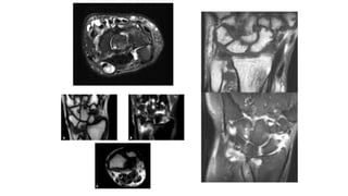
ARTRITIS REUMATOIDES
• La artritis reumatoide es una forma de artritis que causa dolor, inflamación,
rigidez y pérdida de la función de las articulaciones. Más mujeres que hombres
padecen artritis reumatoide. Suele comenzar en la edad mediana y es más
común entre los adultos mayores. Usted puede padecer la enfermedad por un
corto período o los síntomas pueden aparecer y desaparecer. La forma severa
puede durar toda la vida.
SÍNTOMAS
Además de la inflamación de las articulaciones, la artritis
reumatoide presenta otros síntomas que pueden indicar
que es momento de realizarse una resonancia magnética:
• Dolor de articulaciones en pies, manos y rodillas
• Fiebre
• Pérdida de funciones en las articulaciones
• Articulaciones rígidas
• Fatiga
• Enrojecimiento de articulaciones
• Nódulos reumatoides
• Calor en las articulaciones
• Deformidad en las articulaciones
DIAGNÓSTICO
• Un diagnóstico de artritis reumatoide suele involucrar
un examen físico, un análisis sanguíneo que detecte la
presencia del “factor reumatoide” y una resonancia
magnética que permita visualizar con más claridad el
daño causado por la enfermedad.
TENDINITIS
Los ligamentos son bandas fuertes,
flexibles y fibrosas de tejido que
conectan los músculos con los
huesos. Cuando los tendones se
inflaman (hinchan), irritan o sufren
desgarros microscópicos, la
condición se denomina tendinitis.
Los tendones pueden ser
pequeños, como las bandas
frágiles y pequeñísimas en las
manos o grandes, como las
gruesas cuerdas para tender
ropa, que sujetan la pantorrilla
o los músculos de los muslos.
SÍNTOMAS
En general, la tendinitis causa dolor en los tejidos
que rodean la articulación, especialmente después
de ejercitarla demasiado durante la práctica de un
deporte o en el trabajo. En algunos casos, la
articulación podría sentirse débil y el área podría
enrojecerse, inflamarse y estar algo caliente si se le
toca.
Cuando la tendinitis está causada por una
infección como la gonorrea, podría haber
otros síntomas, incluidos sarpullido,
fiebre o flujo de la vagina o el pene
DIAGNÓSTICO
Durante un examen físico, su médico buscará áreas
hipersensibles, inflamadas, enrojecidas, debilidad muscular
y movimiento ilimitado en el área del tendón dolorido.
Algunas personas podrían necesitar hacerse análisis de
sangre para detectar otras causas de inflamación alrededor
de la articulación, como gota o artritis reumatoide.
SEMIOLOGIA DE LA INFLAMACIÓN

SEMIOLOGIA DE LA INFLAMACIÓN

  • 1.
    Universidad José Carlos Mariátegui FacultadCiencias de la Salud Escuela Profesional de Enfermería Integrantes: “SEMIOLOGIA DE LA INFLAMACIÓN”
  • 2.
    INFLAMACIÓN Inflamación es elconjunto de mecanismos ante una lesión que produce cambios estos mecanismos que pueden celulares o físicos  Agresión física (traumatismo)  Agentes lesión química (una quemadura)  Agentes lesión infecciosa (virus hongos y bacterias)
  • 3.
    FASES FUNCIONALES 1.- Inmediatao precoz: predominan funciones nerviosas. •Sensitivas: dolor, analgesia. •Motoras: Contracción, relajación. 2.- Intermedia: predominan funciones inmunes. • Infiltración tisular: Molecular o celular. 3.- Tardía: predominan funciones endocrinas. • Anabolismo • Catabolismo
  • 4.
    CLASIFICACION DE INFLAMACIÓN AGUDA •Acumulaciónde liquido y componentes del plasma en el tejido afectado corta duración (días) •Estimulación intravascular de plaquetas y presencia de PMN •Tendencia a la curación •Respuesta inmediata frente a la agresión CRÓNICA: •Duración prolongada (semanas o meses) •Los componentes celulares característicos de una inflamación crónica son: •Macrófagos •Linfocitos •Plasmocitos INFLAMACIÓN CRÓNICA GRANULOMATOSA : •Células epitelioides •Macrófagos activados •Se fusionan constituyendo células gigantes multinucleadas
  • 5.
    FACTORES MODIFICADORES Estado nutricional: Aguantarámejor o peor la inflamación Estado cardiovascular: En personas con torrente sanguíneo comprometido llega peor la irrigación de los tejidos y modificará la inflamación Estado hormonal: Una persona con Cushing se defenderá peor de la reacción inflamatoria, al igual que un diabético. Estado hematológico: Una persona con inmunodeficiencia o aplasia con anemia se defenderá peor de la respuesta inflamatoria Carga genética. Etiología
  • 6.
    CAUSAS  Microorganismos: Hayque diferenciar infección de inflamación, la segunda intenta evitar la primera. Pero los dos pueden causar inflamación.  Agentes físicos: Traumatismos, agentes térmicos y radiaciones (RX, luz, IR, UV...)  Agentes químicos: Pueden ser exógenos o endógenos alterados  Agentes endógenos: procesos inmunes, alteraciones genéticas y necrosis tisular.
  • 7.
    CLASIFICACIÓN Patrón alterativo: alteración dela zona de la lesión Patrón exudativo Patrón proliferativo
  • 9.
  • 10.
    CLÍNICA Según Celso: Rubor: vasodilatacióny estasis vascular Tumor: Exudado inflamatorio y sangre Calor: Consecuencia de la vasodilatación y aumento del metabolismo Dolor: Consecuencia de la irritación de fibras nerviosas por el agente etiológico y las sustancias químicas. Virchow también incluyó la impotencia funcional, la incapacidad del órgano alterado de cumplir su función. Además de la sintomatología local, también hay una respuesta sistémica del organismo acompañante que tiene que ver con el estrés y su intensidad es variable.
  • 11.
    SIGNOS Y SÍNTOMAS •Síntomas: Astenia (cansancio, poca motivación), anorexia (falta de apetito) y malestar general • Signos clínicos: Fiebre, taquicardia y taquipnea dependiendo del grado de inflamación • Signos analíticos: Leucocitosis con neutrofilia, reactantes de fase agua (proteína C reactiva) y los mediadores inflamatorios (IL-6)
  • 12.
    FIEBRE Elevación de latemperatura corporal por estimulación del centro regulador hipotalámico y los pirógenos, que pueden ser exógenos o endógenos (como las citoquinas IL1, IL6, TNFα e interferonas) que activan el metabolismo del ácido araquidónico y se producen prostaglandinas que producen vasoconstrucción periférica y contracción muscular (tiritona) Entre los efectos beneficiosos encontramos que el calor mejora la función leucocitaria y además dificulta el desarrollo de algunos gérmenes.
  • 13.
  • 14.
    • La inflamaciónes un proceso tisular constituido por una serie de fenómenos moleculares, celulares y vasculares de finalidad defensiva frente a agresiones físicas, químicas o biológicas.
  • 15.
    FASES DE LAINFLAMACIÓN 1. Liberación de mediadores. 2. Efecto de los mediadores 3. Llegada de moléculas y células inmunes al foco inflamatorio. Son moléculas, la mayor parte de ellas, de estructura elemental que son liberadas por el mastocito bajo la actuación de determinados estímulos. Proceden en su mayor parte de la sangre, pero también de las zonas circundantes al foco. Estas moléculas producen alteraciones vasculares y efectos quimiotácticos que favorecen la llegada de moléculas y células inmunes al foco inflamatorio
  • 16.
    4. Regulación del procesoinflamatorio. El fenómeno inflamatorio también integra una serie de mecanismos inhibidores tendentes a finalizar o equilibrar el proceso. 5. Reparación. Fase constituida por fenómenos que van a determinar la reparación total o parcial de los tejidos dañados por el agente agresor o por la propia respuesta inflamatoria.
  • 17.
    LIBERACIÓN DE MEDIADORES ELMASTOCITO • Esta es una célula inmune inespecífica que también procede de la médula ósea. • El mastocito contiene en el citoplasma gránulos con mediadores de la inflamación preformados. • La liberación de mediadores ocurre por distintas causas, pero quizás la más frecuente sea la lesión directa de la célula por le agente agresivo. • Cuando la inflamación progresa y se acumulan en el foco suficientes factores activados del complemento, el C3a y el C5a, actuando sobre receptores de membrana, inducen la activación del mastocito y la consiguiente liberación de mediadores.
  • 18.
    HISTAMINA. • Es unmediador ampliamente distribuido por el organismo aunque se detecta principalmente en el mastocito y basófilo. ENZIMAS PROTEOLÍTICAS. • Las distintas enzimas proteolíticas liberadas por el mastocito, quizás la más interesante sea la kininogenasa que actúa sobre las proteínas procedentes de la sangre y denominadas kininógenos, produciendo su ruptura en péptidos más pequeños denominados kininas. EFECTOS DE LOS MEDIADORES MEDIADORES PREFORMADOS
  • 19.
    FACTORES QUIMIOTÁCTIC OS. • El ECF-Aincluye dos tetrapéptidos de alrededor 500 d. de peso molecular que atraen eosinófilos al foco inflamatorio HEPARINA • Al inhibir la coagulación, favorece la llegada al foco inflamatorio desde la sangre de moléculas y células
  • 20.
    MEDIADORES SINTETIZADOS DENOVO PGE2. Es la prostaglandina más importante en el proceso inflamatorio. Produce vasodilatación y dolor. LTB4. Es un factor quimiotáctico para eosinófilos, neutrófilos, mastocitos y macrófagos. Factor activador de plaquetas Activa las plaquetas determinando su agregación, con la liberación de mediadores por parte de estos cuerpos e inicio de los procesos de coagulación.
  • 21.
    LLEGADA DE MOLÉCULASY CÉLULAS INMUNES AL FOCO INFLAMATORIO Los mediadores de la inflamación van a producir básicamente dos efectos: • En una primera fase inicial, alteraciones vasculares que facilitan el trasvase de moléculas desde la sangre al foco inflamatorio, así como la producción de edema. • En una segunda fase, más tardía, las propias alteraciones vasculares, así como la liberación en el foco de factores quimiotácticos, determinan la llegada de células inmunes procedentes de la sangre y de los tejidos circundantes
  • 22.
    FASE INICIAL. LLEGADADE MOLÉCULAS Inmunoglobulinas. Los anticuerpos se unen y bloquean el germen y sus toxinas. Factores del complemento. El complemento se puede activar por la vía alternativa, por productos liberados directamente por el germen. Kininógenos Sobre estas moléculas actúan las kininogenasas liberadas por el mastocito y basófilo dando lugar a las kininas. Proteínas de la fase aguda Destaca la proteína C Reactiva (PCR) que tiene la capacidad de fijar determinados gérmenes como el neumococo y de activar el complemento por la vía clásica . Factores de la coagulación.
  • 23.
    FASE TARDÍA. LLEGADADE CÉLULAS Basófilo: Contribuye, junto con el mastocito, a la liberación de mediadores Neutrófilo: Las primeras células en llegar al foco inflamatorio. Elimina al germen mediante fagocitosis es así, una muerte extracelular Monocito/Macrófago: Procedente de la sangre el monocito, y de los tejidos cercanos el macrófago, llegan al foco más tardíamente. El monocito, en los tejidos, se diferencia en macrófago
  • 24.
    LINFOCITOS T YB: Las células B procedentes de los tejidos linfoides asociados a tejidos, basófilo pueden potenciar la inflamación Las células T comienzan a producir linfoquinas que prolongan la inflamación en una respuesta inmune más elaborada EOSINÓFILO: Es una célula citotóxica en las infecciones parasitarias. Parece además tener en la inflamación una función reguladora
  • 25.
    REGULACIÓN DE LARESPUESTA INFLAMATORIA • Los mediadores que producen activación, al variar su concentración o actuar sobre distintos receptores, van a producir inhibición, consiguiendo, de esta forma, un equilibrio o modulación de la respuesta inflamatoria. • Los siguientes factores intervienen en esta regulación Histamina Actuando sobre receptores H2, induce en el mastocito y basófilo una inhibición de la liberación de mediadores. PGE. Produce en el mastocito y basófilo una inhibición de la liberación de mediadores y sobre los linfocitos una inhibición de la proliferación y diferenciación.
  • 26.
    Agonistasautonómicos La activación del receptorβ- adrenérgico produce una inhibición, mientras que la activación del α- adrenérgico y ζ- colinérgico inducen la estimulación Heparina Inhibe la coagulación Eosinófilo. Acude al foco inflamatorio donde libera una serie de enzimas que degradan determinados mediadores potenciadores de la inflamación.
  • 27.
    REPARACIÓN • Han sidoeliminadas por la propia respuesta inflamatoria, se inician los procesos de reparación. • Estos procesos integran la llegada a la zona de fibroblastos que van a proliferar y sintetizar colágeno, proliferación de células epiteliales y proliferación de vasos dentro de la herida.
  • 28.
    ACTORES DEL PROCESOINFLAMATORIO • Participan: a. Células sanguíneas y del tejido conectivo b. Vasos sanguíneas y linfáticos c. Mediadores químicos. d. Matriz extracelular
  • 29.
    ACTORES CELULARES Tipo CelularPrincipales funciones Neutrófilos • Inflamacion aguda ausente en tejidos sanos. • Primera defensa a infección, oxidantes y otros • Células terminales Eosinófílos • Reacciones inmunológicas • Parasitarias. Monocitos - Macrofagos • Monocito es precursor de macrófago • Inflamacion crónica • Sintetiza mediadores • Bactericida • Vida media larga Plaquetas • Esencial en endotelio normal. • Fuente de mediadores en tejidos injuriados • Rol en: hemostasis, trombosis, coagulación.
  • 30.
    Endotelio  Contrala elintercambio de fluidos y células en inflamación.  Fuente de mediadores. Fibroblastos  Participa en separación .  Modula a miofibroblasto  Produce colágeno. Mastocitos  Fuente de mediadores.  Rol en inmune. Células Killer  Lisis celular independiente de respuesta inmune. Linfocitos B  Producen anticuerpos  Respuesta inmune. Linfocitos T  Produce citoquinas  Respuesta inmune  Destruye celulas
  • 31.
  • 32.
  • 33.
    ANÁLISIS DE SANGRE Elanálisis de sangre de proteína C reactiva (PCR) se utiliza para identificar inflamaciones e infecciones del organismo. Poco después del inicio de una infección o inflamación, el hígado libera la proteína C reactiva en la sangre. La PCR es un indicador temprano de estos problemas y su nivel puede elevarse rápidamente. PROTEÍNA C REACTIVA
  • 34.
    ¿POR QUÉ SEHACE? • Los médicos pueden solicitar un análisis de proteína C reactiva. Si los síntomas parecen indicar que hay algún tipo de inflamación. • En particular relacionada con la enfermedad inflamatoria intestinal, las recaídas de artritis o un trastorno autoinmune, como la artritis reumatoide o el lupus. También se puede utilizar para detectar infecciones en pacientes vulnerables. • El análisis de PCR también puede ayudar a determinar si el tratamiento para alguna de estas afecciones está surtiendo efecto. Porque los niveles de PCR caen rápidamente a medida que la inflamación cede.
  • 35.
    Para someterse aeste análisis, no es necesario realizar ningún tipo de preparación. Asegúrese de avisarle a su médico acerca de cualquier medicamento que su hijo esté tomando porque algunos fármacos pueden alterar los resultados del análisis. Por lo general, un profesional de la salud extraerá la sangre de una vena. Si se trata de un lactante, se puede obtener la sangre haciendo una pequeña punción en el talón con una aguja pequeña (denominada lanceta). Si se hace la extracción desde una vena, se limpia la superficie de la piel con un antiséptico y se coloca una goma elástica (que hace de torniquete) en la parte superior del brazo para ejercer presión y conseguir que las venas se hinchen y se llenen de sangre.
  • 36.
    A continuación, seinserta una aguja en el interior de una vena (generalmente en la cara interna del codo o en el dorso de la mano) y la sangre se extrae y se recoge en un vial o en una jeringuilla. Después del procedimiento, se retira la goma elástica. Una vez recogida la sangre, se extrae la aguja y, para detener el sangrado, se cubre el área del pinchazo con un trocito de algodón, que se tapa con una tirita o un apósito. La extracción de sangre para llevar a cabo este análisis solo dura unos pocos minutos.
  • 37.
    Cualquiera de losdos métodos que se utilizan para extraer muestras de sangre (sea punzando el talón o pinchado la vena) provoca molestias de carácter temporal y lo único que siente el paciente es un breve pinchazo. Después de la extracción, es posible que aparezca un pequeño hematoma, que debería desaparecer en pocos días. La muestra de sangre se procesará utilizando una máquina. Los resultados suelen estar disponibles en unas horas o al día siguiente. En general, un nivel elevado de PCR indica que existe una infección o inflamación en alguna parte del cuerpo. Pero la PCR por sí sola no les indica a los médicos dónde se encuentra el problema o qué lo está causando; por lo tanto, es posible que sea necesario hacer más análisis. OBTENCIÓN DE LOS RESULTADOS
  • 38.
    Riesgos • El análisisde la proteína C reactiva se considera un procedimiento seguro. De todos modos, como ocurre en muchos estudios médicos, pueden surgir algunos problemas durante la extracción de sangre, como los siguientes: Desmayos o mareos Dolor Hematoma (acumulación de sangre bajo la piel que provoca un bulto y/o un moretón)
  • 39.
    • Nivel deglucosa en sangre, que se mide en ayunas Esta prueba se utiliza para detectar diabetes y enfermedades del corazón, pero también es un marcador de inflamación. Cuanto más alto sea tu nivel de GLUCOSA en sangre más inflamación está produciendo tu cuerpo.
  • 40.
    • Nivel detriglicéridos que debería ser inferior a 100 mg/dL a pesar que el rango considerado normal esté en 45-150%. Los niveles elevados de triglicéridos son un factor de riesgo independiente para una enfermedad del corazón. Otros problemas de salud relacionados a altos niveles de triglicéridos incluyen la diabetes, hipotiroidismo, presión sanguínea alta, pancreatitis, obesidad y enfermedades crónicas del riñón, el hígado y la circulación.
  • 41.
  • 42.
    DEFINICIÓN: • La resonanciamagnética nuclear permite obtener imágenes detalladas del interior del cuerpo desde cualquier perspectiva, aportando información sobre patologías que no pueden verse con un TAC o una ecografía.
  • 43.
    En la cabezapuede ver tumores, abscesos, aneurismas, sangrado, infartos o lesiones nerviosas. También puede servir para estudiar patologías en los ojos y en el oído o enfermedades degenerativas cerebrales. En el tórax se está utilizando mucho para estudiar la anatomía cardiaca o la patología de las arterias coronarias. También se utiliza en el estudio del cáncer de mama o en caso de tumores del pulmón. En el abdomen y la pelvis permite estudiar con mucho detalle órganos tales como el páncreas, los riñones o el hígado, el útero y los ovarios en mujeres, o la próstata en varones. Allí se pueden encontrar tumores, infecciones, malformaciones, etcétera. ¿POR QUÉ SE HACE UNA RESONANCIA MAGNÉTICA NUCLEAR?
  • 44.
    En muchas ocasiones, pararealizar esta técnica es necesario administrar un líquido llamado contraste que resalta los órganos estudiados y facilita la interpretación de las imágenes. El contraste más utilizado se llama gadolinio y, al contrario que el contraste usado para hacer un TAC, no está compuesto por yodo, por lo que es poco probable que cause efectos secundarios o alergia. Este medio de contraste se administra por vía intravenosa.
  • 46.
  • 47.
    Si tiene quetomar alguna medicación, hágalo con la mínima cantidad de agua. Haga uso de los servicios higiénicos antes de realizarse el examen. Si su examen es con sustancia de contraste, es importante estar en ayuna cuatro (4) horas antes de su cita y presentar un EXAMEN DE CREATININA con mínimo cinco (5) días de vigencia (OBLIGATORIO)
  • 48.
    ¿QUÉ NECESITA HACER DURANTEEL EXAMEN? Usted solo deberá descansar, no moverse durante el examen. Nuestro personal médico estará presente para atenderlo durante el examen y cuando este haya terminado.
  • 49.
    ¿CÓMO DEBE IRVESTIDO? Deberá presentarse con ropa ligera de algodón, no usar ropa sintética con adornos o aplicaciones de metal.
  • 51.
    ¿Quienes no puedensometerse a un examen por Resonancia? El resonador al ser un gran imán atrae algunos objetos metálicos, por más pequeño que sea este. Por tal razón, está prohibido ingresar con: Marcapasos, válvulas cardiacas metálicas, aparatos auditivos. Cualquier implante y/o elemento ferromagnético. Pacientes que tengan perdigones y/o esquirlas ferromagnétic as dentro del cuerpo. Cabello húmedo y/o extensiones, maquillajes permanentes, tatuajes extensos y recientes. Tarjetas de Creditos, teléfonos celulares, llaves, hebillas, vinchas, monedas, joyas, entre otras
  • 52.
    ¿Cuanto tiempo durael examen de RM? El tiempo aproximado es de 15 a 20 minutos, este tiempo puede variar según el tipo de examen. Usted debe acudir 30 minutos antes de su cita.
  • 53.
    BENEFICIOS La RMN esuna técnica de exploración no invasiva que no implica exposición a la radiación ionizante. Las imágenes de RM de la columna son más claras y detalladas que las imágenes que se obtienen con otros métodos de diagnóstico por imágenes. La RMN puede identificar anormalidades, lesiones y enfermedades en la región espinal que podrían no ser detectadas con otros métodos de toma de imágenes. La RMN hace posible descubrir anormalidades que pueden quedar ocultas por los huesos con otros métodos de exploración. El material de contraste utilizado en los exámenes de RMN tiene menos probabilidades de producir una reacción alérgica que los materiales a base de yodo, utilizados para rayos X convencionales y exploraciones por TC.
  • 54.
  • 55.
    ARTRITIS REUMATOIDES • Laartritis reumatoide es una forma de artritis que causa dolor, inflamación, rigidez y pérdida de la función de las articulaciones. Más mujeres que hombres padecen artritis reumatoide. Suele comenzar en la edad mediana y es más común entre los adultos mayores. Usted puede padecer la enfermedad por un corto período o los síntomas pueden aparecer y desaparecer. La forma severa puede durar toda la vida.
  • 56.
    SÍNTOMAS Además de lainflamación de las articulaciones, la artritis reumatoide presenta otros síntomas que pueden indicar que es momento de realizarse una resonancia magnética: • Dolor de articulaciones en pies, manos y rodillas • Fiebre • Pérdida de funciones en las articulaciones • Articulaciones rígidas • Fatiga • Enrojecimiento de articulaciones • Nódulos reumatoides • Calor en las articulaciones • Deformidad en las articulaciones
  • 57.
    DIAGNÓSTICO • Un diagnósticode artritis reumatoide suele involucrar un examen físico, un análisis sanguíneo que detecte la presencia del “factor reumatoide” y una resonancia magnética que permita visualizar con más claridad el daño causado por la enfermedad.
  • 59.
    TENDINITIS Los ligamentos sonbandas fuertes, flexibles y fibrosas de tejido que conectan los músculos con los huesos. Cuando los tendones se inflaman (hinchan), irritan o sufren desgarros microscópicos, la condición se denomina tendinitis. Los tendones pueden ser pequeños, como las bandas frágiles y pequeñísimas en las manos o grandes, como las gruesas cuerdas para tender ropa, que sujetan la pantorrilla o los músculos de los muslos.
  • 60.
    SÍNTOMAS En general, latendinitis causa dolor en los tejidos que rodean la articulación, especialmente después de ejercitarla demasiado durante la práctica de un deporte o en el trabajo. En algunos casos, la articulación podría sentirse débil y el área podría enrojecerse, inflamarse y estar algo caliente si se le toca. Cuando la tendinitis está causada por una infección como la gonorrea, podría haber otros síntomas, incluidos sarpullido, fiebre o flujo de la vagina o el pene
  • 61.
    DIAGNÓSTICO Durante un examenfísico, su médico buscará áreas hipersensibles, inflamadas, enrojecidas, debilidad muscular y movimiento ilimitado en el área del tendón dolorido. Algunas personas podrían necesitar hacerse análisis de sangre para detectar otras causas de inflamación alrededor de la articulación, como gota o artritis reumatoide.

Notas del editor

  • #3 Reacción que se desencadena en una parte del organismo o en los tejidos de un órgano, caracterizada por un enrojecimiento de la zona, aumento de su volumen, dolor, sensación de calor y trastornos funcionales, y que puede estar provocada por agentes patógenos o sustancias irritantes; también puede aparecer como consecuencia de un golpe.