ALEJANDRO PAREDES C.
CARDIÓLOGO ELECTROFISIÓLOGO
HOSPITAL CLÍNICO UC - CHRISTUS
SANTIAGO, NOVIEMBRE 24, 2017.
Sin conflictos de intereses.-
Rutina de interpretación del ECG
1. Análisis del ritmo
2. Cálculo de la frecuencia cardiaca
3. Cálculo del segmento PR y QRS
4. Cálculo del intervalo QT
5. Cálculo del eje eléctrico en el plano frontal
6. Análisis de la morfología de cada una de las ondas.
Tronco	coronario	izquierdo
A.	circunfleja
ADA	proximal
A.	Coronaria	derecha
¿CUÁL ES LA ARTERIA CULPABLE?
A) TRONCO CORONARIO IZQUIERDO
B) ARTERIA DESCENDENTE ANTERIOR
PROXIMAL
C) ARTERIA CIRCUNFLEJA
D) ARTERIA CORONARIA DERECHA
Tronco	coronario	izquierdo
A.	circunfleja
ADA	proximal
A.	coronaria	derecha
IAM CON SDST INFERIOR + BAVC
u Nombre la pared afectada y probable
arteria culpable
u Pared inferior. Arteria coronaria
derecha (ACD)
u ¿Qué derivadas complementarias
solicitaría y qué hallazgos podría
encontrar?
u Derivadas derechas
u SDST en precordiales derechas
u ¿Cuál es el trastorno del ritmo y explique
a qué se puede deber?
u BAVC
u Compromiso de la rama del nodo
AV de la ACD
u ¿Qué medidas terapéuticas indicaría?
u Reperfusión por medio más expedito
u Volemización
u Preparar MP transitorio
u ¿Qué medidas terapéuticas no indicaría
de inicio?
u Nitratos
u Morfina
u Obviamente: iECAs, B-Bloqueo
NAV
80%	ADP	(ACD)
10%	ACx
10%	Mixta
¿Irrigación	colateral	ADA?
NS
55%	ACD
35%	ACx
10%	Mixto
Electrodos	mal	posicionados
Ritmo	auricular	bajo
Situs	inversus
Bloqueo	de	rama	alternante
DIAGNÓSTICO
A) ELECTRODOS MAL POSICIONADOS
B) SITUS INVERSUS
C) RITMO AURICULAR BAJO
D) BLOQUEO DE RAMA ALTERNANTE
Electrodos	mal	posicionados
Ritmo	auricular	bajo
Situs	inversus
Bloqueo	de	rama	alternante
Ley de Einthoven D2 = D1 + D3
Cardioversión	eléctrica
Propranolol
Cedilanid
Amiodarona
ESTRATEGIA TERAPÉUTICA
A) CARDIOVERSIÓN ELECTRICA
B) CEDILANID
C) PROPRANOLOL
D) AMIODARONA
Cardioversión	eléctrica
Propranolol
Cedilanid
Amiodarona
FA PREEXCITADA
u Taquicardia IRREGULAR de complejo ancho.
u FC superior a otras TSV.
u Presencia de onda delta.
u Riesgo de degenerar en FV/TV.
Hipocalcemia
Hipokalemia
Hipercalcemia
Hiperkalemia
TRASTORNO HIDROELECTROLÍTICO
u A) HIPOCALCEMIA
u B) HIPERCALCEMIA
u C) HIPOKALEMIA
u D) HIPERKALEMIA
Hipocalcemia
Hipokalemia
Hipercalcemia
Hiperkalemia
HIPERKALEMIA
u Repolarización anormalmente rápida
u Acortamiento QT + Onda T estrecha y picuda.
u Ensanchamiento QRS + Amplitud Onda P disminuye.
u Prolongación del PR, seguido de BAV 2 ó 3 grado.
u Ondulaciones línea base.
u Asistolía.
Taquicardia	ventricular
FA	preexcitada
TSV	con	aberrancia
Taquicardia	sinusal
¿CUÁL ES EL RITMO?
A) TAQUICARDIA VENTRICULAR
B) TSV CON ABERRANCIA
C) FIBRILACIÓN AURICULAR
PREEXCITADA
D) TAQUICARDIA SINUSAL
Taquicardia	ventricular
FA	preexcitada
TSV	con	aberrancia
Taquicardia	sinusal
XII CURSO ANUAL DE POSTGRADO
Toma de decisiones e Cardiología y
Cirugía Cardiovascular
Brugada,	P.	et	al.	Circulation 1991;	83:	1649–1659.
XII CURSO ANUAL DE POSTGRADO
Toma de decisiones e Cardiología y
Cirugía Cardiovascular
§La concordancia (–):
§TV originada en el VI anteroapical.
§La concordancia (+):
§TV originada en el VI posterobasal, pero tambien puede verse en
taquicardias antidrómicas por HPE posteriores izquierdas.
XII CURSO ANUAL DE POSTGRADO
Toma de decisiones e Cardiología y
Cirugía Cardiovascular
XII CURSO ANUAL DE POSTGRADO
Toma de decisiones e Cardiología y
Cirugía Cardiovascular
XII CURSO ANUAL DE POSTGRADO
Toma de decisiones e Cardiología y
Cirugía Cardiovascular
XII CURSO ANUAL DE POSTGRADO
Toma de decisiones e Cardiología y
Cirugía Cardiovascular
Criterios morfológicos QRS
Patrón	QRS	negativo	en	V1	(BRI)			(Kindwall et	al.)
Criterios morfológicos QRS
Patrón V1 positivo (BRD): TCA y V1 positivo.
Vereckei,	A.	et	al. Heart Rhythm 2008;	5:89–98
XII CURSO ANUAL DE POSTGRADO
Toma de decisiones e Cardiología y
Cirugía Cardiovascular
Taquicardia	ventricular
FA	preexcitada
TSV	con	aberrancia
Taquicardia	sinusal
IAM	con	SDST
Repolarización	precoz
Pericarditis	aguda
Aneurisma	ventricular
DIAGNÓSTICO
A) IAM CON SDST
B) PERICARDITIS AGUDA
C) REPOLARIZACIÓN PRECOZ
D) ANEURISMA VENTRICULAR
IAM	con	SDST
Repolarización	precoz
Pericarditis	aguda
Aneurisma	ventricular
Etapa I
• Elevación difusa del ST (concavidad superior)
• Depresión de PR (excepto en aVR y V1)
• Horas a días
Etapa II
• Normalización de los segmentos ST y PR
Etapa III
• Inversión generalizada de la onda T, posterior a la llegada
del ST a la línea isoeléctrica
Etapa IV
• Retorno a ECG previo a pericarditis o inversión persistente
de T (“pericarditis crónica”)
BAV	1º
BAV	2:1
BAV	2º	Mobitz	I
BAVC
¿CAUSA DE LA BRADICARDIA?
A) BAV 1er grado
B) BAV 2º Mobitz I
C) BAV 2:1
D) BAVC
BAV	1º
BAV	2:1
BAV	2º	Mobitz	I
BAVC
› Primera indicación de MP en el mundo.
› Lugar del bloqueo determina
comportamiento y potencial tratamiento.
› Primer grado
› Segundo grado Benignos
› Mobitz I o Wenckebach
› Mobitz II
› 2:1
› “Alto grado” Malignos
› Tercer grado o BAVC
XII CURSO ANUAL DE POSTGRADO
Tom de decisiones en Cardiología y
Cirugía Cardiovascular
Llamar	al	911
Llamar	a	los	Cardiólogos
Llamar	al	Dr.	House
Multiplicarse	por	0
Llamar	al	911
Llamar	a	los	Cardiólogos
Llamar	al	Dr.	House
Multiplicarse	por	0
¿Qué hacemos y por qué?
A. Call 911!
B. Dr. House
C. Cardiólogos
D. Reconsiderar mi vocación en la vida…
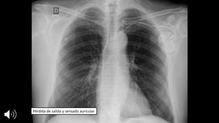
Pérdida	de	salida	y	sensado auricular
Aprender ECG
es la clave!
ALEJANDRO PAREDES C.
FAPAREDES@UC.CL
WWW.SLIDESHARE.NET/JANOMD
@MONTECRISTOMD

Taller interactivo de Electrocardiografía