ALEJANDRO PAREDES C.
CARDIÓLOGO ELECTROFISIÓLOGO
RESIDENTE UNIDAD CORONARIA
SANTIAGO, 29 DE SEPTIEMBRE, 2017.-
ALEJANDRO PAREDES C.
CARDIÓLOGO ELECTROFISIÓLOGO
RESIDENTE UNIDAD CORONARIA
SANTIAGO, 29 DE SEPTIEMBRE, 2017.-
Sin conflictos de intereses.-
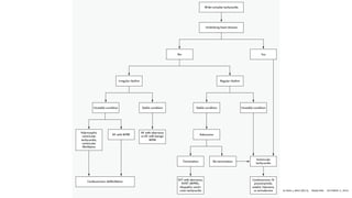
Taquicardias de complejo ancho (TCA)
 Presencia de 3 ó más complejos con QRS
>120 ms
 Frecuencia > 100 lpm
 Sostenidas >30 segundos
Diagnóstico diferencial
 Taquicardia ventricular
 TSV con aberrancia
 TSV preexcitada (FA)
 Taquicardia en paciente con
dispositivo de estimulación cardiaca
80%
20%
Taquicardias de complejo ancho - Población general
TV TSV
95%
5%
Taquicardias de complejo ancho - Antecedentes de cardiopatía
estructural
TV
TSV
Clasificación TV según morfología
MONOMORFA
1) Con cardiopatía estructural
- C. coronaria (IAM previo)
- MCD
- MCH
- DAVD
- Cardiopatias infiltrativas
- PVM/ EAo
- Cardiopatías congénitas
complejas
2) Sin cardiopatía estructural
- TV idiopáticas
POLIMORFAS
(TV polimorfa/FV)
1) C. coronaria, isquemia aguda
2) C. no estructural o canalopatías:
- QT largo adquirido o congénito
- TV polimorfa catecolaminérgica
- Sd Brugada
Puntos clave!
 Desafío diagnóstico y terapéutico.
 Diagnóstico diferencial es fundamental para el manejo y el
pronóstico.
 Del total de TV, el 10% son en corazones estructuralmente
sanos  tratamiento específico no CVE.
 Recordar efectos indeseados
 Adenosina: vasodilatación e hipotensión.
 Verapamilo: hipotensión e inotropismo negativo
Taquicardia ventricular
FA preexcitada
TSV con aberrancia
Taquicardia sinusal
URGENCIA UC
CONCEPTOS 2017
28 – 30 DE SEPTIEMBRE DE 2017 – CENTRO DE EXTENSIÓN UC
medicina.uc.cl
¿Cuál es el ritmo?
A. Taquicardia ventricular
B. Taquicardia supraventricular con aberrancia
C. FA preexcitada
D. Taquicardia sinusal
XII CURSO ANUAL DE POSTGRADO
Toma de decisiones e Cardiología y
Cirugía Cardiovascular
Brugada, P. et al. Circulation 1991; 83: 1649–1659.
XII CURSO ANUAL DE POSTGRADO
Toma de decisiones e Cardiología y
Cirugía Cardiovascular
La concordancia (–):
TV originada en el VI anteroapical.
La concordancia (+):
TV originada en el VI posterobasal, pero tambien puede verse en
taquicardias antidrómicas por HPE posteriores izquierdas.
XII CURSO ANUAL DE POSTGRADO
Toma de decisiones e Cardiología y
Cirugía Cardiovascular
XII CURSO ANUAL DE POSTGRADO
Toma de decisiones e Cardiología y
Cirugía Cardiovascular
XII CURSO ANUAL DE POSTGRADO
Toma de decisiones e Cardiología y
Cirugía Cardiovascular
XII CURSO ANUAL DE POSTGRADO
Toma de decisiones e Cardiología y
Cirugía Cardiovascular
Criterios morfológicos QRS
Patrón QRS negativo en V1 (BRI) (Kindwall et al.)
Criterios morfológicos QRS
Patrón V1 positivo (BRD): TCA y V1 positivo.
Vereckei, A. et al. Heart Rhythm 2008; 5:89–98
XII CURSO ANUAL DE POSTGRADO
Toma de decisiones e Cardiología y
Cirugía Cardiovascular
XII CURSO ANUAL DE POSTGRADO
Toma de decisiones e Cardiología y
Cirugía Cardiovascular
Taquicardia ventricular
FA preexcitada
TSV con aberrancia
Taquicardia sinusal
TCA sin cardiopatía estructural
• TV idiopática
• Prevalencia de 10% de las TV.
• Pronóstico es excelente en la mayoría de los casos
• Clasificación
• Tracto de salida (sensibles a adenosina): VD (80%), VI, cúspides
aórticas
• Fasciculares (sensibles a verapamilo): Izquierda posterior (10-
15%) e izquierda anterior
• Musculo papilares
• Anulares: mitral y tricuspídea
CONSIDERACIONES INICIALES
 ¿Inestabilidad
hemodinámica?  CVE.
 Antec. personales de
taquicardias previas o
DIEC.
 Antecedentes familiares
de taquicardias o MS.
 TSV generalmente en <35
años.
 Uso de medicamentos.
 Tomar un ECG de 12
derivadas siempre que se
pueda!
Gatillantes
 Isquemia miocárdica aguda.
 Trastornos hidroelectrolíticos.
 Deterioro o falla cardiaca
aguda.
 Toxicidad por drogas.
 Prolongación del QT.
Errores comunes…
 La tolerancia clínica no debe condicionar el diagnóstico
 Buena tolerancia depende de función VI previa y
cardiopatía asociada
 Captura y fusiones sólo se observan en un bajo
porcentaje de pacientes
 La disociación AV es un hallazgo muy importante pero
sólo se observa en 40-50% de las TV
 Valorar los antecedentes personales del paciente.
 Antecedentes de IAM  TV (>95% de los casos)
Manejo agudo de las TCA
 TPSV con aberrancia
- Maniobras vagales
- Adenosina
- Verapamilo
 TSV Preexcitada
 CVE
 TV sin cardiopatía estructural
 Adenosina
 Verapamilo
 B-bloqueo
 TV monomorfa con cardiopatía
estructural
- Amiodarona (38%)
- Lidocaina (cardiopatía isquémica)
- Procainamida (67% - estudio
PROCAMIO)
- CVE
 TV polimorfa “Torsade de Pointes”
- CVE - DF
- Magnesio
- Isuprel - SMPT
Eur Heart J 2016;Jun 28:[Epub ahead of print]
BLOQUEO SIMPÁTICO
 Uso de B-bloqueo IV (útil en tormenta eléctrica)
 Sedación con benzodiazepinas y/o propofol
 Sedación profunda + Intubación orotraqueal
 Uso de dispositivos de asistencia ventricular.
 “Toda TCA es TV hasta demostrar lo contrario"
 Importancia fundamental en reconocer gatillantes y manejo de
patología de base (cardiopatía estructural).
 Ante inestabilidad hemodinámica  CVE.
 Únicas medidas demostradas en mejorar sobrevida son B-
bloqueo e implante de ICD.
 Efectividad limitada de la DAA en la conversión de TV.
Conclusiones
XII CURSO ANUAL DE POSTGRADO
Toma de decisiones en Cardiología y
Cirugía Cardiovascular
9 – 11 DE JUNIO DE 2016 – HOTEL CROWNE PLAZA SANTIAGO
medicina.uc.cl
ALEJANDRO PAREDES C.
FAPAREDES@UC.CL
WWW.SLIDESHARE.NET/JANOMD
SANTIAGO, 29 DE SEPTIEMBRE, 2017.-

Taquicardias de complejo ancho

  • 1.
    ALEJANDRO PAREDES C. CARDIÓLOGOELECTROFISIÓLOGO RESIDENTE UNIDAD CORONARIA SANTIAGO, 29 DE SEPTIEMBRE, 2017.-
  • 3.
    ALEJANDRO PAREDES C. CARDIÓLOGOELECTROFISIÓLOGO RESIDENTE UNIDAD CORONARIA SANTIAGO, 29 DE SEPTIEMBRE, 2017.-
  • 4.
    Sin conflictos deintereses.-
  • 6.
    Taquicardias de complejoancho (TCA)  Presencia de 3 ó más complejos con QRS >120 ms  Frecuencia > 100 lpm  Sostenidas >30 segundos
  • 7.
    Diagnóstico diferencial  Taquicardiaventricular  TSV con aberrancia  TSV preexcitada (FA)  Taquicardia en paciente con dispositivo de estimulación cardiaca
  • 8.
    80% 20% Taquicardias de complejoancho - Población general TV TSV
  • 9.
    95% 5% Taquicardias de complejoancho - Antecedentes de cardiopatía estructural TV TSV
  • 10.
    Clasificación TV segúnmorfología MONOMORFA 1) Con cardiopatía estructural - C. coronaria (IAM previo) - MCD - MCH - DAVD - Cardiopatias infiltrativas - PVM/ EAo - Cardiopatías congénitas complejas 2) Sin cardiopatía estructural - TV idiopáticas POLIMORFAS (TV polimorfa/FV) 1) C. coronaria, isquemia aguda 2) C. no estructural o canalopatías: - QT largo adquirido o congénito - TV polimorfa catecolaminérgica - Sd Brugada
  • 12.
    Puntos clave!  Desafíodiagnóstico y terapéutico.  Diagnóstico diferencial es fundamental para el manejo y el pronóstico.  Del total de TV, el 10% son en corazones estructuralmente sanos  tratamiento específico no CVE.  Recordar efectos indeseados  Adenosina: vasodilatación e hipotensión.  Verapamilo: hipotensión e inotropismo negativo
  • 16.
    Taquicardia ventricular FA preexcitada TSVcon aberrancia Taquicardia sinusal
  • 17.
    URGENCIA UC CONCEPTOS 2017 28– 30 DE SEPTIEMBRE DE 2017 – CENTRO DE EXTENSIÓN UC medicina.uc.cl ¿Cuál es el ritmo? A. Taquicardia ventricular B. Taquicardia supraventricular con aberrancia C. FA preexcitada D. Taquicardia sinusal
  • 18.
    XII CURSO ANUALDE POSTGRADO Toma de decisiones e Cardiología y Cirugía Cardiovascular Brugada, P. et al. Circulation 1991; 83: 1649–1659.
  • 19.
    XII CURSO ANUALDE POSTGRADO Toma de decisiones e Cardiología y Cirugía Cardiovascular La concordancia (–): TV originada en el VI anteroapical. La concordancia (+): TV originada en el VI posterobasal, pero tambien puede verse en taquicardias antidrómicas por HPE posteriores izquierdas.
  • 20.
    XII CURSO ANUALDE POSTGRADO Toma de decisiones e Cardiología y Cirugía Cardiovascular
  • 21.
    XII CURSO ANUALDE POSTGRADO Toma de decisiones e Cardiología y Cirugía Cardiovascular
  • 22.
    XII CURSO ANUALDE POSTGRADO Toma de decisiones e Cardiología y Cirugía Cardiovascular
  • 23.
    XII CURSO ANUALDE POSTGRADO Toma de decisiones e Cardiología y Cirugía Cardiovascular
  • 24.
    Criterios morfológicos QRS PatrónQRS negativo en V1 (BRI) (Kindwall et al.)
  • 25.
    Criterios morfológicos QRS PatrónV1 positivo (BRD): TCA y V1 positivo.
  • 26.
    Vereckei, A. etal. Heart Rhythm 2008; 5:89–98
  • 27.
    XII CURSO ANUALDE POSTGRADO Toma de decisiones e Cardiología y Cirugía Cardiovascular
  • 28.
    XII CURSO ANUALDE POSTGRADO Toma de decisiones e Cardiología y Cirugía Cardiovascular
  • 29.
    Taquicardia ventricular FA preexcitada TSVcon aberrancia Taquicardia sinusal
  • 30.
    TCA sin cardiopatíaestructural • TV idiopática • Prevalencia de 10% de las TV. • Pronóstico es excelente en la mayoría de los casos • Clasificación • Tracto de salida (sensibles a adenosina): VD (80%), VI, cúspides aórticas • Fasciculares (sensibles a verapamilo): Izquierda posterior (10- 15%) e izquierda anterior • Musculo papilares • Anulares: mitral y tricuspídea
  • 37.
    CONSIDERACIONES INICIALES  ¿Inestabilidad hemodinámica? CVE.  Antec. personales de taquicardias previas o DIEC.  Antecedentes familiares de taquicardias o MS.  TSV generalmente en <35 años.  Uso de medicamentos.  Tomar un ECG de 12 derivadas siempre que se pueda!
  • 38.
    Gatillantes  Isquemia miocárdicaaguda.  Trastornos hidroelectrolíticos.  Deterioro o falla cardiaca aguda.  Toxicidad por drogas.  Prolongación del QT.
  • 44.
    Errores comunes…  Latolerancia clínica no debe condicionar el diagnóstico  Buena tolerancia depende de función VI previa y cardiopatía asociada  Captura y fusiones sólo se observan en un bajo porcentaje de pacientes  La disociación AV es un hallazgo muy importante pero sólo se observa en 40-50% de las TV  Valorar los antecedentes personales del paciente.  Antecedentes de IAM  TV (>95% de los casos)
  • 46.
    Manejo agudo delas TCA  TPSV con aberrancia - Maniobras vagales - Adenosina - Verapamilo  TSV Preexcitada  CVE  TV sin cardiopatía estructural  Adenosina  Verapamilo  B-bloqueo  TV monomorfa con cardiopatía estructural - Amiodarona (38%) - Lidocaina (cardiopatía isquémica) - Procainamida (67% - estudio PROCAMIO) - CVE  TV polimorfa “Torsade de Pointes” - CVE - DF - Magnesio - Isuprel - SMPT Eur Heart J 2016;Jun 28:[Epub ahead of print]
  • 48.
    BLOQUEO SIMPÁTICO  Usode B-bloqueo IV (útil en tormenta eléctrica)  Sedación con benzodiazepinas y/o propofol  Sedación profunda + Intubación orotraqueal  Uso de dispositivos de asistencia ventricular.
  • 52.
     “Toda TCAes TV hasta demostrar lo contrario"  Importancia fundamental en reconocer gatillantes y manejo de patología de base (cardiopatía estructural).  Ante inestabilidad hemodinámica  CVE.  Únicas medidas demostradas en mejorar sobrevida son B- bloqueo e implante de ICD.  Efectividad limitada de la DAA en la conversión de TV. Conclusiones
  • 53.
    XII CURSO ANUALDE POSTGRADO Toma de decisiones en Cardiología y Cirugía Cardiovascular 9 – 11 DE JUNIO DE 2016 – HOTEL CROWNE PLAZA SANTIAGO medicina.uc.cl
  • 54.

Notas del editor

  • #3 Toda TCA es una TV hasta que se demuestre lo contrario, y deberá ser manejada como tal
  • #8 Complejas interacciones entre el sustrato anatómico, el tono autonómico y el medio celular.
  • #13 Se evitará el tratamiento de dicha arritmia con determinados fármacos utilizados en el tratamiento de las TSV que en las TV con frecuencia provocan efectos indeseables tales como hipotensión severa y parada cardiaca
  • #14 The type and severity of symptoms from electrical storm depends on the ventricular rate, the presence of underlying heart disease, the degree of left ventricular systolic dysfunction, and the presence or absence of therapies delivered by an implantable cardioverter-defibrillator (ICD).
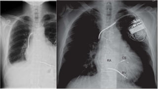
  • #17 TV basal izquierda (anillo mitral)
  • #19 En comparación con el eje durante el RS cambio del eje durante la taquicardia > 40 º sugiere VT. BRD eje de QRS -30 º. BRI eje de QRS 90 º. La concordancia (–): TV originada en el VI anteroapical. La concordancia (+): TV originada en el VI posterobasal, pero tambien puede verse en vías accesorias posteriores.
  • #20 En comparación con el eje durante el RS cambio del eje durante la taquicardia > 40 º sugiere VT. BRD eje de QRS -30 º. BRI eje de QRS 90 º. La concordancia (–): TV originada en el VI anteroapical. La concordancia (+): TV originada en el VI posterobasal, pero tambien puede verse en vías accesorias posteriores.
  • #23 Paciente portador de ICD. TV fuera de rango de detección
  • #24 Captura y fusión
  • #29 El criterio evalúa la duración del comienzo del complejo QRS al primer cambio de polaridad (nadir de la onda Q o pico de la onda R) tomado en la derivación DII. Cuando este valor es mayor o igual a 50 ms, la probabilidad de taquicardia ventricular es muy alta. Pava LF, Perafan P, Badiel M et al. R-wave peak time at DII: a new criterion for differentiating between wide complex QRS tachycardias. Heart Rhythm 2010;7: 922–6
  • #30 EV del TSVI
  • #31 En gente joven
  • #32 TV del TSVD: Sensible a adenosina y b-bloqueo Se exacerba con el ejercicio
  • #33 TV del TSVD: Sensible a adenosina y b-bloqueo
  • #34 TVI fascicular posterior: sensible a Verapamilo
  • #35 FA preexcitada
  • #36 Sd. De Brugada  TV polimorfa
  • #37 TPSV con aberrancia
  • #39 Complejas interacciones entre el sustrato anatómico, el tono autonómico y el medio celular.
  • #47 Se consiguió la cardioversión a ritmo sinusal en el 53% de los pacientes, con una eficacia significativamente superior en el caso de la procainamida (67 vs. 38%; OR 3,3; p=0,041).