UNIVERSIDAD NACIONAL DE
        COLOMBIA
      FACULTAD DE MEDICINA
DEPARTAMENTO DE MICROBIOLOGIA
 ASPECTOS MICROBIOLOGICOS DE LAS
          MICOBACTERIAS
              2013
TUBERCULOSIS
 GENITOURINARIA
LEONARDO FAVIO JURADO ZAMBRANO
         MICOBAC – UN
              2013
TUBERCULOSIS GENITOURINARIA


Aunque es poco común, la tuberculosis
  genitourinaria después del compromiso
  pleural y ganglionar es el sitio más común de
  infección por tuberculosis extrapulmonar.
La epidemiologia varia según el lugar.
Distribución de la tuberculosis
    extrapulmonar por el sitio
principal de la enfermedad, EE.UU
Introducción

En 1908, Ekehorn propuso la teoría de la
  diseminación hematógena, que describe que
  los bacilos llegan hasta el parénquima renal
  como microembolos, se siembran y
  convierten en un foco de infección para el TU.
Entonces el tracto urinario se infecta
  secundariamente a través de la orina.
Al utilizar el término "tuberculosis
  genitourinaria", Wildbolz (1937) apoya la teoría
  de que la tuberculosis renal y del epidídimo no
  constituyen enfermedades separadas.
Esta hipótesis fue confirmada en 1949 por
  Medlar, que muestra que los cambios corticales
  renales inducidas por la tuberculosis son una
  "metástasis" transmitida por vía hematógena.
Introducción
La edad media de presentación de los pacientes con
   tuberculosis genitourinaria es de 43 años, la relación H:M
   es de aproximadamente 3:1.
La tuberculosis renal es poco frecuente en los niños debido a
   que el período de incubación es de varios años.
Los pacientes adictos a drogas intravenosas y VIH positivos
   tienen gran riesgo de desarrollar tuberculosis.
Es importante tener en cuenta que la tuberculosis es tal vez
   la única enfermedad de los pacientes con SIDA que es
   transmisible a las personas tanto inmunocompetentes
   como inmunosuprimidos, incluidos los trabajadores de la
   salud. Tan solo por un contacto espacial.
Patogenia
M. tuberculosis llega a los órganos
  genitourinarios, especialmente los riñones, por vía
  hematógena, a partir de tuberculosis pulmonar
  primaria. Los bacilos se siembran en los capilares
  periglomerulares, dando lugar a la formación de
  abscesos.
Los riñones, próstata y las vesículas seminales son a
  menudo los sitios primarios de tuberculosis
  genitourinaria. La vejiga y los otros órganos genitales
  se involucran por la anatomía y función del aparato
  urinario.
Patogenia
El desarrollo de la enfermedad depende de la interacción
   entre el patógeno y la respuesta inmune del
   huésped. Es la respuesta inmune celular, que toma
   varios días a varias semanas, determina el resultado de
   la infección. La curación espontánea es la respuesta
   habitual.
Se forman granulomas corticales, no visibles en
   procedimientos de imagen rutinarios.
Estos contienen bacilos latentes que pueden permanecer
   viables, por lo cual tienen el potencial para reactivarse
   y multiplicarse años más tarde.
Esto puede ocurrir como una consecuencia de los
   cambios en la inmunidad del huésped.
Patogenia
Con el tiempo, los granulomas inflamatorios
  confluyen, caseifican y se extienden hasta la médula
  renal, con la resultante inflamación y necrosis de la
  papila renal.
Las lesiones del parénquima se comunican con el sistema
  colector por medio de la formación de ulceraciones
  caliciales.
La extensa calcificación que causa cálculos renales o
  considerables cambios parenquimatosos pueden verse
  en hasta el 24% de los pacientes.
Subsecuentemente se produce una extensión anterógrada
  afectando el sistema colector, uréter y la vejiga.
  Produciendo cambios inflamatorios y cicatriciales cuyo
  resultado es la uropatía obstructiva.
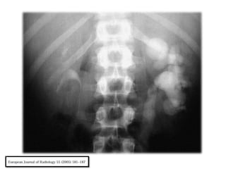
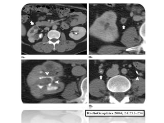
Riñones
La afectación bilateral se encuentra hasta en el 20- 30 % de los
   casos.
En la radiografía simple, un tamaño renal variable puede
   apreciarse.
Las Calcificaciones, que ocurren en más de 50% de los
   pacientes, puede adoptar varias formas. Pueden ser
   focales, que se producen en los restos de caseum, o como
   cálculos en el sistema colector.
En los casos de tuberculosis en fase terminal, las
   calcificaciones características que muestra una distribución
   lobar son menudo encontradas.
En última instancia, un riñón totalmente calcificado y no util
   puede verse, que representa etapa final de
   enfermedad, denominada autonefrectomia.
Compromiso renal
Hallazgos coexistentes, tales como lesiones
  destructivas de los cuerpos vertebrales y
  calcificaciones de los tejidos y los músculos
  paravertebrales (psoas) el contexto de un
  absceso frío, se pueden encontrar.
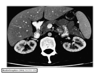
Las calcificaciones en el hígado, el bazo, las
  glándulas suprarrenales y los ganglios linfáticos
  abdominales son otras de las lesiones
  frecuentemente encontradas.
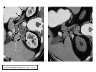
Uréter
Un aspecto andrajoso adopta el ureter cuando se ve
   afectado por la tuberculosis.
El uréter puede dilatarse, en respuesta a la obstrucción de
   la unión ureterovesical, a reflujo vesicoureteral o
   secundaria a la presencia de bacilos en su luz.
Múltiples sitios de estenosis se suelen
   encontrar, generalmente afectando los sitio de
   estrechamiento normal, comúnmente involucran al
   tercio distal del uréter.
La calcificación extensa o engrosamiento del uréter
   conocida como “ureter en tuvo de vastago”, cuando se
   encuentra se suele relacionar con pionefrosis o
   autonefrectomia.
Vejiga
Los cambios tempranos en la vejiga
  generalmente se desarrollan alrededor de los
  orificios ureterales.
Se produce un engrosamiento de sus
  paredes, ocasionalmente se encuentran
  pequeñas calcificaciones.
Es frecuente encontrar defectos del llenado
  vesical que son confundidos con carcinomas de
  células de transición.
Los cambios inflamatorios resultantes (capacidad
  vesical reducida) son evidenciados en los
  estudios de cistografía.
TRACTO GENITAL MASCULINO
Tuberculosis genital masculina se presenta a menudo
  con junto a la afectación de varios sitios dentro o
  fuera del tracto genitourinario y los pacientes
  pueden presentar signos y síntomas derivados
  desde ese sitio, aunque estos pueden
  superponerse. Por ejemplo la disuria y la
  frecuencia urinaria son hallazgos comunes tanto en
  la TB renal como prostático, aunque la primera a
  menudo se asocia a dolor en zona lumbar.
Los síntomas constitucionales sugieren enfermedad
  extragenital concomitante.
INTRODUCCION.
Hay casos inusuales donde el pulmón no es por
  donde entra la bacteria.
La transmisión sexual ha sido reportada,
  micobacterias viables se han encontrado en el
  semen de hombres con prostatitis tuberculosis.
Un caso de tuberculosis endometrial aislada se
  describió en una mujer cuyo marido había tenido
  una lesión por tuberculosis en la piel de su pene, el
  caso se confirmo por tipia molecular.
La tuberculosis primaria de pene también se ha
  descrito en 72 pacientes después de la circuncisión
  ritual realizado por enfermos de TB.
Presentación clínica
Los síntomas más frecuentes de afectación
  prostática son la frecuencia urinaria y nicturia.
Otros síntomas urinarios como disuria, hematuria y
  hematospermia también ocurren en la afectación
  prostática; urgencia urinaria se presenta cuando
  la vejiga se ve afectada.
En los casos de orquitis o epididimitis, una masa
  escrotal indolora es la queja más frecuente,
  aunque el 19.7% de los pacientes se presentan
  con dolor que puede irradiarse a la ingle, el muslo
  o en los testículos.
La afectación del pene por lo general se manifiesta
  como úlceras en el glande o la piel.
Presentación clínica
En el examen físico, varias características pueden ser
  sugestivas de tuberculosis genital:
 Un epidídimo agrandado, duro, e indoloro; conductos
  deferentes con engrosamiento en cuentas, una próstata
  indurada o nodular, o cualquier masa testicular no
  dolorosa. El edema escrotal también puede estar
  presente (10%).
En etapas tardías de la enfermedad, puede producirse
  ruptura de las lesiones en la uretra o el
  perineo, provocando fístulas, incluso fístulas escrotales
  pueden verse en el 11-50% de los pacientes.
Se pueden encontrar linfadenopatías inguinales.
Los hallazgos clínicos puede ser uni o bilateral.
Hallazgos de laboratorio
El análisis de orina es anormal en el 77-90% de los
   pacientes con tuberculosis genitourinaria, el
   hallazgo clásico es piuria estéril, aunque hasta el
   31% de los hombres tienen bacterias en la orina,
   por lo general Escherichia coli.
La proteinuria leve se detecta hasta en el 41% de los
   pacientes, hematuria también puede
   encontrarse.
La infección micobacteriana puede inducir la
   producción de gonadotropina coriónica humana
   como sustancia detectable en el laboratorio lo
   que sugiere un tumor de células germinales.
Hallazgos de laboratorio
Por lo general se toman tres muestras de orina en la mañana
   para cultivo , el líquido obtenido mediante masaje
   prostático también se puede utilizar.
En tuberculosis genitourinaria, la tinción para BAAR en orina,
   tienen una sensibilidad 52% más alta que el
   cultivo. Mycobacterium smegmatis , un comensal del
   tracto genitourinario, y fragmentos de esperma podría dar
   resultados falsos positivos.
Sin embargo, el cultivo considerado durante mucho tiempo el
   estándar de oro para el diagnóstico, también puede ser
   insensible.
Las pruebas moleculares de la orina, son útiles herramientas
   para el diagnóstico rápido, tales pruebas fueron de 94% de
   sensibilidad, en comparación con el 37% para los cultivos
   de orina, en pacientes con sospecha de tuberculosis renal.
DIAGNOSTICO
Los médicos confían en gran medida en el cultivo de
   orina, sobre todo cuando la PCR no está fácilmente
   disponible y además la obtención de tejidos para la
   cultivo puede ser problemático.
El análisis por PCR de la orina tiene una especificidad y
   sensibilidad de 95,6% y 98,1%, respectivamente, para
   la tuberculosis renal. Para tuberculosis genital, estos
   valores probablemente son menores puesto que la
   cantidad de M. tuberculosis puede no ser tan alta
   como con tuberculosis renal, los sitios afectados no
   pueden estar en contacto directo con la orina, y la
   orina misma no puede estar infectado.
Epidídimo
La principal vía de infección del epidídimo es la
   diseminación hematógena, así como la siembra
   retrógrada desde la próstata a través del conducto
   deferente.
Clínicamente, los pacientes pueden presentar
   inflamación del escroto, dolor e incluso
   secreción. Algunos pacientes también pueden
   presentar síntomas irritativos del tracto urinario
   inferior.
Debido a que las lesiones suelen ser unilaterales,
   pueden ser difíciles de diferenciar de otras masas
   benignas.
La tuberculosis se sospecha a menudo sólo después de
   que los granulomas se encuentran en patología.
Testículo
La tuberculosis del testículo generalmente se
  asocia con la infección del epidídimo. Infección
  aislada del testículo sin afectación del epidídimo
  es un evento muy raro.
 Una masa testicular asociado a lesiones del
  epidídimo es muy sugestiva de una lesión no
  neoplásico.
Próstata
La Tuberculosis de la próstata suele ser secundaria a la
   infección del tracto urinario superior.
Necrosis, calcificación, necrosis caseosa son las
   manifestaciones patológicas comúnmente
   encontradas.
Sin embargo, cuando no hay calcificación, la infección
   prostática no se pueden distinguir de los abscesos
   piógenos.
Además, el antígeno prostático específico (PSA) puede
   ser elevada en aproximadamente el tercio de los
   pacientes .
Sin antecedentes de afectación de otros órganos por
   tuberculosis, el diagnóstico generalmente se obtiene
   después de la biopsia.
PENE
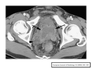
Tracto genital femenino
La tuberculosis genital femenina es rara.
Las trompas de Falopio son las más comúnmente
  afectados (90%), seguidas por el endometrio
  (50%).
La tuberculosis genital puede conducir a la
  infertilidad.
Desde las trompas, la enfermedad puede
  propagarse hasta el peritoneo y causar
  peritonitis, así como a la cavidad uterina para
  causando endometritis.
Int J Gynaecol Obstet.2012 Apr;117(1):85-6.
PRESENTACIÓN CLÍNICA
Las pacientes pueden manifestar dolor crónico,
  infertilidad o sangrado vaginal.
En algunos casos pueden presentar síntomas agudos
  similares a la enfermedad inflamatoria pélvica por
  otras causas.
Cuando se sospeche la enfermedad, la
  histerosalpingografía se indica. Prácticamente todos las
  pacientes tendrán hallazgos anormales.
Varios criterios diagnósticos se han descrito: los ganglios
  linfáticos calcificados o calcificaciones pequeñas en las
  regiones anexiales, obstrucción del tubo entre el istmo
  y la ampolla, adherencias endometriales y en las
  trompas sin antecedentes de legrado o aborto.
Tuberculosis genitourinaria y abdominal.

Tuberculosis genitourinaria y abdominal.

  • 1.
    UNIVERSIDAD NACIONAL DE COLOMBIA FACULTAD DE MEDICINA DEPARTAMENTO DE MICROBIOLOGIA ASPECTOS MICROBIOLOGICOS DE LAS MICOBACTERIAS 2013
  • 2.
    TUBERCULOSIS GENITOURINARIA LEONARDO FAVIOJURADO ZAMBRANO MICOBAC – UN 2013
  • 3.
    TUBERCULOSIS GENITOURINARIA Aunque espoco común, la tuberculosis genitourinaria después del compromiso pleural y ganglionar es el sitio más común de infección por tuberculosis extrapulmonar. La epidemiologia varia según el lugar.
  • 4.
    Distribución de latuberculosis extrapulmonar por el sitio principal de la enfermedad, EE.UU
  • 5.
    Introducción En 1908, Ekehornpropuso la teoría de la diseminación hematógena, que describe que los bacilos llegan hasta el parénquima renal como microembolos, se siembran y convierten en un foco de infección para el TU. Entonces el tracto urinario se infecta secundariamente a través de la orina.
  • 6.
    Al utilizar eltérmino "tuberculosis genitourinaria", Wildbolz (1937) apoya la teoría de que la tuberculosis renal y del epidídimo no constituyen enfermedades separadas. Esta hipótesis fue confirmada en 1949 por Medlar, que muestra que los cambios corticales renales inducidas por la tuberculosis son una "metástasis" transmitida por vía hematógena.
  • 7.
    Introducción La edad mediade presentación de los pacientes con tuberculosis genitourinaria es de 43 años, la relación H:M es de aproximadamente 3:1. La tuberculosis renal es poco frecuente en los niños debido a que el período de incubación es de varios años. Los pacientes adictos a drogas intravenosas y VIH positivos tienen gran riesgo de desarrollar tuberculosis. Es importante tener en cuenta que la tuberculosis es tal vez la única enfermedad de los pacientes con SIDA que es transmisible a las personas tanto inmunocompetentes como inmunosuprimidos, incluidos los trabajadores de la salud. Tan solo por un contacto espacial.
  • 8.
    Patogenia M. tuberculosis llegaa los órganos genitourinarios, especialmente los riñones, por vía hematógena, a partir de tuberculosis pulmonar primaria. Los bacilos se siembran en los capilares periglomerulares, dando lugar a la formación de abscesos. Los riñones, próstata y las vesículas seminales son a menudo los sitios primarios de tuberculosis genitourinaria. La vejiga y los otros órganos genitales se involucran por la anatomía y función del aparato urinario.
  • 10.
    Patogenia El desarrollo dela enfermedad depende de la interacción entre el patógeno y la respuesta inmune del huésped. Es la respuesta inmune celular, que toma varios días a varias semanas, determina el resultado de la infección. La curación espontánea es la respuesta habitual. Se forman granulomas corticales, no visibles en procedimientos de imagen rutinarios. Estos contienen bacilos latentes que pueden permanecer viables, por lo cual tienen el potencial para reactivarse y multiplicarse años más tarde. Esto puede ocurrir como una consecuencia de los cambios en la inmunidad del huésped.
  • 11.
    Patogenia Con el tiempo,los granulomas inflamatorios confluyen, caseifican y se extienden hasta la médula renal, con la resultante inflamación y necrosis de la papila renal. Las lesiones del parénquima se comunican con el sistema colector por medio de la formación de ulceraciones caliciales. La extensa calcificación que causa cálculos renales o considerables cambios parenquimatosos pueden verse en hasta el 24% de los pacientes. Subsecuentemente se produce una extensión anterógrada afectando el sistema colector, uréter y la vejiga. Produciendo cambios inflamatorios y cicatriciales cuyo resultado es la uropatía obstructiva.
  • 12.
    Riñones La afectación bilateralse encuentra hasta en el 20- 30 % de los casos. En la radiografía simple, un tamaño renal variable puede apreciarse. Las Calcificaciones, que ocurren en más de 50% de los pacientes, puede adoptar varias formas. Pueden ser focales, que se producen en los restos de caseum, o como cálculos en el sistema colector. En los casos de tuberculosis en fase terminal, las calcificaciones características que muestra una distribución lobar son menudo encontradas. En última instancia, un riñón totalmente calcificado y no util puede verse, que representa etapa final de enfermedad, denominada autonefrectomia.
  • 17.
    Compromiso renal Hallazgos coexistentes,tales como lesiones destructivas de los cuerpos vertebrales y calcificaciones de los tejidos y los músculos paravertebrales (psoas) el contexto de un absceso frío, se pueden encontrar. Las calcificaciones en el hígado, el bazo, las glándulas suprarrenales y los ganglios linfáticos abdominales son otras de las lesiones frecuentemente encontradas.
  • 20.
    Uréter Un aspecto andrajosoadopta el ureter cuando se ve afectado por la tuberculosis. El uréter puede dilatarse, en respuesta a la obstrucción de la unión ureterovesical, a reflujo vesicoureteral o secundaria a la presencia de bacilos en su luz. Múltiples sitios de estenosis se suelen encontrar, generalmente afectando los sitio de estrechamiento normal, comúnmente involucran al tercio distal del uréter. La calcificación extensa o engrosamiento del uréter conocida como “ureter en tuvo de vastago”, cuando se encuentra se suele relacionar con pionefrosis o autonefrectomia.
  • 22.
    Vejiga Los cambios tempranosen la vejiga generalmente se desarrollan alrededor de los orificios ureterales. Se produce un engrosamiento de sus paredes, ocasionalmente se encuentran pequeñas calcificaciones. Es frecuente encontrar defectos del llenado vesical que son confundidos con carcinomas de células de transición. Los cambios inflamatorios resultantes (capacidad vesical reducida) son evidenciados en los estudios de cistografía.
  • 24.
    TRACTO GENITAL MASCULINO Tuberculosisgenital masculina se presenta a menudo con junto a la afectación de varios sitios dentro o fuera del tracto genitourinario y los pacientes pueden presentar signos y síntomas derivados desde ese sitio, aunque estos pueden superponerse. Por ejemplo la disuria y la frecuencia urinaria son hallazgos comunes tanto en la TB renal como prostático, aunque la primera a menudo se asocia a dolor en zona lumbar. Los síntomas constitucionales sugieren enfermedad extragenital concomitante.
  • 25.
    INTRODUCCION. Hay casos inusualesdonde el pulmón no es por donde entra la bacteria. La transmisión sexual ha sido reportada, micobacterias viables se han encontrado en el semen de hombres con prostatitis tuberculosis. Un caso de tuberculosis endometrial aislada se describió en una mujer cuyo marido había tenido una lesión por tuberculosis en la piel de su pene, el caso se confirmo por tipia molecular. La tuberculosis primaria de pene también se ha descrito en 72 pacientes después de la circuncisión ritual realizado por enfermos de TB.
  • 26.
    Presentación clínica Los síntomasmás frecuentes de afectación prostática son la frecuencia urinaria y nicturia. Otros síntomas urinarios como disuria, hematuria y hematospermia también ocurren en la afectación prostática; urgencia urinaria se presenta cuando la vejiga se ve afectada. En los casos de orquitis o epididimitis, una masa escrotal indolora es la queja más frecuente, aunque el 19.7% de los pacientes se presentan con dolor que puede irradiarse a la ingle, el muslo o en los testículos. La afectación del pene por lo general se manifiesta como úlceras en el glande o la piel.
  • 27.
    Presentación clínica En elexamen físico, varias características pueden ser sugestivas de tuberculosis genital: Un epidídimo agrandado, duro, e indoloro; conductos deferentes con engrosamiento en cuentas, una próstata indurada o nodular, o cualquier masa testicular no dolorosa. El edema escrotal también puede estar presente (10%). En etapas tardías de la enfermedad, puede producirse ruptura de las lesiones en la uretra o el perineo, provocando fístulas, incluso fístulas escrotales pueden verse en el 11-50% de los pacientes. Se pueden encontrar linfadenopatías inguinales. Los hallazgos clínicos puede ser uni o bilateral.
  • 28.
    Hallazgos de laboratorio Elanálisis de orina es anormal en el 77-90% de los pacientes con tuberculosis genitourinaria, el hallazgo clásico es piuria estéril, aunque hasta el 31% de los hombres tienen bacterias en la orina, por lo general Escherichia coli. La proteinuria leve se detecta hasta en el 41% de los pacientes, hematuria también puede encontrarse. La infección micobacteriana puede inducir la producción de gonadotropina coriónica humana como sustancia detectable en el laboratorio lo que sugiere un tumor de células germinales.
  • 29.
    Hallazgos de laboratorio Porlo general se toman tres muestras de orina en la mañana para cultivo , el líquido obtenido mediante masaje prostático también se puede utilizar. En tuberculosis genitourinaria, la tinción para BAAR en orina, tienen una sensibilidad 52% más alta que el cultivo. Mycobacterium smegmatis , un comensal del tracto genitourinario, y fragmentos de esperma podría dar resultados falsos positivos. Sin embargo, el cultivo considerado durante mucho tiempo el estándar de oro para el diagnóstico, también puede ser insensible. Las pruebas moleculares de la orina, son útiles herramientas para el diagnóstico rápido, tales pruebas fueron de 94% de sensibilidad, en comparación con el 37% para los cultivos de orina, en pacientes con sospecha de tuberculosis renal.
  • 30.
    DIAGNOSTICO Los médicos confíanen gran medida en el cultivo de orina, sobre todo cuando la PCR no está fácilmente disponible y además la obtención de tejidos para la cultivo puede ser problemático. El análisis por PCR de la orina tiene una especificidad y sensibilidad de 95,6% y 98,1%, respectivamente, para la tuberculosis renal. Para tuberculosis genital, estos valores probablemente son menores puesto que la cantidad de M. tuberculosis puede no ser tan alta como con tuberculosis renal, los sitios afectados no pueden estar en contacto directo con la orina, y la orina misma no puede estar infectado.
  • 32.
    Epidídimo La principal víade infección del epidídimo es la diseminación hematógena, así como la siembra retrógrada desde la próstata a través del conducto deferente. Clínicamente, los pacientes pueden presentar inflamación del escroto, dolor e incluso secreción. Algunos pacientes también pueden presentar síntomas irritativos del tracto urinario inferior. Debido a que las lesiones suelen ser unilaterales, pueden ser difíciles de diferenciar de otras masas benignas. La tuberculosis se sospecha a menudo sólo después de que los granulomas se encuentran en patología.
  • 33.
    Testículo La tuberculosis deltestículo generalmente se asocia con la infección del epidídimo. Infección aislada del testículo sin afectación del epidídimo es un evento muy raro. Una masa testicular asociado a lesiones del epidídimo es muy sugestiva de una lesión no neoplásico.
  • 35.
    Próstata La Tuberculosis dela próstata suele ser secundaria a la infección del tracto urinario superior. Necrosis, calcificación, necrosis caseosa son las manifestaciones patológicas comúnmente encontradas. Sin embargo, cuando no hay calcificación, la infección prostática no se pueden distinguir de los abscesos piógenos. Además, el antígeno prostático específico (PSA) puede ser elevada en aproximadamente el tercio de los pacientes . Sin antecedentes de afectación de otros órganos por tuberculosis, el diagnóstico generalmente se obtiene después de la biopsia.
  • 37.
  • 39.
    Tracto genital femenino Latuberculosis genital femenina es rara. Las trompas de Falopio son las más comúnmente afectados (90%), seguidas por el endometrio (50%). La tuberculosis genital puede conducir a la infertilidad. Desde las trompas, la enfermedad puede propagarse hasta el peritoneo y causar peritonitis, así como a la cavidad uterina para causando endometritis. Int J Gynaecol Obstet.2012 Apr;117(1):85-6.
  • 40.
    PRESENTACIÓN CLÍNICA Las pacientespueden manifestar dolor crónico, infertilidad o sangrado vaginal. En algunos casos pueden presentar síntomas agudos similares a la enfermedad inflamatoria pélvica por otras causas. Cuando se sospeche la enfermedad, la histerosalpingografía se indica. Prácticamente todos las pacientes tendrán hallazgos anormales. Varios criterios diagnósticos se han descrito: los ganglios linfáticos calcificados o calcificaciones pequeñas en las regiones anexiales, obstrucción del tubo entre el istmo y la ampolla, adherencias endometriales y en las trompas sin antecedentes de legrado o aborto.