DEFINICIÓN
Enfermedad pulmonar crónica causada por
bacterias pertenecientes al complejo de
Mycobacterium tuberculosis. Esta enfermedad
suele asentar en los pulmones, pero en 33% de
los casos afecta a otros órganos.
NECROSE CASEOSA: é um tipo de necrose de
coagulação. O exemplo clássico é a
tuberculose. O termo caseoso deriva da
aparência macroscópica do tecido envolvido,
semelhante a um queijo branco. À microscopia,
é possível observar fragmentos granulosos
amorfos cercados por uma borda inflamatória,
chamados de granulomas.
AGENTE
Mycobacterium Tuberculosis
Familia Mycobacteriaceae
Orden Actinomycetales
Bacteria aerobia fina
No esporógena .Cilíndrica
Mide 0.5 por 3 µm
 Las micobacterias, incluida la cepa
de M. tuberculosis, suelen no captar
el colorante de Gram (son neutras).
Sin embargo, una vez teñidos, los
bacilos no pueden cambiar de color
con el alcohol ni los ácidos, una
propiedad que los caracteriza como
bacilos acidorresistentes.
MECANISMO DE
TRANSMICION
   Estas gotas diminutas se
      secan pronto;
       las menores (<10 mm de
           diámetro) pueden
      permanecer suspendidas
      en el aire durante horas y
           alcanzar las vías
        respiratorias terminales
           al ser inhaladas.
PATOGENIA
 La interacción de M.
tuberculosis con el hospedero
humano comienza cuando las
gotitas infecciosas de los
pacientes contagiosos son
inhaladas por alguna persona.
La mayor parte de los bacilos
quedan atrapados en las vías
respiratorias superiores y son
introducidas a vías aéreas
bajas por el barrido ciliar de
las células de la mucosa y
llegan hasta los alvéolos.
INMUNIDAD
      Se produce una reacción de
hipersensibilidad retardada a diversos
   antígenos bacilares y destruye los
macrófagos no activados que albergan
a los bacilos en fase de multiplicación.
En la mayoría de personas infectadas
   los macrófagos locales se activan
     cuando los antígenos bacilares
    procesados por los macrófagos
   estimulan los linfocitos T para que
       liberen diversas linfocinas.
PERIODO DE INCUBACION

Desde el momento de la infección hasta
que aparece la lesión primaria o una
reacción tuberculinica significativa, es
de 4 a 12 semanas, aproximadamente.

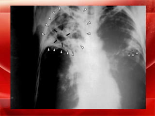
   TUBERCULOSIS PULMONAR
La tuberculosis pulmonar puede ser :
Primaria
Postprimaria (secundaria).
TUBERCULOSIS PRIMARIA
La tuberculosis pulmonar primaria es la que
aparece consecutivamente a la infección inicial
por el bacilo tuberculoso.

      TUBERCULOSIS SECUNDARIA
Llamada también tuberculosis secundaria, de
reactivación, o de tipo adulto.

    PERIODO DE TRANSMISIBILIDAD
 Todo el tiempo durante el que se expulsan en el
esputo bacilos tuberculosos viables.
(tres meses) .
MANIFESTACIONE
  S CLINICAS
Tos persistente con
expectoración por 15
días o mas.
El esputo suele ser
escaso y no purulento
Dolor torácico.
Perdida de peso y
apetito ,Fiebre
“Sudoración en la
noche”.
EPIDEMIOLOGIA
Los ancianos y niños. personas están en riesgo de
tuberculosis activa.
Las personas con sistemas inmunitarios debilitados.
El riesgo de contraer la tuberculosis aumenta si la
persona:
•Está en contacto frecuente con personas que padecen la
enfermedad
•Vive en condiciones de vida insalubres o de hacinamiento
•Desnutricion.
Factores pueden incrementar la tasa de infección
tuberculosa en una población:
•Aumento de las infecciones por VIH.
•Aumento en el número de personas sin hogar.
•Aparición de cepas de la tuberculosis resistentes a las
drogas.
TUBERCULOSIS EXTRAPULMONAR
M. Tuberculosis desde las fases iniciales puede producir
diseminaciones, por vía linfática o hematógena a
cualquier órgano o tejido del organismo.
   TUBERCULOSIS EXTRAPULMONAR GRAVES y
              MENOS GRAVES
Meníngea Ganglionar Milliar Pleural unilateral
Pericárdica Ósea (no raquídea) ,Peritoneal, Cutánea,
Pleura bilateral.Articular ,vertebral ,Intestinal ,Genito
urinario.
             TUBERCULOSIS PLEURAL
 Las lesiones de la pleura son frecuentes en la
tuberculosis primaria y se deben a la penetración de
algunos bacilos tuberculosos en el espacio pleural.
TUBERCULOSIS OSTEOARTICULAR
La patogenia de la tuberculosis osteoarticular
guarda relación con la reactivación de focos
hematógenos o con una diseminación
procedente de los ganglios linfáticos
paravertebrales próximos
      TUBERCULOSIS GENITOURINARIA
 La tuberculosis genitourinaria representa
alrededor de 15% de todos los casos de
tuberculosis extrapulmonar, puede afectar a
cualquier tramo del aparato genitourinario, y
suele deberse a la siembra hematógena que sigue
a la infección primaria
MENINGITIS TUBERCULOSA
La meningitis tuberculosa se debe a una diseminación
hematógena de la lesión pulmonar primaria o
posprimaria, o a la rotura de un tubérculo
subependimario en el espacio subaracnoideo.

        TUBERCULOSIS DIGESTIVA
Cualquier tramo del tubo digestivo puede
resultar afectado por la tuberculosis al
intervenir diversos mecanismos: deglución de
los esputos, diseminación hematógena, la
ingestión de la leche de vacas enfermas de
tuberculosis bovina.
PERITONITIS TUBERCULOSA
Aparece después de una siembra directa de
bacilos tuberculosos procedentes de los
órganos intraabdominales o de unos ganglios
linfáticos con presencia de ruptura, o bien a
causa de una siembra hematógena

        TUBERCULOSIS PERICARDICA
 Una enfermedad propia de los ancianos en los
países con una prevalencia escasa de control y
tratamiento de tuberculosis, pero se observa
con frecuencia en los pacientes infectados por
el VIH.
La hepatitis Tuberculosa

La hepatitis Tuberculosa es una entidad bien diferenciada, que se
caracteriza por el hallazgo histológico de granulomas en la biopsia
hepática. El granuloma tuberculoso está constituido por una agregación
central, focal y vascularizada, de células epitelioides, rodeadas por
proliferación fibroblástica e infiltrado inflamatorio crónico de linfocitos y
células plasmáticas.
Su frecuencia varía según las series de las biopsias hepáticas.
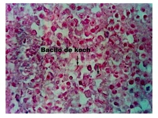
Bacilo de koch
Fig.2.4 .Granuloma que se completa con la presencia de macrófagos,linfocitos y
fibroblastos periféricos y células de Langhans/núcleos dispuestos en la periferia
formando una herradura.NECROSIS FOCAL.
Figura 1: A) Lesión multifocal correspondiente a granulomatosas.
H&E. B) Granuloma tuberculoso: se observa un foco central de
necrosis rodeado de células epiteliodes y células gigantes tipo
Langhans..collar de fibroblastos entremezclado con linfocitos y
macrófagos.
C) Granuloma tuberculoso: Presencia de bacilos ácido
alcohol resistentes (flechas). Ziehl-Neelssen. 40x;
D) Piel: Ulcera tuberculosa. H&E.
COMPLICACIONES

•Derrame pleural
•Linfadenitis periférica
•Hemoptisis
•Empiema o fístula broncopleural

                         PREVENCION.
•Cubrirse la boca al toser(barbijo).
•Cubrirse la nariz al estornudar
•Diagnostico inmediato
•Control apropiado
•Tratamiento apropiado
•Vacunación con BCG
•La ventilación adecuada de las habitaciones de los pacientes
VACUNACION CON BCG. BCG = Bacilo Calmette
Guerin

Cepa atenuada de M. bovis,1921.
Es innocua y rara vez causa complicaciones graves.
Una sola aplicación por vía I.D
INDICACIONES DE LA BCG Debe aplicarse a todos los R.N
con un peso al nacer de 2.500gramos(5 libras.8 onzas).
Cuya madre sea (+) al VIH debe primero descartar
infección por el retrovirus antes de recibir la vacunación.
2. Contraindicaciones.
Posponer la aplicación R.N con menos de 2.500 gramos
de peso.
Niños con SIDA.
DIAGNOSTICO
Se solicitaran 3 muestras.
La expectoración es mediante la inhalación de nebulaciones con
solución salina hipertónica lo cual facilita el despegue de las
secreciones bronquiales.
BACILOSCOPIA. Es muy importante ya que le ayudara al medico
en el diagnostico de la tuberculosis.
Consiste en observar cierto número de campos microscópicos para
determinar el numero de BAAR.
Positivo +++. 20 campos. Mas de 10 BAAR/campo.
 Positivo ++. 50 campos. 1-10 BAAR/campo.
Positivo +. 100 campos. 0-1 BAAR/campo. Negativo 100 campos.
No se observa BAAR Reporte de Baciloscopía. Números de campos
observados. N* de bacilos encontrados en cada campo
microscópico.
PRUEBA DE TUBERCULINA

Se pone de manifiesto el estado de
hipersensibilidad del organismo frente al derivado
proteico del bacilo tuberculoso.
Consiste en una inyección intradérmica (ID) de
una dosis uniforme de tuberculina de RT-23 0.1ml.
Esta técnica es reconocida como “método de
Mantoux”.
Nunca se debe exponer a la luz. Debe mantenerse
en refrigeración a una temperatura entre 2 a 8
grados centígrados.
TRATAMIENTO
TRATAMIENTO EN EL EMBARAZO MEDICAMENTO VIA DOSIS
(máxima diaria) Isoniacida Oral 300mg Rifampicina Oral
600mg Pirazinamida Oral 2gr
Etambutol Oral 1200mg
TRATAMIENTO EN PACIENTES CON SIDA MEDICAMENTO VIA DOSIS
DIARIA MAXIMA
 Isoniacida Oral 300mg Rifampicina Oral 600mg
Pirazinamida Oral 2gr Etambutol Oral 1200mg
TUBERCULOSIS EN NIÑOS
Medicamentos Dosis Dosis máxima Isoniacida 300mg 900
Rifampicina 600mg 600 Pirazinamida 1200mg duración 2
meses 4 meses
TRATAMIENTO PARA RECAIDA Medicamentos Via Dosis
Isoniacida Oral 300mg Rifampicina Oral 600mg
Pirazinamida Oral 2mg Etambutol Oral 1200mg
TUBERCULOSE PULMONAR
   O tratamento incompleto das
     infecções de tuberculose
 pulmonar pode contribuir para a
      proliferação de cepas de
  bactérias resistentes à droga.
 Os indivíduos imunodeprimidos
   quase sempre desenvolvem
    tuberculose ativa mediante
  exposição ao organismo. Além
    disso, sem o auxílio de um
       sistema imune ativo, o
  tratamento fica mais difícil e a
     doença mais resistente à
               terapia.
Prática 5 tuberculosis pulmonar

Prática 5 tuberculosis pulmonar

  • 2.
    DEFINICIÓN Enfermedad pulmonar crónicacausada por bacterias pertenecientes al complejo de Mycobacterium tuberculosis. Esta enfermedad suele asentar en los pulmones, pero en 33% de los casos afecta a otros órganos. NECROSE CASEOSA: é um tipo de necrose de coagulação. O exemplo clássico é a tuberculose. O termo caseoso deriva da aparência macroscópica do tecido envolvido, semelhante a um queijo branco. À microscopia, é possível observar fragmentos granulosos amorfos cercados por uma borda inflamatória, chamados de granulomas.
  • 3.
    AGENTE Mycobacterium Tuberculosis Familia Mycobacteriaceae OrdenActinomycetales Bacteria aerobia fina No esporógena .Cilíndrica Mide 0.5 por 3 µm Las micobacterias, incluida la cepa de M. tuberculosis, suelen no captar el colorante de Gram (son neutras). Sin embargo, una vez teñidos, los bacilos no pueden cambiar de color con el alcohol ni los ácidos, una propiedad que los caracteriza como bacilos acidorresistentes.
  • 4.
    MECANISMO DE TRANSMICION Estas gotas diminutas se secan pronto; las menores (<10 mm de diámetro) pueden permanecer suspendidas en el aire durante horas y alcanzar las vías respiratorias terminales al ser inhaladas.
  • 5.
    PATOGENIA La interacciónde M. tuberculosis con el hospedero humano comienza cuando las gotitas infecciosas de los pacientes contagiosos son inhaladas por alguna persona. La mayor parte de los bacilos quedan atrapados en las vías respiratorias superiores y son introducidas a vías aéreas bajas por el barrido ciliar de las células de la mucosa y llegan hasta los alvéolos.
  • 7.
    INMUNIDAD Se produce una reacción de hipersensibilidad retardada a diversos antígenos bacilares y destruye los macrófagos no activados que albergan a los bacilos en fase de multiplicación. En la mayoría de personas infectadas los macrófagos locales se activan cuando los antígenos bacilares procesados por los macrófagos estimulan los linfocitos T para que liberen diversas linfocinas.
  • 8.
    PERIODO DE INCUBACION Desdeel momento de la infección hasta que aparece la lesión primaria o una reacción tuberculinica significativa, es de 4 a 12 semanas, aproximadamente. TUBERCULOSIS PULMONAR La tuberculosis pulmonar puede ser : Primaria Postprimaria (secundaria).
  • 9.
    TUBERCULOSIS PRIMARIA La tuberculosispulmonar primaria es la que aparece consecutivamente a la infección inicial por el bacilo tuberculoso. TUBERCULOSIS SECUNDARIA Llamada también tuberculosis secundaria, de reactivación, o de tipo adulto. PERIODO DE TRANSMISIBILIDAD Todo el tiempo durante el que se expulsan en el esputo bacilos tuberculosos viables. (tres meses) .
  • 10.
    MANIFESTACIONE SCLINICAS Tos persistente con expectoración por 15 días o mas. El esputo suele ser escaso y no purulento Dolor torácico. Perdida de peso y apetito ,Fiebre “Sudoración en la noche”.
  • 11.
    EPIDEMIOLOGIA Los ancianos yniños. personas están en riesgo de tuberculosis activa. Las personas con sistemas inmunitarios debilitados. El riesgo de contraer la tuberculosis aumenta si la persona: •Está en contacto frecuente con personas que padecen la enfermedad •Vive en condiciones de vida insalubres o de hacinamiento •Desnutricion. Factores pueden incrementar la tasa de infección tuberculosa en una población: •Aumento de las infecciones por VIH. •Aumento en el número de personas sin hogar. •Aparición de cepas de la tuberculosis resistentes a las drogas.
  • 13.
    TUBERCULOSIS EXTRAPULMONAR M. Tuberculosisdesde las fases iniciales puede producir diseminaciones, por vía linfática o hematógena a cualquier órgano o tejido del organismo. TUBERCULOSIS EXTRAPULMONAR GRAVES y MENOS GRAVES Meníngea Ganglionar Milliar Pleural unilateral Pericárdica Ósea (no raquídea) ,Peritoneal, Cutánea, Pleura bilateral.Articular ,vertebral ,Intestinal ,Genito urinario. TUBERCULOSIS PLEURAL Las lesiones de la pleura son frecuentes en la tuberculosis primaria y se deben a la penetración de algunos bacilos tuberculosos en el espacio pleural.
  • 16.
    TUBERCULOSIS OSTEOARTICULAR La patogeniade la tuberculosis osteoarticular guarda relación con la reactivación de focos hematógenos o con una diseminación procedente de los ganglios linfáticos paravertebrales próximos TUBERCULOSIS GENITOURINARIA La tuberculosis genitourinaria representa alrededor de 15% de todos los casos de tuberculosis extrapulmonar, puede afectar a cualquier tramo del aparato genitourinario, y suele deberse a la siembra hematógena que sigue a la infección primaria
  • 20.
    MENINGITIS TUBERCULOSA La meningitistuberculosa se debe a una diseminación hematógena de la lesión pulmonar primaria o posprimaria, o a la rotura de un tubérculo subependimario en el espacio subaracnoideo. TUBERCULOSIS DIGESTIVA Cualquier tramo del tubo digestivo puede resultar afectado por la tuberculosis al intervenir diversos mecanismos: deglución de los esputos, diseminación hematógena, la ingestión de la leche de vacas enfermas de tuberculosis bovina.
  • 24.
    PERITONITIS TUBERCULOSA Aparece despuésde una siembra directa de bacilos tuberculosos procedentes de los órganos intraabdominales o de unos ganglios linfáticos con presencia de ruptura, o bien a causa de una siembra hematógena TUBERCULOSIS PERICARDICA Una enfermedad propia de los ancianos en los países con una prevalencia escasa de control y tratamiento de tuberculosis, pero se observa con frecuencia en los pacientes infectados por el VIH.
  • 25.
    La hepatitis Tuberculosa Lahepatitis Tuberculosa es una entidad bien diferenciada, que se caracteriza por el hallazgo histológico de granulomas en la biopsia hepática. El granuloma tuberculoso está constituido por una agregación central, focal y vascularizada, de células epitelioides, rodeadas por proliferación fibroblástica e infiltrado inflamatorio crónico de linfocitos y células plasmáticas. Su frecuencia varía según las series de las biopsias hepáticas.
  • 33.
  • 34.
    Fig.2.4 .Granuloma quese completa con la presencia de macrófagos,linfocitos y fibroblastos periféricos y células de Langhans/núcleos dispuestos en la periferia formando una herradura.NECROSIS FOCAL.
  • 35.
    Figura 1: A)Lesión multifocal correspondiente a granulomatosas. H&E. B) Granuloma tuberculoso: se observa un foco central de necrosis rodeado de células epiteliodes y células gigantes tipo Langhans..collar de fibroblastos entremezclado con linfocitos y macrófagos.
  • 36.
    C) Granuloma tuberculoso:Presencia de bacilos ácido alcohol resistentes (flechas). Ziehl-Neelssen. 40x; D) Piel: Ulcera tuberculosa. H&E.
  • 40.
    COMPLICACIONES •Derrame pleural •Linfadenitis periférica •Hemoptisis •Empiemao fístula broncopleural PREVENCION. •Cubrirse la boca al toser(barbijo). •Cubrirse la nariz al estornudar •Diagnostico inmediato •Control apropiado •Tratamiento apropiado •Vacunación con BCG •La ventilación adecuada de las habitaciones de los pacientes
  • 41.
    VACUNACION CON BCG.BCG = Bacilo Calmette Guerin Cepa atenuada de M. bovis,1921. Es innocua y rara vez causa complicaciones graves. Una sola aplicación por vía I.D INDICACIONES DE LA BCG Debe aplicarse a todos los R.N con un peso al nacer de 2.500gramos(5 libras.8 onzas). Cuya madre sea (+) al VIH debe primero descartar infección por el retrovirus antes de recibir la vacunación. 2. Contraindicaciones. Posponer la aplicación R.N con menos de 2.500 gramos de peso. Niños con SIDA.
  • 42.
    DIAGNOSTICO Se solicitaran 3muestras. La expectoración es mediante la inhalación de nebulaciones con solución salina hipertónica lo cual facilita el despegue de las secreciones bronquiales. BACILOSCOPIA. Es muy importante ya que le ayudara al medico en el diagnostico de la tuberculosis. Consiste en observar cierto número de campos microscópicos para determinar el numero de BAAR. Positivo +++. 20 campos. Mas de 10 BAAR/campo. Positivo ++. 50 campos. 1-10 BAAR/campo. Positivo +. 100 campos. 0-1 BAAR/campo. Negativo 100 campos. No se observa BAAR Reporte de Baciloscopía. Números de campos observados. N* de bacilos encontrados en cada campo microscópico.
  • 43.
    PRUEBA DE TUBERCULINA Sepone de manifiesto el estado de hipersensibilidad del organismo frente al derivado proteico del bacilo tuberculoso. Consiste en una inyección intradérmica (ID) de una dosis uniforme de tuberculina de RT-23 0.1ml. Esta técnica es reconocida como “método de Mantoux”. Nunca se debe exponer a la luz. Debe mantenerse en refrigeración a una temperatura entre 2 a 8 grados centígrados.
  • 44.
  • 45.
    TRATAMIENTO EN ELEMBARAZO MEDICAMENTO VIA DOSIS (máxima diaria) Isoniacida Oral 300mg Rifampicina Oral 600mg Pirazinamida Oral 2gr Etambutol Oral 1200mg TRATAMIENTO EN PACIENTES CON SIDA MEDICAMENTO VIA DOSIS DIARIA MAXIMA Isoniacida Oral 300mg Rifampicina Oral 600mg Pirazinamida Oral 2gr Etambutol Oral 1200mg TUBERCULOSIS EN NIÑOS Medicamentos Dosis Dosis máxima Isoniacida 300mg 900 Rifampicina 600mg 600 Pirazinamida 1200mg duración 2 meses 4 meses TRATAMIENTO PARA RECAIDA Medicamentos Via Dosis Isoniacida Oral 300mg Rifampicina Oral 600mg Pirazinamida Oral 2mg Etambutol Oral 1200mg
  • 46.
    TUBERCULOSE PULMONAR O tratamento incompleto das infecções de tuberculose pulmonar pode contribuir para a proliferação de cepas de bactérias resistentes à droga. Os indivíduos imunodeprimidos quase sempre desenvolvem tuberculose ativa mediante exposição ao organismo. Além disso, sem o auxílio de um sistema imune ativo, o tratamento fica mais difícil e a doença mais resistente à terapia.