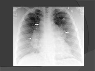
Caso Clínico.
 Paciente sexo masculino, 35 años,
consulta en guardia por tos y fiebre de
48 hs de evolución.
 Refiere dolor en el costado derecho.
¿Practicaría un Punción?
Resultado.
1. Líquidoturbio
2. Proteínas >3g/dl
3. Relación albúmina en el
líquido/albúmina en plasma >0,5
4. Relación LDH en el líquido/LDH en el
plasma >0,6
5. Glucosa <60 mg%
6. Leucocitos más de 1000
 ¿Qué tipo de líquido es?
 ¿Dx?
 ¿Causas?
 ¿Cómo descarta un empiema? De
tratarse de empiema, como lo trata.
MASAS MEDIASTINALES
Mediastino anterior
 Entre el esternón y el pericardio anterior.
 Timomas, carcinoma de timo, carcinoide de timo,
linfoma de timo, teratomas, bocio, adenoma
paratiroideo, linfomas, tumor de células
germinales, quistes pericárdicos, tumores del tejido
conectivo (lipomas, hemangiomas y linfangiomas),
metástasis tumorales.
 Del total de masas mediastinales el 50% se ubican
en mediastino anterior.
 Timoma: El 50% tiene síndrome
paraneoplásicos como miastenia gravis,
aplasia pura de la serie roja (5%). Son más
agresivos los que se originan en la corteza
del timo. Suelen aparecer entre los 40 y los
60 años. El tratamiento es la cirugía
seguida de radioterapia.
 Carcinoma de timo tiene rasgos
histológicos de malignidad. Sobrevida a 5
años: 33%. Se los trata con cirugía y
quimioterapia.
Mediastino medio
 Desde el pericardio anterior hasta la pared
anterior del esófago.
 25% de las masas mediastinales.
 Quistes pericárdicos, quistes broncogénicos,
adenomegalias por tuberculosis, sarcoidosis,
histoplasmosis, enfermedad de Whipple,
linfomas Hodgkin, linfangioma mediastinal,
metástasis de cáncer sobre todo de mama y
pulmón.
Mediastino posterior
 25% de las masas mediastinales.
 Se extiende desde la pared anterior del esófago hasta la
columna vertebral e incluye al esófago, aorta
descendente, ganglios simpáticos, nervios periféricos.
 75% de las masas son de origen nervioso, 30% de los
tumores nerviosos son malignos y el 75% se presentan
en niños.
 Los más comunes son el
ganglioneuroma, el schwannoma y
el neuroblastoma. Pueden asociarse
a enfermedad de von Recklinhausen.
 Puede haber además hematomas,
leiomioma y divertículos esofágicos,
quistes y feocromocitoma
MANIFESTACIONES CLINICAS
 Aparato respiratorio: disnea de intensidad variable
(moderada e intermitente) con tiraje, crisis paroxísticas
nocturnas.
Estos síntomas pueden asociarse a hemoptisis o
expectoración abundante y tos Además el paciente
puede tener derrame pleural y dolor torácico.
 Aparato circulatorio: Síndrome de VCS. También se
puede producir un síndrome de la vena cava inferior
que produce hepatoesplenomegalia, edemas en
miembros inferiores y circulación colateral tanto
superficial como profunda.
 Aparato digestivo: disfagia
 Trastornos neurológicos: invasión de los
diferentes nervios en las distintas zonas del
mediastino.
 Afección de nervios intercostales: dolor
parietal
 Nervio frénico: parálisis diafragmática
o hipo.
 Nervio recurrente izquierdo: disfonía
con voz bitonal por parálisis de
cuerda vocal.
 Ganglio estrellado simpático:
síndrome de Claude Bernard Horner
o Pourfour du Petit
Trastornos endócrinos
 Hipercalcemia: por adenomas paratiroideos
 Hipertiroidismo: por bocios tiroideos
 Ginecomastia.
 Síndrome de Cushing: timomas o tumores
carcinoides.
 Hipoglucemia: por timomas, y tumores del
mediastino posterior.
METODOLOGIA DE ESTUDIO
 TAC de tórax: localizar la lesión y distingue su
composición ya sea grasa, quística, vascular o sólida.
 RMN: para estructuras vasculares y bronquiales, y
masas del mediastino posterior.
 Marcadores tumorales: paciente joven con presencia
de masa mediastínica se pide gonadotrofinas y alfa feto
proteína para descartar un tumor germinal no
seminomatoso.
 Estudios gammagráficos: para
bocios endotorácicos, con iodo 131.
Por otro lado se puede usar galio 67
para la valoración de infecciones
mediastínicas agudas o crónicas y el
tecnecio 99 puede usarse para
identificar quistes neuroentéricos.
 Un método de alta sensibilidad para el
estudio de tumores (en especial para las
metástasis de origen incierto) es la
tomografía por emisión de positrones
(PET).
 Exploraciones invasivas: El diagnóstico
definitivo se realiza con biopsia directa de
la masa, aunque no siempre es
necesaria.
MEDIASTINITIS AGUDA
 Infección del espacio mediastinal.
 Se la divide en tres tipos: anterior, posterior
y necrotizante descendente.
MEDIASTINITIS
ANTERIOR
 Postoperatorio de cirugías cardiovasculares en las
cuales se efectuó una esternotomía.
 Los gérmenes más comunes son el Estafilococo
aureus meticilino resistente y los Estafilococos
coagulasa negativos.
 A veces se puede encontrar gram
negativos como Klebsiella o
Enterobacter. Son más raros los
Enterococos, la Cándida, la
Pseudomona y el Acinetobacter.
 Dolor torácico, fiebre, dolor esternal e inestabilidad del
esternón con débito purulento por la herida quirúrgica.
Se la considera severa si se complica con osteomielitis
del esternón o con su necrosis.
 Ante la sospecha, se efectuará una punción subxifoidea
para obtener material para cultivo.
 Laboratorio: leucocitosis, VSG elevada, neutrofilia y
desviación a la izquierda de la fórmula leucocitaria.
RX:
a) borramiento de los limites de la silueta
cardíaca o su ensanchamiento
b) derrame pleural
c) niveles hidroaéreos en el mediastino o
neumomediastino.
La tomografía computada torácica con
ventana mediastinal puede ser muy útil
para ver la extensión del proceso.
 El tratamiento antibiótico empirico inicial
es con:
 Vancomicina 2 g por dia + ceftazidime 1 g
cada 8 horas.
 Si se obtiene cultivos positivos para
Estafilococos se rota el esquema a
Vancomicina 2 g por día + rifampicina
300 cada 12 horas.
 Reapertura de la herida, remoción de los
alambres de sutura, debridamiento del
tejido necrótico, y curetaje del esternón
de ser necesario.
 a) dejar la herida abierta y curar al
paciente con azúcar hasta su cierre o b)
dejar tubos de drenaje conectados al vacío
o c) dejar tubos de drenaje con lavado con
antisépticos.
MEDIASTINITIS
POSTERIOR
 Se produce por ruptura esofágica secundaria a:
endoscopía, dilatación esofágica con balón,
postoperatorio de esófago con deshiscencia de sutura,
impactación de hueso o de espina con perforación del
esófago, vomitadores crónicos con ruptura espontánea
de esófago (síndrome de Boerhaave) como se ve en
anorexia nerviosa, bulimia, alcohólicos y en la
hiperemesis del embarazo.
 Los gérmenes son los provenientes de la boca: gram
negativos, gram positivos y anaerobios. El paciente
presenta fiebre, dolor torácico, y derrame pleural.
 En la radiografía hay ensanchamiento del
mediastino con derrame pleural. Es útil la
tomografía computada para observar
colecciones en mediastino y en pleura. La
radiología esofágica con contraste
hidrosoluble permite identificar el sitio de la
ruptura esofágica.
 El tratamiento incluye:
 Plan antibiótico: ceftriazona 1 g cada 8 hs +
clindamicina 600 mg cada 8 hs.
 Cirugía de drenaje de los focos
mediastinales y pleurales.
 Pueden requerir reparación con
sutura de la lesión esofágica y en
algunos casos, derivación esofágica
al exterior con reparación diferida en
el tiempo de la ruptura esofágica.
 La mortalidad es del 40%.
HEMATOMA MEDIASTINAL
ESPONTÁNEO
 Las causas son:
 Aumento brusco de la presión intratorácica
por tos, vómito o ejercicio; pico
hipertensivo, trastornos de la coagulación,
tumores vasculares o muy vascularizados,
adenomas paratiroideos sangrantes,
lesiones tímicas, erosión de vasos
tiroideos por radioterapia, tumores
germinales.
 Dolor subesternal o escapular con tos,
disnea, disfagia, odinofagia y disfonía con
desplazamiento agudo de la tráquea,
esófago y laringe.
 Hay tumefacción del cuello y un síndrome
de vena cava superior.
 En horas aparece equimosis cervical que
se extiende por la pared anterior del tórax.
 insuficiencia respiratoria y shock.
 En la radiografía se observa una densidad
extensa en las partes blandas desplazando
la tráquea y el esófago. Se debe efectuar
un estudio completo de la coagulación.
 Tratamiento: según su gravedad pueden
requerir drenaje quirúrgico.
MEDIASTINITIS CRÓNICA POR
HISTOPLASMOSIS
 Se presenta con adenomegalias
calcificadas suele complicarse con
estenosis esofágica con diverticulos
esofágicos por tracción.
 Pueden aparecer fístulas entre el esófago
y los ganglios. Es difícil recuperar los
hongos en la biopsia.
 Se trata con itraconazol.
OCLUSIÓN AGUDA DE LA VÍA
AÉREA SUPERIOR
 Epiglotitis aguda
 Laringotraquiobronquitis aguda viral (Croup)
 Angioedema
 Tumor de farínge
 Tumor de larínge
 Tumor de tráquea
 Traqueomalacia
 Compresión de la vía aérea por
bocio
 Enfermedad de Wegener
 Trauma facial
 Trauma laríngeo
OCLUSIÓN AGUDA DE LA VÍA
AÉREA SUPERIOR
 Trauma traqueal
 Injuria térmica y por humo de la vía aérea
superior (incendios)
 Aspiración de cuerpo extraño
 Secuelas de intubación prolongada o
traqueostomía: granulomas de cuerda vocal,
estenosis de glotis, parálisis de cuerda vocal,
estenosis traqueal.
 Parálisis de cuerda vocal
MANIFESTACIONES CLINICAS
 Disnea
 Respiracion ruidosa con estridor laringeo
 Agravamientro de la disnea y de la respiración ruidosa
al hacer ejercicio o cambiar de posición
 Síndrome de apnea del sueño
 Disfonía o voz bitonal
 Distress respiratorio: se produciría por la
generación de una presión negativa intratorácica y
transpulmonar debido al esfuerzo respiratoria al
respirar contra una vía áerea superior ocluída.
 Edema agudo de pulmón no cardíaco.
TRATAMIENTO DE LA OCLUSIÓN AGUDA
DE LA VÍA AÉREA
 Paciente en posición semi sentado
 Oxígeno con máscara al 40 %
 Corticoides intravenosos, dexametasona 4 a 8
mg
 Nebulizaciones con adrenalina
 Cricotiroidectomía de urgencia
 Traqueostomía.
HIPO
 Contracción abrupta involuntaria de los
musculos inspiratorios, seguida de un
cierre brusco de la glotis lo que produce
su sonido característico.
 Son usuales los breves episodios de
hipo, que no requieren atención médica.
Pero algunos pacientes pueden tener
episodios recurrentes y prolongados de
hipo, que pueden obedecer a causas
serias.
 Trauma cerebral
 Neoplasias cerebral, absceso, isquemia o hemorragia cerebral,
meningoencefalitis, sífilis del sistema nervioso central y
epilepsia.
 Influenza, herpes zoster
 Malaria, fiebre tifoidea
 Fiebre reumática
 Presencia de objetos en el oído externo
 Faringitis y laringitis
 Asma, bronquitis, neumonías y tuberculosis.
 Pleuritis y empiema
 Mediastinitis y masas mediastinales
 Infarto de miocardio de cara inferior o lateral
 Tumor del nervio frénico o del diafragma
 Hernia diafragmática
 Esofagitis, acalasia y reflujo gastroesofágico
 Gastritis, úlcera y cáncer gástrico
 Ileo, enfermedad de Crohn, colitis ulcerosa y apendicitis
 Colecistitits y colelitiasis
 Pancreatitis y cáncer de páncreas
 Peritonitis y absceso intraperitoneal
 Causas metabólicas: uremia, acidosis metabólica,
hiponatremia, hipokalemia, hipocalcemia, alcalosis
respiratoria.
 Drogas: cefotetán, sulfas, metilprednisolona,
dexametasona, benzodiacepinas, barbitúricos, alfa metil
dopa, etopóxido, nicotina.
 Psiquiátrico: histeria, shock emocional, trastornos de
personalidad.
TRATAMIENTO
 Maniobras recomendadas para finalizar el hipo
agudo:
 Tomar un vaso de agua
 Estimular con una sonda colocada por la nariz la
pared posterior de la faringe 20 segundos.
 Retener la respiración
 Respirar dentro de una bolsa de papel madera
 Toser
 Maniobra de Valsalva
 Masaje del seno carotídeo
 Tratamiento del hipo persistente
 Clorpromazina 25 a 50 mg IM o iv, luego
continuar con 25 a 50 mg 3 a 4 veces por día
(éxito en 80% de los casos)
 Metoclopramida 10 mg IM o iv, luego 10 a 20
mg por día
 Baclofeno 5 mg dos a tres veces por día,
aumentar lentamente hasta 60 mg por día
 Haloperidol 2 a 5 mg por día
 Nifedipina 30 a 60 mg por día
 Carbamacepina o ácido valproico como última
opción.
Caso clínico
 Se trata de un paciente varón de 35
años que ingresó por odinofagia,
aumento de volumen cervical
derecho y signos clínicos de sepsis.
Cuatro días previo a su ingreso había
sido tratado con penicilina por el
diagnóstico de faringoamigdalitis. Al
no haber mejoría en sus síntomas,
asociado a dificultad respiratoria,
consultó en nuestro servicio de
urgencia.
 Se realizó una radiografía de tórax
(RxTx) que fue normal y una TAC de
cuello que reveló un absceso cervical
anterior derecho extenso. La proteína C
reactiva (PCR) fue 41,2 mg% (normal 0-
0,9). Fue llevado a pabellón donde se
realizó un aseo quirúrgico a través de
una incisión cervical anterior,
iniciándose la administración de
penicilina y metronidazol
 El paciente evolucionó con síntomas
de sepsis asociados a una mayor
dificultad respiratoria.
 Una nueva Rx reveló:
 El estudio del líquido mostró un pH
de 6,4
 Se realiza cx de urgencia y se
comienzan con ATB.
 El paciente fallece a las 72 hs por
sepsis con fallo multiorgánico.
Mediastino - 03 -16
Mediastino - 03 -16
Mediastino - 03 -16
Mediastino - 03 -16
Mediastino - 03 -16
Mediastino - 03 -16
Mediastino - 03 -16
Mediastino - 03 -16

Mediastino - 03 -16

  • 2.
    Caso Clínico.  Pacientesexo masculino, 35 años, consulta en guardia por tos y fiebre de 48 hs de evolución.  Refiere dolor en el costado derecho.
  • 4.
  • 5.
    Resultado. 1. Líquidoturbio 2. Proteínas>3g/dl 3. Relación albúmina en el líquido/albúmina en plasma >0,5 4. Relación LDH en el líquido/LDH en el plasma >0,6 5. Glucosa <60 mg% 6. Leucocitos más de 1000
  • 6.
     ¿Qué tipode líquido es?  ¿Dx?  ¿Causas?  ¿Cómo descarta un empiema? De tratarse de empiema, como lo trata.
  • 7.
  • 8.
    Mediastino anterior  Entreel esternón y el pericardio anterior.  Timomas, carcinoma de timo, carcinoide de timo, linfoma de timo, teratomas, bocio, adenoma paratiroideo, linfomas, tumor de células germinales, quistes pericárdicos, tumores del tejido conectivo (lipomas, hemangiomas y linfangiomas), metástasis tumorales.  Del total de masas mediastinales el 50% se ubican en mediastino anterior.
  • 9.
     Timoma: El50% tiene síndrome paraneoplásicos como miastenia gravis, aplasia pura de la serie roja (5%). Son más agresivos los que se originan en la corteza del timo. Suelen aparecer entre los 40 y los 60 años. El tratamiento es la cirugía seguida de radioterapia.  Carcinoma de timo tiene rasgos histológicos de malignidad. Sobrevida a 5 años: 33%. Se los trata con cirugía y quimioterapia.
  • 10.
    Mediastino medio  Desdeel pericardio anterior hasta la pared anterior del esófago.  25% de las masas mediastinales.  Quistes pericárdicos, quistes broncogénicos, adenomegalias por tuberculosis, sarcoidosis, histoplasmosis, enfermedad de Whipple, linfomas Hodgkin, linfangioma mediastinal, metástasis de cáncer sobre todo de mama y pulmón.
  • 11.
    Mediastino posterior  25%de las masas mediastinales.  Se extiende desde la pared anterior del esófago hasta la columna vertebral e incluye al esófago, aorta descendente, ganglios simpáticos, nervios periféricos.  75% de las masas son de origen nervioso, 30% de los tumores nerviosos son malignos y el 75% se presentan en niños.
  • 12.
     Los máscomunes son el ganglioneuroma, el schwannoma y el neuroblastoma. Pueden asociarse a enfermedad de von Recklinhausen.  Puede haber además hematomas, leiomioma y divertículos esofágicos, quistes y feocromocitoma
  • 13.
    MANIFESTACIONES CLINICAS  Aparatorespiratorio: disnea de intensidad variable (moderada e intermitente) con tiraje, crisis paroxísticas nocturnas. Estos síntomas pueden asociarse a hemoptisis o expectoración abundante y tos Además el paciente puede tener derrame pleural y dolor torácico.  Aparato circulatorio: Síndrome de VCS. También se puede producir un síndrome de la vena cava inferior que produce hepatoesplenomegalia, edemas en miembros inferiores y circulación colateral tanto superficial como profunda.
  • 17.
     Aparato digestivo:disfagia  Trastornos neurológicos: invasión de los diferentes nervios en las distintas zonas del mediastino.  Afección de nervios intercostales: dolor parietal
  • 18.
     Nervio frénico:parálisis diafragmática o hipo.  Nervio recurrente izquierdo: disfonía con voz bitonal por parálisis de cuerda vocal.  Ganglio estrellado simpático: síndrome de Claude Bernard Horner o Pourfour du Petit
  • 19.
    Trastornos endócrinos  Hipercalcemia:por adenomas paratiroideos  Hipertiroidismo: por bocios tiroideos  Ginecomastia.  Síndrome de Cushing: timomas o tumores carcinoides.  Hipoglucemia: por timomas, y tumores del mediastino posterior.
  • 20.
    METODOLOGIA DE ESTUDIO TAC de tórax: localizar la lesión y distingue su composición ya sea grasa, quística, vascular o sólida.  RMN: para estructuras vasculares y bronquiales, y masas del mediastino posterior.  Marcadores tumorales: paciente joven con presencia de masa mediastínica se pide gonadotrofinas y alfa feto proteína para descartar un tumor germinal no seminomatoso.
  • 21.
     Estudios gammagráficos:para bocios endotorácicos, con iodo 131. Por otro lado se puede usar galio 67 para la valoración de infecciones mediastínicas agudas o crónicas y el tecnecio 99 puede usarse para identificar quistes neuroentéricos.
  • 22.
     Un métodode alta sensibilidad para el estudio de tumores (en especial para las metástasis de origen incierto) es la tomografía por emisión de positrones (PET).  Exploraciones invasivas: El diagnóstico definitivo se realiza con biopsia directa de la masa, aunque no siempre es necesaria.
  • 23.
    MEDIASTINITIS AGUDA  Infeccióndel espacio mediastinal.  Se la divide en tres tipos: anterior, posterior y necrotizante descendente.
  • 24.
    MEDIASTINITIS ANTERIOR  Postoperatorio decirugías cardiovasculares en las cuales se efectuó una esternotomía.  Los gérmenes más comunes son el Estafilococo aureus meticilino resistente y los Estafilococos coagulasa negativos.
  • 25.
     A vecesse puede encontrar gram negativos como Klebsiella o Enterobacter. Son más raros los Enterococos, la Cándida, la Pseudomona y el Acinetobacter.
  • 26.
     Dolor torácico,fiebre, dolor esternal e inestabilidad del esternón con débito purulento por la herida quirúrgica. Se la considera severa si se complica con osteomielitis del esternón o con su necrosis.  Ante la sospecha, se efectuará una punción subxifoidea para obtener material para cultivo.  Laboratorio: leucocitosis, VSG elevada, neutrofilia y desviación a la izquierda de la fórmula leucocitaria.
  • 27.
    RX: a) borramiento delos limites de la silueta cardíaca o su ensanchamiento b) derrame pleural c) niveles hidroaéreos en el mediastino o neumomediastino. La tomografía computada torácica con ventana mediastinal puede ser muy útil para ver la extensión del proceso.
  • 28.
     El tratamientoantibiótico empirico inicial es con:  Vancomicina 2 g por dia + ceftazidime 1 g cada 8 horas.  Si se obtiene cultivos positivos para Estafilococos se rota el esquema a Vancomicina 2 g por día + rifampicina 300 cada 12 horas.
  • 29.
     Reapertura dela herida, remoción de los alambres de sutura, debridamiento del tejido necrótico, y curetaje del esternón de ser necesario.
  • 30.
     a) dejarla herida abierta y curar al paciente con azúcar hasta su cierre o b) dejar tubos de drenaje conectados al vacío o c) dejar tubos de drenaje con lavado con antisépticos.
  • 31.
    MEDIASTINITIS POSTERIOR  Se producepor ruptura esofágica secundaria a: endoscopía, dilatación esofágica con balón, postoperatorio de esófago con deshiscencia de sutura, impactación de hueso o de espina con perforación del esófago, vomitadores crónicos con ruptura espontánea de esófago (síndrome de Boerhaave) como se ve en anorexia nerviosa, bulimia, alcohólicos y en la hiperemesis del embarazo.  Los gérmenes son los provenientes de la boca: gram negativos, gram positivos y anaerobios. El paciente presenta fiebre, dolor torácico, y derrame pleural.
  • 32.
     En laradiografía hay ensanchamiento del mediastino con derrame pleural. Es útil la tomografía computada para observar colecciones en mediastino y en pleura. La radiología esofágica con contraste hidrosoluble permite identificar el sitio de la ruptura esofágica.  El tratamiento incluye:  Plan antibiótico: ceftriazona 1 g cada 8 hs + clindamicina 600 mg cada 8 hs.
  • 33.
     Cirugía dedrenaje de los focos mediastinales y pleurales.  Pueden requerir reparación con sutura de la lesión esofágica y en algunos casos, derivación esofágica al exterior con reparación diferida en el tiempo de la ruptura esofágica.  La mortalidad es del 40%.
  • 34.
    HEMATOMA MEDIASTINAL ESPONTÁNEO  Lascausas son:  Aumento brusco de la presión intratorácica por tos, vómito o ejercicio; pico hipertensivo, trastornos de la coagulación, tumores vasculares o muy vascularizados, adenomas paratiroideos sangrantes, lesiones tímicas, erosión de vasos tiroideos por radioterapia, tumores germinales.
  • 35.
     Dolor subesternalo escapular con tos, disnea, disfagia, odinofagia y disfonía con desplazamiento agudo de la tráquea, esófago y laringe.
  • 36.
     Hay tumefaccióndel cuello y un síndrome de vena cava superior.  En horas aparece equimosis cervical que se extiende por la pared anterior del tórax.  insuficiencia respiratoria y shock.
  • 37.
     En laradiografía se observa una densidad extensa en las partes blandas desplazando la tráquea y el esófago. Se debe efectuar un estudio completo de la coagulación.  Tratamiento: según su gravedad pueden requerir drenaje quirúrgico.
  • 38.
    MEDIASTINITIS CRÓNICA POR HISTOPLASMOSIS Se presenta con adenomegalias calcificadas suele complicarse con estenosis esofágica con diverticulos esofágicos por tracción.  Pueden aparecer fístulas entre el esófago y los ganglios. Es difícil recuperar los hongos en la biopsia.  Se trata con itraconazol.
  • 39.
    OCLUSIÓN AGUDA DELA VÍA AÉREA SUPERIOR  Epiglotitis aguda  Laringotraquiobronquitis aguda viral (Croup)  Angioedema  Tumor de farínge  Tumor de larínge
  • 40.
     Tumor detráquea  Traqueomalacia  Compresión de la vía aérea por bocio  Enfermedad de Wegener  Trauma facial  Trauma laríngeo
  • 41.
    OCLUSIÓN AGUDA DELA VÍA AÉREA SUPERIOR  Trauma traqueal  Injuria térmica y por humo de la vía aérea superior (incendios)  Aspiración de cuerpo extraño  Secuelas de intubación prolongada o traqueostomía: granulomas de cuerda vocal, estenosis de glotis, parálisis de cuerda vocal, estenosis traqueal.  Parálisis de cuerda vocal
  • 42.
    MANIFESTACIONES CLINICAS  Disnea Respiracion ruidosa con estridor laringeo  Agravamientro de la disnea y de la respiración ruidosa al hacer ejercicio o cambiar de posición  Síndrome de apnea del sueño  Disfonía o voz bitonal
  • 43.
     Distress respiratorio:se produciría por la generación de una presión negativa intratorácica y transpulmonar debido al esfuerzo respiratoria al respirar contra una vía áerea superior ocluída.  Edema agudo de pulmón no cardíaco.
  • 44.
    TRATAMIENTO DE LAOCLUSIÓN AGUDA DE LA VÍA AÉREA  Paciente en posición semi sentado  Oxígeno con máscara al 40 %  Corticoides intravenosos, dexametasona 4 a 8 mg  Nebulizaciones con adrenalina  Cricotiroidectomía de urgencia  Traqueostomía.
  • 45.
    HIPO  Contracción abruptainvoluntaria de los musculos inspiratorios, seguida de un cierre brusco de la glotis lo que produce su sonido característico.  Son usuales los breves episodios de hipo, que no requieren atención médica. Pero algunos pacientes pueden tener episodios recurrentes y prolongados de hipo, que pueden obedecer a causas serias.
  • 46.
     Trauma cerebral Neoplasias cerebral, absceso, isquemia o hemorragia cerebral, meningoencefalitis, sífilis del sistema nervioso central y epilepsia.  Influenza, herpes zoster  Malaria, fiebre tifoidea  Fiebre reumática  Presencia de objetos en el oído externo  Faringitis y laringitis  Asma, bronquitis, neumonías y tuberculosis.  Pleuritis y empiema  Mediastinitis y masas mediastinales  Infarto de miocardio de cara inferior o lateral
  • 47.
     Tumor delnervio frénico o del diafragma  Hernia diafragmática  Esofagitis, acalasia y reflujo gastroesofágico  Gastritis, úlcera y cáncer gástrico  Ileo, enfermedad de Crohn, colitis ulcerosa y apendicitis  Colecistitits y colelitiasis  Pancreatitis y cáncer de páncreas  Peritonitis y absceso intraperitoneal  Causas metabólicas: uremia, acidosis metabólica, hiponatremia, hipokalemia, hipocalcemia, alcalosis respiratoria.  Drogas: cefotetán, sulfas, metilprednisolona, dexametasona, benzodiacepinas, barbitúricos, alfa metil dopa, etopóxido, nicotina.  Psiquiátrico: histeria, shock emocional, trastornos de personalidad.
  • 48.
    TRATAMIENTO  Maniobras recomendadaspara finalizar el hipo agudo:  Tomar un vaso de agua  Estimular con una sonda colocada por la nariz la pared posterior de la faringe 20 segundos.  Retener la respiración  Respirar dentro de una bolsa de papel madera  Toser  Maniobra de Valsalva  Masaje del seno carotídeo
  • 49.
     Tratamiento delhipo persistente  Clorpromazina 25 a 50 mg IM o iv, luego continuar con 25 a 50 mg 3 a 4 veces por día (éxito en 80% de los casos)  Metoclopramida 10 mg IM o iv, luego 10 a 20 mg por día  Baclofeno 5 mg dos a tres veces por día, aumentar lentamente hasta 60 mg por día  Haloperidol 2 a 5 mg por día  Nifedipina 30 a 60 mg por día  Carbamacepina o ácido valproico como última opción.
  • 51.
    Caso clínico  Setrata de un paciente varón de 35 años que ingresó por odinofagia, aumento de volumen cervical derecho y signos clínicos de sepsis. Cuatro días previo a su ingreso había sido tratado con penicilina por el diagnóstico de faringoamigdalitis. Al no haber mejoría en sus síntomas, asociado a dificultad respiratoria, consultó en nuestro servicio de urgencia.
  • 52.
     Se realizóuna radiografía de tórax (RxTx) que fue normal y una TAC de cuello que reveló un absceso cervical anterior derecho extenso. La proteína C reactiva (PCR) fue 41,2 mg% (normal 0- 0,9). Fue llevado a pabellón donde se realizó un aseo quirúrgico a través de una incisión cervical anterior, iniciándose la administración de penicilina y metronidazol
  • 53.
     El pacienteevolucionó con síntomas de sepsis asociados a una mayor dificultad respiratoria.  Una nueva Rx reveló:
  • 55.
     El estudiodel líquido mostró un pH de 6,4
  • 56.
     Se realizacx de urgencia y se comienzan con ATB.  El paciente fallece a las 72 hs por sepsis con fallo multiorgánico.