Equipo: 1•Castañeda Victoriano Alejandra.
•Flores Castillo Luis Rodrigo.
•Flores Sandoval Anayelli.
•Molina Sánchez Ariel Itzli.
La deficiencia de hierro es el resultado final de un
periodo prolongado de balance negativo de este metal.
Enfermedad hematológica mas frecuente en niños
menores de 3 años y mujeres embarazadas.
3% lactantes
5 % a los 2 años
1-3% de adolescentes
La Hemoblobina, es el pigmento
que transporta el oxígeno en la
sangre pues el oxígeno es
necesario para el
funcionamiento normal de todas
las células del cuerpo
METABOLISMO DEL
HIERRO
Anemias
hipoproliferativas
Eritrocitos microcíticos
hipocrómicos
Indice reticulocítico
Menor a 2-2.5
Más frecuentes
METABOLISMO DEL HIERRO
Células pierden su capacidad de transporte electrónico
Alteración del metabolismo energético
Alteración de síntesis de la hemoglobina
Anemia y disminución del aporte de oxígeno a los
tejidos.
BALANCE DEL HIERRO
NUTRICIONAL
PERDIDA
Reponer pérdidas; 10% contenido corporal por año en hombres
y 15% en mujeres.
6 mg de hierro
elemental
1000 calorías.
Hierro en forma de
hemo es más
absorbible.
Incapacidad de mantener
un balance
Demandas de crecimiento
y menor aporte alimentario
Últimos 2 trimestres
necesidades de hierro
aumentan:
5-6 mg
Capta hierro
Almacenar en forma de
ferritina
Ferroportina que
libera hierro para
ser captado por
transferrina
Hepcidina
Duodeno
Depósitos de
hierro
(300-1000
mg)
Transferri
na
20 veces
Médula eritroide
Depósitos de hierro
Eritrocitos
circulantes
(RECICLAJE)
RECAMBIO
60-90 MIN
Hierro medicinal
Transfusiones
ERITROPOYESIS
Aumenta cantidad de células eritroides
Requiere hierro
Disminuye tiempo de depuración en sangre
Complejo
Fe-
Transferrina
Complejo se
interioriza
Ph bajo
Liberación del
hierro.
HemoglobinaSobranteFerritina
120 días
Globina y proteinas:
Aminoácidos
Hierro--- Transferrina
1 ml de sangre
1 mg hierro
elemental
Adulto requiere 1 mg diario. Mujeres en edad fértil 1.4 mg
Eritropoyesis aumentada: Demandas aumentan de 6-8 veces.
ANEMIA FERROPÉNICA
1) EQUILIBRIO
(BALANCE -)
(PRELATENTE)
Las necesidades o pérdidas rebasan la capacidad del organismo para
absorber hierro de los alimentos
Pérdida hemática, embarazo, adolescencia, ingesta inadecuada.
Dépositos de hierro------Nivel de ferritina
Depósitos: Fijación total, concentración de protoporfirina eritrocitaria
normales.
ANEMIA FERROPÉNICA
2) FERROPENIA SIN
ANEMIA
(LATENTE)
Aumenta el déficit de hierro.
No hay alteración del hemograma
Capacidad total de fijación de hiero aumenta.
Mientras el hierro sérico permanece dentro de los límites normales, la
síntesis de hemoglobina no se afecta.
ERITROPOYESIS FERROPÉNICA
CÉLULAS MICROCÍTICAS
ANEMIA FERROPÉNICA
3) ANEMIA
FERROPÉNICA
Disminución de la hemoglobina y hematocrito
Saturación de transferrina de 10 a 15%
MODERADA (Hb 10-13 mg/dl): Médula hipoproliferativa
INTENSA (Hb 7-8 mg/dl): Hipocromía y microcitosis acentuadas
FROTIS: POIQUILOCITOS Y DIANOCITOS.
MÉDULA INEFICAZ.
CAUSAS
AUMENTO DE LA DEMANDA DE HIERRO:
Crecimiento rápido durante la lactancia o
adolescencia.
Embarazo
Tratamiento con eritropoyetina
AUMENTO DE LAS PÉRDIDAS DE HIERRO:
•Hemorragia crónica
•Menstruación
•Hemorragia aguda
•Donación de sangre
DISMINUCIÓN DE LA INGESTA O ABSORCIÓN
DEL HIERRO
oAlimentación deficiente
oMalaabsorción
oInflamación aguda o crónica
• Las anemias hipocrómicas se producen mas
frecuentemente por la carencia de hierro que por la
insuficiencia de la síntesis del HEM o las alteraciones
que la conforman de las globinas.
La deficiencia de hierro ocurre bien como una
manifestación tardía en un balance negativo o como
una insuficiencia para cumplir las necesidades
fisiológicas aumentadas para este metal
Balance negativo de hierro
 Disminución de la ingestión de
hierro
 Dietas vegetarianas estrictas
 Absorción deficiente:
o Aclorhidria
o Cirugía gástrica
o Enfermedad celiaca
o Pica
Pérdidas sanguíneas  Hemorragia gastrointestinal:
o Úlcera péptica
o Várices esofágicas
o Hernia hiatal
o Diverticulosis
o Parásitos
o Colitis ulcerativa
 Uterinas
o Menometrorragías
o Parto
 Donación de sangre
 Urinarias
o Hemoglobinuria
o Hematuria
 Otras
o Hemodiálisis
o Enf de hemostasis
Requerimientos
elevados de hierro
 Infancia
 Embarazo
 Lactancia
DIAGNÒSTICO
MANIFESTACIONES CLÍNICAS
Debido a que la anemia por deficiencia de hierro al igual que
otros tipos de anemia , no es una enfermedad , si no un signo ,
la presentación puede incluir manifestaciones de una entidad
subyacente, pero también pueden ser propias de un estado de
deficiencia del metal.
La instalación de la anemia es insidiosa y la
progresión de los síntomas es gradual.
Síntomas: irritabilidad, palpitaciones, mareo,
polipnea, cefalea.
Palidez de la piel.
Fatiga, debilidad.
Irritabilidad.
Pica
Glositis anemia ferropénica
Dolor en la lengua.
Disnea.
SISTEMA NEUROMUSCULAR
A pesar de no haber síntomas en reposo , cuando
hay anemia, la función muscular debida por
prueba de ejercicio estándar pueden estar
alteradas.
SISTEMA NERVIOSO CENTRAL
Los cambios en el comportamiento y el área
cognoscitiva pueden ser independientes de
la concentración de hemoglobina
Los niños con alteraciones de conducta y
aprendizaje manifestadas por irritación
Pérdida de la memoria, de la atención, y de
la energía
Mejoran y aún se corrigen las alteraciones
mediante la suplementación con hierro.
TEJIDO EPITELIAL
En las uñas la alteración característica es la coiloniquia o
platoniquia, que se caracteriza por la presencia de estrías
longitudinales, así como por adelgazamiento y fragilidad de las
mismas.
Estomatitis angular que se caracteriza por ulceraciones o fisuras
en las comisuras labiales de la boca.
ASPECTOS DE LABORATORIO.
• En la anemia grave no complicada; los eritrocitos son:
• Hipocrómicos.
• Microcíticos.
• La concentración plasmática de hierro esta disminuida.
• Capacidad de fijación de hierro esta aumentada.
• Concentración sérica de ferritina baja.
• Concentraciones del receptor sérico de transferrina y de la protoporfirina
zinc eritrocitaria estas aumentadas.
• La medula es depletada de hierro teñible.
CÉLULAS SANGUÍNEAS.
ERITROCITOS.
• El cambio morfológico precoz mas reconocible es la:
• ANISOCITOSIS.
• Típicamente se acompaña de ovalocitosis leve.
• Conforme empeora la deficiencia de hierro, se presenta:
• Anemia leve normocrómica, normocítica.
• Concentración de hemoglobina en sangre > 11 g/dl.
• Volumen corpuscular medio < 80 fl.
• En bebes y niños la hipocromía puede aparecer mas pronto en la
deficiencia de hierro.
• Pueden observarse eliptocitos hipocrómicos elongados,
denominados “células en lápiz” aunque también parecen puros.
• Los índices de glóbulos rojos estas alterados en los adultos solo
cuando la anemia es moderada o grave:
• [12 g/dl] hemoglobina en hombres.
• [10 g/dl] hemoglobina en mujeres.
LEUCOCITOS.
• Se pueden observar recuentos de leucocitos de entre:
• 3,0 y 4,4 × 109
/litro
• La leucopenia no se relacionaba con la gravedad de
la anemia.
PLAQUETAS.
• Se atribuyen trombocitopenia y trombocitosis a la deficiencia de
hierro.
• La trombocitosis se presenta entre 50% y 70% de los pacientes
adultos con deficiencia de hierro.
• La trombocitosis generalmente se presenta en personas con
sangrado activo.
• El recuento de reticulocitos generalmente es normal o disminuido en
la deficiencia de hierro.
MEDULA.
• Los eritroblastos en medula pueden ser mas pequeños de
lo normal, con citoplasma estrecho, de bordes desflecados
con poca hemoglobina.
• Los cambios morfológicos en medula no son
suficientemente distintivos para tener valor diagnostico.
• La hemosiderina disminuida o ausente en la medula es
característica de la deficiencia de hierro.
• Aparece en el frotis de medula no teñida como gránulos
dorados refringentes.
• El método mas adecuado y fiable para para el contenido de
hemosiderina es con tinción con azul de Prucia.
• La evaluación de los depósitos de hierro en la medula
es una forma sensible y fiable para diagnosticar
anemia por deficiencia de hierro.
• Pueden alterarse los resultados en pacientes con:
• Trasfusión sanguínea.
• Tratamiento previo con hierro parenteral.
CONCENTRACIÓN SÉRICA DE
HIERRO.
• Generalmente baja en la anemia por deficiencia no tratada,
aunque puede ser normal.
• Generalmente el rango normal es de:
• 13 a 31 µmol/litro (75 a 175 µg/dl) en hombres.
• Aproximadamente 2 µmol/litro (10 µg/dl) en mujeres.
• La concentración sérica de hierro se ve afectada por varios
procesos fisiológicos y patológicos:
• Fisiológicos:
• Tiene un ritmo diurno: tiene su punto máximo entre las 7 y las 10
AM
• Disminuye hacia el momento del sangrado menstrual.
• Patológicos:
• Procesos inflamatorios agudos o crónicos.
• Tumores malignos.
• Infarto agudo del miocardio.
CAPACIDAD DE FIJACIÓN DEL HIERRO
Y SATURACIÓN DE TRANSFERRINA.
• Es una medida de la cantidad de transferrina en sangre.
• Normalmente existe suficiente transferrina para ligar:
• 4,4 a 8,0 µmol (250 a 450 µg) de hierro; la [ ] normal de hierro es de
1,8 µmol/dl.
• La transferrina esta saturada en un tercio con hierro.
• La capacidad latente de unión al hierro se mide con hierro
radioactivo o por técnicas espectrofotométricas.
• Normalmente la transferrina esta saturada entre 20% al 50% con
hierro.
• En la deficiencia de hierro las capacidad total y latente de unión al
hierro están aumentadas.
FERRITINA SÉRICA.
• Se correlaciona con los depósitos de hierro en la
totalidad del cuerpo.
• Las concentraciones de 10 µg/l o menores son
características de anemia por deficiencia de hierro.
• En la deficiencia de hierro son anemia; se encuentra
una ferritina de 10 a 20 µg/l.
FERRITINA ERITROCITARIA.
• Su concentración esta aumenta en talasemias
o anemias sideroblásticas.
• Disminuye su concentración en anemias por
deficiencia de hierro.
PROTOPORFIRINA ZINC
ERITROCITARIA.
• Esta aumentada en los trastornos de la síntesis del hemo, como:
• Deficiencia de hierro.
• Intoxicación por plomo.
• Anemias sideroblásticas.
• Otras enfermedades.
• Bastante sensible en el diagnostico de deficiencia de hierro.
• No diferencia entre deficiencia de hierro e intoxicación por plomo.
• No diferencia la anemia que acompaña a los procesos inflamatorios
o malignos.
TRATAMIENTO ANEMIA
FERROPÈNICA
TRATAMIENTO
• Orientarse a causa primaria,
reposición del
almacenamiento de hierro en
los depósitos y la
normalización de la Hb.
• Suplementación de hierro
• En base a severidad de la
anemia, se elegirá la vía de
administración.
TX. CON HIERRO VO.
• Asintomàtico con anemia ferropènica.
Nombre genérico Comprimido (contenido
en hierro )mg
Jarabe (contenido en
hierro ), mg en 5 ml
SULFATO FERROSO 325 (65)
195 (39)
300 (60)
90 (18)
De liberación prolongada 525 (105)
FUMARATO FERROSO 325 (107)
195 (64) 100 (33)
GLUCONATO FERROSO 325(39) 300 (35)
HIERRO-POLISACÀRIDOS 150(150)
50(50)
100 (100)
AC. ASC 15 MIN
ANTES A.
FRUCTOSA Y
CISTEÌNA
C/ALIMENTOS,
+ TOLERADO
• No importa la presentación del medicamento que contenga hierro, la
absorción intestinal del mismo en condiciones normales es del 10
al 12% como máximo; pero si el grado de anemia ferropénica es
severo entonces la absorción puede aumentar hasta tres veces más.
EFECTOS ADVERSOS
• Náuseas, vómitos, dolor de
estómago, estreñimiento.
• La formación de FeSO3, es una
causa de estreñimiento durante el
tratamiento con sulfato ferroso.
• Este es un inhibidor de la función
del IG. Niños-pigmentación café
marrón de los dientes. Las
defecaciones son de color
negro, lo que no tiene ningún
significado clínico.
• Siempre que sea posible se recomendará que la administración de
hierro sea por vía oral. La dosis con base en el hierro elemental
es:
Niños de:
3 a 6 mg/kg/día en una o tres
dosis.
• Adultos:
180 mg/día dividido
en tres dosis
TIEMPO DE PRESCRIPCIÓN
• Variable
• Una vez obtenido el valor NL de Hb y Hto debe continuarse con su admon., a la
misma dosis, durante un tiempo similar al que fue necesario para alcanzar la
normalización de la Hb para reponer los depósitos de hierro
LA ABSORCIÒN
• Bloqueadores H2, tetraciclinas,
leche y bebidas carbonatadas
que contienen fosfatos y
multivitamínicos con sales de
calcio, fósforo o magnesio .
• Medicamentos (sulfato y
gluconato ferrosos), no tomar Fe
las 2 primeras horas después de
haber ingerido alimentos o
antiácidos. Tomarlos de 15 a 30
minutos antes de los alimentos
y no acompañarlos con lácteos.
TRATAMIENTO IV
• Intolerancia digestiva severa al hierro oral.
• Patología digestiva que contraindique la vía oral.
• En casos de anemia severa.
• Hemorragia digestiva persistente
EFECTOS ADVERSOS (IV)
• Flebitis, espasmos, manchas en la piel
• . Las manifestaciones sistémicas son: HTA, dolor esternal, dolor
múscular, elevación de la temperatura (hasta 40º).
• Existen dos métodos de empleo de hierro IV : una es administrar la
dosis total de hierro necesaria para corregir el déficit de Hb y
proporcionar al paciente depósitos de por lo menos 500 mg .
• Repetir dosis pequeñas de hierro IV a lo largo de un período
prolongado .CENTROS DE DIÁLISIS -100 MG de hierro elemental a la
semana x 10 s emanas======== Aumentar la = eritropoyetina
• La cantidad de hierro que necesita un determinado
paciente se calcula con la siguiente fórmula:
PCX2.3X(15-Hb del paciente/100 ml )+500 ò 1000 mg (para
depósitos)
TRANSFUSIÓN DE ERITROCITOS
• Alternativa adyuvante en pacientes con anemia severa con
descompensación hemodinámica hasta la desaparición de los síntomas
o en caso de cirugía de urgencia y comorbilidad asociada a hipoxia
tisular (infección, desnutrición, diarrea crónica, con IR y anemia aguda
resultante de una hemorragia),problemas renales.
• Se recomienda, en el caso de escolares y adolescentes, aumentar el aporte de
hierro dietético fundamentalmente a través de alimentos de origen animal. En los
casos de hipersensibilidad a la proteína de la leche de vaca, ésta deberá
suprimirse o sustituirse por una fórmula adecuada.
PROFILAXIS
• Se debe utilizar una suplementación preventiva con hierro en las siguientes
situaciones:
• • Grupo perinatal: en el caso de niños prematuros, pequeños para la EG, producto
de gestaciones múltiples, presencia de hemorragias uteroplacentarias o neonatales,
toma de múltiples muestras de laboratorio y ferropenia materna severa, se debe dar
suplementación preventiva con hierro por vía oral de 2 a 4 mg/kg/día por 3 a 6
meses.
LACTANTES:
• En el caso de que reciban exclusivamente lactancia materna por más de
seis meses o se les inicie alimentación con leche de vaca antes del
primer año, se deberán proporcionar productos como cereales
enriquecidos con hierro, alimentos de origen animal (excepto leche de
vaca) y suplementación preventiva con hierro por vía oral de 2 a 4
mg/kg/día hasta los 12 meses.
ADOLESCENTES:
• Debido al uso de dietas desequilibradas, hipocalóricas, vegetarianas
o mujeres con sangrados menstruales abundantes, se deberá
suplementar con hierro 400 mg/día
MUJERES EMBARAZADAS
• Es muy común usar complejos de hierro (30- 50 mg) con vitaminas que
incluyan ácido fólico y vitamina B12, lo cual es insuficiente ya que existen
muchos estudios que confirman la ineficacia de este tratamiento para la
anemia.
• En mujeres embarazadas con anemia ferropénica se debe utilizar dosis de
hierro de 100 mg cada 12 horas con vitamina C durante todo el
embarazo.
CONTROL DE LA TERAPIA
Después de 1 mes la Hb y eritros en cifras NL .Debido a la
saturabilidad del depósito se continúa el Tx. de 1-2 meses más con
dosis de hierro más pequeñas (la ½ de la dosis inicial) y con control de
BH , QS.

Anemia Ferropenica

  • 1.
    Equipo: 1•Castañeda VictorianoAlejandra. •Flores Castillo Luis Rodrigo. •Flores Sandoval Anayelli. •Molina Sánchez Ariel Itzli.
  • 2.
    La deficiencia dehierro es el resultado final de un periodo prolongado de balance negativo de este metal. Enfermedad hematológica mas frecuente en niños menores de 3 años y mujeres embarazadas. 3% lactantes 5 % a los 2 años 1-3% de adolescentes
  • 3.
    La Hemoblobina, esel pigmento que transporta el oxígeno en la sangre pues el oxígeno es necesario para el funcionamiento normal de todas las células del cuerpo
  • 4.
  • 5.
  • 6.
    METABOLISMO DEL HIERRO Célulaspierden su capacidad de transporte electrónico Alteración del metabolismo energético Alteración de síntesis de la hemoglobina Anemia y disminución del aporte de oxígeno a los tejidos.
  • 7.
    BALANCE DEL HIERRO NUTRICIONAL PERDIDA Reponerpérdidas; 10% contenido corporal por año en hombres y 15% en mujeres. 6 mg de hierro elemental 1000 calorías. Hierro en forma de hemo es más absorbible.
  • 8.
    Incapacidad de mantener unbalance Demandas de crecimiento y menor aporte alimentario Últimos 2 trimestres necesidades de hierro aumentan: 5-6 mg
  • 9.
    Capta hierro Almacenar enforma de ferritina Ferroportina que libera hierro para ser captado por transferrina Hepcidina Duodeno
  • 10.
    Depósitos de hierro (300-1000 mg) Transferri na 20 veces Médulaeritroide Depósitos de hierro Eritrocitos circulantes (RECICLAJE) RECAMBIO 60-90 MIN Hierro medicinal Transfusiones
  • 11.
    ERITROPOYESIS Aumenta cantidad decélulas eritroides Requiere hierro Disminuye tiempo de depuración en sangre Complejo Fe- Transferrina Complejo se interioriza Ph bajo Liberación del hierro. HemoglobinaSobranteFerritina
  • 12.
    120 días Globina yproteinas: Aminoácidos Hierro--- Transferrina 1 ml de sangre 1 mg hierro elemental Adulto requiere 1 mg diario. Mujeres en edad fértil 1.4 mg Eritropoyesis aumentada: Demandas aumentan de 6-8 veces.
  • 13.
    ANEMIA FERROPÉNICA 1) EQUILIBRIO (BALANCE-) (PRELATENTE) Las necesidades o pérdidas rebasan la capacidad del organismo para absorber hierro de los alimentos Pérdida hemática, embarazo, adolescencia, ingesta inadecuada. Dépositos de hierro------Nivel de ferritina Depósitos: Fijación total, concentración de protoporfirina eritrocitaria normales.
  • 14.
    ANEMIA FERROPÉNICA 2) FERROPENIASIN ANEMIA (LATENTE) Aumenta el déficit de hierro. No hay alteración del hemograma Capacidad total de fijación de hiero aumenta. Mientras el hierro sérico permanece dentro de los límites normales, la síntesis de hemoglobina no se afecta. ERITROPOYESIS FERROPÉNICA CÉLULAS MICROCÍTICAS
  • 15.
    ANEMIA FERROPÉNICA 3) ANEMIA FERROPÉNICA Disminuciónde la hemoglobina y hematocrito Saturación de transferrina de 10 a 15% MODERADA (Hb 10-13 mg/dl): Médula hipoproliferativa INTENSA (Hb 7-8 mg/dl): Hipocromía y microcitosis acentuadas FROTIS: POIQUILOCITOS Y DIANOCITOS. MÉDULA INEFICAZ.
  • 16.
    CAUSAS AUMENTO DE LADEMANDA DE HIERRO: Crecimiento rápido durante la lactancia o adolescencia. Embarazo Tratamiento con eritropoyetina AUMENTO DE LAS PÉRDIDAS DE HIERRO: •Hemorragia crónica •Menstruación •Hemorragia aguda •Donación de sangre DISMINUCIÓN DE LA INGESTA O ABSORCIÓN DEL HIERRO oAlimentación deficiente oMalaabsorción oInflamación aguda o crónica
  • 17.
    • Las anemiashipocrómicas se producen mas frecuentemente por la carencia de hierro que por la insuficiencia de la síntesis del HEM o las alteraciones que la conforman de las globinas.
  • 18.
    La deficiencia dehierro ocurre bien como una manifestación tardía en un balance negativo o como una insuficiencia para cumplir las necesidades fisiológicas aumentadas para este metal
  • 19.
    Balance negativo dehierro  Disminución de la ingestión de hierro  Dietas vegetarianas estrictas  Absorción deficiente: o Aclorhidria o Cirugía gástrica o Enfermedad celiaca o Pica
  • 20.
    Pérdidas sanguíneas Hemorragia gastrointestinal: o Úlcera péptica o Várices esofágicas o Hernia hiatal o Diverticulosis o Parásitos o Colitis ulcerativa  Uterinas o Menometrorragías o Parto  Donación de sangre  Urinarias o Hemoglobinuria o Hematuria  Otras o Hemodiálisis o Enf de hemostasis
  • 22.
    Requerimientos elevados de hierro Infancia  Embarazo  Lactancia
  • 23.
  • 24.
    MANIFESTACIONES CLÍNICAS Debido aque la anemia por deficiencia de hierro al igual que otros tipos de anemia , no es una enfermedad , si no un signo , la presentación puede incluir manifestaciones de una entidad subyacente, pero también pueden ser propias de un estado de deficiencia del metal.
  • 25.
    La instalación dela anemia es insidiosa y la progresión de los síntomas es gradual. Síntomas: irritabilidad, palpitaciones, mareo, polipnea, cefalea.
  • 26.
    Palidez de lapiel. Fatiga, debilidad. Irritabilidad. Pica Glositis anemia ferropénica Dolor en la lengua. Disnea.
  • 28.
    SISTEMA NEUROMUSCULAR A pesarde no haber síntomas en reposo , cuando hay anemia, la función muscular debida por prueba de ejercicio estándar pueden estar alteradas.
  • 29.
    SISTEMA NERVIOSO CENTRAL Loscambios en el comportamiento y el área cognoscitiva pueden ser independientes de la concentración de hemoglobina Los niños con alteraciones de conducta y aprendizaje manifestadas por irritación Pérdida de la memoria, de la atención, y de la energía Mejoran y aún se corrigen las alteraciones mediante la suplementación con hierro.
  • 30.
    TEJIDO EPITELIAL En lasuñas la alteración característica es la coiloniquia o platoniquia, que se caracteriza por la presencia de estrías longitudinales, así como por adelgazamiento y fragilidad de las mismas. Estomatitis angular que se caracteriza por ulceraciones o fisuras en las comisuras labiales de la boca.
  • 32.
    ASPECTOS DE LABORATORIO. •En la anemia grave no complicada; los eritrocitos son: • Hipocrómicos. • Microcíticos. • La concentración plasmática de hierro esta disminuida. • Capacidad de fijación de hierro esta aumentada. • Concentración sérica de ferritina baja. • Concentraciones del receptor sérico de transferrina y de la protoporfirina zinc eritrocitaria estas aumentadas. • La medula es depletada de hierro teñible.
  • 33.
  • 34.
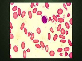
    ERITROCITOS. • El cambiomorfológico precoz mas reconocible es la: • ANISOCITOSIS. • Típicamente se acompaña de ovalocitosis leve. • Conforme empeora la deficiencia de hierro, se presenta: • Anemia leve normocrómica, normocítica. • Concentración de hemoglobina en sangre > 11 g/dl. • Volumen corpuscular medio < 80 fl. • En bebes y niños la hipocromía puede aparecer mas pronto en la deficiencia de hierro.
  • 37.
    • Pueden observarseeliptocitos hipocrómicos elongados, denominados “células en lápiz” aunque también parecen puros. • Los índices de glóbulos rojos estas alterados en los adultos solo cuando la anemia es moderada o grave: • [12 g/dl] hemoglobina en hombres. • [10 g/dl] hemoglobina en mujeres.
  • 39.
    LEUCOCITOS. • Se puedenobservar recuentos de leucocitos de entre: • 3,0 y 4,4 × 109 /litro • La leucopenia no se relacionaba con la gravedad de la anemia.
  • 40.
    PLAQUETAS. • Se atribuyentrombocitopenia y trombocitosis a la deficiencia de hierro. • La trombocitosis se presenta entre 50% y 70% de los pacientes adultos con deficiencia de hierro. • La trombocitosis generalmente se presenta en personas con sangrado activo. • El recuento de reticulocitos generalmente es normal o disminuido en la deficiencia de hierro.
  • 41.
    MEDULA. • Los eritroblastosen medula pueden ser mas pequeños de lo normal, con citoplasma estrecho, de bordes desflecados con poca hemoglobina. • Los cambios morfológicos en medula no son suficientemente distintivos para tener valor diagnostico. • La hemosiderina disminuida o ausente en la medula es característica de la deficiencia de hierro. • Aparece en el frotis de medula no teñida como gránulos dorados refringentes. • El método mas adecuado y fiable para para el contenido de hemosiderina es con tinción con azul de Prucia.
  • 42.
    • La evaluaciónde los depósitos de hierro en la medula es una forma sensible y fiable para diagnosticar anemia por deficiencia de hierro. • Pueden alterarse los resultados en pacientes con: • Trasfusión sanguínea. • Tratamiento previo con hierro parenteral.
  • 44.
    CONCENTRACIÓN SÉRICA DE HIERRO. •Generalmente baja en la anemia por deficiencia no tratada, aunque puede ser normal. • Generalmente el rango normal es de: • 13 a 31 µmol/litro (75 a 175 µg/dl) en hombres. • Aproximadamente 2 µmol/litro (10 µg/dl) en mujeres. • La concentración sérica de hierro se ve afectada por varios procesos fisiológicos y patológicos:
  • 45.
    • Fisiológicos: • Tieneun ritmo diurno: tiene su punto máximo entre las 7 y las 10 AM • Disminuye hacia el momento del sangrado menstrual. • Patológicos: • Procesos inflamatorios agudos o crónicos. • Tumores malignos. • Infarto agudo del miocardio.
  • 46.
    CAPACIDAD DE FIJACIÓNDEL HIERRO Y SATURACIÓN DE TRANSFERRINA. • Es una medida de la cantidad de transferrina en sangre. • Normalmente existe suficiente transferrina para ligar: • 4,4 a 8,0 µmol (250 a 450 µg) de hierro; la [ ] normal de hierro es de 1,8 µmol/dl. • La transferrina esta saturada en un tercio con hierro. • La capacidad latente de unión al hierro se mide con hierro radioactivo o por técnicas espectrofotométricas. • Normalmente la transferrina esta saturada entre 20% al 50% con hierro. • En la deficiencia de hierro las capacidad total y latente de unión al hierro están aumentadas.
  • 47.
    FERRITINA SÉRICA. • Secorrelaciona con los depósitos de hierro en la totalidad del cuerpo. • Las concentraciones de 10 µg/l o menores son características de anemia por deficiencia de hierro. • En la deficiencia de hierro son anemia; se encuentra una ferritina de 10 a 20 µg/l.
  • 48.
    FERRITINA ERITROCITARIA. • Suconcentración esta aumenta en talasemias o anemias sideroblásticas. • Disminuye su concentración en anemias por deficiencia de hierro.
  • 49.
    PROTOPORFIRINA ZINC ERITROCITARIA. • Estaaumentada en los trastornos de la síntesis del hemo, como: • Deficiencia de hierro. • Intoxicación por plomo. • Anemias sideroblásticas. • Otras enfermedades. • Bastante sensible en el diagnostico de deficiencia de hierro. • No diferencia entre deficiencia de hierro e intoxicación por plomo. • No diferencia la anemia que acompaña a los procesos inflamatorios o malignos.
  • 51.
  • 52.
    TRATAMIENTO • Orientarse acausa primaria, reposición del almacenamiento de hierro en los depósitos y la normalización de la Hb. • Suplementación de hierro • En base a severidad de la anemia, se elegirá la vía de administración.
  • 53.
    TX. CON HIERROVO. • Asintomàtico con anemia ferropènica. Nombre genérico Comprimido (contenido en hierro )mg Jarabe (contenido en hierro ), mg en 5 ml SULFATO FERROSO 325 (65) 195 (39) 300 (60) 90 (18) De liberación prolongada 525 (105) FUMARATO FERROSO 325 (107) 195 (64) 100 (33) GLUCONATO FERROSO 325(39) 300 (35) HIERRO-POLISACÀRIDOS 150(150) 50(50) 100 (100) AC. ASC 15 MIN ANTES A. FRUCTOSA Y CISTEÌNA C/ALIMENTOS, + TOLERADO
  • 54.
    • No importala presentación del medicamento que contenga hierro, la absorción intestinal del mismo en condiciones normales es del 10 al 12% como máximo; pero si el grado de anemia ferropénica es severo entonces la absorción puede aumentar hasta tres veces más.
  • 55.
    EFECTOS ADVERSOS • Náuseas,vómitos, dolor de estómago, estreñimiento. • La formación de FeSO3, es una causa de estreñimiento durante el tratamiento con sulfato ferroso. • Este es un inhibidor de la función del IG. Niños-pigmentación café marrón de los dientes. Las defecaciones son de color negro, lo que no tiene ningún significado clínico.
  • 56.
    • Siempre quesea posible se recomendará que la administración de hierro sea por vía oral. La dosis con base en el hierro elemental es: Niños de: 3 a 6 mg/kg/día en una o tres dosis. • Adultos: 180 mg/día dividido en tres dosis
  • 57.
    TIEMPO DE PRESCRIPCIÓN •Variable • Una vez obtenido el valor NL de Hb y Hto debe continuarse con su admon., a la misma dosis, durante un tiempo similar al que fue necesario para alcanzar la normalización de la Hb para reponer los depósitos de hierro
  • 58.
    LA ABSORCIÒN • BloqueadoresH2, tetraciclinas, leche y bebidas carbonatadas que contienen fosfatos y multivitamínicos con sales de calcio, fósforo o magnesio . • Medicamentos (sulfato y gluconato ferrosos), no tomar Fe las 2 primeras horas después de haber ingerido alimentos o antiácidos. Tomarlos de 15 a 30 minutos antes de los alimentos y no acompañarlos con lácteos.
  • 59.
    TRATAMIENTO IV • Intoleranciadigestiva severa al hierro oral. • Patología digestiva que contraindique la vía oral. • En casos de anemia severa. • Hemorragia digestiva persistente
  • 61.
    EFECTOS ADVERSOS (IV) •Flebitis, espasmos, manchas en la piel • . Las manifestaciones sistémicas son: HTA, dolor esternal, dolor múscular, elevación de la temperatura (hasta 40º).
  • 62.
    • Existen dosmétodos de empleo de hierro IV : una es administrar la dosis total de hierro necesaria para corregir el déficit de Hb y proporcionar al paciente depósitos de por lo menos 500 mg . • Repetir dosis pequeñas de hierro IV a lo largo de un período prolongado .CENTROS DE DIÁLISIS -100 MG de hierro elemental a la semana x 10 s emanas======== Aumentar la = eritropoyetina
  • 63.
    • La cantidadde hierro que necesita un determinado paciente se calcula con la siguiente fórmula: PCX2.3X(15-Hb del paciente/100 ml )+500 ò 1000 mg (para depósitos)
  • 64.
    TRANSFUSIÓN DE ERITROCITOS •Alternativa adyuvante en pacientes con anemia severa con descompensación hemodinámica hasta la desaparición de los síntomas o en caso de cirugía de urgencia y comorbilidad asociada a hipoxia tisular (infección, desnutrición, diarrea crónica, con IR y anemia aguda resultante de una hemorragia),problemas renales.
  • 65.
    • Se recomienda,en el caso de escolares y adolescentes, aumentar el aporte de hierro dietético fundamentalmente a través de alimentos de origen animal. En los casos de hipersensibilidad a la proteína de la leche de vaca, ésta deberá suprimirse o sustituirse por una fórmula adecuada.
  • 66.
    PROFILAXIS • Se debeutilizar una suplementación preventiva con hierro en las siguientes situaciones: • • Grupo perinatal: en el caso de niños prematuros, pequeños para la EG, producto de gestaciones múltiples, presencia de hemorragias uteroplacentarias o neonatales, toma de múltiples muestras de laboratorio y ferropenia materna severa, se debe dar suplementación preventiva con hierro por vía oral de 2 a 4 mg/kg/día por 3 a 6 meses.
  • 67.
    LACTANTES: • En elcaso de que reciban exclusivamente lactancia materna por más de seis meses o se les inicie alimentación con leche de vaca antes del primer año, se deberán proporcionar productos como cereales enriquecidos con hierro, alimentos de origen animal (excepto leche de vaca) y suplementación preventiva con hierro por vía oral de 2 a 4 mg/kg/día hasta los 12 meses.
  • 68.
    ADOLESCENTES: • Debido aluso de dietas desequilibradas, hipocalóricas, vegetarianas o mujeres con sangrados menstruales abundantes, se deberá suplementar con hierro 400 mg/día
  • 69.
    MUJERES EMBARAZADAS • Esmuy común usar complejos de hierro (30- 50 mg) con vitaminas que incluyan ácido fólico y vitamina B12, lo cual es insuficiente ya que existen muchos estudios que confirman la ineficacia de este tratamiento para la anemia. • En mujeres embarazadas con anemia ferropénica se debe utilizar dosis de hierro de 100 mg cada 12 horas con vitamina C durante todo el embarazo.
  • 70.
    CONTROL DE LATERAPIA Después de 1 mes la Hb y eritros en cifras NL .Debido a la saturabilidad del depósito se continúa el Tx. de 1-2 meses más con dosis de hierro más pequeñas (la ½ de la dosis inicial) y con control de BH , QS.