Anemias carenciales
Mario Arel Aranda
Es la disminución de la concentración de la Hb por
debajo de los valores normales para la edad y sexo.
Hombres
< 14 g/dL Mujeres
< 12 g/dL
Índices eritrocíticos
VCM
90± 8 fl
HCM
30 ± 3pg
CCMH
33 ± 2 %
Edad y sexo Hb g/100 mL HTC %
Adolescente 13 40
Varón adulto 16 ±2 47±6
Mujer adulta (m) 13±2 40±6
M. Adulta (pm) 14±2 42±2
Embarazo 12±2 37±6
 Microcitosis= VCM < 80
 Macrocitosis= VCM > 100
ANEMIA
HEMOLITICA
EXTRACORPUSCULAR
ES
ANEMIA HEMOLÍTICA
AUTOINMUNE
ANEMIA HEMOLÍTICA
MICROANGIOPATICA
ANEMIA HEMOLÍTICA
MECÁNICA,
TOXICAS O
INFECCIOSAS
CORPUSPULARE
S
HEMOGLOBINOPATIAS
MEMBRANOPATIAS
ENZIMOPATIAS
Diagnosticodiferencial deAnemias
Anemia con exceso
De producción
Reticulocitos > 2 %
Signos de
pérdida
de sangre
Hemorragia
Signos de
hemólisis
Test de Coombs
(+)
Incompatibilidad
ABO
Incompatibilidad
Rh
Anemia hemolítica
autoinmune
Lupus eritematoso
sistémico
Test de Coombs
(--)
Electroforesis
Detección de G6PD
Prueba de fragilidad osmótica
Anemia
drepanocitica
Talasemia
Anemia hemolítica
microangiopática
Deficit de G6PD
Esferocitosis
Eliptocitosis
Inflamación
aguda y
crónica
Lesión
medular
Ferropénica
Captacióndel Hierro
Absorción del Hierro
a) absorción espontánea de Fe 2+: presencia de las
llamadas sustancias facilitadoras presentes en los
alimentos constituyen la llamada actividad reductora
exógena, que permite la reducción espontánea del
Fe3+ a Fe 2+. Mediante la acción de la proteína
trasnportadora de metales divalentes (DMT1) puede
ingresar
b) Absorción facilitada del Fe 2+: Existe un citocromo de
extraordinaria expresión en las vellocidades del
intestino delgado, con actividad ferrorreductasa
c) Absorción del Fe hemínico: los grupos hemínicos son
específicamente transportados hacia el interior del
enterocito por una proteína altamente especializada en
el transporte del HEM, conocida como HCP1
(HEMcarrier protein-1). Una vez ingresado al
enterocito, el grupo HEM es degradado por la HEM-
oxigenasa y el Fe es liberado como Fe2+, para sumarse
al pool de Fe lábil
d) Absorción (directa) del Fe3+ : el macrocomplejo Muscina-
Fe3+-Mobilferrina-β2-integrina es internalizado dentro del
enterocito
Los cuatro mecanismos descriptos terminan generando
un pool de Fe 2+, o hierro lábil, listo para ser
transportado hacia el plasma por acción de la ferroportina.
Regulación de la absorción
 CICLO DEL HIERRO  Circula en el plasma unido a la
transferrina.
Su semieliminación dura 60 –
90 min. En ferropenia de 10 – 15
min y en suspensión de médula
eritroide, varias horas.
Concentración plasmática de Fe
de 80 – 100 pg/ 100 ml = 20- 24
mg/día.
El complejo Fe – transferrina
circula en el plasma hasta que
reacciona con los RT en los
eritrocitos
Este nuevo complejo se
endocita por las fositas de clatrina
y adentro, por un pH ácido, es
liberado el hierro
1ug/l de ferritina en plasma = 10 mg de Fe de reserva
Valores inferiores a 12 ug/l son indicativos de deficiencia de Fe, en tanto
que valores superiores a 500 ug/l se observan en cuadros de
hemocromatosis o hemosiderosis.
La pérdida de sangre mensual promedio es aproximadamente de 26-30 ml
y equivale a 12-15 mg de Fe
Las pérdidas menstrualesaumentan luego del embarazo, pero disminuyen
con los anticonceptivos orales. Sin embargo, el uso de los dispositivos
intrauterinos incrementan las pérdidas.
Almacenamientoy distribución
Cuando el Fe es transportado por la transferrina de la circulación, una parte
importante (90%) es transferida en la médula ósea hacia las células de la línea
formadora de eritrocitos, especialmente los normoblastos y reticulocitos. Una
vez dentro de las células, una parte va hacia las mitocondrias para la síntesis
del HEM y la Hb, y otra cantidad menor se almacena como ferritina. El resto del
Fe absorbido es almacenado en parte en el hígado y en el bazo. Otra fracción
se destina a la reproducción celular.
El Fe unido a la transferrina circulante proviene tanto del Fe absorbido en el
tracto gastrointestinal como en el aportado por la destrucción principalmente
esplénica de los glóbulos rojos envejecidos (o alterados). Otra fuente de Fe es
la de los depósitos: el nivel de aporte de este compartimento resulta más
importante a medida que las pérdidas son mayores que la absorción, hasta
agotar dichos depósitos. Así, el intercambio de Fe entre los diferentes
compartimentos es constante, dinámico, cambiante y muy activo.
La ferritina se caracteriza por ser una carcasa proteica que rodea (cubre)
un “corazón de hierro”. Y, como buena protagonista de una novela épica
(de título acorde), la ferritina romperá su corazón ante la adversidad de la
sobrecarga y se desnaturalizará en los lisosomas secundarios a la forma
de hemosiderina, como último capítulo del camino hacia el responso final,
en el depósito intracelular
Sangre
Hb
Hto
Balance
Negativo
de hierro
Eritropoyesis
ferropenica
Anemia
ferropenica
Hemorragia
Embarazo.
Crecimiento
acelerado
Bajo aporte
Fe
Deposito
de Hierro
Sistema RE
Hierro Serico
Capacidad Total de
fijación de hierro.
Protoporfirina
eritrocitaria
Normales
Ferritina
Ferritina
< 15 µg/dl
Hierro Serico
Capacidad Total de
fijación de hierro.
Protoporfirina
eritrocitaria
Saturación
transferrina
20 a 25%
Síntesis
Hb
Saturación
transferrina
10 a 15%Microcitosis
Hipocromía
FASES DE LA ANEMIA FERROPÉNICA
El hierro participa en la síntesis del hemo mientras que
el complejo ferritina – receptor se recicla.
En el interior de la célula, el Fe se une a la apoferritina
y forma ferritina
El Fe incorporado con la Hb entra en la circulación
cuando los nuevos eritrocitos se liberan de la M.O
Cuando muere el eritrocito, la hemoglobina se
degrada, la globina y otras proteínas son reservas de
aminoácidos y el hierro se devuelve a la superficie de la
célula RE que lo presenta a la transferrina circulante
 Se necesitan de 16 – 20 mg/ día para sustituir los
eritrocitos perdidos por envejecimiento.
La única forma de excreción del hierro es por pérdida
sanguínea y por descamación de células
 Ingresa por ingesta de alimentos o medicinas
 El hierro en forma de hemo (carnes rojas) se absorbe
con facilidad
 Hombre ingiere 15 mg/ día de Fe y absorbe 6%, Mujer:
11 mg y absorbe 12 %
 Los alimentos que contienen fitatos y fosfatos reducen
la absorción de Fe hasta un 50 %
En el último trimestre del embarazo las necesidades de
Fe aumentan de 5 a 6 mg.
Hematología
En la mayoría de los casos se desarrolla una anemia
microcítica hipocrómica con un VCM <81 fl.
En casos de anemias bien establecidas, el VCM llega a
niveles de aproximadamente 70 fl. El uso de
contadores hematológicos automáticos (con
hematocritos calculados) se hace más confiable el
valor de la Hemoglobina Corpuscular Media (HCM)
que el de la Concentración de Hb Corpuscular Media
(CHCM).
Una anemia microcítica con RDW aumentado sería
indicativo de anemia ferropénica
En tanto que un RDW normal sería más
correlacionado con Betta talasemia minor
Diagnosticode laboratorio
La presencia de transferrinas elevadas, y por ende, un
porcentaje de saturación bajo, son parámetros que se
correlacionan con este diagnóstico.
Quizás el elemento diagnóstico que mejor permite
definir una anemia por deficiencia de Fe es la ferritina
baja (<12 ug/l). El valor de corte puede variar
(incrementarse) en ancianos.
Una vez certificada la narutaleza carencial de la
anemia, se debe investigar la etiología de dicha
deficiencia.
Deficiencia de Fe severa
Deficiencia de Fe intermedia
RBC: 3.85 M/µL
HGB: 7.4 g/dL
HCT: 24.3 %
MCV: 63 fL
MCH: 19.2 pg
MCHC: 30.5
g/dL
RDW: 21.5%
RBC: 4.24 M/µL
HGB: 10.5 g/dL
HCT: 32.6 %
MCV: 77 fL
MCH: 24.8 pg
MCHC: 32.2 g/dL
RDW: 17.7%
Clínicade la Ferropenia
a) Glositis (lengua lisa, roja y brillante con ardor y/o dolor)
b) Fisuras en los ángulos de la boca
c) Clorosis (palidez con cierto tono verdoso de la piel)
d) Fragilidad de uñas con estrías longitudinales y, en
casos más severos, aplanamiento o coiloniquia (forma
de cuchara)
e) Piel seca y descamada
f) Fragilidad y caída del cabello
h) Anorexia
i) Síndrome de PICA. Este es un cuadro muy característico
en casos severos : geofagia (tierra), pagofagia (hielo), piedritas,
cal deparedes, granos de café, almidón, zanahorias
Palidez
Queilosis
Coiloniquia
Fatiga
Aumento de la demanda
de Fe y/ o hematopoyesis
Crecimiento rápido en la
lactancia o adolescencia
Embarazo
Tratamiento con EPO
Aumento de las pérdidas
de FE
Hemorragia aguda/
crónica
Menstruación
Donación de sangre
Disminución de la abs. o
ingestión de Fe
Alimentación deficiente
Malabsorción por
patología o cirugía
Inflamación aguda o
crónica
Diagnóstico
diferencial
Talasemia
Enfermedad
inflamatoria
crónica
Sd.
mielodisplásico
Transfusión de eritrocitos Tx. Con hierro por vía oral
Tx. Parenteral con hierro
Peso corporal (Kg) x 23 x (15
–Hb del pcte g/ 100 mi + 500
o 1000 mg
TRATAMIENTO
Pruebas Ferropenia Inflamación Nefropatía Hipometabo
lismo
Anemia Leve a
intensa
Leve Leve a
intensa
Leve
MCV (fl) 60 - 90 80 - 90 90 90
Morfología Normomicro
cítica
Normocítica Normocítica Normocítica
Sideremia < 30 < 50 Normal Normal
TIBC > 360 < 300 Normal Normal
Saturación (%) < 10 10 - 20 Normal Normal
Ferritina sérica
(pg/ l)
< 15 30 - 200 115 - 150 Normal
Depósitos de Fe 0 2 – 4 + 1 – 4 + Normal
Transfusiones
• Pacientes sin trastornos
cardiacos pueden
soportar hasta 8 mg/ 100
mi
• En situaciones graves se
mantiene por encima de
11 mg/ 100 mi
• ! Unidad de concentrado
de eritrocitos aumenta
1g la concentración de
Hb
Eritropoyetina
• En IRC 50 – 150 U/ kg 3
veces x semana iv
• Reponer Fe para que
haga efecto. Se puede
recuperar hasta 12 g en 4
– 6 semanas
• Caída de Hb durante tx
= infección ó déficit de
Fe
Grupo de trastornos
con morfología
distintiva en los
eritrocitos en
desarrollo
Deficiencia de
cobalamina o folatos
COBALAMINA
- Fuentes alimenticias: carne,
pescado, lácteos.
- Alimentación usual ofrece
entre 5 y 30 ug y elimina entre
1 y 3 ug/ día
- Requerimientos de 1ª 3 ug. as
reservas sirven hasta 3 o 4
años si se suspende el aporte.
Absorción: activa por el FI
gástrico y pasiva en mucosa
bucal, duodena e ileon.
-Transporte: haptocorrina TC
I y TC II
 La cobalamina es liberada por enzimas del estómago,
duodeno y yeyuno, se combina con la haptocorrina. En
el intestino la HC es digerida por la tripsina
pancreática, así que la cobalamina vuelve al FI.
 El FI es producido en las células del fondo y cuerpo
gástricos.
 El complejo IF – cobalamina pasa al ileon donde el IF
se adhiere a la cubilina de los enterocitos.
 El complejo penetra en la célula ileal y ahí se destruye
al IF.
 Después de 6h la cobalamina aparece en la sangre de la
vena porta unida a la transcobalamina
 Definición: aquellas anemias causadas por una alteración en
la maduración de los precursores de la serie roja , debido a
anomalía en síntesis de ADN.
 Etiopatogenia
DEFICIT DE ACIDO
FÓLICO
DEFICIT DE VITAMINA
B 12
ANEMIAS MEGALOBLÁSTICAS
En adultos es una enfermedad de origen autoinmune.
En un 90% de los casos se asocia a la presencia de
anti cuerpos anti-células parietales (productoras del
FI). Existe atrofia gástrica lo que origina un descenso
de producción de acido y FI con una posterior
alteración en la absorción de la vitamina B12. En un
50% de casos se asocia a anticuerpos anti FI.
Existe una posible predisposición genética. Tipicamen-
te existe una atrofia de la mucosa gástrica que respec-
ta al antro. Existe una anemia megaloblastica juvenil que
aparece en menores de 10 años en los que el FI no es
activo y no se observan anticuerpos.
Vitamina B12 (Cianocobalamina)
 Absorción en ileon
 Requiere Factor Intrínseco (glicoproteína) producido por
células parietales del estómago (paralela al ácido
clorhídrico)
 Transporte en plasma unido a transcobalamina II que la
entrega a tejidos
 Depósitos en hígado: 2 a 7 mg (adulto)
 Circulación éntero-hepática 1 μg/d
 Interviene en la síntesis de ADN, ARN y proteínas
 Interviene en la formación de glóbulos rojos.
 Mantiene la vaina de mielina de las células nerviosas
 Participa en la síntesis de neurotransmisores
 Es necesaria en la transformación de los acidos grasos en
energía
 Ayuda a mantener la reserva energética de los músculos
 Interviene en el buen funcionamiento del sistema inmune
 Necesaria para el metabolismo del ácido folico.
Acido Fólico (Pteroilglutámico)
 Absorción en intestino delgado proximal
 Depende de hidrólisis de los poliglutamatos a los
monoglutamatos metiltetrahidrofolato por la
carboxipeptidasa y dihidrofolatoreductasa de células
intestinales
 Metiltetrahidrofolato es transportada por varias proteínas a
los tejidos para síntesis de purinas, pirimidinas y DNA
 Excreción por bilis y reabsorción en intestino (ciclo éntero-
hepático)
 Depósitos en hígado: 5 a 20 mg (según aporte)
 Aporte en hígado, riñón, vegetales verdes frescos
 Cocción altera absorción en 70 a 100%
 Requerimiento diario 3 a 5 μg/d
 Reservas duran 4 meses
Vías metabólicas de ácido fólico y
vitamina B 12
Cuadro hematológico
 Alteraciones en morfología eritrocitaria: macrocitos, anisocitosis, punteado
basófilo.
 Volumen corpuscular medio superior a 95 fl hasta 140 fl.
 Cifra de reticulocitos baja.
 PMN polisegmentados, con cierta frecuencia leucopenia y/o trombocitopenia.
Alteraciones bioquímicas
 Eritripoyesis ineficaz y hemólisis intramedular.
Alteraciones de médula ósea
 Maduración megaloblástica, hiperplasia de la serie roja
(proeritoblastos y eritoblastos basófilos) con alteraciones (gigantismo, cromatina
reticulada, asincronía madurativa nucleocitoplasmática). Anomalías en la serie
blanca.
Aumento de la bilirrubina y del LDH
ANEMIAS MEGALOBLÁSTICAS: HALLAZGOS
RBC: 2.94 M/µL
HGB: 10.2 g/dL
HCT: 31.8 %
MCV: 108 fL
MCH: 34.7 pg
MCHC: 32.1 g/dL
RDW: 22.8 %
Anemia Megaloblástica: Laboratorio
 Niveles de B12 ( VN 200-500 pg/ml, dg<100)
 Niveles de folatos (VN 5 a 30 ng/ml, dg<4)
 LDH, bilirrubina
Alteraciones digestivas
Glositis con lengua lisa y brillante
Flatulencias y digestión pesada
Diarrea
Alteraciones neurológicas
Parestesias de inicio distal
Ataxia y trastornos motores de miembros
inferiores
De sensibilidad vibratoria en miembros
inferiores
Alteraciones Psiquiátricas Falta de concentración hasta demencia
ANEMIAS MEGALOBLÁSTICAS: CUADRO CLÍNICO
Macrocitosis
• Aumento del
número de
células
multinucleadas
y moribundas
Complicaci
ones
embarazo
Defectos
en tubo
neural
Enfermedade
s
cardiovascul
ares
• Valvulopatía
• Enfermedad
vascular cerebral
• Embolia
pulmonar
Neoplasias
malignas
Afecciones
neurológicas
Sangre
periférica
• Macrocitos
ovalados
• Anisocitois y
poiquilocitosi
s
• Mcv > 100 fl
Médula ósea
• Hipercelularidad
, cambios
intermedios,
leves,
incipientes
Cromosomas
• Constricciones
cromosómicas
• Roturas
fortuitas
Hematopoyes
is ineficaz
• Bilirrubina no
conjugada en
plasma
• Urobilinógeno
urinario
Aporte
insuficiente
en la
alimentación
Anemia
perniciosa
• Secreción de ac. Clorhídrico, pepsina y FI disminuye
• Concentración sérica de gastrina se eleva y pepsinógeno I disminuye
• Biopsia: atrofia de todas las capas de cuerpo y fondo del estómago, pérdida de elementos glandulares,
células parietales y principales, en ocasiones metaplasia intestinal
• Anticuerpos séricos: dos anticuerpos de IgG contra FI
Gastrectomía
• La deficiencia de cobalamina es muy común
• Iniciar tratamiento con vitamina después de la cirugía
Absorción
deficiente de
cobalamina
• Falta de liberación de cobalamina de las proteínas fijadoras
• Más común en ancianos
Causas
intestinales
• Sx del asas intestinal con estancamiento, resección ileal, síndrome de Imerslund esprue tropical,
enteropatía por gluten, pancreatitis crónica, Zollinger- Ellinson
Anormalidades
adquiridas del
metabolismo de la
Cobalamina:
inhalación de
óxido nitroso
Nutricional
Kwashiorkor, escorbuto,
alimentación con leche
de cabra
Absorción deficiente
Esprue tropical,
enteropatía por gluten
Consumo excesivo
Embarazo
Trastornos
hematológicos
Anemia hemolítica
crónica, anemia
drepanocítica
Trastornos inflamatorios
Tb, AR, enfermedad de
Crohn,
Homocistinuria
• Trastorno de ocnversión de
homocisteína a cistationina
Diálisis prolongada
ICC y hepatopatías
• Algunos pacientes eliminan más
de 100 pg en la orina
Fármacos antifolatos Anomalías congénitas
 Cobalamina sérica: entre 160 – 200 ng/L hasta 1000 ng/l
normal. < 100 ng/l
 Metilmalonato y homocisteína en suero: 350 ng/l normal .
Homocisteína sérica se eleva en las primeras etapas de
deficiencia de cobalamina y folato.
Absorción de ocbalamina: cianocobalamina radioactiva v.o. 2
horas después cianocobalamina IM. Obtención de orina de 24
horas.
 Folato sérico: se mide por ELISA. Valor normal 2 - 15 pg/l
 Folato eritrocítico: 160 – 640 pg/l
 Deficiencia de cobalamina:
6 inyecciones hidroxicobalamina IM de 1000 ug con
intervalos de 3 a 7 días. Mantenimiento: 1000 ug c/ 3
meses
 Deficiencia de folato:
Acido fólico: 5 -15 mg/ día x 4 meses
Acido folínico,
ácido fólico profiláctico: embarazo 400 pg/ día antes y
durante el embarazo
Anemias carenciales
Anemias carenciales

Anemias carenciales

  • 1.
  • 2.
    Es la disminuciónde la concentración de la Hb por debajo de los valores normales para la edad y sexo. Hombres < 14 g/dL Mujeres < 12 g/dL
  • 3.
    Índices eritrocíticos VCM 90± 8fl HCM 30 ± 3pg CCMH 33 ± 2 % Edad y sexo Hb g/100 mL HTC % Adolescente 13 40 Varón adulto 16 ±2 47±6 Mujer adulta (m) 13±2 40±6 M. Adulta (pm) 14±2 42±2 Embarazo 12±2 37±6  Microcitosis= VCM < 80  Macrocitosis= VCM > 100
  • 4.
    ANEMIA HEMOLITICA EXTRACORPUSCULAR ES ANEMIA HEMOLÍTICA AUTOINMUNE ANEMIA HEMOLÍTICA MICROANGIOPATICA ANEMIAHEMOLÍTICA MECÁNICA, TOXICAS O INFECCIOSAS CORPUSPULARE S HEMOGLOBINOPATIAS MEMBRANOPATIAS ENZIMOPATIAS
  • 5.
    Diagnosticodiferencial deAnemias Anemia conexceso De producción Reticulocitos > 2 % Signos de pérdida de sangre Hemorragia Signos de hemólisis Test de Coombs (+) Incompatibilidad ABO Incompatibilidad Rh Anemia hemolítica autoinmune Lupus eritematoso sistémico Test de Coombs (--) Electroforesis Detección de G6PD Prueba de fragilidad osmótica Anemia drepanocitica Talasemia Anemia hemolítica microangiopática Deficit de G6PD Esferocitosis Eliptocitosis
  • 6.
  • 8.
  • 9.
    Absorción del Hierro a)absorción espontánea de Fe 2+: presencia de las llamadas sustancias facilitadoras presentes en los alimentos constituyen la llamada actividad reductora exógena, que permite la reducción espontánea del Fe3+ a Fe 2+. Mediante la acción de la proteína trasnportadora de metales divalentes (DMT1) puede ingresar b) Absorción facilitada del Fe 2+: Existe un citocromo de extraordinaria expresión en las vellocidades del intestino delgado, con actividad ferrorreductasa
  • 10.
    c) Absorción delFe hemínico: los grupos hemínicos son específicamente transportados hacia el interior del enterocito por una proteína altamente especializada en el transporte del HEM, conocida como HCP1 (HEMcarrier protein-1). Una vez ingresado al enterocito, el grupo HEM es degradado por la HEM- oxigenasa y el Fe es liberado como Fe2+, para sumarse al pool de Fe lábil d) Absorción (directa) del Fe3+ : el macrocomplejo Muscina- Fe3+-Mobilferrina-β2-integrina es internalizado dentro del enterocito Los cuatro mecanismos descriptos terminan generando un pool de Fe 2+, o hierro lábil, listo para ser transportado hacia el plasma por acción de la ferroportina.
  • 13.
  • 14.
     CICLO DELHIERRO  Circula en el plasma unido a la transferrina. Su semieliminación dura 60 – 90 min. En ferropenia de 10 – 15 min y en suspensión de médula eritroide, varias horas. Concentración plasmática de Fe de 80 – 100 pg/ 100 ml = 20- 24 mg/día. El complejo Fe – transferrina circula en el plasma hasta que reacciona con los RT en los eritrocitos Este nuevo complejo se endocita por las fositas de clatrina y adentro, por un pH ácido, es liberado el hierro
  • 15.
    1ug/l de ferritinaen plasma = 10 mg de Fe de reserva Valores inferiores a 12 ug/l son indicativos de deficiencia de Fe, en tanto que valores superiores a 500 ug/l se observan en cuadros de hemocromatosis o hemosiderosis. La pérdida de sangre mensual promedio es aproximadamente de 26-30 ml y equivale a 12-15 mg de Fe Las pérdidas menstrualesaumentan luego del embarazo, pero disminuyen con los anticonceptivos orales. Sin embargo, el uso de los dispositivos intrauterinos incrementan las pérdidas.
  • 17.
    Almacenamientoy distribución Cuando elFe es transportado por la transferrina de la circulación, una parte importante (90%) es transferida en la médula ósea hacia las células de la línea formadora de eritrocitos, especialmente los normoblastos y reticulocitos. Una vez dentro de las células, una parte va hacia las mitocondrias para la síntesis del HEM y la Hb, y otra cantidad menor se almacena como ferritina. El resto del Fe absorbido es almacenado en parte en el hígado y en el bazo. Otra fracción se destina a la reproducción celular. El Fe unido a la transferrina circulante proviene tanto del Fe absorbido en el tracto gastrointestinal como en el aportado por la destrucción principalmente esplénica de los glóbulos rojos envejecidos (o alterados). Otra fuente de Fe es la de los depósitos: el nivel de aporte de este compartimento resulta más importante a medida que las pérdidas son mayores que la absorción, hasta agotar dichos depósitos. Así, el intercambio de Fe entre los diferentes compartimentos es constante, dinámico, cambiante y muy activo.
  • 19.
    La ferritina secaracteriza por ser una carcasa proteica que rodea (cubre) un “corazón de hierro”. Y, como buena protagonista de una novela épica (de título acorde), la ferritina romperá su corazón ante la adversidad de la sobrecarga y se desnaturalizará en los lisosomas secundarios a la forma de hemosiderina, como último capítulo del camino hacia el responso final, en el depósito intracelular
  • 20.
    Sangre Hb Hto Balance Negativo de hierro Eritropoyesis ferropenica Anemia ferropenica Hemorragia Embarazo. Crecimiento acelerado Bajo aporte Fe Deposito deHierro Sistema RE Hierro Serico Capacidad Total de fijación de hierro. Protoporfirina eritrocitaria Normales Ferritina Ferritina < 15 µg/dl Hierro Serico Capacidad Total de fijación de hierro. Protoporfirina eritrocitaria Saturación transferrina 20 a 25% Síntesis Hb Saturación transferrina 10 a 15%Microcitosis Hipocromía FASES DE LA ANEMIA FERROPÉNICA
  • 21.
    El hierro participaen la síntesis del hemo mientras que el complejo ferritina – receptor se recicla. En el interior de la célula, el Fe se une a la apoferritina y forma ferritina El Fe incorporado con la Hb entra en la circulación cuando los nuevos eritrocitos se liberan de la M.O Cuando muere el eritrocito, la hemoglobina se degrada, la globina y otras proteínas son reservas de aminoácidos y el hierro se devuelve a la superficie de la célula RE que lo presenta a la transferrina circulante  Se necesitan de 16 – 20 mg/ día para sustituir los eritrocitos perdidos por envejecimiento.
  • 22.
    La única formade excreción del hierro es por pérdida sanguínea y por descamación de células  Ingresa por ingesta de alimentos o medicinas  El hierro en forma de hemo (carnes rojas) se absorbe con facilidad  Hombre ingiere 15 mg/ día de Fe y absorbe 6%, Mujer: 11 mg y absorbe 12 %  Los alimentos que contienen fitatos y fosfatos reducen la absorción de Fe hasta un 50 % En el último trimestre del embarazo las necesidades de Fe aumentan de 5 a 6 mg.
  • 23.
    Hematología En la mayoríade los casos se desarrolla una anemia microcítica hipocrómica con un VCM <81 fl. En casos de anemias bien establecidas, el VCM llega a niveles de aproximadamente 70 fl. El uso de contadores hematológicos automáticos (con hematocritos calculados) se hace más confiable el valor de la Hemoglobina Corpuscular Media (HCM) que el de la Concentración de Hb Corpuscular Media (CHCM). Una anemia microcítica con RDW aumentado sería indicativo de anemia ferropénica En tanto que un RDW normal sería más correlacionado con Betta talasemia minor
  • 24.
    Diagnosticode laboratorio La presenciade transferrinas elevadas, y por ende, un porcentaje de saturación bajo, son parámetros que se correlacionan con este diagnóstico. Quizás el elemento diagnóstico que mejor permite definir una anemia por deficiencia de Fe es la ferritina baja (<12 ug/l). El valor de corte puede variar (incrementarse) en ancianos. Una vez certificada la narutaleza carencial de la anemia, se debe investigar la etiología de dicha deficiencia.
  • 25.
    Deficiencia de Fesevera Deficiencia de Fe intermedia
  • 26.
    RBC: 3.85 M/µL HGB:7.4 g/dL HCT: 24.3 % MCV: 63 fL MCH: 19.2 pg MCHC: 30.5 g/dL RDW: 21.5% RBC: 4.24 M/µL HGB: 10.5 g/dL HCT: 32.6 % MCV: 77 fL MCH: 24.8 pg MCHC: 32.2 g/dL RDW: 17.7%
  • 27.
    Clínicade la Ferropenia a)Glositis (lengua lisa, roja y brillante con ardor y/o dolor) b) Fisuras en los ángulos de la boca c) Clorosis (palidez con cierto tono verdoso de la piel) d) Fragilidad de uñas con estrías longitudinales y, en casos más severos, aplanamiento o coiloniquia (forma de cuchara) e) Piel seca y descamada f) Fragilidad y caída del cabello h) Anorexia i) Síndrome de PICA. Este es un cuadro muy característico en casos severos : geofagia (tierra), pagofagia (hielo), piedritas, cal deparedes, granos de café, almidón, zanahorias
  • 28.
  • 29.
    Aumento de lademanda de Fe y/ o hematopoyesis Crecimiento rápido en la lactancia o adolescencia Embarazo Tratamiento con EPO Aumento de las pérdidas de FE Hemorragia aguda/ crónica Menstruación Donación de sangre Disminución de la abs. o ingestión de Fe Alimentación deficiente Malabsorción por patología o cirugía Inflamación aguda o crónica
  • 30.
  • 32.
    Transfusión de eritrocitosTx. Con hierro por vía oral Tx. Parenteral con hierro Peso corporal (Kg) x 23 x (15 –Hb del pcte g/ 100 mi + 500 o 1000 mg TRATAMIENTO
  • 33.
    Pruebas Ferropenia InflamaciónNefropatía Hipometabo lismo Anemia Leve a intensa Leve Leve a intensa Leve MCV (fl) 60 - 90 80 - 90 90 90 Morfología Normomicro cítica Normocítica Normocítica Normocítica Sideremia < 30 < 50 Normal Normal TIBC > 360 < 300 Normal Normal Saturación (%) < 10 10 - 20 Normal Normal Ferritina sérica (pg/ l) < 15 30 - 200 115 - 150 Normal Depósitos de Fe 0 2 – 4 + 1 – 4 + Normal
  • 34.
    Transfusiones • Pacientes sintrastornos cardiacos pueden soportar hasta 8 mg/ 100 mi • En situaciones graves se mantiene por encima de 11 mg/ 100 mi • ! Unidad de concentrado de eritrocitos aumenta 1g la concentración de Hb Eritropoyetina • En IRC 50 – 150 U/ kg 3 veces x semana iv • Reponer Fe para que haga efecto. Se puede recuperar hasta 12 g en 4 – 6 semanas • Caída de Hb durante tx = infección ó déficit de Fe
  • 36.
    Grupo de trastornos conmorfología distintiva en los eritrocitos en desarrollo Deficiencia de cobalamina o folatos COBALAMINA - Fuentes alimenticias: carne, pescado, lácteos. - Alimentación usual ofrece entre 5 y 30 ug y elimina entre 1 y 3 ug/ día - Requerimientos de 1ª 3 ug. as reservas sirven hasta 3 o 4 años si se suspende el aporte. Absorción: activa por el FI gástrico y pasiva en mucosa bucal, duodena e ileon. -Transporte: haptocorrina TC I y TC II
  • 38.
     La cobalaminaes liberada por enzimas del estómago, duodeno y yeyuno, se combina con la haptocorrina. En el intestino la HC es digerida por la tripsina pancreática, así que la cobalamina vuelve al FI.  El FI es producido en las células del fondo y cuerpo gástricos.  El complejo IF – cobalamina pasa al ileon donde el IF se adhiere a la cubilina de los enterocitos.  El complejo penetra en la célula ileal y ahí se destruye al IF.  Después de 6h la cobalamina aparece en la sangre de la vena porta unida a la transcobalamina
  • 39.
     Definición: aquellasanemias causadas por una alteración en la maduración de los precursores de la serie roja , debido a anomalía en síntesis de ADN.  Etiopatogenia DEFICIT DE ACIDO FÓLICO DEFICIT DE VITAMINA B 12 ANEMIAS MEGALOBLÁSTICAS
  • 40.
    En adultos esuna enfermedad de origen autoinmune. En un 90% de los casos se asocia a la presencia de anti cuerpos anti-células parietales (productoras del FI). Existe atrofia gástrica lo que origina un descenso de producción de acido y FI con una posterior alteración en la absorción de la vitamina B12. En un 50% de casos se asocia a anticuerpos anti FI. Existe una posible predisposición genética. Tipicamen- te existe una atrofia de la mucosa gástrica que respec- ta al antro. Existe una anemia megaloblastica juvenil que aparece en menores de 10 años en los que el FI no es activo y no se observan anticuerpos.
  • 41.
    Vitamina B12 (Cianocobalamina) Absorción en ileon  Requiere Factor Intrínseco (glicoproteína) producido por células parietales del estómago (paralela al ácido clorhídrico)  Transporte en plasma unido a transcobalamina II que la entrega a tejidos  Depósitos en hígado: 2 a 7 mg (adulto)  Circulación éntero-hepática 1 μg/d
  • 42.
     Interviene enla síntesis de ADN, ARN y proteínas  Interviene en la formación de glóbulos rojos.  Mantiene la vaina de mielina de las células nerviosas  Participa en la síntesis de neurotransmisores  Es necesaria en la transformación de los acidos grasos en energía  Ayuda a mantener la reserva energética de los músculos  Interviene en el buen funcionamiento del sistema inmune  Necesaria para el metabolismo del ácido folico.
  • 43.
    Acido Fólico (Pteroilglutámico) Absorción en intestino delgado proximal  Depende de hidrólisis de los poliglutamatos a los monoglutamatos metiltetrahidrofolato por la carboxipeptidasa y dihidrofolatoreductasa de células intestinales  Metiltetrahidrofolato es transportada por varias proteínas a los tejidos para síntesis de purinas, pirimidinas y DNA  Excreción por bilis y reabsorción en intestino (ciclo éntero- hepático)
  • 44.
     Depósitos enhígado: 5 a 20 mg (según aporte)  Aporte en hígado, riñón, vegetales verdes frescos  Cocción altera absorción en 70 a 100%  Requerimiento diario 3 a 5 μg/d  Reservas duran 4 meses
  • 45.
    Vías metabólicas deácido fólico y vitamina B 12
  • 46.
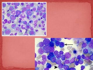
    Cuadro hematológico  Alteracionesen morfología eritrocitaria: macrocitos, anisocitosis, punteado basófilo.  Volumen corpuscular medio superior a 95 fl hasta 140 fl.  Cifra de reticulocitos baja.  PMN polisegmentados, con cierta frecuencia leucopenia y/o trombocitopenia. Alteraciones bioquímicas  Eritripoyesis ineficaz y hemólisis intramedular. Alteraciones de médula ósea  Maduración megaloblástica, hiperplasia de la serie roja (proeritoblastos y eritoblastos basófilos) con alteraciones (gigantismo, cromatina reticulada, asincronía madurativa nucleocitoplasmática). Anomalías en la serie blanca. Aumento de la bilirrubina y del LDH ANEMIAS MEGALOBLÁSTICAS: HALLAZGOS
  • 49.
    RBC: 2.94 M/µL HGB:10.2 g/dL HCT: 31.8 % MCV: 108 fL MCH: 34.7 pg MCHC: 32.1 g/dL RDW: 22.8 %
  • 50.
    Anemia Megaloblástica: Laboratorio Niveles de B12 ( VN 200-500 pg/ml, dg<100)  Niveles de folatos (VN 5 a 30 ng/ml, dg<4)  LDH, bilirrubina
  • 51.
    Alteraciones digestivas Glositis conlengua lisa y brillante Flatulencias y digestión pesada Diarrea Alteraciones neurológicas Parestesias de inicio distal Ataxia y trastornos motores de miembros inferiores De sensibilidad vibratoria en miembros inferiores Alteraciones Psiquiátricas Falta de concentración hasta demencia ANEMIAS MEGALOBLÁSTICAS: CUADRO CLÍNICO
  • 54.
    Macrocitosis • Aumento del númerode células multinucleadas y moribundas Complicaci ones embarazo Defectos en tubo neural Enfermedade s cardiovascul ares • Valvulopatía • Enfermedad vascular cerebral • Embolia pulmonar Neoplasias malignas Afecciones neurológicas
  • 55.
    Sangre periférica • Macrocitos ovalados • Anisocitoisy poiquilocitosi s • Mcv > 100 fl Médula ósea • Hipercelularidad , cambios intermedios, leves, incipientes Cromosomas • Constricciones cromosómicas • Roturas fortuitas Hematopoyes is ineficaz • Bilirrubina no conjugada en plasma • Urobilinógeno urinario
  • 56.
  • 57.
    Anemia perniciosa • Secreción deac. Clorhídrico, pepsina y FI disminuye • Concentración sérica de gastrina se eleva y pepsinógeno I disminuye • Biopsia: atrofia de todas las capas de cuerpo y fondo del estómago, pérdida de elementos glandulares, células parietales y principales, en ocasiones metaplasia intestinal • Anticuerpos séricos: dos anticuerpos de IgG contra FI Gastrectomía • La deficiencia de cobalamina es muy común • Iniciar tratamiento con vitamina después de la cirugía Absorción deficiente de cobalamina • Falta de liberación de cobalamina de las proteínas fijadoras • Más común en ancianos Causas intestinales • Sx del asas intestinal con estancamiento, resección ileal, síndrome de Imerslund esprue tropical, enteropatía por gluten, pancreatitis crónica, Zollinger- Ellinson
  • 58.
    Anormalidades adquiridas del metabolismo dela Cobalamina: inhalación de óxido nitroso
  • 59.
    Nutricional Kwashiorkor, escorbuto, alimentación conleche de cabra Absorción deficiente Esprue tropical, enteropatía por gluten Consumo excesivo Embarazo Trastornos hematológicos Anemia hemolítica crónica, anemia drepanocítica Trastornos inflamatorios Tb, AR, enfermedad de Crohn, Homocistinuria • Trastorno de ocnversión de homocisteína a cistationina Diálisis prolongada ICC y hepatopatías • Algunos pacientes eliminan más de 100 pg en la orina Fármacos antifolatos Anomalías congénitas
  • 60.
     Cobalamina sérica:entre 160 – 200 ng/L hasta 1000 ng/l normal. < 100 ng/l  Metilmalonato y homocisteína en suero: 350 ng/l normal . Homocisteína sérica se eleva en las primeras etapas de deficiencia de cobalamina y folato. Absorción de ocbalamina: cianocobalamina radioactiva v.o. 2 horas después cianocobalamina IM. Obtención de orina de 24 horas.  Folato sérico: se mide por ELISA. Valor normal 2 - 15 pg/l  Folato eritrocítico: 160 – 640 pg/l
  • 61.
     Deficiencia decobalamina: 6 inyecciones hidroxicobalamina IM de 1000 ug con intervalos de 3 a 7 días. Mantenimiento: 1000 ug c/ 3 meses  Deficiencia de folato: Acido fólico: 5 -15 mg/ día x 4 meses Acido folínico, ácido fólico profiláctico: embarazo 400 pg/ día antes y durante el embarazo