Patología
Dr. Tito Carrión Guzmán
Residente I
Depto. Laboratorios Clínicos y Patología
Hospital Roosevelt
S18-4026
•Nombre: OC
•Edad: 19 años
•Servicio: Cirugía/ORL
•Registro: 503-912
•Espécimen: Lesión Nasofaríngea
Macroscópica
S18-4026
S18-4026
Microscópica
S18-1519
HE 4X
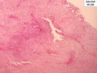
S18-1519
HE 10X
S18-1519
HE 40X
S18-1519
HE 40X
Es una neoplasia
rara que representa
aproximadamente
el 1% de todas los
tumores de cabeza
y cuello
Es un tumor
exclusivo del sexo
masculino mas
común en la
segunda década de
vida (25 años)
El hallazgo clínico
mas común es la
obstrucción nasal
persistente y la
epistaxis
CHRISTOPHER D.M FLETCHER (2013). DIAGNOSTIC HISTOPATHOLOGY OF TUMORS, 4ª edición
Tumor es
dependiente de
testosterona e
inhibidor de
estrógeno
Predisposición
en pacientes con
antecedentes
familiares de
poliposis
adenomatosa
CHRISTOPHER D.M FLETCHER (2013). DIAGNOSTIC HISTOPATHOLOGY OF TUMORS, 4ª edición
CHRISTOPHER D.M FLETCHER (2013). DIAGNOSTIC HISTOPATHOLOGY OF TUMORS, 4ª edición
Características macroscópicas
Tienen la
apariencia de
masas
lobuladas
ocasionalmente
polipoides o
pedunculadas
CHRISTOPHER D.M FLETCHER (2013). DIAGNOSTIC HISTOPATHOLOGY OF TUMORS, 4ª edición
Características microscópicas
Se caracterizan por
presentar proliferación
estroma fibrocolagenosa
con una mezcla de
espacios vasculares de
variable tamaño
El componente vascular
esta formado de delgadas
paredes con pequeños a
grandes vasos que difieren
en su apariencia ya sean
estas estrelladas o cuernos
de ciervo, además tejido
fribroso.
Las áreas centrales del
tumor pueden ser
hipovasculares
CHRISTOPHER D.M FLETCHER (2013). DIAGNOSTIC HISTOPATHOLOGY OF TUMORS, 4ª edición
CHRISTOPHER D.M FLETCHER (2013). DIAGNOSTIC HISTOPATHOLOGY OF TUMORS, 4ª edición
CHRISTOPHER D.M FLETCHER (2013). DIAGNOSTIC HISTOPATHOLOGY OF TUMORS, 4ª edición
Angiofibroma Nasofaringeo

Angiofibroma Nasofaringeo

Notas del editor

  • #3 Caso clínico identificado como S18-1519. En el departamento de patología se reciben 2 frascos del caso, uno con pieza quirúrgica identificada como ovario derecho, Y el segundo pieza quirúrgica identificada como como ovario izquierdo
  • #5 Se reciben múltiples fragmentos de tejido referidos clínicamente como lesión en región nasofaríngea que en conjunto miden 10x6x4cm de aspecto lobulado, irregular adherido a tejido friable de coloración grisáceo. Al corte de consistencia firme, se observa lesion homogenea indurada blanquecina
  • #14 Otros síntomas pueden ser edema facial o deformidad, proptosis (exoftalmos), diplopía (visión doble), sinusitis, dolor de cabeza, anosmia. El dolor es un síntoma raramente referido. Los síntomas se presentan 1 año antes de dar el diagnostico de esta patología
  • #18 Tumor tiene receptores andrógenos pero no receptores para estrógenos
  • #19 Estadiaje de imagen según hallazgos en radiografía
  • #22 El estroma esta formado por fibras de colageno, las celulas pueden ser fusiformes o estrelladas con un núcleo agrandado que rodean los vasos. Se puede observar celulas gigantes multinucleadas o atipia nuclear. Figuras mitóticas son raras.
  • #23 Angiofibroma nasofaríngeo compuesto por una mezcla de fibras colágenas en el estroma y espacios vasculares de variable tamaño con una pared delgada
  • #24 Menos conspicuo debido a la marcada compresión causada por el estroma fibrocolageno, nótese que las paredes vasculares presentan una incompleta o ausente capa muscular