Apendicitis
Catedrático: Dr. Julio Ortega
Pediatría I
Presentada por Nigel Niels Rodríguez
Universidad Nacional Autónoma de Honduras
en el Valle de Sula
• 80,000 niños afectados anualmente en EEUU.
• Tasa de 4/1000 niños <14 años.
• Incidencia decreciente.
• Incidencia máxima entre los 12 a 18 años, niños
<5 años (5%), y <1 año (1%).
• Afecta mas a los varones, raza blanca y puede
haber predisposición familiar.
Fases de la apendicitis
Edematosa
Supurada
Necrótica
Perforada
Obstrucci
ón
(Fecalito)
Retención
de moco
Multiplicación
bacteriana
Aumenta
presión
intraluminal
(distensión)
El drenaje
venoso se
obstruye
FASE
EDEMATOSA
Apéndice
distendida
Translocación
Bacteriana
Macrófagos a
contener la
infección
Se forma una
membrana
Blanquecina en el
apéndice
Bacteriemia, sepsis
FASE SUPURADA
Continua
distendiéndose
Colapso de las
arterias
Isquemia del
apéndice
FASE NECROTICA
FASE PERFORADA Apéndice se perfora
• Los niños con fibrosis quística tienen mayor
riesgo de presentar una apendicitis aguda (moco
condensado anormal).
• La apendicitis en RN es infrecuente, y requiere
una evaluación en busca de fibrosis quística o
enfermedad de Hirshprung.
• Un aspecto fundamental del tratamiento de la
apendicitis aguda es evitar la sepsis. (perforación)
Microorganismos involucrados
• E. coli
• B. fragilis
• Klebsiella
• Pseudomona aeruginosa
• Enterobacterias
• Clostridium
• Peptoestreptococos
Manifestaciones Clínicas
• Los signos y síntomas pueden ser clásicos y atípicos.
Menos de la mitad de los casos de apendicitis infantil
suele presentar los síntomas clásicos.
• Inicio insidioso con malestar generalizado, anorexia,
fiebre.
• Dolor abdominal (síntoma cardinal)
– Dolor vago (inicio), tipo colico, periumbilical-FID
– 24-48hrs despues: dolor moderado, exacerbada con
movimientos, signo del bache, empeora con el tiempo.
• Vómitos (perforación a las 48hrs si no se diagnostica a
tiempo)
• Diarrea
Tasa de perforación del 65% si pasa de las 36 – 48hrs.
Manifestaciones atípicas:
• Ausencia de fiebre, signo de Rovsing, dolor
de rebote, dolor migratorio, defensa
abdominal y anorexia (30-50% de pacientes
pediátricos).
Exploración física
• Aspecto levemente enfermos, caminan
encorvados hacia adelante, ligera cojera del lado
derecho. En decúbito supino yacen con quietud
sobre el lado derecho, con las rodillas hacia arriba
para relajar los músculos abdominales y al pedir
que adopten una posición en decúbito plano, lo
hacen con cautela y pueden utilizar la mano para
protegerse la FID.
• Al inicio no hay distensión abdominal, y los ruidos
intestinales están presentes.
Hallazgos:
• Hipersensibilidad dolorosa abdominal localizada.
(punto de McBurney)
• Rigidez de los rectos
• Dolor de rebote
• Dolor de rebote referido
• Signo del obturador
• Signo del psoas
• Masa en FID (flemón)
Escala de apendicitis pediátrica
Estudios Diagnósticos
• Hemograma completo:
– Recuento leucocitario <24hrs → normal o ligeramente elevado
(11,000-16,000/mm₃)
– Recuento leucocitario >20,000/mm₃ → apendicitis perforada
• Análisis de orina
– Algunos leucocitos
– Contiene cetonas
• Proteína C reactiva
– No es especifica
– Se elevada de acuerdo al grado de inflamación
– PROTEINA AMILOIDE A SERICA → elevada en apendicitis aguda.
Sensibilidad 86% especificidad 83%.
Pruebas de laboratorio
• Radiografía Simple
– 5-10% se observa fecalitos.
– Niveles hidroaéreos
• Ecografía
– Sensibilidad y especificidad >90%
– Imagen en Diana o en ojo de buey.
– Criterios ecográficos para el diagnostico:
• Grosor de la pared >6mm
• Distensión luminal
• Masa compleja en FID
– Debe visualizarse un apéndice normal para descartar apendicitis.
• TAC
– Sensibilidad y especificidad >95%
– Mejor visualización de los apendicolitos
– Útil para guiar un drenaje percutáneo
Estudios de imagen
Diagnostico diferencial
• Gastroenteritis
• Adenitis mesentérica
• Diverticulitis de Meckel
• Enfermedad inflamatoria intestinal
• DM
• Drepanocitosis
• Faringitis estreptocócica
• Neumonía
• Colecistitis
• Pancreatitis
• ITU
• Enteritis infecciosa
• Torsión ovárica
• Embarazo ectópico
• Rotura de quiste ovárico
 Vómitos (varios episodios)
Diarrea
Dolor abdominal
Síntomas sistémicos:
cefalea, mialgia, escalofríos
 Recuento leucocitario
<7,000 con linfocitosis
Tratamiento
• Apendicectomía sin demora.
• Drenaje percutáneo
• Flemón no operar si tiene >72hrs.
Tratamiento antibiótico
• Dirigido contra m.o gramnegativos anaerobios (Bacterioides,
Peptoestreptococos y Clostridios) y gramnegativos aerobios
(E. coli, Klebsiella, Pseudomona).
• Apendicitis simple no perforada → Cefoxitina
• Apendicitis perforada o gangrenosa → Triple terapia
(ampicilina, gentamicina y clindamicina o metronidazol) ó
– Ceftriaxona-metronidazol mas gentamicina o ticarcilina-
clavulanato mas gentamicina. Todos los anteriores de 3-5 días
postoperatorio.
Complicaciones
En la apendicitis no perforada la tasa de complicaciones
es de 5-10%.
En la apendicitis perforada la tasa se eleva al 15-30%.
Las complicaciones mas comunes son:
• Infecciones de la herida (3-10%)
• Abscesos intraabdominales (fístulas)
• Sepsis
• Íleo postoperatorio
• Piliflebitis de la vena porta
• Obstrucción de intestino delgado
Invaginación Intestinal
• La invaginación ocurre cuando una porción del
tubo digestivo se introduce en un segmento
adyacente.
• Causa mas frecuente de obstrucción intestinal
entre los 3meses y los 6 años de edad (es
infrecuente en lactantes prematuros).
– 60% antes de los 12 meses.
– 80% antes de los 24 meses.
Etiología y epidemiología
• 90% de los casos de invaginación intestinal son
idiopáticos.
• Existe una correlación con infección respiratoria
previa o concurrente por adenovirus (tipo C) y el
trastorno puede complicar:
– Otitis media
– Gastroenteritis
– Purpura de Henoch-Schonlein
– Infecciones de tracto respiratorio superior
Factores de riesgo
• Niños <1 año aumenta el riesgo a las 2 semanas
posteriores de la vacuna tetravalente antirrotavírica
hibrida Rhesus-humano.
• Hiperplasia nodular linfoide
• Fibrosis quística
En el 2-8% se los pacientes se pueden reconocer puntos
de origen de la invaginación:
– Divertículo de Meckel
– Pólipo intestinal
– Neurofibróma
– Hemangioma, duplicación intestinal
– Linfoma
Fisiopatología
• En la mayoría de los casos las invaginaciones son
ileocólicas, menos frecuente cecocólicas y rara vez
son ileales.
Porcion
superior del
intestino
Porcion
inferior del
intestino
Porcion
invaginada
arrastra su
mesenterio
Ingurgitación
Edema
Hemorra
gia
La mayoría de las invaginaciones no estrangulan el
intestino en las primeras 24.
Manifestaciones clínicas
• Dolor cólico de inicio súbito paroxístico intenso recurrente a
intervalos frecuentes que se acompaña de esfuerzos de
defecación con llanto intenso.
• Vómitos
• Evacuaciones de aspecto normal (primeras horas), luego,
excreción fecal mas pequeña y no hay transito intestinal. La
sangre aparece en las primeras 12 horas (deposiciones en
jalea de grosella).
• En raras ocasiones el intestino que progresa sobresale a
través del ano.
• Triada: <15%
– Dolor
– Masa abdominal palpable en forma de salchicha. (30% ausencia)
– Heces en jalea de Grosella
Diagnóstico
• Anamnesis y exploración física.
• Ecografía (sensibilidad de 88%)
– Masa tubular en proyecciones longitudinales
– Aspecto en diana en proyecciones transversales
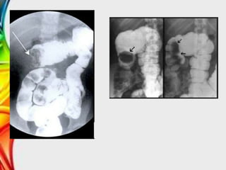
• Enemas de contraste (signo de Muelle)
Diagnóstico diferencial
• Gastroenteritis
• Enterocolitis
• Divertículo de Meckel (indolora)
• Purpura de Henoch-Schonlein
Tratamiento
• La reducción de una invaginación aguda es un
procedimiento urgente que se realiza después del
diagnostico.
• La tasa de éxito de la reducción radiológica guiada
mediante fluoroscopía o ecografía es de alrededor del
80-95% en pacientes con invaginación ileocólica.
• Las perforaciones intestinales ocurren en el 0,5-2,5%
de los intentos de reducción con bario o hidrostática
(suero salino).
• La tasa de perforación de la reducción con aire varia
entre el 0,1 y el 0,2%.
Apendicitis aguda e Invaginacion intestinal

Apendicitis aguda e Invaginacion intestinal

  • 1.
    Apendicitis Catedrático: Dr. JulioOrtega Pediatría I Presentada por Nigel Niels Rodríguez Universidad Nacional Autónoma de Honduras en el Valle de Sula
  • 2.
    • 80,000 niñosafectados anualmente en EEUU. • Tasa de 4/1000 niños <14 años. • Incidencia decreciente. • Incidencia máxima entre los 12 a 18 años, niños <5 años (5%), y <1 año (1%). • Afecta mas a los varones, raza blanca y puede haber predisposición familiar.
  • 3.
    Fases de laapendicitis Edematosa Supurada Necrótica Perforada
  • 4.
  • 5.
    Apéndice distendida Translocación Bacteriana Macrófagos a contener la infección Seforma una membrana Blanquecina en el apéndice Bacteriemia, sepsis FASE SUPURADA
  • 6.
    Continua distendiéndose Colapso de las arterias Isquemiadel apéndice FASE NECROTICA FASE PERFORADA Apéndice se perfora
  • 7.
    • Los niñoscon fibrosis quística tienen mayor riesgo de presentar una apendicitis aguda (moco condensado anormal). • La apendicitis en RN es infrecuente, y requiere una evaluación en busca de fibrosis quística o enfermedad de Hirshprung. • Un aspecto fundamental del tratamiento de la apendicitis aguda es evitar la sepsis. (perforación)
  • 8.
    Microorganismos involucrados • E.coli • B. fragilis • Klebsiella • Pseudomona aeruginosa • Enterobacterias • Clostridium • Peptoestreptococos
  • 9.
    Manifestaciones Clínicas • Lossignos y síntomas pueden ser clásicos y atípicos. Menos de la mitad de los casos de apendicitis infantil suele presentar los síntomas clásicos. • Inicio insidioso con malestar generalizado, anorexia, fiebre. • Dolor abdominal (síntoma cardinal) – Dolor vago (inicio), tipo colico, periumbilical-FID – 24-48hrs despues: dolor moderado, exacerbada con movimientos, signo del bache, empeora con el tiempo. • Vómitos (perforación a las 48hrs si no se diagnostica a tiempo) • Diarrea Tasa de perforación del 65% si pasa de las 36 – 48hrs.
  • 10.
    Manifestaciones atípicas: • Ausenciade fiebre, signo de Rovsing, dolor de rebote, dolor migratorio, defensa abdominal y anorexia (30-50% de pacientes pediátricos).
  • 11.
    Exploración física • Aspectolevemente enfermos, caminan encorvados hacia adelante, ligera cojera del lado derecho. En decúbito supino yacen con quietud sobre el lado derecho, con las rodillas hacia arriba para relajar los músculos abdominales y al pedir que adopten una posición en decúbito plano, lo hacen con cautela y pueden utilizar la mano para protegerse la FID. • Al inicio no hay distensión abdominal, y los ruidos intestinales están presentes.
  • 12.
    Hallazgos: • Hipersensibilidad dolorosaabdominal localizada. (punto de McBurney) • Rigidez de los rectos • Dolor de rebote • Dolor de rebote referido • Signo del obturador • Signo del psoas • Masa en FID (flemón)
  • 13.
  • 14.
    Estudios Diagnósticos • Hemogramacompleto: – Recuento leucocitario <24hrs → normal o ligeramente elevado (11,000-16,000/mm₃) – Recuento leucocitario >20,000/mm₃ → apendicitis perforada • Análisis de orina – Algunos leucocitos – Contiene cetonas • Proteína C reactiva – No es especifica – Se elevada de acuerdo al grado de inflamación – PROTEINA AMILOIDE A SERICA → elevada en apendicitis aguda. Sensibilidad 86% especificidad 83%. Pruebas de laboratorio
  • 15.
    • Radiografía Simple –5-10% se observa fecalitos. – Niveles hidroaéreos • Ecografía – Sensibilidad y especificidad >90% – Imagen en Diana o en ojo de buey. – Criterios ecográficos para el diagnostico: • Grosor de la pared >6mm • Distensión luminal • Masa compleja en FID – Debe visualizarse un apéndice normal para descartar apendicitis. • TAC – Sensibilidad y especificidad >95% – Mejor visualización de los apendicolitos – Útil para guiar un drenaje percutáneo Estudios de imagen
  • 17.
    Diagnostico diferencial • Gastroenteritis •Adenitis mesentérica • Diverticulitis de Meckel • Enfermedad inflamatoria intestinal • DM • Drepanocitosis • Faringitis estreptocócica • Neumonía • Colecistitis • Pancreatitis • ITU • Enteritis infecciosa • Torsión ovárica • Embarazo ectópico • Rotura de quiste ovárico  Vómitos (varios episodios) Diarrea Dolor abdominal Síntomas sistémicos: cefalea, mialgia, escalofríos  Recuento leucocitario <7,000 con linfocitosis
  • 18.
    Tratamiento • Apendicectomía sindemora. • Drenaje percutáneo • Flemón no operar si tiene >72hrs. Tratamiento antibiótico • Dirigido contra m.o gramnegativos anaerobios (Bacterioides, Peptoestreptococos y Clostridios) y gramnegativos aerobios (E. coli, Klebsiella, Pseudomona). • Apendicitis simple no perforada → Cefoxitina • Apendicitis perforada o gangrenosa → Triple terapia (ampicilina, gentamicina y clindamicina o metronidazol) ó – Ceftriaxona-metronidazol mas gentamicina o ticarcilina- clavulanato mas gentamicina. Todos los anteriores de 3-5 días postoperatorio.
  • 19.
    Complicaciones En la apendicitisno perforada la tasa de complicaciones es de 5-10%. En la apendicitis perforada la tasa se eleva al 15-30%. Las complicaciones mas comunes son: • Infecciones de la herida (3-10%) • Abscesos intraabdominales (fístulas) • Sepsis • Íleo postoperatorio • Piliflebitis de la vena porta • Obstrucción de intestino delgado
  • 20.
  • 21.
    • La invaginaciónocurre cuando una porción del tubo digestivo se introduce en un segmento adyacente. • Causa mas frecuente de obstrucción intestinal entre los 3meses y los 6 años de edad (es infrecuente en lactantes prematuros). – 60% antes de los 12 meses. – 80% antes de los 24 meses.
  • 22.
    Etiología y epidemiología •90% de los casos de invaginación intestinal son idiopáticos. • Existe una correlación con infección respiratoria previa o concurrente por adenovirus (tipo C) y el trastorno puede complicar: – Otitis media – Gastroenteritis – Purpura de Henoch-Schonlein – Infecciones de tracto respiratorio superior
  • 23.
    Factores de riesgo •Niños <1 año aumenta el riesgo a las 2 semanas posteriores de la vacuna tetravalente antirrotavírica hibrida Rhesus-humano. • Hiperplasia nodular linfoide • Fibrosis quística En el 2-8% se los pacientes se pueden reconocer puntos de origen de la invaginación: – Divertículo de Meckel – Pólipo intestinal – Neurofibróma – Hemangioma, duplicación intestinal – Linfoma
  • 24.
    Fisiopatología • En lamayoría de los casos las invaginaciones son ileocólicas, menos frecuente cecocólicas y rara vez son ileales. Porcion superior del intestino Porcion inferior del intestino Porcion invaginada arrastra su mesenterio Ingurgitación Edema Hemorra gia La mayoría de las invaginaciones no estrangulan el intestino en las primeras 24.
  • 25.
    Manifestaciones clínicas • Dolorcólico de inicio súbito paroxístico intenso recurrente a intervalos frecuentes que se acompaña de esfuerzos de defecación con llanto intenso. • Vómitos • Evacuaciones de aspecto normal (primeras horas), luego, excreción fecal mas pequeña y no hay transito intestinal. La sangre aparece en las primeras 12 horas (deposiciones en jalea de grosella). • En raras ocasiones el intestino que progresa sobresale a través del ano. • Triada: <15% – Dolor – Masa abdominal palpable en forma de salchicha. (30% ausencia) – Heces en jalea de Grosella
  • 26.
    Diagnóstico • Anamnesis yexploración física. • Ecografía (sensibilidad de 88%) – Masa tubular en proyecciones longitudinales – Aspecto en diana en proyecciones transversales • Enemas de contraste (signo de Muelle)
  • 28.
    Diagnóstico diferencial • Gastroenteritis •Enterocolitis • Divertículo de Meckel (indolora) • Purpura de Henoch-Schonlein
  • 29.
    Tratamiento • La reducciónde una invaginación aguda es un procedimiento urgente que se realiza después del diagnostico. • La tasa de éxito de la reducción radiológica guiada mediante fluoroscopía o ecografía es de alrededor del 80-95% en pacientes con invaginación ileocólica. • Las perforaciones intestinales ocurren en el 0,5-2,5% de los intentos de reducción con bario o hidrostática (suero salino). • La tasa de perforación de la reducción con aire varia entre el 0,1 y el 0,2%.