HOSPITAL GENERAL LA VILLA
TUBERCULOSIS PULMONAR Y
EXTRAPULMONAR. CASOS CLÍNICOS
SERVICIO DE ANATOMÍA PATOLÓGICA
URIEL LEVI ANDRADE GONZALEZ
DRA. MARZIA BEZZERRI COLONNA
 JSO
 Masculino
 56 años
 Casado
 México D.F.
 Chofer
 Higiene diaria
 Tabaquismo más de 15 años
 Etilismo ocasional
 Consumo de cocaína y marihuana
 Alérgicos y traumáticos, negados.
 Colecistectomía, hace 7 años.
 Lo inicia hace un mes, al presentar alzas
térmicas, tos con expectoración
amarilla-verdosa y pérdida ponderal de
6 kg en una semana. También refiere
astenia, adinamia, cefalea, dolor
torácico y diaforesis.
 Ingresa al servicio de Urgencias por
dificultad respiratoria.
 Paciente caquéctico.
 Al examen del aparato respiratorio
presenta: los campos pulmonares
presentan estertores gruesos a
predominio derecho, matidez a la
percusión, compatible con síndrome de
condensación.
 Neumonía adquirida en la comunidad
 Tuberculosis
 Carcinoma de pulmón
 Abundantes infiltrados y
condensaciones, en la región apical
derecha y ambas bases, con cavernas,
a descartar tuberculosis pulmonar.
 Se solicita laboratorios e interconsulta
con el servicio de medicina interna.
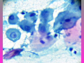
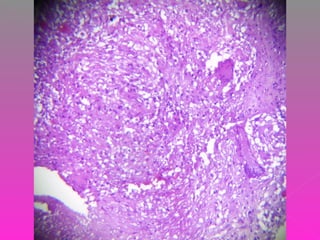
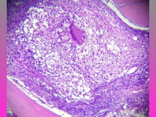
 Tuberculosis pulmonar.
 Presencia de Cándida s/p.
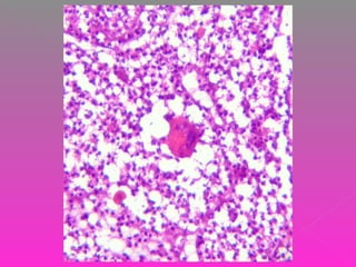
 El esputo es una muestra apropiada
para el estudio citológico de rutina.
 El material expectorado debe provenir
del árbol respiratorio, sin contaminarse
con saliva o secreciones nasofaríngeas.
 Se fija con carbowax.
1. Esputo mucoide, grisáceo o translúcido:
traqueobronquitis aguda.
2. Esputo verde-amarillento: absceso
pulmonar.
3. Esputo muco-purulento: bronconeumonía,
tuberculosis y bronquiectasias.
4. Esputo seroso y espumoso: edema de
pulmón.
5. Esputo sanguinolento: tuberculosis y
neoplasias malignas.
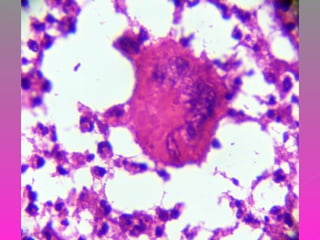
 Células escamosas
 Células cilíndricas y/o caliciformes
 Macrófagos alveolares (+++)
 Células metaplásicas
 FECHA DE INGRESO: 23 DE JUNIO DE 2011
 MASCULINO DE 29 AÑOS DE EDAD, QUE
LLEGA AL SERVICIO DE URGENCIAS CON
DOLOR ABDOMINAL Y SE REALIZA EL
DIAGNÓSTICO DE OCLUSIÓN INTESTINAL.
 PACIENTE DEL RECLUSORIO
 CON HACINAMIENTO POSITIVO
 PÉRDIDA DE PESO DE 10 KG EN 1 MES
 TOXICOMANÍAS ( ALCOHOLISMO,
TABAQUISMO Y CANNABIS ) POSITIVO.
 INICIA HACE UNA SEMANA AL PRESENTAR
DOLOR ABDOMINAL, SECUNDARIO A
OCLUSIÓN INTESTINAL EL CUAL AMERITA
TRATAMIENTO CONSERVADOR.
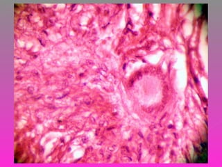
 SE EGRESA DE LA UNIDAD MÉDICA POR
TRATAMIENTO.
 PRESENTA DOLOR ABDOMINAL EN UNA
ESCALA DE 10/10. ACOMPAÑADO DE
NAUSEA Y VÓMITO AL MENOS EN 1
OCASIÓN DE CONTENIDO GASTROBILIAR,
CON AUSENCIA DE CANALIZACIÓN DE
GASES.
 SE PIDE INTERCONSULTA CON EL
SERVICIO DE CIRUGÍA GRAL .
• EL DÍA 23 DE JUNIO LLEGA AL SERVICIO DE
CIRUGÍA GRAL, SE DECIDE DAR
TRATAMIENTO CON LÍQUIDOS, AYUNO Y
DEAMBULACIÓN PERO AL NO PRESENTAR
MEJORÍA SE INGRESA AL QUIRÓFANO, EL
DÍA 28 DE JUNIO.
• SE REALIZA LAPE, REPORTÁNDOSE: MÚLTIPLES
IMPLANTES PERITONEALES EN TODA LA
CAVIDAD Y ÓRGANOS INTRAABDOMINALES,
INTESTINO DELGADO ACARTONADO CON
PUNTILLEO BLANQUECINO, EN TODA SU
SUPERFICIE.
• CON TUMORACIÓN Y ESTENOSIS DE LA LUZ A
250 CM DE ASA FIJA. SE OBSTRUYE CASI EL
90% DE LA CIRCUNFERENCIA.
• TUMOR DE CIEGO DE 5 X 5 X 5 CM QUE
OBSTRUYE MÁS DE 90% DE LA LUZ. SE
REALIZA RESECCIÓN ENTERO-ENTERO-
ANASTOMOSIS TERMINO- TERMINAL,
HEMICOLECTOMÍA DERECHA E ILEOSTOMÍA
MÁS LAVADO Y SECADO DE CAVIDAD.
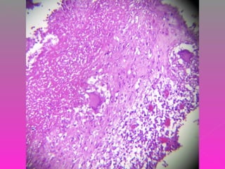
• SE ENVÍAN AL SERVICIO DE PATOLOGIA LAS
MUESTRAS ENCONTRÁNDOSE HALLAZGOS
COMPATIBLES CON TBC.
 COLON DERECHO QUE MIDE 20 CM DE
LONG, EL ILEON TERMINAL MIDE 10 CM Y
EL APÉNDICE CECAL 9 CM DE LONG. SE
OBSERVA DILATACIÓN A NIVEL DE LA
VÁLVULA ILEOCECAL DE 10 X 8 CM. AL
CORTE LA PARED ESTÁ ENGROSADA Y
MIDE 1 CM DE ESPESOR, LOS PLIEGUES DE
LA MUCOSA ESTÁN BORRADOS.
 LA RESECCIÓN SEGMENTARIA DE ILEON
MIDE 68 CM DE LONG. LA SEROSA
MUESTRA LESIONES BLANCAS
MILIMÉTRICAS Y A 0.6 CM DEL LÍMITE
QUIRÚRGICO SE IDENTIFICA UNA
CONSTRICCIÓN DE LA LUZ. LOS LÍMITES
QUIRÚRGICOS ESTÁN LIBRES DE LESIÓN
( A 6 CM ) EL EPIPLÓN MIDE 20 CM Y
PRESENTA UN NÓDULO DE 2 CM DE
DIÁMETRO.
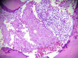
 TUBERCULOSIS INTESTINAL Y PERITONEAL
 FICHA DE IDENTIFICACIÓN:
 MUJER
 60 AÑOS
 TLAPA DE COMONFORT. GUERRERO
 AMA DE CASA
 ANALFABETA
 LABORES DEL CAMPO
 CASA PROPIA CON SERVICIOS BÁSICOS
 HABITOS HIGIÉNICOS Y DIETÉTICOS, IRRE-
 GULARES EN CANTIDAD Y CALIDAD
 ZOONOSIS POSITIVA
 NIEGA TOXICOMANÍAS
 DESCONOCE GRUPO SANGUINEO
 NIEGA QUIRÚRGICOS, ALÉRGICOS,
TRAUMÁTICOS, HEMOTRANFUSIONES Y
HOSPITALIZACIONES PREVIAS.
 NO ENFERMEDADES CRÓNICO-
DEGENERATIVAS
 MENARCA, IVSA, FUM, SE IGNORA.
 G11, P10,C0, A1.
 NUNCA SE HA REALIZADO DETECCIONES
DE CACU Y DE MAMA.
 ANTECEDENTE TRAUMÁTICO EL CUAL FUE
DE PROPIA ALTURA, NO RECORDANDO LA
FECHA, CON TRAUMA INDIRECTO EN LA
REGIÓN TORACOLUMBAR.
 POSTERIOR A ESE EPISODIO, REFIERE
DOLOR PROGRESIVO, CON DISMINUCIÓN
DE LA FUERZA MUSCULAR EN
EXTREMIDADES PÉLVICAS HASTA SER
INCAPACITANTE.
 SE OBSERVA DEFORMIDAD EN REGIÓN
TORÁCICA POSTERIOR, CON DOLOR A LA
DIGITOPRESIÓN.
 EN EXTREMIDADES PÉLVICAS SE DESTACA
HIPOTROFIA E HIPOESTESIA EN L1 A S1.
 HIPERREFLEXIA EN L4 A S1, BILATERAL.
 HAY XIFOSIS DOLOROSA EN T8-T10
 EL RESTO SIN ALTERACIONES
 LA PACIENTE CUENTA CON UNA TAC QUE
REPORTA:
 CUERPO DE T9, CON IMÁGENES
OSTEOLÍTICAS, EXPANSIVAS Y DE PATRÓN
DIFUSO QUE INVADEN CANAL NEURAL EN
UN 50% APROX. ASÍ MISMO HAY LISIS EN
PLATAFORMAS SUPERIOR E INFERIOR Y
PARED ANTERIOR. NO SE OBSERVAN
LESIONES ASOCIADAS.
 HEMATOCRITO: 38%
 EL RESTO SIN ALTERACIONES
SIGNIFICATIVAS
 DESTRUCCIÓN VERTEBRAL POR PROCESO
TUMORAL SECUNDARIO VS PROCESO
INFECCIOSO.
 INSTRUMENTACIÓN POSTERIOR DE T6-T7 A
T10-T11 MÁS DESCOMPRESIÓN
POSTERIOR, TOMA DE BIOPSIA DE
CUERPOS VERTEBRALES T8, T9.
 CORPECTOMIA T8,T9 Y SUSTITUCIÓN DE
COLUMNA ANTERIOR CON INJERTO ÓSEO
AUTÓLOGO DE CIIZQ.
SIMÓN BOLÍVAR
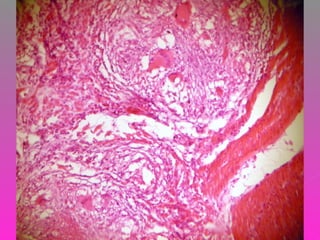
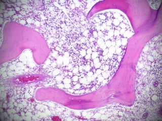
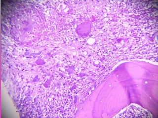
 SE RECIBE TEJIDO ÓSEO CON ABUNDANTE
MATERIAL DE ASPECTO CASEOSO,
FRIABLE CON UN VOLUMEN DE 2 CM. SE
INCLUYE LA TOTALIDAD DE LA MUESTRA
PARA SU ESTUDIO.
FREDERIC
CHOPIN
FRANZ KAFKA
SANTIAGO RAMÓN Y
CAJAL
 TUBERCULOSIS ÓSEA ( MAL DE POTT )
 SE NOTIFICA RESULTADO AL SERVICIO DE
MEDICINA PREVENTIVA.
 BACILO AEROBIO ÁCIDO ALCOHOL
RESISTENTE.
 CRECIMIENTO LENTO
 SE PUEDE IDENTIFICAR EN CULTIVO,
ESTUDIO HISTOPATOLÓGICO, PCR,
EXAMEN DIRECTO DE MUESTRA
SOSPECHOSA.
ALEXANDER GRAHAM BELL
 GENERALMENTE HAY UN FOCO PRIMARIO
DE INFECCIÓN POR TUBERCULOSIS.
 LA AFECTACIÓN ÓSEA ES MÁS FRECUENTE
EN VÉRTEBRAS, TOBILLO Y RODILLA.
 PUEDEN EXISTIR LAS LESIONES
MULTIFOCALES
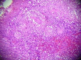
 1. ACÚMULO DE NEUTRÓFILOS
 2. REEMPLAZO POR MACRÓFAGOS
 3. CÉLULAS EPITELIOIDES
 4. CÉLULAS DE LANGHANS
 5. LINFOCITOS
 6. NECROSIS CASEOSA
7. ABSCESOS FRÍOS
 8. HIPEREMIA
 9. OSTEOPOROSIS
 10. DESTRUCCIÓN ÓSEA Y NECROSIS
 COMPRESIÓN, COLAPSO Y DEFORMIDAD
 FIEBRE/ MALESTAR GENERAL/ PÉRDIDA DE
PESO
 TRÍADA INICIAL:
 DOLOR
 IMPOTENCIA FUNCIONAL
 CONTRACTURA MUSCULAR
ALEXANDER BICHAT
 TRÍADA INTERMEDIA:
 POSICIONES VICIOSAS
 ATROFIA MUSCULAR
 TUMEFACCIÓN DE PARTES BLANDAS
 SÍNTOMAS TARDÍO:
 ABSCESO FRÍO
 FÍSTULAS
 DEFORMACIONES
 RIGIDECES
 ACORTAMIENTO
 PARÁLISIS
 OSTEOPATÍA REGIONAL
 DISMINUCIÓN DEL ESPESOR DE LA
CORTICAL
 EL HUESO ESPONJOSO SE OBSERVA
“POROSO”
 LAS ARTICULACIONES TIENEN
CONTORNOS IRREGULARES
 DESTRUCCIÓN Y COLAPSO
 INTRADERMORREACCIÓN DE
TUBERCULINA
 BACILOSCOPÍA, CULTIVO
 BIOPSIA
 LABORATORIO:
 ANEMIA
 LEUCOCITOSIS
 ERITROSEDIMENTACIÓN ELEVADA
 FARMACOLÓGICO
 QUIRÚRGICO
EDGAR ALAN POE
 HUESOS DE CADERA
 RODILLA
 TOBILLO
 SE LOCALIZA EN EPÍFISIS Y METÁFISIS DE
LOS HUESOS LARGOS.
 EN LA FORMA ARTICULAR:
 ES LA MÁS FRECUENTE EN NIÑOS
 TARDA MÁS EN LESIONAR LA
ARTICULACIÓN
 PERMITE UN DIAGNÓSTICO TEMPRANO Y
NO DEJA SECUELAS
 EN EL ADULTO LA FASE SINOVIAL ES MUY
BREVE.
 AFECTA TEMPRANAMENTE EL HUESO Y EL
CARTÍLAGO
 DEJA SECUELAS
 LOS TUBÉRCULOS SUBSINOVIALES Y LA
EXUDACIÓN FIBRINOSA, OCUPAN LOS
FONDOS DE SACO SINOVIAL, DISECAN EL
CARTÍLAGO E INFILTRAN EL HUESO
ESPONJOSO SUBCONDRAL.
NAPOLEÓN II
 ES LA MODALIDAD MÁS AGRESIVA
DONDE PREDOMINAN LOS PROCESOS
OSTEOLÍTICOS Y LA FORMACIÓN DE
CASEUM, OCASIONANDO LA
DESTRUCCIÓN TOTAL DE LA
ARTICULACIÓN
 CONSISTE EN LA COLONIZACIÓN DEL
ÉMBOLO BACTERIANO, OCASIONANDO
UNA REACCIÓN EN EL TEJIDO
CONJUNTIVO INTRAÓSEO, FOLÍCULO DE
KOSTER
 LA INFECCIÓN ÓSEA TUBERCULOSA, SE
CARACTERIZA POR SER UN PROCESO
OSTEOLÍTICO Y CON ESCASA
NEOFORMACIÓN ÓSEA, SE REPARAN
CON TEJIDO FIBROSO Y SUELEN
FISTULIZARSE.
 PRODUCIDA MÁS FRECUENTEMENTE POR
EL BACILO DE KOCH, HUMANO
 ES MÁS COMÚN EN NIÑOS DE 2 A 5 AÑOS
 AFECTA COLUMNA DORSAL
 EL BACILO LLEGA POR LA ARTERIA
VERTEBRAL POSTERIOR, COMPROMETE EL
DISCO INTERVERTEBRAL, INFECTA EL
CUERPO VERTEBRAL Y TIENDE A RESPETAR
LA ESTRUCTURA POSTERIOR.
 FORMA UN ABSCESO.
 PINZAMIENTO INTERVERTEBRAL
 MASA FUSIFORME PARAVERTEBRAL DEL
ABSCESO FRÍO
 COLAPSO
 GIBA
 ANQUILOSIS
 FARMACOLÓGICO
 QUIRÚRGICO
ANDERS CELSIUS
 LOS 1º DATOS DE TUBERCULOSIS SE
REMONTAN A LAS MOMIAS EGIPCIAS.
 LOS 1º CONOCIMIENTOS MÉDICOS
CIENTÍFICOS CORRESPONDEN AL CORPUS
HIPOCRATICUM, DONDE SE SUGIERE LA
RELACIÓN DE LA ENFERMEDAD CON
LESIONES PULMONARES
 GALENO CONFIRMA ESTOS DATOS Y ES EL
1º EN DENOMINAR XIFOSIS, A LA
DEFORMACIÓN CARACTERÍSTICA DE LA
TUBERCULOSIS EN COLUMNA.
 LA TB SE CONFUNDIA CON INFECCIONES
PIÓGENAS HASTA QUE WISEMAN
DESCRIBE LA TB DE RODILLA, A LA QUE
LLAMA “TUMOR BLANCO”
 POTT, EN 1779, DESCRIBE CON DETALLE LA
PARÁLISIS ASOCIADA A LA TUBERCULOSIS
DE COLUMNA.
 KOSTER COMPLETA LOS ESTUDIOS DE
PATOLOGÍA, DESCRIBIENDO EL
TUBÉRCULO CARACTERÍSTICO.
 KOCH, EN 1882, CON EL
DESCUBRIMIENTO DEL BACILO, CULMINA
LOS CONOCIMIENTOS, ACERCA DE LA
ETIOLOGÍA.
 EN ESTE SIGLO HIBBS, LOGRA LA
ARTRODESIS DE COLUMNA DANDO UN
ARMA TERAPÉUTICA DE EXTRAORDINARIO
VALOR, PARA ESTA ENFERMEDAD.
GUSTAVO BECQUER
JOHAN VON
GOETHE
CARDENAL RICHELIEU
VOLTAIRE
EDUARDO VI, DE
INGLATERRA
LUIS XIII, DE FRANCIA
 LOS PERSONAJES HISTÓRICOS QUE
APARECEN EN LA PRESENTACIÓN
MURIERON A CAUSA DE TUBERCULOSIS.
 UN FLAGELO QUE AÚN SIGUE
OCASIONANDO MUERTES…………..

Casos clinicos de tuberculosis pulmonar y extrapulmonar

  • 1.
    HOSPITAL GENERAL LAVILLA TUBERCULOSIS PULMONAR Y EXTRAPULMONAR. CASOS CLÍNICOS SERVICIO DE ANATOMÍA PATOLÓGICA URIEL LEVI ANDRADE GONZALEZ DRA. MARZIA BEZZERRI COLONNA
  • 2.
     JSO  Masculino 56 años  Casado  México D.F.  Chofer
  • 3.
     Higiene diaria Tabaquismo más de 15 años  Etilismo ocasional  Consumo de cocaína y marihuana
  • 4.
     Alérgicos ytraumáticos, negados.  Colecistectomía, hace 7 años.
  • 5.
     Lo iniciahace un mes, al presentar alzas térmicas, tos con expectoración amarilla-verdosa y pérdida ponderal de 6 kg en una semana. También refiere astenia, adinamia, cefalea, dolor torácico y diaforesis.  Ingresa al servicio de Urgencias por dificultad respiratoria.
  • 6.
     Paciente caquéctico. Al examen del aparato respiratorio presenta: los campos pulmonares presentan estertores gruesos a predominio derecho, matidez a la percusión, compatible con síndrome de condensación.
  • 7.
     Neumonía adquiridaen la comunidad  Tuberculosis  Carcinoma de pulmón
  • 8.
     Abundantes infiltradosy condensaciones, en la región apical derecha y ambas bases, con cavernas, a descartar tuberculosis pulmonar.  Se solicita laboratorios e interconsulta con el servicio de medicina interna.
  • 18.
     Tuberculosis pulmonar. Presencia de Cándida s/p.
  • 19.
     El esputoes una muestra apropiada para el estudio citológico de rutina.  El material expectorado debe provenir del árbol respiratorio, sin contaminarse con saliva o secreciones nasofaríngeas.  Se fija con carbowax.
  • 20.
    1. Esputo mucoide,grisáceo o translúcido: traqueobronquitis aguda. 2. Esputo verde-amarillento: absceso pulmonar. 3. Esputo muco-purulento: bronconeumonía, tuberculosis y bronquiectasias. 4. Esputo seroso y espumoso: edema de pulmón. 5. Esputo sanguinolento: tuberculosis y neoplasias malignas.
  • 21.
     Células escamosas Células cilíndricas y/o caliciformes  Macrófagos alveolares (+++)  Células metaplásicas
  • 22.
     FECHA DEINGRESO: 23 DE JUNIO DE 2011  MASCULINO DE 29 AÑOS DE EDAD, QUE LLEGA AL SERVICIO DE URGENCIAS CON DOLOR ABDOMINAL Y SE REALIZA EL DIAGNÓSTICO DE OCLUSIÓN INTESTINAL.
  • 23.
     PACIENTE DELRECLUSORIO  CON HACINAMIENTO POSITIVO  PÉRDIDA DE PESO DE 10 KG EN 1 MES  TOXICOMANÍAS ( ALCOHOLISMO, TABAQUISMO Y CANNABIS ) POSITIVO.
  • 24.
     INICIA HACEUNA SEMANA AL PRESENTAR DOLOR ABDOMINAL, SECUNDARIO A OCLUSIÓN INTESTINAL EL CUAL AMERITA TRATAMIENTO CONSERVADOR.  SE EGRESA DE LA UNIDAD MÉDICA POR TRATAMIENTO.
  • 25.
     PRESENTA DOLORABDOMINAL EN UNA ESCALA DE 10/10. ACOMPAÑADO DE NAUSEA Y VÓMITO AL MENOS EN 1 OCASIÓN DE CONTENIDO GASTROBILIAR, CON AUSENCIA DE CANALIZACIÓN DE GASES.  SE PIDE INTERCONSULTA CON EL SERVICIO DE CIRUGÍA GRAL .
  • 26.
    • EL DÍA23 DE JUNIO LLEGA AL SERVICIO DE CIRUGÍA GRAL, SE DECIDE DAR TRATAMIENTO CON LÍQUIDOS, AYUNO Y DEAMBULACIÓN PERO AL NO PRESENTAR MEJORÍA SE INGRESA AL QUIRÓFANO, EL DÍA 28 DE JUNIO. • SE REALIZA LAPE, REPORTÁNDOSE: MÚLTIPLES IMPLANTES PERITONEALES EN TODA LA CAVIDAD Y ÓRGANOS INTRAABDOMINALES, INTESTINO DELGADO ACARTONADO CON PUNTILLEO BLANQUECINO, EN TODA SU SUPERFICIE.
  • 27.
    • CON TUMORACIÓNY ESTENOSIS DE LA LUZ A 250 CM DE ASA FIJA. SE OBSTRUYE CASI EL 90% DE LA CIRCUNFERENCIA. • TUMOR DE CIEGO DE 5 X 5 X 5 CM QUE OBSTRUYE MÁS DE 90% DE LA LUZ. SE REALIZA RESECCIÓN ENTERO-ENTERO- ANASTOMOSIS TERMINO- TERMINAL, HEMICOLECTOMÍA DERECHA E ILEOSTOMÍA MÁS LAVADO Y SECADO DE CAVIDAD. • SE ENVÍAN AL SERVICIO DE PATOLOGIA LAS MUESTRAS ENCONTRÁNDOSE HALLAZGOS COMPATIBLES CON TBC.
  • 28.
     COLON DERECHOQUE MIDE 20 CM DE LONG, EL ILEON TERMINAL MIDE 10 CM Y EL APÉNDICE CECAL 9 CM DE LONG. SE OBSERVA DILATACIÓN A NIVEL DE LA VÁLVULA ILEOCECAL DE 10 X 8 CM. AL CORTE LA PARED ESTÁ ENGROSADA Y MIDE 1 CM DE ESPESOR, LOS PLIEGUES DE LA MUCOSA ESTÁN BORRADOS.
  • 29.
     LA RESECCIÓNSEGMENTARIA DE ILEON MIDE 68 CM DE LONG. LA SEROSA MUESTRA LESIONES BLANCAS MILIMÉTRICAS Y A 0.6 CM DEL LÍMITE QUIRÚRGICO SE IDENTIFICA UNA CONSTRICCIÓN DE LA LUZ. LOS LÍMITES QUIRÚRGICOS ESTÁN LIBRES DE LESIÓN ( A 6 CM ) EL EPIPLÓN MIDE 20 CM Y PRESENTA UN NÓDULO DE 2 CM DE DIÁMETRO.
  • 40.
  • 41.
     FICHA DEIDENTIFICACIÓN:  MUJER  60 AÑOS  TLAPA DE COMONFORT. GUERRERO  AMA DE CASA
  • 42.
     ANALFABETA  LABORESDEL CAMPO  CASA PROPIA CON SERVICIOS BÁSICOS  HABITOS HIGIÉNICOS Y DIETÉTICOS, IRRE-  GULARES EN CANTIDAD Y CALIDAD  ZOONOSIS POSITIVA  NIEGA TOXICOMANÍAS  DESCONOCE GRUPO SANGUINEO
  • 43.
     NIEGA QUIRÚRGICOS,ALÉRGICOS, TRAUMÁTICOS, HEMOTRANFUSIONES Y HOSPITALIZACIONES PREVIAS.  NO ENFERMEDADES CRÓNICO- DEGENERATIVAS
  • 44.
     MENARCA, IVSA,FUM, SE IGNORA.  G11, P10,C0, A1.  NUNCA SE HA REALIZADO DETECCIONES DE CACU Y DE MAMA.
  • 45.
     ANTECEDENTE TRAUMÁTICOEL CUAL FUE DE PROPIA ALTURA, NO RECORDANDO LA FECHA, CON TRAUMA INDIRECTO EN LA REGIÓN TORACOLUMBAR.  POSTERIOR A ESE EPISODIO, REFIERE DOLOR PROGRESIVO, CON DISMINUCIÓN DE LA FUERZA MUSCULAR EN EXTREMIDADES PÉLVICAS HASTA SER INCAPACITANTE.
  • 47.
     SE OBSERVADEFORMIDAD EN REGIÓN TORÁCICA POSTERIOR, CON DOLOR A LA DIGITOPRESIÓN.  EN EXTREMIDADES PÉLVICAS SE DESTACA HIPOTROFIA E HIPOESTESIA EN L1 A S1.  HIPERREFLEXIA EN L4 A S1, BILATERAL.  HAY XIFOSIS DOLOROSA EN T8-T10  EL RESTO SIN ALTERACIONES
  • 48.
     LA PACIENTECUENTA CON UNA TAC QUE REPORTA:  CUERPO DE T9, CON IMÁGENES OSTEOLÍTICAS, EXPANSIVAS Y DE PATRÓN DIFUSO QUE INVADEN CANAL NEURAL EN UN 50% APROX. ASÍ MISMO HAY LISIS EN PLATAFORMAS SUPERIOR E INFERIOR Y PARED ANTERIOR. NO SE OBSERVAN LESIONES ASOCIADAS.
  • 49.
     HEMATOCRITO: 38% EL RESTO SIN ALTERACIONES SIGNIFICATIVAS
  • 50.
     DESTRUCCIÓN VERTEBRALPOR PROCESO TUMORAL SECUNDARIO VS PROCESO INFECCIOSO.
  • 51.
     INSTRUMENTACIÓN POSTERIORDE T6-T7 A T10-T11 MÁS DESCOMPRESIÓN POSTERIOR, TOMA DE BIOPSIA DE CUERPOS VERTEBRALES T8, T9.  CORPECTOMIA T8,T9 Y SUSTITUCIÓN DE COLUMNA ANTERIOR CON INJERTO ÓSEO AUTÓLOGO DE CIIZQ.
  • 52.
  • 53.
     SE RECIBETEJIDO ÓSEO CON ABUNDANTE MATERIAL DE ASPECTO CASEOSO, FRIABLE CON UN VOLUMEN DE 2 CM. SE INCLUYE LA TOTALIDAD DE LA MUESTRA PARA SU ESTUDIO.
  • 57.
  • 63.
  • 69.
  • 70.
     TUBERCULOSIS ÓSEA( MAL DE POTT )  SE NOTIFICA RESULTADO AL SERVICIO DE MEDICINA PREVENTIVA.
  • 71.
     BACILO AEROBIOÁCIDO ALCOHOL RESISTENTE.  CRECIMIENTO LENTO  SE PUEDE IDENTIFICAR EN CULTIVO, ESTUDIO HISTOPATOLÓGICO, PCR, EXAMEN DIRECTO DE MUESTRA SOSPECHOSA.
  • 76.
  • 77.
     GENERALMENTE HAYUN FOCO PRIMARIO DE INFECCIÓN POR TUBERCULOSIS.  LA AFECTACIÓN ÓSEA ES MÁS FRECUENTE EN VÉRTEBRAS, TOBILLO Y RODILLA.  PUEDEN EXISTIR LAS LESIONES MULTIFOCALES
  • 78.
     1. ACÚMULODE NEUTRÓFILOS  2. REEMPLAZO POR MACRÓFAGOS  3. CÉLULAS EPITELIOIDES  4. CÉLULAS DE LANGHANS  5. LINFOCITOS  6. NECROSIS CASEOSA
  • 79.
    7. ABSCESOS FRÍOS 8. HIPEREMIA  9. OSTEOPOROSIS  10. DESTRUCCIÓN ÓSEA Y NECROSIS  COMPRESIÓN, COLAPSO Y DEFORMIDAD
  • 80.
     FIEBRE/ MALESTARGENERAL/ PÉRDIDA DE PESO  TRÍADA INICIAL:  DOLOR  IMPOTENCIA FUNCIONAL  CONTRACTURA MUSCULAR
  • 81.
  • 82.
     TRÍADA INTERMEDIA: POSICIONES VICIOSAS  ATROFIA MUSCULAR  TUMEFACCIÓN DE PARTES BLANDAS
  • 83.
     SÍNTOMAS TARDÍO: ABSCESO FRÍO  FÍSTULAS  DEFORMACIONES  RIGIDECES  ACORTAMIENTO  PARÁLISIS
  • 84.
     OSTEOPATÍA REGIONAL DISMINUCIÓN DEL ESPESOR DE LA CORTICAL  EL HUESO ESPONJOSO SE OBSERVA “POROSO”  LAS ARTICULACIONES TIENEN CONTORNOS IRREGULARES  DESTRUCCIÓN Y COLAPSO
  • 85.
     INTRADERMORREACCIÓN DE TUBERCULINA BACILOSCOPÍA, CULTIVO  BIOPSIA  LABORATORIO:  ANEMIA  LEUCOCITOSIS  ERITROSEDIMENTACIÓN ELEVADA
  • 86.
  • 87.
  • 88.
     HUESOS DECADERA  RODILLA  TOBILLO
  • 89.
     SE LOCALIZAEN EPÍFISIS Y METÁFISIS DE LOS HUESOS LARGOS.  EN LA FORMA ARTICULAR:  ES LA MÁS FRECUENTE EN NIÑOS  TARDA MÁS EN LESIONAR LA ARTICULACIÓN  PERMITE UN DIAGNÓSTICO TEMPRANO Y NO DEJA SECUELAS
  • 90.
     EN ELADULTO LA FASE SINOVIAL ES MUY BREVE.  AFECTA TEMPRANAMENTE EL HUESO Y EL CARTÍLAGO  DEJA SECUELAS
  • 91.
     LOS TUBÉRCULOSSUBSINOVIALES Y LA EXUDACIÓN FIBRINOSA, OCUPAN LOS FONDOS DE SACO SINOVIAL, DISECAN EL CARTÍLAGO E INFILTRAN EL HUESO ESPONJOSO SUBCONDRAL.
  • 92.
  • 93.
     ES LAMODALIDAD MÁS AGRESIVA DONDE PREDOMINAN LOS PROCESOS OSTEOLÍTICOS Y LA FORMACIÓN DE CASEUM, OCASIONANDO LA DESTRUCCIÓN TOTAL DE LA ARTICULACIÓN
  • 94.
     CONSISTE ENLA COLONIZACIÓN DEL ÉMBOLO BACTERIANO, OCASIONANDO UNA REACCIÓN EN EL TEJIDO CONJUNTIVO INTRAÓSEO, FOLÍCULO DE KOSTER
  • 95.
     LA INFECCIÓNÓSEA TUBERCULOSA, SE CARACTERIZA POR SER UN PROCESO OSTEOLÍTICO Y CON ESCASA NEOFORMACIÓN ÓSEA, SE REPARAN CON TEJIDO FIBROSO Y SUELEN FISTULIZARSE.
  • 96.
     PRODUCIDA MÁSFRECUENTEMENTE POR EL BACILO DE KOCH, HUMANO  ES MÁS COMÚN EN NIÑOS DE 2 A 5 AÑOS  AFECTA COLUMNA DORSAL
  • 97.
     EL BACILOLLEGA POR LA ARTERIA VERTEBRAL POSTERIOR, COMPROMETE EL DISCO INTERVERTEBRAL, INFECTA EL CUERPO VERTEBRAL Y TIENDE A RESPETAR LA ESTRUCTURA POSTERIOR.  FORMA UN ABSCESO.
  • 98.
     PINZAMIENTO INTERVERTEBRAL MASA FUSIFORME PARAVERTEBRAL DEL ABSCESO FRÍO  COLAPSO  GIBA  ANQUILOSIS
  • 99.
  • 100.
  • 101.
     LOS 1ºDATOS DE TUBERCULOSIS SE REMONTAN A LAS MOMIAS EGIPCIAS.  LOS 1º CONOCIMIENTOS MÉDICOS CIENTÍFICOS CORRESPONDEN AL CORPUS HIPOCRATICUM, DONDE SE SUGIERE LA RELACIÓN DE LA ENFERMEDAD CON LESIONES PULMONARES
  • 102.
     GALENO CONFIRMAESTOS DATOS Y ES EL 1º EN DENOMINAR XIFOSIS, A LA DEFORMACIÓN CARACTERÍSTICA DE LA TUBERCULOSIS EN COLUMNA.  LA TB SE CONFUNDIA CON INFECCIONES PIÓGENAS HASTA QUE WISEMAN DESCRIBE LA TB DE RODILLA, A LA QUE LLAMA “TUMOR BLANCO”
  • 103.
     POTT, EN1779, DESCRIBE CON DETALLE LA PARÁLISIS ASOCIADA A LA TUBERCULOSIS DE COLUMNA.  KOSTER COMPLETA LOS ESTUDIOS DE PATOLOGÍA, DESCRIBIENDO EL TUBÉRCULO CARACTERÍSTICO.
  • 104.
     KOCH, EN1882, CON EL DESCUBRIMIENTO DEL BACILO, CULMINA LOS CONOCIMIENTOS, ACERCA DE LA ETIOLOGÍA.  EN ESTE SIGLO HIBBS, LOGRA LA ARTRODESIS DE COLUMNA DANDO UN ARMA TERAPÉUTICA DE EXTRAORDINARIO VALOR, PARA ESTA ENFERMEDAD.
  • 105.
  • 106.
  • 107.
  • 108.
  • 109.
  • 110.
  • 111.
     LOS PERSONAJESHISTÓRICOS QUE APARECEN EN LA PRESENTACIÓN MURIERON A CAUSA DE TUBERCULOSIS.  UN FLAGELO QUE AÚN SIGUE OCASIONANDO MUERTES…………..