Tuberculosis
<<Definición>>
• Pequeños núcleos expectorados con 1-3 MTB 
suspendidos en el aire e inhalados 
• Sólo el 10% alcanzan los alveolos
• Bacilos rectos o ligeramente 
curvos 
• 0.4 μ x 5 μ 
• Semejan micelio: 
 Ramificados 
 Filamentosos 
 Fragmentado por agitación 
 Células bacilares o cocoides
• Ácido alcohol 
resistente 
• Inmóviles 
• No forman esporas 
• Sin cápsula 
• Aerobicos 
• Mesófilos (20-37º C)
Epidemiologia 
La tuberculosis (TB) es un grave problema de salud publica a nivel mundial. 
Tuberculosis 
poblacion 
mundial 
Aproximadamente, 2000 millones de 
personas 
Enfermedad marcadora de pobreza. 
95 % 98% 
Global Tuberculosis Control. A Short Update to the 2009 Report. OMS. 
•9 millones/año 
•2 millones † 
V.desarrollo
Según la OMS, el número de personas infectadas 
mundialmente asciende a mil millones (6,7), lo que significa 
que más del 25% de la población ha sido infectada en alguna 
etapa de su vida. 
El riesgo anual de infección en países en desarrollo se calcula en 1% a 2% 
Entre los factores que complican la erradicación de la 
tuberculosis 
Diabetes pobreza hacinamiento, desnutrición SIDA 
flujos migratorios de 
zonas endémica 
falla en el mantenimiento de la 
infraestructura de salud 
pública
Sudeste asiático, África subsahariana y este de Europa. 
Difícil erradicación 
Diseminación 
Prof. 
sanitarios 
Problema de 
salud publica 
M. Tuberculosis 
multiresistente 
Tx 
inadecuado 
Foco de infección 
Murray P, Microbiología Médica. Elsevier, 5º Edición, 2009. Basualdo JA y col 
p.p28’-281
Guerrero, en el tercer lugar nacional con mil 
casos nuevos de tuberculosis cada año 
Mueren 4 de cada 100 mil personas por este mal en la entidad, informa Salud 
estatal 
“La tuberculosis constituye un problema de salud pública, que afecta con mayor 
frecuencia al grupo de edad de entre 15 y 49 años”, 
Acapulco Tercer lugar 
nacional 
33. 7 por ciento, que equivale a 5 mil 273 personas enfermas. 
66 % 34 % 
La jornada Guerrero 2011 Editorial EVE, S.A. de C.V.
Municipios con mas incidencia 
Cuajinicuilapa, Azoyú, San Marcos, Tecoanapa, Ayutla, Ometepec, Coyuca de 
Benítez, Atoyac, Tecpan, Chilapa, Azueta y Chilpancingo. 
En tanto, la jefa de la Jurisdicción Sanitaria de Acapulco, Patricia Batani Giles, 
indicó que en las colonias Progreso, Zapata, Sabana, Renacimiento, Jardín 
Mangos y Jardín Palmas es donde hay más casos, y que la población entre 
15 y 80 años es la más afectada. 
drogoresistencia 
La jornada Guerrero 2011 Editorial EVE, S.A. de C.V. 
fortalece la enfermedad, 
Peores consecuencias
Manifestaciones clínicas 
TUBERCULOSIS PULMONAR 
Limitada a los pulmones en más del 80% de casos 
TB primaria: 
Infección inicial en lóbulos medio e inferior 
• Cicatrización espontánea 
Nódulo calcificado (lesión de Ghon) 
Linfadenopatía hiliar y paratraqueal 
• Avance de la infección 
Cavitación 
Derrames pleurales 
Diseminación hematógena 
• Lesiones pleurales
Manifestaciones Clínicas 
 Afectación de vías respiratorias altas: disfonía, 
ronquera y/o disfagia dolorosa. 
• Examen físico: puede ser completamente normal o evidenciar 
estertores, roncus, sibilancias, sonidos anfóricos en las áreas 
con cavitaciones grandes. 
Guías clínicas de tuberculosis OMS 2010
SINTOMAS CLINICOS 
• E- Niños: Tos > 2 semanas en ausencia de otra causa 
• Fiebre, perdida de peso o falla para crecer 
• Adultos: tos persistente y productiva > 2 semanas 
• Hemoptisis 
• Fiebre vespertina o nocturna 
• Sudoración nocturna 
• Perdida de peso 
• Astenia 
• Adinamia 
• Personas con tos sin explicación y ataque al estado general 
• Px con neumonias adquiridad que no mejoran en mas de 7 días
DATOS CLINICOS SUJESTIVOS DE TB 
• Perdida de peso o falla para crecer en niños 
• Fiebre inexplicable y tos persistente > 2 semanas / hemoptisis 
• Fiebre vespertina o nocturna 
• Sudoración nocturna 
• Perdida de peso 
• Astenia 
• Adinamia 
• Ataque al estado general 
R- En toda persona con tos productiva > 2 
semanas se debe sospechar de M. tuberculosis
TBC Primaria. 
• Aparece consecutiva a infección inicial. 
• Localizada principalmente en campos medios e inferiores de los 
pulmones. 
 Localización más frecuente: 
Lóbulo Medio Derecho: 
Rodeado más densamente 
por nódulos linfáticos. 
Mayor longitud y menor diámetro 
relativo. 
Guías clínicas de tuberculosis OMS 2010
• Multiplicación activa 10-14 días Nº 
crítico para producir enfermedad cavitaria. 
 Localización más frecuente: 
Segmentos apicales y 
posteriores de los 
lóbulos superiores. 
También los segmentos 
superiores de lóbulos 
inferiores. 
Guías clínicas de tuberculosis OMS 2010
Evolución: 
• En el centro de la lesión, el 
material caseoso presenta 
licuefacción, va destruyendo 
las paredes de los bronquios y 
de los vasos sanguíneos, y se 
drena en ellos el contenido 
CAVERNAS. 
Diseminación 
broncógena. 
Diseminación 
hematógena.
TB posprimaria (del adulto, por reactivación o 
secundaria): 
Infección en los segmentos apical y posterior de 
los lóbulos superiores y segmentos superiores de 
los lóbulos inferiores 
a) Síntomas inespecíficos y graduales 
Fiebre 
Diaforesis nocturna 
Pérdida de peso 
Anorexia 
Malestar general 
Debilidad
b) Tos 
Producción de esputo purulento o hemático 
Hemoptisis masiva 
c) Limitación de la enfermedad 
Cavitación extensa 
Disnea 
Insuficiencia respiratoria
TUBERCULOSIS EXTRAPULMONAR 
• Ubicada en cualquier parte del cuerpo 
• Hasta 66% de pacientes con VIH 
• 24-35% pacientes con TB primaria 
• Síntomas generales como consecuencia de 
hiperergia: 
 Astenia 
 Adinamia 
 Anorexia 
 Transpiración 
 Febrícula vespertina 
 Fiebre 
 Sudoración nocturna 
 Pérdida de peso 
 Irritabilidad 
 Trastornos nerviosos 
 Dispepsia
TUBERCULOSIS OSTEOARTICULAR 
(mal de pott) 
• La patogenia de la tuberculosis osteoarticular guarda relación con la 
reactivación de focos hematógenos o con una diseminación procedente de 
los ganglios linfáticos paravertebrales próximos 
• Las ubicaciones mas frec. Son columna vertebral, cadera y rodillas. 
• La infeccion se extienede 
Cuerpos 
vertebrales 
Disco 
intervertebral 
Colapso de 
los cuerpos 
vertebrales 
Cifosis, jiba 
Signos inflamatorios 
articulares. 
Frecuentes abscesos 
fríos. 
Sospecha diagnóstica 
por radiología. 
Confirmación por cultivo 
o biopsia.
MENINGITIS TUBERCULOSA 
• Predomina en niños pequeños. Personas con VIH 
• La meningitis tuberculosa se debe a una diseminación hematógena 
de la lesión pulmonar primaria o posprimaria, o a la rotura de un 
tubérculo subependimario en el espacio subaracnoideo. 
A menudo se acompaña de lesion de los 
nervios craneales, sobre todos en los 
oculares. 
Degenera coma, hidrocefalia e hipertension 
intracreaneal. 
Síntomas generales: 
Decaimiento, apatía, cambios de 
carácter y fiebre 
(1) ATS. Diagnostic standards and classification of tuberculosis in adults 
and children. Am J Respir Crit Care Med. 161:1376-95, 2000 
(2) Farga, Victorino. Tuberculosis. Publicaciones Técnicas Mediterráneo 
LTA. Santiago de Chile. 2º Edición, 1992
Tuberculosis Extrapulmonar 
Tuberculosis SNC: Meníngea 
• Síntomas inespecíficos. 
▫ Relacionados con el nervio craneal afectado (VI Par). 
▫ Cefalea, rigidez de nuca, y alteración del estado de conciencia. 
▫ Manifestaciones de hipertensión endocraneana. 
• LCR claro. 
• TAC de cráneo: Edema difuso e hidrocefalia obstructiva 
• 50% presenta alteraciones en Rx de Tórax. 
• Diagnóstico bacteriológico generalmente tardío. 
• Adenosin deaminasa elevada en LCR.
Tuberculosis Extrapulmonar 
Tuberculosis SNC: Meníngea 
ETAPAS DE LA MENINGITIS TUBERCULOSA 
Etapa I Predominio de manifestaciones sistémicas. Paciente 
conciente y lúcido, con síntomas meníngeos, pero sin 
signos neurológicos. 
Etapa II Paciente confuso, con signos neurológicos y de 
hipertensión endocraneana. 
Etapa III Paciente con grave compromiso, de conciencia, 
mentalmente inaccesible por la profundidad del estupor, 
delirio o coma, o bien con hemiplejía o paraplejía 
completa.
Tuberculosis Extrapulmonar 
Tuberculosis SNC: Meníngea 
Características del Líquido Cefalorraquídeo 
Patrón Célularidad Presión 
(mm H20) 
Proteínas 
(mg/dl) 
Glucosa 
(mg/dl) 
Normal 
< 5 Linfocitos x 
mm3 70 – 200 20 – 45 50 – 80 
Tuberculoso 
< 1000 
(Linfocitos) 
+++ 100 < 40 
El 25 % de px que reciben tx se observan secuelas neurologicas.
TUBERCULOSIS 
DIGESTIVA 
• Cualquier tramo del tubo digestivo puede resultar afectado por la 
tuberculosis al intervenir diversos mecanismos: deglución de los esputos, 
diseminación hematógena, o bien, infrecuente en la actualidad, la ingestión 
de la leche de vacas enfermas de tuberculosis bovina 
Ultimo tercio del ileon y 
el ciego 
Dolor 
abdominal y 
diarrea 
Fiebre 
Dolor abdominal 
Ascitis exudativa 
con numero alto de 
proteinas y 
leucositosis 
linfacitica. Biopsia 
peritoneal 
Enf. 
Crohn.
PERITONITIS TUBERCULOSA 
Aparece después de una siembra directa de 
bacilos tuberculosos procedentes de los 
órganos intraabdominales o de unos ganglios 
linfáticos rotos, o bien a causa de una siembra 
hematógena
TUBERCULOSIS PERICARDICA 
• ha sido una enfermedad propia de los ancianos en los países con una 
prevalencia escasa de la tuberculosis, pero se observa con frecuencia 
en los pacientes infectados por el VIH. 
Se caracteriza por la aparicion repentina 
o subaguda de la fiebre y dolor 
retroesternal. 
Derrame 
Pericarditis constrictiva 
cronica. 
Glucocorticoides.
TUBERCULOSIS MILIAR 
• Consiste en una siembra hematógena de bacilos tuberculosos. En 
los niños suele deberse a una infección primaria reciente, pero en 
los adultos puede ser secundaria tanto a una infección reciente 
como a la reactivación de focos diseminados antiguos 
Las lesiones son granulomas 
pequeños (1-2 mm) y los 
sintomas son inespecificos. 
Hepatomegalia,esplenomegalia, 
linfadenopatia, tuberculos 
coroideos en el ojo.
• Resistente a respuesta humoral 
• Sensible a respuesta celular 
• Tuberculosis pulmonar: 
5 estadios en el desarrollo de la enfermedad 
• Tuberculosis extratorácica 
Propagaciones de la TB pulmonar
Llegada del bacilo al alveolo 
Fagocitados por macrófagos 
Interacciones con receptores de superficie 
Región constante de Ig Complemento 
Mecanismos de Sobrevivencia 
defensa 
M. tuberculosis 
No contenidos 
Multiplicación 
•Lisan al 
macrófago 
•Se entienden a 
los ganglios 
linfáticos 
regionales
Evitan la maduración del fagosoma y 
fusión con el lisosoma 
Evitan la destrucción bacteriana 
El macrófago se mantiene al margen y 
protege a la bacteria 
Multiplicación intracelular (macrófagos) 
Estado de latencia 
Lesión 
primaria
2-4 semanas después de la infección 
Hipersensibilidad tardía a antígenos bacterianos 
Activación de inmunidad celular (respuesta 
específica) 
(Células T 
citotóxicas) 
(Liberación de productos 
bacterianos, como 
tuberculina) 
Destrucción de macrófagos inactivos 
(contenedores de bacilos en multiplicación) 
Daño al tejido del hospedero
Formación de granuloma (tuberculo) 
Células gigantes multinucleadas 
Acumulación de 
macrófagos 
activados en la 
lesión primaria 
Constituidas de 
linfocitos T y 
macrófagos activados
Hipersensibilidad retardada Inmunidad celular 
Pacientes pediátricos o inmunosuprimidos 
M. Tuberculosis escapa 
del centro caseoso 
Fagocitado por macrófagos 
no sensibilizados 
Multiplicación intracelular 
Diseminación de la lesión 
Drenaje linfático o 
hemático 
Necrosis caseosa 
Agrandamiento de la 
Destrucción de 
macrófagos 
lesión
Pacientes resistentes 
Inmunidad celular 
M. Tuberculosis escapa 
del centro caseoso 
Fagocitado por macrófagos 
activados 
El tubérculo disminuye su 
estado caseoso 
Detención temporal de la 
enfermedad
Progreso de la enfermedad 
Licuefacción del nódulo caseoso 
Medio de cultivo para el bacilo 
Multiplicación 
Incremento de hipersensibilidad tardía 
Aumento de la lesión
DIAGNOSTICO DE TB 
• Datos clínicos y de gabinete 
• Aislamiento e identificación del agente infectante 
Muestra clínica 
De acuerdo al tipo de TB: pulmonar o extrapulmonar
SINTOMAS CLINICOS 
• E- Niños: Tos > 2 semanas en ausencia de otra causa 
• Fiebre, perdida de peso o falla para crecer 
• Adultos: tos persistente y productiva > 2 semanas 
• Hemoptisis 
• Fiebre vespertina o nocturna 
• Sudoración nocturna 
• Perdida de peso 
• Astenia 
• Adinamia 
• Personas con tos sin explicación y ataque al estado general 
• Px con neumonias adquiridad que no mejoran en mas de 7 días
PRUEBA DE LA TUBERCULINA (PPD) 
• Bajo costo 
• Fácil realización 
• Falsos negativos: Alteración del SI 
▫ VIH 
▫ Menores de 6 meses 
• Falsos positivos por sensibilización del SI 
▫ Vacuna VCG 
▫ Exposición a Micobacterias no tuberculosas 
(+) con 10 mm o mas para sospecha de TB 
▫ Área palpable elevada 
▫ Hinchazón 
▫ Endurecimiento 
▫ Enrojecimiento
PRUEBA DE LA TUBERCULINA (PPD) 
• Contacto estrecho con un caso de TB activo 
• Co- infección con VIH independientemente de su estado 
• Otras condiciones del inmunocompriomiso 
• Uso de corticoesteroides sistémicos (prednisona 15 mg por un mes o 
mas) 
• Historia de trasplante de órganos o terapia inmunosupresora 
• Cambios fibrosos en la RX sugestivos de TB inactiva 
• Radiografía o hallazgos clínicos de TB activa 
(+) con 5 mm o mas para sospecha de TB
PRUEBA DE LA TUBERCULINA (PPD) 
(+) con 10 mm o mas para sospecha de TB 
• Tomando en cuenta el tipo de huésped: 
• Prueba inicial (-), puede realizarse una segunda entre 1-3 semanas 
después 
• Segunda prueba (+) el Px se clasifica como infectado
ESPUTO 
• CULTIVO 
• EXAMEN MICROSCOPICO 
• 3 muestras de esputo de buena calidad, de 
primera hora de la mañana, en días distintos. 
• Para detectar al bacilo en las tinciones se 
estima que son necesarios 5.000 a 10.000 
bacilos/ml. 
 Positiva en un 65% de los casos cuando se procesan 
tres esputos (95% formas cavitarias) frente a un 30% 
con una muestra aislada.
CULTIVO 
• Requiere un mínimo de 500 bacilos por ml de esputo 
• Lenta capacidad de división; resultado no inferior 4-6 semanas 
• Indicado para identificar la cepa, en caso de baciloscopia (-) y alta 
sospecha 
• Se debe realizar en Px nuevos en Tx 
• Se debe realizar simultáneamente la bacilocospia y el cultivo 
 Sensibilidad 80-90%. 
 Fuente de carbono a través del 
glicerol o glucosa. 
 Fuente de nitrógeno a través 
de sales de amonio o 
componentes del huevo 
 pH 6.5-7.0 
 5-10% CO2 
 35-37° C
EXAMEN MICROSCOPICO DE ESPUTO 
Búsqueda de BAAR 
• Alta sensibilidad (51.8%) especificidad (97.5%) 
• 3 muestras para estudio microscópico 
• Envío al lab en menos de 24 horas 
La base del dx y seguimiento de TB, debe ser la 
técnica de Ziehl Neelsen
PRUEBAS DE SUSCEPTIBILIDAD 
• Pruebas de farmacosusceptibilidad indicadas en Px con fracaso, recaída o 
abandono del Tx 
• Se debe elaborar un cronograma farmacológico e historial bacteriológico
PCR 
• DNA o RNA directamente de la muestra clínica 
• Rapidez, aproximadamente 10 horas 
• Identificación aun en muestras con cultivo negativo 
• Sensibilidad del 97% 
• No debe ser utilizada para monitorear el Tx 
DETERMINACION DE ADA 
La adenosina desaminasa (ADA), es una enzima esencial para el 
metabolismo de ciertos tipos de células 
DETERMINACION DE IGRA 
Detección del Gamma interferon producido por las células T sensibilizadas para 
Ag específicos de TB 
ESAT-6 
CFP-10 
TB7.7
RADIOLOGIA 
• Solo hay signos sugestivos, la radiografía es una técnica sensible 
pero inespecífica 
• Aunque existan lesiones radiológicas ampliamente sugestivas de TB, 
se deben realizar los estudios microbiológicos oportunos
TBC: Diagnóstico: Rx Tórax 
• Manifestaciones variadas e inespecíficas. 
TBC Primaria: 
 Linfoadenopatías. 
 Opacidades 
parenquimatosas, tanto 
del espacio aéreo como 
del intersticio, siendo la 
consolidación del espacio 
aéreo el patrón radiológico 
más común, acompañado 
en ocasiones de 
excavaciones 
Guías clínicas de tuberculosis OMS 2010
Compromete con 
mayor frecuencia 
segmento apical o 
posterior de lóbulos 
superiores. 
Otras manifestaciones: 
1) Enfermedad 
traqueobronquial: 
Atelectasias o 
hiperinsuflación 
secundaria. 
2) Enfermedad pleural: 
derrame de tamaño 
variable.
• La excavación es también una 
característica importante de la 
tuberculosis secundaria. 
Cavernas 
 Mezcla de patrones radiográficos: 
opacidades lineales, reticulares y 
nodulares. 
Guías clínicas de tuberculosis OMS 2010
• TB SECUNDARIA 
 Distintivo: Predilección por los 
lóbulos superiores, ausencia 
linfodenopatías y propensión a 
excavación. 
Consolidación del espacio aéreo: 
patrón común. 
Guías clínicas de tuberculosis OMS 2010
RADIOLOGIA 
Complejo de Ghon es la presencia de una 
pequeña zona radiopaca por debajo de la 
clavícula derecha, junto a una calcificación 
a nivel de los ganglios linfáticos hilares, 
unidos por un trazo lineal. 
Algunas lesiones curan mediante fibrosis y 
calcificación
• Nódulos de Simón; 
formaciones nodulares 
apicales bilaterales y 
simétricas 
• Infiltrados: 
• De tipo nuboso o moteado, 
muchas veces ubicadas en el 
íleo, lesión intensamente 
inflamatoria
• Imagen en tienda de 
campaña radiopaca en las 
bases pulmonares, puede 
tener fibrosis 
• Cavitación: zona radiolucida 
en el centro , localizada 
sobre todo en los vértices 
pulmonares
• Tuberculoma 
Nódulo solitario, único o 
múltiple de aspecto 
redondeado 3-6 cm
• Diseminacion hematogena. En fases iniciales
• Fármacos de 1ª elección para tratar la 
Tuberculosis: 
• Isoniazida 
• Pirazinamida 
• Etambutol 
• Fármacos de 2ª elección para tratar la tuberculosis: 
• Con frecuencia se está presentando resistencia 
bacteriana, principalmente a la Isoniazida y en forma 
menor a la Rifampicina. 
 Estreptomicina 
 Kanamicina 
 Amikacina 
 Rifabotina 
 Rifapentina
En la actualidad, la mayoría de los pacientes tuberculosis que dura 6 meses (25 
semanas), pero la secretaria de salud debe supervisar de que el paciente este 
tomando los fármacos. Para llevar a cabo este tratamiento se utilizan 2 productos 
uno de los cuales tiene incluido a 3 antifímicos y otro que tiene 2 antifímicos, estos 
productos son: 
Rifater 
Se va a utilizar en el tratamiento intensivo de la tuberculosis con duración de 10 
semanas. Contiene 3 de antifímicos primarios: 
Rifampicina 
Isoniazida 
Pirazinamida 
Se tomara 4 tab antes del desayuno + Etambutol de Lunes a Sábado (60 dosis). • Rifinah 
• Se utiliza en el mantenimiento de la tuberculosis, que durara 15 semanas. 
Este contiene 2 antifímicos primarios: 
• Rifampicina 
• Isoniazida 
• Si el paciente tiene tuberculosis biliar, si el bacilo está en la circulación, si 
tiene tuberculosis ósea, meningoencefalitis tuberculosa, si el paciente tiene 
sida y TB, este tratamiento debe de darse durante 1 año: 2 meses el Tx 
intensivo y 10 meses el de mantenimiento. Tal como lo señala la NOM-006- 
SSA2-1993
• HARRISON. MANUAL DE MEDICINA 
Fauci, Braunwald, Kasper, Hauser, Longo, 
Jameson, Loscalzo 
17° edición. 2010 
McGraw-Hill Interamericana Editores 
• MICROBIOLOGIA 
Molina, Manjarrez, Tay 
Méndez editores 
• GUIAS CLÍNICAS DE TUBERCULOSIS

TUBERCULOSIS

  • 1.
  • 2.
  • 3.
    • Pequeños núcleosexpectorados con 1-3 MTB suspendidos en el aire e inhalados • Sólo el 10% alcanzan los alveolos
  • 4.
    • Bacilos rectoso ligeramente curvos • 0.4 μ x 5 μ • Semejan micelio:  Ramificados  Filamentosos  Fragmentado por agitación  Células bacilares o cocoides
  • 5.
    • Ácido alcohol resistente • Inmóviles • No forman esporas • Sin cápsula • Aerobicos • Mesófilos (20-37º C)
  • 6.
    Epidemiologia La tuberculosis(TB) es un grave problema de salud publica a nivel mundial. Tuberculosis poblacion mundial Aproximadamente, 2000 millones de personas Enfermedad marcadora de pobreza. 95 % 98% Global Tuberculosis Control. A Short Update to the 2009 Report. OMS. •9 millones/año •2 millones † V.desarrollo
  • 7.
    Según la OMS,el número de personas infectadas mundialmente asciende a mil millones (6,7), lo que significa que más del 25% de la población ha sido infectada en alguna etapa de su vida. El riesgo anual de infección en países en desarrollo se calcula en 1% a 2% Entre los factores que complican la erradicación de la tuberculosis Diabetes pobreza hacinamiento, desnutrición SIDA flujos migratorios de zonas endémica falla en el mantenimiento de la infraestructura de salud pública
  • 8.
    Sudeste asiático, Áfricasubsahariana y este de Europa. Difícil erradicación Diseminación Prof. sanitarios Problema de salud publica M. Tuberculosis multiresistente Tx inadecuado Foco de infección Murray P, Microbiología Médica. Elsevier, 5º Edición, 2009. Basualdo JA y col p.p28’-281
  • 10.
    Guerrero, en eltercer lugar nacional con mil casos nuevos de tuberculosis cada año Mueren 4 de cada 100 mil personas por este mal en la entidad, informa Salud estatal “La tuberculosis constituye un problema de salud pública, que afecta con mayor frecuencia al grupo de edad de entre 15 y 49 años”, Acapulco Tercer lugar nacional 33. 7 por ciento, que equivale a 5 mil 273 personas enfermas. 66 % 34 % La jornada Guerrero 2011 Editorial EVE, S.A. de C.V.
  • 11.
    Municipios con masincidencia Cuajinicuilapa, Azoyú, San Marcos, Tecoanapa, Ayutla, Ometepec, Coyuca de Benítez, Atoyac, Tecpan, Chilapa, Azueta y Chilpancingo. En tanto, la jefa de la Jurisdicción Sanitaria de Acapulco, Patricia Batani Giles, indicó que en las colonias Progreso, Zapata, Sabana, Renacimiento, Jardín Mangos y Jardín Palmas es donde hay más casos, y que la población entre 15 y 80 años es la más afectada. drogoresistencia La jornada Guerrero 2011 Editorial EVE, S.A. de C.V. fortalece la enfermedad, Peores consecuencias
  • 12.
    Manifestaciones clínicas TUBERCULOSISPULMONAR Limitada a los pulmones en más del 80% de casos TB primaria: Infección inicial en lóbulos medio e inferior • Cicatrización espontánea Nódulo calcificado (lesión de Ghon) Linfadenopatía hiliar y paratraqueal • Avance de la infección Cavitación Derrames pleurales Diseminación hematógena • Lesiones pleurales
  • 13.
    Manifestaciones Clínicas Afectación de vías respiratorias altas: disfonía, ronquera y/o disfagia dolorosa. • Examen físico: puede ser completamente normal o evidenciar estertores, roncus, sibilancias, sonidos anfóricos en las áreas con cavitaciones grandes. Guías clínicas de tuberculosis OMS 2010
  • 14.
    SINTOMAS CLINICOS •E- Niños: Tos > 2 semanas en ausencia de otra causa • Fiebre, perdida de peso o falla para crecer • Adultos: tos persistente y productiva > 2 semanas • Hemoptisis • Fiebre vespertina o nocturna • Sudoración nocturna • Perdida de peso • Astenia • Adinamia • Personas con tos sin explicación y ataque al estado general • Px con neumonias adquiridad que no mejoran en mas de 7 días
  • 15.
    DATOS CLINICOS SUJESTIVOSDE TB • Perdida de peso o falla para crecer en niños • Fiebre inexplicable y tos persistente > 2 semanas / hemoptisis • Fiebre vespertina o nocturna • Sudoración nocturna • Perdida de peso • Astenia • Adinamia • Ataque al estado general R- En toda persona con tos productiva > 2 semanas se debe sospechar de M. tuberculosis
  • 16.
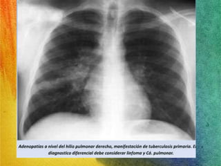
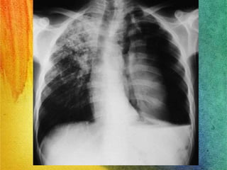
    TBC Primaria. •Aparece consecutiva a infección inicial. • Localizada principalmente en campos medios e inferiores de los pulmones.  Localización más frecuente: Lóbulo Medio Derecho: Rodeado más densamente por nódulos linfáticos. Mayor longitud y menor diámetro relativo. Guías clínicas de tuberculosis OMS 2010
  • 17.
    • Multiplicación activa10-14 días Nº crítico para producir enfermedad cavitaria.  Localización más frecuente: Segmentos apicales y posteriores de los lóbulos superiores. También los segmentos superiores de lóbulos inferiores. Guías clínicas de tuberculosis OMS 2010
  • 18.
    Evolución: • Enel centro de la lesión, el material caseoso presenta licuefacción, va destruyendo las paredes de los bronquios y de los vasos sanguíneos, y se drena en ellos el contenido CAVERNAS. Diseminación broncógena. Diseminación hematógena.
  • 20.
    TB posprimaria (deladulto, por reactivación o secundaria): Infección en los segmentos apical y posterior de los lóbulos superiores y segmentos superiores de los lóbulos inferiores a) Síntomas inespecíficos y graduales Fiebre Diaforesis nocturna Pérdida de peso Anorexia Malestar general Debilidad
  • 21.
    b) Tos Producciónde esputo purulento o hemático Hemoptisis masiva c) Limitación de la enfermedad Cavitación extensa Disnea Insuficiencia respiratoria
  • 22.
    TUBERCULOSIS EXTRAPULMONAR •Ubicada en cualquier parte del cuerpo • Hasta 66% de pacientes con VIH • 24-35% pacientes con TB primaria • Síntomas generales como consecuencia de hiperergia:  Astenia  Adinamia  Anorexia  Transpiración  Febrícula vespertina  Fiebre  Sudoración nocturna  Pérdida de peso  Irritabilidad  Trastornos nerviosos  Dispepsia
  • 23.
    TUBERCULOSIS OSTEOARTICULAR (malde pott) • La patogenia de la tuberculosis osteoarticular guarda relación con la reactivación de focos hematógenos o con una diseminación procedente de los ganglios linfáticos paravertebrales próximos • Las ubicaciones mas frec. Son columna vertebral, cadera y rodillas. • La infeccion se extienede Cuerpos vertebrales Disco intervertebral Colapso de los cuerpos vertebrales Cifosis, jiba Signos inflamatorios articulares. Frecuentes abscesos fríos. Sospecha diagnóstica por radiología. Confirmación por cultivo o biopsia.
  • 24.
    MENINGITIS TUBERCULOSA •Predomina en niños pequeños. Personas con VIH • La meningitis tuberculosa se debe a una diseminación hematógena de la lesión pulmonar primaria o posprimaria, o a la rotura de un tubérculo subependimario en el espacio subaracnoideo. A menudo se acompaña de lesion de los nervios craneales, sobre todos en los oculares. Degenera coma, hidrocefalia e hipertension intracreaneal. Síntomas generales: Decaimiento, apatía, cambios de carácter y fiebre (1) ATS. Diagnostic standards and classification of tuberculosis in adults and children. Am J Respir Crit Care Med. 161:1376-95, 2000 (2) Farga, Victorino. Tuberculosis. Publicaciones Técnicas Mediterráneo LTA. Santiago de Chile. 2º Edición, 1992
  • 25.
    Tuberculosis Extrapulmonar TuberculosisSNC: Meníngea • Síntomas inespecíficos. ▫ Relacionados con el nervio craneal afectado (VI Par). ▫ Cefalea, rigidez de nuca, y alteración del estado de conciencia. ▫ Manifestaciones de hipertensión endocraneana. • LCR claro. • TAC de cráneo: Edema difuso e hidrocefalia obstructiva • 50% presenta alteraciones en Rx de Tórax. • Diagnóstico bacteriológico generalmente tardío. • Adenosin deaminasa elevada en LCR.
  • 26.
    Tuberculosis Extrapulmonar TuberculosisSNC: Meníngea ETAPAS DE LA MENINGITIS TUBERCULOSA Etapa I Predominio de manifestaciones sistémicas. Paciente conciente y lúcido, con síntomas meníngeos, pero sin signos neurológicos. Etapa II Paciente confuso, con signos neurológicos y de hipertensión endocraneana. Etapa III Paciente con grave compromiso, de conciencia, mentalmente inaccesible por la profundidad del estupor, delirio o coma, o bien con hemiplejía o paraplejía completa.
  • 27.
    Tuberculosis Extrapulmonar TuberculosisSNC: Meníngea Características del Líquido Cefalorraquídeo Patrón Célularidad Presión (mm H20) Proteínas (mg/dl) Glucosa (mg/dl) Normal < 5 Linfocitos x mm3 70 – 200 20 – 45 50 – 80 Tuberculoso < 1000 (Linfocitos) +++ 100 < 40 El 25 % de px que reciben tx se observan secuelas neurologicas.
  • 28.
    TUBERCULOSIS DIGESTIVA •Cualquier tramo del tubo digestivo puede resultar afectado por la tuberculosis al intervenir diversos mecanismos: deglución de los esputos, diseminación hematógena, o bien, infrecuente en la actualidad, la ingestión de la leche de vacas enfermas de tuberculosis bovina Ultimo tercio del ileon y el ciego Dolor abdominal y diarrea Fiebre Dolor abdominal Ascitis exudativa con numero alto de proteinas y leucositosis linfacitica. Biopsia peritoneal Enf. Crohn.
  • 29.
    PERITONITIS TUBERCULOSA Aparecedespués de una siembra directa de bacilos tuberculosos procedentes de los órganos intraabdominales o de unos ganglios linfáticos rotos, o bien a causa de una siembra hematógena
  • 30.
    TUBERCULOSIS PERICARDICA •ha sido una enfermedad propia de los ancianos en los países con una prevalencia escasa de la tuberculosis, pero se observa con frecuencia en los pacientes infectados por el VIH. Se caracteriza por la aparicion repentina o subaguda de la fiebre y dolor retroesternal. Derrame Pericarditis constrictiva cronica. Glucocorticoides.
  • 31.
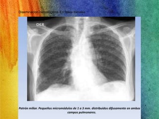
    TUBERCULOSIS MILIAR •Consiste en una siembra hematógena de bacilos tuberculosos. En los niños suele deberse a una infección primaria reciente, pero en los adultos puede ser secundaria tanto a una infección reciente como a la reactivación de focos diseminados antiguos Las lesiones son granulomas pequeños (1-2 mm) y los sintomas son inespecificos. Hepatomegalia,esplenomegalia, linfadenopatia, tuberculos coroideos en el ojo.
  • 32.
    • Resistente arespuesta humoral • Sensible a respuesta celular • Tuberculosis pulmonar: 5 estadios en el desarrollo de la enfermedad • Tuberculosis extratorácica Propagaciones de la TB pulmonar
  • 33.
    Llegada del baciloal alveolo Fagocitados por macrófagos Interacciones con receptores de superficie Región constante de Ig Complemento Mecanismos de Sobrevivencia defensa M. tuberculosis No contenidos Multiplicación •Lisan al macrófago •Se entienden a los ganglios linfáticos regionales
  • 34.
    Evitan la maduracióndel fagosoma y fusión con el lisosoma Evitan la destrucción bacteriana El macrófago se mantiene al margen y protege a la bacteria Multiplicación intracelular (macrófagos) Estado de latencia Lesión primaria
  • 35.
    2-4 semanas despuésde la infección Hipersensibilidad tardía a antígenos bacterianos Activación de inmunidad celular (respuesta específica) (Células T citotóxicas) (Liberación de productos bacterianos, como tuberculina) Destrucción de macrófagos inactivos (contenedores de bacilos en multiplicación) Daño al tejido del hospedero
  • 36.
    Formación de granuloma(tuberculo) Células gigantes multinucleadas Acumulación de macrófagos activados en la lesión primaria Constituidas de linfocitos T y macrófagos activados
  • 37.
    Hipersensibilidad retardada Inmunidadcelular Pacientes pediátricos o inmunosuprimidos M. Tuberculosis escapa del centro caseoso Fagocitado por macrófagos no sensibilizados Multiplicación intracelular Diseminación de la lesión Drenaje linfático o hemático Necrosis caseosa Agrandamiento de la Destrucción de macrófagos lesión
  • 38.
    Pacientes resistentes Inmunidadcelular M. Tuberculosis escapa del centro caseoso Fagocitado por macrófagos activados El tubérculo disminuye su estado caseoso Detención temporal de la enfermedad
  • 39.
    Progreso de laenfermedad Licuefacción del nódulo caseoso Medio de cultivo para el bacilo Multiplicación Incremento de hipersensibilidad tardía Aumento de la lesión
  • 41.
    DIAGNOSTICO DE TB • Datos clínicos y de gabinete • Aislamiento e identificación del agente infectante Muestra clínica De acuerdo al tipo de TB: pulmonar o extrapulmonar
  • 42.
    SINTOMAS CLINICOS •E- Niños: Tos > 2 semanas en ausencia de otra causa • Fiebre, perdida de peso o falla para crecer • Adultos: tos persistente y productiva > 2 semanas • Hemoptisis • Fiebre vespertina o nocturna • Sudoración nocturna • Perdida de peso • Astenia • Adinamia • Personas con tos sin explicación y ataque al estado general • Px con neumonias adquiridad que no mejoran en mas de 7 días
  • 43.
    PRUEBA DE LATUBERCULINA (PPD) • Bajo costo • Fácil realización • Falsos negativos: Alteración del SI ▫ VIH ▫ Menores de 6 meses • Falsos positivos por sensibilización del SI ▫ Vacuna VCG ▫ Exposición a Micobacterias no tuberculosas (+) con 10 mm o mas para sospecha de TB ▫ Área palpable elevada ▫ Hinchazón ▫ Endurecimiento ▫ Enrojecimiento
  • 45.
    PRUEBA DE LATUBERCULINA (PPD) • Contacto estrecho con un caso de TB activo • Co- infección con VIH independientemente de su estado • Otras condiciones del inmunocompriomiso • Uso de corticoesteroides sistémicos (prednisona 15 mg por un mes o mas) • Historia de trasplante de órganos o terapia inmunosupresora • Cambios fibrosos en la RX sugestivos de TB inactiva • Radiografía o hallazgos clínicos de TB activa (+) con 5 mm o mas para sospecha de TB
  • 46.
    PRUEBA DE LATUBERCULINA (PPD) (+) con 10 mm o mas para sospecha de TB • Tomando en cuenta el tipo de huésped: • Prueba inicial (-), puede realizarse una segunda entre 1-3 semanas después • Segunda prueba (+) el Px se clasifica como infectado
  • 47.
    ESPUTO • CULTIVO • EXAMEN MICROSCOPICO • 3 muestras de esputo de buena calidad, de primera hora de la mañana, en días distintos. • Para detectar al bacilo en las tinciones se estima que son necesarios 5.000 a 10.000 bacilos/ml.  Positiva en un 65% de los casos cuando se procesan tres esputos (95% formas cavitarias) frente a un 30% con una muestra aislada.
  • 48.
    CULTIVO • Requiereun mínimo de 500 bacilos por ml de esputo • Lenta capacidad de división; resultado no inferior 4-6 semanas • Indicado para identificar la cepa, en caso de baciloscopia (-) y alta sospecha • Se debe realizar en Px nuevos en Tx • Se debe realizar simultáneamente la bacilocospia y el cultivo  Sensibilidad 80-90%.  Fuente de carbono a través del glicerol o glucosa.  Fuente de nitrógeno a través de sales de amonio o componentes del huevo  pH 6.5-7.0  5-10% CO2  35-37° C
  • 49.
    EXAMEN MICROSCOPICO DEESPUTO Búsqueda de BAAR • Alta sensibilidad (51.8%) especificidad (97.5%) • 3 muestras para estudio microscópico • Envío al lab en menos de 24 horas La base del dx y seguimiento de TB, debe ser la técnica de Ziehl Neelsen
  • 51.
    PRUEBAS DE SUSCEPTIBILIDAD • Pruebas de farmacosusceptibilidad indicadas en Px con fracaso, recaída o abandono del Tx • Se debe elaborar un cronograma farmacológico e historial bacteriológico
  • 52.
    PCR • DNAo RNA directamente de la muestra clínica • Rapidez, aproximadamente 10 horas • Identificación aun en muestras con cultivo negativo • Sensibilidad del 97% • No debe ser utilizada para monitorear el Tx DETERMINACION DE ADA La adenosina desaminasa (ADA), es una enzima esencial para el metabolismo de ciertos tipos de células DETERMINACION DE IGRA Detección del Gamma interferon producido por las células T sensibilizadas para Ag específicos de TB ESAT-6 CFP-10 TB7.7
  • 53.
    RADIOLOGIA • Solohay signos sugestivos, la radiografía es una técnica sensible pero inespecífica • Aunque existan lesiones radiológicas ampliamente sugestivas de TB, se deben realizar los estudios microbiológicos oportunos
  • 54.
    TBC: Diagnóstico: RxTórax • Manifestaciones variadas e inespecíficas. TBC Primaria:  Linfoadenopatías.  Opacidades parenquimatosas, tanto del espacio aéreo como del intersticio, siendo la consolidación del espacio aéreo el patrón radiológico más común, acompañado en ocasiones de excavaciones Guías clínicas de tuberculosis OMS 2010
  • 55.
    Compromete con mayorfrecuencia segmento apical o posterior de lóbulos superiores. Otras manifestaciones: 1) Enfermedad traqueobronquial: Atelectasias o hiperinsuflación secundaria. 2) Enfermedad pleural: derrame de tamaño variable.
  • 56.
    • La excavaciónes también una característica importante de la tuberculosis secundaria. Cavernas  Mezcla de patrones radiográficos: opacidades lineales, reticulares y nodulares. Guías clínicas de tuberculosis OMS 2010
  • 57.
    • TB SECUNDARIA  Distintivo: Predilección por los lóbulos superiores, ausencia linfodenopatías y propensión a excavación. Consolidación del espacio aéreo: patrón común. Guías clínicas de tuberculosis OMS 2010
  • 58.
    RADIOLOGIA Complejo deGhon es la presencia de una pequeña zona radiopaca por debajo de la clavícula derecha, junto a una calcificación a nivel de los ganglios linfáticos hilares, unidos por un trazo lineal. Algunas lesiones curan mediante fibrosis y calcificación
  • 59.
    • Nódulos deSimón; formaciones nodulares apicales bilaterales y simétricas • Infiltrados: • De tipo nuboso o moteado, muchas veces ubicadas en el íleo, lesión intensamente inflamatoria
  • 60.
    • Imagen entienda de campaña radiopaca en las bases pulmonares, puede tener fibrosis • Cavitación: zona radiolucida en el centro , localizada sobre todo en los vértices pulmonares
  • 62.
    • Tuberculoma Nódulosolitario, único o múltiple de aspecto redondeado 3-6 cm
  • 64.
    • Diseminacion hematogena.En fases iniciales
  • 65.
    • Fármacos de1ª elección para tratar la Tuberculosis: • Isoniazida • Pirazinamida • Etambutol • Fármacos de 2ª elección para tratar la tuberculosis: • Con frecuencia se está presentando resistencia bacteriana, principalmente a la Isoniazida y en forma menor a la Rifampicina.  Estreptomicina  Kanamicina  Amikacina  Rifabotina  Rifapentina
  • 66.
    En la actualidad,la mayoría de los pacientes tuberculosis que dura 6 meses (25 semanas), pero la secretaria de salud debe supervisar de que el paciente este tomando los fármacos. Para llevar a cabo este tratamiento se utilizan 2 productos uno de los cuales tiene incluido a 3 antifímicos y otro que tiene 2 antifímicos, estos productos son: Rifater Se va a utilizar en el tratamiento intensivo de la tuberculosis con duración de 10 semanas. Contiene 3 de antifímicos primarios: Rifampicina Isoniazida Pirazinamida Se tomara 4 tab antes del desayuno + Etambutol de Lunes a Sábado (60 dosis). • Rifinah • Se utiliza en el mantenimiento de la tuberculosis, que durara 15 semanas. Este contiene 2 antifímicos primarios: • Rifampicina • Isoniazida • Si el paciente tiene tuberculosis biliar, si el bacilo está en la circulación, si tiene tuberculosis ósea, meningoencefalitis tuberculosa, si el paciente tiene sida y TB, este tratamiento debe de darse durante 1 año: 2 meses el Tx intensivo y 10 meses el de mantenimiento. Tal como lo señala la NOM-006- SSA2-1993
  • 67.
    • HARRISON. MANUALDE MEDICINA Fauci, Braunwald, Kasper, Hauser, Longo, Jameson, Loscalzo 17° edición. 2010 McGraw-Hill Interamericana Editores • MICROBIOLOGIA Molina, Manjarrez, Tay Méndez editores • GUIAS CLÍNICAS DE TUBERCULOSIS