CÁNCER GASTRICODr. Teodoro A. Zelada Gonzales Cirujano General
EpidemiologíaEl adenocarcinoma gástrico es el tumor gástrico maligno mas común.Es el segundo cáncer mas común y la segunda causa mas común de mortalidad por cáncer en el mundo.Asociado a una condición socioeconómica mas baja Las evidencias vinculan al H. Pylori con la atrofia gástrica, la metaplasia intestinal y el adenocarcinoma  gástrico.Los hombres tienen 1,7 mas probabilidad de sufrir un carcinoma gástrico que las mujeresEn áreas de incidencias elevadas la edad media al momento del diagnostico es de 55 años
EpidemiologíaEn la actualidad hay una continua disminución mundial de la prevalencia y la tasa de mortalidad que se explica por la disminución del tipo intestinalTipos histológicos: intestinal (mejor diferenciado) y difuso (menos diferenciado) (Clasificación de Lauren)Los inmigrantes japoneses en USA muestran una reducción del 25% en la incidencia, la 2da generación muestra una reducción del 50% y las generaciones siguientes una  incidencia comparable a la población general.Disminución del carcinoma del estomago distal; y el del estomago proximal y la unión esófago gástrica han permanecido estables o incluso aumentado (esófago de Barrett)
H. Pylori y cáncer gástrico1983 Warren y Marshall descubren la bacteria H. Pylori, y su rol potencial en el desarrollo de la enfermedad ulcerosa duodenal.1990 Primeros estudios en cáncer.1994 Agencia internacional para el estudio del cáncer (OMS), clasifica al H. Pylori como carcinógeno grupo 1.Grupo 1                                                   Carcinógeno definitivoGrupo 2A                                                 Carcinógeno probableGrupo 2B                                                 Carcinógeno posibleGrupo 3                                                    Evidencia insuficientesGrupo 4                                                    No es carcinógeno
Factores de riesgoCausas de identificación de cáncer con mas de 300.000 casos atribuidos anualmenteFumar Tabaco
Hepatitis  A y B
Virus papiloma Humano
H. Pylori
Luz solar
Dieta deficiente en frutas vegetalesFactores para atrofia gástrica y cáncer gástrico potencialAlto consumo de sal Duración de la infección por H. PyloriBaja ingesta de Vitamina CAlto consumo de alcohol Nitratos FumarAtrofia gástrica Cáncer gástrico
Secuencia en la carcinogénesis gástrica Infección por H. Pylori            Gastritis crónica                      Atrofia gástrica                                Metaplasia intestinal                                        Displasia                                                Adenocarcinoma
FACTORES AMBIENTALESDIETAMUCOSANORMALH. PLYLORIPREDISPOSICION    GENETICAGASTRITISCRONICA SUPERFICIALGASTRITISCRONICAATROFICAFACTORES GENETICOSMETAPLASIAINTESTINALCANCER GASTRICOMETÁSTASIS
Resultados de cáncer gástrico en ChinaGastritisactiva                       MejoríaInflamación crónica                 Mejoría             Metaplasia intestinal              Sin mejoría                    Gastritis atrófica                     Sin mejoríaCáncer Gástrico
SIGNOS Y SINTOMAS
PRINCIPALES COMPLICACIONESHemorragiaPerforaciónLa estenosis pilórica (obstrucción duodenal)
TECNICAS DE DIAGNOSTICOSerie del tracto gastrointestinal superior que muestre el cáncer gástrico. EGD (Esofagogastroduodenoscopia) y biopsia que muestren el cáncer gástrico. CSC que revele anemia (aunque hay muchas otras razones para la anemia). Un examen de materia fecal positivo para sangre.Los mejores métodos de comprobación diagnostica permiten visualizar completamente el interior del estómago con documentación. Fotografías y vídeo. Permiten la toma de biopsias para confirmar con patología la presencia del cáncer gástrico.
CICLIPA 2006MORFOLOGIA50% - 60%  antropiloricos25% cardiasResto cuerpo y fondoCurvatura menor 40%Curvatura mayor 12%MAS FRECUENTE CURVATURA MENOR REGION ANTROPILORICA
CICLIPA 2006MORFOLOGIACarcinoma gastrico precozConfinado a mucosa y submucosa independiente de la presencia o ausencia de metastasis ganglionaresCarcinoma avanzadoInfiltra  la pared muscular como minimo
Carcinoma precoz
CICLIPA 2006Carcinoma avanzado polipoide
Carcinoma avanzado fungiforme
Carcinoma avanzado ulcerado
Linitis
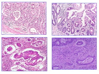
CICLIPA 2006Subtipos histologicosTipo intestinalMetaplasia intestinal en mucosa adyacenteForma estructuras glandularesCélulas con mucina intracitoplasmaticas
CICLIPA 2006
Clasificación OMS
CICLIPA 2006Subtipo histologicoDifusoCélulas individuales  o en pequeños gruposCélulas en anillo de selloNacen de la capa media de la mucosaNo es prerequisito la metapalsia intestinal
DifusoCICLIPA 2006
CICLIPA 2006Clasificación OMS
CICLIPA 2006ExtensionGanglio supraclavicular (nodulo de la hermana Mary Joseph)Metastasis Ganglios regionalesNodulos peritonealesViscerales (hígado, pulmon , ovarios tumor de Krukenberg)
ESTADIFICACIÓNUno de los factores que determinan la resecabilidad curativa del adeno-carcinoma gástrico y su pronóstico es el estado clínico y patológico.Endoscopia digestiva altaREED(Rx. contrastado de esôfago, estomago y duodeno)Tomografia computadorizada de abdomeTomografia computadorizada de tórax
ESTADIO               T                        N                                M   la                         T1                      N0                               M0   lb                         T1                      N1                               M0                               T2                      N0                               M0                               T3                      N0                               M0  ll                            T1                      N2                              M0                                T2                      N1                              M0                                T3                      N0                              M0  llla                          T2                      N2                             M0                                 T3                      N1                            M0                                 T4                      N0                            M0 lllb                           T3                       N2                            M0                                 T4                       N1                            M0  lV                            T4                       N2                            M0                             cualquier T         cualquier N                   M1
EVIDENCIAS DE METASTASISExamen clínicoRx. de tóraxPruebas de función hepática TAC: De tórax y abdomenMala para detectar metástasis de menos de 5 mm de diámetro, y la profundidad de la invasión tumoralEcografía endoscópicaLa profundidad de la visión es de solo 5cm
PRONÓSTICOCa precoz 90 a 95% SV a 5 aCa avanzado 15% SV a 5 aLos canceres del cardias y del tercio superior del estomago tienen el peor pronostico. Supervivencia a 5 años del 15%Los tumores del cuerpo y antro tienen una tasa de supervivencia a 5 años de 25 y 30% respectivamenteTambién son de mal pronostico:Tumores avanzados de gran tamañoTumores que invaden serosa Compromiso peritoneal Con aspecto de linitis plástica
TRATAMIENTOLa cirugía es la única opción curativa 85% de los pacientes son operables 50% de las lesiones son resecables La resección es el mejor tratamiento paliativo
CIRUGIAINDICACIONES:Manifestaciones clínicasPresencia de complicacionesTiene como objetivo reducir la secreción gástrica de forma permanenteGastrectomía subtotal, vagotomía, antrectomía, la gastrectomía total.
GASTRECTOMIA: INDICACIONESEn caso de problemas gástricos crónicos como úlceras, obesidad o cáncer, se puede recomendar la extirpación parcial o total del estómago.
GASTRECTOMIA: INCISIONSe hace una incisión en la piel sobre la región pilórica del estómago llamada Incisión mediana supraumbilical usada para operaciones del estómago y otras estructuras del hemiabdomen superior.
GASTRECTOMIA: PROCEDIMIENTOSe extirpa la parte afectada del estómago y el intestino delgado se une a la parte restante para conservar la integridad del tracto digestivo.
GASTRECTOMIA: CUIDADOS POSTOPERATORIOSDespués de la cirugía, el paciente permanece con sonda nasogástrica para mantener el estómago vacío y en reposo. Al cabo de algunos días, cuando el estómago comience a funcionar de forma normal, se puede retirar la sonda y el paciente puede ingerir una dieta líquida clara y gradualmente llegar a una dieta normal y completa.

Cáncer gastrico

  • 1.
    CÁNCER GASTRICODr. TeodoroA. Zelada Gonzales Cirujano General
  • 2.
    EpidemiologíaEl adenocarcinoma gástricoes el tumor gástrico maligno mas común.Es el segundo cáncer mas común y la segunda causa mas común de mortalidad por cáncer en el mundo.Asociado a una condición socioeconómica mas baja Las evidencias vinculan al H. Pylori con la atrofia gástrica, la metaplasia intestinal y el adenocarcinoma gástrico.Los hombres tienen 1,7 mas probabilidad de sufrir un carcinoma gástrico que las mujeresEn áreas de incidencias elevadas la edad media al momento del diagnostico es de 55 años
  • 3.
    EpidemiologíaEn la actualidadhay una continua disminución mundial de la prevalencia y la tasa de mortalidad que se explica por la disminución del tipo intestinalTipos histológicos: intestinal (mejor diferenciado) y difuso (menos diferenciado) (Clasificación de Lauren)Los inmigrantes japoneses en USA muestran una reducción del 25% en la incidencia, la 2da generación muestra una reducción del 50% y las generaciones siguientes una incidencia comparable a la población general.Disminución del carcinoma del estomago distal; y el del estomago proximal y la unión esófago gástrica han permanecido estables o incluso aumentado (esófago de Barrett)
  • 4.
    H. Pylori ycáncer gástrico1983 Warren y Marshall descubren la bacteria H. Pylori, y su rol potencial en el desarrollo de la enfermedad ulcerosa duodenal.1990 Primeros estudios en cáncer.1994 Agencia internacional para el estudio del cáncer (OMS), clasifica al H. Pylori como carcinógeno grupo 1.Grupo 1 Carcinógeno definitivoGrupo 2A Carcinógeno probableGrupo 2B Carcinógeno posibleGrupo 3 Evidencia insuficientesGrupo 4 No es carcinógeno
  • 5.
    Factores de riesgoCausasde identificación de cáncer con mas de 300.000 casos atribuidos anualmenteFumar Tabaco
  • 6.
  • 7.
  • 8.
  • 9.
  • 10.
    Dieta deficiente enfrutas vegetalesFactores para atrofia gástrica y cáncer gástrico potencialAlto consumo de sal Duración de la infección por H. PyloriBaja ingesta de Vitamina CAlto consumo de alcohol Nitratos FumarAtrofia gástrica Cáncer gástrico
  • 12.
    Secuencia en lacarcinogénesis gástrica Infección por H. Pylori Gastritis crónica Atrofia gástrica Metaplasia intestinal Displasia Adenocarcinoma
  • 13.
    FACTORES AMBIENTALESDIETAMUCOSANORMALH. PLYLORIPREDISPOSICION GENETICAGASTRITISCRONICA SUPERFICIALGASTRITISCRONICAATROFICAFACTORES GENETICOSMETAPLASIAINTESTINALCANCER GASTRICOMETÁSTASIS
  • 14.
    Resultados de cáncergástrico en ChinaGastritisactiva MejoríaInflamación crónica Mejoría Metaplasia intestinal Sin mejoría Gastritis atrófica Sin mejoríaCáncer Gástrico
  • 15.
  • 16.
  • 17.
    TECNICAS DE DIAGNOSTICOSeriedel tracto gastrointestinal superior que muestre el cáncer gástrico. EGD (Esofagogastroduodenoscopia) y biopsia que muestren el cáncer gástrico. CSC que revele anemia (aunque hay muchas otras razones para la anemia). Un examen de materia fecal positivo para sangre.Los mejores métodos de comprobación diagnostica permiten visualizar completamente el interior del estómago con documentación. Fotografías y vídeo. Permiten la toma de biopsias para confirmar con patología la presencia del cáncer gástrico.
  • 19.
    CICLIPA 2006MORFOLOGIA50% -60% antropiloricos25% cardiasResto cuerpo y fondoCurvatura menor 40%Curvatura mayor 12%MAS FRECUENTE CURVATURA MENOR REGION ANTROPILORICA
  • 20.
    CICLIPA 2006MORFOLOGIACarcinoma gastricoprecozConfinado a mucosa y submucosa independiente de la presencia o ausencia de metastasis ganglionaresCarcinoma avanzadoInfiltra la pared muscular como minimo
  • 21.
  • 23.
  • 24.
  • 25.
  • 26.
  • 27.
    CICLIPA 2006Subtipos histologicosTipointestinalMetaplasia intestinal en mucosa adyacenteForma estructuras glandularesCélulas con mucina intracitoplasmaticas
  • 28.
  • 29.
  • 30.
    CICLIPA 2006Subtipo histologicoDifusoCélulasindividuales o en pequeños gruposCélulas en anillo de selloNacen de la capa media de la mucosaNo es prerequisito la metapalsia intestinal
  • 31.
  • 32.
  • 33.
    CICLIPA 2006ExtensionGanglio supraclavicular(nodulo de la hermana Mary Joseph)Metastasis Ganglios regionalesNodulos peritonealesViscerales (hígado, pulmon , ovarios tumor de Krukenberg)
  • 34.
    ESTADIFICACIÓNUno de losfactores que determinan la resecabilidad curativa del adeno-carcinoma gástrico y su pronóstico es el estado clínico y patológico.Endoscopia digestiva altaREED(Rx. contrastado de esôfago, estomago y duodeno)Tomografia computadorizada de abdomeTomografia computadorizada de tórax
  • 36.
    ESTADIO T N M la T1 N0 M0 lb T1 N1 M0 T2 N0 M0 T3 N0 M0 ll T1 N2 M0 T2 N1 M0 T3 N0 M0 llla T2 N2 M0 T3 N1 M0 T4 N0 M0 lllb T3 N2 M0 T4 N1 M0 lV T4 N2 M0 cualquier T cualquier N M1
  • 38.
    EVIDENCIAS DE METASTASISExamenclínicoRx. de tóraxPruebas de función hepática TAC: De tórax y abdomenMala para detectar metástasis de menos de 5 mm de diámetro, y la profundidad de la invasión tumoralEcografía endoscópicaLa profundidad de la visión es de solo 5cm
  • 39.
    PRONÓSTICOCa precoz 90a 95% SV a 5 aCa avanzado 15% SV a 5 aLos canceres del cardias y del tercio superior del estomago tienen el peor pronostico. Supervivencia a 5 años del 15%Los tumores del cuerpo y antro tienen una tasa de supervivencia a 5 años de 25 y 30% respectivamenteTambién son de mal pronostico:Tumores avanzados de gran tamañoTumores que invaden serosa Compromiso peritoneal Con aspecto de linitis plástica
  • 40.
    TRATAMIENTOLa cirugía esla única opción curativa 85% de los pacientes son operables 50% de las lesiones son resecables La resección es el mejor tratamiento paliativo
  • 41.
    CIRUGIAINDICACIONES:Manifestaciones clínicasPresencia de complicacionesTienecomo objetivo reducir la secreción gástrica de forma permanenteGastrectomía subtotal, vagotomía, antrectomía, la gastrectomía total.
  • 42.
    GASTRECTOMIA: INDICACIONESEn casode problemas gástricos crónicos como úlceras, obesidad o cáncer, se puede recomendar la extirpación parcial o total del estómago.
  • 43.
    GASTRECTOMIA: INCISIONSe haceuna incisión en la piel sobre la región pilórica del estómago llamada Incisión mediana supraumbilical usada para operaciones del estómago y otras estructuras del hemiabdomen superior.
  • 44.
    GASTRECTOMIA: PROCEDIMIENTOSe extirpala parte afectada del estómago y el intestino delgado se une a la parte restante para conservar la integridad del tracto digestivo.
  • 45.
    GASTRECTOMIA: CUIDADOS POSTOPERATORIOSDespuésde la cirugía, el paciente permanece con sonda nasogástrica para mantener el estómago vacío y en reposo. Al cabo de algunos días, cuando el estómago comience a funcionar de forma normal, se puede retirar la sonda y el paciente puede ingerir una dieta líquida clara y gradualmente llegar a una dieta normal y completa.