EXPERIENCIA EN CRANIECTOMIAS DESCOMPRESIVAS EN TEC GRAVE Y ACV Edith Encarnación Marcos Vilca Victor Benllochpiquer
La Hipertensión Endocraneana refractaria a tratamiento médico es una entidad producida por diversas patologías, lesiones focales o difusas, como el TEC y los Accidentes Cerebro vasculares.  La craniectomia descompresiva es una terapia agresiva y controversial.  El presente trabajo pretende dar a conocer nuestra experiencia en relación a esta opción terapéutica. Objetivos
El diseño del estudio fue serie de casos. Se revisaron los archivos de las historias clínicas, reportes operatorios, y las bases de datos del servicio de Neurocirugía del Hospital María Auxiliadora Lima-Perú. Pacientes con TEC y ACV, que fueron sometidos a Craniectomia descompresiva desde Enero 2003 hasta Junio 2008. Se obtuvieron 44 pacientes: 36 con TEC 8 con ACV Material y Método
Los datos obtenidos fueron los siguientes:  Edad y sexo Antecedentes importantes.  Síntomas y signos principales Escala de Coma de Glasgow  El Trauma Score revisado (TSR) Clasificación de severidad de enfermedad APACHE II Tipo de lesión encefálica según el Traumatic Coma Data Bank  Material y Método
Diagnóstico  Clasificación de la craniectomía según el tiempo Clasificación de la craniectomía según el lado operado Mortalidad.  El grado de discapacidad mediante: Glasgow Outcome Scale: TEC Escala de Rankin modificada:  ACV. Material y Método
Trauma Score Revisado (TSR)
Sistema de Valoración de la gravedad APACHE II
Clasificación Tomográfica del TEC según el National Traumatic Coma Data Bank (TCDB)  Grado, Tipo de lesión, TAC craneal I  Lesión difusa I  Sin patología visible en la TAC II  Lesión difusa II  Cisternas presentes con desplazamientos de la línea media de 0-5 mm y/o lesiones densas presentes. Sin lesiones de densidad alta o mixta > 25 cm3. Puede incluir fragmentos óseos y cuerpos extraños. III  Lesión difusa III (Swelling)  Cisternas comprimidas o ausentes con desplazamiento de la línea media de 0-5 mm. Sin lesiones de densidad alta o mixta > 25 cm3. IV  Lesión difusa IV (Shift)  Desplazamiento de la línea media > 5 mm. Sin lesiones de densidad alta o mixta > 25 cm3. V  Lesión focal evacuada  Cualquier lesión evacuada quirúrgicamente. VI  Lesión focal no evacuada  Lesión de densidad alta o mixta >25 cm3 no evacuada quirúrgicamente. Marshall L., Gautille R, Klauber M et al. The outcome of severe closed head injury. J. Neurosurg. 75 (S):528.1991.
Escala de evolución de Glasgow
Escala de Rankin modificada
Los datos se procesaron mediante el programa estadístico STATA 8.0, el cual fue empleado para la estadística descriptiva y distribución de frecuencias, asi como para evaluar la existencia de asociaciones entre las variables estudiadas. Material y Método
Resultados Desde enero 2003 hasta junio 2008 fueron sometidos a Craniectomia Descompresiva 44 pacientes.  Según el género, se trataron 29 varones y 15 mujeres. TEC: 24 varones y 12 mujeres. ACV: 5 varones y 3 mujeres En relación a la edad: TEC: 38.8 años (18 a 65) ACV: 48 años (22 a 76)
Antecedentes de importancia:  Pacientes con TEC: Cuatro pacientes presentaban Alcoholismo, uno presentaba concomitantemente Convulsiones. Dos pacientes tuvieron cirugía neurológica previa. De los pacientes con ACV: Tres pacientes sufrían de Hipertensión Arterial. Una paciente se encontraba en período puerperio inmediato. Resultados
Resultados Los síntomas hallados fueron:  Transtorno de conciencia: 100% Vómitos: 32% Cefalea: 27% Convulsiones: 10%
Resultados Los signos más importantes fueron:  Cefalohematoma: 73% Hemiparesia: 55% Babinski: 48% Anisocoria: 21% Otorragia: 14% Ataxia: 7% Afasia: 7% Equimosis periorbitaria: 5% Parálisis facial: 5% Parálisis de VI NC.: 5%
Resultados Pacientes con ACV: ECG menor o igual a 7:  5 (63%)  ECG 8 o +: 3 (37%)  Pacientes con TEC ECG menor o igual a 7: 15 (42%)  ECG 8 o +: 21 (58%)  ECG menor o igual a 7:  45 %  ECG 8 o +: 55 %
Resultados La gravedad del trauma se midió con el Trauma Score Revisado (TSR). Este evalúa al paciente  considerando ECG, presión arterial sistólica y frecuencia respiratoria. Los Score trauma mas frecuentes hallados fueron 10 y 11: 26 pacientes (72 %).l
Resultados El APACHE II es uno de los sistemas más frecuentemente utilizados para cuantificar la gravedad de un paciente.  Las categorías del APACHE II mas frecuentes fueron 12,17 y 18 (34 %).
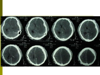
Resultados Según la clasificación tomográfica del TEC, las lesiones  más frecuentes fueron:  Categoría VI TCDB: 10 - 28%.  Categoría V TCDB:  7 – 19% Categoría IV TCDB: 1 –3% Hematoma Extraaxial: 12 – 33%  Lesiones mixtas:  14 – 39%
Resultados Pacientes con TEC: Contusión Hemorrágica: 10 Contusión Hemorrágica + HSD: 9 HSD: 7 HED: 5 Contusión Hemorrágica + HED: 3 Contusión Hemorrágica + HSD + HED: 1 HED + HSA: 1
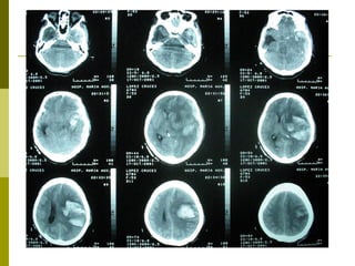
Resultados Pacientes con ACV Hematoma Intraparenquimal: 7 Infarto: 1
Resultados Tres niveles de Craniectomías:  Precoz (< 6 hr): 11 (25%) Temprana: 17 (39%) Tardía ( > 24 hr): 16 (36%) Pacientes con Craniectomía precoz presentaron ECG 6, mientras que los que fueron intervenidos en forma temprana y tardía presentaron ECG 8.
Resultados Según el lado operado: Derecho: 21 – 48% Izquierdo: 19 – 43% Bilateral: 4- 9%
Resultados En este estudio la  mortalidad fue de 7 %.  Todos los pacientes fallecidos tuvieron el Dx. de TEC.
Resultados Causas de Mortalidad: Neumonia intranosocomial: 1 Sepsis:1 Distress Respiratorio: 1
Resultados De los 36 pacientes con TEC: 42 % tuvo un GSO de 3 33% tuvo GSO de 5.  De los 12 pacientes con GSO 5:  8 fueron operados tempranamente. De los 15 pacientes con GSO 3, 8 fueron operados tardíamente.
Resultados Pacientes con ACV:  De los 4 que presentaron incapacidad grave: tres fueron operados precozmente. Dos pacientes presentaron incapacidad bastante grave. Uno presentó incapacidad moderada. Uno presentó ausencia de incapacidad importante.
Conclusiones La Craniectomia Descompresiva es una alternativa agresiva en casos de gran hipertensión endocraneana por TEC o ACV Nos brinda óptimos resultados cuando la terapia convencional falla y ante la inminencia de herniación cerebral.
 
 
 
 
 
Muchas gracias

Craniectomias Descompresivas

  • 1.
    EXPERIENCIA EN CRANIECTOMIASDESCOMPRESIVAS EN TEC GRAVE Y ACV Edith Encarnación Marcos Vilca Victor Benllochpiquer
  • 2.
    La Hipertensión Endocraneanarefractaria a tratamiento médico es una entidad producida por diversas patologías, lesiones focales o difusas, como el TEC y los Accidentes Cerebro vasculares. La craniectomia descompresiva es una terapia agresiva y controversial. El presente trabajo pretende dar a conocer nuestra experiencia en relación a esta opción terapéutica. Objetivos
  • 3.
    El diseño delestudio fue serie de casos. Se revisaron los archivos de las historias clínicas, reportes operatorios, y las bases de datos del servicio de Neurocirugía del Hospital María Auxiliadora Lima-Perú. Pacientes con TEC y ACV, que fueron sometidos a Craniectomia descompresiva desde Enero 2003 hasta Junio 2008. Se obtuvieron 44 pacientes: 36 con TEC 8 con ACV Material y Método
  • 4.
    Los datos obtenidosfueron los siguientes: Edad y sexo Antecedentes importantes. Síntomas y signos principales Escala de Coma de Glasgow El Trauma Score revisado (TSR) Clasificación de severidad de enfermedad APACHE II Tipo de lesión encefálica según el Traumatic Coma Data Bank Material y Método
  • 5.
    Diagnóstico Clasificaciónde la craniectomía según el tiempo Clasificación de la craniectomía según el lado operado Mortalidad. El grado de discapacidad mediante: Glasgow Outcome Scale: TEC Escala de Rankin modificada: ACV. Material y Método
  • 6.
  • 7.
    Sistema de Valoraciónde la gravedad APACHE II
  • 8.
    Clasificación Tomográfica delTEC según el National Traumatic Coma Data Bank (TCDB) Grado, Tipo de lesión, TAC craneal I Lesión difusa I Sin patología visible en la TAC II Lesión difusa II Cisternas presentes con desplazamientos de la línea media de 0-5 mm y/o lesiones densas presentes. Sin lesiones de densidad alta o mixta > 25 cm3. Puede incluir fragmentos óseos y cuerpos extraños. III Lesión difusa III (Swelling) Cisternas comprimidas o ausentes con desplazamiento de la línea media de 0-5 mm. Sin lesiones de densidad alta o mixta > 25 cm3. IV Lesión difusa IV (Shift) Desplazamiento de la línea media > 5 mm. Sin lesiones de densidad alta o mixta > 25 cm3. V Lesión focal evacuada Cualquier lesión evacuada quirúrgicamente. VI Lesión focal no evacuada Lesión de densidad alta o mixta >25 cm3 no evacuada quirúrgicamente. Marshall L., Gautille R, Klauber M et al. The outcome of severe closed head injury. J. Neurosurg. 75 (S):528.1991.
  • 9.
  • 10.
    Escala de Rankinmodificada
  • 11.
    Los datos seprocesaron mediante el programa estadístico STATA 8.0, el cual fue empleado para la estadística descriptiva y distribución de frecuencias, asi como para evaluar la existencia de asociaciones entre las variables estudiadas. Material y Método
  • 12.
    Resultados Desde enero2003 hasta junio 2008 fueron sometidos a Craniectomia Descompresiva 44 pacientes. Según el género, se trataron 29 varones y 15 mujeres. TEC: 24 varones y 12 mujeres. ACV: 5 varones y 3 mujeres En relación a la edad: TEC: 38.8 años (18 a 65) ACV: 48 años (22 a 76)
  • 13.
    Antecedentes de importancia: Pacientes con TEC: Cuatro pacientes presentaban Alcoholismo, uno presentaba concomitantemente Convulsiones. Dos pacientes tuvieron cirugía neurológica previa. De los pacientes con ACV: Tres pacientes sufrían de Hipertensión Arterial. Una paciente se encontraba en período puerperio inmediato. Resultados
  • 14.
    Resultados Los síntomashallados fueron: Transtorno de conciencia: 100% Vómitos: 32% Cefalea: 27% Convulsiones: 10%
  • 15.
    Resultados Los signosmás importantes fueron: Cefalohematoma: 73% Hemiparesia: 55% Babinski: 48% Anisocoria: 21% Otorragia: 14% Ataxia: 7% Afasia: 7% Equimosis periorbitaria: 5% Parálisis facial: 5% Parálisis de VI NC.: 5%
  • 16.
    Resultados Pacientes conACV: ECG menor o igual a 7: 5 (63%) ECG 8 o +: 3 (37%) Pacientes con TEC ECG menor o igual a 7: 15 (42%) ECG 8 o +: 21 (58%) ECG menor o igual a 7: 45 % ECG 8 o +: 55 %
  • 17.
    Resultados La gravedaddel trauma se midió con el Trauma Score Revisado (TSR). Este evalúa al paciente considerando ECG, presión arterial sistólica y frecuencia respiratoria. Los Score trauma mas frecuentes hallados fueron 10 y 11: 26 pacientes (72 %).l
  • 18.
    Resultados El APACHEII es uno de los sistemas más frecuentemente utilizados para cuantificar la gravedad de un paciente. Las categorías del APACHE II mas frecuentes fueron 12,17 y 18 (34 %).
  • 19.
    Resultados Según laclasificación tomográfica del TEC, las lesiones más frecuentes fueron: Categoría VI TCDB: 10 - 28%. Categoría V TCDB: 7 – 19% Categoría IV TCDB: 1 –3% Hematoma Extraaxial: 12 – 33% Lesiones mixtas: 14 – 39%
  • 20.
    Resultados Pacientes conTEC: Contusión Hemorrágica: 10 Contusión Hemorrágica + HSD: 9 HSD: 7 HED: 5 Contusión Hemorrágica + HED: 3 Contusión Hemorrágica + HSD + HED: 1 HED + HSA: 1
  • 21.
    Resultados Pacientes conACV Hematoma Intraparenquimal: 7 Infarto: 1
  • 22.
    Resultados Tres nivelesde Craniectomías: Precoz (< 6 hr): 11 (25%) Temprana: 17 (39%) Tardía ( > 24 hr): 16 (36%) Pacientes con Craniectomía precoz presentaron ECG 6, mientras que los que fueron intervenidos en forma temprana y tardía presentaron ECG 8.
  • 23.
    Resultados Según ellado operado: Derecho: 21 – 48% Izquierdo: 19 – 43% Bilateral: 4- 9%
  • 24.
    Resultados En esteestudio la mortalidad fue de 7 %. Todos los pacientes fallecidos tuvieron el Dx. de TEC.
  • 25.
    Resultados Causas deMortalidad: Neumonia intranosocomial: 1 Sepsis:1 Distress Respiratorio: 1
  • 26.
    Resultados De los36 pacientes con TEC: 42 % tuvo un GSO de 3 33% tuvo GSO de 5. De los 12 pacientes con GSO 5: 8 fueron operados tempranamente. De los 15 pacientes con GSO 3, 8 fueron operados tardíamente.
  • 27.
    Resultados Pacientes conACV: De los 4 que presentaron incapacidad grave: tres fueron operados precozmente. Dos pacientes presentaron incapacidad bastante grave. Uno presentó incapacidad moderada. Uno presentó ausencia de incapacidad importante.
  • 28.
    Conclusiones La CraniectomiaDescompresiva es una alternativa agresiva en casos de gran hipertensión endocraneana por TEC o ACV Nos brinda óptimos resultados cuando la terapia convencional falla y ante la inminencia de herniación cerebral.
  • 29.
  • 30.
  • 31.
  • 32.
  • 33.
  • 34.