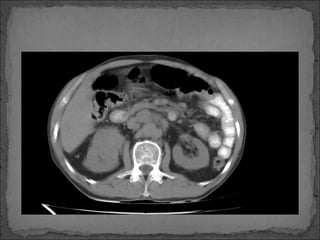
Paciente de 50 años de edad, con historia de Ca renal

diagnosticado hace 6 meses, quien súbitamente inicia
con dolor en cuadrante superior izquierdo hace 6 horas
por lo que consulta.

Facultativo le solicita una TC abdominal y luego refiere a

paciente a este centro hospitalario.
AORTA
DRA. MARIA LUISA JEREZ GUARDIA
RESIDENTE I
RADIOLOGIA E IMÁGENES DIAGNOSTICAS
HNO
Disección aórtica: causa más frecuente de una

emergencia aórtica.  Muerte
TC 100 por ciento
Permite diferenciar entre una disección proximal o distal.
Stanford tipo A o tipo B
Permite descartar otras patologías: hematoma
intramural o ulcera aterosclerotica penetrante
Diagnóstico y tratamiento inmediato
Causa más común de emergencia aórtica
+++ que la ruptura aneurismática de aorta abdominal
Método de imagen: TC Helicoidal –Disección aórtica,

hematoma intramural, ulcera ateroesclerótica
penetranteDolor de pecho o de espalda en un paciente con
hipertensión
TC: complicaciones patologías isquémicas y
obstructivas +++ mortalidad
AGUDA
 Si los síntomas empezaron hace menos de dos semanas
 75 por ciento de las muertes

CRONICA

Extensión del compromiso aórtico.
 DeBakey
 Stanford
Stanford tipo A:
 75 por ciento
 Reparación inmediata para evitar complicaciones fatales
Extensión hacia el pericardio, espacio pleural, arterias

coronarias o al anillo aórtico valvular.

Stanford tipo B:
 Es tratada medicamente para HTA a menos que ocurra

alguna complicación -isquemia orgánica abdominal o
dolor persistente Cirugía
TC: ruptura y desplazamiento de la íntima.
Pueden hacer presentaciones típicas y atípicas que nos

puede dificultar el diagnóstico.
Siempre que se sospeche de D.A. se debe de tener
siempre una TC sin medio de contraste para detectar un
IMH.
Se debe de evaluar aorta completa
Extensión y enfermedad isquémica.
Ruptura de la íntima que permite el paso de la sangre hacia
la capa media, permitiendo la formación de dos luces en
el vaso, una luz verdadera y una falsa.
Hipertensión
Síndrome de Marfán
Síndrome de Turner
Enfermedades del tejido conectivo
Defectos valvulares aórticos congénitos
Coartación de la aorta
Aneurisma aórtico
Infección, embarazo
Cocaína
PICO

LV

TELARAÑA

LF
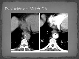
Tipo de disección aórtica inusual
Se produce por una disección aórtica circunferencial de la

capa intima con subsecuente invaginación
Es causado por una hemorragia espontanea de la vasa

vasorum de la capa media, la cuál se debilita si ninguna
ruptura en la íntima.
Las manifestaciones clínicas y los factores de riesgo son

similares a los de una disección aórtica típica.
Es comúnmente clasificado con Stanford
IMH Stanford tipo A. Tratamiento Quirúrgico
Tratamiento conservador con seguimiento
imagenológico
No contrastada: Area en forma de luna creciente a nivel
de la pared aórtica. El hematoma puede o no comprimir
la luz aórtica o desplazar las calcificaciones de la íntima.
A diferencia de la falsa luz, el área en forma de luna

creciente permanece sin realce después de administrar
medio de contraste, si observar ruptura de la intima
Algunos piensan que IMH aórtico es precursor de una
disección aórtica
Grosor del hematoma nos puede indicar la cantidad de
hemorragia que este tenga y su posibilidad de
evolucionar a disección aórtica.
Derrame pleural
PENETRANTE
Ulceración de una placa ateromatosa que ha erosionado

la capa interna, alcanzando la capa media y produciendo
un hematoma en la media.
Se puede complicar con: aneurisma o ruptura.
Estás van a ocurrir mas comúnmente en pacientes

ancianos con historia de severa aterosclerosis
Típicamente involucra el arco aórtico y la aorta
descendente.
Ocurre raras veces en la aorta ascendente. VI la protege
de la aterosclerosis.
Tratamiento medico.
Cirugía. Pacientes hemodinamicamente inestables,
dolor persistente , ruptura aórtica, embolia distal o
agrandamiento de diámetro de aorta.
Dilatación
sacular de aorta

trombo

Luz aortica
Calcificaciones
ateroscleroticas

Luz
aórtica
hematoma

hemotorax
En algunos pacientes asintomáticos es un hallazgo

incidental, por lo que se debe dar seguimiento en caso
de que estos progresen.

Si existe ruptura o hemorragia mediastinal, es imposible

diferenciar entre una ruptura de aneurisma o una
complicación de ulcera aterosclerótica.

En ambos casos:
 Tratamiento es quirúrgico.
La muerte en este tipo de patologías es causada por:
 Regurgitación aortica aguda
 Obstrucción de los grandes vasos
 Taponamiento cardiaco
 Ruptura aórtica.
Isquemia secundaria a la obstrucción de las raíces

arteriales que se originan en la aorta <arterias renales>

Ruptura del segmento aórtico disecado. –> hemorragia

en las estructuras circundantes.
El riesgo de rupturas aórticas fatales en pacientes con

una disección aórtica proximal no tratada es un 90 por
ciento.
El 75 por ciento de las rupturas se dan en el pericardio,
cavidad pleural izquierda o el mediastino.
Signos :
 Mediastino hiperatenuado
 Colecciones pleurales o pericardicas en TC sin contraste
 Irregularidad de la pared aórtica
 Extravasación de medio de contraste en TC contrastadas.
Ruptura en una disección tipo A derrame pericardico

agudo taponamiento cardiaco +++ Causa de muerte
más frecuentes en pacientes con esta complicación.
La presencia de derrame pericardico es un signo

importante en una ruptura o goteo de la disección
aortica.
Rara complicación de una disección aórtica tipo A
 La sangre proviene de la aorta ascendente hacia el

espacio intersticial que rodea las arterias pulmonares

Ruptura ocurre en la pared posterior de la aorta

ascendente adyacente a la arteria pulmonar derecha.

La sangre pasa a través de las hojas bronquio vasculares

hacia el pulmón.
Isquemia cerebral asociada a disección aórtica es

causada por una afección del tronco supra aórtico
Es inusual
5 a 10 por ciento
Obstrucción de las arterias principales abdominales:
 Celíacas
 Mesentérica superior
 Renales
 Mesentérica inferior

TC Contrastada
27 por ciento
Estático: si la curva de la disección intercepta o entra al

orígen del vaso
Dinámico: si la curva de la intima atravieza el vaso pero

se prolapsa y cubre el origen del vaso como una cortina.
 TC debería de ser el primer estudio diagnóstico cuando una

disección aórtica es sospechada.
 Es importante realizar una TC sin contraste para prevenir el
enmascaramiento de un IMH.
 El manejo depende de la clasificación >Stanford tipo A o tipo
B<
 Avances en tratamientos percutáneos hacen importante
distinguir entre la luz verdadera y la falsa.
 Es esencial el conocimiento acerca de los hallazgos
radiologicos en D.A., IMH y UAP
 La aorta entera debe de ser evaluada para determinar la
extensión de la disección y poder determinar la afección de
algunas ramas vasculares.
diseccion aortica
diseccion aortica

diseccion aortica

  • 2.
    Paciente de 50años de edad, con historia de Ca renal diagnosticado hace 6 meses, quien súbitamente inicia con dolor en cuadrante superior izquierdo hace 6 horas por lo que consulta. Facultativo le solicita una TC abdominal y luego refiere a paciente a este centro hospitalario.
  • 9.
    AORTA DRA. MARIA LUISAJEREZ GUARDIA RESIDENTE I RADIOLOGIA E IMÁGENES DIAGNOSTICAS HNO
  • 10.
    Disección aórtica: causamás frecuente de una emergencia aórtica.  Muerte TC 100 por ciento Permite diferenciar entre una disección proximal o distal. Stanford tipo A o tipo B Permite descartar otras patologías: hematoma intramural o ulcera aterosclerotica penetrante
  • 12.
    Diagnóstico y tratamientoinmediato Causa más común de emergencia aórtica +++ que la ruptura aneurismática de aorta abdominal Método de imagen: TC Helicoidal –Disección aórtica, hematoma intramural, ulcera ateroesclerótica penetranteDolor de pecho o de espalda en un paciente con hipertensión TC: complicaciones patologías isquémicas y obstructivas +++ mortalidad
  • 13.
    AGUDA  Si lossíntomas empezaron hace menos de dos semanas  75 por ciento de las muertes CRONICA Extensión del compromiso aórtico.  DeBakey  Stanford
  • 15.
    Stanford tipo A: 75 por ciento  Reparación inmediata para evitar complicaciones fatales Extensión hacia el pericardio, espacio pleural, arterias coronarias o al anillo aórtico valvular. Stanford tipo B:  Es tratada medicamente para HTA a menos que ocurra alguna complicación -isquemia orgánica abdominal o dolor persistente Cirugía
  • 16.
    TC: ruptura ydesplazamiento de la íntima. Pueden hacer presentaciones típicas y atípicas que nos puede dificultar el diagnóstico. Siempre que se sospeche de D.A. se debe de tener siempre una TC sin medio de contraste para detectar un IMH. Se debe de evaluar aorta completa Extensión y enfermedad isquémica.
  • 17.
    Ruptura de laíntima que permite el paso de la sangre hacia la capa media, permitiendo la formación de dos luces en el vaso, una luz verdadera y una falsa.
  • 18.
    Hipertensión Síndrome de Marfán Síndromede Turner Enfermedades del tejido conectivo Defectos valvulares aórticos congénitos Coartación de la aorta Aneurisma aórtico Infección, embarazo Cocaína
  • 22.
  • 23.
    Tipo de disecciónaórtica inusual Se produce por una disección aórtica circunferencial de la capa intima con subsecuente invaginación
  • 26.
    Es causado poruna hemorragia espontanea de la vasa vasorum de la capa media, la cuál se debilita si ninguna ruptura en la íntima.
  • 27.
    Las manifestaciones clínicasy los factores de riesgo son similares a los de una disección aórtica típica. Es comúnmente clasificado con Stanford IMH Stanford tipo A. Tratamiento Quirúrgico Tratamiento conservador con seguimiento imagenológico No contrastada: Area en forma de luna creciente a nivel de la pared aórtica. El hematoma puede o no comprimir la luz aórtica o desplazar las calcificaciones de la íntima.
  • 28.
    A diferencia dela falsa luz, el área en forma de luna creciente permanece sin realce después de administrar medio de contraste, si observar ruptura de la intima Algunos piensan que IMH aórtico es precursor de una disección aórtica Grosor del hematoma nos puede indicar la cantidad de hemorragia que este tenga y su posibilidad de evolucionar a disección aórtica.
  • 30.
  • 33.
  • 34.
    Ulceración de unaplaca ateromatosa que ha erosionado la capa interna, alcanzando la capa media y produciendo un hematoma en la media. Se puede complicar con: aneurisma o ruptura.
  • 36.
    Estás van aocurrir mas comúnmente en pacientes ancianos con historia de severa aterosclerosis Típicamente involucra el arco aórtico y la aorta descendente. Ocurre raras veces en la aorta ascendente. VI la protege de la aterosclerosis. Tratamiento medico. Cirugía. Pacientes hemodinamicamente inestables, dolor persistente , ruptura aórtica, embolia distal o agrandamiento de diámetro de aorta.
  • 37.
  • 38.
  • 39.
    En algunos pacientesasintomáticos es un hallazgo incidental, por lo que se debe dar seguimiento en caso de que estos progresen. Si existe ruptura o hemorragia mediastinal, es imposible diferenciar entre una ruptura de aneurisma o una complicación de ulcera aterosclerótica. En ambos casos:  Tratamiento es quirúrgico.
  • 42.
    La muerte eneste tipo de patologías es causada por:  Regurgitación aortica aguda  Obstrucción de los grandes vasos  Taponamiento cardiaco  Ruptura aórtica.
  • 43.
    Isquemia secundaria ala obstrucción de las raíces arteriales que se originan en la aorta <arterias renales> Ruptura del segmento aórtico disecado. –> hemorragia en las estructuras circundantes.
  • 44.
    El riesgo derupturas aórticas fatales en pacientes con una disección aórtica proximal no tratada es un 90 por ciento. El 75 por ciento de las rupturas se dan en el pericardio, cavidad pleural izquierda o el mediastino. Signos :  Mediastino hiperatenuado  Colecciones pleurales o pericardicas en TC sin contraste  Irregularidad de la pared aórtica  Extravasación de medio de contraste en TC contrastadas.
  • 45.
    Ruptura en unadisección tipo A derrame pericardico agudo taponamiento cardiaco +++ Causa de muerte más frecuentes en pacientes con esta complicación. La presencia de derrame pericardico es un signo importante en una ruptura o goteo de la disección aortica.
  • 48.
    Rara complicación deuna disección aórtica tipo A  La sangre proviene de la aorta ascendente hacia el espacio intersticial que rodea las arterias pulmonares Ruptura ocurre en la pared posterior de la aorta ascendente adyacente a la arteria pulmonar derecha. La sangre pasa a través de las hojas bronquio vasculares hacia el pulmón.
  • 52.
    Isquemia cerebral asociadaa disección aórtica es causada por una afección del tronco supra aórtico Es inusual 5 a 10 por ciento
  • 54.
    Obstrucción de lasarterias principales abdominales:  Celíacas  Mesentérica superior  Renales  Mesentérica inferior TC Contrastada 27 por ciento
  • 55.
    Estático: si lacurva de la disección intercepta o entra al orígen del vaso Dinámico: si la curva de la intima atravieza el vaso pero se prolapsa y cubre el origen del vaso como una cortina.
  • 58.
     TC deberíade ser el primer estudio diagnóstico cuando una disección aórtica es sospechada.  Es importante realizar una TC sin contraste para prevenir el enmascaramiento de un IMH.  El manejo depende de la clasificación >Stanford tipo A o tipo B<  Avances en tratamientos percutáneos hacen importante distinguir entre la luz verdadera y la falsa.  Es esencial el conocimiento acerca de los hallazgos radiologicos en D.A., IMH y UAP  La aorta entera debe de ser evaluada para determinar la extensión de la disección y poder determinar la afección de algunas ramas vasculares.

Notas del editor