Dolor torácico
Dra. Ruth Solana, Dra. Carmen del Peral
V Jornada de coordinación entre Pediatría de Atención Primaria y Hospitalaria 2015
Introducción
•  El dolor torácico es motivo no muy frecuente de consulta.
•  Produce una gran preocupación y ansiedad.
•  Aunque la mayor parte de los casos de DT se deben a causas no graves (no
cardiacas), no debemos olvidar que aunque son raras sí que existen causas graves
que ponen en riesgo la vida.
•  El reto inicial es identificar al niño con DT por patología grave.
•  Una buena anamnesis y el examen físico suelen ser suficientes para la evaluación.
Objetivos de la charla
•  Revisar las causas más frecuentes de DT en niños.
•  Presentar una estrategia a la hora de valorar al niño con DT.
•  Señalar los datos que nos pueden alertar de seria patología.
Dolor torácico de causa idiopática
12-52%
•  Adolescente que refiere dolor agudo, breve, sin relación con ningún evento, y
que en general no interfiere con su actividad.
•  Tiene carácter recurrente.
•  Exploración es normal.
•  No es reproducible.
•  Muchos tienen su origen en causas psicológicas.
•  Diagnóstico por exclusión.
Dolor torácico por patología osteomuscular
24-56%
• Traumática:
ü  Contusiones
ü  Accidentes
ü  Politraumatismos
ü  Fractura costal
•  No traumática:
Ø  Mialgías
Ø  Costocondritis
Ø  Síndrome de Tietze
Ø  Punzada de Texidor
Ø  Síndrome de costilla deslizante
Ø  Hipersensibilidad Xifoidea
Ø  Miositis
Ø  Osteomielitis
Ø  Tumores óseos
Mialgias
•  Dolor en relación con ejercicio físico intenso o nuevo, provocado por
microtraumatismos, contracturas, por sobreuso de musculatura torácica.
Puede aparecer hasta dos días mas tarde.
•  Empeora con el movimiento, la tos y la inspiración.
•  Es reproductible con la palpación o ciertas maniobras.
•  El tratamiento es sintomático.
Caso 1
•  Niño de 13 años de edad que desde hace 2 días refiere dolor en zona
anterior de tórax, 5/10 en intensidad, aumenta con inspiración profunda.
•  No síntomas acompañantes.
•  Tuvo una infección respiratoria de vías altas hace pocos días. Afebril.
•  Exploración: dolor al palpar las uniones costocondrales a ambos lados de
esternón, similar al dolor referido. Resto exploración normal.
Costocondritis
•  Dolor unilateral o bilateral leve/moderado a nivel de uniones condroesternales,
condrocostales, o esternoclaviculares.
•  Etiología desconocida. A veces se precede de infección respiratoria de vías altas o de
ejercicio físico.
•  Se reproduce con la palpación.
•  Tratamiento sintomático.
•  El síndrome de Tietze : costocondritis que cursa con tumefacción localizada única
y visible en las uniones segunda o tercera condroesternal, costocondral o a nivel
esternoclavicular.
Caso 2
•  Niña de 12 años de edad que refiere episodios recurrentes de DT en lado
izquierdo de tórax (sobre el corazón).
•  El dolor es repentino, como una punzada (bien localizado), breve (segundos
a minutos), no puede respirar profundo por el dolor.
•  Exploración normal. Dolor no reproducible.
Punzada de Texidor ó síndrome de pinzamiento precordial
•  Dolor de comienzo súbito, espontáneo, agudo y breve (segundos a minutos).
•  Muy bien localizado, a punta de dedo, en borde para esternal izqdo., o punta
cardiaca.
•  Empeora con la inspiración profunda y mejora con la espalda erguida.
•  Ocurre en reposo.
•  Es recurrente.
•  Etiología desconocida, se relaciona con ciertas posturas (agachado con
hombros caídos).
Síndrome de la costilla deslizante
•  Dolor brusco, intenso que afecta a costillas 8ª, 9ª, y 10ª (que no están unidas
por cartílago costal al esternón pero sí unidas entre sí por tejido fibrosos) al
deslizarse unas sobre las otras por debilidad o rotura de la conexión fibrosa
entre ellas y afectar al nervio intercostal.
•  Puede durar horas.
•  Puede reproducirse con la flexión de tronco, la inspiración profunda o con la
maniobra del gancho (patognomónico).
Dolor torácico por causa respiratoria
7-20%
•  Traumática
ü  Rotura de vía aérea
ü  Contusión pulmonar
ü  Hemotórax
ü  Neumotórax
ü  Neumomediastino
•  No traumática
•  Tos
•  Asma
•  Neumonía
•  Bronquitis y Traqueitis
•  Derrame pleural, pleuritis
•  Neumotórax
•  Neumomediastino
•  Cuerpo extraño
•  Tumores
•  Infarto (células falciformes)
•  Tromboembolia pulmonar
•  Hipertensión pulmonar
•  Pleurodinia epidémica
Caso 3
•  Niño de 8 años que es traído a urgencias porque estando jugando al futbol
empieza con DT y dificultad respiratoria.
•  Refiere episodios similares otras veces.
•  Al llegar a consulta se encuentra mejor, tiene un poco de tos.
•  Exploración física normal.
•  Rx de torax y ECG normales.
Asma
•  La causa mas frecuente de DT de origen respiratorio en niños.
•  El origen del dolor es muscular.
•  La presencia de tos seca, dificultad respiratoria y ruidos respiratorios orientan
al diagnóstico y la respuesta a tratamiento broncodilatador.
Caso 4
•  Niño de 15 años alto y delgado, fumador, que vuelve de vacaciones (buceo y
viaje en avión) y acude a urgencias por dolor en lado dcho. de tórax que
aumenta con la inspiración y disnea que va en aumento desde el día anterior.
•  Exploración : disminución de ruidos respiratorios en hemitórax derecho.
•  Rx de tórax
Neumotórax
•  Aire en la cavidad pleural que causa colapso pulmonar.
•  Puede ser espontáneo (primario o secundario) o adquirido ( traumático o iatrogénico).
•  Es más frecuente en hombres delgados jóvenes.
•  Niños con riesgo:
•  Asma/Bronquiolitis/tosferina/TBC/tos/atragantamiento.
•  Barotrauma.
•  Fibrosis quística/sind. de Marfan.
•  Consumo de drogas: cocaína, marihuana, tabaco.
Dolor torácico de causa psicógena
1-9%
•  Es más frecuente en chicas adolescentes.
•  Dolor atípico, vago, poco definido, a veces cambiante y asociado a cefaleas,
mareos, y dolor abdominal.
•  Exploración física es normal.
•  Relación con conflictos personales , familiares, escolares, etc (muerte de un
familiar, separaciones…).
Dolor torácico de causa psicógena
•  Ansiedad
•  Depresión
•  Síndrome de hiperventilación
•  Hipocondriasis
•  Somatización
•  Fobias
Caso clínico 5
•  Lorena, de 13 años de edad, acude a mediados de julio por dolor de 10 días
de evolución tipo pinchazo en región pectoral bilateral sin relación con
actividad física ni ningún otro factor desencadenante. Tiene 2-3 episodios al
día que ceden espontáneamente en menos de 5 minutos.
•  Exploración física normal.
•  Actitud: observación domiciliaria. Volver si no mejora o nueva
sintomatología.
Caso clínico. Continuación
•  A los 20 días vuelve a consulta.
•  Desde hace 1 mes casi todos los días siente pinchazos o dolor ( no sabe definirlo
muy bien) de segundos de duración, a veces un poco más en región preesternal. A
veces sin relación con el dolor torácico le parece que le va el corazón más deprisa,
le dura unos segundos.
•  Viene el padre con ella y los dos tienen cara de preocupación.
•  Exploración física normal. TA normal.
•  Solicito ECG y Rx de torax.
Caso clínico. Final
•  Una semana más tarde acuden padre y madre con Lorena a recoger los resultados:
ECG Y Rx de tórax sin alteraciones.
•  La madre me cuenta que es muy activa, que no se cansa. Apetito y sueño normales.
Es una niña alegre aunque últimamente tiene miedo a morir. Vio en la TV una
historia sobre una mujer que había muerto de un infarto miocardio. Este suceso
coincide con el inicio de la sintomatología que ha contado. Desde su anterior visita
ya no ha vuelto a referir molestia ni dolor alguno. Hablo sobre los miedos con
Lorena.
•  Hace poco ha vuelto a consulta por un proceso catarral. No ha vuelto a tener DT.
Dolor torácico causa gastrointestinal
3-6%
•  Traumática
ü Rotura esofágica
ü Lesión visceral abdomen
•  No traumática
Ø Esofagitis, reflujo gastroesofágico
Ø Cuerpo extraño esofágico
Ø Espasmo esofágico
Ø Distensión gástrica
Ø Colelitiasis
Ø Pancreatitis
Ø Abceso subdiafragmático
Ø Enfermedad péptica
Caso 6
•  Niño de 10 años, obeso. Llega a las 0:30 horas por DT desde la cena que le
impide dormir.
•  Episodios similares desde hace un mes.
•  Lo describe como quemazón. Empeora con comidas copiosas y cuando se
acuesta.
•  Exploración física normal
Reflujo gastroesofágico
•  La causa digestiva mas frecuente de DT.
•  Produce dolor retroesternal ó epigástrico, quemante, y aumenta con las
comidas y el decúbito.
•  La historia clínica orienta al diagnóstico que se confirma con la respuesta al
tratamiento con antiácidos o bien, con exámenes complementarios
(endoscopia, ph-metría).
Caso 7
•  Niño de 3 años de edad que acude por dolor en zona anterior de tórax , a
nivel de manubrio de esternón.
•  Babea, no quiere tomar nada.
•  Afebril y con buen estado general.
•  Exploración física normal.
•  Rx de tórax.
Cuerpo extraño esofágico
•  Se debe a la ingesta de un objeto que detiene su paso en algún punto del
esófago.
•  Mas frecuente entre los 18 meses y los 4 años.
•  Clínica: Babeo (sialorrea), disfagia y dolor. Si no se diagnostica pronto puede
haber complicaciones.
Caso 8
Muchacho de 13 años . AP : Alergia a frutos secos.
Cuadro de taquicardias sinusales autolimitadas estudiado por cardiología sin patología orgánica ( Rx
torax, ECG, Holter, ecocardiograma)
Tratamiento con sertralina y quetiapina por ansiedad/TOC
Consulta por episodios de dolor torácico intenso de unos 20-30 min de duración en región preesternal
acompañados de sudoración, sensación de mareo y sialorrea mucosa filante abundante con frecuencia
casi diaria siempre después de la ingesta, mas frecuente después del desayuno. Se realizó estudio
digestivo : Phmetría y manometría descartándose reflujo.
Al mejorar de su patología de ansiedad/TOC cesaron los episodios de espasmo esofágico
Espasmo esofágico
El espasmo esofágico se manifiesta habitualmente en forma de dolor
torácico , y a veces de disfagia.
Hay que descartar siempre cardiopatía.
El diagnóstico se obtiene con la manometría esofágica.
Los trastornos espásticos pueden tener relación con la enfermedad por
reflujo.
Dolor torácico de causa cardiovascular
0,6-1%
•  Traumática
Ø Laceración cardiaca
Ø Taponamiento cardiaco
Ø Contusión miocárdiaca
Ø Contusión, rotura de grandes vasos
•  No traumática
•  Arritmias (TPSV, extrasístoles, taquicardia
ventricular)
•  Anomalías estructurales (Prolapso de la
válvula mitral, estenosis aórtica, estenosis
subaórtica hipertrófica, miocardiopatías)
•  Fenómenos inflamatorios (Pericarditis,
síndrome postpericardiotomía,
miocarditis)
•  Enfermedad de Kawasaki (arteriris)
•  Aneurisma disecante de Aorta
•  Angina, infarto
•  Ingesta de simpaticomiméticos, cocaína
Arritmias
Taquicardia
• Inicio y fin bruscos
• Fatiga, cortejo vegetativo
Extrasístoles
• “vuelco al corazón”
• Pausa posterior
ECG basal
Anomalía estructural cardiaca
Obstrucción TSVI
• Dolor isquémico
• Sincope
Prolapso VM
• ECG típico
• Conectivopatía
Alt. Coronarias
•  Dolor isquémico
•  ECG ejercicio
Caso 9
• ♂ 10 años
• Dolor centrotorácico con el
esfuerzo, sudoración y sensación
nauseosa
• Dolor abdominal postpandrial
• AP: s/i
• AF: Padre † 35 años tráfico
Fenómenos inflamatorios
Miocarditis
• Taquicardia, disnea
• Afectación del estado general
• Tonos apagados
Caso 10
•  12 años, proceso pseudogripal,
febrícula
•  Dolor retroesternal lancinante,
instauracion rápida, aumenta
con inspiración
•  Sentada hacia delante
•  AP y AF: s/i
•  AC: taquicardia, roce
Pericardi(s
Etapa 2: Aplanamiento ST y onda T. 7-15 días
Etapa 3: inversion difusa ondas T, 15 dias a 1-2 meses
Etapa 4: Normalizacion, > 2 meses
Kawasaki
Enfermedad	coronaria	previa??
Vasoespasmo/vasoclusión
Vasoespasmo
• Primario
• Secundario: cocaína
Vasooclusión
• Drepanocitosis
Vasculares
Rotura/disección aórtica
• Marfan/Turner, Noonan, VAB
• Dolor muy intenso, brusco,
compromiso vital (↓GC)
TEP
• Factores de riesgo
• Dolor intenso/brusco
• Taquicardia+ taquipnea
• ECG, Dímero D, TC
Dolor torácico por otras causas
4-11%
•  Mastalgia
•  Herpes zoster
•  Patología oncológica
Etiología dolor torácico en Pediatría
Idiopático 12-52%
Musculoesquelético 24-56%
Respiratorio 7-20%
Psicógeno 1-9%
Digestivo 3-6%
Otra Causas 4-11%
Cardiaco 0.6-1%
≠
Evaluación del Dolor Torácico
1.  Riesgo vital inmediato ?
•  Inspección general
•  TA, FC, FR, Sat O2
2.  Historia clínica
3.  Exploración física
Anamnesis dirigida
1.  Características del dolor:
•  Inicio
•  Intensidad
•  Duración y perioricidad
•  Localización e irradiación
•  Tipo de dolor
•  Repercusión en su actividad
•  Respuesta al reposo y/o a
fármacos
3.  Factores desencadenantes
•  Ejercicio/Comida/Cuerpo extraño
•  Respiración profunda
•  Uso de musculatura
•  Traumatismo/Estrés emocional
4.  Síntomas acompañantes
•  Fiebre/Tos/Hipoventilación
•  Síncope/Mareo/Palpitaciones
Historia clínica
Antecedentes familiares:
•  Cardiopatías
•  Arritmias, Sd Brugada, Sd QT
largo/corto
•  Muerte súbita <50 años
Antecedentes personales:
•  Cardiopatías conocidas
•  Enf. de Kawasaki
•  Patología respiratoria
•  Otras enfermedades: reumáticas,
oncológicas, hematológicas..
•  Ingesta de fármacos
Discordias familiares o escolares ? alteraciones de la conducta , ansiedad?
Exploración física general
Fenotipo especial, postura antiálgica, palpación tórax, lesiones cutáneas,, etc..
•  Aspecto de gravedad
ü Nivel de conciencia alterado
ü Aspecto tóxico
ü Cianosis
ü Palidez
ü Diaforesis
•  Constantes alteradas
•  AC patológica
•  Dificultad respiratoria
•  Hipoventilación marcada global o
focal
•  Alteraciones del pulso
Signos clínicos de alarma en la exploración física (Ferrés)
Indicación Rx de tórax
•  Traumatismo de tórax importante.
•  Sospecha de cuerpo extraño.
•  Fiebre.
•  Auscultación anormal u otros signos de patología cardiaca o respiratoria.
•  Aparición aguda de dolor intenso.
•  Dolor que hace despertar durante el sueño.
Indicaciones de ECG
•  Dolor desencadenado por el ejercicio.
•  Dolor asociado a síncope.
•  Palpitaciones o taquicardia.
•  Dolor anginoso.
•  Antecedentes familiares de miocardiopatías o arritmias.
•  Cualquier sospecha de cardiopatía.
•  Gran ansiedad en el niño o la familia.
Indicaciones de valoración cardiológica
•  Alteraciones en la exploración cardiológica, Rx de tórax o ECG
•  Dolor o síncope con el ejercicio
•  Dolor torácico con palpitaciones
•  AP de enf. cardiaca, cirugía cardiaca o de Kawasaki
•  AF de arritmias, muerte súbita, miocardiopatía,otras enf. cardiacas
hereditarias
Criterios de ingreso
•  Dolor de causa cardiovascular
•  Siempre que exista hipoxemia persistente, signos de insuficiencia cardiaca o
shock
•  Neumotórax o neumomediastino
•  Sospecha de tromboembolismo pulmonar
DT	 Triángulo	de	evaluación	 ¿Signos	de	enfermedad	grave?	
Medidas	de	soporte	vital	
Rx	de	tórax	
ECG	
Otras	expl.	
Ingreso	
Valorar	UCI		
Historia	y	Expl.Jsica	
Antecedente	de	
trauma(smo	
Rx	tórax	
HC/EF	compa(ble	
enf	cardiovascular	
Rx	tórax	
ECG	
Ecocardio?	
Derivación	cardiologo	
HC/EF	compa(ble	
enf.	respiratoria	
Rx	tórax	
Expl.	respiratoria	y	
cardiovascular	normal	
Valorar	si	es	necesario	Rx	
tórax	y/o	ECG	
Osteomuscular	 Tranquilizar	
Psicógeno/Idiopá(co	 Tranquilizar	
Diges(vo	 Cuerpo	extraño	 Rx	tórax	
Reflujo/otras	
No	 Sí
Rev	Pediatr	Aten	Primaria	
2010;	12:95-107
Dolor torácico de origen traumático
•  Hemotórax
•  Neumotórax a tensión
•  Neumomediastino
•  Contusión pulmonar severa
•  Contusión miocárdica
•  Taponamiento cardiaco
•  Rotura vascular
•  Rotura de vía aérea
•  Rotura esofágica
•  Lesión visceral abdominal
•  Laceración cardiaca
Exámenes complementarios en DT de origen
traumático
•  Si traumatismo grave o dolor fuerte y/o exploración anormal (taquicardia,
hipoxemia, hipotensión) se realizará: RX de tórax, ECG. Si sospecha de
lesión cardiaca o abdominal ecocardiograma, ecoabdominal, TAC
toracoabdominal.
•  Si dolor leve, reproducible con el movimiento o la palpación, no es preciso
hacer pruebas complementarias.
Registro continuo de ECG durante cardioversión farmacológica
Signos clínicos de alarma en la anamnesis(Ferrés)
•  Antecedentes recientes de:
o  Traumatismo grave
o  Ingesta o aspiración de cuerpo extraño
o  Ingesta de caústico
•  Enfermedades previas:
o  Cirugía aórtica o cardiaca
o  Enfermedad de Kawasaki
o  Cardiopatía
•  Síncope
•  DT inducido por el ejercicio
•  Palpitaciones
•  Naúseas o vomitos
•  Disnea
•  Sudoración
Signos clínicos de alarma en la exploración física (Ferrés)
•  Aspecto de gravedad
o  Nivel de conciencia alterado
o  Aspecto tóxico
o  Cianosis
o  Palidez
o  Diaforesis
•  Constantes alteradas
o  Hipoxemia
o  Taquicardia
o  Hipotensión
•  Auscultación cardiaca patológica
•  Dificultad respiratoria
•  Hipoventilación marcada global o focal
•  Alteraciones del pulso

Dolor torácico

  • 1.
    Dolor torácico Dra. RuthSolana, Dra. Carmen del Peral V Jornada de coordinación entre Pediatría de Atención Primaria y Hospitalaria 2015
  • 2.
    Introducción •  El dolortorácico es motivo no muy frecuente de consulta. •  Produce una gran preocupación y ansiedad. •  Aunque la mayor parte de los casos de DT se deben a causas no graves (no cardiacas), no debemos olvidar que aunque son raras sí que existen causas graves que ponen en riesgo la vida. •  El reto inicial es identificar al niño con DT por patología grave. •  Una buena anamnesis y el examen físico suelen ser suficientes para la evaluación.
  • 3.
    Objetivos de lacharla •  Revisar las causas más frecuentes de DT en niños. •  Presentar una estrategia a la hora de valorar al niño con DT. •  Señalar los datos que nos pueden alertar de seria patología.
  • 4.
    Dolor torácico decausa idiopática 12-52% •  Adolescente que refiere dolor agudo, breve, sin relación con ningún evento, y que en general no interfiere con su actividad. •  Tiene carácter recurrente. •  Exploración es normal. •  No es reproducible. •  Muchos tienen su origen en causas psicológicas. •  Diagnóstico por exclusión.
  • 5.
    Dolor torácico porpatología osteomuscular 24-56% • Traumática: ü  Contusiones ü  Accidentes ü  Politraumatismos ü  Fractura costal •  No traumática: Ø  Mialgías Ø  Costocondritis Ø  Síndrome de Tietze Ø  Punzada de Texidor Ø  Síndrome de costilla deslizante Ø  Hipersensibilidad Xifoidea Ø  Miositis Ø  Osteomielitis Ø  Tumores óseos
  • 6.
    Mialgias •  Dolor enrelación con ejercicio físico intenso o nuevo, provocado por microtraumatismos, contracturas, por sobreuso de musculatura torácica. Puede aparecer hasta dos días mas tarde. •  Empeora con el movimiento, la tos y la inspiración. •  Es reproductible con la palpación o ciertas maniobras. •  El tratamiento es sintomático.
  • 7.
    Caso 1 •  Niñode 13 años de edad que desde hace 2 días refiere dolor en zona anterior de tórax, 5/10 en intensidad, aumenta con inspiración profunda. •  No síntomas acompañantes. •  Tuvo una infección respiratoria de vías altas hace pocos días. Afebril. •  Exploración: dolor al palpar las uniones costocondrales a ambos lados de esternón, similar al dolor referido. Resto exploración normal.
  • 8.
    Costocondritis •  Dolor unilateralo bilateral leve/moderado a nivel de uniones condroesternales, condrocostales, o esternoclaviculares. •  Etiología desconocida. A veces se precede de infección respiratoria de vías altas o de ejercicio físico. •  Se reproduce con la palpación. •  Tratamiento sintomático. •  El síndrome de Tietze : costocondritis que cursa con tumefacción localizada única y visible en las uniones segunda o tercera condroesternal, costocondral o a nivel esternoclavicular.
  • 9.
    Caso 2 •  Niñade 12 años de edad que refiere episodios recurrentes de DT en lado izquierdo de tórax (sobre el corazón). •  El dolor es repentino, como una punzada (bien localizado), breve (segundos a minutos), no puede respirar profundo por el dolor. •  Exploración normal. Dolor no reproducible.
  • 10.
    Punzada de Texidoró síndrome de pinzamiento precordial •  Dolor de comienzo súbito, espontáneo, agudo y breve (segundos a minutos). •  Muy bien localizado, a punta de dedo, en borde para esternal izqdo., o punta cardiaca. •  Empeora con la inspiración profunda y mejora con la espalda erguida. •  Ocurre en reposo. •  Es recurrente. •  Etiología desconocida, se relaciona con ciertas posturas (agachado con hombros caídos).
  • 11.
    Síndrome de lacostilla deslizante •  Dolor brusco, intenso que afecta a costillas 8ª, 9ª, y 10ª (que no están unidas por cartílago costal al esternón pero sí unidas entre sí por tejido fibrosos) al deslizarse unas sobre las otras por debilidad o rotura de la conexión fibrosa entre ellas y afectar al nervio intercostal. •  Puede durar horas. •  Puede reproducirse con la flexión de tronco, la inspiración profunda o con la maniobra del gancho (patognomónico).
  • 12.
    Dolor torácico porcausa respiratoria 7-20% •  Traumática ü  Rotura de vía aérea ü  Contusión pulmonar ü  Hemotórax ü  Neumotórax ü  Neumomediastino •  No traumática •  Tos •  Asma •  Neumonía •  Bronquitis y Traqueitis •  Derrame pleural, pleuritis •  Neumotórax •  Neumomediastino •  Cuerpo extraño •  Tumores •  Infarto (células falciformes) •  Tromboembolia pulmonar •  Hipertensión pulmonar •  Pleurodinia epidémica
  • 13.
    Caso 3 •  Niñode 8 años que es traído a urgencias porque estando jugando al futbol empieza con DT y dificultad respiratoria. •  Refiere episodios similares otras veces. •  Al llegar a consulta se encuentra mejor, tiene un poco de tos. •  Exploración física normal. •  Rx de torax y ECG normales.
  • 14.
    Asma •  La causamas frecuente de DT de origen respiratorio en niños. •  El origen del dolor es muscular. •  La presencia de tos seca, dificultad respiratoria y ruidos respiratorios orientan al diagnóstico y la respuesta a tratamiento broncodilatador.
  • 15.
    Caso 4 •  Niñode 15 años alto y delgado, fumador, que vuelve de vacaciones (buceo y viaje en avión) y acude a urgencias por dolor en lado dcho. de tórax que aumenta con la inspiración y disnea que va en aumento desde el día anterior. •  Exploración : disminución de ruidos respiratorios en hemitórax derecho. •  Rx de tórax
  • 17.
    Neumotórax •  Aire enla cavidad pleural que causa colapso pulmonar. •  Puede ser espontáneo (primario o secundario) o adquirido ( traumático o iatrogénico). •  Es más frecuente en hombres delgados jóvenes. •  Niños con riesgo: •  Asma/Bronquiolitis/tosferina/TBC/tos/atragantamiento. •  Barotrauma. •  Fibrosis quística/sind. de Marfan. •  Consumo de drogas: cocaína, marihuana, tabaco.
  • 18.
    Dolor torácico decausa psicógena 1-9% •  Es más frecuente en chicas adolescentes. •  Dolor atípico, vago, poco definido, a veces cambiante y asociado a cefaleas, mareos, y dolor abdominal. •  Exploración física es normal. •  Relación con conflictos personales , familiares, escolares, etc (muerte de un familiar, separaciones…).
  • 19.
    Dolor torácico decausa psicógena •  Ansiedad •  Depresión •  Síndrome de hiperventilación •  Hipocondriasis •  Somatización •  Fobias
  • 20.
    Caso clínico 5 • Lorena, de 13 años de edad, acude a mediados de julio por dolor de 10 días de evolución tipo pinchazo en región pectoral bilateral sin relación con actividad física ni ningún otro factor desencadenante. Tiene 2-3 episodios al día que ceden espontáneamente en menos de 5 minutos. •  Exploración física normal. •  Actitud: observación domiciliaria. Volver si no mejora o nueva sintomatología.
  • 21.
    Caso clínico. Continuación • A los 20 días vuelve a consulta. •  Desde hace 1 mes casi todos los días siente pinchazos o dolor ( no sabe definirlo muy bien) de segundos de duración, a veces un poco más en región preesternal. A veces sin relación con el dolor torácico le parece que le va el corazón más deprisa, le dura unos segundos. •  Viene el padre con ella y los dos tienen cara de preocupación. •  Exploración física normal. TA normal. •  Solicito ECG y Rx de torax.
  • 22.
    Caso clínico. Final • Una semana más tarde acuden padre y madre con Lorena a recoger los resultados: ECG Y Rx de tórax sin alteraciones. •  La madre me cuenta que es muy activa, que no se cansa. Apetito y sueño normales. Es una niña alegre aunque últimamente tiene miedo a morir. Vio en la TV una historia sobre una mujer que había muerto de un infarto miocardio. Este suceso coincide con el inicio de la sintomatología que ha contado. Desde su anterior visita ya no ha vuelto a referir molestia ni dolor alguno. Hablo sobre los miedos con Lorena. •  Hace poco ha vuelto a consulta por un proceso catarral. No ha vuelto a tener DT.
  • 23.
    Dolor torácico causagastrointestinal 3-6% •  Traumática ü Rotura esofágica ü Lesión visceral abdomen •  No traumática Ø Esofagitis, reflujo gastroesofágico Ø Cuerpo extraño esofágico Ø Espasmo esofágico Ø Distensión gástrica Ø Colelitiasis Ø Pancreatitis Ø Abceso subdiafragmático Ø Enfermedad péptica
  • 24.
    Caso 6 •  Niñode 10 años, obeso. Llega a las 0:30 horas por DT desde la cena que le impide dormir. •  Episodios similares desde hace un mes. •  Lo describe como quemazón. Empeora con comidas copiosas y cuando se acuesta. •  Exploración física normal
  • 25.
    Reflujo gastroesofágico •  Lacausa digestiva mas frecuente de DT. •  Produce dolor retroesternal ó epigástrico, quemante, y aumenta con las comidas y el decúbito. •  La historia clínica orienta al diagnóstico que se confirma con la respuesta al tratamiento con antiácidos o bien, con exámenes complementarios (endoscopia, ph-metría).
  • 26.
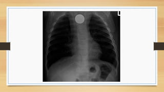
    Caso 7 •  Niñode 3 años de edad que acude por dolor en zona anterior de tórax , a nivel de manubrio de esternón. •  Babea, no quiere tomar nada. •  Afebril y con buen estado general. •  Exploración física normal. •  Rx de tórax.
  • 28.
    Cuerpo extraño esofágico • Se debe a la ingesta de un objeto que detiene su paso en algún punto del esófago. •  Mas frecuente entre los 18 meses y los 4 años. •  Clínica: Babeo (sialorrea), disfagia y dolor. Si no se diagnostica pronto puede haber complicaciones.
  • 29.
    Caso 8 Muchacho de13 años . AP : Alergia a frutos secos. Cuadro de taquicardias sinusales autolimitadas estudiado por cardiología sin patología orgánica ( Rx torax, ECG, Holter, ecocardiograma) Tratamiento con sertralina y quetiapina por ansiedad/TOC Consulta por episodios de dolor torácico intenso de unos 20-30 min de duración en región preesternal acompañados de sudoración, sensación de mareo y sialorrea mucosa filante abundante con frecuencia casi diaria siempre después de la ingesta, mas frecuente después del desayuno. Se realizó estudio digestivo : Phmetría y manometría descartándose reflujo. Al mejorar de su patología de ansiedad/TOC cesaron los episodios de espasmo esofágico
  • 30.
    Espasmo esofágico El espasmoesofágico se manifiesta habitualmente en forma de dolor torácico , y a veces de disfagia. Hay que descartar siempre cardiopatía. El diagnóstico se obtiene con la manometría esofágica. Los trastornos espásticos pueden tener relación con la enfermedad por reflujo.
  • 31.
    Dolor torácico decausa cardiovascular 0,6-1% •  Traumática Ø Laceración cardiaca Ø Taponamiento cardiaco Ø Contusión miocárdiaca Ø Contusión, rotura de grandes vasos •  No traumática •  Arritmias (TPSV, extrasístoles, taquicardia ventricular) •  Anomalías estructurales (Prolapso de la válvula mitral, estenosis aórtica, estenosis subaórtica hipertrófica, miocardiopatías) •  Fenómenos inflamatorios (Pericarditis, síndrome postpericardiotomía, miocarditis) •  Enfermedad de Kawasaki (arteriris) •  Aneurisma disecante de Aorta •  Angina, infarto •  Ingesta de simpaticomiméticos, cocaína
  • 32.
    Arritmias Taquicardia • Inicio y finbruscos • Fatiga, cortejo vegetativo Extrasístoles • “vuelco al corazón” • Pausa posterior
  • 33.
  • 34.
    Anomalía estructural cardiaca ObstrucciónTSVI • Dolor isquémico • Sincope Prolapso VM • ECG típico • Conectivopatía Alt. Coronarias •  Dolor isquémico •  ECG ejercicio
  • 35.
    Caso 9 • ♂ 10años • Dolor centrotorácico con el esfuerzo, sudoración y sensación nauseosa • Dolor abdominal postpandrial • AP: s/i • AF: Padre † 35 años tráfico
  • 38.
  • 39.
    Caso 10 •  12años, proceso pseudogripal, febrícula •  Dolor retroesternal lancinante, instauracion rápida, aumenta con inspiración •  Sentada hacia delante •  AP y AF: s/i •  AC: taquicardia, roce
  • 42.
  • 43.
    Etapa 2: AplanamientoST y onda T. 7-15 días
  • 44.
    Etapa 3: inversiondifusa ondas T, 15 dias a 1-2 meses
  • 45.
  • 46.
  • 47.
  • 48.
    Vasculares Rotura/disección aórtica • Marfan/Turner, Noonan,VAB • Dolor muy intenso, brusco, compromiso vital (↓GC) TEP • Factores de riesgo • Dolor intenso/brusco • Taquicardia+ taquipnea • ECG, Dímero D, TC
  • 49.
    Dolor torácico porotras causas 4-11% •  Mastalgia •  Herpes zoster •  Patología oncológica
  • 50.
    Etiología dolor torácicoen Pediatría Idiopático 12-52% Musculoesquelético 24-56% Respiratorio 7-20% Psicógeno 1-9% Digestivo 3-6% Otra Causas 4-11% Cardiaco 0.6-1% ≠
  • 51.
    Evaluación del DolorTorácico 1.  Riesgo vital inmediato ? •  Inspección general •  TA, FC, FR, Sat O2 2.  Historia clínica 3.  Exploración física
  • 52.
    Anamnesis dirigida 1.  Característicasdel dolor: •  Inicio •  Intensidad •  Duración y perioricidad •  Localización e irradiación •  Tipo de dolor •  Repercusión en su actividad •  Respuesta al reposo y/o a fármacos 3.  Factores desencadenantes •  Ejercicio/Comida/Cuerpo extraño •  Respiración profunda •  Uso de musculatura •  Traumatismo/Estrés emocional 4.  Síntomas acompañantes •  Fiebre/Tos/Hipoventilación •  Síncope/Mareo/Palpitaciones
  • 53.
    Historia clínica Antecedentes familiares: • Cardiopatías •  Arritmias, Sd Brugada, Sd QT largo/corto •  Muerte súbita <50 años Antecedentes personales: •  Cardiopatías conocidas •  Enf. de Kawasaki •  Patología respiratoria •  Otras enfermedades: reumáticas, oncológicas, hematológicas.. •  Ingesta de fármacos Discordias familiares o escolares ? alteraciones de la conducta , ansiedad?
  • 54.
    Exploración física general Fenotipoespecial, postura antiálgica, palpación tórax, lesiones cutáneas,, etc.. •  Aspecto de gravedad ü Nivel de conciencia alterado ü Aspecto tóxico ü Cianosis ü Palidez ü Diaforesis •  Constantes alteradas •  AC patológica •  Dificultad respiratoria •  Hipoventilación marcada global o focal •  Alteraciones del pulso Signos clínicos de alarma en la exploración física (Ferrés)
  • 55.
    Indicación Rx detórax •  Traumatismo de tórax importante. •  Sospecha de cuerpo extraño. •  Fiebre. •  Auscultación anormal u otros signos de patología cardiaca o respiratoria. •  Aparición aguda de dolor intenso. •  Dolor que hace despertar durante el sueño.
  • 56.
    Indicaciones de ECG • Dolor desencadenado por el ejercicio. •  Dolor asociado a síncope. •  Palpitaciones o taquicardia. •  Dolor anginoso. •  Antecedentes familiares de miocardiopatías o arritmias. •  Cualquier sospecha de cardiopatía. •  Gran ansiedad en el niño o la familia.
  • 57.
    Indicaciones de valoracióncardiológica •  Alteraciones en la exploración cardiológica, Rx de tórax o ECG •  Dolor o síncope con el ejercicio •  Dolor torácico con palpitaciones •  AP de enf. cardiaca, cirugía cardiaca o de Kawasaki •  AF de arritmias, muerte súbita, miocardiopatía,otras enf. cardiacas hereditarias
  • 58.
    Criterios de ingreso • Dolor de causa cardiovascular •  Siempre que exista hipoxemia persistente, signos de insuficiencia cardiaca o shock •  Neumotórax o neumomediastino •  Sospecha de tromboembolismo pulmonar
  • 59.
  • 60.
  • 62.
    Dolor torácico deorigen traumático •  Hemotórax •  Neumotórax a tensión •  Neumomediastino •  Contusión pulmonar severa •  Contusión miocárdica •  Taponamiento cardiaco •  Rotura vascular •  Rotura de vía aérea •  Rotura esofágica •  Lesión visceral abdominal •  Laceración cardiaca
  • 63.
    Exámenes complementarios enDT de origen traumático •  Si traumatismo grave o dolor fuerte y/o exploración anormal (taquicardia, hipoxemia, hipotensión) se realizará: RX de tórax, ECG. Si sospecha de lesión cardiaca o abdominal ecocardiograma, ecoabdominal, TAC toracoabdominal. •  Si dolor leve, reproducible con el movimiento o la palpación, no es preciso hacer pruebas complementarias.
  • 64.
    Registro continuo deECG durante cardioversión farmacológica
  • 65.
    Signos clínicos dealarma en la anamnesis(Ferrés) •  Antecedentes recientes de: o  Traumatismo grave o  Ingesta o aspiración de cuerpo extraño o  Ingesta de caústico •  Enfermedades previas: o  Cirugía aórtica o cardiaca o  Enfermedad de Kawasaki o  Cardiopatía •  Síncope •  DT inducido por el ejercicio •  Palpitaciones •  Naúseas o vomitos •  Disnea •  Sudoración
  • 66.
    Signos clínicos dealarma en la exploración física (Ferrés) •  Aspecto de gravedad o  Nivel de conciencia alterado o  Aspecto tóxico o  Cianosis o  Palidez o  Diaforesis •  Constantes alteradas o  Hipoxemia o  Taquicardia o  Hipotensión •  Auscultación cardiaca patológica •  Dificultad respiratoria •  Hipoventilación marcada global o focal •  Alteraciones del pulso