EnfermedadEnfermedad
Cerebrovascular.Cerebrovascular.
Dr. Héctor AmicoDr. Héctor Amico
Hospital LocalHospital Local
Dr. A Fleming,Dr. A Fleming,
J L Suarez..J L Suarez..
Municipalidad. Gral. San Martín. . Prov. BS As,.Municipalidad. Gral. San Martín. . Prov. BS As,.www.neuroamico.blogspot.com
Resultante de una alteración en la
circulación cerebral que ocasiona un
déficit transitorio o definitivo del
funcionamiento de la región afectada.
Enfermedad Cerebro VascularEnfermedad Cerebro Vascular
“ El médico de atención primaria tiene gran importancia en la asistencia
de la ECV debido a que es el primer facultativo que llega al enfermo y su
actuación será capital en el devenir del mismo ”
Por lo t ant o deberá est ar en condiciones de
reconocer el cuadro clínico, realizar un diagnóst ico;
t omarlo como una urgencia, conocer las medidas
iniciales: asegurar la vía aérea, la circulación y
derivarlo a un cent ro Hospit alario.
* para est o son necesarios conocimient os sobre
f isiología y f isiopat ología de la circulación cerebral, y
de los sínt omas y síndromes cerebro vasculares más
f recuent es.
GeneralidadesGeneralidades
OMS: 200/ 100.000 habit ant es de países
desar r ollados
I ncidencia I nt er nacional: 100-270/ 100 mil.
En Reino Unido se pr oducen 110.000 casos
nuevos por año.
Cada 6 minut os alguien suf r e ECV en la
República Ar gent ina
Es la pr imera causa de discapacidad en
adult os
El 25% de la población desconoce de que se
ECV: ¡1º Concepto !ECV: ¡1º Concepto !
ISQUEMICOS (85%)
tipos :
HEMORRAGICOS (15%)
1.I nt raparenquimat oso
s
2. Hemorragia
Subaracnoidea
HemorragiaIsquemia (infarto)
Enfermedad Cerebro Vascular
ISQUEMICA
Dr. Héctor Amico
AVE: FISIOPATOLOGIA.AVE: FISIOPATOLOGIA.
FSC= alt ARC >> Glucosa y O2 >> alt BombaNa-K>>
Apert canales Ca++ >> lib flp A y C >> lib ac
Araquidónico >> + cascada>> lib depotentes VC =
FSC y siguientes eventos acompañantes. . .
1. Liberación deGlutamato y Aspartato que el influjo de
Ca++y Naalacélula.
2. Producción deRad libres del O2 por ATPcelular
3. Acidosistisular secundariaala O2 y agotamiento de
energía
4. Edema: decortaduración VG, y másimportantey
duradero: CTX
Coagulopatías y Enfermedades Hematológicas
Púrpura Trombótica Trombocitopénica
Coagulación Intravascular Diseminada
Déficit de Antitrombina III
Déficit de Proteína C
Déficit de Proteína S
Anticuerpos Antifosfolípido
Trombocitopénia Esencial
Hemoglobinuria Paroxística Nocturna
Anticonceptivos Orales
Embarazo y Puerperio
Drepanocitémia
Síndrome Nefrótico
Alteraciones de la Fibrinolísis
Policitemia Vera
Síndrome de Hiperviscosidad
Poliglobulias
Leucemia
Mieloma
Macroglobulinemia
Crioglobulinemias
Arteriopatía Inflamatoria Infecciosa
Sífilis
Meningitis Bacteriana Aguda
Meningitis Tuberculosa
Bacteriemiar
Brucelosis
Rikettsiosis
Listeriosis
Complejo Zóster Oftálmico-
Hemiparesia Contralateral
Virus del SIDA
Criptococosis
Mucormicosis
Cisticercosis
Arteriopatía No
Inflamatoria
Disección Arterial
Displasia Fibromuscular
Síndrome de Sneddon
Síndrome de Moya-Moya
Arteriopatía Postradioterapia
Angiodisplasias
Angiopatía Amilóide
Angioendoteliosis Cerebral
Microangiopatía Cerebroretiniana
Hereditaria
Homocistinuria – (↑) Hcy
Enfermedad de Marfan
Enfermedad de Fabry
Síndrome de Ehlers-Danlos
Pseudoxantoma Elástico
CADASIL
Arteriopatía Inflamatoria No
Infecciosa
VasculitisSistémicaNecrotizante
Panarteritis Nodosa Clásica
Angeitis de Shurg-Straus
Síndromes de Solapamiento
Vasculitis por Hipersensibilidad
Asociada al Abuso de Drogas
- Lupus Eritemnatoso Diseminado
Artritis Reumatoidea, Síndrome de Sjögren
Esclerodermia, Enfermedad Inflamatoria
Intestinal, Granulomatosis de Wegener
Arteritis de Células Gigantes- Temporal
- Takayasu
Enfermedad de Behçet,Vasculitis Aislada
del SNC
Otros Síndromes Linfogranular
Tromboangeitis Obliterante de Buerger,
de Cogan
Enfermedad de Eales
Papulosis Atrófica Maligna de Kohlmeier-
Degos
AVE Secundario a Vasoespasmo
Hemorragia Subaracnoidea
Encefalopatía Hipertensiva
Angiografía Cerebral
Jaqueca
Encefalomitocondriopatías
Trombosis Venosa Séptica y Aséptica
Arteriopatía Traumática
1°)1°) Según suSegún su MecanismoMecanismo
ATEROTROMBÓTICOS (70 %).
Arterioesclerosis craneocervical
CARDIOEMBÓLICOS (12 %): FA, MCD. Em.
Ea IAM, Trombos murales, endocarditis, CIA,
prótesis valvulares
HEMODINÁMICOS (3%): Trastornos de la
viscosidad sanguínea, Hipotensión, otros.
INDETERMINADO (15%)
3°) Según Presentación Clínica
A) Aterotrombótico
B) Embólico
C) Lacunar : síndromemotor puro
“ sensitivo puro
“ sensitivo-motor
“ disartriamano torpe
CRITERIOS DIAGNOSTICO EN ACV
ATEROTROMBOSIS
Antecedentes de HTA, arterioesclerosis de MIIS, AIT, Otros factores de riesgo
Incidencia de HipoTA, comienzo durante el sueño, al despertar, progresión semejante a un
tumor.
Soplo carotideo
Ausencia de FA, Cardiopatía embolica
Eco 2D +
Ausencia de infarto hemorrágico en TAC
CARDIOEMBOLICO
1) Cuadro clínico compatible con embolia: inicio brusco, arritmia, perdida de
conciencia inicial, cefaleas, convulsiones, No antecedentes de AIT de más de un
territorio,
2) Tac Infartos subcorticales grandes, infertos hemorrágicos,o multiples de corteza o
en multiples territorios de cerebelo
3) Reconocer cardiopatia emboligena: fa, mcd, valvulopatía reumática, aortica, trombo
auricular, etc
4) Exclusión de arterioesclerosis cerebral
CRITERIOS DIAGNOSTICO EN AVE
ATEROTROMBOSIS
Antecedentes de HTA, arterioesclerosis de MIIS, AIT, Otros factores
riesgo
Incidencia de HipoTA, comienzo durante el sueño, al despertarse,
progresión semejante a un tumor.
Soplo carotìdeo
Ausencia de FA, Cardiopatía embolica
Eco 2D +
Ausencia de infarto hemorrágico en TAC
CARDIOEMBOLICO
Cuadro clínico compatible con embolia: inicio brusco, arritmia, perdida de
conciencia inicial, cefaleas, convulsiones, No antecedentes de AIT de más
de un territorio,
Tac Infartos subcorticales grandes, infartos hemorrágicos, múltiples de
corteza o en múltiples territorios de cerebelo
Reconocer cardiopatía embolìgena: fa, mcd, valvulopatía reumática,
aòrtica, trombo auricular, etc
Exclusión de arterioesclerosis cerebral
Alto Riesgo de EmboliaAlto Riesgo de Embolia..
Fibrilación Auricular, FA + EstenosisMitral.
MCD, fracción eyección < 35%
Diámetro Auricular > 5 mm.
PrótesisValvular Mecánica
EndocarditisInfecciosa.
AkinesiaSegmentariadel VI
IAM < 1 mes
Síndromedel Seno Enfermo
Trombo en cavidadesizquierdas
Bajo Riesgo deEmbolia:
Prolapso, Ca++ del anillo, EstenosisMitral
Foramen oval permeable
Turbulenciaen AurículaIzquierda
Aneurismaseptal
Flutter Auricular
Fibrilación Auricular sola
Prótesisvalvular biológica
Endocarditistromboticano bacteriana
IAM . > 1 y < 6 meses
ICC
Oxfordshire Stroke Project Classication
(OCSP)
Basada en la localización clínica y tipo isquemia/hemorragia, correlación con el
pronóstico e indice de recurrencias
( Bamford J; Lancet 1991, Mead G, JNNP 2000)
Denominacion General
TAC: Total Anterior Circulation
PAC: Partial Anterior Circulation
LAC: Lacunar
POC: Posterior Circulation
Se añade la última letra del código según:
S: Síndrome: patogénesis indeterminada,
previo a la imagen ( TACS, PACS, LACS, POCS)
I: Infarto ( TACI, PACI, LACI, POCI).
H: Hemorrhage (TACH, PACH, LACH, POCH):
Clasificación final: se expresa en cuatro letras. . .
Definiciones:
TACI: (*·3)
Disfución cerebral cortical , afasia, discalculia, alteraciones visuoespaciales
Déficit motor y/o sensitivo en al menos dos de tres áreas corporales ( CARA, MMSS y
MMII). Hemianopsia homónima
PACI:
Disfución cerebral cortical afasia, discalculia, alteraciones visuoespaciales
Dos de los tres criterios de TACI
Déficit motor y/o sensitivo mas restringido que el clasificado como LACI ( limitado a
una extremidad )
LACI o infarto lacunar: (*.1)
Síndrome motor puro que afecta a dos de tres áreas corporales ( cara, MMSS,
MMII).
Síndrome sensitivo puro que afecta a dos de tres áreas
Síndrome sensitivo motor puro que afecta a dos de tres áreas.
Hemiparesia-ataxia ipsilateral
Disartria-mano torpe
Movimentos anormales focales y agudos ( hemicorea, hemibalismo).
POCI:
Afectación ipsilateral de pares craneales con déficit motor y/o sensitivo ipsilateral
Déficit motor y/o sensitivo bilateral , Enfermedad oculomotora
Disfucnión cerebelosa sin déficit de vías largas ipsilaterales ( lo que sería un
síndrome lacunar de hemiparesia-ataxia) Hemianopsia homónima aislada
Para facilitar el diagnóstico, Dos herramientas de uso común :
el Face Arm Speech Test (FAST) (Prueba del habla, brazo y cara), adecuada para ser
utilizada por el público en general y, la escala ROSIER, para ser utilizada en las
urgencias en menos de 5 minutos.
Para el diagnóstico del AIT existen otras herramientas, pero aún no han sido
ampliamente adoptadas.
FAST  (valor predictivo 78%)
•¿Asimetría facial? …………………….Sí: + 1 punto
•Parálisis del brazo (o la pierna)? ……Sí: + 1 punto
•Trastornos del habla?........................ Sí: + 1 punto
Sospecha de ACV si el puntaje es Mayor de 0
Sensibilidad para el diagnóstico de ACV 82%
Especificidad para el diagnóstico de ACV 37%
ROSIER (Reconocimiento del ACV en la
Sala de Emergencias)
•¿Pérdida de la conciencia o síncope? Si: -1 punto.
•¿Convulsiones? Si: -1 punto.
Comienzo agudo nuevo:
•¿Parálisis facial asimétrica? Sí: + 1 punto
•¿Parálisis braquial asimétrica Sí: + 1 punto
•¿Trastornos del habla? Sí: + 1 punto
•¿Defectos del campo visual? Sí: + 1 punto
Total -2 a +5
Posible ACV si el puntaje es >0 en ausencia de hipoglucemia
Sensibilidad para el diagnóstico de ACV 82%
Especificidad para el diagnóstico de ACV 42%
1). DNI Estable (sin variantes < 6 horas)
2). DNI Inestable o progresivo (se modifica en las 6 horas del
debut)
3). DNIReversible. Sin foco dentro de los 7 días
4). AIT. 10 % de los pacientes que presentaron un AIT hacen
un AVE dentro los 3 meses.
La mitad ocurren dentro de las 48 horas
AVE:AVE: EVOLUCIONEVOLUCION
0. Sin síntomas.   
1. Sin incapacidad
importante
Capaz de realizar  sus actividades y obligaciones 
habituales.
2. Incapacidad leve Incapaz de realizar algunas de sus actividades previas, 
pero capaz de velar por sus intereses y asuntos sin ayuda.
3. Incapacidad
moderada
Síntomas que restringen significativamente su estilo de 
vida o impiden su subsistencia totalmente autónoma (p. 
ej. necesitando alguna ayuda).
4. Incapacidad 
moderadamente 
severa
Síntomas que impiden claramente su subsistencia 
independiente aunque sin necesidad de atención continua 
(p. ej. incapaz para atender sus necesidades personales 
sin asistencia).
5. Incapacidad severaTotalmente dependiente, necesitando asistencia 
constante día y noche.
6. Muerte   
Escala de Rankin (Modificada)
Rothwell (2005) ha propuesto el ABCD score paraABCD score
predecir riesgo de stroke en la primer semana en pacientes con AIT.
El score fue derivado de una cohort de 209 pacientes con AIT con factores
previamente identificados asociados a stroke.
Validados en 190 pacientes.
Y luego testados en 588 pacientes adicionales.
ABCD Puntos 7días
Edad 60 años 1 2.6*
Aumento de Presión arterial (>140/ >90 mm Hg) 1 9.7
Debilidad unilateral 2 6.6*
Trastornos del lenguaje sin debilidad 1 2.6*
Duración de los síntomas 10–60 min 1 3.1*
Duración de los síntomas 60 min. 2 6.2*
California score sobre 1707 pacientes diagnosticado con AIT
en Servicio de Emergencia de 16 hospitales durante un año.
Se encontraron 5 variables independientes predictivas
de Ataque Cerebral:
Rasgos Clínicos Puntos 2 Días 7 Días 90 Días
Edad > 60 años 1 — — 1.8
Diabetes 1 — — 2.0
Duración del AIT >10 min. 1 — — 2.3
Debilidad 1 — — 1.9
Alteración del lenguaje 1 --- — 1.5
1) Paciente que no tenían factores de riesgo, no presentaron Ataque cerebral
2) dentro los 90 días.
2) 34% que tenían los 5 factores de riesgo, experimentó un ataque cerebral
Alrededor del 50 % ocurría dentro las primeras 48 horas
ABCD2 puntos 2, 7, 90 días
Edad > 60 años 1 1.4 1.4 1.5
Aumento de la Presión Arterial 1 2.1 1.9 1,6
( sistólica >140 mm Hg o >diastólica 90 mm Hg)
Debilidad unilateral 2 2.9 3.5 3.2
Alteraciones del habla sin paresia 1 1.4 1.5 1.7
Duración de síntomas 10-60 min. 1 2 1.9 1.7
Duración de síntomas > 60 min. 2 2.3 2.6 2.1
Diabetes 1 1.6 1.4 1.7
Los autores de Scores California y
ABCD
combinaron sus registros de sus
respectivos estudios
Los autores de Scores California y ABCD
combinaron sus registros de sus respectivos estudios
FACTORESDE RIESGOFACTORESDE RIESGO
HIPERTENSION ARTERIAL
DIABETES
TABAQUISMO
DISLIPIDEMIAS
ALTERACIONESCARDIACAS
ALCOHOLISMO
ENFERMEDADESPRO
COGULATORIAS
DIAGNOSTICO:DIAGNOSTICO:
Laboratorio. hemograma, glucemia, ionograma, ESD,
tiempo deQuick, KPTT, orinacompleta
Evaluación neurológica
Radiologíatórax frente
ECG y Evaluación Cardiológica, Eco bidi, Doppler
TAC cerebral
RNM (utilidad técnicadedifusión y percusión)
Eco Doppler VasosCuello,
 Angio RNM, Arteriografía
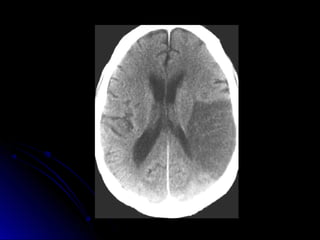
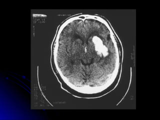
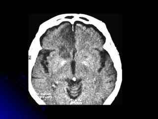
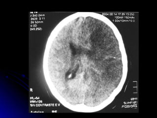
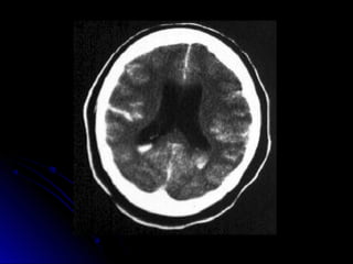
Ubicación de las lesiones en TAC-RNM
Manejo PrehospitalarioManejo Prehospitalario
Víaaérea. Estabilidad y mantenimiento dela
respiración
Circulación. Víacon Solución Fisiológica
Oxigenoterapia
Inmovilización cervical
Hemoglucotest
Notificación al Hospital dedestino
AVE: TRATAMIENTO GENERAL
1º- Asegurar víaaérea. O2 terapia
2º- PHPcon Solución fisiológica0,9%.
3º- SNG? SV?Control Volumen Urinario
4º- Cabecera30º
5º- Control estado Metabólico: Glucemia, Osmolaridad
Plasma, Electrolitos
6º- Control deConvulsiones, protección
Gástrica, Oximetria, etc.
Tratamiento antiagregante
Indicación. ECV aterotrombótica
AAS25-350 mg/d, {-} ciclooxigenasa,{-} lafosfodiestaerasay
< amp cíclico plaquetario.
AAS+DIPIRIDAMOL 25-200 mg/d, {-} fosfodiesterasa; < el
riesgo en 23%.
CLOPIDOGREL 75 mg/d, {-} agregación plaquetariapor
adenosindifosfato, esmaseficaz quelaaspirina.
TICLOPIDINA 250 mg/12 hs./12 hs,
TRIFUSAL 300 mg c/12 hs, idem aas
TRATAMIENTOTRATAMIENTO
ANTICOAGULANTEANTICOAGULANTE..
En Cardioembolicos:
Heparina, 500 UI en bolo y 500
U/kg/d en goteo.
Warfarina: comprimidosde4 mg c/ 6
hs.
INR: 2,5- 3,5
NACOSNACOS
New Options for Stroke Prevention in Atrial FibrillationChristopher P.New Options for Stroke Prevention in Atrial FibrillationChristopher P.
Cannon, MD; and Eric C. Stecker, MD, MPHCannon, MD; and Eric C. Stecker, MD, MPHAm J Manag Care. 2010;16:S291-Am J Manag Care. 2010;16:S291-
S297S297
Andexanet Alfa
TRATAMIENTO FIBRINILÍTICOTRATAMIENTO FIBRINILÍTICO
Edad > 18 añosy < 80 años, Ventanade3-6 horasdesdeinicio.
Suspendersi Score NIHmayor de25 y evidenciadesangrado en
TACy/o con lesión hipodensa> de4-6 cm dediámentro, si
Tiempo de IIes> de15” o KPTTaumentado.
También Contraindicado, HistoriadeStrokeo DBT, en
Diátesishemorrágica, Cirugíarecienteo traumatismos, Tec, HTA,
HSA, Convulsionesal inicio, tumores, MAV, Aneurismas,
tratamiento con warfarina, heparinalas48 hsprevias, otros
sangradosdentro del último mes.
I. Criterio de InclusiónI. Criterio de Inclusión
•• Edad = > 18 años <80 añosEdad = > 18 años <80 años
•• Signos de déficit focal neurológico en el examen compatible a stroke isquémico.Signos de déficit focal neurológico en el examen compatible a stroke isquémico.
•• Tiempo de inicio 3 horas a 4,5 horas.Tiempo de inicio 3 horas a 4,5 horas.
II. Criterio de ExclusiónII. Criterio de Exclusión
•• Evidencia de hemorragia intracerebral previo al tratamiento por TACEvidencia de hemorragia intracerebral previo al tratamiento por TAC
•• Sintomas menores o rápida recuperaciónSintomas menores o rápida recuperación
•• Presentation clinica sugestiva de hemorragia subaracnoideaPresentation clinica sugestiva de hemorragia subaracnoidea
•• Sangrado interno agudoSangrado interno agudo
•• Diatesis plaquetaria conocida incluyendo,pero no limitada a: -recuento plaquetarioDiatesis plaquetaria conocida incluyendo,pero no limitada a: -recuento plaquetario
>100.000/mm3-administratción heparina dentro 48 horas con elevado aPTT-uso>100.000/mm3-administratción heparina dentro 48 horas con elevado aPTT-uso
reciente o corriente de anticoagulantes con un elevado TP mayor de 15 seg.reciente o corriente de anticoagulantes con un elevado TP mayor de 15 seg.
••Cirugía mayor o serio trauma dentro los 14 días previosCirugía mayor o serio trauma dentro los 14 días previos
•• Historia de hemorragia gastrointestinal o urinaria dentro 21 díasHistoria de hemorragia gastrointestinal o urinaria dentro 21 días
•• reciente punción arterial en sitios no compresibles o punción lumbarreciente punción arterial en sitios no compresibles o punción lumbar
••Hipertensión arterial descontrolada(> 185 mm HG o diastólica mayor que 110 mmHipertensión arterial descontrolada(> 185 mm HG o diastólica mayor que 110 mm
HG) en mediciones repetidads en el momento de tto.HG) en mediciones repetidads en el momento de tto.
•• Historia de hemorragia intracranealHistoria de hemorragia intracraneal
••Glucemia anormal(< 50 or > 400 mg/dL)Glucemia anormal(< 50 or > 400 mg/dL)
•• Pos infarto miocardioPos infarto miocardio
•• Convulsión en el inicio del strokeConvulsión en el inicio del stroke
•• Malformación arteriovenosa o aneurisma conocida.Malformación arteriovenosa o aneurisma conocida.
Inhibidor Tisular delInhibidor Tisular del
Plasminógeno:Plasminógeno:
RTPA 0,9 mg/kg/ev, (dsMx 90 mg)
10% en 1-2 minutos, y 90% apasar en unahoradiluido
en Solución Fisiológica.
No AASni Heparinahastadespuésde24 hs
Dietaabsoluta.
Control con Tiempo deQuick, KPTT y fibrinógeno
previo y posterior
Efectos adversos: Hemorragia intracraneal: 0.6%
con placebo y 6.4% con rtPA.
NEUROPROTECCION (discutidoNEUROPROTECCION (discutido))
Nimodipina30 mg c/8 hs por SNG (Ca** es
Vasoconstrictorc y AumentalaAgregación plaquetaria)
Evitarla Hipotensión
Oxigenoterapia
Citicolinaen goteo: 1000 mg/día
Otrosen estudio pero sin evidenciade
beneficio
Rehabilitación Kinésica, fonoaudiologíay
psicología
REHABILITACIONREHABILITACION
TEMPRANATEMPRANA
CONTROLDEFACTORES DERIESGOCONTROLDEFACTORES DERIESGO
REVASCULARIZACIONREVASCULARIZACION
1) Reconocer Stroke: Evaluación neurológica +
Estabilización vía aérea y circulatoria
ECG Laborat orio Rx
Tórax
TAC Cerebral
Lesión Hiperdensa
Lesión Hipodensa
OXFORD AT CE
Lacunar
ABC Fibrinolít icos Aco
Aag-
PRONOSTICO
Lacunares: Mortalidad: 10% al año, dependencia 20%
CPA: “ 20% “ “ 30%
CTA “ 60% “ “ 65%
C Posterior: “ 20% “ “ 20%
La Mortalidad general a los 30 días es de 10%, al año 25% y a los
5 años: 52%.
PRONOSTICO
LACI: Mortalidad: 10% al año, dependencia 20%
PACI: “ 20% “ “ 30%
TACI “ 60% “ “ 65%
POCI: “ 20% “ “ 20%
La Mortalidad general a los 30 días es de 10%,
al año 25% y a los 5 años: 52%.
HEMORRAGIA
CEREBRAL
Dr, Héct or Amico
AVE HEMORRAGICO
“Cuadro causado por
rupt ur a vascular e
irrupción de sangre en el
parénquima cerebral,
acompañado de
hipert ensión endocraneana
y por lo gener al
El mecanismo de sangrado
vascular se produce por la
HTA crónica que produce
la ruptura de una pared
previamente dañada por
espasmos repetitivos y
alteraciones MTB que
facilitan la erosión,
diapédesis, Vasodilatación
y debilidad .
AVE Hemorrágico
Frecuencia15%
Edades: hombres50-70 años
( 16% antesdelos45)
Mortalidad: 20%, aumentacon
invasión ventricular
Causas AVE hemorrágicoCausas AVE hemorrágico
HTA, Alcoholismo, Tumores, HSA,
MAV, CID, Trastornosfibrinolíticos,
PTT, Coagulopatías, Trombopenias,
Hemofilia, Afibrinogenemia, Mieloma
Múltiple,
Amiloidosis,Cocaína,AnfetaminasVasc
ulitis, etc.
Clasificación HemorragiaCerebral
Iº Gran hemorragiaClásica
IIº HematomaIntraparenquimatoso
1) Profundo 60%
2) Superficial 20%
3) Cerebelo <15%
4) Tronco <5%
IIIº HemorragiaSubaracnoidea 5-10 %
Complicaciones cerebrales :Complicaciones cerebrales :
AVE Hemorrágico.AVE Hemorrágico.
 Herniacerebral
 Hidrocefalia
 Convulsiones
 Hipertensión endocraneana
 Estado comay muerte
Dr. Héctor Amico
Tratamiento Hemorragia Cerebral
ABC (Evitar hipotensión)
Hiperventilación: PO2 a25-35
Manitol: 1-2 grs/kg/día
Pentotal, Furosemida, etc.
Fenitoina15-20 mg/kg/ cargay goteo
en goteo EV. Luego 100 mg c/8 hs
Muchas Gracias. . .

Enfermedadcerebrovascular 100130134642-phpapp02

  • 1.
    EnfermedadEnfermedad Cerebrovascular.Cerebrovascular. Dr. Héctor AmicoDr.Héctor Amico Hospital LocalHospital Local Dr. A Fleming,Dr. A Fleming, J L Suarez..J L Suarez.. Municipalidad. Gral. San Martín. . Prov. BS As,.Municipalidad. Gral. San Martín. . Prov. BS As,.www.neuroamico.blogspot.com
  • 2.
    Resultante de unaalteración en la circulación cerebral que ocasiona un déficit transitorio o definitivo del funcionamiento de la región afectada.
  • 3.
    Enfermedad Cerebro VascularEnfermedadCerebro Vascular “ El médico de atención primaria tiene gran importancia en la asistencia de la ECV debido a que es el primer facultativo que llega al enfermo y su actuación será capital en el devenir del mismo ” Por lo t ant o deberá est ar en condiciones de reconocer el cuadro clínico, realizar un diagnóst ico; t omarlo como una urgencia, conocer las medidas iniciales: asegurar la vía aérea, la circulación y derivarlo a un cent ro Hospit alario. * para est o son necesarios conocimient os sobre f isiología y f isiopat ología de la circulación cerebral, y de los sínt omas y síndromes cerebro vasculares más f recuent es.
  • 4.
    GeneralidadesGeneralidades OMS: 200/ 100.000habit ant es de países desar r ollados I ncidencia I nt er nacional: 100-270/ 100 mil. En Reino Unido se pr oducen 110.000 casos nuevos por año. Cada 6 minut os alguien suf r e ECV en la República Ar gent ina Es la pr imera causa de discapacidad en adult os El 25% de la población desconoce de que se
  • 6.
    ECV: ¡1º Concepto!ECV: ¡1º Concepto ! ISQUEMICOS (85%) tipos : HEMORRAGICOS (15%) 1.I nt raparenquimat oso s 2. Hemorragia Subaracnoidea
  • 7.
  • 9.
  • 10.
    AVE: FISIOPATOLOGIA.AVE: FISIOPATOLOGIA. FSC=alt ARC >> Glucosa y O2 >> alt BombaNa-K>> Apert canales Ca++ >> lib flp A y C >> lib ac Araquidónico >> + cascada>> lib depotentes VC = FSC y siguientes eventos acompañantes. . . 1. Liberación deGlutamato y Aspartato que el influjo de Ca++y Naalacélula. 2. Producción deRad libres del O2 por ATPcelular 3. Acidosistisular secundariaala O2 y agotamiento de energía 4. Edema: decortaduración VG, y másimportantey duradero: CTX
  • 12.
    Coagulopatías y EnfermedadesHematológicas Púrpura Trombótica Trombocitopénica Coagulación Intravascular Diseminada Déficit de Antitrombina III Déficit de Proteína C Déficit de Proteína S Anticuerpos Antifosfolípido Trombocitopénia Esencial Hemoglobinuria Paroxística Nocturna Anticonceptivos Orales Embarazo y Puerperio Drepanocitémia Síndrome Nefrótico Alteraciones de la Fibrinolísis Policitemia Vera Síndrome de Hiperviscosidad Poliglobulias Leucemia Mieloma Macroglobulinemia Crioglobulinemias
  • 13.
    Arteriopatía Inflamatoria Infecciosa Sífilis MeningitisBacteriana Aguda Meningitis Tuberculosa Bacteriemiar Brucelosis Rikettsiosis Listeriosis Complejo Zóster Oftálmico- Hemiparesia Contralateral Virus del SIDA Criptococosis Mucormicosis Cisticercosis
  • 14.
    Arteriopatía No Inflamatoria Disección Arterial DisplasiaFibromuscular Síndrome de Sneddon Síndrome de Moya-Moya Arteriopatía Postradioterapia Angiodisplasias Angiopatía Amilóide Angioendoteliosis Cerebral Microangiopatía Cerebroretiniana Hereditaria Homocistinuria – (↑) Hcy Enfermedad de Marfan Enfermedad de Fabry Síndrome de Ehlers-Danlos Pseudoxantoma Elástico CADASIL Arteriopatía Inflamatoria No Infecciosa VasculitisSistémicaNecrotizante Panarteritis Nodosa Clásica Angeitis de Shurg-Straus Síndromes de Solapamiento Vasculitis por Hipersensibilidad Asociada al Abuso de Drogas - Lupus Eritemnatoso Diseminado Artritis Reumatoidea, Síndrome de Sjögren Esclerodermia, Enfermedad Inflamatoria Intestinal, Granulomatosis de Wegener Arteritis de Células Gigantes- Temporal - Takayasu Enfermedad de Behçet,Vasculitis Aislada del SNC Otros Síndromes Linfogranular Tromboangeitis Obliterante de Buerger, de Cogan Enfermedad de Eales Papulosis Atrófica Maligna de Kohlmeier- Degos
  • 15.
    AVE Secundario aVasoespasmo Hemorragia Subaracnoidea Encefalopatía Hipertensiva Angiografía Cerebral Jaqueca Encefalomitocondriopatías Trombosis Venosa Séptica y Aséptica Arteriopatía Traumática
  • 16.
    1°)1°) Según suSegúnsu MecanismoMecanismo ATEROTROMBÓTICOS (70 %). Arterioesclerosis craneocervical CARDIOEMBÓLICOS (12 %): FA, MCD. Em. Ea IAM, Trombos murales, endocarditis, CIA, prótesis valvulares HEMODINÁMICOS (3%): Trastornos de la viscosidad sanguínea, Hipotensión, otros. INDETERMINADO (15%)
  • 17.
    3°) Según PresentaciónClínica A) Aterotrombótico B) Embólico C) Lacunar : síndromemotor puro “ sensitivo puro “ sensitivo-motor “ disartriamano torpe
  • 18.
    CRITERIOS DIAGNOSTICO ENACV ATEROTROMBOSIS Antecedentes de HTA, arterioesclerosis de MIIS, AIT, Otros factores de riesgo Incidencia de HipoTA, comienzo durante el sueño, al despertar, progresión semejante a un tumor. Soplo carotideo Ausencia de FA, Cardiopatía embolica Eco 2D + Ausencia de infarto hemorrágico en TAC CARDIOEMBOLICO 1) Cuadro clínico compatible con embolia: inicio brusco, arritmia, perdida de conciencia inicial, cefaleas, convulsiones, No antecedentes de AIT de más de un territorio, 2) Tac Infartos subcorticales grandes, infertos hemorrágicos,o multiples de corteza o en multiples territorios de cerebelo 3) Reconocer cardiopatia emboligena: fa, mcd, valvulopatía reumática, aortica, trombo auricular, etc 4) Exclusión de arterioesclerosis cerebral CRITERIOS DIAGNOSTICO EN AVE ATEROTROMBOSIS Antecedentes de HTA, arterioesclerosis de MIIS, AIT, Otros factores riesgo Incidencia de HipoTA, comienzo durante el sueño, al despertarse, progresión semejante a un tumor. Soplo carotìdeo Ausencia de FA, Cardiopatía embolica Eco 2D + Ausencia de infarto hemorrágico en TAC CARDIOEMBOLICO Cuadro clínico compatible con embolia: inicio brusco, arritmia, perdida de conciencia inicial, cefaleas, convulsiones, No antecedentes de AIT de más de un territorio, Tac Infartos subcorticales grandes, infartos hemorrágicos, múltiples de corteza o en múltiples territorios de cerebelo Reconocer cardiopatía embolìgena: fa, mcd, valvulopatía reumática, aòrtica, trombo auricular, etc Exclusión de arterioesclerosis cerebral
  • 19.
    Alto Riesgo deEmboliaAlto Riesgo de Embolia.. Fibrilación Auricular, FA + EstenosisMitral. MCD, fracción eyección < 35% Diámetro Auricular > 5 mm. PrótesisValvular Mecánica EndocarditisInfecciosa. AkinesiaSegmentariadel VI IAM < 1 mes Síndromedel Seno Enfermo Trombo en cavidadesizquierdas
  • 20.
    Bajo Riesgo deEmbolia: Prolapso,Ca++ del anillo, EstenosisMitral Foramen oval permeable Turbulenciaen AurículaIzquierda Aneurismaseptal Flutter Auricular Fibrilación Auricular sola Prótesisvalvular biológica Endocarditistromboticano bacteriana IAM . > 1 y < 6 meses ICC
  • 21.
    Oxfordshire Stroke ProjectClassication (OCSP) Basada en la localización clínica y tipo isquemia/hemorragia, correlación con el pronóstico e indice de recurrencias ( Bamford J; Lancet 1991, Mead G, JNNP 2000) Denominacion General TAC: Total Anterior Circulation PAC: Partial Anterior Circulation LAC: Lacunar POC: Posterior Circulation
  • 22.
    Se añade laúltima letra del código según: S: Síndrome: patogénesis indeterminada, previo a la imagen ( TACS, PACS, LACS, POCS) I: Infarto ( TACI, PACI, LACI, POCI). H: Hemorrhage (TACH, PACH, LACH, POCH): Clasificación final: se expresa en cuatro letras. . .
  • 23.
    Definiciones: TACI: (*·3) Disfución cerebralcortical , afasia, discalculia, alteraciones visuoespaciales Déficit motor y/o sensitivo en al menos dos de tres áreas corporales ( CARA, MMSS y MMII). Hemianopsia homónima PACI: Disfución cerebral cortical afasia, discalculia, alteraciones visuoespaciales Dos de los tres criterios de TACI Déficit motor y/o sensitivo mas restringido que el clasificado como LACI ( limitado a una extremidad ) LACI o infarto lacunar: (*.1) Síndrome motor puro que afecta a dos de tres áreas corporales ( cara, MMSS, MMII). Síndrome sensitivo puro que afecta a dos de tres áreas Síndrome sensitivo motor puro que afecta a dos de tres áreas. Hemiparesia-ataxia ipsilateral Disartria-mano torpe Movimentos anormales focales y agudos ( hemicorea, hemibalismo). POCI: Afectación ipsilateral de pares craneales con déficit motor y/o sensitivo ipsilateral Déficit motor y/o sensitivo bilateral , Enfermedad oculomotora Disfucnión cerebelosa sin déficit de vías largas ipsilaterales ( lo que sería un síndrome lacunar de hemiparesia-ataxia) Hemianopsia homónima aislada
  • 24.
    Para facilitar eldiagnóstico, Dos herramientas de uso común : el Face Arm Speech Test (FAST) (Prueba del habla, brazo y cara), adecuada para ser utilizada por el público en general y, la escala ROSIER, para ser utilizada en las urgencias en menos de 5 minutos. Para el diagnóstico del AIT existen otras herramientas, pero aún no han sido ampliamente adoptadas. FAST  (valor predictivo 78%) •¿Asimetría facial? …………………….Sí: + 1 punto •Parálisis del brazo (o la pierna)? ……Sí: + 1 punto •Trastornos del habla?........................ Sí: + 1 punto Sospecha de ACV si el puntaje es Mayor de 0 Sensibilidad para el diagnóstico de ACV 82% Especificidad para el diagnóstico de ACV 37%
  • 25.
    ROSIER (Reconocimiento delACV en la Sala de Emergencias) •¿Pérdida de la conciencia o síncope? Si: -1 punto. •¿Convulsiones? Si: -1 punto. Comienzo agudo nuevo: •¿Parálisis facial asimétrica? Sí: + 1 punto •¿Parálisis braquial asimétrica Sí: + 1 punto •¿Trastornos del habla? Sí: + 1 punto •¿Defectos del campo visual? Sí: + 1 punto Total -2 a +5 Posible ACV si el puntaje es >0 en ausencia de hipoglucemia Sensibilidad para el diagnóstico de ACV 82% Especificidad para el diagnóstico de ACV 42%
  • 26.
    1). DNI Estable(sin variantes < 6 horas) 2). DNI Inestable o progresivo (se modifica en las 6 horas del debut) 3). DNIReversible. Sin foco dentro de los 7 días 4). AIT. 10 % de los pacientes que presentaron un AIT hacen un AVE dentro los 3 meses. La mitad ocurren dentro de las 48 horas AVE:AVE: EVOLUCIONEVOLUCION
  • 27.
    0. Sin síntomas.   1. Sin incapacidad importante Capaz de realizar  sus actividades y obligaciones  habituales. 2. Incapacidad leve Incapaz de realizar algunas de sus actividades previas,  pero capaz de velar por sus intereses y asuntos sin ayuda. 3. Incapacidad moderada Síntomas que restringen significativamente su estilo de  vida o impiden su subsistencia totalmente autónoma (p.  ej. necesitando alguna ayuda). 4. Incapacidad  moderadamente  severa Síntomas que impiden claramente su subsistencia  independiente aunque sin necesidad de atención continua  (p. ej. incapaz para atender sus necesidades personales  sin asistencia). 5. Incapacidad severaTotalmente dependiente, necesitando asistencia  constante día y noche. 6. Muerte    Escala de Rankin (Modificada)
  • 28.
    Rothwell (2005) hapropuesto el ABCD score paraABCD score predecir riesgo de stroke en la primer semana en pacientes con AIT. El score fue derivado de una cohort de 209 pacientes con AIT con factores previamente identificados asociados a stroke. Validados en 190 pacientes. Y luego testados en 588 pacientes adicionales. ABCD Puntos 7días Edad 60 años 1 2.6* Aumento de Presión arterial (>140/ >90 mm Hg) 1 9.7 Debilidad unilateral 2 6.6* Trastornos del lenguaje sin debilidad 1 2.6* Duración de los síntomas 10–60 min 1 3.1* Duración de los síntomas 60 min. 2 6.2*
  • 29.
    California score sobre1707 pacientes diagnosticado con AIT en Servicio de Emergencia de 16 hospitales durante un año. Se encontraron 5 variables independientes predictivas de Ataque Cerebral: Rasgos Clínicos Puntos 2 Días 7 Días 90 Días Edad > 60 años 1 — — 1.8 Diabetes 1 — — 2.0 Duración del AIT >10 min. 1 — — 2.3 Debilidad 1 — — 1.9 Alteración del lenguaje 1 --- — 1.5 1) Paciente que no tenían factores de riesgo, no presentaron Ataque cerebral 2) dentro los 90 días. 2) 34% que tenían los 5 factores de riesgo, experimentó un ataque cerebral Alrededor del 50 % ocurría dentro las primeras 48 horas
  • 30.
    ABCD2 puntos 2,7, 90 días Edad > 60 años 1 1.4 1.4 1.5 Aumento de la Presión Arterial 1 2.1 1.9 1,6 ( sistólica >140 mm Hg o >diastólica 90 mm Hg) Debilidad unilateral 2 2.9 3.5 3.2 Alteraciones del habla sin paresia 1 1.4 1.5 1.7 Duración de síntomas 10-60 min. 1 2 1.9 1.7 Duración de síntomas > 60 min. 2 2.3 2.6 2.1 Diabetes 1 1.6 1.4 1.7 Los autores de Scores California y ABCD combinaron sus registros de sus respectivos estudios Los autores de Scores California y ABCD combinaron sus registros de sus respectivos estudios
  • 32.
    FACTORESDE RIESGOFACTORESDE RIESGO HIPERTENSIONARTERIAL DIABETES TABAQUISMO DISLIPIDEMIAS ALTERACIONESCARDIACAS ALCOHOLISMO ENFERMEDADESPRO COGULATORIAS
  • 33.
    DIAGNOSTICO:DIAGNOSTICO: Laboratorio. hemograma, glucemia,ionograma, ESD, tiempo deQuick, KPTT, orinacompleta Evaluación neurológica Radiologíatórax frente ECG y Evaluación Cardiológica, Eco bidi, Doppler TAC cerebral RNM (utilidad técnicadedifusión y percusión) Eco Doppler VasosCuello,  Angio RNM, Arteriografía
  • 34.
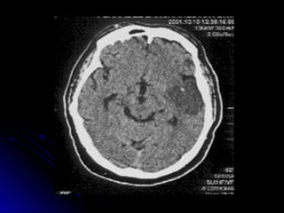
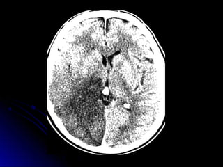
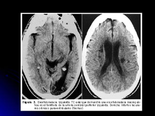
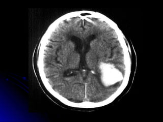
    Ubicación de laslesiones en TAC-RNM
  • 44.
    Manejo PrehospitalarioManejo Prehospitalario Víaaérea.Estabilidad y mantenimiento dela respiración Circulación. Víacon Solución Fisiológica Oxigenoterapia Inmovilización cervical Hemoglucotest Notificación al Hospital dedestino
  • 45.
    AVE: TRATAMIENTO GENERAL 1º-Asegurar víaaérea. O2 terapia 2º- PHPcon Solución fisiológica0,9%. 3º- SNG? SV?Control Volumen Urinario 4º- Cabecera30º 5º- Control estado Metabólico: Glucemia, Osmolaridad Plasma, Electrolitos 6º- Control deConvulsiones, protección Gástrica, Oximetria, etc.
  • 46.
    Tratamiento antiagregante Indicación. ECVaterotrombótica AAS25-350 mg/d, {-} ciclooxigenasa,{-} lafosfodiestaerasay < amp cíclico plaquetario. AAS+DIPIRIDAMOL 25-200 mg/d, {-} fosfodiesterasa; < el riesgo en 23%. CLOPIDOGREL 75 mg/d, {-} agregación plaquetariapor adenosindifosfato, esmaseficaz quelaaspirina. TICLOPIDINA 250 mg/12 hs./12 hs, TRIFUSAL 300 mg c/12 hs, idem aas
  • 47.
    TRATAMIENTOTRATAMIENTO ANTICOAGULANTEANTICOAGULANTE.. En Cardioembolicos: Heparina, 500UI en bolo y 500 U/kg/d en goteo. Warfarina: comprimidosde4 mg c/ 6 hs. INR: 2,5- 3,5
  • 48.
    NACOSNACOS New Options forStroke Prevention in Atrial FibrillationChristopher P.New Options for Stroke Prevention in Atrial FibrillationChristopher P. Cannon, MD; and Eric C. Stecker, MD, MPHCannon, MD; and Eric C. Stecker, MD, MPHAm J Manag Care. 2010;16:S291-Am J Manag Care. 2010;16:S291- S297S297 Andexanet Alfa
  • 49.
    TRATAMIENTO FIBRINILÍTICOTRATAMIENTO FIBRINILÍTICO Edad> 18 añosy < 80 años, Ventanade3-6 horasdesdeinicio. Suspendersi Score NIHmayor de25 y evidenciadesangrado en TACy/o con lesión hipodensa> de4-6 cm dediámentro, si Tiempo de IIes> de15” o KPTTaumentado. También Contraindicado, HistoriadeStrokeo DBT, en Diátesishemorrágica, Cirugíarecienteo traumatismos, Tec, HTA, HSA, Convulsionesal inicio, tumores, MAV, Aneurismas, tratamiento con warfarina, heparinalas48 hsprevias, otros sangradosdentro del último mes.
  • 50.
    I. Criterio deInclusiónI. Criterio de Inclusión •• Edad = > 18 años <80 añosEdad = > 18 años <80 años •• Signos de déficit focal neurológico en el examen compatible a stroke isquémico.Signos de déficit focal neurológico en el examen compatible a stroke isquémico. •• Tiempo de inicio 3 horas a 4,5 horas.Tiempo de inicio 3 horas a 4,5 horas. II. Criterio de ExclusiónII. Criterio de Exclusión •• Evidencia de hemorragia intracerebral previo al tratamiento por TACEvidencia de hemorragia intracerebral previo al tratamiento por TAC •• Sintomas menores o rápida recuperaciónSintomas menores o rápida recuperación •• Presentation clinica sugestiva de hemorragia subaracnoideaPresentation clinica sugestiva de hemorragia subaracnoidea •• Sangrado interno agudoSangrado interno agudo •• Diatesis plaquetaria conocida incluyendo,pero no limitada a: -recuento plaquetarioDiatesis plaquetaria conocida incluyendo,pero no limitada a: -recuento plaquetario >100.000/mm3-administratción heparina dentro 48 horas con elevado aPTT-uso>100.000/mm3-administratción heparina dentro 48 horas con elevado aPTT-uso reciente o corriente de anticoagulantes con un elevado TP mayor de 15 seg.reciente o corriente de anticoagulantes con un elevado TP mayor de 15 seg. ••Cirugía mayor o serio trauma dentro los 14 días previosCirugía mayor o serio trauma dentro los 14 días previos •• Historia de hemorragia gastrointestinal o urinaria dentro 21 díasHistoria de hemorragia gastrointestinal o urinaria dentro 21 días •• reciente punción arterial en sitios no compresibles o punción lumbarreciente punción arterial en sitios no compresibles o punción lumbar ••Hipertensión arterial descontrolada(> 185 mm HG o diastólica mayor que 110 mmHipertensión arterial descontrolada(> 185 mm HG o diastólica mayor que 110 mm HG) en mediciones repetidads en el momento de tto.HG) en mediciones repetidads en el momento de tto. •• Historia de hemorragia intracranealHistoria de hemorragia intracraneal ••Glucemia anormal(< 50 or > 400 mg/dL)Glucemia anormal(< 50 or > 400 mg/dL) •• Pos infarto miocardioPos infarto miocardio •• Convulsión en el inicio del strokeConvulsión en el inicio del stroke •• Malformación arteriovenosa o aneurisma conocida.Malformación arteriovenosa o aneurisma conocida.
  • 51.
    Inhibidor Tisular delInhibidorTisular del Plasminógeno:Plasminógeno: RTPA 0,9 mg/kg/ev, (dsMx 90 mg) 10% en 1-2 minutos, y 90% apasar en unahoradiluido en Solución Fisiológica. No AASni Heparinahastadespuésde24 hs Dietaabsoluta. Control con Tiempo deQuick, KPTT y fibrinógeno previo y posterior Efectos adversos: Hemorragia intracraneal: 0.6% con placebo y 6.4% con rtPA.
  • 52.
    NEUROPROTECCION (discutidoNEUROPROTECCION (discutido)) Nimodipina30mg c/8 hs por SNG (Ca** es Vasoconstrictorc y AumentalaAgregación plaquetaria) Evitarla Hipotensión Oxigenoterapia Citicolinaen goteo: 1000 mg/día Otrosen estudio pero sin evidenciade beneficio Rehabilitación Kinésica, fonoaudiologíay psicología
  • 53.
  • 54.
    1) Reconocer Stroke:Evaluación neurológica + Estabilización vía aérea y circulatoria ECG Laborat orio Rx Tórax TAC Cerebral Lesión Hiperdensa Lesión Hipodensa OXFORD AT CE Lacunar ABC Fibrinolít icos Aco Aag-
  • 55.
    PRONOSTICO Lacunares: Mortalidad: 10%al año, dependencia 20% CPA: “ 20% “ “ 30% CTA “ 60% “ “ 65% C Posterior: “ 20% “ “ 20% La Mortalidad general a los 30 días es de 10%, al año 25% y a los 5 años: 52%. PRONOSTICO LACI: Mortalidad: 10% al año, dependencia 20% PACI: “ 20% “ “ 30% TACI “ 60% “ “ 65% POCI: “ 20% “ “ 20% La Mortalidad general a los 30 días es de 10%, al año 25% y a los 5 años: 52%.
  • 56.
  • 57.
    AVE HEMORRAGICO “Cuadro causadopor rupt ur a vascular e irrupción de sangre en el parénquima cerebral, acompañado de hipert ensión endocraneana y por lo gener al
  • 58.
    El mecanismo desangrado vascular se produce por la HTA crónica que produce la ruptura de una pared previamente dañada por espasmos repetitivos y alteraciones MTB que facilitan la erosión, diapédesis, Vasodilatación y debilidad .
  • 59.
    AVE Hemorrágico Frecuencia15% Edades: hombres50-70años ( 16% antesdelos45) Mortalidad: 20%, aumentacon invasión ventricular
  • 60.
    Causas AVE hemorrágicoCausasAVE hemorrágico HTA, Alcoholismo, Tumores, HSA, MAV, CID, Trastornosfibrinolíticos, PTT, Coagulopatías, Trombopenias, Hemofilia, Afibrinogenemia, Mieloma Múltiple, Amiloidosis,Cocaína,AnfetaminasVasc ulitis, etc.
  • 61.
    Clasificación HemorragiaCerebral Iº GranhemorragiaClásica IIº HematomaIntraparenquimatoso 1) Profundo 60% 2) Superficial 20% 3) Cerebelo <15% 4) Tronco <5% IIIº HemorragiaSubaracnoidea 5-10 %
  • 62.
    Complicaciones cerebrales :Complicacionescerebrales : AVE Hemorrágico.AVE Hemorrágico.  Herniacerebral  Hidrocefalia  Convulsiones  Hipertensión endocraneana  Estado comay muerte Dr. Héctor Amico
  • 71.
    Tratamiento Hemorragia Cerebral ABC(Evitar hipotensión) Hiperventilación: PO2 a25-35 Manitol: 1-2 grs/kg/día Pentotal, Furosemida, etc. Fenitoina15-20 mg/kg/ cargay goteo en goteo EV. Luego 100 mg c/8 hs
  • 72.

Notas del editor