HISTOPLASMOSIS
DEFINICIÓN
Micosis profunda o sistémica causada por un hongo
dimórfico denominado Histoplasma capsulatum var.
capsulatum, que afecta el sistema reticuloendotelial. Por lo
regular se inicia a nivel pulmonar y después puede
diseminarse a diferentes órganos.
SINONIMIA
• Histoplasmosis capsulati
• Histoplasmosis Americana
• Enfermedad de Darling
• Reticuloendoteliosis
• Fiebre de las cavernas y minas
ETIOLOGÍA
La histoplasmosis capsulati o americana es producida por
un
hongo dimórfico denominado Histoplasma capsulatum
variedad capsulatum, clasificado dentro de la división
Ascomycetes, del orden Onygenales y se le conoce una
fase teleomórfica que se denomina Ajellomyces
capsulatus.
HISTOPLASMA CAPSULATUM
Fase micelial Fase parasitaria
EPIDEMIOLOGÍA
Se considera la micosis pulmonar más frecuente en el
mundo; es un padecimiento patógeno primario y en
pacientes inmunosuprimidos el hongo puede actuar como
oportunista.
DISTRIBUCIÓN GEOGRÁFICALa histoplasmosis es una infección casi cosmopolita; los
trabajos
de Ajello indican que en más de 60 países se ha reportado
la enfermedad. H. capsulatum se desarrolla sobre todo en
climas tropicales, por ejemplo Centro y Sudamérica,
sobresaliendo
Panamá, Nicaragua, Honduras, Venezuela, Colombia,
Brasil, las Antillas y Argentina; en este último país se calcula
que en la cuenca del Río de La Plata hay hasta siete millones
de infectados y que prácticamente 30-40% de la población
presenta cuadros asintomáticos.
EN MÉXICO
La zona endémica más importante
está en el sureste, en Campeche, Tabasco y Chiapas.
Otros focos igual de importantes son los de los estados de
Veracruz, Guerrero, Morelos, San Luis Potosí, Nuevo León
y Tamaulipas, aunque se piensa que existen otras áreas
endémicas, que no han sido investigadas
epidemiológicamente.
FUENTE DE INFECCIÓN Y
HABITAT DEL AGENTE
ETIOLÓGICO
Histoplasma capsulatum puede habitar en el suelo y detritus
vegetal, pero en especial se ha aislado del guano proveniente
de murciélagos, aves domésticas como gallinas, pavos, gansos,
o bien de aves migratorias, en especial de estorninos
(Sturnus vulgaris), por lo que es posible encontrar el hongo
en granjas y bosques.
Chiroptera
Sturnus vulgaris
VÍA DE ENTRADA
Es a través del aparato respiratorio, por la aspiración de
las esporas o conidios; en contadas ocasiones
penetran por vía cutánea, dando un complejo cutáneo
cancroide, pero tiende a la involución espontánea y
sólo se mantiene en pacientes muy inmunosuprimidos.
EDAD Y SEXO
La histoplasmosis se presenta casi en cualquier
edad, aunque la mayor frecuencia está en la
tercera y cuarta décadas de la vida, se presenta
más en los hombres que en las mujeres, en una
relación de 4:1.
OCUPACIÓN
Los grupos de más alto riesgo son:
Mineros
Espeleólogos
Ingenieros topógrafos
Guaneros
Agricultores
Avicultores
Arqueólogos
Viajeros de ecoturismo
RAZA
La raza blanca es más susceptible hasta en 25% con
respecto a la negra, ya que se han detectado algunos
antígenos de histocompatibilidad como HLA-B7, HLA-
B22.
FACTORES DE PREDISPOSICIÓN
Son importantes sobre todo para la forma progresiva y
crónica: la corticoterapia, leucemias, linfomas y
alcoholismo crónico; la asociación con la infección del
VIH/SIDA es importante y se puede presentar en áreas
endémicas en porcentajes mayores a 10%.
FRECUENCIA
En Estados Unidos, se han calculado alrededor de 40 millones de
infectados a través de los años, con un número de 200 000 por
año, mientras que en Argentina (Ribera del Río de La Plata), se
calculan 7 millones, ya que en México no se tiene un número
aproximado.
PATOGENIA
Histoplasma capsulatum por lo regular penetra por vía respiratoria;
las esporas o conidios son transportados con facilidad y pueden
atravesar bronquiolos llegando al alvéolo.
Los factores de virulencia de H. capsulatum son: su capacidad de
cambio morfológico y bioquímico (dimorfismo), en particular
porque el microorganismo se hace intracelular estricto, lo que
complica la respuesta de los sistemas de defensa inmunitarios.
ASPECTOS CLÍNICOS
HISTOPLASMOSIS PRIMARIA
LEVE
Simula a una gripe banal, por lo que el ataque al estado
general es mínimo; la sintomatología está caracterizada
por fiebre moderada e irregular, cefalea, mialgias, astenia
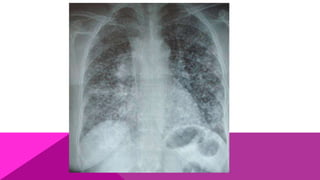
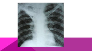
y adinamia. A los rayos X en muy contadas ocasiones se
observan lesiones micronodulares.
MODERADA
La sintomatología aumenta, simulando una
neumonía atípica; el cuadro respiratorio es más
evidente, con presencia de tos, estertores y
discreta disnea; el ataque al estado general viene
acompañado por fiebre moderada y constante,
cefalea, dolores musculares y óseos. A los rayos X
se observa aumento de volumen de los ganglios
hiliares.
GRAVE
Es bastante parecida a los casos de tuberculosis;
se presenta como un cuadro muy agudo,
caracterizado por abundante tos con expectoración
mucoide, hemoptisis, marcada disnea; estertores
crepitantes o subcrepitantes, sibilancias y ataque
al estado general, caracterizado por astenia,
cefalea intensa, fiebre aguda y diaforesis; algunos
casos pueden presentar diarrea, que junto con la
alta temperatura se confunde fácilmente con fiebre
tifoidea.
HISTOPLASMOSIS PROGRESIVA
HISTOPLASMOSIS DISEMINADA AGUDA
Es una entidad rara en México; sin embargo, es común en América
del Norte y del Sur. Se presenta a cualquier edad, de preferencia en
pacientes inmunosuprimidos por corticoterapia o por procesos
linfoproliferativos; es también frecuente en niños menores de 10
años, en los cuales es importante porque el curso del padecimiento
es casi siempre mortal a corto plazo.
Dicha fase clínica está constituida por un cuadro respiratorio febril,
con tos constante y poca expectoración, sufren gran pérdida de
peso, anemia y leucopenia.
HISTOPLASMOSIS DISEMINADA CRÓNICA
Es un padecimiento frecuente en América del Sur
(Argentina y Brasil); se presenta sobre todo en
adultos de 40 a 60 años; la sintomatología y datos
clínicos son vagos; hay astenia y pérdida de peso,
acompañados de un cuadro respiratorio crónico
con tos, escasa expectoración y sin hemoptisis,
por lo que se confunde con facilidad con
tuberculosis crónica. En casos graves se pueden
presentar granulomas solitarios, en particular
involucrando piel, mucosas o ganglios linfáticos.
La topografía clínica más habitual es laringe,
faringe, boca, tabique nasal y genitales.
DIAGNÓSTICO DE LABORATORIO
EXAMEN EN DIRECTO
Es poco útil, debido a que las levaduras de H.
capsulatum, var. capsulatum, son muy pequeñas e
intracelulares y por lo general pasan inadvertidas.
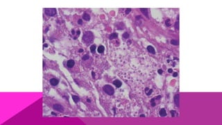
TINCIONES HISTOLÓGICAS
Son técnicas rápidas y más efectivas que el
examen directo; se pueden realizar a partir del
esputo, exudado de lesiones cutáneas, líquido
cefalorraquídeo o de fragmentos de biopsia.
PAS
Giemsa
Grocott
Gomori
levaduras intracelulares
en general dentro de polimorfonucleares y macrófagos;
en ocasiones pueden estar libres; miden entre 1 y 2 μm de diámetro;
en muy contados casos se pueden presentar al doble o
triple de tamaño (4-6 μm). Por lo regular las levaduras tienen
un halo refringente que simula una cápsula, pero que corresponde
al límite del citoplasma celular.
CULTIVO
Medio Sabouraud
Micobiotic
Se incuba a 28°C, y en un tiempo promedio de una a dos semanas.
Se pueden obtener dos tipos de colonias: A y B. La primera
corresponde a una cepa blanca (A de albina) y la segunda
es café-pardo (B del inglés brown); ambas tienen un aspecto
velloso, limitado, surcado y seco; en México predomina este
último tipo de cepa.
• NOTA: deben trabajarse en campanas
de bioseguridad nivel III
MORFOLOGÍA MICROSCOPICA
FASE MICELIAL
La micromorfología de las dos varía un poco; sin embargo,
las cepas B presentan más los típicos macroconidios
espiculados, también descritos como digitiformes,
tuberculados o equinulados, con pared gruesa, similares a
“rondanas de reloj” o “corcholatas abiertas”, además de
microconidios sésiles o adheridos a la hifa, también
llamados microaleurioconidios (frecuentes en cepas A).
MORFOLOGÍA COLONIAL
FASE LEVADURIFORME
CULTIVO EN MEDIOS GELOSA SANGRE O BHI A 37°C
Colonias: pequeñas, blanco-amarillentas, limitadas y bastante
similares a las de Staphylococcus epidermidis.
PRUEBAS INMUNOLÓGICAS
IDR a la histoplasmina
Sólo tiene valor de primo-contacto y nos demuestra hipersensibilidad retardada. Se aplica
intradérmicamente una décima del antígeno (dilución 1:100) y se lee a las 48 horas; es
positiva cuando hay más de 5 mm de induración y eritema.
Serología
Se puede practicar cualquiera de las técnicas para valoración de precipitinas y
aglutininas.
Antígeno circulante.
Es de gran utilidad la detección del antígeno de H.
capsulatum; las técnicas que mejores resultados dan son:
inmunoenzimáticas y radioinmunoenzimáticas; estas
últimas tienen mayor sensibilidad en orina (95%) que en
suero (86%).
Pruebas de biología molecular
En la actualidad se han incorporado pruebas de reacción en
cadena de polimerasa (PCR).

Histoplasmosis

  • 1.
  • 2.
    DEFINICIÓN Micosis profunda osistémica causada por un hongo dimórfico denominado Histoplasma capsulatum var. capsulatum, que afecta el sistema reticuloendotelial. Por lo regular se inicia a nivel pulmonar y después puede diseminarse a diferentes órganos.
  • 3.
    SINONIMIA • Histoplasmosis capsulati •Histoplasmosis Americana • Enfermedad de Darling • Reticuloendoteliosis • Fiebre de las cavernas y minas
  • 4.
    ETIOLOGÍA La histoplasmosis capsulatio americana es producida por un hongo dimórfico denominado Histoplasma capsulatum variedad capsulatum, clasificado dentro de la división Ascomycetes, del orden Onygenales y se le conoce una fase teleomórfica que se denomina Ajellomyces capsulatus.
  • 5.
  • 6.
    EPIDEMIOLOGÍA Se considera lamicosis pulmonar más frecuente en el mundo; es un padecimiento patógeno primario y en pacientes inmunosuprimidos el hongo puede actuar como oportunista.
  • 7.
    DISTRIBUCIÓN GEOGRÁFICALa histoplasmosises una infección casi cosmopolita; los trabajos de Ajello indican que en más de 60 países se ha reportado la enfermedad. H. capsulatum se desarrolla sobre todo en climas tropicales, por ejemplo Centro y Sudamérica, sobresaliendo Panamá, Nicaragua, Honduras, Venezuela, Colombia, Brasil, las Antillas y Argentina; en este último país se calcula que en la cuenca del Río de La Plata hay hasta siete millones de infectados y que prácticamente 30-40% de la población presenta cuadros asintomáticos.
  • 9.
    EN MÉXICO La zonaendémica más importante está en el sureste, en Campeche, Tabasco y Chiapas. Otros focos igual de importantes son los de los estados de Veracruz, Guerrero, Morelos, San Luis Potosí, Nuevo León y Tamaulipas, aunque se piensa que existen otras áreas endémicas, que no han sido investigadas epidemiológicamente.
  • 10.
    FUENTE DE INFECCIÓNY HABITAT DEL AGENTE ETIOLÓGICO Histoplasma capsulatum puede habitar en el suelo y detritus vegetal, pero en especial se ha aislado del guano proveniente de murciélagos, aves domésticas como gallinas, pavos, gansos, o bien de aves migratorias, en especial de estorninos (Sturnus vulgaris), por lo que es posible encontrar el hongo en granjas y bosques.
  • 11.
  • 12.
  • 13.
    VÍA DE ENTRADA Esa través del aparato respiratorio, por la aspiración de las esporas o conidios; en contadas ocasiones penetran por vía cutánea, dando un complejo cutáneo cancroide, pero tiende a la involución espontánea y sólo se mantiene en pacientes muy inmunosuprimidos.
  • 14.
    EDAD Y SEXO Lahistoplasmosis se presenta casi en cualquier edad, aunque la mayor frecuencia está en la tercera y cuarta décadas de la vida, se presenta más en los hombres que en las mujeres, en una relación de 4:1.
  • 15.
    OCUPACIÓN Los grupos demás alto riesgo son: Mineros Espeleólogos Ingenieros topógrafos Guaneros Agricultores Avicultores Arqueólogos Viajeros de ecoturismo
  • 16.
    RAZA La raza blancaes más susceptible hasta en 25% con respecto a la negra, ya que se han detectado algunos antígenos de histocompatibilidad como HLA-B7, HLA- B22.
  • 17.
    FACTORES DE PREDISPOSICIÓN Sonimportantes sobre todo para la forma progresiva y crónica: la corticoterapia, leucemias, linfomas y alcoholismo crónico; la asociación con la infección del VIH/SIDA es importante y se puede presentar en áreas endémicas en porcentajes mayores a 10%.
  • 18.
    FRECUENCIA En Estados Unidos,se han calculado alrededor de 40 millones de infectados a través de los años, con un número de 200 000 por año, mientras que en Argentina (Ribera del Río de La Plata), se calculan 7 millones, ya que en México no se tiene un número aproximado.
  • 19.
    PATOGENIA Histoplasma capsulatum porlo regular penetra por vía respiratoria; las esporas o conidios son transportados con facilidad y pueden atravesar bronquiolos llegando al alvéolo. Los factores de virulencia de H. capsulatum son: su capacidad de cambio morfológico y bioquímico (dimorfismo), en particular porque el microorganismo se hace intracelular estricto, lo que complica la respuesta de los sistemas de defensa inmunitarios.
  • 21.
  • 22.
    HISTOPLASMOSIS PRIMARIA LEVE Simula auna gripe banal, por lo que el ataque al estado general es mínimo; la sintomatología está caracterizada por fiebre moderada e irregular, cefalea, mialgias, astenia y adinamia. A los rayos X en muy contadas ocasiones se observan lesiones micronodulares.
  • 23.
    MODERADA La sintomatología aumenta,simulando una neumonía atípica; el cuadro respiratorio es más evidente, con presencia de tos, estertores y discreta disnea; el ataque al estado general viene acompañado por fiebre moderada y constante, cefalea, dolores musculares y óseos. A los rayos X se observa aumento de volumen de los ganglios hiliares.
  • 25.
    GRAVE Es bastante parecidaa los casos de tuberculosis; se presenta como un cuadro muy agudo, caracterizado por abundante tos con expectoración mucoide, hemoptisis, marcada disnea; estertores crepitantes o subcrepitantes, sibilancias y ataque al estado general, caracterizado por astenia, cefalea intensa, fiebre aguda y diaforesis; algunos casos pueden presentar diarrea, que junto con la alta temperatura se confunde fácilmente con fiebre tifoidea.
  • 27.
    HISTOPLASMOSIS PROGRESIVA HISTOPLASMOSIS DISEMINADAAGUDA Es una entidad rara en México; sin embargo, es común en América del Norte y del Sur. Se presenta a cualquier edad, de preferencia en pacientes inmunosuprimidos por corticoterapia o por procesos linfoproliferativos; es también frecuente en niños menores de 10 años, en los cuales es importante porque el curso del padecimiento es casi siempre mortal a corto plazo. Dicha fase clínica está constituida por un cuadro respiratorio febril, con tos constante y poca expectoración, sufren gran pérdida de peso, anemia y leucopenia.
  • 28.
    HISTOPLASMOSIS DISEMINADA CRÓNICA Esun padecimiento frecuente en América del Sur (Argentina y Brasil); se presenta sobre todo en adultos de 40 a 60 años; la sintomatología y datos clínicos son vagos; hay astenia y pérdida de peso, acompañados de un cuadro respiratorio crónico con tos, escasa expectoración y sin hemoptisis, por lo que se confunde con facilidad con tuberculosis crónica. En casos graves se pueden presentar granulomas solitarios, en particular involucrando piel, mucosas o ganglios linfáticos. La topografía clínica más habitual es laringe, faringe, boca, tabique nasal y genitales.
  • 30.
    DIAGNÓSTICO DE LABORATORIO EXAMENEN DIRECTO Es poco útil, debido a que las levaduras de H. capsulatum, var. capsulatum, son muy pequeñas e intracelulares y por lo general pasan inadvertidas.
  • 31.
    TINCIONES HISTOLÓGICAS Son técnicasrápidas y más efectivas que el examen directo; se pueden realizar a partir del esputo, exudado de lesiones cutáneas, líquido cefalorraquídeo o de fragmentos de biopsia. PAS Giemsa Grocott Gomori
  • 32.
    levaduras intracelulares en generaldentro de polimorfonucleares y macrófagos; en ocasiones pueden estar libres; miden entre 1 y 2 μm de diámetro; en muy contados casos se pueden presentar al doble o triple de tamaño (4-6 μm). Por lo regular las levaduras tienen un halo refringente que simula una cápsula, pero que corresponde al límite del citoplasma celular.
  • 35.
    CULTIVO Medio Sabouraud Micobiotic Se incubaa 28°C, y en un tiempo promedio de una a dos semanas. Se pueden obtener dos tipos de colonias: A y B. La primera corresponde a una cepa blanca (A de albina) y la segunda es café-pardo (B del inglés brown); ambas tienen un aspecto velloso, limitado, surcado y seco; en México predomina este último tipo de cepa.
  • 36.
    • NOTA: debentrabajarse en campanas de bioseguridad nivel III
  • 37.
    MORFOLOGÍA MICROSCOPICA FASE MICELIAL Lamicromorfología de las dos varía un poco; sin embargo, las cepas B presentan más los típicos macroconidios espiculados, también descritos como digitiformes, tuberculados o equinulados, con pared gruesa, similares a “rondanas de reloj” o “corcholatas abiertas”, además de microconidios sésiles o adheridos a la hifa, también llamados microaleurioconidios (frecuentes en cepas A).
  • 39.
    MORFOLOGÍA COLONIAL FASE LEVADURIFORME CULTIVOEN MEDIOS GELOSA SANGRE O BHI A 37°C Colonias: pequeñas, blanco-amarillentas, limitadas y bastante similares a las de Staphylococcus epidermidis.
  • 40.
    PRUEBAS INMUNOLÓGICAS IDR ala histoplasmina Sólo tiene valor de primo-contacto y nos demuestra hipersensibilidad retardada. Se aplica intradérmicamente una décima del antígeno (dilución 1:100) y se lee a las 48 horas; es positiva cuando hay más de 5 mm de induración y eritema. Serología Se puede practicar cualquiera de las técnicas para valoración de precipitinas y aglutininas.
  • 41.
    Antígeno circulante. Es degran utilidad la detección del antígeno de H. capsulatum; las técnicas que mejores resultados dan son: inmunoenzimáticas y radioinmunoenzimáticas; estas últimas tienen mayor sensibilidad en orina (95%) que en suero (86%). Pruebas de biología molecular En la actualidad se han incorporado pruebas de reacción en cadena de polimerasa (PCR).