Universidad Autónoma de Santo DomingoUniversidad Autónoma de Santo Domingo
Recinto SantiagoRecinto Santiago
Tema:Tema:
‘‘Histoplasmosis y Coccidioidomicosis’Histoplasmosis y Coccidioidomicosis’
Presentado a la profesora:Presentado a la profesora:
María Pineda Gomera.María Pineda Gomera.
Presentado por:Presentado por:
Mahomis Vásquez De la Rosa DD-1747Mahomis Vásquez De la Rosa DD-1747
Judith Acevedo Medina CE-1870Judith Acevedo Medina CE-1870
Bélgica María Abreu DC-2338Bélgica María Abreu DC-2338
HISTOPLASMOSISHISTOPLASMOSIS
CoccidioidomicosisCoccidioidomicosis
HISTOPLASMOSIS.HISTOPLASMOSIS.
LaLa histoplasmosishistoplasmosis es una micosis sistémica,es una micosis sistémica,
conocida como la Enfermedad de lasconocida como la Enfermedad de las
Cavernas, caracterizada por lesionesCavernas, caracterizada por lesiones
necrogranulomatosas, que afecta a carnívoros,necrogranulomatosas, que afecta a carnívoros,
equinos y humanos por la infección con unaequinos y humanos por la infección con una
de las tres subespecies del hongo dimórfico dede las tres subespecies del hongo dimórfico de
Histoplasma capsulatumHistoplasma capsulatum. No se trata de. No se trata de
una enfermedad contagiosa que se puedauna enfermedad contagiosa que se pueda
transmitir entre personas o animales, sino quetransmitir entre personas o animales, sino que
surge tras la inhalación de micronidios delsurge tras la inhalación de micronidios del
ambiente.ambiente.
Su manifestación en personas inmunoSu manifestación en personas inmuno
competentes suele ser asintomática. En loscompetentes suele ser asintomática. En los
inmunodeficientes, sobre todo, puede cursarinmunodeficientes, sobre todo, puede cursar
con cuadros parecidos a los decon cuadros parecidos a los de
una neumonía con fiebre, distrés respiratorio, yuna neumonía con fiebre, distrés respiratorio, y
en un 20% aproximadamente de los pacientesen un 20% aproximadamente de los pacientes
se llega a producir un shock séptico, fallose llega a producir un shock séptico, fallo
renal y coagulopatía, que conduce a la muerte.renal y coagulopatía, que conduce a la muerte.
HISTORIAHISTORIA
La histoplasmosis, por lo general, es poco conocida.La histoplasmosis, por lo general, es poco conocida.
En 1906, Darling la definió por vez primera, en laEn 1906, Darling la definió por vez primera, en la
zona del Canal de Panamá, y en aquella época lazona del Canal de Panamá, y en aquella época la
tomó como un protozoario; visualizó:tomó como un protozoario; visualizó: un parásito deun parásito de
forma casi redonda, rodeado de un halo sin tintura,forma casi redonda, rodeado de un halo sin tintura,
con un grosor alrededor de 0.16 del diámetro delcon un grosor alrededor de 0.16 del diámetro del
parásitoparásito. Como poseía un gran parecido con. Como poseía un gran parecido con
Leishmania, pensó que tal vez se trataba de unLeishmania, pensó que tal vez se trataba de un
protozoo y que el halo era una cápsula, de tal formaprotozoo y que el halo era una cápsula, de tal forma
que lo llamóque lo llamó Histoplasma CapsulatumHistoplasma Capsulatum. Para mala. Para mala
fortuna de Darling, ni era un protozoo, ni existía talfortuna de Darling, ni era un protozoo, ni existía tal
cápsula; pero el nombre se mantiene hasta nuestroscápsula; pero el nombre se mantiene hasta nuestros
días.días.
EpidemiologíaEpidemiología
La histoplasmosis tiene una amplia distribución geográfica,La histoplasmosis tiene una amplia distribución geográfica,
estando presente en América, África y Asia.estando presente en América, África y Asia. H. c. var.H. c. var.
capsulatumcapsulatum afecta a carnívoros y se extiende en Américaafecta a carnívoros y se extiende en América
desde el sur de Canadá a las regiones centrales de Argentina,desde el sur de Canadá a las regiones centrales de Argentina,
siendo enzoótico en los valles de lossiendo enzoótico en los valles de los
ríosríos MisisipiMisisipi, Misuri y Ohio, en Norteamérica, y la cuenca, Misuri y Ohio, en Norteamérica, y la cuenca
del Río de la Plata en América del Sur;del Río de la Plata en América del Sur; H. c. var.H. c. var.
farciminosumfarciminosum afecta a equinos en África, Orienteafecta a equinos en África, Oriente
Medio y Asia; yMedio y Asia; y H. c. var duboisiiH. c. var duboisii es un patógeno humanoes un patógeno humano
estricto en África Ecuatorial.estricto en África Ecuatorial.
Se aísla de la naturaleza en las zonas templadas y tropicalesSe aísla de la naturaleza en las zonas templadas y tropicales
húmedas, cuyos suelos son ácidos, ricos en nitrógeno, fosfatoshúmedas, cuyos suelos son ácidos, ricos en nitrógeno, fosfatos
ee hidratos de carbonohidratos de carbono. Los histoplasmas se relacionan. Los histoplasmas se relacionan
especialmente con el guano de las aves y de las cuevasespecialmente con el guano de las aves y de las cuevas
habitadas por murciélagos.habitadas por murciélagos.
EtiologíaEtiología
El agente causal de la histoplasmosis es el hongo dimórficoEl agente causal de la histoplasmosis es el hongo dimórfico
térmico, Histoplasma capsulatum. En casi todas las áreastérmico, Histoplasma capsulatum. En casi todas las áreas
endémicas de la enfermedad, América, Asia,... elendémicas de la enfermedad, América, Asia,... el
microorganismo causal esmicroorganismo causal es HistoplasmaHistoplasma
capsulatumcapsulatum var.var. capsulatumcapsulatum; en África también se encuentra el; en África también se encuentra el
agenteagente Histoplasma capsulatum varHistoplasma capsulatum var duboisiiduboisii..
Los micelios constituyen las forma infectante natural, y tienenLos micelios constituyen las forma infectante natural, y tienen
un aspecto característico en forma de micronidios yun aspecto característico en forma de micronidios y
macronidios. Los micronidios se pueden observar claramentemacronidios. Los micronidios se pueden observar claramente
al microscopio como microconidios sesiles (o hifas cortasal microscopio como microconidios sesiles (o hifas cortas
imposibles de diferenciar), los cuales son lisos, ovoides,imposibles de diferenciar), los cuales son lisos, ovoides,
piriformes o en forma de clava, sin septos, de paredes finas ypiriformes o en forma de clava, sin septos, de paredes finas y
delgadas, cuyas medidas pueden llegar a oscilar entre los 1 - 4delgadas, cuyas medidas pueden llegar a oscilar entre los 1 - 4
a 2 - 6 µm.a 2 - 6 µm.
Los macroconidios usualmente son de forma esféricaLos macroconidios usualmente son de forma esférica
(alrededor de los 8 a 14 µm de diámetro), con paredes(alrededor de los 8 a 14 µm de diámetro), con paredes
de gran grosor, no poseen septos, y tienen un aspectode gran grosor, no poseen septos, y tienen un aspecto
tuberculado.tuberculado.
Los micronidios tienen un tamaño suficientementeLos micronidios tienen un tamaño suficientemente
pequeño para llegar a los bronquiolos terminalespequeño para llegar a los bronquiolos terminales
donde se transforman en levaduras, que son las que sedonde se transforman en levaduras, que son las que se
identificarán dentro de los macrófagos. Los micelios,identificarán dentro de los macrófagos. Los micelios,
proliferan mucho mejor a temperatura ambiente,proliferan mucho mejor a temperatura ambiente,
mientras que las levaduras lo hacen a 37ºC, esta es lamientras que las levaduras lo hacen a 37ºC, esta es la
razón, por la que al entrar en el organismo el hongorazón, por la que al entrar en el organismo el hongo
se transforma a su forma levaduriforme.se transforma a su forma levaduriforme.
PatogeniaPatogenia
La infección porLa infección por H. c. capsulatumH. c. capsulatum yy H. c.H. c.
duboisiiduboisii acostumbra ser inhalatoria, yacostumbra ser inhalatoria, y
los microconidios son capturadas por loslos microconidios son capturadas por los
macrófagos pulmonares, en los que germinanmacrófagos pulmonares, en los que germinan
dandodando blastosporasblastosporas. Generalmente son. Generalmente son
destruidas en mayor o menor plazo, y ladestruidas en mayor o menor plazo, y la
infección es abortiva o asintomática, pero eninfección es abortiva o asintomática, pero en
casos de inmunidad celular deficiente, se liberancasos de inmunidad celular deficiente, se liberan
del fagolisosoma pasando a citoplasma, dondedel fagolisosoma pasando a citoplasma, donde
se multiplican libremente, y se reparten por todose multiplican libremente, y se reparten por todo
el organismo.el organismo.
La infección estimula la multiplicación de los macrófagosLa infección estimula la multiplicación de los macrófagos
infectados, dando lugar a proliferaciones con necrosis einfectados, dando lugar a proliferaciones con necrosis e
infiltración de tipo granulomatoso, muy frecuentes en pulmón,infiltración de tipo granulomatoso, muy frecuentes en pulmón,
pero posibles también en ganglios, piel, digestivo (en perros)pero posibles también en ganglios, piel, digestivo (en perros)
y sistema nervioso central.y sistema nervioso central.
La enfermedad generalizada es mortal.La enfermedad generalizada es mortal.
La infección porLa infección por H. c. farciminosumH. c. farciminosum en cambio, suele seren cambio, suele ser
percutánea, por abrasiones cutáneas en las extremidades,percutánea, por abrasiones cutáneas en las extremidades,
aunque también ocurre por vía inhalatoria o conjuntival. Siaunque también ocurre por vía inhalatoria o conjuntival. Si
tiene éxito, los macrófagos llevan la infección a los gangliostiene éxito, los macrófagos llevan la infección a los ganglios
locales, desde donde se difunde por continuidad y contigüidadlocales, desde donde se difunde por continuidad y contigüidad
produciendo una linfadenitis con linfangitis progresiva,produciendo una linfadenitis con linfangitis progresiva,
granulomatosa y habitualmente ulcerativa. La infección,granulomatosa y habitualmente ulcerativa. La infección,
clínica o inaparente, produce siempre una fuerteclínica o inaparente, produce siempre una fuerte
sensibilización alérgica.sensibilización alérgica.
Cuadro ClínicoCuadro Clínico
 Los síntomas dependen del síndrome clínico subyacente:Los síntomas dependen del síndrome clínico subyacente:
 Histoplasmosis pulmonar asintomática agudaHistoplasmosis pulmonar asintomática aguda::
 no se presentan síntomas.no se presentan síntomas.
 Histoplasmosis pulmonar sintomática agudaHistoplasmosis pulmonar sintomática aguda::
 fiebrefiebre
 escalofríosescalofríos
 tostos
 dolor torácico al inspirardolor torácico al inspirar
 Histoplasmosis pulmonar crónicaHistoplasmosis pulmonar crónica::
 tostos
 dificultad respiratoriadificultad respiratoria
 dolor torácicodolor torácico
 sudoraciónsudoración
 fiebres que pueden ser similares a las de la tuberculosis pulmonar e incluir tos con sangrefiebres que pueden ser similares a las de la tuberculosis pulmonar e incluir tos con sangre
(hemoptisis)(hemoptisis)
 Histoplasmosis diseminadaHistoplasmosis diseminada::
 fiebresfiebres
 dolor de cabezadolor de cabeza
 rigidez en el cuellorigidez en el cuello
 lesiones cutáneaslesiones cutáneas
 Úlceras bucalesÚlceras bucales
 Otros síntomas del histoplasmaOtros síntomas del histoplasma::
 dolor articulardolor articular
 nódulos cutáneosnódulos cutáneos
 erupciones en la pielerupciones en la piel
DiagnósticoDiagnóstico
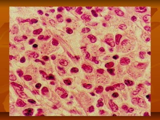
Consiste en el hallazgo del agente etiológico en lasConsiste en el hallazgo del agente etiológico en las
lesiones, mediante un estudio directo de las mismaslesiones, mediante un estudio directo de las mismas
con el fin de hallar las levaduras intracelularescon el fin de hallar las levaduras intracelulares
(dentro de células del sistema fagocítico(dentro de células del sistema fagocítico
mononuclear) en muestras de esputo, lavadomononuclear) en muestras de esputo, lavado
broncoalveolar o de líquido cefalorraquídeo en casosbroncoalveolar o de líquido cefalorraquídeo en casos
de infección en pacientes inmunocomprometidos.de infección en pacientes inmunocomprometidos.
Eventualmente puede realizarse inoculación animal.Eventualmente puede realizarse inoculación animal.
Las muestras analizadas dependerán de lasLas muestras analizadas dependerán de las
manifestaciones clínicas que presente el paciente.manifestaciones clínicas que presente el paciente.
Si la lesión es de piel o mucosa, se efectuará una tomaSi la lesión es de piel o mucosa, se efectuará una toma
de la lesión con bisturí estéril, extrayendo abundantede la lesión con bisturí estéril, extrayendo abundante
material. Si la lesión fuera costrosa, se deberámaterial. Si la lesión fuera costrosa, se deberá
descostrar la misma antes de realizar ladescostrar la misma antes de realizar la
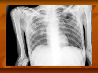
toma. Radiológicamente se observan infiltradostoma. Radiológicamente se observan infiltrados
pulmonares con retracción de lóbulos superiores,pulmonares con retracción de lóbulos superiores,
casquetes pleurales, cavidades, desviación traqueal,casquetes pleurales, cavidades, desviación traqueal,
nódulos calcificados.nódulos calcificados.
En el caso de que se sospeche histoplasmosis visceral,En el caso de que se sospeche histoplasmosis visceral,
el material a estudiar puede corresponder ael material a estudiar puede corresponder a
expectoración, biopsias de ganglios linfáticos,expectoración, biopsias de ganglios linfáticos,
lavados broncoalveolares, punción medular, punciónlavados broncoalveolares, punción medular, punción
hepática, etc.hepática, etc.
TratamientoTratamiento
Son usados medicamentos Antifúngicos para el tratamiento deSon usados medicamentos Antifúngicos para el tratamiento de
casos severos de histoplasmosis aguda y todos los casos decasos severos de histoplasmosis aguda y todos los casos de
histoplasmosis crónica y diseminada. El tratamiento típicohistoplasmosis crónica y diseminada. El tratamiento típico
para los casos severos de la enfermedad comprende elpara los casos severos de la enfermedad comprende el
tratamiento con anfotericina B, seguido por itraconazol por víatratamiento con anfotericina B, seguido por itraconazol por vía
oral. El tratamiento con itraconazol necesitara ser continuadooral. El tratamiento con itraconazol necesitara ser continuado
por al menos un año en casos severos.por al menos un año en casos severos.
En casos moderados, el itraconazol oral o ketoconazol sonEn casos moderados, el itraconazol oral o ketoconazol son
suficientes. La enfermedad asintomática usualmente nosuficientes. La enfermedad asintomática usualmente no
requiere tratamiento. La infección previa induce protecciónrequiere tratamiento. La infección previa induce protección
parcial contra los efectos de la enfermedad si ocurreparcial contra los efectos de la enfermedad si ocurre
reinfección.reinfección.
En equinos la forma linfangítica, más crónica, puede ayudar laEn equinos la forma linfangítica, más crónica, puede ayudar la
escisión quirúrgica y tratamiento i.v. con yoduros.escisión quirúrgica y tratamiento i.v. con yoduros.
prevenciónprevención
La prevención básica estriba en evitar en loLa prevención básica estriba en evitar en lo
posible la exposición, cosa no siempre factibleposible la exposición, cosa no siempre factible
en áreas enzoóticas, pero sí, al menos, en losen áreas enzoóticas, pero sí, al menos, en los
dormideros de pájaros y cuevas dedormideros de pájaros y cuevas de
murciélagos.murciélagos.
Coccidioidomicosis.Coccidioidomicosis.
LaLa coccidioidomicosiscoccidioidomicosis (también(también
llamadallamada Fiebre de San JoaquínFiebre de San Joaquín oo Fiebre delFiebre del
ValleValle) es una enfermedad producida en) es una enfermedad producida en
personas y animales por hongos dimórficos delpersonas y animales por hongos dimórficos del
génerogénero CoccidioidesCoccidioides. Se caracteriza por. Se caracteriza por
lesiones granulomatosas en pulmón conlesiones granulomatosas en pulmón con
posterior diseminación a tejido óseo, piel oposterior diseminación a tejido óseo, piel o
sistema nervioso central, aunque se tienensistema nervioso central, aunque se tienen
reportes de identificación en prácticamentereportes de identificación en prácticamente
cualquier órgano del cuerpo humano.cualquier órgano del cuerpo humano.
EtiologíaEtiología
Solo se han identificado dos especies hasta elSolo se han identificado dos especies hasta el
momento:momento: CoccidioidesCoccidioides
immitisimmitis yy Coccidioides posadasiiCoccidioides posadasii. Hasta el. Hasta el
momento no se conocen las fases sexuales delmomento no se conocen las fases sexuales del
génerogénero CoccidioidesCoccidioides. Se encuentran. Se encuentran
taxonómicamente relacionado altaxonómicamente relacionado al
génerogénero UncinocarpusUncinocarpus muy próximo amuy próximo a
U. reesiiU. reesii, de la Familia, de la Familia OnygenaceaeOnygenaceae,,
OrdenOrden OnygenalesOnygenales, División, División AscomycotaAscomycota..
CONT.CONT.
Su forma saprofitica miceliana crece en suelosSu forma saprofitica miceliana crece en suelos
semidesérticos ricos en sales y materia orgánica desemidesérticos ricos en sales y materia orgánica de
norte, centro y sur del continente americano. Elnorte, centro y sur del continente americano. El
micelio al madurar forma en células alternasmicelio al madurar forma en células alternas
artrosporas en forma de tonel, de 3 x 6 μm y paredartrosporas en forma de tonel, de 3 x 6 μm y pared
gruesa, que son las formas infectantes. El cultivo degruesa, que son las formas infectantes. El cultivo de
éstas o de las endosporas procedentes de materialéstas o de las endosporas procedentes de material
patológico en SDA a 24 °C, produce coloniaspatológico en SDA a 24 °C, produce colonias
micelianas, brillantes, grises y húmedas al principio,micelianas, brillantes, grises y húmedas al principio,
luego blancas y algodonosas o afieltradas o que alluego blancas y algodonosas o afieltradas o que al
madurar dan enormes cantidades de artrosporasmadurar dan enormes cantidades de artrosporas
infecciosas. A diferencia de otros dimórficos, noinfecciosas. A diferencia de otros dimórficos, no
presenta fase levaduriforme a 37 °C en Agar BHI-presenta fase levaduriforme a 37 °C en Agar BHI-
Sangre-Cisteína.Sangre-Cisteína.
EpidemiologíaEpidemiología
 Exclusivamente presente en el Hemisferio Occidental. EsExclusivamente presente en el Hemisferio Occidental. Es
característico de suelos zonas áridas y semiáridas.característico de suelos zonas áridas y semiáridas.CoccidoidesCoccidoides
immitisimmitis se encuentra distribuido exclusivamente en el Valle dese encuentra distribuido exclusivamente en el Valle de
San Joaquín en el sur de California ySan Joaquín en el sur de California y CoccidioidesCoccidioides
posadasiiposadasii en el resto de las áreas endémicas conocidas enen el resto de las áreas endémicas conocidas en
Arizona y Texas en Estados Unidos; en los estados de Sonora,Arizona y Texas en Estados Unidos; en los estados de Sonora,
Nuevo León, Coahuila y Baja California en México, y elNuevo León, Coahuila y Baja California en México, y el
Chaco Argentino, Brasil y Venezuela en Sudamérica. LosChaco Argentino, Brasil y Venezuela en Sudamérica. Los
suelos donde se desarrollan normalmente son alcalinos. Ensuelos donde se desarrollan normalmente son alcalinos. En
general, el hongo se encuentra en el suelo a 20-25 cm de lageneral, el hongo se encuentra en el suelo a 20-25 cm de la
superficie (muy frecuente en cuevas de roedores ysuperficie (muy frecuente en cuevas de roedores y
enterramientos indios donde aparentemente los residuosenterramientos indios donde aparentemente los residuos
nitrogenados existentes favorecen su desarrollo). Se requierenitrogenados existentes favorecen su desarrollo). Se requiere
una corta estación de lluvias para estimular el crecimiento deuna corta estación de lluvias para estimular el crecimiento de
la forma micelial.la forma micelial.
Cont.Cont.
El retorno a las condiciones de sequía y viento sonEl retorno a las condiciones de sequía y viento son
necesarios para que se produzca la amplianecesarios para que se produzca la amplia
diseminación de las artrosporas producidas.diseminación de las artrosporas producidas.
 El contagio se produce tras la inhalación de lasEl contagio se produce tras la inhalación de las
artrosporas.artrosporas.
 Son sensibles los mamíferos como el perro, elSon sensibles los mamíferos como el perro, el
caballo, primates y el hombre. Se tiene registro decaballo, primates y el hombre. Se tiene registro de
infección en reptiles.infección en reptiles.
 Aunque esta enfermedad no es contagiosa entre individuosAunque esta enfermedad no es contagiosa entre individuos
ni a través de vectores, su presentación suele serni a través de vectores, su presentación suele ser
esporádica, en ocasiones pueden producirse brotesesporádica, en ocasiones pueden producirse brotes
epidémicos en las zonas endémicas asociados a factoresepidémicos en las zonas endémicas asociados a factores
que favorezcan la diseminación de las artrosporas.que favorezcan la diseminación de las artrosporas.
Cont.Cont.
Esta diseminación puede relacionarse con factoresEsta diseminación puede relacionarse con factores
naturales (tormentas de polvo, temblores de tierra,naturales (tormentas de polvo, temblores de tierra,
fallas de terreno) o antropogénicos (construcciones,fallas de terreno) o antropogénicos (construcciones,
excavaciones arqueológicas, prácticas militares). Enexcavaciones arqueológicas, prácticas militares). En
este sentido fueron muy característicos los broteseste sentido fueron muy característicos los brotes
epidémicos acaecidos durante II Guerra mundialepidémicos acaecidos durante II Guerra mundial
como consecuencia de la instalación de campos decomo consecuencia de la instalación de campos de
vuelo militar en el sur de Estados Unidos (incidenciavuelo militar en el sur de Estados Unidos (incidencia
entre el 8-25% de los militares siendo la principalentre el 8-25% de los militares siendo la principal
causa de hospitalización), y los producidos en elcausa de hospitalización), y los producidos en el
terremoto de San Francisco.terremoto de San Francisco.
Patogenia.Patogenia.
La inhalación y deposición en el alvéolo pulmonar deLa inhalación y deposición en el alvéolo pulmonar de
las artrosporas es seguida de su ingestión por loslas artrosporas es seguida de su ingestión por los
macrófagos, cuya actividad fagocitaria resisten. Unamacrófagos, cuya actividad fagocitaria resisten. Una
vez en el seno del tejido pulmonar, la artrospora sevez en el seno del tejido pulmonar, la artrospora se
hidrata y aumenta isotrópicamente de tamañohidrata y aumenta isotrópicamente de tamaño
mientras sufre una replicación nuclear masiva hastamientras sufre una replicación nuclear masiva hasta
formar un cenocito de unos 60 μm, seguida deformar un cenocito de unos 60 μm, seguida de
endosporulación por segmentación centrípeta. Laendosporulación por segmentación centrípeta. La
esférula gigante madura contiene entre 200-300esférula gigante madura contiene entre 200-300
endosporas que comienzan a crecer isotrópicamente yendosporas que comienzan a crecer isotrópicamente y
que se liberan al estallar la esférula madre.que se liberan al estallar la esférula madre.
Cont.Cont.
Las endosporas pueden formar nuevasLas endosporas pueden formar nuevas
esférulas y colonizar otros tejidos poresférulas y colonizar otros tejidos por
contigüidad, vía linfohemática, o transportadascontigüidad, vía linfohemática, o transportadas
por fagocitos, pero muy a menudo la infecciónpor fagocitos, pero muy a menudo la infección
inicial activa los macrófagos y la liberación deinicial activa los macrófagos y la liberación de
las endosporas desencadena una respuestalas endosporas desencadena una respuesta
inflamatoria intensa y eficaz, que aborta lainflamatoria intensa y eficaz, que aborta la
infección en este punto, dejando unainfección en este punto, dejando una
inmunidad permanente.inmunidad permanente.
Cont.Cont.
 Si la inmunidad celular no es eficaz, la evolución esSi la inmunidad celular no es eficaz, la evolución es
granulomatosa, más proliferativa en animales y másgranulomatosa, más proliferativa en animales y más
exudativa en humanos. En algunos casos puedeexudativa en humanos. En algunos casos puede
quedar latente la infección, mientras en otros laquedar latente la infección, mientras en otros la
enfermedad progresa, extendiéndose por pulmón y aenfermedad progresa, extendiéndose por pulmón y a
otros tejidos, especialmente óseo, cutáneo yotros tejidos, especialmente óseo, cutáneo y
subcutáneo, y meníngeo en humanos. Puede habersubcutáneo, y meníngeo en humanos. Puede haber
transmisión transplacentaria en hembras gestantes. Latransmisión transplacentaria en hembras gestantes. La
infección siempre es sensibilizante; las formasinfección siempre es sensibilizante; las formas
progresivas pueden ser más o menos agudas, peroprogresivas pueden ser más o menos agudas, pero
tienden a ser mortales.tienden a ser mortales.
ClínicaClínica
 La infección inicial puede pasar desapercibidaLa infección inicial puede pasar desapercibida
o cursar con ligeros síntomas gripales. Laso cursar con ligeros síntomas gripales. Las
formas progresivas cursan con tos y disneaformas progresivas cursan con tos y disnea
persistente, debilidad, depresión, fiebrepersistente, debilidad, depresión, fiebre
intermitente y pérdida de peso. Después seintermitente y pérdida de peso. Después se
puede producir osteomielitis con cojeras,puede producir osteomielitis con cojeras,
abscesos y aborto en hembras gestantes.abscesos y aborto en hembras gestantes.
Agudas o crónicas, las formas progresivas noAgudas o crónicas, las formas progresivas no
tratadas son mortales.tratadas son mortales.
Lesiones.Lesiones.
 Las lesiones macroscópicas son de tamaño variable yLas lesiones macroscópicas son de tamaño variable y
aspecto tuberculoide, bastante sólidas de textura yaspecto tuberculoide, bastante sólidas de textura y
con cierta tendencia a la supuración. Las lesionescon cierta tendencia a la supuración. Las lesiones
óseas tienden a situarse en epífisis y unionesóseas tienden a situarse en epífisis y uniones
osteocondrales, y suelen desarrollar tractos fistulosososteocondrales, y suelen desarrollar tractos fistulosos
hacia el exterior.hacia el exterior.
 Microscópicamente son granulomas extensos, ricosMicroscópicamente son granulomas extensos, ricos
en macrófagos, polimorfonucleares y linfocitos, y conen macrófagos, polimorfonucleares y linfocitos, y con
poca tendencia a la fibrosis ni la caseificación,poca tendencia a la fibrosis ni la caseificación,
envolviendo esférulas en diversos estadios deenvolviendo esférulas en diversos estadios de
madurez y endosporas libres o fagocitadas, tambiénmadurez y endosporas libres o fagocitadas, también
frecuentes en los exudados.frecuentes en los exudados.
DiagnósticoDiagnóstico
 Clínico-epidemiológicoClínico-epidemiológico: bastante característico,: bastante característico,
teniendo en cuenta la procedencia o estancia en zonasteniendo en cuenta la procedencia o estancia en zonas
enzoóticas y el cuadro respiratorio progresivo.enzoóticas y el cuadro respiratorio progresivo.
 LesionalLesional: patognomónico a escala microscópica, no: patognomónico a escala microscópica, no
es tan característico el macroscópico, que se puedees tan característico el macroscópico, que se puede
confundir con blastomicosis e histoplasmosis.confundir con blastomicosis e histoplasmosis.
 MicológicoMicológico: la presencia de esférulas y endosporas en: la presencia de esférulas y endosporas en
extensiones y frotis de exudados aclarados con KOHextensiones y frotis de exudados aclarados con KOH
es difícil de confundir con otras micosis, aunque noes difícil de confundir con otras micosis, aunque no
tanto con prototecosis.tanto con prototecosis.
Cont.Cont.
La falta de crecimiento en Agar BHI-Sangre-CisteínaLa falta de crecimiento en Agar BHI-Sangre-Cisteína
a 37º es también característica; en cambio el cultivoa 37º es también característica; en cambio el cultivo
en SDA a 25 °C no debe intentarse sin grandesen SDA a 25 °C no debe intentarse sin grandes
medidas de seguridad ni por personal inexperto, dadamedidas de seguridad ni por personal inexperto, dada
la gran producción y peligrosidad de las artrosporas.la gran producción y peligrosidad de las artrosporas.
Todos los cultivos deben manejarse con la máximaTodos los cultivos deben manejarse con la máxima
precaución y los confirmados ser esterilizados cuantoprecaución y los confirmados ser esterilizados cuanto
antes. Las artrosporas de pared gruesa en forma deantes. Las artrosporas de pared gruesa en forma de
tonel, alternando con células colapsadas aún en eltonel, alternando con células colapsadas aún en el
micelio, o con faldillas en los extremos procedentesmicelio, o con faldillas en los extremos procedentes
de las mismas, son prácticamente diagnósticas.de las mismas, son prácticamente diagnósticas.
Existen sondas comerciales de ADN para hibridación,Existen sondas comerciales de ADN para hibridación,
utilizables directamente sobre material patológicoutilizables directamente sobre material patológico..
Cont.Cont.
InmunológicoInmunológico: los extractos acuosos de cultivos: los extractos acuosos de cultivos
sospechosos se pueden identificar en IDGA consospechosos se pueden identificar en IDGA con
sueros positivos, y la coccidioidina (extracto acuososueros positivos, y la coccidioidina (extracto acuoso
titulado y estandarizado), se puede usar como tantotitulado y estandarizado), se puede usar como tanto
como alérgeno (positivo en todos los expuestos, y dacomo alérgeno (positivo en todos los expuestos, y da
reacciones cruzadas) en pruebas cutáneas como parareacciones cruzadas) en pruebas cutáneas como para
antígeno en IDGA frente a sueros problema. Tambiénantígeno en IDGA frente a sueros problema. También
se utilizan técnicas serológicas de fijación dese utilizan técnicas serológicas de fijación de
complemento y aglutinación con látex; todas ellascomplemento y aglutinación con látex; todas ellas
pueden dar reacciones cruzadas con histoplasmosis ypueden dar reacciones cruzadas con histoplasmosis y
blastomicosis.blastomicosis.
LuchaLucha
 Ante el elevado riesgo de infección en áreasAnte el elevado riesgo de infección en áreas
endémicas y la peligrosidad de ésta, cada vezendémicas y la peligrosidad de ésta, cada vez
hay mayor demanda de vacunas eficaces (lahay mayor demanda de vacunas eficaces (la
infección subclínica inmuniza). El diagnósticoinfección subclínica inmuniza). El diagnóstico
precoz y tratamiento con imidazoles sistémicosprecoz y tratamiento con imidazoles sistémicos
o anfotericina B pueden ser eficaces, peroo anfotericina B pueden ser eficaces, pero
deben ser muy prolongados. En personas esdeben ser muy prolongados. En personas es
posible la prevención pasiva en trabajosposible la prevención pasiva en trabajos
arriesgados mediante mascarillas.arriesgados mediante mascarillas.
Aspectos zoonósicosAspectos zoonósicos
 El hombre es sensible a la coccidiodomicosis, yEl hombre es sensible a la coccidiodomicosis, y
aunque cualquiera está expuesto a la infecciónaunque cualquiera está expuesto a la infección
inhalatoria en las zonas endémicas, dada la frecuenciainhalatoria en las zonas endémicas, dada la frecuencia
con que se encuentra en el polvo, tiene un ciertocon que se encuentra en el polvo, tiene un cierto
carácter profesional, afectando sobre todo acarácter profesional, afectando sobre todo a
cavadores, agricultores, ganaderos y arqueólogos.cavadores, agricultores, ganaderos y arqueólogos.
Mongoloides y negros son más sensibles que losMongoloides y negros son más sensibles que los
blancos. Es un proceso emergente muy peligrosoblancos. Es un proceso emergente muy peligroso
entre inmunodeprimidos. También están expuestosentre inmunodeprimidos. También están expuestos
médicos, veterinarios y trabajadores de laboratorio.médicos, veterinarios y trabajadores de laboratorio.
De hecho se ha desistido de utilizar CoccidioidesDe hecho se ha desistido de utilizar Coccidioides
immitis como arma biológica por ser demasiadoimmitis como arma biológica por ser demasiado
peligroso para los manipuladores, pues las artrosporaspeligroso para los manipuladores, pues las artrosporas
pueden cruzar filtros de 2 μm.pueden cruzar filtros de 2 μm.

Histoplasmosis

  • 1.
    Universidad Autónoma deSanto DomingoUniversidad Autónoma de Santo Domingo Recinto SantiagoRecinto Santiago Tema:Tema: ‘‘Histoplasmosis y Coccidioidomicosis’Histoplasmosis y Coccidioidomicosis’ Presentado a la profesora:Presentado a la profesora: María Pineda Gomera.María Pineda Gomera. Presentado por:Presentado por: Mahomis Vásquez De la Rosa DD-1747Mahomis Vásquez De la Rosa DD-1747 Judith Acevedo Medina CE-1870Judith Acevedo Medina CE-1870 Bélgica María Abreu DC-2338Bélgica María Abreu DC-2338
  • 2.
  • 3.
    HISTOPLASMOSIS.HISTOPLASMOSIS. LaLa histoplasmosishistoplasmosis esuna micosis sistémica,es una micosis sistémica, conocida como la Enfermedad de lasconocida como la Enfermedad de las Cavernas, caracterizada por lesionesCavernas, caracterizada por lesiones necrogranulomatosas, que afecta a carnívoros,necrogranulomatosas, que afecta a carnívoros, equinos y humanos por la infección con unaequinos y humanos por la infección con una de las tres subespecies del hongo dimórfico dede las tres subespecies del hongo dimórfico de Histoplasma capsulatumHistoplasma capsulatum. No se trata de. No se trata de una enfermedad contagiosa que se puedauna enfermedad contagiosa que se pueda transmitir entre personas o animales, sino quetransmitir entre personas o animales, sino que surge tras la inhalación de micronidios delsurge tras la inhalación de micronidios del ambiente.ambiente.
  • 5.
    Su manifestación enpersonas inmunoSu manifestación en personas inmuno competentes suele ser asintomática. En loscompetentes suele ser asintomática. En los inmunodeficientes, sobre todo, puede cursarinmunodeficientes, sobre todo, puede cursar con cuadros parecidos a los decon cuadros parecidos a los de una neumonía con fiebre, distrés respiratorio, yuna neumonía con fiebre, distrés respiratorio, y en un 20% aproximadamente de los pacientesen un 20% aproximadamente de los pacientes se llega a producir un shock séptico, fallose llega a producir un shock séptico, fallo renal y coagulopatía, que conduce a la muerte.renal y coagulopatía, que conduce a la muerte.
  • 6.
    HISTORIAHISTORIA La histoplasmosis, porlo general, es poco conocida.La histoplasmosis, por lo general, es poco conocida. En 1906, Darling la definió por vez primera, en laEn 1906, Darling la definió por vez primera, en la zona del Canal de Panamá, y en aquella época lazona del Canal de Panamá, y en aquella época la tomó como un protozoario; visualizó:tomó como un protozoario; visualizó: un parásito deun parásito de forma casi redonda, rodeado de un halo sin tintura,forma casi redonda, rodeado de un halo sin tintura, con un grosor alrededor de 0.16 del diámetro delcon un grosor alrededor de 0.16 del diámetro del parásitoparásito. Como poseía un gran parecido con. Como poseía un gran parecido con Leishmania, pensó que tal vez se trataba de unLeishmania, pensó que tal vez se trataba de un protozoo y que el halo era una cápsula, de tal formaprotozoo y que el halo era una cápsula, de tal forma que lo llamóque lo llamó Histoplasma CapsulatumHistoplasma Capsulatum. Para mala. Para mala fortuna de Darling, ni era un protozoo, ni existía talfortuna de Darling, ni era un protozoo, ni existía tal cápsula; pero el nombre se mantiene hasta nuestroscápsula; pero el nombre se mantiene hasta nuestros días.días.
  • 8.
    EpidemiologíaEpidemiología La histoplasmosis tieneuna amplia distribución geográfica,La histoplasmosis tiene una amplia distribución geográfica, estando presente en América, África y Asia.estando presente en América, África y Asia. H. c. var.H. c. var. capsulatumcapsulatum afecta a carnívoros y se extiende en Américaafecta a carnívoros y se extiende en América desde el sur de Canadá a las regiones centrales de Argentina,desde el sur de Canadá a las regiones centrales de Argentina, siendo enzoótico en los valles de lossiendo enzoótico en los valles de los ríosríos MisisipiMisisipi, Misuri y Ohio, en Norteamérica, y la cuenca, Misuri y Ohio, en Norteamérica, y la cuenca del Río de la Plata en América del Sur;del Río de la Plata en América del Sur; H. c. var.H. c. var. farciminosumfarciminosum afecta a equinos en África, Orienteafecta a equinos en África, Oriente Medio y Asia; yMedio y Asia; y H. c. var duboisiiH. c. var duboisii es un patógeno humanoes un patógeno humano estricto en África Ecuatorial.estricto en África Ecuatorial. Se aísla de la naturaleza en las zonas templadas y tropicalesSe aísla de la naturaleza en las zonas templadas y tropicales húmedas, cuyos suelos son ácidos, ricos en nitrógeno, fosfatoshúmedas, cuyos suelos son ácidos, ricos en nitrógeno, fosfatos ee hidratos de carbonohidratos de carbono. Los histoplasmas se relacionan. Los histoplasmas se relacionan especialmente con el guano de las aves y de las cuevasespecialmente con el guano de las aves y de las cuevas habitadas por murciélagos.habitadas por murciélagos.
  • 10.
    EtiologíaEtiología El agente causalde la histoplasmosis es el hongo dimórficoEl agente causal de la histoplasmosis es el hongo dimórfico térmico, Histoplasma capsulatum. En casi todas las áreastérmico, Histoplasma capsulatum. En casi todas las áreas endémicas de la enfermedad, América, Asia,... elendémicas de la enfermedad, América, Asia,... el microorganismo causal esmicroorganismo causal es HistoplasmaHistoplasma capsulatumcapsulatum var.var. capsulatumcapsulatum; en África también se encuentra el; en África también se encuentra el agenteagente Histoplasma capsulatum varHistoplasma capsulatum var duboisiiduboisii.. Los micelios constituyen las forma infectante natural, y tienenLos micelios constituyen las forma infectante natural, y tienen un aspecto característico en forma de micronidios yun aspecto característico en forma de micronidios y macronidios. Los micronidios se pueden observar claramentemacronidios. Los micronidios se pueden observar claramente al microscopio como microconidios sesiles (o hifas cortasal microscopio como microconidios sesiles (o hifas cortas imposibles de diferenciar), los cuales son lisos, ovoides,imposibles de diferenciar), los cuales son lisos, ovoides, piriformes o en forma de clava, sin septos, de paredes finas ypiriformes o en forma de clava, sin septos, de paredes finas y delgadas, cuyas medidas pueden llegar a oscilar entre los 1 - 4delgadas, cuyas medidas pueden llegar a oscilar entre los 1 - 4 a 2 - 6 µm.a 2 - 6 µm.
  • 12.
    Los macroconidios usualmenteson de forma esféricaLos macroconidios usualmente son de forma esférica (alrededor de los 8 a 14 µm de diámetro), con paredes(alrededor de los 8 a 14 µm de diámetro), con paredes de gran grosor, no poseen septos, y tienen un aspectode gran grosor, no poseen septos, y tienen un aspecto tuberculado.tuberculado. Los micronidios tienen un tamaño suficientementeLos micronidios tienen un tamaño suficientemente pequeño para llegar a los bronquiolos terminalespequeño para llegar a los bronquiolos terminales donde se transforman en levaduras, que son las que sedonde se transforman en levaduras, que son las que se identificarán dentro de los macrófagos. Los micelios,identificarán dentro de los macrófagos. Los micelios, proliferan mucho mejor a temperatura ambiente,proliferan mucho mejor a temperatura ambiente, mientras que las levaduras lo hacen a 37ºC, esta es lamientras que las levaduras lo hacen a 37ºC, esta es la razón, por la que al entrar en el organismo el hongorazón, por la que al entrar en el organismo el hongo se transforma a su forma levaduriforme.se transforma a su forma levaduriforme.
  • 13.
    PatogeniaPatogenia La infección porLainfección por H. c. capsulatumH. c. capsulatum yy H. c.H. c. duboisiiduboisii acostumbra ser inhalatoria, yacostumbra ser inhalatoria, y los microconidios son capturadas por loslos microconidios son capturadas por los macrófagos pulmonares, en los que germinanmacrófagos pulmonares, en los que germinan dandodando blastosporasblastosporas. Generalmente son. Generalmente son destruidas en mayor o menor plazo, y ladestruidas en mayor o menor plazo, y la infección es abortiva o asintomática, pero eninfección es abortiva o asintomática, pero en casos de inmunidad celular deficiente, se liberancasos de inmunidad celular deficiente, se liberan del fagolisosoma pasando a citoplasma, dondedel fagolisosoma pasando a citoplasma, donde se multiplican libremente, y se reparten por todose multiplican libremente, y se reparten por todo el organismo.el organismo.
  • 15.
    La infección estimulala multiplicación de los macrófagosLa infección estimula la multiplicación de los macrófagos infectados, dando lugar a proliferaciones con necrosis einfectados, dando lugar a proliferaciones con necrosis e infiltración de tipo granulomatoso, muy frecuentes en pulmón,infiltración de tipo granulomatoso, muy frecuentes en pulmón, pero posibles también en ganglios, piel, digestivo (en perros)pero posibles también en ganglios, piel, digestivo (en perros) y sistema nervioso central.y sistema nervioso central. La enfermedad generalizada es mortal.La enfermedad generalizada es mortal. La infección porLa infección por H. c. farciminosumH. c. farciminosum en cambio, suele seren cambio, suele ser percutánea, por abrasiones cutáneas en las extremidades,percutánea, por abrasiones cutáneas en las extremidades, aunque también ocurre por vía inhalatoria o conjuntival. Siaunque también ocurre por vía inhalatoria o conjuntival. Si tiene éxito, los macrófagos llevan la infección a los gangliostiene éxito, los macrófagos llevan la infección a los ganglios locales, desde donde se difunde por continuidad y contigüidadlocales, desde donde se difunde por continuidad y contigüidad produciendo una linfadenitis con linfangitis progresiva,produciendo una linfadenitis con linfangitis progresiva, granulomatosa y habitualmente ulcerativa. La infección,granulomatosa y habitualmente ulcerativa. La infección, clínica o inaparente, produce siempre una fuerteclínica o inaparente, produce siempre una fuerte sensibilización alérgica.sensibilización alérgica.
  • 17.
    Cuadro ClínicoCuadro Clínico Los síntomas dependen del síndrome clínico subyacente:Los síntomas dependen del síndrome clínico subyacente:  Histoplasmosis pulmonar asintomática agudaHistoplasmosis pulmonar asintomática aguda::  no se presentan síntomas.no se presentan síntomas.  Histoplasmosis pulmonar sintomática agudaHistoplasmosis pulmonar sintomática aguda::  fiebrefiebre  escalofríosescalofríos  tostos  dolor torácico al inspirardolor torácico al inspirar  Histoplasmosis pulmonar crónicaHistoplasmosis pulmonar crónica::  tostos  dificultad respiratoriadificultad respiratoria  dolor torácicodolor torácico  sudoraciónsudoración  fiebres que pueden ser similares a las de la tuberculosis pulmonar e incluir tos con sangrefiebres que pueden ser similares a las de la tuberculosis pulmonar e incluir tos con sangre (hemoptisis)(hemoptisis)  Histoplasmosis diseminadaHistoplasmosis diseminada::  fiebresfiebres  dolor de cabezadolor de cabeza  rigidez en el cuellorigidez en el cuello  lesiones cutáneaslesiones cutáneas  Úlceras bucalesÚlceras bucales  Otros síntomas del histoplasmaOtros síntomas del histoplasma::  dolor articulardolor articular  nódulos cutáneosnódulos cutáneos  erupciones en la pielerupciones en la piel
  • 19.
    DiagnósticoDiagnóstico Consiste en elhallazgo del agente etiológico en lasConsiste en el hallazgo del agente etiológico en las lesiones, mediante un estudio directo de las mismaslesiones, mediante un estudio directo de las mismas con el fin de hallar las levaduras intracelularescon el fin de hallar las levaduras intracelulares (dentro de células del sistema fagocítico(dentro de células del sistema fagocítico mononuclear) en muestras de esputo, lavadomononuclear) en muestras de esputo, lavado broncoalveolar o de líquido cefalorraquídeo en casosbroncoalveolar o de líquido cefalorraquídeo en casos de infección en pacientes inmunocomprometidos.de infección en pacientes inmunocomprometidos. Eventualmente puede realizarse inoculación animal.Eventualmente puede realizarse inoculación animal. Las muestras analizadas dependerán de lasLas muestras analizadas dependerán de las manifestaciones clínicas que presente el paciente.manifestaciones clínicas que presente el paciente.
  • 20.
    Si la lesiónes de piel o mucosa, se efectuará una tomaSi la lesión es de piel o mucosa, se efectuará una toma de la lesión con bisturí estéril, extrayendo abundantede la lesión con bisturí estéril, extrayendo abundante material. Si la lesión fuera costrosa, se deberámaterial. Si la lesión fuera costrosa, se deberá descostrar la misma antes de realizar ladescostrar la misma antes de realizar la toma. Radiológicamente se observan infiltradostoma. Radiológicamente se observan infiltrados pulmonares con retracción de lóbulos superiores,pulmonares con retracción de lóbulos superiores, casquetes pleurales, cavidades, desviación traqueal,casquetes pleurales, cavidades, desviación traqueal, nódulos calcificados.nódulos calcificados. En el caso de que se sospeche histoplasmosis visceral,En el caso de que se sospeche histoplasmosis visceral, el material a estudiar puede corresponder ael material a estudiar puede corresponder a expectoración, biopsias de ganglios linfáticos,expectoración, biopsias de ganglios linfáticos, lavados broncoalveolares, punción medular, punciónlavados broncoalveolares, punción medular, punción hepática, etc.hepática, etc.
  • 21.
    TratamientoTratamiento Son usados medicamentosAntifúngicos para el tratamiento deSon usados medicamentos Antifúngicos para el tratamiento de casos severos de histoplasmosis aguda y todos los casos decasos severos de histoplasmosis aguda y todos los casos de histoplasmosis crónica y diseminada. El tratamiento típicohistoplasmosis crónica y diseminada. El tratamiento típico para los casos severos de la enfermedad comprende elpara los casos severos de la enfermedad comprende el tratamiento con anfotericina B, seguido por itraconazol por víatratamiento con anfotericina B, seguido por itraconazol por vía oral. El tratamiento con itraconazol necesitara ser continuadooral. El tratamiento con itraconazol necesitara ser continuado por al menos un año en casos severos.por al menos un año en casos severos. En casos moderados, el itraconazol oral o ketoconazol sonEn casos moderados, el itraconazol oral o ketoconazol son suficientes. La enfermedad asintomática usualmente nosuficientes. La enfermedad asintomática usualmente no requiere tratamiento. La infección previa induce protecciónrequiere tratamiento. La infección previa induce protección parcial contra los efectos de la enfermedad si ocurreparcial contra los efectos de la enfermedad si ocurre reinfección.reinfección. En equinos la forma linfangítica, más crónica, puede ayudar laEn equinos la forma linfangítica, más crónica, puede ayudar la escisión quirúrgica y tratamiento i.v. con yoduros.escisión quirúrgica y tratamiento i.v. con yoduros.
  • 22.
    prevenciónprevención La prevención básicaestriba en evitar en loLa prevención básica estriba en evitar en lo posible la exposición, cosa no siempre factibleposible la exposición, cosa no siempre factible en áreas enzoóticas, pero sí, al menos, en losen áreas enzoóticas, pero sí, al menos, en los dormideros de pájaros y cuevas dedormideros de pájaros y cuevas de murciélagos.murciélagos.
  • 23.
    Coccidioidomicosis.Coccidioidomicosis. LaLa coccidioidomicosiscoccidioidomicosis (también(también llamadallamadaFiebre de San JoaquínFiebre de San Joaquín oo Fiebre delFiebre del ValleValle) es una enfermedad producida en) es una enfermedad producida en personas y animales por hongos dimórficos delpersonas y animales por hongos dimórficos del génerogénero CoccidioidesCoccidioides. Se caracteriza por. Se caracteriza por lesiones granulomatosas en pulmón conlesiones granulomatosas en pulmón con posterior diseminación a tejido óseo, piel oposterior diseminación a tejido óseo, piel o sistema nervioso central, aunque se tienensistema nervioso central, aunque se tienen reportes de identificación en prácticamentereportes de identificación en prácticamente cualquier órgano del cuerpo humano.cualquier órgano del cuerpo humano.
  • 25.
    EtiologíaEtiología Solo se hanidentificado dos especies hasta elSolo se han identificado dos especies hasta el momento:momento: CoccidioidesCoccidioides immitisimmitis yy Coccidioides posadasiiCoccidioides posadasii. Hasta el. Hasta el momento no se conocen las fases sexuales delmomento no se conocen las fases sexuales del génerogénero CoccidioidesCoccidioides. Se encuentran. Se encuentran taxonómicamente relacionado altaxonómicamente relacionado al génerogénero UncinocarpusUncinocarpus muy próximo amuy próximo a U. reesiiU. reesii, de la Familia, de la Familia OnygenaceaeOnygenaceae,, OrdenOrden OnygenalesOnygenales, División, División AscomycotaAscomycota..
  • 26.
    CONT.CONT. Su forma saprofiticamiceliana crece en suelosSu forma saprofitica miceliana crece en suelos semidesérticos ricos en sales y materia orgánica desemidesérticos ricos en sales y materia orgánica de norte, centro y sur del continente americano. Elnorte, centro y sur del continente americano. El micelio al madurar forma en células alternasmicelio al madurar forma en células alternas artrosporas en forma de tonel, de 3 x 6 μm y paredartrosporas en forma de tonel, de 3 x 6 μm y pared gruesa, que son las formas infectantes. El cultivo degruesa, que son las formas infectantes. El cultivo de éstas o de las endosporas procedentes de materialéstas o de las endosporas procedentes de material patológico en SDA a 24 °C, produce coloniaspatológico en SDA a 24 °C, produce colonias micelianas, brillantes, grises y húmedas al principio,micelianas, brillantes, grises y húmedas al principio, luego blancas y algodonosas o afieltradas o que alluego blancas y algodonosas o afieltradas o que al madurar dan enormes cantidades de artrosporasmadurar dan enormes cantidades de artrosporas infecciosas. A diferencia de otros dimórficos, noinfecciosas. A diferencia de otros dimórficos, no presenta fase levaduriforme a 37 °C en Agar BHI-presenta fase levaduriforme a 37 °C en Agar BHI- Sangre-Cisteína.Sangre-Cisteína.
  • 28.
    EpidemiologíaEpidemiología  Exclusivamente presenteen el Hemisferio Occidental. EsExclusivamente presente en el Hemisferio Occidental. Es característico de suelos zonas áridas y semiáridas.característico de suelos zonas áridas y semiáridas.CoccidoidesCoccidoides immitisimmitis se encuentra distribuido exclusivamente en el Valle dese encuentra distribuido exclusivamente en el Valle de San Joaquín en el sur de California ySan Joaquín en el sur de California y CoccidioidesCoccidioides posadasiiposadasii en el resto de las áreas endémicas conocidas enen el resto de las áreas endémicas conocidas en Arizona y Texas en Estados Unidos; en los estados de Sonora,Arizona y Texas en Estados Unidos; en los estados de Sonora, Nuevo León, Coahuila y Baja California en México, y elNuevo León, Coahuila y Baja California en México, y el Chaco Argentino, Brasil y Venezuela en Sudamérica. LosChaco Argentino, Brasil y Venezuela en Sudamérica. Los suelos donde se desarrollan normalmente son alcalinos. Ensuelos donde se desarrollan normalmente son alcalinos. En general, el hongo se encuentra en el suelo a 20-25 cm de lageneral, el hongo se encuentra en el suelo a 20-25 cm de la superficie (muy frecuente en cuevas de roedores ysuperficie (muy frecuente en cuevas de roedores y enterramientos indios donde aparentemente los residuosenterramientos indios donde aparentemente los residuos nitrogenados existentes favorecen su desarrollo). Se requierenitrogenados existentes favorecen su desarrollo). Se requiere una corta estación de lluvias para estimular el crecimiento deuna corta estación de lluvias para estimular el crecimiento de la forma micelial.la forma micelial.
  • 29.
    Cont.Cont. El retorno alas condiciones de sequía y viento sonEl retorno a las condiciones de sequía y viento son necesarios para que se produzca la amplianecesarios para que se produzca la amplia diseminación de las artrosporas producidas.diseminación de las artrosporas producidas.  El contagio se produce tras la inhalación de lasEl contagio se produce tras la inhalación de las artrosporas.artrosporas.  Son sensibles los mamíferos como el perro, elSon sensibles los mamíferos como el perro, el caballo, primates y el hombre. Se tiene registro decaballo, primates y el hombre. Se tiene registro de infección en reptiles.infección en reptiles.  Aunque esta enfermedad no es contagiosa entre individuosAunque esta enfermedad no es contagiosa entre individuos ni a través de vectores, su presentación suele serni a través de vectores, su presentación suele ser esporádica, en ocasiones pueden producirse brotesesporádica, en ocasiones pueden producirse brotes epidémicos en las zonas endémicas asociados a factoresepidémicos en las zonas endémicas asociados a factores que favorezcan la diseminación de las artrosporas.que favorezcan la diseminación de las artrosporas.
  • 31.
    Cont.Cont. Esta diseminación puederelacionarse con factoresEsta diseminación puede relacionarse con factores naturales (tormentas de polvo, temblores de tierra,naturales (tormentas de polvo, temblores de tierra, fallas de terreno) o antropogénicos (construcciones,fallas de terreno) o antropogénicos (construcciones, excavaciones arqueológicas, prácticas militares). Enexcavaciones arqueológicas, prácticas militares). En este sentido fueron muy característicos los broteseste sentido fueron muy característicos los brotes epidémicos acaecidos durante II Guerra mundialepidémicos acaecidos durante II Guerra mundial como consecuencia de la instalación de campos decomo consecuencia de la instalación de campos de vuelo militar en el sur de Estados Unidos (incidenciavuelo militar en el sur de Estados Unidos (incidencia entre el 8-25% de los militares siendo la principalentre el 8-25% de los militares siendo la principal causa de hospitalización), y los producidos en elcausa de hospitalización), y los producidos en el terremoto de San Francisco.terremoto de San Francisco.
  • 33.
    Patogenia.Patogenia. La inhalación ydeposición en el alvéolo pulmonar deLa inhalación y deposición en el alvéolo pulmonar de las artrosporas es seguida de su ingestión por loslas artrosporas es seguida de su ingestión por los macrófagos, cuya actividad fagocitaria resisten. Unamacrófagos, cuya actividad fagocitaria resisten. Una vez en el seno del tejido pulmonar, la artrospora sevez en el seno del tejido pulmonar, la artrospora se hidrata y aumenta isotrópicamente de tamañohidrata y aumenta isotrópicamente de tamaño mientras sufre una replicación nuclear masiva hastamientras sufre una replicación nuclear masiva hasta formar un cenocito de unos 60 μm, seguida deformar un cenocito de unos 60 μm, seguida de endosporulación por segmentación centrípeta. Laendosporulación por segmentación centrípeta. La esférula gigante madura contiene entre 200-300esférula gigante madura contiene entre 200-300 endosporas que comienzan a crecer isotrópicamente yendosporas que comienzan a crecer isotrópicamente y que se liberan al estallar la esférula madre.que se liberan al estallar la esférula madre.
  • 34.
    Cont.Cont. Las endosporas puedenformar nuevasLas endosporas pueden formar nuevas esférulas y colonizar otros tejidos poresférulas y colonizar otros tejidos por contigüidad, vía linfohemática, o transportadascontigüidad, vía linfohemática, o transportadas por fagocitos, pero muy a menudo la infecciónpor fagocitos, pero muy a menudo la infección inicial activa los macrófagos y la liberación deinicial activa los macrófagos y la liberación de las endosporas desencadena una respuestalas endosporas desencadena una respuesta inflamatoria intensa y eficaz, que aborta lainflamatoria intensa y eficaz, que aborta la infección en este punto, dejando unainfección en este punto, dejando una inmunidad permanente.inmunidad permanente.
  • 36.
    Cont.Cont.  Si lainmunidad celular no es eficaz, la evolución esSi la inmunidad celular no es eficaz, la evolución es granulomatosa, más proliferativa en animales y másgranulomatosa, más proliferativa en animales y más exudativa en humanos. En algunos casos puedeexudativa en humanos. En algunos casos puede quedar latente la infección, mientras en otros laquedar latente la infección, mientras en otros la enfermedad progresa, extendiéndose por pulmón y aenfermedad progresa, extendiéndose por pulmón y a otros tejidos, especialmente óseo, cutáneo yotros tejidos, especialmente óseo, cutáneo y subcutáneo, y meníngeo en humanos. Puede habersubcutáneo, y meníngeo en humanos. Puede haber transmisión transplacentaria en hembras gestantes. Latransmisión transplacentaria en hembras gestantes. La infección siempre es sensibilizante; las formasinfección siempre es sensibilizante; las formas progresivas pueden ser más o menos agudas, peroprogresivas pueden ser más o menos agudas, pero tienden a ser mortales.tienden a ser mortales.
  • 38.
    ClínicaClínica  La infeccióninicial puede pasar desapercibidaLa infección inicial puede pasar desapercibida o cursar con ligeros síntomas gripales. Laso cursar con ligeros síntomas gripales. Las formas progresivas cursan con tos y disneaformas progresivas cursan con tos y disnea persistente, debilidad, depresión, fiebrepersistente, debilidad, depresión, fiebre intermitente y pérdida de peso. Después seintermitente y pérdida de peso. Después se puede producir osteomielitis con cojeras,puede producir osteomielitis con cojeras, abscesos y aborto en hembras gestantes.abscesos y aborto en hembras gestantes. Agudas o crónicas, las formas progresivas noAgudas o crónicas, las formas progresivas no tratadas son mortales.tratadas son mortales.
  • 40.
    Lesiones.Lesiones.  Las lesionesmacroscópicas son de tamaño variable yLas lesiones macroscópicas son de tamaño variable y aspecto tuberculoide, bastante sólidas de textura yaspecto tuberculoide, bastante sólidas de textura y con cierta tendencia a la supuración. Las lesionescon cierta tendencia a la supuración. Las lesiones óseas tienden a situarse en epífisis y unionesóseas tienden a situarse en epífisis y uniones osteocondrales, y suelen desarrollar tractos fistulosososteocondrales, y suelen desarrollar tractos fistulosos hacia el exterior.hacia el exterior.  Microscópicamente son granulomas extensos, ricosMicroscópicamente son granulomas extensos, ricos en macrófagos, polimorfonucleares y linfocitos, y conen macrófagos, polimorfonucleares y linfocitos, y con poca tendencia a la fibrosis ni la caseificación,poca tendencia a la fibrosis ni la caseificación, envolviendo esférulas en diversos estadios deenvolviendo esférulas en diversos estadios de madurez y endosporas libres o fagocitadas, tambiénmadurez y endosporas libres o fagocitadas, también frecuentes en los exudados.frecuentes en los exudados.
  • 42.
    DiagnósticoDiagnóstico  Clínico-epidemiológicoClínico-epidemiológico: bastantecaracterístico,: bastante característico, teniendo en cuenta la procedencia o estancia en zonasteniendo en cuenta la procedencia o estancia en zonas enzoóticas y el cuadro respiratorio progresivo.enzoóticas y el cuadro respiratorio progresivo.  LesionalLesional: patognomónico a escala microscópica, no: patognomónico a escala microscópica, no es tan característico el macroscópico, que se puedees tan característico el macroscópico, que se puede confundir con blastomicosis e histoplasmosis.confundir con blastomicosis e histoplasmosis.  MicológicoMicológico: la presencia de esférulas y endosporas en: la presencia de esférulas y endosporas en extensiones y frotis de exudados aclarados con KOHextensiones y frotis de exudados aclarados con KOH es difícil de confundir con otras micosis, aunque noes difícil de confundir con otras micosis, aunque no tanto con prototecosis.tanto con prototecosis.
  • 43.
    Cont.Cont. La falta decrecimiento en Agar BHI-Sangre-CisteínaLa falta de crecimiento en Agar BHI-Sangre-Cisteína a 37º es también característica; en cambio el cultivoa 37º es también característica; en cambio el cultivo en SDA a 25 °C no debe intentarse sin grandesen SDA a 25 °C no debe intentarse sin grandes medidas de seguridad ni por personal inexperto, dadamedidas de seguridad ni por personal inexperto, dada la gran producción y peligrosidad de las artrosporas.la gran producción y peligrosidad de las artrosporas. Todos los cultivos deben manejarse con la máximaTodos los cultivos deben manejarse con la máxima precaución y los confirmados ser esterilizados cuantoprecaución y los confirmados ser esterilizados cuanto antes. Las artrosporas de pared gruesa en forma deantes. Las artrosporas de pared gruesa en forma de tonel, alternando con células colapsadas aún en eltonel, alternando con células colapsadas aún en el micelio, o con faldillas en los extremos procedentesmicelio, o con faldillas en los extremos procedentes de las mismas, son prácticamente diagnósticas.de las mismas, son prácticamente diagnósticas. Existen sondas comerciales de ADN para hibridación,Existen sondas comerciales de ADN para hibridación, utilizables directamente sobre material patológicoutilizables directamente sobre material patológico..
  • 44.
    Cont.Cont. InmunológicoInmunológico: los extractosacuosos de cultivos: los extractos acuosos de cultivos sospechosos se pueden identificar en IDGA consospechosos se pueden identificar en IDGA con sueros positivos, y la coccidioidina (extracto acuososueros positivos, y la coccidioidina (extracto acuoso titulado y estandarizado), se puede usar como tantotitulado y estandarizado), se puede usar como tanto como alérgeno (positivo en todos los expuestos, y dacomo alérgeno (positivo en todos los expuestos, y da reacciones cruzadas) en pruebas cutáneas como parareacciones cruzadas) en pruebas cutáneas como para antígeno en IDGA frente a sueros problema. Tambiénantígeno en IDGA frente a sueros problema. También se utilizan técnicas serológicas de fijación dese utilizan técnicas serológicas de fijación de complemento y aglutinación con látex; todas ellascomplemento y aglutinación con látex; todas ellas pueden dar reacciones cruzadas con histoplasmosis ypueden dar reacciones cruzadas con histoplasmosis y blastomicosis.blastomicosis.
  • 45.
    LuchaLucha  Ante elelevado riesgo de infección en áreasAnte el elevado riesgo de infección en áreas endémicas y la peligrosidad de ésta, cada vezendémicas y la peligrosidad de ésta, cada vez hay mayor demanda de vacunas eficaces (lahay mayor demanda de vacunas eficaces (la infección subclínica inmuniza). El diagnósticoinfección subclínica inmuniza). El diagnóstico precoz y tratamiento con imidazoles sistémicosprecoz y tratamiento con imidazoles sistémicos o anfotericina B pueden ser eficaces, peroo anfotericina B pueden ser eficaces, pero deben ser muy prolongados. En personas esdeben ser muy prolongados. En personas es posible la prevención pasiva en trabajosposible la prevención pasiva en trabajos arriesgados mediante mascarillas.arriesgados mediante mascarillas.
  • 46.
    Aspectos zoonósicosAspectos zoonósicos El hombre es sensible a la coccidiodomicosis, yEl hombre es sensible a la coccidiodomicosis, y aunque cualquiera está expuesto a la infecciónaunque cualquiera está expuesto a la infección inhalatoria en las zonas endémicas, dada la frecuenciainhalatoria en las zonas endémicas, dada la frecuencia con que se encuentra en el polvo, tiene un ciertocon que se encuentra en el polvo, tiene un cierto carácter profesional, afectando sobre todo acarácter profesional, afectando sobre todo a cavadores, agricultores, ganaderos y arqueólogos.cavadores, agricultores, ganaderos y arqueólogos. Mongoloides y negros son más sensibles que losMongoloides y negros son más sensibles que los blancos. Es un proceso emergente muy peligrosoblancos. Es un proceso emergente muy peligroso entre inmunodeprimidos. También están expuestosentre inmunodeprimidos. También están expuestos médicos, veterinarios y trabajadores de laboratorio.médicos, veterinarios y trabajadores de laboratorio. De hecho se ha desistido de utilizar CoccidioidesDe hecho se ha desistido de utilizar Coccidioides immitis como arma biológica por ser demasiadoimmitis como arma biológica por ser demasiado peligroso para los manipuladores, pues las artrosporaspeligroso para los manipuladores, pues las artrosporas pueden cruzar filtros de 2 μm.pueden cruzar filtros de 2 μm.