ILEO BILIAR
I.M. JAIR LUILLI IRARICA GARCÍA
PUCALLPA – PERU
12 NOVIEMBRE 2016
UNIVERSIDAD NACIONAL DE UCAYALI
FACULTAD DE MEDICINA HUMANA
HOSPITAL REGIONAL DE PUCALLPA
DEPARTAMENTO DE CIRUGIA
CONTENIDO
EPIDEMIOLOGIA
ANATOMIA
CLINICA
FISIOPATOLOGIA
DEFINICION
DIAGNOSTICO
TRATAMIENTO ARTICULOS
EPIDEMIOLOGÍA
http://www.intramed.net/contenidover.asp?contenidoID=43973
Esta condición es
responsable de 1 a 4% de
todas las causas de
obstrucción intestinal
mecánica.
Es más frecuente en
ancianos y la mayoría de
las series
internacionales informa
un promedio de edad
entre los 65 Y 75 años
80-90% de los pacientes
presenta enfermedades
crónicas Concomitantes
(las enf cardiovasculares
y la diabetes mellitus )
Afecta principalmente al
sexo femenino, se
precede de un cuadro de
colecistitis aguda o
crónica (75% de los
casos)
El antecedente de la
enfermedad biliar está
presente sólo en 50%de
los casos
• Afecta principalmente al sexo femenino, con un
relación hombre:mujer que va de 1:3 a 1:6,
atribuyéndose a la mayor frecuencia en dicho
http://www.intramed.net/contenidover.asp?contenidoID=43973
ANATOMIA
Vesícula biliar y sistema biliar extrahepático Margrét Oddsdóttir, Thai H. Pham y
John G. Hunter Schwartz 9na edición.
DEFINICION
La obstrucción intestinal mecánica
secundaria al impacto intraluminal
de un lito; dicho se presenta como
una complicación de la colelitiasis
que termina fistulizando a tubo
digestivo
FISIOPATOLOGIA
El íleo biliar es
precedido por
un episodio de
colecistitis
Aguda.
Inflamación de la
vesícula y tejidos
adyacentes =
adherencias entre
estructuras.
Isquémia por (- ) del flujo
arterial, venoso y
linfático; además de la
presión ejercida por los
litos.
Erosión de las paredes y la
formación de fístula
colecistoentérica que permite el
paso de los litos hacia el
intestino
Chou JW, Chang HH, Kuan FL. Gallstone ileus: report of two cases and review of the literature.
World J Gastroenterol 2007; 13(8): 821-25.
MANIFESTACIONES CLINICAS
DISTENSION
ABDOMINAL
DOLOR
ABDOMINAL
INTERMITENTE
NAUSEAS Y
VÓMITOSC
Zubair, Z; Amir, M. Gall stone ileus: A serious complication of cholelithiasis in
an elderly. Professional Med J 2007; 14 (4): 697-700.
CONSTIPACIO
N
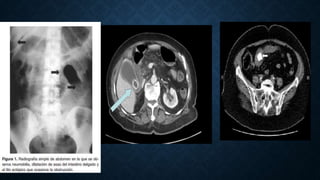
DIAGNÓSTICO
RX DE AMBDOMEN: 40 – 50%
. TRIADA DE RIGLER: Obstrucción intestinal parcial o completa, aire en la vía
biliar y visualización directa del cálculo
TRIADA DE MORDOR:
• Historia de litiasis vesicular
• Signos clínicos de colecistitis
• Obstrucción intestinal
TAC ABDOMINAL: 75-85%
. TRIADA DE RIGLER: Obstrucción intestinal parcial o completa, aire en la vía
biliar y visualización directa del cálculo
Chou JW, Chang HH, Kuan FL. Gallstone ileus: report of two cases and review of the literature.
World J Gastroenterol 2007; 13(8): 821-25.
• Lassandro y colaboradores compararon el valor clínico de la placa simple de
abdomen, la ecografía abdominal y el TAC abdominal en el diagnóstico de 27 casos
de íleo biliar, y encontraron que la triada de Rigler está presente en 14,81% en la
placa simple de abdomen, 11,11% en la ecografía abdominal, y en 77,78% en el TAC
abdominal
Lassandro R, Gagliardi N, Scuderi M. Gallstone ileus analysis of radiological fi ndings in
27 patients. Eur J Radiol 2004; 50: 23-9
TRATAMIENTO
MÉDICO:
 NPO
 HIDRATACION
 REPOSICION ELECTROLITICA
 PROTECTOR GASTRICO
 ANALGESICOS
 SNG
Langhorst J, Schumacher B. Deselaers T. Successful endoscopic therapy of a gastric outlet
obstruction due a gallstone Íleo biliar y síndrome de Bouveret. Lo mismo pero distinto 93
Descripción de dos casos y revisión de la literatura with intracorporeal laser lithotripsy: a case of
Bouveret’s syndrome. Gastrintestinal Endosc 2000; 51: 209-13.
QUIRÚRGICO
• Quirúrgicamente existe controversia en cuanto a la
resolución en uno o dos tiempos, es decir, realizar
enterolitotomía, colecistectomía y reparación de la fístula
(mortalidad de 16,9%), o solamente resolver la oclusión
intestinal mediante enterolitotomía (mortalidad de 11, 7% y
recurrencia de 4,7%) y posteriormente, en un segundo
tiempo, considerar la reparación de la fístula existente, si
ésta lo amerita.
Hirosawa-Oishi T, Rosas-Salas CV, Kimura-Fujikami Y, Velasco-Ospina C. Obstrucción intestinal
secundaria a íleo biliar. Rev Gastroenterol Mex 2002; 67: 34-37.
ENTEROLITOTOMIA
Dumonceau J, Delhaye M, Deviere J. Endoscopic treatment of gastric outlet obstruction caused by gallstone
(Bouveret’s syndrome) aft er extracorporeal shock wave lithotripsy. Endoscopy 1997; 29: 319-21.
CIRUGÍA BILIAR
• Colecistectomía
• Resección de fístula biliodigestiva
Dumonceau J, Delhaye M, Deviere J. Endoscopic treatment of gastric outlet obstruction caused by gallstone
(Bouveret’s syndrome) aft er extracorporeal shock wave lithotripsy. Endoscopy 1997; 29: 319-21.
V
GRACIAS

ILEO BILIAR

  • 1.
    ILEO BILIAR I.M. JAIRLUILLI IRARICA GARCÍA PUCALLPA – PERU 12 NOVIEMBRE 2016 UNIVERSIDAD NACIONAL DE UCAYALI FACULTAD DE MEDICINA HUMANA HOSPITAL REGIONAL DE PUCALLPA DEPARTAMENTO DE CIRUGIA
  • 2.
  • 3.
    EPIDEMIOLOGÍA http://www.intramed.net/contenidover.asp?contenidoID=43973 Esta condición es responsablede 1 a 4% de todas las causas de obstrucción intestinal mecánica. Es más frecuente en ancianos y la mayoría de las series internacionales informa un promedio de edad entre los 65 Y 75 años 80-90% de los pacientes presenta enfermedades crónicas Concomitantes (las enf cardiovasculares y la diabetes mellitus ) Afecta principalmente al sexo femenino, se precede de un cuadro de colecistitis aguda o crónica (75% de los casos) El antecedente de la enfermedad biliar está presente sólo en 50%de los casos
  • 4.
    • Afecta principalmenteal sexo femenino, con un relación hombre:mujer que va de 1:3 a 1:6, atribuyéndose a la mayor frecuencia en dicho http://www.intramed.net/contenidover.asp?contenidoID=43973
  • 5.
    ANATOMIA Vesícula biliar ysistema biliar extrahepático Margrét Oddsdóttir, Thai H. Pham y John G. Hunter Schwartz 9na edición.
  • 6.
    DEFINICION La obstrucción intestinalmecánica secundaria al impacto intraluminal de un lito; dicho se presenta como una complicación de la colelitiasis que termina fistulizando a tubo digestivo
  • 7.
    FISIOPATOLOGIA El íleo biliares precedido por un episodio de colecistitis Aguda. Inflamación de la vesícula y tejidos adyacentes = adherencias entre estructuras. Isquémia por (- ) del flujo arterial, venoso y linfático; además de la presión ejercida por los litos. Erosión de las paredes y la formación de fístula colecistoentérica que permite el paso de los litos hacia el intestino Chou JW, Chang HH, Kuan FL. Gallstone ileus: report of two cases and review of the literature. World J Gastroenterol 2007; 13(8): 821-25.
  • 8.
    MANIFESTACIONES CLINICAS DISTENSION ABDOMINAL DOLOR ABDOMINAL INTERMITENTE NAUSEAS Y VÓMITOSC Zubair,Z; Amir, M. Gall stone ileus: A serious complication of cholelithiasis in an elderly. Professional Med J 2007; 14 (4): 697-700. CONSTIPACIO N
  • 9.
    DIAGNÓSTICO RX DE AMBDOMEN:40 – 50% . TRIADA DE RIGLER: Obstrucción intestinal parcial o completa, aire en la vía biliar y visualización directa del cálculo TRIADA DE MORDOR: • Historia de litiasis vesicular • Signos clínicos de colecistitis • Obstrucción intestinal TAC ABDOMINAL: 75-85% . TRIADA DE RIGLER: Obstrucción intestinal parcial o completa, aire en la vía biliar y visualización directa del cálculo Chou JW, Chang HH, Kuan FL. Gallstone ileus: report of two cases and review of the literature. World J Gastroenterol 2007; 13(8): 821-25.
  • 11.
    • Lassandro ycolaboradores compararon el valor clínico de la placa simple de abdomen, la ecografía abdominal y el TAC abdominal en el diagnóstico de 27 casos de íleo biliar, y encontraron que la triada de Rigler está presente en 14,81% en la placa simple de abdomen, 11,11% en la ecografía abdominal, y en 77,78% en el TAC abdominal Lassandro R, Gagliardi N, Scuderi M. Gallstone ileus analysis of radiological fi ndings in 27 patients. Eur J Radiol 2004; 50: 23-9
  • 12.
    TRATAMIENTO MÉDICO:  NPO  HIDRATACION REPOSICION ELECTROLITICA  PROTECTOR GASTRICO  ANALGESICOS  SNG Langhorst J, Schumacher B. Deselaers T. Successful endoscopic therapy of a gastric outlet obstruction due a gallstone Íleo biliar y síndrome de Bouveret. Lo mismo pero distinto 93 Descripción de dos casos y revisión de la literatura with intracorporeal laser lithotripsy: a case of Bouveret’s syndrome. Gastrintestinal Endosc 2000; 51: 209-13.
  • 13.
    QUIRÚRGICO • Quirúrgicamente existecontroversia en cuanto a la resolución en uno o dos tiempos, es decir, realizar enterolitotomía, colecistectomía y reparación de la fístula (mortalidad de 16,9%), o solamente resolver la oclusión intestinal mediante enterolitotomía (mortalidad de 11, 7% y recurrencia de 4,7%) y posteriormente, en un segundo tiempo, considerar la reparación de la fístula existente, si ésta lo amerita. Hirosawa-Oishi T, Rosas-Salas CV, Kimura-Fujikami Y, Velasco-Ospina C. Obstrucción intestinal secundaria a íleo biliar. Rev Gastroenterol Mex 2002; 67: 34-37.
  • 14.
    ENTEROLITOTOMIA Dumonceau J, DelhayeM, Deviere J. Endoscopic treatment of gastric outlet obstruction caused by gallstone (Bouveret’s syndrome) aft er extracorporeal shock wave lithotripsy. Endoscopy 1997; 29: 319-21.
  • 15.
    CIRUGÍA BILIAR • Colecistectomía •Resección de fístula biliodigestiva Dumonceau J, Delhaye M, Deviere J. Endoscopic treatment of gastric outlet obstruction caused by gallstone (Bouveret’s syndrome) aft er extracorporeal shock wave lithotripsy. Endoscopy 1997; 29: 319-21.
  • 17.
  • 19.

Notas del editor

  • #6 Aspecto anterior de la anatomía biliar. a, conducto hepático derecho. b, conducto hepático izquierdo. c, conducto hepático común. d, vena porta. e, arteria hepática. f, arteria gastroduodenal. g, arteria gastroepiploica izquierda. h, colédoco. i, fondo de la vesícula biliar. j, cuerpo de la vesícula biliar. k, infundíbulo. l, conducto cístico. m, arteria cística. n, arteria pancreatoduodenal superior. Obsérvese la situación de la confluencia de los conductos biliares hepáticos anteriores en relación con la rama derecha de la vena porta y el trayecto posterior de la arteria hepática derecha atrás del conducto hepático común.
  • #9 El cuadro clínico de presentación más común es la oclusión intestinal mecánica con distención abdominal, dolor abdominal, vomito y constipación. El dolor abdominal es tipo cólico y ocurren en episodios intermitentes, por lo que los pacientes pueden demorar tres a ocho días antes de acudir al hospital [15], de tal forma, la presentación suele ser insidiosa por el llamado fenómeno de tumbling, en el que el lito obstructivo migra continuamente; produciendo síntomas cuando obstruye un punto en el intestino delgado y mejoría de los síntomas al avanzar el lito por la luz intestinal, para volver a presentar síntomas cuando de nueva cuenta haya obstrucción de nuevo. A menudo se informa de dolor en hipocondrio derecho; la ictericia es poco común y se encuentra en solo 15% [1, 2] de los pacientes.
  • #11 Fig. 4: Gran litiasis biliar (marcada con flecha) en paciente asintomática. Corte axial de la TAC que muestra la presencia de un cálculo impactado en el intestino