otosclerosis
GABRIEL AGUILERA AGUILERA
R III OTORRINOLARINGOLOGÍA HCUSA
TUTOR: SANTIAGO SANTA CRUZ RUÍZ
Definición
 La otosclerosis es un proceso metabólico bifásico de remodelación ósea que
afecta a la cápsula ótica, caracterizada por:
 Espongiosis: Reabsorción ósea
 Esclerosis: Recalcificación, puede causar fijación de la cadena.
 Componente es familiar. Herencia autosómico dominante con una penetrantica
variable.
 Al menos 50 % de los pacientes con antecedentes familiares
Definición
 Gen relacionado OTSC-1 brazo largo cromosoma 15, luego se han
sumado OTSC-2 y OTSC-3
 Incidencia de la otosclerosis 3/1.000
 Afecta predominantemente a mujeres 2:1
 Las manifestaciones pueden ocurrir en cualquier época de la vida, sobre
todo en la 4ta y 6ta década.
Definición
 Etiología no conocida.
 Las investigaciones realizadas en los últimos años se han centrado en
infecciones virales como posible etiología
 La reacción en cadena de la polimerasa transcriptasa inversa (PCR-RT)
ha proporcionado evidencias sugestivas de que un virus del sarampión
puede ser la causa de la otosclerosis.
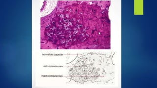
Histología: espongiosis
 Inicialmente se desarrolla una apariencia esponjosa debido a la dilatación
vascular.
 En esta etapa se da una Reabsorción ósea que producen los osteocitos
alrededor de los vasos sanguíneos.
 Esta congestión en ocasiones puede verse a través de la membrana
timpánica como una zona rojiza sobre el promontorio denominado signo
de Schwartze
Histología
 En la fase esclerótica, se forma hueso esclerótico denso en las áreas
previas de reabsorción
Asentamiento Otosclerótico
 El desarrollo embrionario desempeña un papel importante en la patogenia
de la OE.
 Formación de esqueleto cartilaginoso a las 8 semanas.
 Se comienza el cambio de cartílago por hueso 16 semanas; en algunas
personas, no se completa el recambio.
 Uno de los lugares más frecuentes de ausencia de recambio es la fissula
ante fenestram (tejido inmaduro), inmediatamente anterior a la ventana
oval .
 Se ha verificado su afección en el 90% de los pacientes con OE
Asentamiento Otosclerótico
 BAST y ANSON han sugerido que la "fissula ante fenestram" es una área
de inestabilidad histológica, en la cual la osificación retardada del
cartílago, constituye un factor importante en la génesis del foco
otoesclerótíco
Asentamiento Otosclerótico
 Por lo tanto el sitio más comúnmente afectado con otosclerosis es la
porción anterior de la ventana oval.
 La clínica estará supeditada al lugar de asentamiento del foco
otosclerótico.
Clasificación de lesión macroscópica
• Tipo I: fijación de la platina en borde
anterior de venta.
• Tipo II: afectación de hemiplatina
• Tipo III: toda la platina se encuentra
afectada por foco de O.E (otosclerosis
obliterante poco frecuente)
Afectación oído interno
Afectación oído interno
clínica
 Hipoacusia subjetiva: según autores seria bilateral en 2/3 de pacientes y
que generalmente evolucionan simétricamente
 Acufenos : frecuente en primeras etapas y que pueden desaparecer con
la evolución de la enfermedad. 2/3 de los pacientes lo presenta.
 Inestabilidad: (bajo porcentaje),se atribuye a que sustancias toxicas de
foco espongiotico pasan a líquidos de oídos interno.
 Plenitud ótica: (bajo porcentaje), sensación psicoacustica causada por
escasa audición a tonos graves
Evolución de la hipoacusia
 Aunque la hipoacusia conductiva secundaria a la fijación del estribo es la
manifestación clásica, se puede producir una hipoacusia mixta e incluso
neurosensorial pura por la afectación de la cápsula ótica.
Evolución de la hipoacusia
 Por lo general inicialmente es una hipoacusia de conducción presentando
un descenso de la vía aérea para tonos graves, manteniendo los tonos
agudos.
 En el período de estado aparece la “muesca de Carhart” que consiste en
la disminución “artificial” de la conducción ósea entre 0.75-2.0 KHz. Dif
trauma acustico 3 – 4 KHz.
 Finalmente se transforma en hipoacusia mixta por lesión del órgano de
Corti debido a la liberación de enzimas líticas
Complemento diagnóstico:
• Rinne negativo
• Weber hacia el lado afecto
ACUMETRIA:
• Prueba sencilla
• Nos ayuda a ver el oído mas afecto
• Nos puede ayudar a decidir que oído se
opera primero
Complemento diagnóstico
 TIMPANOMETRÍA: presión del oído medio es normal, pero la compliancia
del sistema tímpanoscicular está levemente disminuida. Curva As
Complemento diagnóstico
 EFLEJO ESTAPEDIAL: es negativo cuando el estribo está fijo.
 Fenómenos on-off en estadios incipientes O.E: existe una inversión al
principio al final del registro del reflejo. Es indicativo de posible proceso de
fijación incipiente de cadena (otosclerosis inicial o subclínica).
Complemento diagnóstico
 TAC: El hallazgo radiológico fundamental es un foco lítico, de baja
atenuación en cápsula ótica .Aparece un área desmineralización, de baja
atenuación.
 RM es poco sensible.
Diagnóstico diferencial
Dehiscencia canal semicircular superior
Fenómeno de tercera ventana
 Hipoacusia de transmisión
 Weber hacia lado afecto
 Reflejo estapedial normal
 Fenómeno de Tullio, vértigo con Valsalva, acúfenos
 CLÍNICA/ AUDIOMETRÍA/ REFLEJOS/ TAC / VEMPS
Tratamiento médico
 Fluoruro de sodio: retardar la reabsorción ósea y promueve la formación
osteoblástica (formacion hueso trabecular). Los resultados indican una
disminución o cese de la actividad otoesclerótica después del tratamiento.
 Bifosfonatos: (ácido alendrónico) reducen la resorción ósea. No existe
evidencia suficiente.
 Calcitonina: inhibiría la actividad osteoclástica de la cápsula ótica. Sin
evidencia necesaria
Tratamiento Audio protésico
 Adaptación de prótesis Auditivas
 Vía aérea: generalmente útiles en GAP pequeños
 Vía ósea (Gafas/ Diademas y/prótesis oesteointegradas): útiles generalmente
en GAP mayor
Enfoque quirúrgico de la Otosclerosis
Consideraciones
 Debería haber evidencias de un GAP óseo / aéreo de 25 dB en el oído
afecto para considerar la realización de una intervención quirúrgica para
corregir la hipoacusia
Consideraciones
 Al momento de elección de oído a operar en la la otosclerosis:
 Abstenerse o retrasar operar único oído con audición útil
 Operar el oído con peor audición, pero manteniendo un GAP de al menos 25
dB
Técnica quirúrgica: Anestesia local
 solución de Lidocaína al 2% + epinefrina al 1:100.000
 Blanqueamiento gradual de la piel del CAE indica que la inyección es satisfactoria
 Hay que procurar inyectar sólo una inyección mínima de la solución, porque si es
excesiva, se produce una reducción del tamaño de la abertura del CAE
Infiltración del conducto auditivo externo a las 3, 6, 9 y 12 hrs. Y pared posterior del trago
Técnica quirúrgica: exposición
• La realización de una incisión para maximizar la
exposición es fundamental
• Desde punto bastante superior respecto a la
zona de Shrapnell hasta la parte posteroinferior
del annulus
Técnica quirúrgica: exposición
• El colgajo T.M se levanta hasta que el
annulus fibroso esté bien expuesto
• Se rechaza por completo la membrana
timpánica hacia anterior
• Cuando esto no es suficiente, se debe a
que la incisión superior no se ha
extendido lo bastante en sentido anterior.
Técnica quirúrgica: exposición
• La cantidad de hueso que debe resecarse de la pared
posterior del CAE para lograr una visualización
adecuada varía de forma considerable
• Legrado debería comenzar en la escotadura de Rivinus
y proseguir en sentido inferior, procurando conservar el
nervio cuerda del tímpano
Técnica quirúrgica: exposición
Cuando se explora el oído medio en los casos de
otosclerosis o de cualquier otra causa de hipoacusia
conductiva, se debería visualizar las siguientes
referencias:
• A nivel anterior: el cuello y el mango del martillo
• A nivel inferior: la ventana redonda
• A nivel posterior: la apófisis piramidal
• A nivel superior: rama larga del yunque. Y en
profundidad apofisis lenticular, parte posterior de
estribo y platina.
Técnica quirúrgica : palpación cadena
osicular y exploración
 Los focos de otosclerosis pueden reconocerse a veces a simple vista
 La palpación debería comenzar por el mango del martillo y seguir en
sentido medial hasta la rama larga del yunque, para acabar en la
supraestructura del estribo.
Técnica quirúrgica : palpación cadena
osicular y exploración
 El cirujano debe determinar si la platina es lo bastante delgada para permitir
una penetración con facilidad o si existe una obliteración.
 Las dificultades anatómicas, como un facial dehiscente o procidente,
sangrado que impida visualización adecuada también deben apreciarse en
este momento, (pueden conducir a fracaso quirúrgico)
 Siempre es mejor reconocer las posibles dificultades antes de comenzar la
desarticulación de la cadena osicular.
Estapedectomía convencional
• Se separa la articulación incudoestapedial
• En ese momento, se extrae tejido conjuntivo para
usarlo en la ventana oval. pericondrio del trago,
fascia temporal o vena
Estapedectomía convencional
• A continuación, la platina se fenestra con una estilete
de punta fina
• Puede efectuarse en cualquier lugar donde el color
azul indique la máxima delgadez del hueso
• El tendón del músculo estapedio debería mantenerse
intacto para que proporcione resistencia contra la que
empujar durante la fenestración
Estapedectomía convencional
 Cuando se logra crear la fenestración, se consiguen dos objetivos
esenciales.
 Evitar la Descompresión platinar súbita por si se produce la improbable
complicación de una avulsión completa de la platina al fracturar la
supraestructura.
 Evitar la platina flotante.
Estapedectomía convencional
• El siguiente paso es la sección del tendón del músculo
del estribo.
Estapedectomía convencional
• Fractura de la supraestructura de
dicho huesecillo.
• Ejerciendo una presión
descendente rápida hacia el
promontorio.
• Puede ser con micro tijera o con
fractura luxación
Estapedectomía convencional
• A continuación, se utiliza un pequeño gancho de
platina para resecar una cantidad suficiente del área
central de dicha platina
• La cantidad de platina que se reseca es la porción que
se puede extraer con facilidad, lo que suele constituir
alrededor del 25% de su superficie: platinectomia
parcial. Otros preconizan platinectomia total o subtotal.
Estapedectomía convencional
• El injerto se coloca sobre la ventana oval y se deprime
con suavidad en la fenestración para identificar la
ubicación donde se situará el extremo medial de la
prótesis
• Solo se colocará en platinectomia parciales amplias o
subtotales.
Estapedectomía convencional
Estapedotomía : Platinotomía
• Platinotomía debe ser de un diámetro
superior al pistón
• Platinotomía se puede realizar con
microfresa o con laser diodo / CO2
Estapedotomía: colocación pistón
• No se coloca injerto para evitar
colocación defectuosa del pistón
• Así, además, podemos comprobar que
se mueve el sistema
Reposicionamos el colgajo tímpanomeatal
Recomendaciones post operatorias
 Los pacientes pueden deambular poco después de la cirugía, pero se les
debe aconsejar que no se tumben sobre el oído operado durante 24
horas. (evitar efecto de la ventosa presión +)
 Hay que advertirles de que eviten :
 Movimientos bruscos de la cabeza para que no se mareen
 Suenen la nariz cerrando ambas fosas (evitando valsalva), esfuerzos físicos
 Mojarse el oído que se ha intervenido.
Recomendaciones post operatorias
 En el CAE se mantiene con POPE, que se puede impregnar betadine o
gotas ciprofloxacino, (No dejar con gotas ototoxicas como polimixina)
hasta que se retire el taponamiento, alrededor de 3-7 días.
 El trabajo sedentario se permite a las 48 horas, pero las profesiones que
incluyan esfuerzos físicos, deben prohibirse durante al menos 3 semanas.
Complicaciones Intraoperatorias: perforación
de membrana timpánica
• Ocurre cuando el colgajo no se logra
levantar a lo largo de toda su anchura
antes de la separación del annulus
fibroso respecto de su surco
• En ocasiones, antes de la intervención
se aprecia que la membrana timpánica
es muy atrófica y delgada.
• Los problemas de la membrana
timpánica pocas veces influyen en los
resultados de la cirugía.
Complicaciones intraoperatoria : Lesiones
del nervio cuerda del tímpano
 Una sección completa o casi completa del nervio es inevitable en un
pequeño porcentaje de los casos. Sólo suele provocar una disgeusia
temporal
 La mayoría de los pacientes parecen compensar los trastornos del gusto
en 6 meses, no todos lo recuperan
Complicaciones: Platina del estribo
flotante
 Se produce cuando la supraestructura se fractura y toda la platina se
suelta de su inserción anular circundante en la ventana oval
 Infrecuente y se produce en menos del 1% de los casos.
 El mejor modo de evitarla es conocer los factores que la pueden causar.
 No Fractura de la supraestructura antes de realizar la fenestración en la
platina.
 Operar O.E incipientes una platina o que se visualizan muy transparentes.
Complicaciones: Platina del estribo
flotante
• Realizar una pequeña abertura en el lado
del promontorio mediante fresado, hasta
que se pueda insertar un punzón fino de
ángulo recto bajo ella, y girarlo para
extraerla por completo
• Poner sangre y esperar coagulación y
aspirar coagulo
• Si es excesiva la platina dentro del
vestíbulo, no se debería intentar extraerla,
para evitar una lesión traumática del oído
interno. Esperar a que tofo la fije de
nuevo.
Complicaciones: Gusher perilinfático
 Salida brusca de perlinfa a tensión , que arrastra en su salida las
membranas del vestíbulo, con pérdida importante e inmediata de la
audición. La única prevención es realización de TAC peñasco previo(signo
de dilatación acueducto vestubular).
Complicaciones: Gusher perilinfático
• Elevar el cabecero de la mesa de
operaciones y seguir aspirando la perilinfa
fuera de área platinar hasta que se agote el
reservorio de la cisterna pontocerebelosa.
• Se extrae grasa del lóbulo de la oreja y se
coloca a presión en la ventana oval.
• La elevación de la cabeza se mantiene
durante el postoperatorio y se puede
complementar con la inserción de un drenaje
raquídeo.
Complicaciones intraoperatorias:
Gusher perilinfático
Esta complicación aumenta la incidencia de:
 Hipoacusia neurosensorial (gralmente cofosis)
 Vértigo post operatorio
 Riesgo de meningitis otógena de persistir la fístula.
Complicaciones intraoperatorias:
luxación incudomaleolar.
 Se debe a un desplazamiento lateral inadvertido de la rama larga del
yunque.
 Una colocación cuidadosa del yunque en su posición original suele podría
proporcionar unos resultados auditivos aceptables. No apoyado por todos
los autores
 Se podría operar en un segundo tiempo colocando prótesis que permita
continuidad entre martillo-platina.
Complicaciones :Dehiscencia del
nervio facial
 La dehiscencia del Falopio a nivel de ventana oval
es un hallazgo bastante frecuente durante la cirugía
del O.M
 La cirugía del estribo suele poder completarse con
éxito ante una procidencia moderada del nervio
facial, aunque la visualización de la ventana oval es
más difícil.
 La separación del nervio debe ser muy cuidadosa
evitando aspirar sobre el nervio o punciones del
mismo.
 Las situaciones extremas de desplazamiento del
nervio con cobertura de la platina oconsejan a
abandonar la intervención.
Complicaciones tardias : Granuloma de
reparación
 Formación de tejido de granulación reactivo en la ventana oval y alrededor
de ella
 Algunos autores la han atribuido a la presencia de partículas de de la
prótesis o, guantes.
 Éstos suelen aparecer alrededor de 1 semana después de la cirugía
presentando acufenos y vértigo. Los pacientes refieren una disminución
de la audición y mareo
 En la exploración se observa una congestión violácea en el cuadrante
posterosuperior. ATL confirman la hipoacusia neurosensorial
Complicaciones tardías : Granuloma de
reparación
 Aunque algunos autores han recomendado un tratamiento sistémico con
dosis altas de esteroides, la opción terapéutica que suele aceptarse es la
intervención quirúrgica inmediata con resección del granuloma.
 Esto supone quitar la prótesis y el injerto tisular, con la inserción de un
nuevo material.
 La identificación rápida de esta complicación y su corrección quirúrgica
pueden revertir la hipoacusia, pero lo más probable es que quede un
déficit neurosensorial.
Complicaciones tardias:
 VPPB
 Necrosis rama larga del yunque con caída de protesis
Bibliografía

Otosclerosis, tratamiento y complicaciones

  • 1.
    otosclerosis GABRIEL AGUILERA AGUILERA RIII OTORRINOLARINGOLOGÍA HCUSA TUTOR: SANTIAGO SANTA CRUZ RUÍZ
  • 2.
    Definición  La otosclerosises un proceso metabólico bifásico de remodelación ósea que afecta a la cápsula ótica, caracterizada por:  Espongiosis: Reabsorción ósea  Esclerosis: Recalcificación, puede causar fijación de la cadena.  Componente es familiar. Herencia autosómico dominante con una penetrantica variable.  Al menos 50 % de los pacientes con antecedentes familiares
  • 3.
    Definición  Gen relacionadoOTSC-1 brazo largo cromosoma 15, luego se han sumado OTSC-2 y OTSC-3  Incidencia de la otosclerosis 3/1.000  Afecta predominantemente a mujeres 2:1  Las manifestaciones pueden ocurrir en cualquier época de la vida, sobre todo en la 4ta y 6ta década.
  • 4.
    Definición  Etiología noconocida.  Las investigaciones realizadas en los últimos años se han centrado en infecciones virales como posible etiología  La reacción en cadena de la polimerasa transcriptasa inversa (PCR-RT) ha proporcionado evidencias sugestivas de que un virus del sarampión puede ser la causa de la otosclerosis.
  • 6.
    Histología: espongiosis  Inicialmentese desarrolla una apariencia esponjosa debido a la dilatación vascular.  En esta etapa se da una Reabsorción ósea que producen los osteocitos alrededor de los vasos sanguíneos.  Esta congestión en ocasiones puede verse a través de la membrana timpánica como una zona rojiza sobre el promontorio denominado signo de Schwartze
  • 9.
    Histología  En lafase esclerótica, se forma hueso esclerótico denso en las áreas previas de reabsorción
  • 10.
    Asentamiento Otosclerótico  Eldesarrollo embrionario desempeña un papel importante en la patogenia de la OE.  Formación de esqueleto cartilaginoso a las 8 semanas.  Se comienza el cambio de cartílago por hueso 16 semanas; en algunas personas, no se completa el recambio.  Uno de los lugares más frecuentes de ausencia de recambio es la fissula ante fenestram (tejido inmaduro), inmediatamente anterior a la ventana oval .  Se ha verificado su afección en el 90% de los pacientes con OE
  • 14.
    Asentamiento Otosclerótico  BASTy ANSON han sugerido que la "fissula ante fenestram" es una área de inestabilidad histológica, en la cual la osificación retardada del cartílago, constituye un factor importante en la génesis del foco otoesclerótíco
  • 15.
    Asentamiento Otosclerótico  Porlo tanto el sitio más comúnmente afectado con otosclerosis es la porción anterior de la ventana oval.  La clínica estará supeditada al lugar de asentamiento del foco otosclerótico.
  • 20.
    Clasificación de lesiónmacroscópica • Tipo I: fijación de la platina en borde anterior de venta. • Tipo II: afectación de hemiplatina • Tipo III: toda la platina se encuentra afectada por foco de O.E (otosclerosis obliterante poco frecuente)
  • 21.
  • 22.
  • 23.
    clínica  Hipoacusia subjetiva:según autores seria bilateral en 2/3 de pacientes y que generalmente evolucionan simétricamente  Acufenos : frecuente en primeras etapas y que pueden desaparecer con la evolución de la enfermedad. 2/3 de los pacientes lo presenta.  Inestabilidad: (bajo porcentaje),se atribuye a que sustancias toxicas de foco espongiotico pasan a líquidos de oídos interno.  Plenitud ótica: (bajo porcentaje), sensación psicoacustica causada por escasa audición a tonos graves
  • 24.
    Evolución de lahipoacusia  Aunque la hipoacusia conductiva secundaria a la fijación del estribo es la manifestación clásica, se puede producir una hipoacusia mixta e incluso neurosensorial pura por la afectación de la cápsula ótica.
  • 25.
    Evolución de lahipoacusia  Por lo general inicialmente es una hipoacusia de conducción presentando un descenso de la vía aérea para tonos graves, manteniendo los tonos agudos.  En el período de estado aparece la “muesca de Carhart” que consiste en la disminución “artificial” de la conducción ósea entre 0.75-2.0 KHz. Dif trauma acustico 3 – 4 KHz.  Finalmente se transforma en hipoacusia mixta por lesión del órgano de Corti debido a la liberación de enzimas líticas
  • 27.
    Complemento diagnóstico: • Rinnenegativo • Weber hacia el lado afecto ACUMETRIA: • Prueba sencilla • Nos ayuda a ver el oído mas afecto • Nos puede ayudar a decidir que oído se opera primero
  • 28.
    Complemento diagnóstico  TIMPANOMETRÍA:presión del oído medio es normal, pero la compliancia del sistema tímpanoscicular está levemente disminuida. Curva As
  • 29.
    Complemento diagnóstico  EFLEJOESTAPEDIAL: es negativo cuando el estribo está fijo.  Fenómenos on-off en estadios incipientes O.E: existe una inversión al principio al final del registro del reflejo. Es indicativo de posible proceso de fijación incipiente de cadena (otosclerosis inicial o subclínica).
  • 30.
    Complemento diagnóstico  TAC:El hallazgo radiológico fundamental es un foco lítico, de baja atenuación en cápsula ótica .Aparece un área desmineralización, de baja atenuación.  RM es poco sensible.
  • 33.
  • 34.
  • 35.
    Fenómeno de terceraventana  Hipoacusia de transmisión  Weber hacia lado afecto  Reflejo estapedial normal  Fenómeno de Tullio, vértigo con Valsalva, acúfenos  CLÍNICA/ AUDIOMETRÍA/ REFLEJOS/ TAC / VEMPS
  • 36.
    Tratamiento médico  Fluorurode sodio: retardar la reabsorción ósea y promueve la formación osteoblástica (formacion hueso trabecular). Los resultados indican una disminución o cese de la actividad otoesclerótica después del tratamiento.  Bifosfonatos: (ácido alendrónico) reducen la resorción ósea. No existe evidencia suficiente.  Calcitonina: inhibiría la actividad osteoclástica de la cápsula ótica. Sin evidencia necesaria
  • 37.
    Tratamiento Audio protésico Adaptación de prótesis Auditivas  Vía aérea: generalmente útiles en GAP pequeños  Vía ósea (Gafas/ Diademas y/prótesis oesteointegradas): útiles generalmente en GAP mayor
  • 38.
    Enfoque quirúrgico dela Otosclerosis
  • 39.
    Consideraciones  Debería haberevidencias de un GAP óseo / aéreo de 25 dB en el oído afecto para considerar la realización de una intervención quirúrgica para corregir la hipoacusia
  • 40.
    Consideraciones  Al momentode elección de oído a operar en la la otosclerosis:  Abstenerse o retrasar operar único oído con audición útil  Operar el oído con peor audición, pero manteniendo un GAP de al menos 25 dB
  • 41.
    Técnica quirúrgica: Anestesialocal  solución de Lidocaína al 2% + epinefrina al 1:100.000  Blanqueamiento gradual de la piel del CAE indica que la inyección es satisfactoria  Hay que procurar inyectar sólo una inyección mínima de la solución, porque si es excesiva, se produce una reducción del tamaño de la abertura del CAE
  • 42.
    Infiltración del conductoauditivo externo a las 3, 6, 9 y 12 hrs. Y pared posterior del trago
  • 43.
    Técnica quirúrgica: exposición •La realización de una incisión para maximizar la exposición es fundamental • Desde punto bastante superior respecto a la zona de Shrapnell hasta la parte posteroinferior del annulus
  • 44.
    Técnica quirúrgica: exposición •El colgajo T.M se levanta hasta que el annulus fibroso esté bien expuesto • Se rechaza por completo la membrana timpánica hacia anterior • Cuando esto no es suficiente, se debe a que la incisión superior no se ha extendido lo bastante en sentido anterior.
  • 45.
    Técnica quirúrgica: exposición •La cantidad de hueso que debe resecarse de la pared posterior del CAE para lograr una visualización adecuada varía de forma considerable • Legrado debería comenzar en la escotadura de Rivinus y proseguir en sentido inferior, procurando conservar el nervio cuerda del tímpano
  • 46.
    Técnica quirúrgica: exposición Cuandose explora el oído medio en los casos de otosclerosis o de cualquier otra causa de hipoacusia conductiva, se debería visualizar las siguientes referencias: • A nivel anterior: el cuello y el mango del martillo • A nivel inferior: la ventana redonda • A nivel posterior: la apófisis piramidal • A nivel superior: rama larga del yunque. Y en profundidad apofisis lenticular, parte posterior de estribo y platina.
  • 47.
    Técnica quirúrgica :palpación cadena osicular y exploración  Los focos de otosclerosis pueden reconocerse a veces a simple vista  La palpación debería comenzar por el mango del martillo y seguir en sentido medial hasta la rama larga del yunque, para acabar en la supraestructura del estribo.
  • 48.
    Técnica quirúrgica :palpación cadena osicular y exploración  El cirujano debe determinar si la platina es lo bastante delgada para permitir una penetración con facilidad o si existe una obliteración.  Las dificultades anatómicas, como un facial dehiscente o procidente, sangrado que impida visualización adecuada también deben apreciarse en este momento, (pueden conducir a fracaso quirúrgico)  Siempre es mejor reconocer las posibles dificultades antes de comenzar la desarticulación de la cadena osicular.
  • 49.
    Estapedectomía convencional • Sesepara la articulación incudoestapedial • En ese momento, se extrae tejido conjuntivo para usarlo en la ventana oval. pericondrio del trago, fascia temporal o vena
  • 50.
    Estapedectomía convencional • Acontinuación, la platina se fenestra con una estilete de punta fina • Puede efectuarse en cualquier lugar donde el color azul indique la máxima delgadez del hueso • El tendón del músculo estapedio debería mantenerse intacto para que proporcione resistencia contra la que empujar durante la fenestración
  • 51.
    Estapedectomía convencional  Cuandose logra crear la fenestración, se consiguen dos objetivos esenciales.  Evitar la Descompresión platinar súbita por si se produce la improbable complicación de una avulsión completa de la platina al fracturar la supraestructura.  Evitar la platina flotante.
  • 52.
    Estapedectomía convencional • Elsiguiente paso es la sección del tendón del músculo del estribo.
  • 53.
    Estapedectomía convencional • Fracturade la supraestructura de dicho huesecillo. • Ejerciendo una presión descendente rápida hacia el promontorio. • Puede ser con micro tijera o con fractura luxación
  • 54.
    Estapedectomía convencional • Acontinuación, se utiliza un pequeño gancho de platina para resecar una cantidad suficiente del área central de dicha platina • La cantidad de platina que se reseca es la porción que se puede extraer con facilidad, lo que suele constituir alrededor del 25% de su superficie: platinectomia parcial. Otros preconizan platinectomia total o subtotal.
  • 55.
    Estapedectomía convencional • Elinjerto se coloca sobre la ventana oval y se deprime con suavidad en la fenestración para identificar la ubicación donde se situará el extremo medial de la prótesis • Solo se colocará en platinectomia parciales amplias o subtotales.
  • 56.
  • 57.
    Estapedotomía : Platinotomía •Platinotomía debe ser de un diámetro superior al pistón • Platinotomía se puede realizar con microfresa o con laser diodo / CO2
  • 58.
    Estapedotomía: colocación pistón •No se coloca injerto para evitar colocación defectuosa del pistón • Así, además, podemos comprobar que se mueve el sistema
  • 59.
  • 60.
    Recomendaciones post operatorias Los pacientes pueden deambular poco después de la cirugía, pero se les debe aconsejar que no se tumben sobre el oído operado durante 24 horas. (evitar efecto de la ventosa presión +)  Hay que advertirles de que eviten :  Movimientos bruscos de la cabeza para que no se mareen  Suenen la nariz cerrando ambas fosas (evitando valsalva), esfuerzos físicos  Mojarse el oído que se ha intervenido.
  • 61.
    Recomendaciones post operatorias En el CAE se mantiene con POPE, que se puede impregnar betadine o gotas ciprofloxacino, (No dejar con gotas ototoxicas como polimixina) hasta que se retire el taponamiento, alrededor de 3-7 días.  El trabajo sedentario se permite a las 48 horas, pero las profesiones que incluyan esfuerzos físicos, deben prohibirse durante al menos 3 semanas.
  • 62.
    Complicaciones Intraoperatorias: perforación demembrana timpánica • Ocurre cuando el colgajo no se logra levantar a lo largo de toda su anchura antes de la separación del annulus fibroso respecto de su surco • En ocasiones, antes de la intervención se aprecia que la membrana timpánica es muy atrófica y delgada. • Los problemas de la membrana timpánica pocas veces influyen en los resultados de la cirugía.
  • 63.
    Complicaciones intraoperatoria :Lesiones del nervio cuerda del tímpano  Una sección completa o casi completa del nervio es inevitable en un pequeño porcentaje de los casos. Sólo suele provocar una disgeusia temporal  La mayoría de los pacientes parecen compensar los trastornos del gusto en 6 meses, no todos lo recuperan
  • 64.
    Complicaciones: Platina delestribo flotante  Se produce cuando la supraestructura se fractura y toda la platina se suelta de su inserción anular circundante en la ventana oval  Infrecuente y se produce en menos del 1% de los casos.  El mejor modo de evitarla es conocer los factores que la pueden causar.  No Fractura de la supraestructura antes de realizar la fenestración en la platina.  Operar O.E incipientes una platina o que se visualizan muy transparentes.
  • 65.
    Complicaciones: Platina delestribo flotante • Realizar una pequeña abertura en el lado del promontorio mediante fresado, hasta que se pueda insertar un punzón fino de ángulo recto bajo ella, y girarlo para extraerla por completo • Poner sangre y esperar coagulación y aspirar coagulo • Si es excesiva la platina dentro del vestíbulo, no se debería intentar extraerla, para evitar una lesión traumática del oído interno. Esperar a que tofo la fije de nuevo.
  • 66.
    Complicaciones: Gusher perilinfático Salida brusca de perlinfa a tensión , que arrastra en su salida las membranas del vestíbulo, con pérdida importante e inmediata de la audición. La única prevención es realización de TAC peñasco previo(signo de dilatación acueducto vestubular).
  • 67.
    Complicaciones: Gusher perilinfático •Elevar el cabecero de la mesa de operaciones y seguir aspirando la perilinfa fuera de área platinar hasta que se agote el reservorio de la cisterna pontocerebelosa. • Se extrae grasa del lóbulo de la oreja y se coloca a presión en la ventana oval. • La elevación de la cabeza se mantiene durante el postoperatorio y se puede complementar con la inserción de un drenaje raquídeo.
  • 68.
    Complicaciones intraoperatorias: Gusher perilinfático Estacomplicación aumenta la incidencia de:  Hipoacusia neurosensorial (gralmente cofosis)  Vértigo post operatorio  Riesgo de meningitis otógena de persistir la fístula.
  • 69.
    Complicaciones intraoperatorias: luxación incudomaleolar. Se debe a un desplazamiento lateral inadvertido de la rama larga del yunque.  Una colocación cuidadosa del yunque en su posición original suele podría proporcionar unos resultados auditivos aceptables. No apoyado por todos los autores  Se podría operar en un segundo tiempo colocando prótesis que permita continuidad entre martillo-platina.
  • 70.
    Complicaciones :Dehiscencia del nerviofacial  La dehiscencia del Falopio a nivel de ventana oval es un hallazgo bastante frecuente durante la cirugía del O.M  La cirugía del estribo suele poder completarse con éxito ante una procidencia moderada del nervio facial, aunque la visualización de la ventana oval es más difícil.  La separación del nervio debe ser muy cuidadosa evitando aspirar sobre el nervio o punciones del mismo.  Las situaciones extremas de desplazamiento del nervio con cobertura de la platina oconsejan a abandonar la intervención.
  • 71.
    Complicaciones tardias :Granuloma de reparación  Formación de tejido de granulación reactivo en la ventana oval y alrededor de ella  Algunos autores la han atribuido a la presencia de partículas de de la prótesis o, guantes.  Éstos suelen aparecer alrededor de 1 semana después de la cirugía presentando acufenos y vértigo. Los pacientes refieren una disminución de la audición y mareo  En la exploración se observa una congestión violácea en el cuadrante posterosuperior. ATL confirman la hipoacusia neurosensorial
  • 72.
    Complicaciones tardías :Granuloma de reparación  Aunque algunos autores han recomendado un tratamiento sistémico con dosis altas de esteroides, la opción terapéutica que suele aceptarse es la intervención quirúrgica inmediata con resección del granuloma.  Esto supone quitar la prótesis y el injerto tisular, con la inserción de un nuevo material.  La identificación rápida de esta complicación y su corrección quirúrgica pueden revertir la hipoacusia, pero lo más probable es que quede un déficit neurosensorial.
  • 73.
    Complicaciones tardias:  VPPB Necrosis rama larga del yunque con caída de protesis
  • 74.

Notas del editor

  • #10 Recordar que es preferible la ubicación del pistón en la mitad inferior de la platina por estar mas separada del sáculo
  • #23 Cada vez menos transmisivas y se hacen mas neurosensorial
  • #33 Doble anillo colear, algunos le contraindica crugia en esta etapa de otoespongiosis
  • #47 Una buena visualización de estas estructuras permitirá la corrección quirúrgica de cualquier afección conductiva que se encuentre
  • #63 Un pequeño desgarro puede repararse con facilidad mediante fragmentos diminutos de esponja de gelatina insertados a través de la perforación. Los defectos mayores deberían reforzarse con cualquier resto de tejido extraído, que se colocará como un injerto medial.