PANCREATITIS 
AGUDA 
Nociones 
elementales 
Servicio de Cirugía 
General 
Dr. Dardo Iver 
Menacho C 
HUMSJDD
Pancreatitis Aguda
INTRODUCCION 
Órgano retroperitoneal lobulado, de 10 a 15 cm de largo y 70 a 100 gr 
de peso. 
Tiene las sgtes.las sgte porciones: cabeza, cuello, cuerpo y cola. 
Funcionalmente se divide en páncreas exócrino y páncreas 
endócrino. 
La secreción exócrina está dada por las células acinares y está 
constituída por enzimas encargadas de la digestión de lípidos, 
hidratos de carbono y proteínas. 
La secreción endócrina está dada por las células de los islotes de 
Langerhans las cuales secretan glucagón, insulina y somatostatina
Enzimas digestivas en el jugo pancreático 
PPrrooeennzziimmaa EEnnzziimmaa 
Enzimas 
Proteolíticas 
Tripsinógeno 
Quimotripsinógeno 
Proelastasa 
Procarboxipeptidasa (A y B) 
Tripsina 
Quimotripsina 
Elastasa 
Carboxipepetidasa 
(A y B) 
Enzimas 
Amiloidíticas 
Amilasa 
Enzimas 
Lipolíticas 
Profosfolipasa Lipasa 
Fosfolipasa A2 
Nucleasas Desoxirribonucleasa 
Ribonucleasa 
Otros 
Procolipasa Colipasa 
Inhibidor de la 
tripsina
Fisiología 
PANCREAS EXOCRINO 
RReegguullaacciióónn 
PPaannccrreeááttiiccaa 
NNeerrvviioossaa 
HHuummoorraall 
VVaaggaall 
SSiimmppááttiiccaa 
PPaarraassiimmppááttiiccaa 
Favorece 
la secreción 
Inhibidora 
Liberación 
de enzimas 
SSeeccrreettiinnaa 
CCrraatt.. kkiinnaass 
de volumen y 
bicarbonato 
Estimula 
secreción de 
enzimas 
Duodeno y yeyuno proximal
PPáánnccrreeaass eennddooccrriinnoo 
Células 
de los 
islotes Hormonas Funciones 
β 
(células 
beta) 
Insulina Disminuye la gluconeogénesis, glucogenólisis, 
catabolismo de ácidos grasos y cetogénesis 
Aumenta la glucogénesis y síntesis de proteínas. 
Amilina 
Pancreaestatina 
Contrarregula la secreción y función de la 
insulina. 
Disminuye la liberación de insulina y 
somatostatina 
Aumenta la liberación de glucagón 
Disminuye la secreción pancreática exócrina 
a (célula 
alfa) 
Glucagón Efectos opuestos a los de la insulina; incremento 
de la glucogenólisis y gluconeogénesis hepática. 
d (célul 
a delta) Somatostatina 
Inhibe la secreción gastrointestinal 
Inhibe la secreción y acción de todos los péptidos 
endocrinos gastrointestinales 
Inhibe el crecimiento celular 
Célula 
PP 
Polipéptido 
pancreático 
Inhibe las secreciones exócrina pancreática y de 
insulina. Faclita el efecto hepático de la insulina
DEFINICIONES 
Simposio de Atlanta (1992): 
• Pancreatitis aguda leve: proceso inflamatorio pancreático 
agudo en que el hallazgo patológico fundamental es el 
edema intersticial y existe mínimo compromiso sistémico. 
• Pancreatitis aguda grave: es la que se asocia a fallas 
orgánicas sistémicas y/o complicaciones locales como 
pseudoquiste o absceso. Generalmente es a consecuencia 
de necrosis pancreática.
• Necrosis: zonas localizadas o difusas de tejido pancreático no 
viable que se asocian a necrosis grasa peripancreática. 
• Colecciones líquidas agudas: colecciones de densidad líquida que 
carecen de pared y se presentan precozmente en el páncreas o 
cerca de él. 
• Pseudoquiste: formación de densidad líquida caracterizada por la 
existencia de una pared de tejido fibroso o granulatorio que 
aparece no antes de las 4 semanas desde el inico del cuadro. 
• Absceso pancreático: colección circunscrita de pus, en el 
páncreas o su vesindad, que aparece como concecuencia de una 
pancreatitis aguda.
MMOORRTTAALLIIDDAADD 
La pancreatitis es leve en el 80% de los casos. Solo 20% cumple con 
criterios de gravedad, pero son causantes del 95% de la 
mortalidad. 
La mortalidad tiene 2 presentaciones: 
• Mortalidad precoz: Dentro de los primeros 6 días; a causa de la 
respuesta inflamatoria sistémica (shock y falla orgánica múltiple). 
• Mortalidad tardía: después de los 6 primeros días; a consecuencia 
de complicaciones locales (necrosis infectada o colecciones 
pancreáticas) y a distancia (neumonía, sepsis). 
La mortalidad en pacientes sin necrosis es 0%, en pacientes con 
necrosis estéril 0 a 11%, mientras que en necrosis infectada 
alcanza el 40 %.
ETIOLOGIA 
• Obstrucción del conducto pancreático.- Litiasis biliar, tumores de 
los conductos pancreáticos o de la ampolla de Vater, cuerpos 
extraños, parásitos y otros. 
• Toxinas.- Etanol, alcohol metílico, veneno de escorpión, órgano 
fosforados 
• Drogas.- Azatriopina, acido valproico, estrógenos, tetraciclinas, 
metronidazol. 
• Traumas.- quirúrgicos, accidentes, ERCP. 
• Alteraciones metabólicas.- Hiperlipidemia, hipercalcemia. 
• Infecciones.- Parásitos (Ascaris), virus (paperas, rubeola, hepatitis) 
bacterias (micoplasma, campilobacter yeyuni, micoplasma 
tuberculosis). 
• Isquemia.- Hipoperfusión, embolias arterioescleróticas, vasculitis.
PATOGENIA 
1. Obstrucción y secreción 
2. Teoría del conducto común 
3. Reflujo duodenal 
4. Aumento de la permeabilidad del conducto pancreático 
5. Autoactivación de enzimas
CUADRO CLINICO 
El ataque típico se inicia con dolor abdominal en epigastrio o en 
hemiabdomen superior de aparición súbita, de tipo continuo, de 
moderada a severa intensidad que a menudo se irradia a la espalda. 
Puede asociarse a nauseas y vómitos, distensión abdominal, ruidos 
hidroaereos disminuidos o abolidos. En caso de encontrase una 
masa palpable debe pensarse en flemón, pseudoquiste o absceso. 
Cuando la enfermedad es más grave el paciente puede tener signos 
de pérdidas intensas de líquido por secuestro de líquido en edema, 
sangre, espacios retroperitoneales, cavidad peritoneal (ascitis), y 
espacio pleural (derrame pleural). 
En 1% de los casos se encuentra equimosis periumbilical (signo de 
Cullen) y en ambos flancos (signo de Grey Turner).
EVOLUCION CLINICA 
• 1ª semana: Síndrome de respuesta inflamatoria sistémica 
Tº: >38 o <36 ºC; FC: >90; FR: >24; Leucocitosis: >16000 o 
<4000 
• 2ª semana: Necrosis 
• 3ª semana: Infección 
• 4ª semana: Complicaciones o resolución.
DIAGNOSTICO 
1. Laboratorial: 
• Amilasemia y amilasuria: La amilasa suele elevarse 2.5 veces de 
lo normal en el curso de 6 h de inicio del cuadro. Valor de 70 a 
200 U/100 ml. La amilasuria suele determinarse cuando el 
cuadro tiene mas de 3 días de evolución y los valores séricos 
suelen volver a valores normales. 
• Lipasa: Normal de 0 a 1 U/ml. Se considera patológico valores 
superiores a 2 U/ml, aunque usualmente alcanzan valores de 10 
U/ml. La lipasa dura mucho mas que la lipasa en sangre por lo 
que es útil para hacer diagnóstico tardío hasta 3 semanas de 
iniciado el cuadro.
1. 
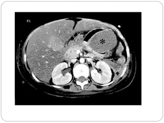
2. Imagenología: 
• Ecografia: Puede revelar un páncreas tumefacto, 
edematoso, acumulaciones peripancreáticas de 
líquido o seudoquistes. 
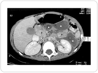
• Tomografía axial computadorizada con contraste: 
Puede apreciarse la viabilidad del páncreas en las 
zonas en la cual realza el contraste.
Es útil para demostrar 
crecimiento del 
páncreas, descubrir 
seudoquistes y 
determinar la 
extensión de 
flemones.
Signo del Colon interrumpido 
Un segmento de 
colon transverso 
lleno de gas que 
termina de 
manera repentina 
en el área de 
inflamación 
pancreática
Asa Centinela 
Es un segmento de 
intestino delgado 
lleno de aire, más 
comúnmente en el 
cuadrante superior 
izquierdo.
PRONOSTICO 
La identificación temprana de pacientes con mayor riesgo de 
complicaciones graves de la pancreatitis permitirá manejarlos de 
manera más agresiva y disminuir la mortalidad. Se han utilizado 
cuatro conductas diferentes: 
1. Búsqueda de marcadores bioquímicos específicos: Proteína C 
reactiva, PMN elastasa, interleukina 6. 
2. Predicción de la evolución mediante los sistemas de score 
múltiple: 
• Ramson 
• Imrie 
• APACHE II 
3. Tomografía axial computadorizada dinámica. 
4. Lavado peritoneal.
Marcadores bioquímicos de gravedad 
Se han investigado numerosas sustancias de las cuales las usadas son: 
• Proteína C reactiva: Se eleva en las formas graves. Se cuantifica a 
las 48 h en las cuales una concentración > 120 mg/dl tiene precisión 
de predecir formas graves en un 79-86%. El pico se observa al tercer 
o cuarto día: valores > 200 mg/dl indican una forma grave con 90% de 
precisión. 
• PMN elastasa: Concentraciones más elevadas en formas graves, 
pero con pico máximo el primer día del cuadro. Valor > 120 μg/l tiene 
una precisión de 84%. 
• Elastasa: Valores de ingreso mayores de 120 UI/ml tienen una 
precisión del 75% y el pico a las 24 h >130 UI/ml del 83%.
CRITERIOS DE RANSOM 
Al ingreso 
• Edad (años) 
• Leucocitosis mm3 
• Glicemia (mg%) 
• LDH (UI/L) 
• TGO (UI/L) 
Después de 48 hrs 
• Descenso del hematocrito (%) 
• Elevación de la urea (mg%) 
• Calcio (mg%) 
• pO2 arterial (mmHg) 
• Déficit de bases 
• Secuestro de líquido (L) 
Etiología biliar 
>70 
>18000 
>220 
>400 
>120 
>10 
>2 
<8 
- 
>5 
>4 
Etiología no biliar 
>55 
>16000 
>200 
>350 
>120 
>10 
>5 
<8 
<60 
>4 
>6
Criterios de Imrie (Glasgow) 
Al ingreso: 
• Leucocitosis > 15000 mm3 
• Uremia > 45 mg/dl 
• PaO2 < 60 mmHg 
• Albuminemia < 3,2 g/dl 
• LDH sérica > 600 UI/l 
A las 48 horas 
• Glicemia > 180 mg/dl 
• Uremia >45 mg/dl 
• Calcemia < 8 mg/dl 
• TGO o TGP sérica > 200 UI/l
CRITERIOS DE RANSOM Y GLASCOW (SCORE IMRIE) 
Nº de factores 
0 – 2 
3 – 4 
5 – 6 
>6 
Mortalidad 
< 1% 
> 15% 
> 40% 
100%
APACHE II 
Acute Physiology And Chronic Health Evaluation es un sistema que 
permite cuantificar la gravedad de la enfermedad a través de la 
valoración de 12 variables fisiológicas, que expresan la intensidad 
de la enfermedad y, por tanto, el estado clínico del paciente. Se 
valora al paciente en tres etapas: 
• En la primera se evalúa parámetros clínico-fisiológicos que reflejan 
la afectación fisiológica. 
• En la segunda se evalúa la edad del paciente. 
• La tercera etapa corresponde a la clasificación del diagnóstico 
principal en uno de los sistemas orgánicos principales.
Límites aallttooss aannóómmaallooss NNoorrmmaall LLíímmiitteess bbaajjooss aannóómmaallooss 
VVaarriiaabblleess ffiissiioollóóggiiccaass ++4 ++3 ++22 ++11 00 ++11 ++22 ++3 ++4 
TTeemmppeerraattuurraa,, rreeccttaall ((ºCC)) ³4411º 3399--4400,,99º ------ 3388,,55-- 
3388,,99º 3366--3388,,44º 3344--3344,,55º 3322--3333,,99º 3300--3311,,99º £2299,,99º 
PPrreessiióónn aarrtteerriiaall mmeeddiiaa ((mmmmHHgg)) ³116600 113300--115599 111100--112299 ------ 7700--110099 ------ 5500--6699 ------ £4499 
FFrreeccuueenncciiaa ccaarrddííaaccaa 
((llaattiiddooss//mmiinnuuttoo)) ³118800 114400--117799 111100--113399 ------ 7700--110099 ------ 5555--6699 4400--5544 £3399 
FFrreeccuueenncciiaa rreessppiirraattoorriiaa 
((rreesspp//mmiinnuuttoo)) ³5500 3333--4499 ------ 2255--3344 1122--2244 1100--1111 66--99 ------ £55 
OOxxiiggeennaacciióónn:: AAaaDDOO22 oo PPaaOO22 ((mmmmHHgg)) 
FFiiOO22 <<00,,55,, rreeggiissttrraarr ssóólloo PPaaOO22 ------ ------ ------ ------ PPOO22>>7700 PPOO22 6611-- 
7700 --- PPOO22 5555-- 
6600 
PPOO22 <<5555 
ppHH aarrtteerriiaall ³77,,77 77,,66--77,,6699 ------ 77,,55--77,,5599 77,,3333-- 
77,,4499 ------ 77,,2255-- 
77,,3322 
77,,1155-- 
77,,2244 <<77,,1155 
SSooddiioo sséérriiccoo ((mmmmooll//ll)) ³118800 116600--117799 115555--115599 115500--115544 113300--114499 ------ 112200--112299 111111--111199 £111100 
PPoottaassiioo sséérriiccoo ((mmmmooll//ll)) ³77 66--66,,99 ------ 55,,55--55,,99 33,,55--55,,44 33--33,,44 22,,55--22,,99 ------ <<22,,55 
CCrreeaattiinniinnaa sséérriiccaa ((mmgg//ddll)) 
((ppuunnttuuaacciióónn ddoobbllee ppaarraa II RReennaall 
AAgguuddaa)) 
³33,,55 22--33,,44 11,,55--11,,99 ------ 00,,66--11,,44 ------ <<00,,66 ------ ------ 
HHeemmaattooccrriittoo ((%%)) ³6600 ------ 5500--5500,,99 4466--4499,,99 3300--4455,,99 ------ 2200--2200,,99 ------ <<2200 
RReeccuueennttoo ddee lleeuuccoocciittooss 
((ttoottaall//mmmm33)) ³4400 ------ 2200--3399,,99 1155--1199,,99 33--1144,,99 ------ 11--22,,99 ------ <<11 
PPuunnttuuaacciióónn GGLLAASSGGOOWW CCOOMMAA SSCCOORREE == 1155 –– PPuunnttuuaacciióónn GGCCSS rreeaall 
AA PPUUNNTTUUAACCIIÓÓNN FFIISSIIOOLLÓÓGGIICCAA AAGGUUDDAA ((PPFFAA)) ttoottaall == SSuummaarr llooss ppuunnttooss ddee llaass 1122 vvaarriiaabblleess 
HHCCOOsséérriiccoo ((vveennoossoo,, mmmmooll//ll)) ((nnoo 
33 eess ddee eelleecccciióónn,, uussaarr ssii nnoo hhaayy 
³5522 4411--5511,,99 ------ 3322--4400,,99 2222--3311,,99 ------ 1188--2211,,99 1155--1177,,99 <<1155 
GGSSAA
Puntos de Edad: 
Asignar puntos de edad del siguiente modo: 
EEddaadd ((aaññooss)) PPuunnttooss 
£ 4444 00 
4455--5544 22 
5555--6644 33 
6655--7744 55 
³ 7755 66
Puntos de salud crónica: 
Si el paciente tiene antecedentes de insuficiencia grave de sistemas 
orgánicos o está inmunocomprometido, asignar puntos del siguiente modo: 
a: Para pacientes no quirúrgicos o postoperatorios de urgencias: 5 puntos, o 
b: Para pacientes postoperatorios electivos: 2 puntos. 
Definiciones: 
Un estado de insuficiencia orgánica o inmunodeficiencia ha de ser evidente 
antes del ingreso hospitalario y cumplir los criterios siguientes: 
Hígado: Cirrosis, episodios de hemorragia GI alta y previa, atribuida a la 
hipertensión portal, o insuficiencia hepática/encefalopatía/coma.
Cardiovascular: Clase funciona IV de la New York Heart 
Association. 
Respiratoria: Enfermedad restrictiva, obstructiva crónica, o 
vasculopatía que origina una grave limitación del ejercicio, o 
hipoxia crónica, hipercapnia, hipertensión pulmonar grave (> 40 
mmHg) documentadas, o dependencia de un ventilador. 
Renal: Dependencia de diálisis crónica. 
Inmunocomprometido: El paciente ha recibido tratamiento 
inmunosupresor, quimioterapia/radioterapia, tratamiento esteroide 
prolongado o reciente con dosis elevadas; o padece una 
enfermedad que está lo bastante avanzada como para suprimir la 
resistencia a las, por ejemplo, leucemia, linfoma, SIDA.
Puntuación APACHE II 
Puntuación APACHE II 
Suma de A + B + C 
Suma de A + B + C 
A Puntos de PFA: _______ 
B Puntos de edad: 
C Puntos de salud crónica: 
Total APACHE II: _______ 
A Puntos de PFA: _______ 
B Puntos de edad: 
C Puntos de salud crónica: 
Total APACHE II: _______ 
Tiene una eficiencia del 77 al 88% con un puntaje de 8 o >.
Lavado peritoneal: criterios de Mc Mahon 
Los criterios utilizados por Mayer y Mc Mahon como pronósticos de un 
ataque grave son: 
1. Aspiración de 20 ml o más de líquido libre en cavidad sin importar su 
color. 
2. Aspiración de líquido ascítico libre de color oscuro. 
3. Un retorno del líquido de lavado peritoneal de color rojizo.
HALLAZGOS DE LA TAC 
TAC sin contraste (Balthazar) 
GGrraaddoo HHaallllaazzggooss SSccoorree 
AA PPáánnccrreeaass nnoorrmmaall 00 
BB AAuummeennttoo ddee ttaammaaññoo ffooccaall oo ddiiffuussoo 11 
CC PPáánnccrreeaass aannoorrmmaall ccoonn iinnffllaammaacciióónn ppeerriippaannccrreeááttiiccaa 22 
DD 11 ccoolleecccciióónn iinnttrraa oo eexxttrraappaannccrreeááttiiccaa 33 
EE 22 oo mmááss ccoolleecccciioonneess oo ggaass rreettrrooppeerriittoonneeaall 44 
Score de necrosis con TAC con 
contraste 
% ddee nneeccrroossiiss SSccoorree 
00 00 
<< 3300 22 
3300--5500 44 
>>5500 66
INDICE DE GRAVEDAD DE PANCREATITIS POR HALLAZGOS DE LA TAC 
El índice da un score máximo de10. 
Score Mortalidad 
• 0 – 3 4% 
• 4 – 6 35% 
• 7 – 10 100%
TRATAMIENTO 
Se debe diferenciar: 
• Tratamiento temprano de la inflamación pancretática. 
• Tratamiento tardío de las complicaciones locales 
• Tratamiento diferido de la patología causal
Tratamiento de la inflamación pancreática 
La duración del periodo agudo oscila entre 48 horas y 15 
días según el grado de injuria pancreática y la magnitud 
de respuésta orgánica. 
El tratamiento se basa en 4 medidas: 
• Supresión de la ingesta oral 
• Analgesia 
• Prevención y tratamiento de complicaciones sistémicas 
• Antibioticoterapia selectiva.
Supresión de la ingesta oral 
Tanto líquidos como sólidos. También la alimentación 
parenteral está contraindicada durante la inflamación 
aguda. Se recomienda reiniciar la dieta una vez haya 
pasado el episodio agudo. 
Analgesia 
Esencial durante las primeras 48 horas. Se indica el 
hidroclorhidrato de meperidina.
Prevenir complicaciones sistémicas 
Se debe mantener el volumen intravascular y la presión 
capilar, lo cual requiere una vía venosa cantral o un cateter 
de Swan-Ganz. Monitorear función renal, respiratoria y 
cardiovascular. 
Mantener: 
• Presión venosa central en 10 cm de H2O 
• pO2 en más de 70 mmHg 
• Diuresis en más de 50 ml/hora 
• Presión arterial sistólica >100 mmHg 
Administración de antibióticos 
Está indicada en ataques con lesión local significativa para 
disminuir el riesgo de infección. 
Para prevenir la colangitis en ataques de etiología biliar 
asociados con colédoco dilatado en ecografía.
PENETRACION ANTIBIOTICA EN PANCREAS 
Según su penetración al páncreas se clasifican en: 
• Grupo A: baja penetración. La concentración pancreática no 
alcanza la CIM. En este grupo se encuentran los 
aminoglucósidos, la ampicilina y las cefalosporinas de 1ª 
generación. 
• Grupo B: penetración moderada. La concentración en 
páncreas alcanza la CIM de algunas bacterias. En este grupo 
se encuentran las cefalosporinasde 3ª generación y las 
penicilinas de espectro aumentado. 
• Grupo C: alta penetración. Alcanza concentraciones muy 
superiores a la CMI de las bacterias sensibles. En este grupo 
se encuentran las quinolonas, los carbapenemes y el 
metronidazol.
AGENTES ETIOLOGICOS DE LA NECROSIS INFECTADA 
Bacilos Gram (-): Enterobacterias 50-75% E. Coli 25-35% 
Klebsiella spp 10-25% 
Enterobacter 3-7% 
Proteus 8-10% 
Otros bacilos Gram (-) Pseudomonas 11-16% 
Cocos Gram (+) S. aureus 10-15% 
Enterococcus 4-7% 
Anaerobios 6-16%
Tratamiento de las complicaciones locales 
Las complicaciones locales tardías de la pancreatitis aguda se 
clasifican en: 
• Necrosis infectada 
• Absceso 
• Pseudoquiste agudo
Necrosis infectada 
Es la complicación más grave. Se la define como la 
presencia de tejidos necróticos intrapancreáticos y/o 
extrapancreáticos de bacteriología positiva, con pus o sin 
esta. Se asocia siempre a pancreatitis grave 
El diagnóstico se hace mediante el análisis bacteriológico de 
una punción percutánea guiada por ecografía o tomografía 
computadorizada
Absceso 
Es una colección bien circunscrita de pus con mínima o 
ninguna necrosis. Puede ocurrir en ataques inicialmente 
graves asi como en los que inician como leves. También 
se usa la bacteriología percutánea como único medio de 
diagnóstico
Abceso Pancreático
Quiste Pancreático
Diagnóstico de infección 
Criterios clínicos: Reactivación del sindrome de respuesta 
inflamatorio después de la desactivación del mismo. 
Síndrome de respuesta inflamatoria sistémica persistente por 
más de 7 a 10 días que se asocia a necrosis y a bateriología 
percutánea positiva. 
Criterios radiológicos: Presencia de áreas de necrosis en más 
de 30%, o presencia de gas retroperitoneal. 
Bacteriología percutánea positiva.
Procedimientos quirúrgicos 
El objetivo es eliminar tanto las colecciones purulentas como los 
tejidos necróticos infectados. 
Existen dos procedimientos: 
• Drenaje externo por medio de uno o más tubos multiperforados es 
el tratamiento de elección en el absceso. 
• La necresectomía y el drenaje del lecho quirúrgico es el 
tratamiento de elección en la necrosis infectada. Técnica de 
Bradley III
Tratamiento de la patología causal 
La identificación y tratamiento de la patología causal son 
fundamentales para evitar la repetición del ataque. 
Cuando la etiología tiene tratamiento quirúrgico definitivo y el 
ataque evoluciona sin complicaciones, la cirugía debe 
indicarse durante la misma internación. 
Cuando el ataque evoluciona con complicaciones locales, la 
cirugía de la patología se realizará simultáneamente con el 
tratamiento de las complicaciones. 
Debe indicarse la ERCP en obstrucciones de vias biliares no 
litiásica (tumores de papila, anomalías de los conductos o 
disfunciones del esfinter de Oddi).
Fin 
Complementar con literatura específica

Pancreatitis aguda.

  • 1.
    PANCREATITIS AGUDA Nociones elementales Servicio de Cirugía General Dr. Dardo Iver Menacho C HUMSJDD
  • 2.
  • 3.
    INTRODUCCION Órgano retroperitoneallobulado, de 10 a 15 cm de largo y 70 a 100 gr de peso. Tiene las sgtes.las sgte porciones: cabeza, cuello, cuerpo y cola. Funcionalmente se divide en páncreas exócrino y páncreas endócrino. La secreción exócrina está dada por las células acinares y está constituída por enzimas encargadas de la digestión de lípidos, hidratos de carbono y proteínas. La secreción endócrina está dada por las células de los islotes de Langerhans las cuales secretan glucagón, insulina y somatostatina
  • 4.
    Enzimas digestivas enel jugo pancreático PPrrooeennzziimmaa EEnnzziimmaa Enzimas Proteolíticas Tripsinógeno Quimotripsinógeno Proelastasa Procarboxipeptidasa (A y B) Tripsina Quimotripsina Elastasa Carboxipepetidasa (A y B) Enzimas Amiloidíticas Amilasa Enzimas Lipolíticas Profosfolipasa Lipasa Fosfolipasa A2 Nucleasas Desoxirribonucleasa Ribonucleasa Otros Procolipasa Colipasa Inhibidor de la tripsina
  • 5.
    Fisiología PANCREAS EXOCRINO RReegguullaacciióónn PPaannccrreeááttiiccaa NNeerrvviioossaa HHuummoorraall VVaaggaall SSiimmppááttiiccaa PPaarraassiimmppááttiiccaa Favorece la secreción Inhibidora Liberación de enzimas SSeeccrreettiinnaa CCrraatt.. kkiinnaass de volumen y bicarbonato Estimula secreción de enzimas Duodeno y yeyuno proximal
  • 6.
    PPáánnccrreeaass eennddooccrriinnoo Células de los islotes Hormonas Funciones β (células beta) Insulina Disminuye la gluconeogénesis, glucogenólisis, catabolismo de ácidos grasos y cetogénesis Aumenta la glucogénesis y síntesis de proteínas. Amilina Pancreaestatina Contrarregula la secreción y función de la insulina. Disminuye la liberación de insulina y somatostatina Aumenta la liberación de glucagón Disminuye la secreción pancreática exócrina a (célula alfa) Glucagón Efectos opuestos a los de la insulina; incremento de la glucogenólisis y gluconeogénesis hepática. d (célul a delta) Somatostatina Inhibe la secreción gastrointestinal Inhibe la secreción y acción de todos los péptidos endocrinos gastrointestinales Inhibe el crecimiento celular Célula PP Polipéptido pancreático Inhibe las secreciones exócrina pancreática y de insulina. Faclita el efecto hepático de la insulina
  • 8.
    DEFINICIONES Simposio deAtlanta (1992): • Pancreatitis aguda leve: proceso inflamatorio pancreático agudo en que el hallazgo patológico fundamental es el edema intersticial y existe mínimo compromiso sistémico. • Pancreatitis aguda grave: es la que se asocia a fallas orgánicas sistémicas y/o complicaciones locales como pseudoquiste o absceso. Generalmente es a consecuencia de necrosis pancreática.
  • 9.
    • Necrosis: zonaslocalizadas o difusas de tejido pancreático no viable que se asocian a necrosis grasa peripancreática. • Colecciones líquidas agudas: colecciones de densidad líquida que carecen de pared y se presentan precozmente en el páncreas o cerca de él. • Pseudoquiste: formación de densidad líquida caracterizada por la existencia de una pared de tejido fibroso o granulatorio que aparece no antes de las 4 semanas desde el inico del cuadro. • Absceso pancreático: colección circunscrita de pus, en el páncreas o su vesindad, que aparece como concecuencia de una pancreatitis aguda.
  • 10.
    MMOORRTTAALLIIDDAADD La pancreatitises leve en el 80% de los casos. Solo 20% cumple con criterios de gravedad, pero son causantes del 95% de la mortalidad. La mortalidad tiene 2 presentaciones: • Mortalidad precoz: Dentro de los primeros 6 días; a causa de la respuesta inflamatoria sistémica (shock y falla orgánica múltiple). • Mortalidad tardía: después de los 6 primeros días; a consecuencia de complicaciones locales (necrosis infectada o colecciones pancreáticas) y a distancia (neumonía, sepsis). La mortalidad en pacientes sin necrosis es 0%, en pacientes con necrosis estéril 0 a 11%, mientras que en necrosis infectada alcanza el 40 %.
  • 11.
    ETIOLOGIA • Obstruccióndel conducto pancreático.- Litiasis biliar, tumores de los conductos pancreáticos o de la ampolla de Vater, cuerpos extraños, parásitos y otros. • Toxinas.- Etanol, alcohol metílico, veneno de escorpión, órgano fosforados • Drogas.- Azatriopina, acido valproico, estrógenos, tetraciclinas, metronidazol. • Traumas.- quirúrgicos, accidentes, ERCP. • Alteraciones metabólicas.- Hiperlipidemia, hipercalcemia. • Infecciones.- Parásitos (Ascaris), virus (paperas, rubeola, hepatitis) bacterias (micoplasma, campilobacter yeyuni, micoplasma tuberculosis). • Isquemia.- Hipoperfusión, embolias arterioescleróticas, vasculitis.
  • 12.
    PATOGENIA 1. Obstruccióny secreción 2. Teoría del conducto común 3. Reflujo duodenal 4. Aumento de la permeabilidad del conducto pancreático 5. Autoactivación de enzimas
  • 13.
    CUADRO CLINICO Elataque típico se inicia con dolor abdominal en epigastrio o en hemiabdomen superior de aparición súbita, de tipo continuo, de moderada a severa intensidad que a menudo se irradia a la espalda. Puede asociarse a nauseas y vómitos, distensión abdominal, ruidos hidroaereos disminuidos o abolidos. En caso de encontrase una masa palpable debe pensarse en flemón, pseudoquiste o absceso. Cuando la enfermedad es más grave el paciente puede tener signos de pérdidas intensas de líquido por secuestro de líquido en edema, sangre, espacios retroperitoneales, cavidad peritoneal (ascitis), y espacio pleural (derrame pleural). En 1% de los casos se encuentra equimosis periumbilical (signo de Cullen) y en ambos flancos (signo de Grey Turner).
  • 14.
    EVOLUCION CLINICA •1ª semana: Síndrome de respuesta inflamatoria sistémica Tº: >38 o <36 ºC; FC: >90; FR: >24; Leucocitosis: >16000 o <4000 • 2ª semana: Necrosis • 3ª semana: Infección • 4ª semana: Complicaciones o resolución.
  • 15.
    DIAGNOSTICO 1. Laboratorial: • Amilasemia y amilasuria: La amilasa suele elevarse 2.5 veces de lo normal en el curso de 6 h de inicio del cuadro. Valor de 70 a 200 U/100 ml. La amilasuria suele determinarse cuando el cuadro tiene mas de 3 días de evolución y los valores séricos suelen volver a valores normales. • Lipasa: Normal de 0 a 1 U/ml. Se considera patológico valores superiores a 2 U/ml, aunque usualmente alcanzan valores de 10 U/ml. La lipasa dura mucho mas que la lipasa en sangre por lo que es útil para hacer diagnóstico tardío hasta 3 semanas de iniciado el cuadro.
  • 16.
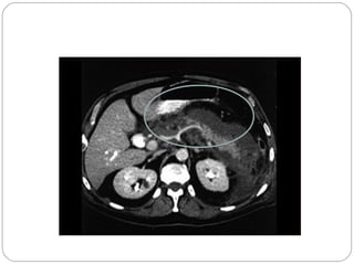
    1. 2. Imagenología: • Ecografia: Puede revelar un páncreas tumefacto, edematoso, acumulaciones peripancreáticas de líquido o seudoquistes. • Tomografía axial computadorizada con contraste: Puede apreciarse la viabilidad del páncreas en las zonas en la cual realza el contraste.
  • 18.
    Es útil parademostrar crecimiento del páncreas, descubrir seudoquistes y determinar la extensión de flemones.
  • 19.
    Signo del Coloninterrumpido Un segmento de colon transverso lleno de gas que termina de manera repentina en el área de inflamación pancreática
  • 20.
    Asa Centinela Esun segmento de intestino delgado lleno de aire, más comúnmente en el cuadrante superior izquierdo.
  • 21.
    PRONOSTICO La identificacióntemprana de pacientes con mayor riesgo de complicaciones graves de la pancreatitis permitirá manejarlos de manera más agresiva y disminuir la mortalidad. Se han utilizado cuatro conductas diferentes: 1. Búsqueda de marcadores bioquímicos específicos: Proteína C reactiva, PMN elastasa, interleukina 6. 2. Predicción de la evolución mediante los sistemas de score múltiple: • Ramson • Imrie • APACHE II 3. Tomografía axial computadorizada dinámica. 4. Lavado peritoneal.
  • 22.
    Marcadores bioquímicos degravedad Se han investigado numerosas sustancias de las cuales las usadas son: • Proteína C reactiva: Se eleva en las formas graves. Se cuantifica a las 48 h en las cuales una concentración > 120 mg/dl tiene precisión de predecir formas graves en un 79-86%. El pico se observa al tercer o cuarto día: valores > 200 mg/dl indican una forma grave con 90% de precisión. • PMN elastasa: Concentraciones más elevadas en formas graves, pero con pico máximo el primer día del cuadro. Valor > 120 μg/l tiene una precisión de 84%. • Elastasa: Valores de ingreso mayores de 120 UI/ml tienen una precisión del 75% y el pico a las 24 h >130 UI/ml del 83%.
  • 23.
    CRITERIOS DE RANSOM Al ingreso • Edad (años) • Leucocitosis mm3 • Glicemia (mg%) • LDH (UI/L) • TGO (UI/L) Después de 48 hrs • Descenso del hematocrito (%) • Elevación de la urea (mg%) • Calcio (mg%) • pO2 arterial (mmHg) • Déficit de bases • Secuestro de líquido (L) Etiología biliar >70 >18000 >220 >400 >120 >10 >2 <8 - >5 >4 Etiología no biliar >55 >16000 >200 >350 >120 >10 >5 <8 <60 >4 >6
  • 24.
    Criterios de Imrie(Glasgow) Al ingreso: • Leucocitosis > 15000 mm3 • Uremia > 45 mg/dl • PaO2 < 60 mmHg • Albuminemia < 3,2 g/dl • LDH sérica > 600 UI/l A las 48 horas • Glicemia > 180 mg/dl • Uremia >45 mg/dl • Calcemia < 8 mg/dl • TGO o TGP sérica > 200 UI/l
  • 25.
    CRITERIOS DE RANSOMY GLASCOW (SCORE IMRIE) Nº de factores 0 – 2 3 – 4 5 – 6 >6 Mortalidad < 1% > 15% > 40% 100%
  • 26.
    APACHE II AcutePhysiology And Chronic Health Evaluation es un sistema que permite cuantificar la gravedad de la enfermedad a través de la valoración de 12 variables fisiológicas, que expresan la intensidad de la enfermedad y, por tanto, el estado clínico del paciente. Se valora al paciente en tres etapas: • En la primera se evalúa parámetros clínico-fisiológicos que reflejan la afectación fisiológica. • En la segunda se evalúa la edad del paciente. • La tercera etapa corresponde a la clasificación del diagnóstico principal en uno de los sistemas orgánicos principales.
  • 27.
    Límites aallttooss aannóómmaalloossNNoorrmmaall LLíímmiitteess bbaajjooss aannóómmaallooss VVaarriiaabblleess ffiissiioollóóggiiccaass ++4 ++3 ++22 ++11 00 ++11 ++22 ++3 ++4 TTeemmppeerraattuurraa,, rreeccttaall ((ºCC)) ³4411º 3399--4400,,99º ------ 3388,,55-- 3388,,99º 3366--3388,,44º 3344--3344,,55º 3322--3333,,99º 3300--3311,,99º £2299,,99º PPrreessiióónn aarrtteerriiaall mmeeddiiaa ((mmmmHHgg)) ³116600 113300--115599 111100--112299 ------ 7700--110099 ------ 5500--6699 ------ £4499 FFrreeccuueenncciiaa ccaarrddííaaccaa ((llaattiiddooss//mmiinnuuttoo)) ³118800 114400--117799 111100--113399 ------ 7700--110099 ------ 5555--6699 4400--5544 £3399 FFrreeccuueenncciiaa rreessppiirraattoorriiaa ((rreesspp//mmiinnuuttoo)) ³5500 3333--4499 ------ 2255--3344 1122--2244 1100--1111 66--99 ------ £55 OOxxiiggeennaacciióónn:: AAaaDDOO22 oo PPaaOO22 ((mmmmHHgg)) FFiiOO22 <<00,,55,, rreeggiissttrraarr ssóólloo PPaaOO22 ------ ------ ------ ------ PPOO22>>7700 PPOO22 6611-- 7700 --- PPOO22 5555-- 6600 PPOO22 <<5555 ppHH aarrtteerriiaall ³77,,77 77,,66--77,,6699 ------ 77,,55--77,,5599 77,,3333-- 77,,4499 ------ 77,,2255-- 77,,3322 77,,1155-- 77,,2244 <<77,,1155 SSooddiioo sséérriiccoo ((mmmmooll//ll)) ³118800 116600--117799 115555--115599 115500--115544 113300--114499 ------ 112200--112299 111111--111199 £111100 PPoottaassiioo sséérriiccoo ((mmmmooll//ll)) ³77 66--66,,99 ------ 55,,55--55,,99 33,,55--55,,44 33--33,,44 22,,55--22,,99 ------ <<22,,55 CCrreeaattiinniinnaa sséérriiccaa ((mmgg//ddll)) ((ppuunnttuuaacciióónn ddoobbllee ppaarraa II RReennaall AAgguuddaa)) ³33,,55 22--33,,44 11,,55--11,,99 ------ 00,,66--11,,44 ------ <<00,,66 ------ ------ HHeemmaattooccrriittoo ((%%)) ³6600 ------ 5500--5500,,99 4466--4499,,99 3300--4455,,99 ------ 2200--2200,,99 ------ <<2200 RReeccuueennttoo ddee lleeuuccoocciittooss ((ttoottaall//mmmm33)) ³4400 ------ 2200--3399,,99 1155--1199,,99 33--1144,,99 ------ 11--22,,99 ------ <<11 PPuunnttuuaacciióónn GGLLAASSGGOOWW CCOOMMAA SSCCOORREE == 1155 –– PPuunnttuuaacciióónn GGCCSS rreeaall AA PPUUNNTTUUAACCIIÓÓNN FFIISSIIOOLLÓÓGGIICCAA AAGGUUDDAA ((PPFFAA)) ttoottaall == SSuummaarr llooss ppuunnttooss ddee llaass 1122 vvaarriiaabblleess HHCCOOsséérriiccoo ((vveennoossoo,, mmmmooll//ll)) ((nnoo 33 eess ddee eelleecccciióónn,, uussaarr ssii nnoo hhaayy ³5522 4411--5511,,99 ------ 3322--4400,,99 2222--3311,,99 ------ 1188--2211,,99 1155--1177,,99 <<1155 GGSSAA
  • 28.
    Puntos de Edad: Asignar puntos de edad del siguiente modo: EEddaadd ((aaññooss)) PPuunnttooss £ 4444 00 4455--5544 22 5555--6644 33 6655--7744 55 ³ 7755 66
  • 29.
    Puntos de saludcrónica: Si el paciente tiene antecedentes de insuficiencia grave de sistemas orgánicos o está inmunocomprometido, asignar puntos del siguiente modo: a: Para pacientes no quirúrgicos o postoperatorios de urgencias: 5 puntos, o b: Para pacientes postoperatorios electivos: 2 puntos. Definiciones: Un estado de insuficiencia orgánica o inmunodeficiencia ha de ser evidente antes del ingreso hospitalario y cumplir los criterios siguientes: Hígado: Cirrosis, episodios de hemorragia GI alta y previa, atribuida a la hipertensión portal, o insuficiencia hepática/encefalopatía/coma.
  • 30.
    Cardiovascular: Clase funcionaIV de la New York Heart Association. Respiratoria: Enfermedad restrictiva, obstructiva crónica, o vasculopatía que origina una grave limitación del ejercicio, o hipoxia crónica, hipercapnia, hipertensión pulmonar grave (> 40 mmHg) documentadas, o dependencia de un ventilador. Renal: Dependencia de diálisis crónica. Inmunocomprometido: El paciente ha recibido tratamiento inmunosupresor, quimioterapia/radioterapia, tratamiento esteroide prolongado o reciente con dosis elevadas; o padece una enfermedad que está lo bastante avanzada como para suprimir la resistencia a las, por ejemplo, leucemia, linfoma, SIDA.
  • 31.
    Puntuación APACHE II Puntuación APACHE II Suma de A + B + C Suma de A + B + C A Puntos de PFA: _______ B Puntos de edad: C Puntos de salud crónica: Total APACHE II: _______ A Puntos de PFA: _______ B Puntos de edad: C Puntos de salud crónica: Total APACHE II: _______ Tiene una eficiencia del 77 al 88% con un puntaje de 8 o >.
  • 32.
    Lavado peritoneal: criteriosde Mc Mahon Los criterios utilizados por Mayer y Mc Mahon como pronósticos de un ataque grave son: 1. Aspiración de 20 ml o más de líquido libre en cavidad sin importar su color. 2. Aspiración de líquido ascítico libre de color oscuro. 3. Un retorno del líquido de lavado peritoneal de color rojizo.
  • 33.
    HALLAZGOS DE LATAC TAC sin contraste (Balthazar) GGrraaddoo HHaallllaazzggooss SSccoorree AA PPáánnccrreeaass nnoorrmmaall 00 BB AAuummeennttoo ddee ttaammaaññoo ffooccaall oo ddiiffuussoo 11 CC PPáánnccrreeaass aannoorrmmaall ccoonn iinnffllaammaacciióónn ppeerriippaannccrreeááttiiccaa 22 DD 11 ccoolleecccciióónn iinnttrraa oo eexxttrraappaannccrreeááttiiccaa 33 EE 22 oo mmááss ccoolleecccciioonneess oo ggaass rreettrrooppeerriittoonneeaall 44 Score de necrosis con TAC con contraste % ddee nneeccrroossiiss SSccoorree 00 00 << 3300 22 3300--5500 44 >>5500 66
  • 38.
    INDICE DE GRAVEDADDE PANCREATITIS POR HALLAZGOS DE LA TAC El índice da un score máximo de10. Score Mortalidad • 0 – 3 4% • 4 – 6 35% • 7 – 10 100%
  • 39.
    TRATAMIENTO Se debediferenciar: • Tratamiento temprano de la inflamación pancretática. • Tratamiento tardío de las complicaciones locales • Tratamiento diferido de la patología causal
  • 40.
    Tratamiento de lainflamación pancreática La duración del periodo agudo oscila entre 48 horas y 15 días según el grado de injuria pancreática y la magnitud de respuésta orgánica. El tratamiento se basa en 4 medidas: • Supresión de la ingesta oral • Analgesia • Prevención y tratamiento de complicaciones sistémicas • Antibioticoterapia selectiva.
  • 41.
    Supresión de laingesta oral Tanto líquidos como sólidos. También la alimentación parenteral está contraindicada durante la inflamación aguda. Se recomienda reiniciar la dieta una vez haya pasado el episodio agudo. Analgesia Esencial durante las primeras 48 horas. Se indica el hidroclorhidrato de meperidina.
  • 42.
    Prevenir complicaciones sistémicas Se debe mantener el volumen intravascular y la presión capilar, lo cual requiere una vía venosa cantral o un cateter de Swan-Ganz. Monitorear función renal, respiratoria y cardiovascular. Mantener: • Presión venosa central en 10 cm de H2O • pO2 en más de 70 mmHg • Diuresis en más de 50 ml/hora • Presión arterial sistólica >100 mmHg Administración de antibióticos Está indicada en ataques con lesión local significativa para disminuir el riesgo de infección. Para prevenir la colangitis en ataques de etiología biliar asociados con colédoco dilatado en ecografía.
  • 43.
    PENETRACION ANTIBIOTICA ENPANCREAS Según su penetración al páncreas se clasifican en: • Grupo A: baja penetración. La concentración pancreática no alcanza la CIM. En este grupo se encuentran los aminoglucósidos, la ampicilina y las cefalosporinas de 1ª generación. • Grupo B: penetración moderada. La concentración en páncreas alcanza la CIM de algunas bacterias. En este grupo se encuentran las cefalosporinasde 3ª generación y las penicilinas de espectro aumentado. • Grupo C: alta penetración. Alcanza concentraciones muy superiores a la CMI de las bacterias sensibles. En este grupo se encuentran las quinolonas, los carbapenemes y el metronidazol.
  • 44.
    AGENTES ETIOLOGICOS DELA NECROSIS INFECTADA Bacilos Gram (-): Enterobacterias 50-75% E. Coli 25-35% Klebsiella spp 10-25% Enterobacter 3-7% Proteus 8-10% Otros bacilos Gram (-) Pseudomonas 11-16% Cocos Gram (+) S. aureus 10-15% Enterococcus 4-7% Anaerobios 6-16%
  • 45.
    Tratamiento de lascomplicaciones locales Las complicaciones locales tardías de la pancreatitis aguda se clasifican en: • Necrosis infectada • Absceso • Pseudoquiste agudo
  • 46.
    Necrosis infectada Esla complicación más grave. Se la define como la presencia de tejidos necróticos intrapancreáticos y/o extrapancreáticos de bacteriología positiva, con pus o sin esta. Se asocia siempre a pancreatitis grave El diagnóstico se hace mediante el análisis bacteriológico de una punción percutánea guiada por ecografía o tomografía computadorizada
  • 49.
    Absceso Es unacolección bien circunscrita de pus con mínima o ninguna necrosis. Puede ocurrir en ataques inicialmente graves asi como en los que inician como leves. También se usa la bacteriología percutánea como único medio de diagnóstico
  • 51.
  • 52.
  • 53.
    Diagnóstico de infección Criterios clínicos: Reactivación del sindrome de respuesta inflamatorio después de la desactivación del mismo. Síndrome de respuesta inflamatoria sistémica persistente por más de 7 a 10 días que se asocia a necrosis y a bateriología percutánea positiva. Criterios radiológicos: Presencia de áreas de necrosis en más de 30%, o presencia de gas retroperitoneal. Bacteriología percutánea positiva.
  • 54.
    Procedimientos quirúrgicos Elobjetivo es eliminar tanto las colecciones purulentas como los tejidos necróticos infectados. Existen dos procedimientos: • Drenaje externo por medio de uno o más tubos multiperforados es el tratamiento de elección en el absceso. • La necresectomía y el drenaje del lecho quirúrgico es el tratamiento de elección en la necrosis infectada. Técnica de Bradley III
  • 56.
    Tratamiento de lapatología causal La identificación y tratamiento de la patología causal son fundamentales para evitar la repetición del ataque. Cuando la etiología tiene tratamiento quirúrgico definitivo y el ataque evoluciona sin complicaciones, la cirugía debe indicarse durante la misma internación. Cuando el ataque evoluciona con complicaciones locales, la cirugía de la patología se realizará simultáneamente con el tratamiento de las complicaciones. Debe indicarse la ERCP en obstrucciones de vias biliares no litiásica (tumores de papila, anomalías de los conductos o disfunciones del esfinter de Oddi).
  • 57.
    Fin Complementar conliteratura específica

Notas del editor