ENFERMEDADES TRANSMITIDAS
POR VECTORES
LEISHMANIASIS Y TRIPANOSOMIASIS
OBJETIVO
Difundir entre los Profesionales de la Salud, los
conceptos y las recomendaciones que deben
guiar al actuar con respecto a la detección
precoz, manejo y tratamiento de las personas
con enfermedades trasmitidas por vectores en
Colombia.
TRIPANOSOMIASIS
ENFERMEDAD DE CHAGAS
TRIPANOSOMIASIS AMERICANA
EPIDEMIOLOGIA
El acumulado a semana
epidemiológica 32 de 2015 es de
587 casos, de los cuales 91,6 %
corresponden a casos crónicos
(10 confirmados y 31 probables)
y 8,4 % (3/44) casos agudos (uno
confirmado y dos probables).
Semana epidemiológica #32: 9-
15 de Agosto : 14 casos
Casos crónicos: Boyaca , Guajira
Bogotá, Casanare y Santander
Casos Agudos: Bogotá, Boyacá ,
Antioquia y Bolivar
TRIPANOSOMIASIS AMERICANA
DEFINICION
Afección parasitaria hística y hemática
Producida Trypanosoma cruzi , Protozoo
flagelado, sanguíneo que anida y se
reproduce en los tejidos
circulan entre animales silvestres,
domésticos, insectos triatominos y el
hombre.
Los vectores más importantes son los
triatominos (se conocen como pitos en
Colombia)
TRIPANOSOMIASIS AMERICANA
VECTORES
En Colombia la especie más encontrada son el Rhodnius prolixus, Triatoma dimidiata,
Triatoma maculata, Triatoma venosa y Panstrongylus geniculatus
Género Rhodnius Género Triatoma
Género Panstrongylus
Género Eratyrus
TRIPANOSOMIASIS
AGENTE ETIOLOGICO
FASE
DESARROLLO EN
EL RESERVORIO
Tripomastigote metacíclico: es
la forma que infecta al vector a
partir del reservorio
Amastigote: intracelular,
vegetativo, es redondeado u
ovoide sin flagelo
FASE DE
DESARROLLO EN
EL VECTOR
Epimastigote: Es la forma libre
que se multiplica por fisión
binaria en el interior del tubo
digestivo del vector
Tripomastigotes metacíclico: Es la
forma infectante apartir del
vector.
Protozoo polimórfico parásito llamado Trypanosoma cruzi,
Núcleo
Núcleo
Núcleo
Cinetoplasto
Cinetoplasto
Cinetoplasto
Membrana
Ondulante
Membrana
Ondulante
Flagelo
Flagelo
Durante la picadura del
vector, defeca en la piel
del hospedero,
eliminando las formas
infectantes.
TRIPANOSOMIASIS AMERICANA
MODO DE TRANSMISION
VECTORIAL
Penetran por rascado o
por frotamiento sobre
las mucosas (conjuntival,
nasal
Periodo de
incubacion: 5 -
15 días.
Los vectores de T. cruzi,
conocidos con el nombre
popular de “pitos”, son
hematófagos de la familia
Reduviidae, subfamilia
triatominae
los géneros más
importantes son:
Rhodnius, Triatoma y
Panstrongylus.
Nódulo
subcutáneo,
redondeado,
eritematoso, duro
e indoloro
Signo de romaña Chagoma
edema bipalpebral uni-lateral,
elástico e indoloro,
acompañado de coloración
rojo-violácea de los párpados,
congestión conjuntival e
inflamación de los ganglios
linfáticos satélites
preauriculares,
TRIPANOSOMIASIS AMERICANA
MODO DE TRANSMISION
HEMOTRANSFUSIÓN Y
TRASPLANTE DE ÓRGANOS
Es la segunda fuente de transmisión de T.
cruzi.
Presencia de tripomastigotes vivos e
infectantes en la sangre de donantes
provenientes de zonas endémicas
La reactivación postrasplante, puede
darse desde el órgano donante infectado
en receptor sano, pues es dependiente de
la inmunosupreosión.
Se ha establecido por ley la obligación
de que los bancos de sangre dispongan
de sistemas de tamizaje para prevenir la
transmisión de Trypanosoma cruzi
postransfusional.
TRIPANOSOMIASIS AMERICANA
MODO DE TRANSMISION
:
VÍA TRANSPLACENTARIA
Período de incubacion:
Congénita: 4 a 9 meses.
Durante el parto: variable.
• Por el paso del parásito a través de la
placenta hacia el feto.
• Puede ocurrir en cualquier fase de la
enfermedad materna: aguda o crónica
• Transmisión mediante la leche materna.
TRANSMISIÓN ORAL
Periodo incubación
3 a 22 días
• Ocurre por ingestión de las heces o
de los triatominos infectados con el
Parasito
• Se da por el consumo de alimentos
(frutas) o bebidas ( jugo de caña,
jugo de palmas) que han sido
contaminados con heces de
triatominos infectados.
TRIPANOSOMIASIS AMERICANA
MODO DE TRANSMISION
POR CONTAMINACIÓN
ACCIDENTAL EN EL
LABORATORIO
P. incubación:20 dias
Ocurre por manipulación de pitos y
animales infectados, cultivos de T. cruzi o
material biológico proveniente de
enfermos graves, en laboratorio clinicos o
de investigacion
REACTIVACIÓN DE LA
INFECCIÓN
Paciente con el antecedente confirmado
de infección con tripanosoma cruzi y con
Inmunodepresión, por alguna de las
siguientes situaciones: postranplante,
infección VIH, terapia inmunosupresora
FASES CLINICAS
AGUDA
Síndrome febril infeccioso y
parasitemia
Facil detección
CRONICA
Dificil detección
Forma indeterminada
Forma cardiaca
Forma digestiva
TRIPANOSOMIASIS AMERICANA
CARACTERÍSTICAS
♦El parásito circulante está en sangre
en cantidades detectables.
♦Las manifestaciones de enfermedad
febril pueden persistir por hasta 12
semanas.
♦Los signos y síntomas pueden
desaparecer espontáneamente.
Puede evolucionar a fase crónica o
progresar a aguda grave.
♦Período de incubación de duración
variable, con un término medio de
una semana.
♦Puede presentarse a cualquier edad.
♦Puede pasar inadvertida,
diagnosticándose sólo en el 1 o 2% de
los pacientes.
CUADRO CLÍNICO
♦Signo de Romaña (45,8%)
♦Chagoma (1,7%)
♦Edema (3,4%)
♦Cefaleas (47,5%)
♦Síndrome febril (44,7%)
♦Hepatomegalia (8,5%)
♦Signos de falla cardiaca (17%) con
miocarditis.
♦Mialgias (50%)
Los patrones sintomáticos más
frecuentes son: fiebre, mialgia, cefalea,
signo de Romaña .
OTRAS MANIFESTACIONES:
lactantes irritabilidad y llanto continuo,
en adolescentes y adultos cefalea,
insomnio, astenia, Mialgias, y
meningoencefalitis o encefalitis,
hipoproteinemia, diarrea, adenopatias
generalizadas o regionales con
predominio cervical e inguinal;
orquiepidimitis y parotiditis
MIOCARDITIS EN LA FASE AGUDA
La miocarditis se puede presentar con o
sin manifestaciones de compromiso
cardiaco.
♦Al electrocardiograma es posible
encontrar los siguientes hallazgos (además
de bloqueo de rama derecha y/o
extrasístole ventricular).
♦En la radiografía de tórax se puede
observar: imagen aumentada del corazón
(predomina ventrículo izquierdo, 85%) y/
o signos de pericarditis, derrame
pericárdico (que puede llevar a
taponamiento cardiaco) y falla cardiaca.
FASE AGUDA
CARACTERÍSTICAS:
♦Inicia desde el momento en que
episodio agudo se resuelve
clínicamente.
♦Si el parásito no es eliminado
durante el episodio agudo o en etapas
posteriores, se considera que la
persona va a permanecer infectada
por el resto de la vida.
♦El parásito circula en muy bajas
cantidades, por lo que la detección
(especialmente la directa) casi
siempre es negativa.
♦La mayoría de las casos
(aproximadamente 70%) nunca
desarrollan daño en órganos blanco y
persisten asintomáticos el resto de la
vida (forma indeterminada).
♦En el resto de los casos, puede
presentarse (entre 10 y 30 años) daño
cardiaco o compromiso de vísceras
huecas, especialmente esófago y
colon (forma digestiva poco frecuente
en Colombia).
FORMA INDETERMINADA
♦Personas positivas en la serología
que no presentan manifestaciones
clínicas ni signos en ECG o radiografía
de tórax.
♦Los exámenes directos para
detección del parásito en sangre son
negativos y los hemocultivos y
xenodiagnósticos tienen una
positividad menor del 50%.
♦Evolucionan a la forma cardiaca.
♦En zonas endémicas en las que
persiste la transmisión vectorial, esas
personas sirven de reservorio natural
de la infección por T. cruzi y
contribuyen al mantenimiento del
ciclo vital del parasito
.
FORMA CARDÍACA
♦Hay compromiso cardiaco que
evoluciona a miocardiopatía dilatada
e insuficiência cardíaca congestiva
(ICC).
♦La miocarditis generalmente es fi
brosante.
♦Presencia de múltiples arritmias
cardíacas y su combinación con
disturbios de conducción del estímulo
atrioventricular e intraventricular.
♦Alta incidencia de muerte súbita,
fenómenos tromboembólicos y de
aneurismas ventriculares.
Cuadros cardiacos
• Insuficiência cardiaca congestiva
(ICC)
• Arritmias
• Tromboembolismo
FORMA DIGESTIVA
Esta forma no es frecuente en Colombia y
afecta vísceras huecas (esófago y/o colon).
♦Esofagopatía chagásica: similar al
megaesófago idiopático. Se diferencia por
tener serología positiva .
Principal síntoma: disfagia. Pacientes consultan
por regurgitación, dolor esofágico, pirosis,
hipo, sialorrea con hipertrofia de las glándulas
salivales, tos y desnutrición en el orden citado.
♦Megacolon: el síntoma principal es la
constipación inpruebainal, de instalación lenta
y progresiva. Otros síntomas son el
meteorismo con distensión abdominal y
timpanismo y la disquesia (manifestación
frecuente y característica)
• La transmisión se puede dar en cualquier etapa de la
infección materna.
• Tiene un bajo riesgo perinatal.
• Los recién nacidos (RN) pueden ser sanos (en algunos casos
aparentemente sanos) o presentar bajo peso, ser
prematuros con hepatoesplenomegalia, fiebre y otros
síntomas característicos del síndrome de TORCH.
• Las alteraciones cardiovasculares pueden presentarse con:
– Taquicardia como manifestación de una miocarditis
aguda o insuficiencia cardíaca.
– ECG: puede mostrar cambios en la onda T y segmento
ST y reducción del voltaje del complejo QRS.
• Causa importante de muerte en menores de 1 año:
compromiso del sistema nervio
ENFERMEDAD DE CHAGAS CONGENITA
TRIPANOSOMIASIS AMERICANA
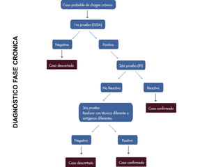
DIAGNOSTICO
METODOSDEDIAGNOSTICO
DIRECTOS
tripanosomas en
fresco
Métodos de
concentración
Strout
Microhematocrito
Creme leucocitario
Gota gruesa o
extendido
INDIRECTOS
Xenodiagnostico
Hemocultivo (BHI)
PCR
SEROLOGICO
IgM
IgG
ELISA
IFI
HAI
METODOS
DIRECTOS
la presencia del
parásito es detectada
mediante observación
directa.
Indicados en la fase
aguda.
Detección
tripanosoma en
fresco, métodos de
concentración y gota
gruesa.
METODOS
INDIRECTOS
Util en Fase aguda de la
enfermedad, cuando la
parasitemia es importante
Util en Fase crónica, cuando
es difícil la observación de los
parásitos en la sangre.
Poca utilidad en la práctica,
debido a que la serología
positiva es suficiente criterio
para la confirmación
diagnóstica en la fase crónica.
Xenodiagnóstico, PCR y
Hemocultivo
METODOS
SEROLOGICOS
Son la esencia del diagnóstico de
la infección en la fase crónica.
Deteccion anticuerpos igM:
Util en el diagnostico en fase
aguda.
Técnica compleja que todavía no
está disponible en Colombia.
Detección de anticuerpos IgG:
Diagnóstico de la fase crónica Se
determinan mediante ELISA o IFI.
METODOS DE
CONCENTRACION
ESP
METODOS DIAGNOSTICOS DIRECTOS-
XENODIAGNOSTICO
ELISA- IFI
METODOS DIAGNOSTICOS INDIRECTOS- SEROLOGICOS
• El Nifurtimox y el Benzonidazol son las únicas drogas
aceptadas internacionalmente para el tratamiento de la
enfermedad de Chagas.
TRATAMIENTO
DIAGNÓSTICOFASECRONICA
INFECCIÓNCONGÉNITA
LEISMANIASIS
EPIDEMIOLOGIA
El acumulado a semana
epidemiológica 32 de 2015 es de
4.642casos, de los cuales 4579
casos (98,6 %) de leishmaniasis
cutánea, 49 casos (1,1%) de
leishmaniasis mucosa y 14 casos
(0,3 %) de leishmaniasis visceral
Semana epidemiológica #32: 9-
15 de Agosto :
Antioquía, Meta, Tolima,
Santander, Nariño, Chocó,
Norte de Santander y Guaviare
LEISMANIASIS
DEFINICION
Son un grupo de
enfermedades
originadas por la
infección
producida por
protozoos del
género
Leishmania, que
parasitan las
células del
sistema
reticuloendotelial
.
Los parásitos son
transmitidos por
la picadura de las
hembras de
mosquitos de los
géneros
Lutzomya.
El reservorio lo
constituyen
generalmente
mamíferos
salvajes o
domésticos,
aunque también
puede ser una
infección
antroponótica.
Su capacidad
infectiva se
manifiesta de
forma variada en
la sintomatología,
dando lugar a
formas viscerales
(kala-azar),
mucocutáneas y
cutáneas.
.
Nucleo
Cinetoplasto
Flagelo
PROMASTIGOTES
Nucleo
Cinetoplasto
Flagelo
AMASTIGOTES
Hasta la semana epidemiológica seis de 2015
se notificaron al Sivigila 274 casos de
leishmaniasis distribuidos así: 269 casos
confirmados (98,2 %) de leishmaniasis cutánea,
tres casos (1,1 %) confirmados de leishmaniasis
mucosa y dos casos confirmados de
leishmaniasis visceral.
LEISMANIASIS
EPIDEMIOLOGIA
.
de las cuales Antioquía,
Córdoba, Meta, Risaralda,
Nariño, Santander y Bolívar
concentraron el 71 % de la
carga de la enfermedad
VECTORES
Popularmente conocidos
como capotillo, arenilla,
pringador
EL PARASITO
FORMAS
Promastigote
Forma flagelada, inoculante
que esta en el intestino del
vector, es infectante para el
reservorio y el hombre y en los
medios de cultivo
Amastigote
Ovalados, no flagelados de
localización intracelular
(macrófagos) que se
detecta en el reservorio y
en el hombre.
CICLO DE VIDAExiste un alto nivel de especificidad
entre vector y especie de
Leishmania, ligado a la estructura de
membrana del parásito y
características genéticas del insecto,
de modo que una especie de
flebótomo sólo es susceptible a una
o algunas especies de Leishmania y
viceversa
Un factor fundamental asociado a la
virulencia es el tropismo de la especie, que
hace que las especies viscerotropas L.
donovani (L. archibaldi), L. Infantum (L.
chagasi) alcancen rápidamente cualquier
área del sistema reticuloendotelial,
mientras que las especies dermotropas
como L. tropica o L. major, queden
acantonadas preferentemente en piel23.
L. aethiopica o L. major
causantes de leishmaniasis
cutánea localizada, dan
lugar a formas difusas en
inmunodeprimidos. Así
mismo, las variantes
enzimáticas dermotrópicas
de L. infantum de la cuenca
mediterránea producen
leishmaniasis visceral en los
inmunodeprimidos
Sin embargo, el desarrollo de la biología molecular
ha permitido la puesta en marcha de numerosas técnicas
de identificación molecular, que permiten la identificación
del genoma, de mayor sensibilidad y especificidad
que las técnicas extrínsecas. Con este propósito
se utiliza el aislamiento de fragmentos específicos de
ADN mediante enzimas de restricción (RFLP), hibridación
con sondas de ADN genómico y el ADNk del
quinetoplasto y la reacción en cadena de la polimerasa
(PCR) con sus variantes RAPD (random amplified polimorphic
DNA) y PCR-RFLP, que identifica y diferencia
estirpes genéticamente próximas19. La Leishmania Genoma
Network (Red para del estudio del genoma de la
Leishmania) agrupa a varios centros actualmente ocupados
en secuenciar el genoma del protozoo.
EL VECTOR
Los vectores de las leishmaniasis son
mosquitos del
orden Dipterae, familia Psychodidae,
subfamilia Phlebotominae
y géneros Phlebotomus (12 subgéneros), en el
Viejo Mundo y Lutzomya (25 subgéneros), en
el Nuevo
Mundo. La identificación de los flebotominos
como
vectores fue llevada a cabo, por primera vez,
por Adler
y Theodor en 1925.
Un dato importante de su anatomía, como la
de
otros insectos hematófagos, es la existencia de
dos
glándulas salivales saculares, localizadas en el
tórax,
que vierten su secreción a través de conductos
salivales
que forman un canal a lo largo de la
hipofaringe.
En el momento de la picadura, como veremos
más
adelante, los parásitos son inyectados en la
dermis del
huésped junto con la saliva del mosquito, lo
cual tiene
una gran trascendencia en la facilitación de la
infección.
LEISMANIASIS
MODO DE TRANSMISION
Picadura de un
flebotomíneo
hembra
(lutzomyia)
Infectado con la
forma de
promastigote del
parásito
Estas picaduras
ocurren en sitios
expuestos y dejan
pequeñas pápulas
rojas.
el hombre se infecta cuando penetra el
bosque y es picado por vector infectado,
mantenidos por reservorios de hábitat
selvático(perezoso y zorra manglera),
LEISMANIASIS
Ciclos de transmisión
Se presente a nivel rural por la
adaptación de los vectores a los
ambientes domiciliarios,
peridomiciliarios,.
CICLO SELVATICO CICLO DOMESTICO RURAL
colonización de nuevos
espacios por parte de los
insectos vectores y luego, con
el arribo de reservorios
infectados, se establece la
transmisión.
CICLO URBANO
Reservorio
leishmaniasis cutánea: perezosos,, el
oso hormiguero, chuchas o zarigüeyas,
la rata silvestre y el puerco espín; el
perro puede actuar como hospedero
reservorio accidental y fuente de
infección para los vectores peri o
intradomiciliarios.
leishmaniosis visceral, el perro es
el principal reservorio doméstico,
el perro sufre la enfermedad y
muere por invasión de sus
vísceras.
Periodo
transmisibilidad
la leishmaniasis cutánea como en
la visceral no suele darse la
transmisión de persona a persona
En la leishmaniasis
cutánea en los casos
no tratados los
parásitos pueden
perdurar de pocos
meses a 2 años y
muchos de los
pacientes tienden a
curar
espontáneamente.
el hombre es
infectante mientras
haya parásitos en las
lesiones de la piel o
en la sangre
circulante
leishmaniasis visceral los
parásitos persisten inclusive
después del restablecimiento
clínico de los pacientes.
PRESENTACIONES CLINICA DE LAS
LEISMANIASIS
FORMA CLINICA
TEGUMENTARIA
CUTANEA
Lesiones unicas o
multiple,
Pápula que se
agranda y típicamente
se transforma en
úlcera indolora
MUCOSA-
MUCOCUTANEA
Diseminación
linfohematógena
del parásito
Afecta las mucosas de
las vías áreas
superiores nariz,
faringe, boca, laringe,
traquea.
VISCERAL
Enfermedad crónica
generalizada
Se caracteriza por fiebre, hepato-esplenomegalia,
linfadenopatía, anemia, leucopenia, trombocitopenia
y debilidad progresiva.
Las presentaciones
clínicas de la
enfermedad varían de
acuerdo con la
especie de
Leishmania, la
respuesta inmune del
hospedero y el estado
evolutivo de la
enfermedad
LEISMANIASIS CUTANEA
Macula
eritematosa Pápula o pústula Nódulos firmes Ulcera
Periodo de incubacion: fluctúa entre 3 semanas y 6 meses.
Redondeada, de bordes elevados, eritematosos,,
con centro granulomatoso limpio. Regularmente
son indoloras, de crecimiento lento.
sobreinfección bacteriana se tornan dolorosas, de
fondo sucio, secreción purulenta, recubiertas por
costra de aspecto melisérico con eritema y signo
de inflamacion local
Puede tornarse crónica
despúes de 12 semanas sin
cierre de úlcera o en una placa
verrugosa de bordes elevados
recubiertos con escamas y/o
costras.
LEISMANIASIS CUTANEA
Las úlceras dejan una cicatriz característica, atrófica en su centro, de borde hiperpigmentado, con estriaciones
estrelladas del centro a la periferia
FORMA LINFANGÍTICA
la úlcera se acompaña de nódulos
que siguen el trayecto de los vasos
linfáticos que drenan la lesión
inicial.
FORMA CUTÁNEA DIFUSA
Defecto específico de la inmunidad
celular y es causada por Leishmania
amazonesis y Leishmania mexicana; se
presenta con pápulas, placas y nódulos
generalizados.
LEISMANIASIS CUTANEA
IMAGENES
DIAGNOSTICO DIFERENCIAL
LEISHMANIASIS CUTANEA
LESION PATOLOGIA
Lesiones ulcerosas: Úlceras Traumáticas, Úlceras Vasculares Y
Linfaticas, Piógenas, Esporotricosis Fija Y
Linfangítica, Paracoccidioidomicosis, TBC
Cutánea, Úlceras Por
Micobacterias Atípicas, Pioderma Gangrenoso Y
Tumores Malignos Ulcerados, E Infecciones Por
Cocos Gram Positivos.
Lesiones papulosas, nodulares o en placas: Picaduras De Insecto Con Formación De
Granuloma, Lepra, Sarcoidosis, Psoriasis.
Lesiones verrugosas: Cromomicosis, Tuberculosis Verrugosa,
Histoplasmosis, Lobomicosis, Carcinomas
Espinocelulares.
Formas linfangíticas Esporotricosis, Úlceras Por Micobacterias
Atípicas.
LEISMANIASIS MUCOSA
resultado de la diseminación linfohematógena
del parásito
Se presentan de manera simultánea con las
lesiones cutáneas o en periodo de los 2 a 3 años
de la cicatrizacion de la lesion cutanea
Afecta las mucosas de las vías áreas superiores
nariz, faringe, boca, laringe, tráquea
relacionada con la especie L. braziliensis
Examen fisico:
hiperemia nasal, edema y eritema del tabique
nasal.
Estados más avanzados se aprecian
ulceraciones, perforación y destrucción del
tabique y de los tejidos blandos, pudiendo
llegar a provocar graves mutilaciones.
Sintomatologia:
sensación de congestión, obstrucción y
prurito nasal, epistaxis, disfonía, rinorrea
serohemática, y purulenta
puede comprometer otras mucosas faringe,
laringe, paladar y labios . puede haber disfagia
y cambios en el tono devoz.
La infección bacteriana sobre agregada, que es
frecuente y grave, puede llevar a la muerte por
compromiso del tracto respiratorio superior.
LEISMANIASIS MUCOSA
• Perforación banal del tabique nasal
• Úlcera traumática
• Lesiones secundarias al uso de vasoconstrictores
• Aspiración crónica de cocaína
• Lepra lepromatosa
• Paracoccidiodomicosis
• Lues tardía
• Tuberculosis orificial
• Histoplasmosis
• Rinosporidiosis
• Esporotricosis
• Linfoma angiocéntrico de la línea media
• Rinoescleroma
• Granulomatosis de wegener
DIAGNOSTICO DIFERENCIAL
LEISMANIASIS MUCOSA
LEISMANIASIS VISCERAL
el parásito invade las
células del sistema
retículo – histiocitario, se
reproduce y se disemina
por vía linfática o
sanguínea hasta los
macrófagos de médula
ósea, hígado y bazo
En los departamentos de
Córdoba, Sucre, Bolívar,
Cundinamarca, Tolima y
Huila donde afecta
principalmente a la
población infantil.
Las manifestaciones
clínicas están asociadas a
factores del huésped
como la edad, estado
nutricional, la respuesta
innata y adquirida.
el período de incubación: es variable de 3 a 8 meses.
LEISMANIASIS VISCERAL
Manisfestaciones clinica:
fiebre intermitente, malestar general,
astenia, anorexia, enflaquecimiento
progresivo, palidez y hemorragias.
Los signos clínicos son hepatomegalia,
esplenomegalia, micropoliadenopatías,
anemia y signos de desnutrición.
Frecuentemente hay enfermedades
intercurrentes como infecciones
respiratorias y diarreas.
Compromiso de la médula
ósea lleva a anemia,
leucopenia y trombocitopenia
Compromiso hepático
ocasiona disminución en la
tiempo de protrombina que
sumada a la disminución en el
número de plaquetas se
traduce en hemorragias
LEISMANIASIS VISCERAL
Diagnóstico debe
confirmarse con la
identificación
parasitológica en
aspirado de médula ósea
y/o de aspirado de bazo
paciente procedente del área
endémica con edad menor de 15
años).
Malnutrición
Pacientes VIH positivo
cuadro clínico: síndrome febril y/o
esplenomegalia y/o
hepatomegalia, ocasionalmente
con linfoadenopatías
El diagnóstico y el tratamiento
oportuno son muy importantes
para evitar las complicaciones
secundarias a la infiltración en
médula ósea como neumonía,
sepsis por gérmenes Gram
negativos y para evitar la
mortalidad.
• Cirrosis
• Linfoma
• Tripanosomiasis cronica
• Esquistosomiasis
DIAGNOSTICO DIFERENCIAL
LEISMANIASIS VISCERAL
DIAGNOSTICO
HISTORIA CLINICA O
AMNESIA
Edad, genero,
procedencia, escolaridad y
ocupación; tiempo de
exposición, características
de Las lesiones, el tiempo
de evolución;
antecedentes
epidemiológicos,
patológicos, alérgicos y
farmacológicos.
EXAMEN FISICO
Rinoscopia y registro
del área de las lesiónes
y su localización
exacta.
P. LABORATORIO
LC
EXAMEN DIRECTO:
FROTIS O ASPIRADO
DE LA LESION
REACCION DE
MONTENEGRO
BIOPSIA DE PIEL
CULTIVOS
LMC
REACCION DE
MONTENEGRO
BIIOPSIA DE MUCOSA
NASAL
IFI: Positiva con
títulos mayores o
iguales a 1/16 y ELISA
LV
CUADRO HEMATICO -
TIEMPOS DE
COAGULACION- SEROLOGIA
EXAMEN PARASITOLÓGICO
DIRECTO MEDIANTE
ASPIRADO DE BAZO
EXAMEN PARASITOLÓGICO
DIRECTO MEDIANTE
ASPIRADO DE MÉDULA
ÓSEA:
IFI Positiva con títulos
mayores o iguales a 1/32.Y
ELISA
REACCIÓN DE
MONTENEGRO
Frotis (raspado) del borde interno de la úlcera
Materiales: guantes de cirugía, alcohol, algodón, solución salina, jabón quirúrgico, gasa estéril,
láminas porta-objetos, lancetas u hojas de bisturí, colorante de Giemsa, Wright, o Field,
microscopio de luz, aceite de inmersión.
Procedimiento:
- Con manos enguantadas realice limpieza del sitio de la lesión utilizando gasa impregnada
en alcohol, solución salina o jabón quirúrgico, evitando que queden trazas de detergente que
pueden alterar el resultado. Si hay costra remuévala cuidadosamente.
- Sobre la cara interna del borde de la úlcera realice un raspado con el borde romo de una
lanceta o de una hoja de bisturí. Hágalo de manera tal que no sangre mucho, presionando el
sitio de la lesión hasta hacer isquemia.
- El material así obtenido se extiende en forma suave sobre una lámina portaobjetos nueva,
previamente limpiada, desengrasada y debidamente rotulada.
- Tome otras tres muestras de la misma manera colocando dos muestras por lámina
portaobjetos.
- Deje secar las muestras a temperatura ambiente, teniendo las precauciones necesarias en
climas cálidos y húmedos.
- Fije con metanol y deje secar.
- Tiña las láminas con colorante de Giemsa, Wright o Field, durante el tiempo y la concentración
estandarizados al iniciar el lote.
- Observe al microscopio de luz con un aumento de 100 X (objetivo de inmersión), para buscar
los amastigotes que pueden encontrarse intra o extracelularmente. Para identificar un
amastigote como tal debe observarse las formas ovaladas o redondeadas y distinguirse
claramente el núcleo del cinetoplasto.
Incisión y raspado del borde activo de la lesión
Este método se debe realizar sólo cuando el paciente presenta lesiones cerradas, no
ulceradas.
Materiales: xilocaína, jeringas de tuberculina, guantes de cirugía, alcohol, algodón,
solución salina, jabón quirúrgico, gasa estéril, láminas porta, lancetas u hojas de
bisturí, colorante de Giemsa, Wright o Field, microscopio , aceite de inmersión.
Procedimiento:
- Con manos enguantadas realice limpieza del sitio de la lesión utilizando algodón
impregnado en alcohol o solución salina y jabón quirúrgico
Previa infiltración con una pequeña cantidad de xilocaína (0.1 a 0,2 ml), sobre el borde
activo de la lesión realice una pequeña incisión con la hoja de bisturí de 3 a 6 mm de
longitud por 1 a 3 mm de profundidad. La isquemia se debe lograr haciendo presión en
pinza con los dedos.
- Con gasa estéril, limpie la sangre que emana de la incisión y con la misma gasa
presione el borde de la lesión para hacer isquemia y evitar el sangrado.
- Con el borde romo de la hoja del bisturí levante la piel de la parte superior de la
incisión y raspe tejido del interior de la incisión desde la profundidad hacia la
superficie.
- El material así obtenido se extiende en forma suave sobre una lámina portaobjetos
nueva previamente limpiada, desengrasada y debidamente rotulada.
- Se continúa el proceso en la misma forma que para el frotis del borde interno de la
úlcera
Prueba de montenegro
Se utiliza para estudios epidemiológicos y como ayuda diagnóstica
complementaria.
Materiales: jeringa de tuberculina con aguja Nº 20, leishmanina,
algodón y alcohol. Bolígrafo y regla milimetrada para la lectura.
Procedimiento:
- Aspirar con la jeringa de tuberculina 0,1 ml de leishmanina.
- Limpiar con algodón impregnado con alcohol el tercio superior de la
cara flexora del antebrazo izquierdo.
- Insertar intradérmicamente solo la punta de la aguja e introducir poco
a poco el líquido notándose la formación de una pequeña pápula con
aspecto de “ piel de naranja”.
Lectura: a las 48-72 horas de la aplicación medir el diámetro de la
induración, empleando la técnica del bolígrafo así: colocado
perpendicularmente al plano de la piel, se deja deslizar el bolígrafo
desde la periferia hacia el centro hasta donde se encuentra resistencia.
Realizar el procedimiento en los cuatro cuadrantes para delimitar el
área de induración. Con la regla milimetrada se mide la distancia que
hubo entre los sitios de resistencia. Para informar el resultado se debe
anotar los dos diámetros.
Reacción de Montenegro: Su utilidad
se fundamenta en que indica
exposición previa al parásito pero no
la enfermedad activa.
Interpretación: POSITIVA, uno de los
dos diámetros de la induración es igual
o mayor a 5mm.
La leishmanina utilizada tiene una concentración
5ug/ml de proteínas de promastigotes de L.
panamensis y L. amazonensis y es producida por el
laboratorio de parasitología del Instituto Nacional
de Salud. Para conservar su actividad debe
almacenarse en refrigeración de 4° a 8°C. La
aparición de una pápula con aspecto de “piel de
naranja”, certifica la correcta aplicación
intradérmica de la prueba.
L. CUTANEA
L MUCOSA
Inmunofluorescencia indirecta
Detección de anticuerpos de Leishmania por Inmunofluorescencia Indirecta (IFI)
** Objetivo de la prueba
Detectar la presencia de anticuerpos circulantes tipo IgG contra Leishmania sp. en suero de
pacientes, mediante el uso de una técnica inmunológica como es la inmunofluorescencia
indirecta (IFI).
** Fundamento de la prueba
La inmunoflouoresencia indirecta es una prueba serológica que detecta anticuerpos circulantes
anti-Leishmania y es de gran utilidad para el diagnóstico de leishmaniasis mucocutánea.
La técnica consiste en incubar el antígeno (promastigotes de Leishmania sp.), que se encuentra
fijados a una lámina portaobjetos, con el suero separado de la muestra de sangre del paciente.
Luego se adiciona un anti-anticuerpo marcado con el fluorocromo que se unirá al complejo
antígeno-anticuerpo fijado al portaobjeto (si el paciente tiene anticuerpos anti-Leishmania
circulantes), y tras una nueva incubación y un lavado se visualiza la positividad o no del ensayo
en un microscopio de fluorescencia.
Esta prueba es particularmente útil para el diagnóstico de leishmaniasis mucosa, ya que en esta
forma clínica de la enfermedad la comprobación parasitológica es difícil.
** Reporte
Reactivo: Una muestra se considera REACTIVA si se observan las estructuras del parásito:
membrana, flagelo, citoplasma, núcleo y en algunos casos cinetoplasto, de coloración verde
fluorescente. Se reporta el título de la última dilución de suero en la cual se observó
fluorescencia de todo el promastigote. En el diagnóstico de leishmaniasis mucocutánea una
muestra se considera POSITIVA si presenta títulos de de fluorescencia iguales o mayores a 1:16.
No reactivo: Ausencia de la fluorescencia en todo el parasito. (Se observa color rojo ladrillo)
L. VISCERAL
• Aspirado de médula osea y de bazo
• Inmunofluorescencia indirecta
LeishmaniaDirecto negativo
• El examen directo se considera negativo
cuando no se observan formas de
amastigote de Leishmania sp. en todos los
frotis del paciente. En caso que no se
observen amastigotes en la primera lámina,
se debe hacer tinción con giemsa a la
segunda y de ser necesario, a la tercera
lámina ya fijada.
• Si en ésta segunda lámina tampoco se
encuentran amastigotes, pero se tiene una
alta sospecha clínica y epidemiológica de la
leishmaniasis, se debe repetir el examen
directo de un sitio diferente de la misma
lesión o si hay otras lesiones escoger la más
reciente o activa de ellas y repetir el
procedimiento de toma de muestra, tinción
y lectura de láminas según los protocolos.
En total se deben tomar hasta tres
exámenes directo por paciente, es decir 27
muestras diferentes en 9 láminas diferentes.
* Medios de cultivo monofásicos: Generalmente son medios líquidos para cultivo de
células de insectos (medio Schneider) o mamíferos (medio RPMI). En el Centro
Dermatológico se utiliza el medio Schneider para el cultivo en masa de parásitos. Los
parásitos se desarrollan en éste medio de manera óptima por lo cual se utiliza de
rutina para obtener cultivo con gran número de parásitos en medio líquido. El medio
Schneider para el cultivo de Leishmania sp., debe suplementarse con una
concentración del 10%-20% de Suero Fetal Bovino (SBF) (Guía Leishmaniasis CDFLLA
2011).
* Medio de cultivo bifásico: compuesto por una fase sólida de agar sangre en tubos
inclinados y una fase líquida superpuesta, formada por vapor de agua condensado y
un pequeño volumen de solución salina o PBS 1X. Entre los medios de cultivo bifásicos
más usados para leishmaniasis encontramos séneca y NNN (Medio Novy, McNeal,
Nicolle).
En la experiencia del Centro Dermatológico se utiliza el medio de cultivo Séneca para
el aislamiento primario del parásito, el cual es un medio enriquecido con
bactopeptona, bacto beef y sangre de conejo que propicia la transformación de los
amastigotes (presentes en la lesión) en promastigotes (Cuba et al., 2000). Lo
recomendable es que si se va a tomar una muestra de paciente para cultivo, esta se
siembre primero en Seneca y una vez se cuente con parásitos viables y moviles en el
medio se realiza un pase a medio Schneider para amplificar el cultivo con fines de
criopreservación y/o tipificación de especies.
** Reporte
En el Centro Dermatológico los
resultados del cultivo se reportan
al paciente de la siguiente manera:
Cultivo Positivo: Se observa
crecimiento y viabilidad del
promastigote.
Cultivo Negativo: No se observa
crecimiento, ni viabilidad de
promastigotes pasadas 5 semanas.
Los antimoniales pentavalentes son los
medicamentos de elección, que en
nuestro país conservan una eficacia del 80
a 90%.
• Antimoniato de meglumina o
estibogluconato de sodio
Como segunda opción, pacientes
inmunosuprimidos.
• Anfotericina B, :
• Miltefosina
TRATAMIENTO
TRIPANOSOMIASIS AMERICANA
ESPECIES ENCONTRADAS EN COLOMBIA
Caso clínico
Varón boliviano de 36 años, trabajador forestal en la. Conocía seropositividad
a Trypanosoma cruzi a raíz de donación.
A los 18 años sufrió lesión cutánea en antebrazo derecho de evolución tórpida, que
dejó lesión atrófica tras tratamiento local . Consultó por rinorrea purulenta de 3
meses de evolución, epistaxis repetidas y costras que producían obstrucción nasal, sin
dolor. No tenía síntomas generales. En la exploración física presentaba la reseñada
lesión en antebrazo y una lesión eritematocostrosa en dorso nasal, punta y región
columelar, con perforación septal y lesión ulcerada en su pared posterior. No tenía
anestesia regional. No hubo alteraciones analíticas de interés. Las serologías frente a
virus de la inmunodeficiencia humana (VIH), virus de la hepatitis B (VHB), virus de la
hepatitis C (VHC) y fueron negativas. Fue positiva frente a T. cruzi (análisis
inmunoenzimático [ELISA]-IgG+, inmunofluorescencia indirecta [IFI]-IgG 1/160). La
reacción en cadena de la polimerasa (PCR) de sangre periférica amplificó T. cruzi. La
tomografía computarizada (TC) de nariz y senos paranasales reveló marcado
engrosamiento mucoso de cornetes y seno maxilar izquierdos con destrucción de
tabique nasal. Se realizó biopsia de mucosa y tabique nasal que resultó diagnóstica.
Evolución
La histopatología mostró una rinitis
granulomatosa úlcero-
necrosante, sin inclusiones intramacrofágicas.
La serología
(IFI) para Leishmania sp. fue positiva a 1/160.
El
cultivo de la muestra fue positivo para
Leishmania sp. con
PCR positiva para Leishmania braziliensis
Descripción clínica
Recién nacido pretérmino, 32 semanas de gestación, que ingresó en la unidad neonatal por
prematuridad y bajo peso. Madre de origen boliviano, primogesta. Embarazo controlado, con
ecografías normales y serologías negativas, salvo anticuerpos positivos
para__________________. Presentó ruptura prematura de membranas 72 h antes del parto y
recibió antibioterapia intravenosa y maduración pulmonar completa con corticoides. Se realizó
analítica de sangre de cordón, en la que destacó neutropenia severa sin otras alteraciones, y que
se confirmó en la analítica posterior, por lo que recibió tratamiento antibiótico empírico con
ampicilina y gentamicina que se mantuvo durante 7 días.
No presentó clínica de infección bacteriana.
Diagnóstico y evolución
Ante el riesgo de transmisión de enfermedad por la serología materna positiva, se realizó el primer día
de vida un examen directo microscópico de la muestra de sangre total con anticoagulante remitida al
laboratorio, donde se observaron formas móviles flagelares de aproximadamente 20 µ. en la tinción de
Giemsa de una porción de la capa leucocitaria procedente del tubo de microhematocrito también se
visualizaron las formas parasitarias con un núcleo central, un cinetoplasto subterminal largo y una
membrana ondulante que adhería el flagelo a la membrana celular. Este hallazgo, junto con el resultado
positivo de la PCR, hicieron posible el diagnóstico de la parasitemia en el recién nacido producida por
_________ Consecuentemente, se instauró tratamiento con benznidazol 5 mg/kg cada 12 h durante 60
días. Como estudios complementarios se realizaron una radiografía de tórax, un electrocardiograma, un
ecocardiograma, una ecografía abdominal y un fondo de ojo, que resultaron normales.
En los hemogramas posteriores al inicio del tratamiento se objetivó de forma intermitente neutropenia,
que se resolvió sin necesidad de modificar la actitud terapéutica. Se realizó seguimiento ambulatorio,
finalizando el tratamiento tras 60 días sin más incidencias. Posteriormente se repitieron tanto el
microhematocrito como la PCR, resultando ambos negativos.
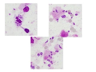
• Case #394 - April, 2015
• A 17-year-old female presented with a crusted nodule on
her left cheek two months after traveling to Israel. She
admitted to camping outdoors and being bitten by insects
on her face during the trip. No other symptoms were
noted. A biopsy was obtained from the periphery of the
nodule, placed in a sterile vial with transport media, and
sent to the Center for Disease Control for diagnostic work-
up. Upon receipt, a touch-prep smear was prepared, fixed
with methanol, stained with Giemsa, and
examined. Figures A-C show was observed at 100x
magnification with oil. What is your diagnosis? Based on
what criteria? What other testing, if any, would you
recommend?
Una joven de 17 años de edad presentó con un nódulo
con costra en la mejilla izquierda dos meses después
de viajar a Israel. Ella admitió acampar al aire libre y ser
picada por los insectos en su cara durante el viaje. No
se observaron otros síntomas. Una biopsia se obtuvo
de la periferia del nódulo, se colocó en un vial estéril
con los medios de transporte, y se envía a los CDC para
estudio diagnóstico. Tras la recepción, se preparó un
frotis , se fijado con metanol, coloreado con Giemsa, y
se examina. Figuras A - C muestran lo observado en
100 X con aceite. ¿Cuál es su diagnóstico? En base a
qué criterios? ¿Qué otras pruebas, si las hay, me
recomiendan?
RESPUESTA
Answer to Case #394
This was a case of cutaneous leishmaniasis caused by Leishmania major. The
genus-level diagnosis was based on the observation of amastigotes and
promastigotes on the Giemsa-stained touch-prep smear. The species-level
identification was based on subsequent molecular analysis, as Leishmania spp.
cannot be differentiated by the morphology of the amastigotes.
Amastigotes (blue arrows Figure C) are characterized as being small spherical to
ovoid structures approximately 1-5 micrometers in length by 1-2 micrometers
wide. In addition, both a nucleus and a kinetoplast should be visualized before
reporting as positive. When there is a delay in shipping and/or processing,
amastigotes may transform into promastigotes (black arrows Figure C) if the
ambient temperature is similar to that found in the gut of the sand fly vector
(Phlebotomus spp. and Lutzomyia spp.). Promastigotes are larger, elongated or
spindle-shaped and have a flagellum projecting from the anterior end.
Promastigote formation is never seen in Trypanosoma cruzi, the causative agent
of Chagas disease and the only other organism that produces amastigotes in
human tissue.
Este fue un caso de leishmaniasis cutánea causada por Leishmania major. El
diagnóstico de género se basa en la observación de amastigotes y promastigotes
en el frotis teñida con Giemsa. La identificación a nivel de especie se basó en el
análisis molecular posterior, como Leishmania spp. no pueden ser diferenciados
por la morfología de los amastigotes. amastigotes (flechas azules Figura C) se
caracterizan por ser pequeños esféricos a ovoide, estructuras aproximadamente
5.1 micrómetros de largo por 1-2 micrómetros de ancho. Además, tanto un
núcleo y un cinetoplasto deben ser visualizadas antes de informar como
positivo. Cuando hay un retraso en el envío y / o procesamiento, amastigotes
pueden transforman en promastigotes (flechas negras Figura C) si la temperatura
ambiente es similar a la encontrada en el intestino del vector de mosca de la
arena(Phlebotomus spp. Y Lutzomyia spp.). Los Promastigotes son más grandes,
alargados o en forma de huso y tienen un flagelo que se proyecta desde el
extremo anterior. La formación Promastigote nunca se ve en Trypanosoma cruzi, el
agente causante de la enfermedad de Chagas y el otro organismo que produce
amastigotes en el tejido humano.
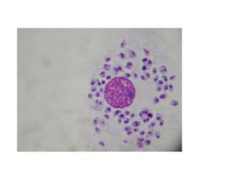
• Case #115 -
• A female patient who received kidney and
pancreas transplants from a cadaveric donor
returned to the hospital with febrile illness six
and a half weeks after the surgery. Recent travel
outside of the US was not reported. A peripheral
blood smear was prepared, stained with Giemsa,
and examined. The organism in Figure A was
observed on the smear. What is your diagnosis?
Based on what criteria?
• Un paciente que recibió un trasplante de riñón
y páncreas de un donante regresó al hospital
con una enfermedad febril de Seis semanas y
medio después de la cirugía. No se informó
recientes viajes fuera de los EE.UU. Un frotis
de sangre periférica se preparó, se tiñó con
Giemsa y fue examinado. El organismo en la
figura A se observó en el frotis. ¿Cuál es su
diagnóstico? En base a qué criterios?
• Case #120 - November,
• A middle-aged man from East Africa, who had immigrated to the
United States 20 years ago, had an intermittent fever for two
weeks, which progressed to a daily fever with chills. He had also
experienced severe weight loss during the previous six months. He
had traveled to Southeast Asia while living outside the U.S., and his
past medical history revealed he had contracted malaria twice. It
was also discovered that he was positive for HIV by antibody
testing. A CT scan revealed that he had an enlarged spleen and liver.
A bone marrow aspirate was obtained and part of it was stained
with hematoxylin and eosin (H & E) and the rest used to inoculate a
culture. Figures A and B show what was seen in the stained
aspirate. Figures C and D show what was seen on a Giemsa stained
smear from the culture 10 days postinoculation. What is your
diagnosis? Based on what criteria?
CASO 120
Un hombre de mediana edad de la África del Este, que había emigrado a los
Estados Unidos hace 20 años, tenía una fiebre intermitente durante dos
semanas, que avanzaba a una fiebre diaria con escalofríos. Él también
había experimentado pérdida severa de peso durante los seis meses
anteriores. Había viajado al sudeste de Asia, mientras que viven fuera de
los EE.UU., y su historial médico reveló que había contraído la malaria dos
veces. También se descubrió que era positivo para el VIH por medio de
pruebas de anticuerpos. Una tomografía computarizada reveló que tenía
un agrandamiento del bazo y el hígado. Se obtuvo un aspirado de médula
ósea y parte de ella se tiñó con hematoxilina y eosina (H & E) y el resto es
utilizado para inocular un cultivo. Figuras A y B muestran lo que se vio en
el aspirado Figuras C y D muestran lo que era visto en un frotis Giemsa 10
días después de la inoculación del cultivo. ¿Cuál es su diagnóstico? En
base a qué criterios?
• Case #164 - September,
• A 42-year-old animal trapper sought medical attention
regarding an ulcerative lesion on his arm (Figure A). He
reported that he had been in Bolivia two months ago
and that the lesion on his arm had grown worse since
his return. A biopsy of the lesion on his arm was
performed and a touch prep smear prepared and
stained with Giemsa. The tissue was sent to pathology
to be sectioned and stained with H & E. Figures
B and C show objects observed on the Giemsa stained
touch prep smears, and Figures D and E show objects
observed on one of the H & E slides. What is your
diagnosis? Based on what criteria?
• Caso # 164 - septiembre
• A de 42 años de edad, cazador de animales buscó
atención médica en relación con una lesión ulcerosa en
su brazo(Figura A). Informó que él había estado en
Bolivia hace dos meses y que la lesión en su brazo
había empeorado desde su regreso. se realizó Una
biopsia de la lesión en su brazo y una preparación se
coloreo con Giemsa. El tejido fue enviado a patología
para ser seccionadas y teñidas con H & E. Las figuras
B y C muestran objetos observados en Giemsa
y Figuras D y E muestran objetos observados en una de
las diapositivas de H & E. ¿Cuál es su diagnóstico? En
base a qué criterios?

Presentacion tripanosomiais leishmaniasis

  • 1.
  • 2.
    OBJETIVO Difundir entre losProfesionales de la Salud, los conceptos y las recomendaciones que deben guiar al actuar con respecto a la detección precoz, manejo y tratamiento de las personas con enfermedades trasmitidas por vectores en Colombia.
  • 3.
  • 4.
    TRIPANOSOMIASIS AMERICANA EPIDEMIOLOGIA El acumuladoa semana epidemiológica 32 de 2015 es de 587 casos, de los cuales 91,6 % corresponden a casos crónicos (10 confirmados y 31 probables) y 8,4 % (3/44) casos agudos (uno confirmado y dos probables). Semana epidemiológica #32: 9- 15 de Agosto : 14 casos Casos crónicos: Boyaca , Guajira Bogotá, Casanare y Santander Casos Agudos: Bogotá, Boyacá , Antioquia y Bolivar
  • 5.
    TRIPANOSOMIASIS AMERICANA DEFINICION Afección parasitariahística y hemática Producida Trypanosoma cruzi , Protozoo flagelado, sanguíneo que anida y se reproduce en los tejidos circulan entre animales silvestres, domésticos, insectos triatominos y el hombre. Los vectores más importantes son los triatominos (se conocen como pitos en Colombia)
  • 6.
    TRIPANOSOMIASIS AMERICANA VECTORES En Colombiala especie más encontrada son el Rhodnius prolixus, Triatoma dimidiata, Triatoma maculata, Triatoma venosa y Panstrongylus geniculatus Género Rhodnius Género Triatoma Género Panstrongylus Género Eratyrus
  • 7.
    TRIPANOSOMIASIS AGENTE ETIOLOGICO FASE DESARROLLO EN ELRESERVORIO Tripomastigote metacíclico: es la forma que infecta al vector a partir del reservorio Amastigote: intracelular, vegetativo, es redondeado u ovoide sin flagelo FASE DE DESARROLLO EN EL VECTOR Epimastigote: Es la forma libre que se multiplica por fisión binaria en el interior del tubo digestivo del vector Tripomastigotes metacíclico: Es la forma infectante apartir del vector. Protozoo polimórfico parásito llamado Trypanosoma cruzi,
  • 8.
  • 9.
    Durante la picaduradel vector, defeca en la piel del hospedero, eliminando las formas infectantes. TRIPANOSOMIASIS AMERICANA MODO DE TRANSMISION VECTORIAL Penetran por rascado o por frotamiento sobre las mucosas (conjuntival, nasal Periodo de incubacion: 5 - 15 días. Los vectores de T. cruzi, conocidos con el nombre popular de “pitos”, son hematófagos de la familia Reduviidae, subfamilia triatominae los géneros más importantes son: Rhodnius, Triatoma y Panstrongylus.
  • 10.
    Nódulo subcutáneo, redondeado, eritematoso, duro e indoloro Signode romaña Chagoma edema bipalpebral uni-lateral, elástico e indoloro, acompañado de coloración rojo-violácea de los párpados, congestión conjuntival e inflamación de los ganglios linfáticos satélites preauriculares,
  • 11.
    TRIPANOSOMIASIS AMERICANA MODO DETRANSMISION HEMOTRANSFUSIÓN Y TRASPLANTE DE ÓRGANOS Es la segunda fuente de transmisión de T. cruzi. Presencia de tripomastigotes vivos e infectantes en la sangre de donantes provenientes de zonas endémicas La reactivación postrasplante, puede darse desde el órgano donante infectado en receptor sano, pues es dependiente de la inmunosupreosión. Se ha establecido por ley la obligación de que los bancos de sangre dispongan de sistemas de tamizaje para prevenir la transmisión de Trypanosoma cruzi postransfusional.
  • 12.
    TRIPANOSOMIASIS AMERICANA MODO DETRANSMISION : VÍA TRANSPLACENTARIA Período de incubacion: Congénita: 4 a 9 meses. Durante el parto: variable. • Por el paso del parásito a través de la placenta hacia el feto. • Puede ocurrir en cualquier fase de la enfermedad materna: aguda o crónica • Transmisión mediante la leche materna. TRANSMISIÓN ORAL Periodo incubación 3 a 22 días • Ocurre por ingestión de las heces o de los triatominos infectados con el Parasito • Se da por el consumo de alimentos (frutas) o bebidas ( jugo de caña, jugo de palmas) que han sido contaminados con heces de triatominos infectados.
  • 13.
    TRIPANOSOMIASIS AMERICANA MODO DETRANSMISION POR CONTAMINACIÓN ACCIDENTAL EN EL LABORATORIO P. incubación:20 dias Ocurre por manipulación de pitos y animales infectados, cultivos de T. cruzi o material biológico proveniente de enfermos graves, en laboratorio clinicos o de investigacion REACTIVACIÓN DE LA INFECCIÓN Paciente con el antecedente confirmado de infección con tripanosoma cruzi y con Inmunodepresión, por alguna de las siguientes situaciones: postranplante, infección VIH, terapia inmunosupresora
  • 14.
    FASES CLINICAS AGUDA Síndrome febrilinfeccioso y parasitemia Facil detección CRONICA Dificil detección Forma indeterminada Forma cardiaca Forma digestiva TRIPANOSOMIASIS AMERICANA
  • 15.
    CARACTERÍSTICAS ♦El parásito circulanteestá en sangre en cantidades detectables. ♦Las manifestaciones de enfermedad febril pueden persistir por hasta 12 semanas. ♦Los signos y síntomas pueden desaparecer espontáneamente. Puede evolucionar a fase crónica o progresar a aguda grave. ♦Período de incubación de duración variable, con un término medio de una semana. ♦Puede presentarse a cualquier edad. ♦Puede pasar inadvertida, diagnosticándose sólo en el 1 o 2% de los pacientes. CUADRO CLÍNICO ♦Signo de Romaña (45,8%) ♦Chagoma (1,7%) ♦Edema (3,4%) ♦Cefaleas (47,5%) ♦Síndrome febril (44,7%) ♦Hepatomegalia (8,5%) ♦Signos de falla cardiaca (17%) con miocarditis. ♦Mialgias (50%) Los patrones sintomáticos más frecuentes son: fiebre, mialgia, cefalea, signo de Romaña . OTRAS MANIFESTACIONES: lactantes irritabilidad y llanto continuo, en adolescentes y adultos cefalea, insomnio, astenia, Mialgias, y meningoencefalitis o encefalitis, hipoproteinemia, diarrea, adenopatias generalizadas o regionales con predominio cervical e inguinal; orquiepidimitis y parotiditis MIOCARDITIS EN LA FASE AGUDA La miocarditis se puede presentar con o sin manifestaciones de compromiso cardiaco. ♦Al electrocardiograma es posible encontrar los siguientes hallazgos (además de bloqueo de rama derecha y/o extrasístole ventricular). ♦En la radiografía de tórax se puede observar: imagen aumentada del corazón (predomina ventrículo izquierdo, 85%) y/ o signos de pericarditis, derrame pericárdico (que puede llevar a taponamiento cardiaco) y falla cardiaca. FASE AGUDA
  • 17.
    CARACTERÍSTICAS: ♦Inicia desde elmomento en que episodio agudo se resuelve clínicamente. ♦Si el parásito no es eliminado durante el episodio agudo o en etapas posteriores, se considera que la persona va a permanecer infectada por el resto de la vida. ♦El parásito circula en muy bajas cantidades, por lo que la detección (especialmente la directa) casi siempre es negativa. ♦La mayoría de las casos (aproximadamente 70%) nunca desarrollan daño en órganos blanco y persisten asintomáticos el resto de la vida (forma indeterminada). ♦En el resto de los casos, puede presentarse (entre 10 y 30 años) daño cardiaco o compromiso de vísceras huecas, especialmente esófago y colon (forma digestiva poco frecuente en Colombia). FORMA INDETERMINADA ♦Personas positivas en la serología que no presentan manifestaciones clínicas ni signos en ECG o radiografía de tórax. ♦Los exámenes directos para detección del parásito en sangre son negativos y los hemocultivos y xenodiagnósticos tienen una positividad menor del 50%. ♦Evolucionan a la forma cardiaca. ♦En zonas endémicas en las que persiste la transmisión vectorial, esas personas sirven de reservorio natural de la infección por T. cruzi y contribuyen al mantenimiento del ciclo vital del parasito . FORMA CARDÍACA ♦Hay compromiso cardiaco que evoluciona a miocardiopatía dilatada e insuficiência cardíaca congestiva (ICC). ♦La miocarditis generalmente es fi brosante. ♦Presencia de múltiples arritmias cardíacas y su combinación con disturbios de conducción del estímulo atrioventricular e intraventricular. ♦Alta incidencia de muerte súbita, fenómenos tromboembólicos y de aneurismas ventriculares. Cuadros cardiacos • Insuficiência cardiaca congestiva (ICC) • Arritmias • Tromboembolismo
  • 18.
    FORMA DIGESTIVA Esta formano es frecuente en Colombia y afecta vísceras huecas (esófago y/o colon). ♦Esofagopatía chagásica: similar al megaesófago idiopático. Se diferencia por tener serología positiva . Principal síntoma: disfagia. Pacientes consultan por regurgitación, dolor esofágico, pirosis, hipo, sialorrea con hipertrofia de las glándulas salivales, tos y desnutrición en el orden citado. ♦Megacolon: el síntoma principal es la constipación inpruebainal, de instalación lenta y progresiva. Otros síntomas son el meteorismo con distensión abdominal y timpanismo y la disquesia (manifestación frecuente y característica)
  • 19.
    • La transmisiónse puede dar en cualquier etapa de la infección materna. • Tiene un bajo riesgo perinatal. • Los recién nacidos (RN) pueden ser sanos (en algunos casos aparentemente sanos) o presentar bajo peso, ser prematuros con hepatoesplenomegalia, fiebre y otros síntomas característicos del síndrome de TORCH. • Las alteraciones cardiovasculares pueden presentarse con: – Taquicardia como manifestación de una miocarditis aguda o insuficiencia cardíaca. – ECG: puede mostrar cambios en la onda T y segmento ST y reducción del voltaje del complejo QRS. • Causa importante de muerte en menores de 1 año: compromiso del sistema nervio ENFERMEDAD DE CHAGAS CONGENITA
  • 20.
    TRIPANOSOMIASIS AMERICANA DIAGNOSTICO METODOSDEDIAGNOSTICO DIRECTOS tripanosomas en fresco Métodosde concentración Strout Microhematocrito Creme leucocitario Gota gruesa o extendido INDIRECTOS Xenodiagnostico Hemocultivo (BHI) PCR SEROLOGICO IgM IgG ELISA IFI HAI
  • 21.
    METODOS DIRECTOS la presencia del parásitoes detectada mediante observación directa. Indicados en la fase aguda. Detección tripanosoma en fresco, métodos de concentración y gota gruesa. METODOS INDIRECTOS Util en Fase aguda de la enfermedad, cuando la parasitemia es importante Util en Fase crónica, cuando es difícil la observación de los parásitos en la sangre. Poca utilidad en la práctica, debido a que la serología positiva es suficiente criterio para la confirmación diagnóstica en la fase crónica. Xenodiagnóstico, PCR y Hemocultivo METODOS SEROLOGICOS Son la esencia del diagnóstico de la infección en la fase crónica. Deteccion anticuerpos igM: Util en el diagnostico en fase aguda. Técnica compleja que todavía no está disponible en Colombia. Detección de anticuerpos IgG: Diagnóstico de la fase crónica Se determinan mediante ELISA o IFI.
  • 22.
  • 23.
  • 24.
    • El Nifurtimoxy el Benzonidazol son las únicas drogas aceptadas internacionalmente para el tratamiento de la enfermedad de Chagas. TRATAMIENTO
  • 26.
  • 27.
  • 29.
  • 30.
    EPIDEMIOLOGIA El acumulado asemana epidemiológica 32 de 2015 es de 4.642casos, de los cuales 4579 casos (98,6 %) de leishmaniasis cutánea, 49 casos (1,1%) de leishmaniasis mucosa y 14 casos (0,3 %) de leishmaniasis visceral Semana epidemiológica #32: 9- 15 de Agosto : Antioquía, Meta, Tolima, Santander, Nariño, Chocó, Norte de Santander y Guaviare
  • 31.
    LEISMANIASIS DEFINICION Son un grupode enfermedades originadas por la infección producida por protozoos del género Leishmania, que parasitan las células del sistema reticuloendotelial . Los parásitos son transmitidos por la picadura de las hembras de mosquitos de los géneros Lutzomya. El reservorio lo constituyen generalmente mamíferos salvajes o domésticos, aunque también puede ser una infección antroponótica. Su capacidad infectiva se manifiesta de forma variada en la sintomatología, dando lugar a formas viscerales (kala-azar), mucocutáneas y cutáneas. .
  • 32.
  • 33.
    Hasta la semanaepidemiológica seis de 2015 se notificaron al Sivigila 274 casos de leishmaniasis distribuidos así: 269 casos confirmados (98,2 %) de leishmaniasis cutánea, tres casos (1,1 %) confirmados de leishmaniasis mucosa y dos casos confirmados de leishmaniasis visceral. LEISMANIASIS EPIDEMIOLOGIA . de las cuales Antioquía, Córdoba, Meta, Risaralda, Nariño, Santander y Bolívar concentraron el 71 % de la carga de la enfermedad
  • 37.
  • 40.
  • 41.
    FORMAS Promastigote Forma flagelada, inoculante queesta en el intestino del vector, es infectante para el reservorio y el hombre y en los medios de cultivo Amastigote Ovalados, no flagelados de localización intracelular (macrófagos) que se detecta en el reservorio y en el hombre.
  • 42.
    CICLO DE VIDAExisteun alto nivel de especificidad entre vector y especie de Leishmania, ligado a la estructura de membrana del parásito y características genéticas del insecto, de modo que una especie de flebótomo sólo es susceptible a una o algunas especies de Leishmania y viceversa Un factor fundamental asociado a la virulencia es el tropismo de la especie, que hace que las especies viscerotropas L. donovani (L. archibaldi), L. Infantum (L. chagasi) alcancen rápidamente cualquier área del sistema reticuloendotelial, mientras que las especies dermotropas como L. tropica o L. major, queden acantonadas preferentemente en piel23. L. aethiopica o L. major causantes de leishmaniasis cutánea localizada, dan lugar a formas difusas en inmunodeprimidos. Así mismo, las variantes enzimáticas dermotrópicas de L. infantum de la cuenca mediterránea producen leishmaniasis visceral en los inmunodeprimidos
  • 44.
    Sin embargo, eldesarrollo de la biología molecular ha permitido la puesta en marcha de numerosas técnicas de identificación molecular, que permiten la identificación del genoma, de mayor sensibilidad y especificidad que las técnicas extrínsecas. Con este propósito se utiliza el aislamiento de fragmentos específicos de ADN mediante enzimas de restricción (RFLP), hibridación con sondas de ADN genómico y el ADNk del quinetoplasto y la reacción en cadena de la polimerasa (PCR) con sus variantes RAPD (random amplified polimorphic DNA) y PCR-RFLP, que identifica y diferencia estirpes genéticamente próximas19. La Leishmania Genoma Network (Red para del estudio del genoma de la Leishmania) agrupa a varios centros actualmente ocupados en secuenciar el genoma del protozoo.
  • 46.
    EL VECTOR Los vectoresde las leishmaniasis son mosquitos del orden Dipterae, familia Psychodidae, subfamilia Phlebotominae y géneros Phlebotomus (12 subgéneros), en el Viejo Mundo y Lutzomya (25 subgéneros), en el Nuevo Mundo. La identificación de los flebotominos como vectores fue llevada a cabo, por primera vez, por Adler y Theodor en 1925.
  • 47.
    Un dato importantede su anatomía, como la de otros insectos hematófagos, es la existencia de dos glándulas salivales saculares, localizadas en el tórax, que vierten su secreción a través de conductos salivales que forman un canal a lo largo de la hipofaringe. En el momento de la picadura, como veremos más adelante, los parásitos son inyectados en la dermis del huésped junto con la saliva del mosquito, lo cual tiene una gran trascendencia en la facilitación de la infección.
  • 48.
    LEISMANIASIS MODO DE TRANSMISION Picadurade un flebotomíneo hembra (lutzomyia) Infectado con la forma de promastigote del parásito Estas picaduras ocurren en sitios expuestos y dejan pequeñas pápulas rojas.
  • 49.
    el hombre seinfecta cuando penetra el bosque y es picado por vector infectado, mantenidos por reservorios de hábitat selvático(perezoso y zorra manglera), LEISMANIASIS Ciclos de transmisión Se presente a nivel rural por la adaptación de los vectores a los ambientes domiciliarios, peridomiciliarios,. CICLO SELVATICO CICLO DOMESTICO RURAL colonización de nuevos espacios por parte de los insectos vectores y luego, con el arribo de reservorios infectados, se establece la transmisión. CICLO URBANO
  • 50.
    Reservorio leishmaniasis cutánea: perezosos,,el oso hormiguero, chuchas o zarigüeyas, la rata silvestre y el puerco espín; el perro puede actuar como hospedero reservorio accidental y fuente de infección para los vectores peri o intradomiciliarios. leishmaniosis visceral, el perro es el principal reservorio doméstico, el perro sufre la enfermedad y muere por invasión de sus vísceras. Periodo transmisibilidad la leishmaniasis cutánea como en la visceral no suele darse la transmisión de persona a persona En la leishmaniasis cutánea en los casos no tratados los parásitos pueden perdurar de pocos meses a 2 años y muchos de los pacientes tienden a curar espontáneamente. el hombre es infectante mientras haya parásitos en las lesiones de la piel o en la sangre circulante leishmaniasis visceral los parásitos persisten inclusive después del restablecimiento clínico de los pacientes.
  • 51.
    PRESENTACIONES CLINICA DELAS LEISMANIASIS FORMA CLINICA TEGUMENTARIA CUTANEA Lesiones unicas o multiple, Pápula que se agranda y típicamente se transforma en úlcera indolora MUCOSA- MUCOCUTANEA Diseminación linfohematógena del parásito Afecta las mucosas de las vías áreas superiores nariz, faringe, boca, laringe, traquea. VISCERAL Enfermedad crónica generalizada Se caracteriza por fiebre, hepato-esplenomegalia, linfadenopatía, anemia, leucopenia, trombocitopenia y debilidad progresiva. Las presentaciones clínicas de la enfermedad varían de acuerdo con la especie de Leishmania, la respuesta inmune del hospedero y el estado evolutivo de la enfermedad
  • 52.
    LEISMANIASIS CUTANEA Macula eritematosa Pápulao pústula Nódulos firmes Ulcera Periodo de incubacion: fluctúa entre 3 semanas y 6 meses. Redondeada, de bordes elevados, eritematosos,, con centro granulomatoso limpio. Regularmente son indoloras, de crecimiento lento. sobreinfección bacteriana se tornan dolorosas, de fondo sucio, secreción purulenta, recubiertas por costra de aspecto melisérico con eritema y signo de inflamacion local Puede tornarse crónica despúes de 12 semanas sin cierre de úlcera o en una placa verrugosa de bordes elevados recubiertos con escamas y/o costras.
  • 53.
    LEISMANIASIS CUTANEA Las úlcerasdejan una cicatriz característica, atrófica en su centro, de borde hiperpigmentado, con estriaciones estrelladas del centro a la periferia FORMA LINFANGÍTICA la úlcera se acompaña de nódulos que siguen el trayecto de los vasos linfáticos que drenan la lesión inicial. FORMA CUTÁNEA DIFUSA Defecto específico de la inmunidad celular y es causada por Leishmania amazonesis y Leishmania mexicana; se presenta con pápulas, placas y nódulos generalizados.
  • 54.
  • 55.
    DIAGNOSTICO DIFERENCIAL LEISHMANIASIS CUTANEA LESIONPATOLOGIA Lesiones ulcerosas: Úlceras Traumáticas, Úlceras Vasculares Y Linfaticas, Piógenas, Esporotricosis Fija Y Linfangítica, Paracoccidioidomicosis, TBC Cutánea, Úlceras Por Micobacterias Atípicas, Pioderma Gangrenoso Y Tumores Malignos Ulcerados, E Infecciones Por Cocos Gram Positivos. Lesiones papulosas, nodulares o en placas: Picaduras De Insecto Con Formación De Granuloma, Lepra, Sarcoidosis, Psoriasis. Lesiones verrugosas: Cromomicosis, Tuberculosis Verrugosa, Histoplasmosis, Lobomicosis, Carcinomas Espinocelulares. Formas linfangíticas Esporotricosis, Úlceras Por Micobacterias Atípicas.
  • 60.
    LEISMANIASIS MUCOSA resultado dela diseminación linfohematógena del parásito Se presentan de manera simultánea con las lesiones cutáneas o en periodo de los 2 a 3 años de la cicatrizacion de la lesion cutanea Afecta las mucosas de las vías áreas superiores nariz, faringe, boca, laringe, tráquea relacionada con la especie L. braziliensis
  • 61.
    Examen fisico: hiperemia nasal,edema y eritema del tabique nasal. Estados más avanzados se aprecian ulceraciones, perforación y destrucción del tabique y de los tejidos blandos, pudiendo llegar a provocar graves mutilaciones. Sintomatologia: sensación de congestión, obstrucción y prurito nasal, epistaxis, disfonía, rinorrea serohemática, y purulenta puede comprometer otras mucosas faringe, laringe, paladar y labios . puede haber disfagia y cambios en el tono devoz. La infección bacteriana sobre agregada, que es frecuente y grave, puede llevar a la muerte por compromiso del tracto respiratorio superior. LEISMANIASIS MUCOSA
  • 62.
    • Perforación banaldel tabique nasal • Úlcera traumática • Lesiones secundarias al uso de vasoconstrictores • Aspiración crónica de cocaína • Lepra lepromatosa • Paracoccidiodomicosis • Lues tardía • Tuberculosis orificial • Histoplasmosis • Rinosporidiosis • Esporotricosis • Linfoma angiocéntrico de la línea media • Rinoescleroma • Granulomatosis de wegener DIAGNOSTICO DIFERENCIAL LEISMANIASIS MUCOSA
  • 63.
    LEISMANIASIS VISCERAL el parásitoinvade las células del sistema retículo – histiocitario, se reproduce y se disemina por vía linfática o sanguínea hasta los macrófagos de médula ósea, hígado y bazo En los departamentos de Córdoba, Sucre, Bolívar, Cundinamarca, Tolima y Huila donde afecta principalmente a la población infantil. Las manifestaciones clínicas están asociadas a factores del huésped como la edad, estado nutricional, la respuesta innata y adquirida. el período de incubación: es variable de 3 a 8 meses.
  • 64.
    LEISMANIASIS VISCERAL Manisfestaciones clinica: fiebreintermitente, malestar general, astenia, anorexia, enflaquecimiento progresivo, palidez y hemorragias. Los signos clínicos son hepatomegalia, esplenomegalia, micropoliadenopatías, anemia y signos de desnutrición. Frecuentemente hay enfermedades intercurrentes como infecciones respiratorias y diarreas. Compromiso de la médula ósea lleva a anemia, leucopenia y trombocitopenia Compromiso hepático ocasiona disminución en la tiempo de protrombina que sumada a la disminución en el número de plaquetas se traduce en hemorragias
  • 65.
    LEISMANIASIS VISCERAL Diagnóstico debe confirmarsecon la identificación parasitológica en aspirado de médula ósea y/o de aspirado de bazo paciente procedente del área endémica con edad menor de 15 años). Malnutrición Pacientes VIH positivo cuadro clínico: síndrome febril y/o esplenomegalia y/o hepatomegalia, ocasionalmente con linfoadenopatías El diagnóstico y el tratamiento oportuno son muy importantes para evitar las complicaciones secundarias a la infiltración en médula ósea como neumonía, sepsis por gérmenes Gram negativos y para evitar la mortalidad.
  • 66.
    • Cirrosis • Linfoma •Tripanosomiasis cronica • Esquistosomiasis DIAGNOSTICO DIFERENCIAL LEISMANIASIS VISCERAL
  • 67.
    DIAGNOSTICO HISTORIA CLINICA O AMNESIA Edad,genero, procedencia, escolaridad y ocupación; tiempo de exposición, características de Las lesiones, el tiempo de evolución; antecedentes epidemiológicos, patológicos, alérgicos y farmacológicos. EXAMEN FISICO Rinoscopia y registro del área de las lesiónes y su localización exacta. P. LABORATORIO LC EXAMEN DIRECTO: FROTIS O ASPIRADO DE LA LESION REACCION DE MONTENEGRO BIOPSIA DE PIEL CULTIVOS LMC REACCION DE MONTENEGRO BIIOPSIA DE MUCOSA NASAL IFI: Positiva con títulos mayores o iguales a 1/16 y ELISA LV CUADRO HEMATICO - TIEMPOS DE COAGULACION- SEROLOGIA EXAMEN PARASITOLÓGICO DIRECTO MEDIANTE ASPIRADO DE BAZO EXAMEN PARASITOLÓGICO DIRECTO MEDIANTE ASPIRADO DE MÉDULA ÓSEA: IFI Positiva con títulos mayores o iguales a 1/32.Y ELISA REACCIÓN DE MONTENEGRO
  • 68.
    Frotis (raspado) delborde interno de la úlcera Materiales: guantes de cirugía, alcohol, algodón, solución salina, jabón quirúrgico, gasa estéril, láminas porta-objetos, lancetas u hojas de bisturí, colorante de Giemsa, Wright, o Field, microscopio de luz, aceite de inmersión. Procedimiento: - Con manos enguantadas realice limpieza del sitio de la lesión utilizando gasa impregnada en alcohol, solución salina o jabón quirúrgico, evitando que queden trazas de detergente que pueden alterar el resultado. Si hay costra remuévala cuidadosamente. - Sobre la cara interna del borde de la úlcera realice un raspado con el borde romo de una lanceta o de una hoja de bisturí. Hágalo de manera tal que no sangre mucho, presionando el sitio de la lesión hasta hacer isquemia. - El material así obtenido se extiende en forma suave sobre una lámina portaobjetos nueva, previamente limpiada, desengrasada y debidamente rotulada. - Tome otras tres muestras de la misma manera colocando dos muestras por lámina portaobjetos. - Deje secar las muestras a temperatura ambiente, teniendo las precauciones necesarias en climas cálidos y húmedos. - Fije con metanol y deje secar. - Tiña las láminas con colorante de Giemsa, Wright o Field, durante el tiempo y la concentración estandarizados al iniciar el lote. - Observe al microscopio de luz con un aumento de 100 X (objetivo de inmersión), para buscar los amastigotes que pueden encontrarse intra o extracelularmente. Para identificar un amastigote como tal debe observarse las formas ovaladas o redondeadas y distinguirse claramente el núcleo del cinetoplasto.
  • 70.
    Incisión y raspadodel borde activo de la lesión Este método se debe realizar sólo cuando el paciente presenta lesiones cerradas, no ulceradas. Materiales: xilocaína, jeringas de tuberculina, guantes de cirugía, alcohol, algodón, solución salina, jabón quirúrgico, gasa estéril, láminas porta, lancetas u hojas de bisturí, colorante de Giemsa, Wright o Field, microscopio , aceite de inmersión. Procedimiento: - Con manos enguantadas realice limpieza del sitio de la lesión utilizando algodón impregnado en alcohol o solución salina y jabón quirúrgico Previa infiltración con una pequeña cantidad de xilocaína (0.1 a 0,2 ml), sobre el borde activo de la lesión realice una pequeña incisión con la hoja de bisturí de 3 a 6 mm de longitud por 1 a 3 mm de profundidad. La isquemia se debe lograr haciendo presión en pinza con los dedos. - Con gasa estéril, limpie la sangre que emana de la incisión y con la misma gasa presione el borde de la lesión para hacer isquemia y evitar el sangrado. - Con el borde romo de la hoja del bisturí levante la piel de la parte superior de la incisión y raspe tejido del interior de la incisión desde la profundidad hacia la superficie. - El material así obtenido se extiende en forma suave sobre una lámina portaobjetos nueva previamente limpiada, desengrasada y debidamente rotulada. - Se continúa el proceso en la misma forma que para el frotis del borde interno de la úlcera
  • 71.
    Prueba de montenegro Seutiliza para estudios epidemiológicos y como ayuda diagnóstica complementaria. Materiales: jeringa de tuberculina con aguja Nº 20, leishmanina, algodón y alcohol. Bolígrafo y regla milimetrada para la lectura. Procedimiento: - Aspirar con la jeringa de tuberculina 0,1 ml de leishmanina. - Limpiar con algodón impregnado con alcohol el tercio superior de la cara flexora del antebrazo izquierdo. - Insertar intradérmicamente solo la punta de la aguja e introducir poco a poco el líquido notándose la formación de una pequeña pápula con aspecto de “ piel de naranja”. Lectura: a las 48-72 horas de la aplicación medir el diámetro de la induración, empleando la técnica del bolígrafo así: colocado perpendicularmente al plano de la piel, se deja deslizar el bolígrafo desde la periferia hacia el centro hasta donde se encuentra resistencia. Realizar el procedimiento en los cuatro cuadrantes para delimitar el área de induración. Con la regla milimetrada se mide la distancia que hubo entre los sitios de resistencia. Para informar el resultado se debe anotar los dos diámetros.
  • 72.
    Reacción de Montenegro:Su utilidad se fundamenta en que indica exposición previa al parásito pero no la enfermedad activa. Interpretación: POSITIVA, uno de los dos diámetros de la induración es igual o mayor a 5mm.
  • 73.
    La leishmanina utilizadatiene una concentración 5ug/ml de proteínas de promastigotes de L. panamensis y L. amazonensis y es producida por el laboratorio de parasitología del Instituto Nacional de Salud. Para conservar su actividad debe almacenarse en refrigeración de 4° a 8°C. La aparición de una pápula con aspecto de “piel de naranja”, certifica la correcta aplicación intradérmica de la prueba.
  • 74.
  • 76.
  • 77.
    Detección de anticuerposde Leishmania por Inmunofluorescencia Indirecta (IFI) ** Objetivo de la prueba Detectar la presencia de anticuerpos circulantes tipo IgG contra Leishmania sp. en suero de pacientes, mediante el uso de una técnica inmunológica como es la inmunofluorescencia indirecta (IFI). ** Fundamento de la prueba La inmunoflouoresencia indirecta es una prueba serológica que detecta anticuerpos circulantes anti-Leishmania y es de gran utilidad para el diagnóstico de leishmaniasis mucocutánea. La técnica consiste en incubar el antígeno (promastigotes de Leishmania sp.), que se encuentra fijados a una lámina portaobjetos, con el suero separado de la muestra de sangre del paciente. Luego se adiciona un anti-anticuerpo marcado con el fluorocromo que se unirá al complejo antígeno-anticuerpo fijado al portaobjeto (si el paciente tiene anticuerpos anti-Leishmania circulantes), y tras una nueva incubación y un lavado se visualiza la positividad o no del ensayo en un microscopio de fluorescencia. Esta prueba es particularmente útil para el diagnóstico de leishmaniasis mucosa, ya que en esta forma clínica de la enfermedad la comprobación parasitológica es difícil. ** Reporte Reactivo: Una muestra se considera REACTIVA si se observan las estructuras del parásito: membrana, flagelo, citoplasma, núcleo y en algunos casos cinetoplasto, de coloración verde fluorescente. Se reporta el título de la última dilución de suero en la cual se observó fluorescencia de todo el promastigote. En el diagnóstico de leishmaniasis mucocutánea una muestra se considera POSITIVA si presenta títulos de de fluorescencia iguales o mayores a 1:16. No reactivo: Ausencia de la fluorescencia en todo el parasito. (Se observa color rojo ladrillo)
  • 79.
    L. VISCERAL • Aspiradode médula osea y de bazo
  • 80.
  • 82.
    LeishmaniaDirecto negativo • Elexamen directo se considera negativo cuando no se observan formas de amastigote de Leishmania sp. en todos los frotis del paciente. En caso que no se observen amastigotes en la primera lámina, se debe hacer tinción con giemsa a la segunda y de ser necesario, a la tercera lámina ya fijada. • Si en ésta segunda lámina tampoco se encuentran amastigotes, pero se tiene una alta sospecha clínica y epidemiológica de la leishmaniasis, se debe repetir el examen directo de un sitio diferente de la misma lesión o si hay otras lesiones escoger la más reciente o activa de ellas y repetir el procedimiento de toma de muestra, tinción y lectura de láminas según los protocolos. En total se deben tomar hasta tres exámenes directo por paciente, es decir 27 muestras diferentes en 9 láminas diferentes.
  • 83.
    * Medios decultivo monofásicos: Generalmente son medios líquidos para cultivo de células de insectos (medio Schneider) o mamíferos (medio RPMI). En el Centro Dermatológico se utiliza el medio Schneider para el cultivo en masa de parásitos. Los parásitos se desarrollan en éste medio de manera óptima por lo cual se utiliza de rutina para obtener cultivo con gran número de parásitos en medio líquido. El medio Schneider para el cultivo de Leishmania sp., debe suplementarse con una concentración del 10%-20% de Suero Fetal Bovino (SBF) (Guía Leishmaniasis CDFLLA 2011). * Medio de cultivo bifásico: compuesto por una fase sólida de agar sangre en tubos inclinados y una fase líquida superpuesta, formada por vapor de agua condensado y un pequeño volumen de solución salina o PBS 1X. Entre los medios de cultivo bifásicos más usados para leishmaniasis encontramos séneca y NNN (Medio Novy, McNeal, Nicolle). En la experiencia del Centro Dermatológico se utiliza el medio de cultivo Séneca para el aislamiento primario del parásito, el cual es un medio enriquecido con bactopeptona, bacto beef y sangre de conejo que propicia la transformación de los amastigotes (presentes en la lesión) en promastigotes (Cuba et al., 2000). Lo recomendable es que si se va a tomar una muestra de paciente para cultivo, esta se siembre primero en Seneca y una vez se cuente con parásitos viables y moviles en el medio se realiza un pase a medio Schneider para amplificar el cultivo con fines de criopreservación y/o tipificación de especies.
  • 84.
    ** Reporte En elCentro Dermatológico los resultados del cultivo se reportan al paciente de la siguiente manera: Cultivo Positivo: Se observa crecimiento y viabilidad del promastigote. Cultivo Negativo: No se observa crecimiento, ni viabilidad de promastigotes pasadas 5 semanas.
  • 85.
    Los antimoniales pentavalentesson los medicamentos de elección, que en nuestro país conservan una eficacia del 80 a 90%. • Antimoniato de meglumina o estibogluconato de sodio Como segunda opción, pacientes inmunosuprimidos. • Anfotericina B, : • Miltefosina TRATAMIENTO
  • 86.
  • 87.
    Caso clínico Varón bolivianode 36 años, trabajador forestal en la. Conocía seropositividad a Trypanosoma cruzi a raíz de donación. A los 18 años sufrió lesión cutánea en antebrazo derecho de evolución tórpida, que dejó lesión atrófica tras tratamiento local . Consultó por rinorrea purulenta de 3 meses de evolución, epistaxis repetidas y costras que producían obstrucción nasal, sin dolor. No tenía síntomas generales. En la exploración física presentaba la reseñada lesión en antebrazo y una lesión eritematocostrosa en dorso nasal, punta y región columelar, con perforación septal y lesión ulcerada en su pared posterior. No tenía anestesia regional. No hubo alteraciones analíticas de interés. Las serologías frente a virus de la inmunodeficiencia humana (VIH), virus de la hepatitis B (VHB), virus de la hepatitis C (VHC) y fueron negativas. Fue positiva frente a T. cruzi (análisis inmunoenzimático [ELISA]-IgG+, inmunofluorescencia indirecta [IFI]-IgG 1/160). La reacción en cadena de la polimerasa (PCR) de sangre periférica amplificó T. cruzi. La tomografía computarizada (TC) de nariz y senos paranasales reveló marcado engrosamiento mucoso de cornetes y seno maxilar izquierdos con destrucción de tabique nasal. Se realizó biopsia de mucosa y tabique nasal que resultó diagnóstica.
  • 88.
    Evolución La histopatología mostróuna rinitis granulomatosa úlcero- necrosante, sin inclusiones intramacrofágicas. La serología (IFI) para Leishmania sp. fue positiva a 1/160. El cultivo de la muestra fue positivo para Leishmania sp. con PCR positiva para Leishmania braziliensis
  • 89.
    Descripción clínica Recién nacidopretérmino, 32 semanas de gestación, que ingresó en la unidad neonatal por prematuridad y bajo peso. Madre de origen boliviano, primogesta. Embarazo controlado, con ecografías normales y serologías negativas, salvo anticuerpos positivos para__________________. Presentó ruptura prematura de membranas 72 h antes del parto y recibió antibioterapia intravenosa y maduración pulmonar completa con corticoides. Se realizó analítica de sangre de cordón, en la que destacó neutropenia severa sin otras alteraciones, y que se confirmó en la analítica posterior, por lo que recibió tratamiento antibiótico empírico con ampicilina y gentamicina que se mantuvo durante 7 días. No presentó clínica de infección bacteriana.
  • 91.
    Diagnóstico y evolución Anteel riesgo de transmisión de enfermedad por la serología materna positiva, se realizó el primer día de vida un examen directo microscópico de la muestra de sangre total con anticoagulante remitida al laboratorio, donde se observaron formas móviles flagelares de aproximadamente 20 µ. en la tinción de Giemsa de una porción de la capa leucocitaria procedente del tubo de microhematocrito también se visualizaron las formas parasitarias con un núcleo central, un cinetoplasto subterminal largo y una membrana ondulante que adhería el flagelo a la membrana celular. Este hallazgo, junto con el resultado positivo de la PCR, hicieron posible el diagnóstico de la parasitemia en el recién nacido producida por _________ Consecuentemente, se instauró tratamiento con benznidazol 5 mg/kg cada 12 h durante 60 días. Como estudios complementarios se realizaron una radiografía de tórax, un electrocardiograma, un ecocardiograma, una ecografía abdominal y un fondo de ojo, que resultaron normales. En los hemogramas posteriores al inicio del tratamiento se objetivó de forma intermitente neutropenia, que se resolvió sin necesidad de modificar la actitud terapéutica. Se realizó seguimiento ambulatorio, finalizando el tratamiento tras 60 días sin más incidencias. Posteriormente se repitieron tanto el microhematocrito como la PCR, resultando ambos negativos.
  • 92.
    • Case #394- April, 2015 • A 17-year-old female presented with a crusted nodule on her left cheek two months after traveling to Israel. She admitted to camping outdoors and being bitten by insects on her face during the trip. No other symptoms were noted. A biopsy was obtained from the periphery of the nodule, placed in a sterile vial with transport media, and sent to the Center for Disease Control for diagnostic work- up. Upon receipt, a touch-prep smear was prepared, fixed with methanol, stained with Giemsa, and examined. Figures A-C show was observed at 100x magnification with oil. What is your diagnosis? Based on what criteria? What other testing, if any, would you recommend?
  • 94.
    Una joven de17 años de edad presentó con un nódulo con costra en la mejilla izquierda dos meses después de viajar a Israel. Ella admitió acampar al aire libre y ser picada por los insectos en su cara durante el viaje. No se observaron otros síntomas. Una biopsia se obtuvo de la periferia del nódulo, se colocó en un vial estéril con los medios de transporte, y se envía a los CDC para estudio diagnóstico. Tras la recepción, se preparó un frotis , se fijado con metanol, coloreado con Giemsa, y se examina. Figuras A - C muestran lo observado en 100 X con aceite. ¿Cuál es su diagnóstico? En base a qué criterios? ¿Qué otras pruebas, si las hay, me recomiendan?
  • 95.
  • 96.
    Answer to Case#394 This was a case of cutaneous leishmaniasis caused by Leishmania major. The genus-level diagnosis was based on the observation of amastigotes and promastigotes on the Giemsa-stained touch-prep smear. The species-level identification was based on subsequent molecular analysis, as Leishmania spp. cannot be differentiated by the morphology of the amastigotes. Amastigotes (blue arrows Figure C) are characterized as being small spherical to ovoid structures approximately 1-5 micrometers in length by 1-2 micrometers wide. In addition, both a nucleus and a kinetoplast should be visualized before reporting as positive. When there is a delay in shipping and/or processing, amastigotes may transform into promastigotes (black arrows Figure C) if the ambient temperature is similar to that found in the gut of the sand fly vector (Phlebotomus spp. and Lutzomyia spp.). Promastigotes are larger, elongated or spindle-shaped and have a flagellum projecting from the anterior end. Promastigote formation is never seen in Trypanosoma cruzi, the causative agent of Chagas disease and the only other organism that produces amastigotes in human tissue.
  • 97.
    Este fue uncaso de leishmaniasis cutánea causada por Leishmania major. El diagnóstico de género se basa en la observación de amastigotes y promastigotes en el frotis teñida con Giemsa. La identificación a nivel de especie se basó en el análisis molecular posterior, como Leishmania spp. no pueden ser diferenciados por la morfología de los amastigotes. amastigotes (flechas azules Figura C) se caracterizan por ser pequeños esféricos a ovoide, estructuras aproximadamente 5.1 micrómetros de largo por 1-2 micrómetros de ancho. Además, tanto un núcleo y un cinetoplasto deben ser visualizadas antes de informar como positivo. Cuando hay un retraso en el envío y / o procesamiento, amastigotes pueden transforman en promastigotes (flechas negras Figura C) si la temperatura ambiente es similar a la encontrada en el intestino del vector de mosca de la arena(Phlebotomus spp. Y Lutzomyia spp.). Los Promastigotes son más grandes, alargados o en forma de huso y tienen un flagelo que se proyecta desde el extremo anterior. La formación Promastigote nunca se ve en Trypanosoma cruzi, el agente causante de la enfermedad de Chagas y el otro organismo que produce amastigotes en el tejido humano.
  • 98.
    • Case #115- • A female patient who received kidney and pancreas transplants from a cadaveric donor returned to the hospital with febrile illness six and a half weeks after the surgery. Recent travel outside of the US was not reported. A peripheral blood smear was prepared, stained with Giemsa, and examined. The organism in Figure A was observed on the smear. What is your diagnosis? Based on what criteria?
  • 99.
    • Un pacienteque recibió un trasplante de riñón y páncreas de un donante regresó al hospital con una enfermedad febril de Seis semanas y medio después de la cirugía. No se informó recientes viajes fuera de los EE.UU. Un frotis de sangre periférica se preparó, se tiñó con Giemsa y fue examinado. El organismo en la figura A se observó en el frotis. ¿Cuál es su diagnóstico? En base a qué criterios?
  • 100.
    • Case #120- November, • A middle-aged man from East Africa, who had immigrated to the United States 20 years ago, had an intermittent fever for two weeks, which progressed to a daily fever with chills. He had also experienced severe weight loss during the previous six months. He had traveled to Southeast Asia while living outside the U.S., and his past medical history revealed he had contracted malaria twice. It was also discovered that he was positive for HIV by antibody testing. A CT scan revealed that he had an enlarged spleen and liver. A bone marrow aspirate was obtained and part of it was stained with hematoxylin and eosin (H & E) and the rest used to inoculate a culture. Figures A and B show what was seen in the stained aspirate. Figures C and D show what was seen on a Giemsa stained smear from the culture 10 days postinoculation. What is your diagnosis? Based on what criteria?
  • 102.
    CASO 120 Un hombrede mediana edad de la África del Este, que había emigrado a los Estados Unidos hace 20 años, tenía una fiebre intermitente durante dos semanas, que avanzaba a una fiebre diaria con escalofríos. Él también había experimentado pérdida severa de peso durante los seis meses anteriores. Había viajado al sudeste de Asia, mientras que viven fuera de los EE.UU., y su historial médico reveló que había contraído la malaria dos veces. También se descubrió que era positivo para el VIH por medio de pruebas de anticuerpos. Una tomografía computarizada reveló que tenía un agrandamiento del bazo y el hígado. Se obtuvo un aspirado de médula ósea y parte de ella se tiñó con hematoxilina y eosina (H & E) y el resto es utilizado para inocular un cultivo. Figuras A y B muestran lo que se vio en el aspirado Figuras C y D muestran lo que era visto en un frotis Giemsa 10 días después de la inoculación del cultivo. ¿Cuál es su diagnóstico? En base a qué criterios?
  • 103.
    • Case #164- September, • A 42-year-old animal trapper sought medical attention regarding an ulcerative lesion on his arm (Figure A). He reported that he had been in Bolivia two months ago and that the lesion on his arm had grown worse since his return. A biopsy of the lesion on his arm was performed and a touch prep smear prepared and stained with Giemsa. The tissue was sent to pathology to be sectioned and stained with H & E. Figures B and C show objects observed on the Giemsa stained touch prep smears, and Figures D and E show objects observed on one of the H & E slides. What is your diagnosis? Based on what criteria?
  • 105.
    • Caso #164 - septiembre • A de 42 años de edad, cazador de animales buscó atención médica en relación con una lesión ulcerosa en su brazo(Figura A). Informó que él había estado en Bolivia hace dos meses y que la lesión en su brazo había empeorado desde su regreso. se realizó Una biopsia de la lesión en su brazo y una preparación se coloreo con Giemsa. El tejido fue enviado a patología para ser seccionadas y teñidas con H & E. Las figuras B y C muestran objetos observados en Giemsa y Figuras D y E muestran objetos observados en una de las diapositivas de H & E. ¿Cuál es su diagnóstico? En base a qué criterios?