Síndrome de Turner Dra. Silvia Cruz Dra. Julieta Ortiz
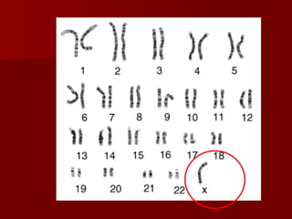
Síndrome de Turner Se caracteriza por disgenesia gonadal con amenorrea primaria, infantilismo sexual, talla baja y fenotipo femenino con múltiples anomalías congénitas. Se caracteriza por ausencia total o parcial del segundo cromosoma sexual.
Síndrome de Turner Ocurre en 1 en 2500  a 1 en 5000 niñas nacidas vivas.  La mitad tiene monosomía X (45,X), 5 a 10% duplicación del brazo largo de un X (46,X,i(Xq)), el resto tiene mosaicismos 45,X, con uno o más linajes celulares adicionales.  El 99% de fetos con solo un cromosoma X abortan. En ausencia de desarrollo gonadal, todos estos individuos con mujeres, fenotipicamente.
Hallazgos Clínicos en el Síndrome de Turner Musculoesqueléticos Talla corta Cuello corto Proporción anormal de segmento superior/inferior Cubitus Valgus Metacarpianos cortos Escoliosis Genu valgo Micrognatia y paladar ojival Mamas hipoplásicas y muy separadas
Hallazgos Clínicos en el Síndrome de Turner Obstrucción linfática Cuello alado Implantación baja de cabello Edema de manos y pies Displasia de las uñas Dermatoglifos característicos Defectos de Células Germinales Fallo gonadal Infertilidad
Hallazgos Clínicos en el Síndrome de Turner Otras anomalías Cardiovasculares Renales Nevus pigmentados Ptosis Estrabismo Defectos de audición Anomalías asociadas Tiroiditis de Hashimoto Hipotiroidismo Alopecia Vitiligo Anomalías GI Intolerancia a carbohidratos.
Hallazgos Clínicos en el Síndrome de Turner
Síndrome de Turner Entre las anormalidades cardiovasculares se encuentran las válvulas aórticas bicúspides, coartación de la aorta, prolapso de válvula mitral, y aneurisma de la aorta. Al nacimiento presentan linfaedema de las extremidades. Al llegar la pubertad presenta amenorrera y falta en el desarrollo de caracteres sexuales secundarios.
Síndrome de Turner Retraso de la menarquia con talla corta considerar Turner. Vello axilar y púbico no debe considerarse como pubertad, ya que puede deberse a andrógenos de origen adrenal. Pueden existir transtornos del aprendizaje, percepción espacial, coordinación visual-motora, y matemática.
 
 
Diagnóstico Lo sugieren las características clínicas. Realizar cariotipo. Si ya se tiene diagnóstico de Turner se debe investigar la presencia de línea celular con cromosoma Y. Cuando es cromosoma Y esta presente existe riesgo aumentado de desarrollar gonadoblastoma y disgerminoma de la glándula disgenésica.  Gonadectomía profiláctica.
 
Tratamiento Valoración y seguimiento periódicos a diferentes edades. Monitorizar PA ya que pueden tener HTA (d/c causas cardíacas y renales). Valorar otitis media ya que es causa de hipoacusia. Tx hormonal del fallo gonadal, tratamiento estrogénico.
Tratamiento Tratamiento de talla baja con hormona crecimiento. Cirugía plástica del cuello. Dieta para evitar obesidad. Glucosa para d/c intolerancia a la glucosa y Diabetes Mellitus. Apoyo psicológico.
Síndrome de Klinefelter
Síndrome de Klinefelter Es una forma de hipogonadismo masculino debido a esclerohialinosis testicular con atrofia y azoospermia, ginecomastica y tasa elevada de gonadotropinas.  Es causada por la adición de un cromosoma X en hombres (47,XXY). 50% error en la meiosis I paterna y resto error en meiosis I ó II materna. Afecta 1 en 1000 hombres con un X más. Responsable de 3% infertilidad en hombres.
 
Presentación Clínica Infetilidad (azoospermia u oligospermia). Testículos pequeños y firmes Hipogonadismo hipergonadotrópico Ginecomastia Altos y delgados con piernas largas y torso corto. Osteoporosis Disfunción motora Dificultades para el lenguaje y habla Deficit de atención Problemas para el aprendizaje Dislexia Problemas del comportamiento y psicomotor
 
Presentación Clínica Las características son causadas por la deficiencia de testosterona y por la LH y FSH sin supresión. Deficit de andrógenos resulta en disminución del libido, disminución de la masa y tono muscular, disminución de densidad ósea, riesgo de tromboembolias, y aumenta el riesgo de mortalidad por diabetes y cardiovascular.
Diagnóstico Debido a que niños son similares el diagnóstico se hace en edad adulta cuando hay infertilidad y ginecomastia. Cariotipo Tamaño testicular con USG FSH y LH elevadas Testosterona disminuida
Manejo Tan pronto como se hace el diagnóstico realizar evaluación del neurodesarrollo. Multidisciplinario, con terapia física, programas de estimulación, terapia del habla. Terapia andrógena cuando hay evidencia de déficit de testosterona o hipergonadotropismo.
Manejo Debido a que ginecomastia predispone a CA de mama (20 a 50 veces más), se recomienda auto examen.  Tx quirúrgico por razón cosmética. Si hay espermas presentes se pueden criopreservar para utilizarlos posteriormente si desea familia.
Genitales Ambiguos
Genitales Ambiguos Los genitales ambiguos denotan una virilización parcial o completa de los genitales externos. Mujeres desde el punto de vista genético que fueron virilizadas en el útero.  Hombres menos virilizados. La extensión de la virilización de los genitales externos depende del momento, longitud de la exposición y los niveles de andrógenos.
Genitales Ambiguos La exposición a andrógenos después de las 12 semanas genera hipertrofia del clítoris, pero vestíbulo, uretra y vagina normal.  Los labios mayores se alteran por ser redundantes, arrugarse y pigmentados.
Genitales Ambiguos La exposición a edades tempranas lleva a la hipertrofia del clítoris, además de retención del seno urogenital y la fusión de los pliegues labioescrotales.  Los labios se fusionan en la línea media para formar un rafe medio. Los labios fusionados forman una estructura arrugada como una bolsa que asemeja al escroto.
Genitales Ambiguos La apertura de la vagina esta ausente. Apertura única que se extiende hacia un pasaje en común que conecta uretra con la vagina. También los labios pueden fusionarse y formar la uretra peneana.
Genitales Ambiguos Diagnóstico genera estrés en los padres. Explicar que el infante tiene desarrollo sexual incompleto y determinar si es hombre o mujer. Corrección quirúrgica después de completar evaluación médica y asignación del sexo al bebé.
Genitales Ambiguos Clasificación de Prader Tipo I Genitales completamente femeninos.
Genitales Ambiguos Clasificación de Prader Tipo II Hipertrofia simple del clítoris.
Genitales Ambiguos Clasificación de Prader Tipo III Hipertrofia simple del clítoris, fusión de los labios mayores y seno urogenital único.
Genitales Ambiguos Clasificación de Prader Tipo IV Hipertrofia del clítoris con apariencia de micropene con hipospadias perineal, fusión completa de los labios mayores con apariencia escrotal.
Genitales Ambiguos Clasificación de Prader Tipo V Hipertrofia del clítoris con meato urinario en punta, apariencia completa de genitales masculinos sin gónadas en bolsas
Diferenciación Sexual Anormal Mujeres Masculinizadas (pseudohermafroditismo femenino) Hiperplasia Adrenal Congénita Andrógenos elevados en la circulación materna Deficiencia de Aromatasa Hombres Masculinizados Incompletamente (pseudohermafroditismo masculino) Síndromes de insensibilidad a andrógenos Deficiencia de 5    reductasa Defectos en la biosíntesis de testosterona Testículos resistentes a las gonadotropinas Deficiencia de hormona anti-mülleriana
GRACIAS

Síndrome De Turner Y Klinefelter

  • 1.
    Síndrome de TurnerDra. Silvia Cruz Dra. Julieta Ortiz
  • 2.
    Síndrome de TurnerSe caracteriza por disgenesia gonadal con amenorrea primaria, infantilismo sexual, talla baja y fenotipo femenino con múltiples anomalías congénitas. Se caracteriza por ausencia total o parcial del segundo cromosoma sexual.
  • 3.
    Síndrome de TurnerOcurre en 1 en 2500 a 1 en 5000 niñas nacidas vivas. La mitad tiene monosomía X (45,X), 5 a 10% duplicación del brazo largo de un X (46,X,i(Xq)), el resto tiene mosaicismos 45,X, con uno o más linajes celulares adicionales. El 99% de fetos con solo un cromosoma X abortan. En ausencia de desarrollo gonadal, todos estos individuos con mujeres, fenotipicamente.
  • 4.
    Hallazgos Clínicos enel Síndrome de Turner Musculoesqueléticos Talla corta Cuello corto Proporción anormal de segmento superior/inferior Cubitus Valgus Metacarpianos cortos Escoliosis Genu valgo Micrognatia y paladar ojival Mamas hipoplásicas y muy separadas
  • 5.
    Hallazgos Clínicos enel Síndrome de Turner Obstrucción linfática Cuello alado Implantación baja de cabello Edema de manos y pies Displasia de las uñas Dermatoglifos característicos Defectos de Células Germinales Fallo gonadal Infertilidad
  • 6.
    Hallazgos Clínicos enel Síndrome de Turner Otras anomalías Cardiovasculares Renales Nevus pigmentados Ptosis Estrabismo Defectos de audición Anomalías asociadas Tiroiditis de Hashimoto Hipotiroidismo Alopecia Vitiligo Anomalías GI Intolerancia a carbohidratos.
  • 7.
    Hallazgos Clínicos enel Síndrome de Turner
  • 8.
    Síndrome de TurnerEntre las anormalidades cardiovasculares se encuentran las válvulas aórticas bicúspides, coartación de la aorta, prolapso de válvula mitral, y aneurisma de la aorta. Al nacimiento presentan linfaedema de las extremidades. Al llegar la pubertad presenta amenorrera y falta en el desarrollo de caracteres sexuales secundarios.
  • 9.
    Síndrome de TurnerRetraso de la menarquia con talla corta considerar Turner. Vello axilar y púbico no debe considerarse como pubertad, ya que puede deberse a andrógenos de origen adrenal. Pueden existir transtornos del aprendizaje, percepción espacial, coordinación visual-motora, y matemática.
  • 10.
  • 11.
  • 12.
    Diagnóstico Lo sugierenlas características clínicas. Realizar cariotipo. Si ya se tiene diagnóstico de Turner se debe investigar la presencia de línea celular con cromosoma Y. Cuando es cromosoma Y esta presente existe riesgo aumentado de desarrollar gonadoblastoma y disgerminoma de la glándula disgenésica. Gonadectomía profiláctica.
  • 13.
  • 14.
    Tratamiento Valoración yseguimiento periódicos a diferentes edades. Monitorizar PA ya que pueden tener HTA (d/c causas cardíacas y renales). Valorar otitis media ya que es causa de hipoacusia. Tx hormonal del fallo gonadal, tratamiento estrogénico.
  • 15.
    Tratamiento Tratamiento detalla baja con hormona crecimiento. Cirugía plástica del cuello. Dieta para evitar obesidad. Glucosa para d/c intolerancia a la glucosa y Diabetes Mellitus. Apoyo psicológico.
  • 16.
  • 17.
    Síndrome de KlinefelterEs una forma de hipogonadismo masculino debido a esclerohialinosis testicular con atrofia y azoospermia, ginecomastica y tasa elevada de gonadotropinas. Es causada por la adición de un cromosoma X en hombres (47,XXY). 50% error en la meiosis I paterna y resto error en meiosis I ó II materna. Afecta 1 en 1000 hombres con un X más. Responsable de 3% infertilidad en hombres.
  • 18.
  • 19.
    Presentación Clínica Infetilidad(azoospermia u oligospermia). Testículos pequeños y firmes Hipogonadismo hipergonadotrópico Ginecomastia Altos y delgados con piernas largas y torso corto. Osteoporosis Disfunción motora Dificultades para el lenguaje y habla Deficit de atención Problemas para el aprendizaje Dislexia Problemas del comportamiento y psicomotor
  • 20.
  • 21.
    Presentación Clínica Lascaracterísticas son causadas por la deficiencia de testosterona y por la LH y FSH sin supresión. Deficit de andrógenos resulta en disminución del libido, disminución de la masa y tono muscular, disminución de densidad ósea, riesgo de tromboembolias, y aumenta el riesgo de mortalidad por diabetes y cardiovascular.
  • 22.
    Diagnóstico Debido aque niños son similares el diagnóstico se hace en edad adulta cuando hay infertilidad y ginecomastia. Cariotipo Tamaño testicular con USG FSH y LH elevadas Testosterona disminuida
  • 23.
    Manejo Tan prontocomo se hace el diagnóstico realizar evaluación del neurodesarrollo. Multidisciplinario, con terapia física, programas de estimulación, terapia del habla. Terapia andrógena cuando hay evidencia de déficit de testosterona o hipergonadotropismo.
  • 24.
    Manejo Debido aque ginecomastia predispone a CA de mama (20 a 50 veces más), se recomienda auto examen. Tx quirúrgico por razón cosmética. Si hay espermas presentes se pueden criopreservar para utilizarlos posteriormente si desea familia.
  • 25.
  • 26.
    Genitales Ambiguos Losgenitales ambiguos denotan una virilización parcial o completa de los genitales externos. Mujeres desde el punto de vista genético que fueron virilizadas en el útero. Hombres menos virilizados. La extensión de la virilización de los genitales externos depende del momento, longitud de la exposición y los niveles de andrógenos.
  • 27.
    Genitales Ambiguos Laexposición a andrógenos después de las 12 semanas genera hipertrofia del clítoris, pero vestíbulo, uretra y vagina normal. Los labios mayores se alteran por ser redundantes, arrugarse y pigmentados.
  • 28.
    Genitales Ambiguos Laexposición a edades tempranas lleva a la hipertrofia del clítoris, además de retención del seno urogenital y la fusión de los pliegues labioescrotales. Los labios se fusionan en la línea media para formar un rafe medio. Los labios fusionados forman una estructura arrugada como una bolsa que asemeja al escroto.
  • 29.
    Genitales Ambiguos Laapertura de la vagina esta ausente. Apertura única que se extiende hacia un pasaje en común que conecta uretra con la vagina. También los labios pueden fusionarse y formar la uretra peneana.
  • 30.
    Genitales Ambiguos Diagnósticogenera estrés en los padres. Explicar que el infante tiene desarrollo sexual incompleto y determinar si es hombre o mujer. Corrección quirúrgica después de completar evaluación médica y asignación del sexo al bebé.
  • 31.
    Genitales Ambiguos Clasificaciónde Prader Tipo I Genitales completamente femeninos.
  • 32.
    Genitales Ambiguos Clasificaciónde Prader Tipo II Hipertrofia simple del clítoris.
  • 33.
    Genitales Ambiguos Clasificaciónde Prader Tipo III Hipertrofia simple del clítoris, fusión de los labios mayores y seno urogenital único.
  • 34.
    Genitales Ambiguos Clasificaciónde Prader Tipo IV Hipertrofia del clítoris con apariencia de micropene con hipospadias perineal, fusión completa de los labios mayores con apariencia escrotal.
  • 35.
    Genitales Ambiguos Clasificaciónde Prader Tipo V Hipertrofia del clítoris con meato urinario en punta, apariencia completa de genitales masculinos sin gónadas en bolsas
  • 36.
    Diferenciación Sexual AnormalMujeres Masculinizadas (pseudohermafroditismo femenino) Hiperplasia Adrenal Congénita Andrógenos elevados en la circulación materna Deficiencia de Aromatasa Hombres Masculinizados Incompletamente (pseudohermafroditismo masculino) Síndromes de insensibilidad a andrógenos Deficiencia de 5  reductasa Defectos en la biosíntesis de testosterona Testículos resistentes a las gonadotropinas Deficiencia de hormona anti-mülleriana
  • 37.