TORACOCENTESIS
Espacio pleural
• Entre las dos hojas pleurales queda un
espacio cerrado, el espacio o cavidad
pleural, de aproximadamente 10-20 m de
ancho y cuyo interior contiene en
condiciones normales una pequeña
cantidad de líquido pleural (0,1-0,2 ml/kg)
que lubrifica y mantiene independientes
ambas membranas pleurales.
• La función principal de la pleura es facilitar
el movimiento pulmonar en el interior de la
caja torácica, manteniendo en equilibrio las
fuerzas elásticas y torácicas y pulmonares
Esto es posible gracias a la existencia de
una presión negativa intrapleural, que evita
el colapso del pulmón, y a que las dos hojas
pleurales deslizan una sobre la otra gracias
a la presencia de una fina capa de líquido
pleural entre ellas.
• El líquido pleural puede originarse en
capilares de pleura parietal, espacio
intersticial pulmonar, linfáticos , vasos
sanguíneos intratorácicos, o cavidad
peritoneal.
• Su reabsorción se realiza debido al
gradiente de presión que permite que se
filtre a través de estomas que conectan
la pleura parietal hacia el sistema
linfático
• La presión de absorción de los linfáticos, establece una presión inferior a la
atmosférica del líquido pleural con un promedio de -10 cm H2O a la altura del
corazón, y menos negativo en la parte inferior, donde se alcanza 0 cm de H2O.
• El pulmón y la pared torácica desarrollan un retroceso elástico que tienden a
separarlos , , sin embargo, la presión generada por tal retroceso (alrededor de 4
cmH2O) se menos subatmosférica que la generada por la bomba linfático, por lo
tanto, de pulmón y de la pared torácica en realidad están presionando uno contra el
otro v
• Los linfáticos pleurales actúan como reguladores
eficientes de volumen de líquido pleural evitando
la formación de hidrotórax al aumentar el flujo
de drenaje (hasta 20 veces) en proporción al
aumento en la tasa de filtración.
• Cualquier aumento en la filtración del líquido
pleural puede acumularse fácilmente en cavidad
torácica debido a la retracción opuesta entre el
pulmón y la pared torácica.
MECANISMOS DE DERRAME PLEURAL
Aumento de producción
de líquido pleural
Disminución de la
reabsorción de líquido
pleural
Disminución de presión
hidrostática o
coloidosmótica
HISTORIA CLÍNICA
Cirugía abdominal Derrame pleural postquirúrgico, Absceso
subfrénico, Embolismo pulmonar
Exposición al asbesto Mesotelioma, Derrame pleural benigno
Cáncer Mestástasis pleurales
Cirúgía cardíaca o daño al miocardio Derrame pleural secundario a cirugía de
revascularización coronaria o síndrome de Dressler
Hemodiálisis Insuficiencia cardíaca, Uremia
Cirrosis Empiema, Derram secundario a hipoalbuminemia
Endoscopía o dilatación esofágica Derrame pleural secundario a perforación esofágica
Inmunosupresión Neumonía, Tuberculosis, Linfoma, Sarcoma de
Kaposi
Medicamentos de uso crónico Derrames secundarios al uso de Antiarrítmicos,
Aniconvulsivantes,B- bloqueadores, Antibióticos etc
Artritis Reumatoide Pseudoquilotórax, Pleuritis reumática
Lupus eritematoso sistémico Neumonía, Embolismo pulmonar
Trauma Hemotórax, Quilotórax, Fístula pleuroplumonar
Superovulación con gonadotropinas Derrame pleural secundario a hiperovulación
MANIFESTACIONES CLÍNICAS
Dolor torácico
Disnea
FiebreExpectoración Tos
Hallazgos
físicos
Hemitórax abombado.
Disminución de
expansión.
Disminución o abolición
de vibraciones vocales.
Matidez
Abolición de murmullo
vesicular . Soplo pleural
espiratorio
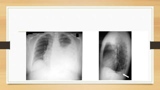
• La radiografía posteroanterior y lateral de tórax por lo general confirman la
presencia de un derrame pleural; cuando hay dudas, la ecografía o la
tomografía computarizada pueden detectar de forma definitiva el derrame
pleural.
• Pequeñas cantidades de líquido pleural pueden no ser vistas en una
proyección estándar frontal, pero pueden ser visualizadas mejor en una
proyección de decúbito lateral con rayo horizontal.
Ecografía torácica
• La ecografía torácica es un procedimiento no invasivo y fácil de realizar en la
cama del enfermo, es de gran utilidad, no sólo en la determinación del
derrame sino también en su utilización como guía para realizar toracocentesis
diagnóstica o terapéutica.
• La principal desventaja es su incapacidad para la identificación de la patología
subyacente y su variabilidad dependiente del explorador
Tomografía Axial Computarizada
• Detecta pequeñas cantidades de líquido y ayuda a caracterizar mejor la localización y
disposición del derrame.
• Las principales indicaciones son:
a. Diferenciar patología pleural y pulmonar
b. Determinar patología pulmonar subyacente
c. Definir si el líquido pleural se encuentra libre o loculado
d. Guía terapéutica
e. Identificar la colocación de tubos de drenaje
f. Detectar complicaciones de derrames y cambios residuales .
Clasificación de derrame pleural
• Un derrame pleural tipo trasudado usualmente es bilateral y ocurre cuando el balance de
las fuerzas hidrostáticas son alteradas a favor de la acumulación de líquido pleural, la
permeabilidad de los capilares a las proteínas es normal.
• Por el contrario, un derrame pleural exudativo es con mayor frecuencia unilateral y se
desarrolla cuando la superficie pleural y/o la permeabilidad capilar local están alteradas.
TORACOCENTESIS
• Es un procedimiento percutáneo durante el cual se inserta una aguja en el
espacio pleural para obtener líquido pleural.
• Es una técnica sencilla, rápida, con alto rendimiento diagnóstico y escasas
complicaciones, que pueden evitarse con premedicación y buena técnica.
• La toracocentesis está indicada en presencia de un derrame pleural de más de
10 mm en una radiografía de tórax en decúbito lateral.
Diagnóstica
Terapéutica
Obtener una muestra de líquido
Aliviar síntomas en derrame masivo
Toracocentesis diagnóstica
• Derrame paraneumónico
• Sospecha de tuberculosis
extrapleural
Toracocentesis terapéutica
• Neumotórax a tensión
• Derrame pleural masivo con
Insuficiencia Respiratoria
• Si el paciente es diagnosticado de insuficiencia cardiaca congestiva se debe
realizar tratamiento diurético. No obstante, se debe realizar toracocentesis:
a. Si el derrame persiste durante más de 3 días
b. Presenta fiebre o dolor torácico
c. Es unilateral
d. Se presenta hipoxemia
MATERIALES
• Campo estéril, guantes, gorro y mascarilla
• Apósitos
• Antisépticos
• Anestésico: Lidocaína 1% o Bupivacaína 0.25%
• Aguja 23” en niños, Aguja 25” en recién nacidos y lactantes, y jeringas de 2 a 5ml para
infiltración anestésico local
• Angiocateter de 25 a 14G
• Llave de tres via
• Descartable
• Válvula Heimlich en caso de neumotórax
• Pinzas hemostáticas curvas
• Jeringa para gasometría y tubos estériles para
recolección de muestras
• Monitor de frecuencia cardíaca, pulsímetro,
esfingomanómetro
• Obtener su consentimiento y colaboración
• Elegido cuidadosamente el sitio guiados por la
radiografía de tórax, la exploración física o la
ecografía
ABORDAJE ANTERIOR
Paciente en decúbito supino, cabecera de cama elevada a 30º y elevación del brazo por encima de la cabeza.
- Se realiza la punción a nivel del 2º Espacio intercostal en línea media clavicular
- En el 4º Espacio intercostal en línea media axilar
- INDICACIÓN:
a. Neumotórax a tensión
b. Drenaje en niños pequeños
c. Insuficiencia respiratoria aguda
d. Paciente crítico
ABORDAJE POSTERIOR
• Paciente sentado , inclinado ligeramente hacia adelante ,
brazos apoyados sobre una mesa o almohada
• El punto de elección es entre el 5º y 7º espacio intercostal
en línea axilar posterior o línea media escapular
• Infiltración de anestésico local por planos, piel,
tejido subcutáneo, músculos y pleura) ir aspirando a
la vez se va penetrando en cavidad pleural y
evidenciar salida de líquido pleural.
• Introducir aguja con una inclinación de 60º por
encima del borde superior de la costilla inferior hasta
alcanzar el espacio intercostal.
• Rectificar la inclinación a 90º y avanzar
cuidadosamente hasta notar una disminución de
resistencia o un burbujeo o retroceso de émbolo.
• Avanzar el catéter , retirar la aguja y conectar el catéter a la llave de
tres vías. Aplicar a pinza hemostática a nivel de la piel, para mantener
constante la profundidad de la inserción mientras se realiza la
aspiración.
• Aspirar mediante la llave de tres vías conectada a una jeringa. Se
colocará en el caso de hemótorax la válvula de Heimlich si existe
riesgo de entrada de aire del exterior a la pleura.
• En caso de derrame extraer 50 a 100ml de líquido y valorar el estado
clínico del paciente antes de continuar la aspiración. Recoger muestra
en tubos estériles para cultivo, bioquímica , citología , pH
CONTRAINDICACIONES
• NO EXISTE CONTRAINDICACION ABSOLUTA
• RELATIVAS:
- Tratamiento anticoagulante
- Diátesis hemorrágica
- Lesiones cutáneas en sitio de punción
COMPLICACIONES
Laceración hepática Edema pulmonar exvacuo
Hemotórax Reacción vagal
Neumotórax Empiema
Gracias…

Toracocentesis

  • 1.
  • 2.
    Espacio pleural • Entrelas dos hojas pleurales queda un espacio cerrado, el espacio o cavidad pleural, de aproximadamente 10-20 m de ancho y cuyo interior contiene en condiciones normales una pequeña cantidad de líquido pleural (0,1-0,2 ml/kg) que lubrifica y mantiene independientes ambas membranas pleurales.
  • 3.
    • La funciónprincipal de la pleura es facilitar el movimiento pulmonar en el interior de la caja torácica, manteniendo en equilibrio las fuerzas elásticas y torácicas y pulmonares Esto es posible gracias a la existencia de una presión negativa intrapleural, que evita el colapso del pulmón, y a que las dos hojas pleurales deslizan una sobre la otra gracias a la presencia de una fina capa de líquido pleural entre ellas.
  • 4.
    • El líquidopleural puede originarse en capilares de pleura parietal, espacio intersticial pulmonar, linfáticos , vasos sanguíneos intratorácicos, o cavidad peritoneal. • Su reabsorción se realiza debido al gradiente de presión que permite que se filtre a través de estomas que conectan la pleura parietal hacia el sistema linfático
  • 5.
    • La presiónde absorción de los linfáticos, establece una presión inferior a la atmosférica del líquido pleural con un promedio de -10 cm H2O a la altura del corazón, y menos negativo en la parte inferior, donde se alcanza 0 cm de H2O. • El pulmón y la pared torácica desarrollan un retroceso elástico que tienden a separarlos , , sin embargo, la presión generada por tal retroceso (alrededor de 4 cmH2O) se menos subatmosférica que la generada por la bomba linfático, por lo tanto, de pulmón y de la pared torácica en realidad están presionando uno contra el otro v
  • 6.
    • Los linfáticospleurales actúan como reguladores eficientes de volumen de líquido pleural evitando la formación de hidrotórax al aumentar el flujo de drenaje (hasta 20 veces) en proporción al aumento en la tasa de filtración. • Cualquier aumento en la filtración del líquido pleural puede acumularse fácilmente en cavidad torácica debido a la retracción opuesta entre el pulmón y la pared torácica.
  • 7.
    MECANISMOS DE DERRAMEPLEURAL Aumento de producción de líquido pleural Disminución de la reabsorción de líquido pleural Disminución de presión hidrostática o coloidosmótica
  • 9.
    HISTORIA CLÍNICA Cirugía abdominalDerrame pleural postquirúrgico, Absceso subfrénico, Embolismo pulmonar Exposición al asbesto Mesotelioma, Derrame pleural benigno Cáncer Mestástasis pleurales Cirúgía cardíaca o daño al miocardio Derrame pleural secundario a cirugía de revascularización coronaria o síndrome de Dressler Hemodiálisis Insuficiencia cardíaca, Uremia Cirrosis Empiema, Derram secundario a hipoalbuminemia Endoscopía o dilatación esofágica Derrame pleural secundario a perforación esofágica
  • 10.
    Inmunosupresión Neumonía, Tuberculosis,Linfoma, Sarcoma de Kaposi Medicamentos de uso crónico Derrames secundarios al uso de Antiarrítmicos, Aniconvulsivantes,B- bloqueadores, Antibióticos etc Artritis Reumatoide Pseudoquilotórax, Pleuritis reumática Lupus eritematoso sistémico Neumonía, Embolismo pulmonar Trauma Hemotórax, Quilotórax, Fístula pleuroplumonar Superovulación con gonadotropinas Derrame pleural secundario a hiperovulación
  • 12.
  • 13.
    Hallazgos físicos Hemitórax abombado. Disminución de expansión. Disminucióno abolición de vibraciones vocales. Matidez Abolición de murmullo vesicular . Soplo pleural espiratorio
  • 14.
    • La radiografíaposteroanterior y lateral de tórax por lo general confirman la presencia de un derrame pleural; cuando hay dudas, la ecografía o la tomografía computarizada pueden detectar de forma definitiva el derrame pleural. • Pequeñas cantidades de líquido pleural pueden no ser vistas en una proyección estándar frontal, pero pueden ser visualizadas mejor en una proyección de decúbito lateral con rayo horizontal.
  • 16.
    Ecografía torácica • Laecografía torácica es un procedimiento no invasivo y fácil de realizar en la cama del enfermo, es de gran utilidad, no sólo en la determinación del derrame sino también en su utilización como guía para realizar toracocentesis diagnóstica o terapéutica. • La principal desventaja es su incapacidad para la identificación de la patología subyacente y su variabilidad dependiente del explorador
  • 17.
    Tomografía Axial Computarizada •Detecta pequeñas cantidades de líquido y ayuda a caracterizar mejor la localización y disposición del derrame. • Las principales indicaciones son: a. Diferenciar patología pleural y pulmonar b. Determinar patología pulmonar subyacente c. Definir si el líquido pleural se encuentra libre o loculado d. Guía terapéutica e. Identificar la colocación de tubos de drenaje f. Detectar complicaciones de derrames y cambios residuales .
  • 19.
    Clasificación de derramepleural • Un derrame pleural tipo trasudado usualmente es bilateral y ocurre cuando el balance de las fuerzas hidrostáticas son alteradas a favor de la acumulación de líquido pleural, la permeabilidad de los capilares a las proteínas es normal. • Por el contrario, un derrame pleural exudativo es con mayor frecuencia unilateral y se desarrolla cuando la superficie pleural y/o la permeabilidad capilar local están alteradas.
  • 21.
    TORACOCENTESIS • Es unprocedimiento percutáneo durante el cual se inserta una aguja en el espacio pleural para obtener líquido pleural. • Es una técnica sencilla, rápida, con alto rendimiento diagnóstico y escasas complicaciones, que pueden evitarse con premedicación y buena técnica. • La toracocentesis está indicada en presencia de un derrame pleural de más de 10 mm en una radiografía de tórax en decúbito lateral.
  • 22.
    Diagnóstica Terapéutica Obtener una muestrade líquido Aliviar síntomas en derrame masivo
  • 23.
    Toracocentesis diagnóstica • Derrameparaneumónico • Sospecha de tuberculosis extrapleural Toracocentesis terapéutica • Neumotórax a tensión • Derrame pleural masivo con Insuficiencia Respiratoria
  • 24.
    • Si elpaciente es diagnosticado de insuficiencia cardiaca congestiva se debe realizar tratamiento diurético. No obstante, se debe realizar toracocentesis: a. Si el derrame persiste durante más de 3 días b. Presenta fiebre o dolor torácico c. Es unilateral d. Se presenta hipoxemia
  • 25.
    MATERIALES • Campo estéril,guantes, gorro y mascarilla • Apósitos • Antisépticos • Anestésico: Lidocaína 1% o Bupivacaína 0.25% • Aguja 23” en niños, Aguja 25” en recién nacidos y lactantes, y jeringas de 2 a 5ml para infiltración anestésico local • Angiocateter de 25 a 14G • Llave de tres via • Descartable
  • 26.
    • Válvula Heimlichen caso de neumotórax • Pinzas hemostáticas curvas • Jeringa para gasometría y tubos estériles para recolección de muestras • Monitor de frecuencia cardíaca, pulsímetro, esfingomanómetro
  • 27.
    • Obtener suconsentimiento y colaboración • Elegido cuidadosamente el sitio guiados por la radiografía de tórax, la exploración física o la ecografía
  • 30.
    ABORDAJE ANTERIOR Paciente endecúbito supino, cabecera de cama elevada a 30º y elevación del brazo por encima de la cabeza. - Se realiza la punción a nivel del 2º Espacio intercostal en línea media clavicular - En el 4º Espacio intercostal en línea media axilar - INDICACIÓN: a. Neumotórax a tensión b. Drenaje en niños pequeños c. Insuficiencia respiratoria aguda d. Paciente crítico
  • 31.
    ABORDAJE POSTERIOR • Pacientesentado , inclinado ligeramente hacia adelante , brazos apoyados sobre una mesa o almohada • El punto de elección es entre el 5º y 7º espacio intercostal en línea axilar posterior o línea media escapular
  • 32.
    • Infiltración deanestésico local por planos, piel, tejido subcutáneo, músculos y pleura) ir aspirando a la vez se va penetrando en cavidad pleural y evidenciar salida de líquido pleural. • Introducir aguja con una inclinación de 60º por encima del borde superior de la costilla inferior hasta alcanzar el espacio intercostal. • Rectificar la inclinación a 90º y avanzar cuidadosamente hasta notar una disminución de resistencia o un burbujeo o retroceso de émbolo.
  • 33.
    • Avanzar elcatéter , retirar la aguja y conectar el catéter a la llave de tres vías. Aplicar a pinza hemostática a nivel de la piel, para mantener constante la profundidad de la inserción mientras se realiza la aspiración. • Aspirar mediante la llave de tres vías conectada a una jeringa. Se colocará en el caso de hemótorax la válvula de Heimlich si existe riesgo de entrada de aire del exterior a la pleura. • En caso de derrame extraer 50 a 100ml de líquido y valorar el estado clínico del paciente antes de continuar la aspiración. Recoger muestra en tubos estériles para cultivo, bioquímica , citología , pH
  • 35.
    CONTRAINDICACIONES • NO EXISTECONTRAINDICACION ABSOLUTA • RELATIVAS: - Tratamiento anticoagulante - Diátesis hemorrágica - Lesiones cutáneas en sitio de punción
  • 36.
    COMPLICACIONES Laceración hepática Edemapulmonar exvacuo Hemotórax Reacción vagal Neumotórax Empiema
  • 37.