DR. RENATO CASANOVA MENDOZA MEDICO NEUMOLOGO CENTRO MEDICO NAVAL “CIRUJANO MAYOR SANTIAGO TAVARA” PROFESOR INVITADO DE LA FACULTAD DE MEDICINA DE LA UNMSM EX RESIDENTE DEL HOSPITAL NACIONAL DOS DE MAYO
La toracocentesis es la técnica que permite la extracción de una acumulación de líquido anormal o de aire en el espacio pleural por medio de un catéter o de una aguja, introducidos percutáneamente en la cavidad torácica hasta el espacio pleural.
La toracocentesis puede realizarse con fines terapéuticos o diagnósticos. Se realiza con fines terapéuticos cuando la extracción de aire o líquido se hace a fin de disminuir la dificultad respiratoria producida por la compresión del pulmón. La realización de la toracocentesis con fines diagnósticos tiene como  finalidad la obtención de una muestra de líquido para su análisis bioquímico y microbiológico.
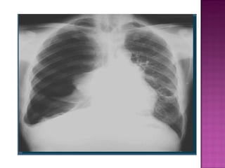
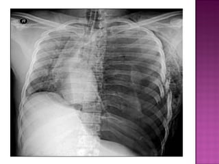
Los problemas que podemos encontrar en la cavidad pleural derivados de estas situaciones son: Neumotórax (aire en la cavidad pleural).  Hemotórax (sangre en la cavidad pleural).  Hidroneumotórax (líquido y aire en la cavidad pleural).  Derrame pleural (presencia de líquido en cavidad pleural). Pio tórax o empiema (presencia de pus en el espacio pleural).
 
 
La  toracocentesis diagnóstica  se realiza a fin de obtener líquido para su posterior análisis (a nivel bioquímico y microbiológico).  Se practica siempre que existe derrame pleural.  Ejemplos: Efusiones paraneumónicas, Efusiones por TBC pleural,Efusiones neoplásicas. Definir las características bioquímicas y celulares del líquido pleural: análisis organoléptico, niveles de proteínas, pH, nivel de DHL, Colesterol,  Celularidad. Biopsias pleurales o pulmonares por aspiración.
 
La  toracocentesis terapéutica   es aquella que se realiza con el fin de disminuir la dificultad respiratoria producida por el acumulo de líquido o aire en el espacio pleural.  Sus indicaciones son: Presencia de una gran cantidad de exudado pleural que produce dificultad respiratoria y debe ser evacuado.  Neumotórax de gran tamaño (aquel que ocupa más del 20% del volumen del hemitórax afecto o, a efectos prácticos, cualquiera que sea sintomático) o presencia de signos clínicos de neumotórax a tensión, caracterizado por compromiso respiratorio y/o hemodinámico.
 
NEUMOTORAX A TENSION MANIFESTACIONES CLINICAS Y TRATAMIENTO DOLOR TORACICO FALTA DE AIRE DIFICULTAD RESPIRATORIA TAQUICARDIA HIPOTENSION TRAQUEA DESVIADA AUSENCIA DE M.V DISTENCION DE VENAS DEL CUELLO CIANOSIS  EL DIAGNOSTICO ES CLINICO - RADIOLOGICO DESCOMPRESION  INMEDIATA
Insertar una aguja de calibre 21 a nivel del 2 espacio intercostal en la línea medio clavicular. Insertar catéter de drenaje toráxico conectado a pleurovac a aspiración continua. O insertar un catéter del tipo Pleurocath calibre 6 conectado a una válvula de Heimlich.
 
 
Contraindicaciones de la toracocentesis : Cantidad mínima de derrame o neumotórax sin repercusión respiratoria.  Presencia de alteraciones de la coagulación.  Trombocitopenia.  Ventilación mecánica a presiones elevadas.  Insuficiencia cardíaca conocida.  Enfermedad cutánea en el punto de punción.
Equipo y materiales Recursos humanos:   Personal médico experimentado. Personal de enfermería: una enfermera  experimentada y una auxiliar de enfermería
Recursos materiales: Guantes estériles, gorro, mascarilla, lentes protectores. Gasas estériles.  Campo estéril, pinza hemostática.  Material necesario para instauración de vía y perfusión intravenosa.  Solución antiséptica que estipule el protocolo del centro para la desinfección de la piel: bencina yodada, alcohol yodado y puro, Yodopovidona espuma y solución.  Anestésico local: lidocaína 2% sin epinefrina.  Aguja hipodérmica fina y jeringa de 10ml para la infiltración de la piel y una para administración de pre medicación (atropina IM).
Aguja hipodérmica Nº 21 con jeringas de 20 ml para infiltración anestésica por planos. Abocatt nº 20 o 18. Llave de triple vía. Catéter o tubo de drenaje torácico.  Vías o conexiones de látex y frasco de recolección o drenaje. Jeringa de 50 ml. Frascos estériles para recolección de muestras a analizar.
Jeringa de gases (con heparina). Tubo de hematología (EDTA) y bioquímica. Tubos de cultivo aeróbico y anaeróbico. Tubo de cultivo para micobacterias y hongos. Tubo estéril sin aditivos de reserva (recomendable).
 
 
Explicar el procedimiento al paciente, y obtener por escrito el consentimiento informado. Verificar la identidad del paciente. Garantizar que el sitio de inserción de agujas está correctamente marcado. Verificar que los materiales estén completos. Verificar que los valores y parámetros hematológicos estén adecuados. Administración intramuscular de Atropina para minimizar efecto vasovagal.
TÉCNICA  TORACOCENTESIS CONVENCIONAL
 
 
Coloque al paciente en posición sentada en el borde de la cama, inclinado hacia adelante, con sus brazos descansando sobre una mesita de luz.  Si el paciente es incapaz de sentarse en posición vertical se puede realizar el procedimiento en decúbito lateral. El nivel de la efusión debe ser calculado sobre la base de la disminución o ausencia de sonidos en la auscultación y la matidez  a la percusión. Usted debe insertar la aguja a uno o dos espacios intercostales por debajo del nivel del derrame, de 5 a 10 cm lateral a la columna vertebral.  No insertar la aguja por debajo de la novena costilla por el riesgo a lesiones de órganos intraabdominales.
 
Marque el lugar adecuado y a continuación, preparar la piel con antisépticos. Anestesiar la epidermis de la zona seleccionada con lidocaína al 2% con una jeringa con aguja Nº 25. Luego administrar la anestesia con lidocaína al 2% por planos con una jeringa de 20 ml con aguja Nº 22 0 21, tirando del émbolo cada 2 o 3 mm para descartar lesiones intravasculares y para comprobar la obtención de liquido. Para evitar lesiones a los nervios intercostales y los vasos sanguíneos no debe tocar  la superficie inferior de las costillas. Una vez que obtiene líquido pleural se debe inyectar lidocaína para anestesiar la pleura parietal que es muy sensible. Tenga en cuenta la profundidad de la penetración antes de retirar la aguja.
 
 
 
 
 
 
 
 
 
 
Una vez que se obtiene líquido pleural, detener el avance de la aguja y cuidadosamente retirar el catéter guía sobre la aguja. Cubrir el centro abierto del catéter con un dedo para impedir la entrada de aire en el  cavidad pleural.  Adjunte una gran jeringa con una llave de tres vías para el catéter central.  No se debe retirar más de 1500 cc liquido pleural por riesgo a edema pulmonar o inestabilidad hemodinámica.
 
 
 
 
 
 
 
 
 
 
 
 
 
 
 

Toracocentesis. Dr. Casanova

  • 1.
    DR. RENATO CASANOVAMENDOZA MEDICO NEUMOLOGO CENTRO MEDICO NAVAL “CIRUJANO MAYOR SANTIAGO TAVARA” PROFESOR INVITADO DE LA FACULTAD DE MEDICINA DE LA UNMSM EX RESIDENTE DEL HOSPITAL NACIONAL DOS DE MAYO
  • 2.
    La toracocentesis esla técnica que permite la extracción de una acumulación de líquido anormal o de aire en el espacio pleural por medio de un catéter o de una aguja, introducidos percutáneamente en la cavidad torácica hasta el espacio pleural.
  • 3.
    La toracocentesis puederealizarse con fines terapéuticos o diagnósticos. Se realiza con fines terapéuticos cuando la extracción de aire o líquido se hace a fin de disminuir la dificultad respiratoria producida por la compresión del pulmón. La realización de la toracocentesis con fines diagnósticos tiene como  finalidad la obtención de una muestra de líquido para su análisis bioquímico y microbiológico.
  • 4.
    Los problemas quepodemos encontrar en la cavidad pleural derivados de estas situaciones son: Neumotórax (aire en la cavidad pleural). Hemotórax (sangre en la cavidad pleural). Hidroneumotórax (líquido y aire en la cavidad pleural). Derrame pleural (presencia de líquido en cavidad pleural). Pio tórax o empiema (presencia de pus en el espacio pleural).
  • 5.
  • 6.
  • 7.
    La toracocentesisdiagnóstica se realiza a fin de obtener líquido para su posterior análisis (a nivel bioquímico y microbiológico). Se practica siempre que existe derrame pleural. Ejemplos: Efusiones paraneumónicas, Efusiones por TBC pleural,Efusiones neoplásicas. Definir las características bioquímicas y celulares del líquido pleural: análisis organoléptico, niveles de proteínas, pH, nivel de DHL, Colesterol, Celularidad. Biopsias pleurales o pulmonares por aspiración.
  • 8.
  • 9.
    La toracocentesisterapéutica es aquella que se realiza con el fin de disminuir la dificultad respiratoria producida por el acumulo de líquido o aire en el espacio pleural. Sus indicaciones son: Presencia de una gran cantidad de exudado pleural que produce dificultad respiratoria y debe ser evacuado. Neumotórax de gran tamaño (aquel que ocupa más del 20% del volumen del hemitórax afecto o, a efectos prácticos, cualquiera que sea sintomático) o presencia de signos clínicos de neumotórax a tensión, caracterizado por compromiso respiratorio y/o hemodinámico.
  • 10.
  • 11.
    NEUMOTORAX A TENSIONMANIFESTACIONES CLINICAS Y TRATAMIENTO DOLOR TORACICO FALTA DE AIRE DIFICULTAD RESPIRATORIA TAQUICARDIA HIPOTENSION TRAQUEA DESVIADA AUSENCIA DE M.V DISTENCION DE VENAS DEL CUELLO CIANOSIS EL DIAGNOSTICO ES CLINICO - RADIOLOGICO DESCOMPRESION INMEDIATA
  • 12.
    Insertar una agujade calibre 21 a nivel del 2 espacio intercostal en la línea medio clavicular. Insertar catéter de drenaje toráxico conectado a pleurovac a aspiración continua. O insertar un catéter del tipo Pleurocath calibre 6 conectado a una válvula de Heimlich.
  • 13.
  • 14.
  • 15.
    Contraindicaciones de latoracocentesis : Cantidad mínima de derrame o neumotórax sin repercusión respiratoria. Presencia de alteraciones de la coagulación. Trombocitopenia. Ventilación mecánica a presiones elevadas. Insuficiencia cardíaca conocida. Enfermedad cutánea en el punto de punción.
  • 16.
    Equipo y materialesRecursos humanos: Personal médico experimentado. Personal de enfermería: una enfermera experimentada y una auxiliar de enfermería
  • 17.
    Recursos materiales: Guantesestériles, gorro, mascarilla, lentes protectores. Gasas estériles. Campo estéril, pinza hemostática. Material necesario para instauración de vía y perfusión intravenosa. Solución antiséptica que estipule el protocolo del centro para la desinfección de la piel: bencina yodada, alcohol yodado y puro, Yodopovidona espuma y solución. Anestésico local: lidocaína 2% sin epinefrina. Aguja hipodérmica fina y jeringa de 10ml para la infiltración de la piel y una para administración de pre medicación (atropina IM).
  • 18.
    Aguja hipodérmica Nº21 con jeringas de 20 ml para infiltración anestésica por planos. Abocatt nº 20 o 18. Llave de triple vía. Catéter o tubo de drenaje torácico. Vías o conexiones de látex y frasco de recolección o drenaje. Jeringa de 50 ml. Frascos estériles para recolección de muestras a analizar.
  • 19.
    Jeringa de gases(con heparina). Tubo de hematología (EDTA) y bioquímica. Tubos de cultivo aeróbico y anaeróbico. Tubo de cultivo para micobacterias y hongos. Tubo estéril sin aditivos de reserva (recomendable).
  • 20.
  • 21.
  • 22.
    Explicar el procedimientoal paciente, y obtener por escrito el consentimiento informado. Verificar la identidad del paciente. Garantizar que el sitio de inserción de agujas está correctamente marcado. Verificar que los materiales estén completos. Verificar que los valores y parámetros hematológicos estén adecuados. Administración intramuscular de Atropina para minimizar efecto vasovagal.
  • 23.
  • 24.
  • 25.
  • 26.
    Coloque al pacienteen posición sentada en el borde de la cama, inclinado hacia adelante, con sus brazos descansando sobre una mesita de luz. Si el paciente es incapaz de sentarse en posición vertical se puede realizar el procedimiento en decúbito lateral. El nivel de la efusión debe ser calculado sobre la base de la disminución o ausencia de sonidos en la auscultación y la matidez a la percusión. Usted debe insertar la aguja a uno o dos espacios intercostales por debajo del nivel del derrame, de 5 a 10 cm lateral a la columna vertebral. No insertar la aguja por debajo de la novena costilla por el riesgo a lesiones de órganos intraabdominales.
  • 27.
  • 28.
    Marque el lugaradecuado y a continuación, preparar la piel con antisépticos. Anestesiar la epidermis de la zona seleccionada con lidocaína al 2% con una jeringa con aguja Nº 25. Luego administrar la anestesia con lidocaína al 2% por planos con una jeringa de 20 ml con aguja Nº 22 0 21, tirando del émbolo cada 2 o 3 mm para descartar lesiones intravasculares y para comprobar la obtención de liquido. Para evitar lesiones a los nervios intercostales y los vasos sanguíneos no debe tocar la superficie inferior de las costillas. Una vez que obtiene líquido pleural se debe inyectar lidocaína para anestesiar la pleura parietal que es muy sensible. Tenga en cuenta la profundidad de la penetración antes de retirar la aguja.
  • 29.
  • 30.
  • 31.
  • 32.
  • 33.
  • 34.
  • 35.
  • 36.
  • 37.
  • 38.
  • 39.
    Una vez quese obtiene líquido pleural, detener el avance de la aguja y cuidadosamente retirar el catéter guía sobre la aguja. Cubrir el centro abierto del catéter con un dedo para impedir la entrada de aire en el cavidad pleural. Adjunte una gran jeringa con una llave de tres vías para el catéter central. No se debe retirar más de 1500 cc liquido pleural por riesgo a edema pulmonar o inestabilidad hemodinámica.
  • 40.
  • 41.
  • 42.
  • 43.
  • 44.
  • 45.
  • 46.
  • 47.
  • 48.
  • 49.
  • 50.
  • 51.
  • 52.
  • 53.
  • 54.