TRAUMAABDOMINAL
        JOSE CABALLERO ALVARADO
 JEFE DEL SERVICIO DE TRAUMA Y EMERGENCIA DEL HRDT
             PROFESOR DE CIRUGIA – UPAO
 MIEMBRO DE LA SOCIEDAD PANAMERICANA DE TRAUMA
               CERTIFICADO EN ATLS – ACS
INVESTIGADOR CRASH-2: OMS – UNIVERSIDAD DE LONDON
    INVESTIGADOR POISE 2 – UNIVERSIDAD McMASTER
   ANATOMIA EXTERNA
    - Abdomen anterior
       . Borde superior: Línea de las tetillas
       . Borde inferior: Ligamentos inguinales
       . Bordes laterales: Línea axilar anterior




                     antonycaster@yahoo.com
antonycaster@yahoo.com
antonycaster@yahoo.com
antonycaster@yahoo.com
antonycaster@yahoo.com
   Espalda
    . Borde superior: Apófisis escapulares
    . Borde inferior: Crestas iliacas
    . Bordes laterales: Líneas axilares posteriores

   Flanco
    . Líneas axilar anterior y posterior



                     antonycaster@yahoo.com
   ANATOMIA INTERNA
    - Cavidad peritoneal
       . Diafragma, hígado, bazo, estómago, colon T
       . Intestino delgado, colon sigmoides
    - Espacio retroperitoneal
       . Aorta, VCI, duodeno, páncreas, riñones,
         uréteres, colon ascendente y descendente
    - Cavidad pélvica
       . Parte inferior del espacio retroperitoneal
       . Recto, vejiga, vasos iliacos, genitales internos
         femeninos

                      antonycaster@yahoo.com
antonycaster@yahoo.com
   TRAUMA CERRADO
    - Compresión
    - Aplastamiento
    - Cizallamiento
    - Desaceleración (órganos fijos)
    - Bazo (40 – 55%), Hígado (35 – 45%), HRP
      (15%).



                   antonycaster@yahoo.com
   TRAUMA PENETRANTE
    - De baja velocidad: Arma blanca
       . Causa daño por corte o laceración.
       . Hígado (40%), ID (30%)
    - De alta velocidad: Arma de fuego
       . Transferencia de energía cinética
       . Causa cavitación
       . Fragmentos
       . ID (50%), Colon (40%), Hígado (30%)
                   antonycaster@yahoo.com
   Historia
   Examen físico
   Medidas complementarias




                  antonycaster@yahoo.com
   HISTORIA                           HISTORIA
    - Cerrado                           - Penetrante
       . Velocidad                         . Arma
       . Punto de impacto                  . Distancia
       . Dispositivos de
          seguridad
       . Posición
       . Eyección



                     antonycaster@yahoo.com
   EXAMEN FISICO
    1. Inspección
       . Anterior
       . Posterior
    2. Auscultación: Íleo
    3. Percusión: Peritonitis
    4. Palpación:
       . Superficial, profundo y rebote


                     antonycaster@yahoo.com
   EXAMEN FISICO
    5. Evaluación de heridas penetrantes
    6. Exploración de heridas por AB
    7. Evaluar estabilidad pélvica
    8. Examen peneano, perineal y rectal
    9. Examen vaginal
    10. Examen glúteo



                   antonycaster@yahoo.com
antonycaster@yahoo.com
   MEDIDAS COMPLEMENTARIAS
    - Sonda nasogástrica
       . 16 Fr o >
       . Descomprime el estómago
       . Libera la dilatación (examen)
    - Catéter urinario
       . Monitoreo de flujo urinario
       . Descomprime vejiga
       . ** Sangre en meato, hematoma escrotal
                   antonycaster@yahoo.com
   LPD
   FAST
   TAC
   RM
   ARM
   LD



           antonycaster@yahoo.com
antonycaster@yahoo.com
antonycaster@yahoo.com
antonycaster@yahoo.com
antonycaster@yahoo.com
antonycaster@yahoo.com
antonycaster@yahoo.com
antonycaster@yahoo.com
antonycaster@yahoo.com
antonycaster@yahoo.com
antonycaster@yahoo.com
antonycaster@yahoo.com
antonycaster@yahoo.com
antonycaster@yahoo.com
antonycaster@yahoo.com
antonycaster@yahoo.com
antonycaster@yahoo.com
antonycaster@yahoo.com
antonycaster@yahoo.com
antonycaster@yahoo.com
antonycaster@yahoo.com
antonycaster@yahoo.com
antonycaster@yahoo.com
antonycaster@yahoo.com
antonycaster@yahoo.com
antonycaster@yahoo.com
antonycaster@yahoo.com
antonycaster@yahoo.com
TRATAMIENTO NO QUIRURGICO DL
 TRAUMA ABDOMINAL CERRADO
ANTECEDENTES
• Edler (543: 2/3 1/3)
• Cirujanos pediatras en Toronto (Niños
  con trauma esplénico).
• Técnica se extrapoló a población adulta
• Tasas de éxito: 83 – 95%
Cambio en el tratamiento del
   TAC en los últimos 20 años
• Es menos invasivo
  - TAC y US han reemplazado al LPD
 - La mayoría de lesiones de órganos
 sólidos son observados sin Qx.
 - Drenaje percutáneo de abscesos
 - ERCP / stents para fugas biliares
 - Embolización angiográfica para
   fracturas de pelvis, hígado, bazo
Opciones diagnósticas para
     trauma abdominal cerrado
• Examen físico
  - Reconocer características de la injuria, lesiones
     comúnmente conocidas con mecanismo particular
•   Cirugía
•   Lavado peritoneal diagnóstico
•   Tomografía axial computarizada
•   FAST
•   Laparoscopía
Trauma abdominal cerrado
                                 Hemodinámicamente estable


                                          Examen físico



           Confiable, despierto, alerta                       No confiable, estado mental
            Sin injurias distractoras                      Alterado (con injurias distractoras

                                                                                 FAST

       No dolor       FAST          Dolor                                 TAC


                                    TAC
Periodo de observación

                           Normal           Anormal                                    Normal

 Se mantiene sin dolor


                          Admitir a           Admitir,                          Admitir, tratar otras
                         observación        tto lesiones                            lesiones
         Alta
CRITERIOS PARA EL TNQ
           DEL TAC
•   Estabilidad hemodinámica
•   Ausencia de peritonismo
•   Caracterización de lesiones por TAC de
    buena calidad valorada por radiólogo experto
•   Sin lesión de víscera hueca
•   Posibilidad de monitorización intensiva
•   Accesibilidad a cirugía inmediata
•   Hemoperitoneo < 500 cc
TRAUMA ESPLENICO
TRAUMA ESPLENICO
•   61 – 83% TNQ
•   Tasa de éxito: 89 – 98%
•   Tasa de falla: 10,6%
PREDICTORES DE FALLA

  • Hemoperitoneo de gran volumen

  • Lesiones grado IV y V

  • Edad > 55 años


McIntyre LK, Schiff M, Jurkovich GJ. Failure of nonoperative management of splenic
injuries. Causes and consequences. Arch Surg 2005; 140:563–569.
COMPLICACIONES

• Resangrado

• Pseudoaneurismas intraparenquimales

• Fístulas arteriovenosas
CASO 1
• Paciente mujer, 74 años, víctima de
  accidente de tránsito (pasajera de
  ómnibus).
• Refiere    pérdida   de     conciencia.
  Posteriormente es llevada a Clínica
  Particular de donde le refieren a este
  hospital.
• NISS: 48     RTS: 7,55
CASO 2
• Paciente mujer, 16 años, refiere que
  cuando viajaba en camión de carga
  (Tolva) , este sufre desperfecto
  mecánico volcando.
• RTS: 7,84 NISS: 27
28/08/07. 12:58 Hs
28/08/07. 12:58 Hs
TRAUMA HEPATICO
TRAUMA HEPATICO

• Susceptibles de TNQ: 50 – 85%

• Tasas de éxito: 94 – 98%
A quienes tratar con TNQ?

• I – V susceptibles de TNQ.

• III, IV y V: Alta tasa de falla y
  complicaciones.
• TNQ hepático > morbilidad que TNQ
  esplénico.
COMPLICACIONES

•   Tasa de complicaciones: 11%
•   Se incrementa según grado de lesión.
•   Tipos:
    - Hemorragia retardada.
    - Absceso hepático
    - Biloma
    - Hemobilia
TRAUMA TÓRACO- ABDOMINAL         2da TC:(8 días después)   3raTC: ( 41 días
              1ra TC: 28:07:04                             después)
         IV


  VIII


  VII

> 3 Couinaud’s AIS90-5            HEMATOMA SUBCAPSULAR
                                                            Complicación= Biloma


         IV

    V



    VI
Tratamiento de complicaciones

• Técnicas mínimamente invasivas:
  - Angioembolización
  - Drenaje de abscesos hepáticos o
    bilomas guiado por TAC o US.
  - Laparoscopía para peritonitis biliar
  - CPRE para fugas biliares.
• Cirugía
CASO 1

• Paciente varón, 43 años de edad,
 víctima     de    accidente   de   tránsito
 (peatón).
• RTS: 7,84       NISS: 18
CASO 2

• Paciente varón, 24 años de edad,
 víctima   de    accidente   de   tránsito
 (pasajero).
• RTS: 7,84     NISS: 27
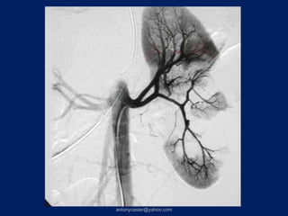
TRAUMA RENAL
COMPLICACIONES
• Extravasación / urinoma (IV). 74 – 87%
  resolución espontanea.
• Hipertensión (0,25% - 55%)
• Fístulas arteriovenosas (0 – 7%)
• Pseudoaneurisma (6%)
• Sangrado retardado (.. - 20%)
CASO 1

• Paciente varón, 37 años de edad,
 etilismo agudo, caída a una zanja.
• RTS: 7,84   NISS: 9
CASO 2

• Paciente varón, 35 años de edad,
 víctima     de    accidente   de   tránsito
 (peatón).
• RTS: 7,55       NISS: 27
PREGUNTAS ???




antonycaster@yahoo.com
CRITERIOS PARA CONSIDERAR UN
            LPD +
• Aspiración de más de 10 ml de sangre al
  introducir el trocar
• Recuento de glóbulos rojos de más de
  100.000/mm3
• Recuento de glóbulos blancos de más de
  500/mm3
• Amilasa superior a 175 U/dl
• Presencia de bilis, bacterias o restos alimenticios
• Salida de líquido de lavado por sonda vesical u
  otros drenajes

Trauma abdominal

  • 1.
    TRAUMAABDOMINAL JOSE CABALLERO ALVARADO JEFE DEL SERVICIO DE TRAUMA Y EMERGENCIA DEL HRDT PROFESOR DE CIRUGIA – UPAO MIEMBRO DE LA SOCIEDAD PANAMERICANA DE TRAUMA CERTIFICADO EN ATLS – ACS INVESTIGADOR CRASH-2: OMS – UNIVERSIDAD DE LONDON INVESTIGADOR POISE 2 – UNIVERSIDAD McMASTER
  • 2.
    ANATOMIA EXTERNA - Abdomen anterior . Borde superior: Línea de las tetillas . Borde inferior: Ligamentos inguinales . Bordes laterales: Línea axilar anterior antonycaster@yahoo.com
  • 3.
  • 4.
  • 5.
  • 6.
  • 7.
    Espalda . Borde superior: Apófisis escapulares . Borde inferior: Crestas iliacas . Bordes laterales: Líneas axilares posteriores  Flanco . Líneas axilar anterior y posterior antonycaster@yahoo.com
  • 8.
    ANATOMIA INTERNA - Cavidad peritoneal . Diafragma, hígado, bazo, estómago, colon T . Intestino delgado, colon sigmoides - Espacio retroperitoneal . Aorta, VCI, duodeno, páncreas, riñones, uréteres, colon ascendente y descendente - Cavidad pélvica . Parte inferior del espacio retroperitoneal . Recto, vejiga, vasos iliacos, genitales internos femeninos antonycaster@yahoo.com
  • 9.
  • 10.
    TRAUMA CERRADO - Compresión - Aplastamiento - Cizallamiento - Desaceleración (órganos fijos) - Bazo (40 – 55%), Hígado (35 – 45%), HRP (15%). antonycaster@yahoo.com
  • 11.
    TRAUMA PENETRANTE - De baja velocidad: Arma blanca . Causa daño por corte o laceración. . Hígado (40%), ID (30%) - De alta velocidad: Arma de fuego . Transferencia de energía cinética . Causa cavitación . Fragmentos . ID (50%), Colon (40%), Hígado (30%) antonycaster@yahoo.com
  • 12.
    Historia  Examen físico  Medidas complementarias antonycaster@yahoo.com
  • 13.
    HISTORIA  HISTORIA - Cerrado - Penetrante . Velocidad . Arma . Punto de impacto . Distancia . Dispositivos de seguridad . Posición . Eyección antonycaster@yahoo.com
  • 14.
    EXAMEN FISICO 1. Inspección . Anterior . Posterior 2. Auscultación: Íleo 3. Percusión: Peritonitis 4. Palpación: . Superficial, profundo y rebote antonycaster@yahoo.com
  • 15.
    EXAMEN FISICO 5. Evaluación de heridas penetrantes 6. Exploración de heridas por AB 7. Evaluar estabilidad pélvica 8. Examen peneano, perineal y rectal 9. Examen vaginal 10. Examen glúteo antonycaster@yahoo.com
  • 16.
  • 17.
    MEDIDAS COMPLEMENTARIAS - Sonda nasogástrica . 16 Fr o > . Descomprime el estómago . Libera la dilatación (examen) - Catéter urinario . Monitoreo de flujo urinario . Descomprime vejiga . ** Sangre en meato, hematoma escrotal antonycaster@yahoo.com
  • 18.
    LPD  FAST  TAC  RM  ARM  LD antonycaster@yahoo.com
  • 19.
  • 20.
  • 21.
  • 22.
  • 23.
  • 24.
  • 25.
  • 26.
  • 27.
  • 28.
  • 29.
  • 30.
  • 31.
  • 32.
  • 33.
  • 34.
  • 35.
  • 36.
  • 37.
  • 38.
  • 39.
  • 40.
  • 41.
  • 42.
  • 45.
  • 46.
  • 47.
  • 48.
    TRATAMIENTO NO QUIRURGICODL TRAUMA ABDOMINAL CERRADO
  • 51.
    ANTECEDENTES • Edler (543:2/3 1/3) • Cirujanos pediatras en Toronto (Niños con trauma esplénico). • Técnica se extrapoló a población adulta • Tasas de éxito: 83 – 95%
  • 52.
    Cambio en eltratamiento del TAC en los últimos 20 años • Es menos invasivo - TAC y US han reemplazado al LPD - La mayoría de lesiones de órganos sólidos son observados sin Qx. - Drenaje percutáneo de abscesos - ERCP / stents para fugas biliares - Embolización angiográfica para fracturas de pelvis, hígado, bazo
  • 53.
    Opciones diagnósticas para trauma abdominal cerrado • Examen físico - Reconocer características de la injuria, lesiones comúnmente conocidas con mecanismo particular • Cirugía • Lavado peritoneal diagnóstico • Tomografía axial computarizada • FAST • Laparoscopía
  • 54.
    Trauma abdominal cerrado Hemodinámicamente estable Examen físico Confiable, despierto, alerta No confiable, estado mental Sin injurias distractoras Alterado (con injurias distractoras FAST No dolor FAST Dolor TAC TAC Periodo de observación Normal Anormal Normal Se mantiene sin dolor Admitir a Admitir, Admitir, tratar otras observación tto lesiones lesiones Alta
  • 55.
    CRITERIOS PARA ELTNQ DEL TAC • Estabilidad hemodinámica • Ausencia de peritonismo • Caracterización de lesiones por TAC de buena calidad valorada por radiólogo experto • Sin lesión de víscera hueca • Posibilidad de monitorización intensiva • Accesibilidad a cirugía inmediata • Hemoperitoneo < 500 cc
  • 56.
  • 57.
    TRAUMA ESPLENICO • 61 – 83% TNQ • Tasa de éxito: 89 – 98% • Tasa de falla: 10,6%
  • 58.
    PREDICTORES DE FALLA • Hemoperitoneo de gran volumen • Lesiones grado IV y V • Edad > 55 años McIntyre LK, Schiff M, Jurkovich GJ. Failure of nonoperative management of splenic injuries. Causes and consequences. Arch Surg 2005; 140:563–569.
  • 59.
    COMPLICACIONES • Resangrado • Pseudoaneurismasintraparenquimales • Fístulas arteriovenosas
  • 60.
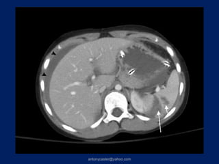
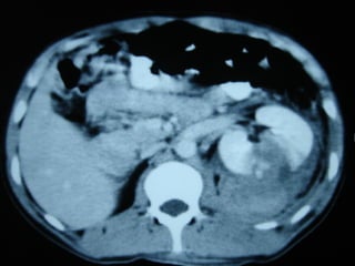
    CASO 1 • Pacientemujer, 74 años, víctima de accidente de tránsito (pasajera de ómnibus). • Refiere pérdida de conciencia. Posteriormente es llevada a Clínica Particular de donde le refieren a este hospital. • NISS: 48 RTS: 7,55
  • 63.
    CASO 2 • Pacientemujer, 16 años, refiere que cuando viajaba en camión de carga (Tolva) , este sufre desperfecto mecánico volcando. • RTS: 7,84 NISS: 27
  • 64.
  • 65.
  • 66.
  • 67.
    TRAUMA HEPATICO • Susceptiblesde TNQ: 50 – 85% • Tasas de éxito: 94 – 98%
  • 68.
    A quienes tratarcon TNQ? • I – V susceptibles de TNQ. • III, IV y V: Alta tasa de falla y complicaciones. • TNQ hepático > morbilidad que TNQ esplénico.
  • 69.
    COMPLICACIONES • Tasa de complicaciones: 11% • Se incrementa según grado de lesión. • Tipos: - Hemorragia retardada. - Absceso hepático - Biloma - Hemobilia
  • 70.
    TRAUMA TÓRACO- ABDOMINAL 2da TC:(8 días después) 3raTC: ( 41 días 1ra TC: 28:07:04 después) IV VIII VII > 3 Couinaud’s AIS90-5 HEMATOMA SUBCAPSULAR Complicación= Biloma IV V VI
  • 71.
    Tratamiento de complicaciones •Técnicas mínimamente invasivas: - Angioembolización - Drenaje de abscesos hepáticos o bilomas guiado por TAC o US. - Laparoscopía para peritonitis biliar - CPRE para fugas biliares. • Cirugía
  • 72.
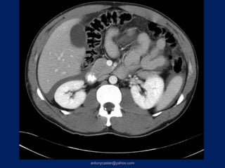
    CASO 1 • Pacientevarón, 43 años de edad, víctima de accidente de tránsito (peatón). • RTS: 7,84 NISS: 18
  • 75.
    CASO 2 • Pacientevarón, 24 años de edad, víctima de accidente de tránsito (pasajero). • RTS: 7,84 NISS: 27
  • 78.
  • 81.
    COMPLICACIONES • Extravasación /urinoma (IV). 74 – 87% resolución espontanea. • Hipertensión (0,25% - 55%) • Fístulas arteriovenosas (0 – 7%) • Pseudoaneurisma (6%) • Sangrado retardado (.. - 20%)
  • 82.
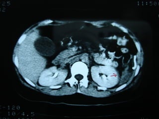
    CASO 1 • Pacientevarón, 37 años de edad, etilismo agudo, caída a una zanja. • RTS: 7,84 NISS: 9
  • 85.
    CASO 2 • Pacientevarón, 35 años de edad, víctima de accidente de tránsito (peatón). • RTS: 7,55 NISS: 27
  • 88.
  • 90.
    CRITERIOS PARA CONSIDERARUN LPD + • Aspiración de más de 10 ml de sangre al introducir el trocar • Recuento de glóbulos rojos de más de 100.000/mm3 • Recuento de glóbulos blancos de más de 500/mm3 • Amilasa superior a 175 U/dl • Presencia de bilis, bacterias o restos alimenticios • Salida de líquido de lavado por sonda vesical u otros drenajes