TRAUMATISMO
ABDOMINAL
Anatomía del Abdomen
Abdomen Anterior Dorso
Flanco
R. Toracoabdominal
Br. Moisés Morles
ATLS, Soporte Vital Avanzado en Trauma, Manual de Curso para estudiantes, 9na Edición. American
College of Surgeons. Pag. 124-126
Mecanismo de la Lesión
TRAUMA CERRADO
(40%-55%) (35%-45%) (5%-10%)
Impacto Directo Lesiones por cizallamiento
Br. Moisés Morles
ATLS, Soporte Vital Avanzado en Trauma, Manual de Curso para estudiantes, 9na Edición. American
College of Surgeons. Pag. 124-126
Mecanismo de la Lesión
• Hígado 40%
• Intestino delgado 30%
• Diafragma 20%
• Colon 15%
• Intestino delgado 50%
• Colon 40%
• Hígado 30%
• Heridas Penetrantes
• Lesiones contusas
Br. Moisés Morles
ATLS, Soporte Vital Avanzado en Trauma, Manual de Curso para estudiantes, 9na Edición. American
College of Surgeons. Pag. 124-126
Lesiones de tronco y cuello por dispositivos de seguridad
SISTEMA DE SEGURIDAD LESIÓN
Cinturón de cadera (de 2 puntos)
• Compresión
• Hiperflexión
• Desgarro o avulsión del mesenterio(" Asa de
balde")
• Ruptura de intestino delgado o colon
•Trombosis de la arteria ilíaca o de la aorta
abdominal
• Fractura de Chance de vértebra lumbar
• Lesión pancreática o duodenal
Arnés de hombro
• Deslizamiento por debajo del
• Compresión
• Desgarro o trombosis de las arterias innominadas,
carótidas, subclavia o vertebrales
• Fractura o luxación de la columna cervical
• Fracturas costales
• Contusión pulmonar
• Ruptura de víscera abdominal superior
Airbag
• Contacto
• Contacto/desaceleración • Abrasiones de cara,
cuello y tórax
• Flexión (sin cinturón)
• Hiperextensión (sin cinturón)
Úlceras de córnea
• Contacto/desaceleración • Abrasiones de cara,
cuello y tórax
• Flexión (sin cinturón) • Ruptura ca rdiaca
• Hiperextensión (sin cinturón) • Lesión de columna
cervical
• Fractura de vértebras torácicas
Br. Moisés Morles
ATLS, Soporte Vital Avanzado en Trauma, Manual de Curso para estudiantes, 9na Edición. American
College of Surgeons. Pag. 124-126
Manejo Inicial del paciente con Traumatismo
Abdominal
REVISIÓN PRIMARIA
C
A B C
Vía Aerea Breathing Circulación
Br. Moisés Morles
Trauma de Abdomen, Guías de Practica Clínica Basadas en la Evidencia. Autores: Dr. Ricardo Ferrada, Dr.
Alberto García, Dr. Edgar Cantillo, Dr. Gonzalo Aristizábal, Dr. Heberth Avella. ASOFAME
D
Déficit
Neurologico
E Extensión
Manejo Inicial del paciente con Traumatismo
Abdominal
CLASIFICACION DEL PACIENTE Y DECISIONES INICIALES
Estable
Agónico Inestable
• Si es penetrante, la sobrevida es
superior a 14%.
• Si hay signos de vida al ingresar a
urgencias y se lleva directamente a
cirugía, la probabilidad de
sobrevida supera un 20%.
• Si el trauma es cerrado, la
probabilidad de sobrevida es
inferior a 2%, mientras que si no se
detectan signos de vida en el
trayecto, la probabilidad de
sobrevida es casi de cero.
• Pulso elevado por encima de 90
por minuto.
• Frecuencia respiratoria por encima
de 32 o por debajo de 12.
• Tensión arterial sistólica por debajo
de 90 mm Hg.
• Hemodinamicamente estable.
• Se procede a realizar historia
clínica.
• 5-10% de pacientes con trauma
cerrado necesitan intervención
quirúrgica.
• 35% de pacientes con trauma
abierto necesitan intervención
quirúrgica.
Trauma de Abdomen, Guías de Practica Clínica Basadas en la Evidencia. Autores: Dr. Ricardo Ferrada, Dr.
Alberto García, Dr. Edgar Cantillo, Dr. Gonzalo Aristizábal, Dr. Heberth Avella. ASOFAME
Br. Moisés Morles
Manejo Inicial del paciente con Traumatismo
Abdominal
REVISIÓN SECUNDARIA
C
A M P L I A
Trauma de Abdomen, Guías de Practica Clínica Basadas en la Evidencia. Autores: Dr. Ricardo Ferrada, Dr.
Alberto García, Dr. Edgar Cantillo, Dr. Gonzalo Aristizábal, Dr. Heberth Avella. ASOFAME
Br. Moisés Morles
Examen Físico
Br. Moisés Morles
ATLS, Soporte Vital Avanzado en Trauma, Manual de Curso para estudiantes, 9na Edición. American
College of Surgeons. Pag. 124-126
Clasificación del traumatismo
Trauma
Cerrado
De la Pared
Sin Lesión
de Pared
Con Lesión
de Pared
De Vísceras
Trauma
Abierto
Penetrante
Sin Lesión
de Vísceras
Con Lesión
de Vísceras
No
Penetrante
Trauma Cerrado
Se define como la contusión en la pared
abdominal que origina compresión y lesión
por aplastamiento a las vísceras
abdominales.
En las lesiones por desaceleración se
presentan desgarro y ruptura de los
elementos móviles (vísceras) y elementos
fijos (Ligamentos) de la cavidad abdominal.
Los órganos mas frecuentes lesionados son:
• BAZO 40-55%
• HIGADO 35-45%
• INTESTINO DELGADO 5-10%
Etiopatogenia del trauma abdominal
cerrado
Accidente de
transito
Accidente
deportivo
Caida de
alturas
Asaltas con
arma
“contudentes
”
Accidentes
Domesticos
explosiones
Accidente de
transito
Accidente
deportivo
Caida de
alturas
Asaltas con
arma
“contudente
s”
Accidentes
Domesticos
Explosiones
Fuerza del trauma cerrado
Impacto Directo: la transmisión directa de la energía
cinética a los órganos adyacentes a la pared abdominal
puede provocar lesiones
Desaceleración: mientras el cuerpo es detenido
bruscamente los órganos intraabdominal animados
aun por la energía cinética tienden a continuar en
movimientos produciéndose una sacudida,
especialmente causada a nivel de los puntos de
anclaje, vasos y mesentéricos que sufren desgarro
parciales o totales.
Compresión o Aplastamiento: entre dos
estructuras rígidas, esta fuerza deforma los
órganos sólidos o huecos y pueden causar su
ruptura o estallido de los órganos.
Trauma Abierto
Se define como la solución de continuidad del
peritoneo existiendo contacto entre la cavidad
peritoneal y el medio externo.
Los traumas abiertos los podemos clasificar según su continuidad
del peritoneo en:
•PENETRANTES: Es cuando hay solución de continuidad en la fascia
de Scarpa.
•NO PENETRANTES: es cuando no existe duda de que el peritoneo
esta integro.
Las vísceras mas afectadas por arma blanca son:
•HIGADO 40%
•INTESTINO DELGADO 30%
•DIAFRAGMA 20%
•COLON 15%
Las heridas por arma blanca producen lesiones intraabdominales en
el 20-30% de los casos, mientras que las de Arma de Fuego las
producen en el 80-90% de los casos
Fisiopatología
1. Heridas por Arma Blanca y las Arma de Fuego de baja velocidad causan
daño al tejido por laceración o corte.
Ceden muy poca energía y el daño se localiza en la zona perilesional,
afectando habitualmente órganos adyacentes entre si, siguiendo la
trayectoria de objeto que penetro.
2. Las heridas por proyectiles de alta velocidad transfieren gran energía
cinética a las vísceras abdominales, además causan lesiones adicionales
en su desviación y fragmentación.
Traumatismo abdominal abierto.
Traumatismo abdominal abierto o penetrante
 Herida por arma de fuego
Características a describir en las Heridas por Arma de Fuego:
Las heridas por arma de fuego presentan: lesión de entrada, trayecto, lesión de salida y
además, lesiones producidas por elementos acompañantes que en ocasiones agregan su
efecto a los producidos por el proyectil.
Heridas penetrantes: entran pero no tienen egreso
Heridas perforantes: tiene orificio de entrada y salida.
Heridas por proyectiles de velocidad menor a 600m/seg: Causan daño al tejido por
laceración o corte. Ceden muy poca energía y el daño se localiza en la zona perilesional
afectando habitualmente órganos adyacentes siguiendo lo trayectoria del objeto que
penetra.
Heridas por arma de fuego de alta velocidad, mayor a 600m/seg: transfieren gran energía
cinética a las vísceras abdominales, teniendo un efecto adicional de cavitación temporal y
además causan lesiones adicionales en su desviación y fragmentación.
Traumatismo abdominal abierto o penetrante
Examen de laboratorio
 Hematología completa
 Glicemia
 Urea – Creatinina
 Uroanálisis
 Amilasa
 Lipasa
 Perfil hepático
 Electrolitos séricos
Estudios de imagen
Estudios de Imagen
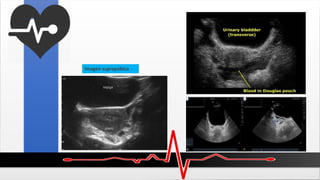
FAST (evaluación con ultrasonido focalizada en trauma)
Incluye las siguientes imágenes ecográficas:
Imagen pericárdica:
Imagen del cuadrante superior derecho (fosa hepatorrenal)
Estudios de Imagen
Imagen del cuadrante superior izquierdo (fosa esplenorrenal)
Imagen suprapúbica
Estudio por imagen
 Radiografías en trauma abdominal
Rayos X de tórax PA:
Para excluir neumotoráx, hemotórax Y
neumoperitoneo.
Rayos X de Abdomen:
Examen Físico
Rayos X de pelvis
TAC de Abdomen
Paciente con trauma cerrado de abdomen con
ruptura de colon descendente
Lavador Peritoneal (LPD)
Es un procedimiento útil para el Diagnostico de hemoperitoneo
y lesión de víscera hueca con contaminación entérica
Tiene una sensibilidad del 98%, aunque se pueden dar falsos
positivos cuando existe contaminación de la cavidad peritoneal
con sangre de la incisión o la punción
Técnicas: Abierta, Semiabierta y cerrada
Las indicaciones del LPD son:
Politraumatismo
Estado mental Alterado (TEC, Intoxicación)
Trauma torácico ultimas costillas
Lesión Raquimedular
Paciente inaccesible a valoraciones repetidas
Sospecha lesión intra abdominal
Fracturas de pelvis
Lavado Peritoneal (LPD)
1) Evacuar vejiga y estomago
2) Preparar la piel con soluciones antisépticas
3) Infiltración de anestésico local con epinefrina la línea media a
1/3 de distancia entre el ombligo y la sínfisis púbica
4) Incidir verticalmente la piel y tejidos subcutáneos hasta la
aponeurosis
Examen Físico
5) Incidir aponeurosis
6) incidir el peritoneo sobre dos pinzas
Examen Físico
7) Introducir catéter o sonda de nelaton a la cavidad
peritoneal y avanzar hasta la pelvis
8) Aspirar el catéter con jeringa. Si no se obtiene sangre
fresca macroscópica, infundir 10cc de solución salina por
KG. De peso a través de un equipo de venoclisis conectado
al catéter o sonda.
10) Si el paciente esta estable, dejar el liquido en la cavidad
peritoneal cinco a 10 minutos, al cabo de los cuales se deja
salir por efecto de sifón.
11) Enviar muestras de laboratorio para el análisis
respectivo
9) Agitar el abdomen para distribuir el liquido por la
cavidad
Examen Físico
10) Si el paciente esta estable, dejar el liquido en la cavidad
peritoneal cinco a 10 minutos, al cabo de los cuales se deja
salir por efecto de sifón.
11) Enviar muestras de laboratorio para el análisis
respectivo
Contraindicaciones del LPD
Clínica evidente (Irritación peritoneal, inestabilidad hemodinámica,
evisceración, neumoperitoneo y lesiones del tubo digestivo por Herida
por Arma de fuego)
Heridas del diafragma
Lesiones del tubo digestivo por HPAF
Operaciones abdominales previas
Obesidad mórbida
Cirrosis avanzada
Coagulopatia preexistente
Embarazo (tercer trimestre)
Complicaciones del LPD Diagnostico
Infección de la Herida
Hematoma
Desgarro de la fascia
Hernias incisionales
Perforación iatrogénica de víscera hueca
Lesiones Vasculares
Lavado Peritoneal Diagnostico
El lavado peritoneal es positivo cuando:
Evidencia de sangre en punción peritoneal
Aspiración mas de 10cc por catéter
Eritrocitos mayor 100.000 por mm3
Leucocitos mayor 500 por mm3
Amilasas mayor 175 / I.U
Fosfatasas Alcalina mayor 10 u x 100 ml
Liquido del lavado por sondas
Presencia: Bacterias, alimentos, bilis, etc
Laparotomia
Indicaciones:
• Trauma cerrado de abdomen con lavado
peritoneal o ultrasonido positivo.
• Trauma cerrado de abdomen con hipotensión
persistente a pesar de una adecuada
resucitación.
• Datos tempranos de peritonitis.
Laparotomia
• Indicaciones según estudios radiológicos:
• Aire libre, presencia de aire en retroperitoneo o
ruptura del diafragma en trauma cerrado
• Después de trauma cerrado o penetrante la TAC con
medio de contraste demuestra ruptura del tracto
gastrointestinal, lesión de vejiga intraabdominal, lesión
del pedículo renal o bien lesión severa de parénquima
visceral.
Laparotomia
Propósito:
• “Control del daño”: control de la hemorragia,
identificación de las lesiones y el control de la
contaminación.
• La reparación y reconstrucción de los órganos
afectados.
Laparoscopia
Es el potencial terapéutico de la cirugía laparoscopia ha estimulado la
investigación en trauma abdominal. Sin embargo, su uso en el
diagnostico del trauma abdominal permanece limitado por varias
razones:
Necesidad de equipo especial y dependencia de personal
entrenado
Necesidad de sala de operaciones y de anestesia general
Costos
Riesgo de embolia gaseosa y neumotorax a tensión por el
neumoperitoneo
No puede ser realizado en pacientes inestables
Laparoscopia
A medida que el cirujano se ha ido familiarizando con la técnica
y se ha entrenado mas en esta disciplina algunas de sus
limitaciones han ido desapareciendo. Así como por ejemplo:
La sensibilidad es comparable al lavado peritoneal
diagnostico y al ultrasonido
Es segura y rápida
Es especifica
Puede ser realizada en el servicio de urgencias, con
anestesia local y con mínima incomodidad para el paciente
Órganos mas afectados en un traumatismo
abdominal
Higado
Bazo
Colon
Intestino delgado
Pancreas y duodeno
Lesión hepática
 Órgano mas vulnerable por su ubicación y tamaño
 Mas frecuente en lesiones abiertas
 la lesión del hígado presenta grave riesgo ante los golpes
contundentes
 Puede causar shock hipovolémico
 Mortalidad de un 10%
Lesión hepática
Manifestaciones clínicas
Equimosis
Dolor en HD
Fracturas costales
derechas
Hemodinamicamente
inestable
LPD positivo sangre o
bilis
Grado de lesión hepática basado en TC según Mirvis
Et al
Maniobras o procedimientos para el control del
sangrado
Maniobra de Pringle
• Se clampea arteria hepática, vena porta,
y vías biliares.
• Logras hemostasia de la herida
• Maximo 1 hora
• Intermitene 15 min, 5 min de descanso.
Empaquetamiento hepático
(PACKING)
Lesión del Bazo
 Es el 2do órgano intra-abdominal mas
perjudicado.
 shock hipovolémico
 Fractura de las costillas izq inferior, 20%
Escala de lesión esplénica
GRADO LESION
I Hematoma subccapsular no expansivo, menos de 10% del área, herida capsular, no
sangrante, menos de 1 cm de profundidad
II Hematoma subcapsular no expansivo, 10-50% del área, hematoma intraparenquimatoso
no expansivo, menor de 2 cm de diametro, laceracion capsular, sangrado activo, 1-3cm
de profundidad sin compromiso de vasos trabeculares.
III Hematoma subcapsular > 50% o en expansion, roto con sangrado activo, hematoma
intraparenquimatoso > 2cm, y herida > 3cm de profundidad y compromiso de vasos
trabecualres
IV Hematoma intraparenquimatoso roto con sangrado activo, herida que comprometa mas
del 25% del bazo, compromiso de vasos segmentarios o hiliares.
V Bazo completamente destruido y lesión vascular hiliar con desvascularizacion del bazo
Preservación del Bazo
Sangrado <500
mL
Lesiones
asociadas
minimas.
Hilio no herido.
Ruptura
esplénica
minima.
No
coagulopatia.
Indicaciones para una esplenectomia
Sangrado
>1000mL
Lesiones
asociadas.
Hilio
herido.
Rotura
esplénica
masiva.
Coagulo
patia.
Lesión del colon
Traumas abiertos, por proyectil,
o por desaceleración brusca
Lesión del intestino delgado
Ocupa una gran parte del abdomen por ende es un
órgano vulnerable.
Tanto para traumatismo abierto como cerrado.
Una de las causas de lesión del intestino delgado es
el uso del cinturón de seguridad
Lesión pancreática y duodenal
• Golpes directos al epigastrio
• Traumas cerrados
• Casi siempre son lesiones pancreatoduodenal
• Un examen de amilasa normal no excluye una lesión pancreática.
• La tac no siempre ayuda en el diagnostico de la lesión
Escala de lesión pancreática (escala de MOORE)
GRADO DESCRIPCION DE LA LESION
grado I
hematoma: contusion menor sin lesion den
contenido pancreatico.
desgarro: superficial sin lesión del conducto
pancreatico.
grado II
Hematoma: contusion mayor sin lesion del
conducto pancreatico.
desgarro: mayor sin lesion del conducto
pancreatico.
grado III
Desgarro: seccion distal transversal o lesion
parenquimatosa con lesion del conducto
pancreatico.
grado IV
Desgarro: seccion proximal transversal o lesion
parenquimatosa que abarca a la ampolla (vater)
grado V Desintegracion masiva de la cabeza del pancreas.
Escala de lesión duodenal AAST
Complicaciones
Pancreatitis
Fistulas
Abscesos
intra-
abdominales
Pseudoquistes
¡Muchas Gracias!

traumatismoabdminal

  • 1.
  • 2.
    Anatomía del Abdomen AbdomenAnterior Dorso Flanco R. Toracoabdominal Br. Moisés Morles ATLS, Soporte Vital Avanzado en Trauma, Manual de Curso para estudiantes, 9na Edición. American College of Surgeons. Pag. 124-126
  • 3.
    Mecanismo de laLesión TRAUMA CERRADO (40%-55%) (35%-45%) (5%-10%) Impacto Directo Lesiones por cizallamiento Br. Moisés Morles ATLS, Soporte Vital Avanzado en Trauma, Manual de Curso para estudiantes, 9na Edición. American College of Surgeons. Pag. 124-126
  • 4.
    Mecanismo de laLesión • Hígado 40% • Intestino delgado 30% • Diafragma 20% • Colon 15% • Intestino delgado 50% • Colon 40% • Hígado 30% • Heridas Penetrantes • Lesiones contusas Br. Moisés Morles ATLS, Soporte Vital Avanzado en Trauma, Manual de Curso para estudiantes, 9na Edición. American College of Surgeons. Pag. 124-126
  • 5.
    Lesiones de troncoy cuello por dispositivos de seguridad SISTEMA DE SEGURIDAD LESIÓN Cinturón de cadera (de 2 puntos) • Compresión • Hiperflexión • Desgarro o avulsión del mesenterio(" Asa de balde") • Ruptura de intestino delgado o colon •Trombosis de la arteria ilíaca o de la aorta abdominal • Fractura de Chance de vértebra lumbar • Lesión pancreática o duodenal Arnés de hombro • Deslizamiento por debajo del • Compresión • Desgarro o trombosis de las arterias innominadas, carótidas, subclavia o vertebrales • Fractura o luxación de la columna cervical • Fracturas costales • Contusión pulmonar • Ruptura de víscera abdominal superior Airbag • Contacto • Contacto/desaceleración • Abrasiones de cara, cuello y tórax • Flexión (sin cinturón) • Hiperextensión (sin cinturón) Úlceras de córnea • Contacto/desaceleración • Abrasiones de cara, cuello y tórax • Flexión (sin cinturón) • Ruptura ca rdiaca • Hiperextensión (sin cinturón) • Lesión de columna cervical • Fractura de vértebras torácicas Br. Moisés Morles ATLS, Soporte Vital Avanzado en Trauma, Manual de Curso para estudiantes, 9na Edición. American College of Surgeons. Pag. 124-126
  • 6.
    Manejo Inicial delpaciente con Traumatismo Abdominal REVISIÓN PRIMARIA C A B C Vía Aerea Breathing Circulación Br. Moisés Morles Trauma de Abdomen, Guías de Practica Clínica Basadas en la Evidencia. Autores: Dr. Ricardo Ferrada, Dr. Alberto García, Dr. Edgar Cantillo, Dr. Gonzalo Aristizábal, Dr. Heberth Avella. ASOFAME D Déficit Neurologico E Extensión
  • 7.
    Manejo Inicial delpaciente con Traumatismo Abdominal CLASIFICACION DEL PACIENTE Y DECISIONES INICIALES Estable Agónico Inestable • Si es penetrante, la sobrevida es superior a 14%. • Si hay signos de vida al ingresar a urgencias y se lleva directamente a cirugía, la probabilidad de sobrevida supera un 20%. • Si el trauma es cerrado, la probabilidad de sobrevida es inferior a 2%, mientras que si no se detectan signos de vida en el trayecto, la probabilidad de sobrevida es casi de cero. • Pulso elevado por encima de 90 por minuto. • Frecuencia respiratoria por encima de 32 o por debajo de 12. • Tensión arterial sistólica por debajo de 90 mm Hg. • Hemodinamicamente estable. • Se procede a realizar historia clínica. • 5-10% de pacientes con trauma cerrado necesitan intervención quirúrgica. • 35% de pacientes con trauma abierto necesitan intervención quirúrgica. Trauma de Abdomen, Guías de Practica Clínica Basadas en la Evidencia. Autores: Dr. Ricardo Ferrada, Dr. Alberto García, Dr. Edgar Cantillo, Dr. Gonzalo Aristizábal, Dr. Heberth Avella. ASOFAME Br. Moisés Morles
  • 8.
    Manejo Inicial delpaciente con Traumatismo Abdominal REVISIÓN SECUNDARIA C A M P L I A Trauma de Abdomen, Guías de Practica Clínica Basadas en la Evidencia. Autores: Dr. Ricardo Ferrada, Dr. Alberto García, Dr. Edgar Cantillo, Dr. Gonzalo Aristizábal, Dr. Heberth Avella. ASOFAME Br. Moisés Morles
  • 9.
    Examen Físico Br. MoisésMorles ATLS, Soporte Vital Avanzado en Trauma, Manual de Curso para estudiantes, 9na Edición. American College of Surgeons. Pag. 124-126
  • 10.
    Clasificación del traumatismo Trauma Cerrado Dela Pared Sin Lesión de Pared Con Lesión de Pared De Vísceras Trauma Abierto Penetrante Sin Lesión de Vísceras Con Lesión de Vísceras No Penetrante
  • 11.
    Trauma Cerrado Se definecomo la contusión en la pared abdominal que origina compresión y lesión por aplastamiento a las vísceras abdominales. En las lesiones por desaceleración se presentan desgarro y ruptura de los elementos móviles (vísceras) y elementos fijos (Ligamentos) de la cavidad abdominal. Los órganos mas frecuentes lesionados son: • BAZO 40-55% • HIGADO 35-45% • INTESTINO DELGADO 5-10%
  • 12.
    Etiopatogenia del traumaabdominal cerrado Accidente de transito Accidente deportivo Caida de alturas Asaltas con arma “contudentes ” Accidentes Domesticos explosiones Accidente de transito Accidente deportivo Caida de alturas Asaltas con arma “contudente s” Accidentes Domesticos Explosiones
  • 13.
    Fuerza del traumacerrado Impacto Directo: la transmisión directa de la energía cinética a los órganos adyacentes a la pared abdominal puede provocar lesiones Desaceleración: mientras el cuerpo es detenido bruscamente los órganos intraabdominal animados aun por la energía cinética tienden a continuar en movimientos produciéndose una sacudida, especialmente causada a nivel de los puntos de anclaje, vasos y mesentéricos que sufren desgarro parciales o totales. Compresión o Aplastamiento: entre dos estructuras rígidas, esta fuerza deforma los órganos sólidos o huecos y pueden causar su ruptura o estallido de los órganos.
  • 14.
    Trauma Abierto Se definecomo la solución de continuidad del peritoneo existiendo contacto entre la cavidad peritoneal y el medio externo. Los traumas abiertos los podemos clasificar según su continuidad del peritoneo en: •PENETRANTES: Es cuando hay solución de continuidad en la fascia de Scarpa. •NO PENETRANTES: es cuando no existe duda de que el peritoneo esta integro. Las vísceras mas afectadas por arma blanca son: •HIGADO 40% •INTESTINO DELGADO 30% •DIAFRAGMA 20% •COLON 15% Las heridas por arma blanca producen lesiones intraabdominales en el 20-30% de los casos, mientras que las de Arma de Fuego las producen en el 80-90% de los casos
  • 15.
    Fisiopatología 1. Heridas porArma Blanca y las Arma de Fuego de baja velocidad causan daño al tejido por laceración o corte. Ceden muy poca energía y el daño se localiza en la zona perilesional, afectando habitualmente órganos adyacentes entre si, siguiendo la trayectoria de objeto que penetro. 2. Las heridas por proyectiles de alta velocidad transfieren gran energía cinética a las vísceras abdominales, además causan lesiones adicionales en su desviación y fragmentación. Traumatismo abdominal abierto.
  • 16.
    Traumatismo abdominal abiertoo penetrante  Herida por arma de fuego Características a describir en las Heridas por Arma de Fuego: Las heridas por arma de fuego presentan: lesión de entrada, trayecto, lesión de salida y además, lesiones producidas por elementos acompañantes que en ocasiones agregan su efecto a los producidos por el proyectil. Heridas penetrantes: entran pero no tienen egreso Heridas perforantes: tiene orificio de entrada y salida.
  • 17.
    Heridas por proyectilesde velocidad menor a 600m/seg: Causan daño al tejido por laceración o corte. Ceden muy poca energía y el daño se localiza en la zona perilesional afectando habitualmente órganos adyacentes siguiendo lo trayectoria del objeto que penetra. Heridas por arma de fuego de alta velocidad, mayor a 600m/seg: transfieren gran energía cinética a las vísceras abdominales, teniendo un efecto adicional de cavitación temporal y además causan lesiones adicionales en su desviación y fragmentación. Traumatismo abdominal abierto o penetrante
  • 18.
    Examen de laboratorio Hematología completa  Glicemia  Urea – Creatinina  Uroanálisis  Amilasa  Lipasa  Perfil hepático  Electrolitos séricos
  • 19.
  • 20.
    Estudios de Imagen FAST(evaluación con ultrasonido focalizada en trauma) Incluye las siguientes imágenes ecográficas: Imagen pericárdica:
  • 21.
    Imagen del cuadrantesuperior derecho (fosa hepatorrenal)
  • 22.
    Estudios de Imagen Imagendel cuadrante superior izquierdo (fosa esplenorrenal)
  • 23.
  • 24.
    Estudio por imagen Radiografías en trauma abdominal Rayos X de tórax PA: Para excluir neumotoráx, hemotórax Y neumoperitoneo.
  • 25.
    Rayos X deAbdomen:
  • 26.
  • 27.
  • 28.
    Paciente con traumacerrado de abdomen con ruptura de colon descendente
  • 29.
    Lavador Peritoneal (LPD) Esun procedimiento útil para el Diagnostico de hemoperitoneo y lesión de víscera hueca con contaminación entérica Tiene una sensibilidad del 98%, aunque se pueden dar falsos positivos cuando existe contaminación de la cavidad peritoneal con sangre de la incisión o la punción
  • 30.
    Técnicas: Abierta, Semiabiertay cerrada Las indicaciones del LPD son: Politraumatismo Estado mental Alterado (TEC, Intoxicación) Trauma torácico ultimas costillas Lesión Raquimedular Paciente inaccesible a valoraciones repetidas Sospecha lesión intra abdominal Fracturas de pelvis
  • 31.
    Lavado Peritoneal (LPD) 1)Evacuar vejiga y estomago 2) Preparar la piel con soluciones antisépticas 3) Infiltración de anestésico local con epinefrina la línea media a 1/3 de distancia entre el ombligo y la sínfisis púbica 4) Incidir verticalmente la piel y tejidos subcutáneos hasta la aponeurosis
  • 32.
    Examen Físico 5) Incidiraponeurosis 6) incidir el peritoneo sobre dos pinzas
  • 33.
    Examen Físico 7) Introducircatéter o sonda de nelaton a la cavidad peritoneal y avanzar hasta la pelvis 8) Aspirar el catéter con jeringa. Si no se obtiene sangre fresca macroscópica, infundir 10cc de solución salina por KG. De peso a través de un equipo de venoclisis conectado al catéter o sonda. 10) Si el paciente esta estable, dejar el liquido en la cavidad peritoneal cinco a 10 minutos, al cabo de los cuales se deja salir por efecto de sifón. 11) Enviar muestras de laboratorio para el análisis respectivo 9) Agitar el abdomen para distribuir el liquido por la cavidad
  • 34.
    Examen Físico 10) Siel paciente esta estable, dejar el liquido en la cavidad peritoneal cinco a 10 minutos, al cabo de los cuales se deja salir por efecto de sifón. 11) Enviar muestras de laboratorio para el análisis respectivo
  • 35.
    Contraindicaciones del LPD Clínicaevidente (Irritación peritoneal, inestabilidad hemodinámica, evisceración, neumoperitoneo y lesiones del tubo digestivo por Herida por Arma de fuego) Heridas del diafragma Lesiones del tubo digestivo por HPAF Operaciones abdominales previas Obesidad mórbida Cirrosis avanzada Coagulopatia preexistente Embarazo (tercer trimestre)
  • 36.
    Complicaciones del LPDDiagnostico Infección de la Herida Hematoma Desgarro de la fascia Hernias incisionales Perforación iatrogénica de víscera hueca Lesiones Vasculares
  • 37.
    Lavado Peritoneal Diagnostico Ellavado peritoneal es positivo cuando: Evidencia de sangre en punción peritoneal Aspiración mas de 10cc por catéter Eritrocitos mayor 100.000 por mm3 Leucocitos mayor 500 por mm3 Amilasas mayor 175 / I.U Fosfatasas Alcalina mayor 10 u x 100 ml Liquido del lavado por sondas Presencia: Bacterias, alimentos, bilis, etc
  • 38.
    Laparotomia Indicaciones: • Trauma cerradode abdomen con lavado peritoneal o ultrasonido positivo. • Trauma cerrado de abdomen con hipotensión persistente a pesar de una adecuada resucitación. • Datos tempranos de peritonitis.
  • 39.
    Laparotomia • Indicaciones segúnestudios radiológicos: • Aire libre, presencia de aire en retroperitoneo o ruptura del diafragma en trauma cerrado • Después de trauma cerrado o penetrante la TAC con medio de contraste demuestra ruptura del tracto gastrointestinal, lesión de vejiga intraabdominal, lesión del pedículo renal o bien lesión severa de parénquima visceral.
  • 40.
    Laparotomia Propósito: • “Control deldaño”: control de la hemorragia, identificación de las lesiones y el control de la contaminación. • La reparación y reconstrucción de los órganos afectados.
  • 41.
    Laparoscopia Es el potencialterapéutico de la cirugía laparoscopia ha estimulado la investigación en trauma abdominal. Sin embargo, su uso en el diagnostico del trauma abdominal permanece limitado por varias razones: Necesidad de equipo especial y dependencia de personal entrenado Necesidad de sala de operaciones y de anestesia general Costos Riesgo de embolia gaseosa y neumotorax a tensión por el neumoperitoneo No puede ser realizado en pacientes inestables
  • 42.
    Laparoscopia A medida queel cirujano se ha ido familiarizando con la técnica y se ha entrenado mas en esta disciplina algunas de sus limitaciones han ido desapareciendo. Así como por ejemplo: La sensibilidad es comparable al lavado peritoneal diagnostico y al ultrasonido Es segura y rápida Es especifica Puede ser realizada en el servicio de urgencias, con anestesia local y con mínima incomodidad para el paciente
  • 43.
    Órganos mas afectadosen un traumatismo abdominal Higado Bazo Colon Intestino delgado Pancreas y duodeno
  • 44.
    Lesión hepática  Órganomas vulnerable por su ubicación y tamaño  Mas frecuente en lesiones abiertas  la lesión del hígado presenta grave riesgo ante los golpes contundentes  Puede causar shock hipovolémico  Mortalidad de un 10%
  • 45.
    Lesión hepática Manifestaciones clínicas Equimosis Doloren HD Fracturas costales derechas Hemodinamicamente inestable LPD positivo sangre o bilis
  • 46.
    Grado de lesiónhepática basado en TC según Mirvis Et al
  • 47.
    Maniobras o procedimientospara el control del sangrado Maniobra de Pringle • Se clampea arteria hepática, vena porta, y vías biliares. • Logras hemostasia de la herida • Maximo 1 hora • Intermitene 15 min, 5 min de descanso.
  • 48.
  • 49.
    Lesión del Bazo Es el 2do órgano intra-abdominal mas perjudicado.  shock hipovolémico  Fractura de las costillas izq inferior, 20%
  • 50.
    Escala de lesiónesplénica GRADO LESION I Hematoma subccapsular no expansivo, menos de 10% del área, herida capsular, no sangrante, menos de 1 cm de profundidad II Hematoma subcapsular no expansivo, 10-50% del área, hematoma intraparenquimatoso no expansivo, menor de 2 cm de diametro, laceracion capsular, sangrado activo, 1-3cm de profundidad sin compromiso de vasos trabeculares. III Hematoma subcapsular > 50% o en expansion, roto con sangrado activo, hematoma intraparenquimatoso > 2cm, y herida > 3cm de profundidad y compromiso de vasos trabecualres IV Hematoma intraparenquimatoso roto con sangrado activo, herida que comprometa mas del 25% del bazo, compromiso de vasos segmentarios o hiliares. V Bazo completamente destruido y lesión vascular hiliar con desvascularizacion del bazo
  • 51.
    Preservación del Bazo Sangrado<500 mL Lesiones asociadas minimas. Hilio no herido. Ruptura esplénica minima. No coagulopatia.
  • 52.
    Indicaciones para unaesplenectomia Sangrado >1000mL Lesiones asociadas. Hilio herido. Rotura esplénica masiva. Coagulo patia.
  • 53.
    Lesión del colon Traumasabiertos, por proyectil, o por desaceleración brusca
  • 54.
    Lesión del intestinodelgado Ocupa una gran parte del abdomen por ende es un órgano vulnerable. Tanto para traumatismo abierto como cerrado. Una de las causas de lesión del intestino delgado es el uso del cinturón de seguridad
  • 55.
    Lesión pancreática yduodenal • Golpes directos al epigastrio • Traumas cerrados • Casi siempre son lesiones pancreatoduodenal • Un examen de amilasa normal no excluye una lesión pancreática. • La tac no siempre ayuda en el diagnostico de la lesión
  • 56.
    Escala de lesiónpancreática (escala de MOORE) GRADO DESCRIPCION DE LA LESION grado I hematoma: contusion menor sin lesion den contenido pancreatico. desgarro: superficial sin lesión del conducto pancreatico. grado II Hematoma: contusion mayor sin lesion del conducto pancreatico. desgarro: mayor sin lesion del conducto pancreatico. grado III Desgarro: seccion distal transversal o lesion parenquimatosa con lesion del conducto pancreatico. grado IV Desgarro: seccion proximal transversal o lesion parenquimatosa que abarca a la ampolla (vater) grado V Desintegracion masiva de la cabeza del pancreas.
  • 57.
    Escala de lesiónduodenal AAST
  • 58.
  • 59.