ABDOMEN AGUDO
2016
SIR ZACHARY COPE
8 A 10 HS., 2 HS., = 2 SEMANAS Y 2 MESES PARA
RECUPERACION
DEFINICION
SÍNDROME CLINICO ABDOMINAL DE
INICIO BRUSCO CARACTERIZADO POR
DOLOR Y SINTOMAS ACOMPAÑANTES
QUE REQUIERE DIAGNOSTICO Y
TRATAMIENTO URGENTE (MOORE)
6 – 48 Horas
6 DIAS
10% de Consulta en Urgencias
SINONIMOS
ABDOMEN AGUDO: el diagnóstico es FACIL
VIENTRE EN MADERA: con aire libre en cavidad
ABDOMEN QUIRURGICO: el que rebota requiere
rajadota. Von Blumberg.
SINDROME DOLOROSO ABDOMINAL: la duda
DOLOR ABDOMINAL EN ESTUDIO: médico
DOLOR ABDOMINAL DE ETIOLOGIA A DETERMINAR
ABDOMEN AGUDO
¿TRAUMATICO? ¿NO TRAUMATICO?
A. T. L. S.
INTRABDOMINAL EXTRABDOMINAL
INFLAMATORIO PARED
OBSTRUCTIVO TORAX
VASCULAR CARDIACO
HEMORRAGICO METABOLICO
NEOPLASICO
ABDOMEN AGUDO
ADULTO
NIÑO
ANCIANO
MUJER
10,682 CASOS DE DOLOR ABDOMINAL AGUDO
34% FUERON DOLOR ABDOMINAL NO ESPECIFICO
28% APENDICITIS AGUDA
10% COLECISTITIS AGUDA
CLASIFICACION DE BOCKUSGRUPO A. Padecimientos intra abdominales que requieren cirugía urgente
1. Apendicitis aguda complicada (absceso o perforación)
2. Obstrucción intestinal con estrangulación: vólvulus de sigmoides, hernia estrangulada
3. Perforación de víscera hueca: úlcera péptica perforada, perforación
diverticular de colon, perforación de íleon terminal, perforación de
ciego o sigmoides secundarios a tumor maligno
4. Colecistitis aguda complicada (piocolecisto, enfisematosa en el diabético, íleo biliar
5. Aneurisma disecante de aorta abdominal
6. Trombosis mesentérica
7. Ginecológicas: quiste de ovario torcido, embarazo ectópico roto
8. Torsión testicular
9. Pancreatitis aguda grave (necroticohemorrágica)
1. APENDICITIS AGUDA
2. ANEURISMA DE AORTA ABDOMINAL
3. PERFORACION DE VISCERA HUECA
4. OBSTRUCCION INTESTINAL CON O
SIN ESTRANGULACION
5. ISQUEMIA INTESTINAL
6. COLECISTITIS AGUDA Y COLANGITIS
7. EMBARAZO ECTOPICO ROTO
8. ABSCESO INTRABDOMINAL
9. RUPTURA HEPÁTICA
10. RUPTURA DE BAZO
CLASIFICACION DE BOCKUS
GRUPO B. Padecimientos abdominales que no requieren cirugía
1. Enfermedad acidopéptica no complicada
2. Padecimientos hepáticos: hepatitis aguda, absceso hepático
3. Padecimientos intestinales (gastroenteritis, ileítis terminal, intoxicación
alimentaria)
4. Infección de vías urinarias, cólico nefroureteral
5. Padecimientos ginecológicos: enfermedad pélvica inflamatoria aguda, dolor
por ovulación o dolor intermenstrual
6. Peritonitis primaria espontánea (en cirróticos)
7. Hemorragia intramural del intestino grueso secundaria a anticoagulantes
8. Causas poco frecuentes: fiebre mediterránea, epilepsia abdominal, porfiria, saturnismo, vasculitis
E
M
H
HD HI
FD FI
FID FII
CLASIFICACION DE BOCKUS
GRUPO C. Padecimientos extra abdominales que simulan abdomen agudo
1) Infarto agudo del miocardio y pericarditis aguda
2) Infección de vías urinarias y pielonefritis
3) Congestión pasiva del hígado y hepatitis, peritonitis por cirrosis
4) Neumonía y pancreatitis aguda
5) Cetoacidosis diabética y síndrome urémico en insuficiencia renal crónica
6) Insuficiencia suprarrenal aguda
7) Hematológicas: anemia de células falciformes, púrpura de Henoch-Schönlein
8) Porfiria, dismenorreas y ruptura de folículo de De Graff
9) Colon irritable y gastroenteritis
10) Fiebre mediterranea familiar
11) Intoxicación por plomo
12) Nervioso y Psicosis
CAUSA
Hemorrágica
Intraluminal (Hemorragia digestiva)
Inflamatoria
Con perforación
Sin perforación
Mecánica (oclusión intestinal)
Con compromiso vascular
Sin compromiso vascular
Vascular
Infarto intestinal
Aneurisma complicado
Traumática
Traumatismo cerrado
Traumatismo abierto
Postoperatoria
Hemorragia
Dehiscencia de sutura
Infeccioso
Pancreatitis
• TRANSTORNOS ENDOCRINOS
• ENFERMEDADES INFECCIOSAS
• TRANSTORNOS METABOLICO
• ENFERMEDADES POR HIPERSENSIBILIDAD
• VENENOS Y TOXINAS
• ENFERMEDADES HEMATOLOGICAS
ENFERMEDADES SISTEMICAS QUE
SIMULAN ABDOMEN AGUDO
CAUSAS SECUNDARIAS DE
PSEUDOOBSTRUCCION INTESTINAL
COLAGENOPATIAS: ESCLERODERMIA, DERMATOMIOSITIS, LUPUS
ERITEMATOSO SISTEMICO
ALTERACIONES NEUROMUSCULARES: PARKIONSON, ESCLEROSIS MULTIPLE,
DISTROFIA MUSCULAR PROGRESIVA, PSICOSIS, DISTROFIA MIOTONICA, EVC
ALTERACIONES NEUROENDOCRINAS: DIABETES, HIPOTIROIDISMO,
FEOCROMOCITOMA, HIPOPARATIROIDISMO
FARMACOLOGICAS: ANTICOLINERGICOS, BLOQUEANTES
GANGLIONARES, ANTIPARKINSONIANOS, ANTIDEPRESIVOS TRICICLICOS
OTROS: SPRUE, DIVERTICULOSIS YEYUNAL, AMILOIDOSIS, PORFIRIA, COLON
CATÁRTICO
NIÑOS
1. Virosis amigdalitis Hernia inguinal
2. Neumonia-pleuroneumonia Invaginación intestinal
3. Otitis Obstrucción intestinal
4. Gastro-enteritis Malrotación intestinal
5. Infección urinaria Divertículo de Meckel
6. Adenitis mesentérica Apendicitis aguda
7. Parasitosis
PATOGENIA
Dolor visceral:
producido por distensión, espasmo, isquemia e irritación química. Es
profundo, difuso, mal localizado y de umbral alto. En procesos severos
se acompaña de hiperestesia, hiperalgesia, hiperbaralgesia y rigidez
muscular involuntaria; estos signos sugieren irritación peritoneal.
Dolor somático: es más agudo y se origina en el peritoneo parietal,
raíz del mesenterio y diafragma.
Dolor referido: está en relación con el sitio del proceso original, la
Irradiación a otras zonas por diversas inervaciones.
DOLOR REPENTINO AGUDO E INSOPORTABLE
INICIO RAPIDO DEL DOLOR GRAVE Y CONSTANTE
DOLOR GRADUAL CONSTANTE
Dolor, hiperestesia, contractura
local: FID (Tríada de Dieulafoy)
DOLOR INTERMITENTE, COLICO EN AUMENTO
CON INTERVALOS SIN DOLOR
Diagnóstico diferencial del dolor por su
localización
CUADRANTE SUPERIOR DERECHO
1. Colecistitis aguda
2. Úlcera duodenal perforada
3. Pancreatitis aguda
4. Hepatitis aguda
5. Hepatomegalia congestiva aguda
6. Neumonía con reacción pleural
7. Pielonefritis aguda
8. Angina de pecho
9. Hepatitis aguda
10. Absceso hepático
Diagnóstico diferencial del dolor por su
localización
CUADRANTE SUPERIOR IZQUIERDO
1. Rotura de bazo
2. Úlcera gástrica o yeyunal perforada
3. Pancreatitis aguda
4. Rotura de aneurisma aórtico
5. Colon perforado (tumor, cuerpo extraño)
6. Neumonía con reacción pleural
7. Pielonefritis aguda
8. Infarto miocárdico agudo
Diagnóstico diferencial del dolor por su
localización
CENTRAL (PERIUMBILICAL)
1. Obstrucción intestinal
2. Apendicitis
3. Pancreatitis aguda
4. Trombosis mesentérica
5. Hernia inguinal estrangulada
6. Aneurisma aórtico en proceso de disección o rotura
7. Diverticulitis (intestino delgado o colon)
8. Uremia
CUADRANTE INFERIOR DERECHO
1. Apendicitis (Cronología de Murphy)
2. Salpingitis aguda, absceso tubo ovárico
3. Embarazo ectópico roto
4. Quiste ovárico torcido
5. Adenitis mesentérica
6. Hernia inguinal estrangulada
7. Diverticulitis de Meckel
8. Diverticulitis cecal
Diagnóstico diferencial del dolor por su
localización
CUADRANTE INFERIOR IZQUIERDO
1. Diverticulitis sigmoidea
2. Salpingitis aguda, absceso tubo ovárico
3. Embarazo ectópico roto
4. Quiste ovárico torcido
5. Hernia inguinal estrangulada
6. Colon descendente perforado (tumor, cuerpo, extraño)
7. Ileítis regional
8. Absceso del psoas
9. Cálculo ureteral
Diagnóstico diferencial del dolor por su
localización
ABDOMEN AGUDO GINECOSBTETRICO
Tabla 1. Distribución por edad
Edad Casos
20-24 años 10
25-29 años 19
30-34 años 36
35-39 años 24
40-44 años 9
> 45 años 3
Total 101
56.8%
Tabla 2. Abdomen agudo gineco-obstétrico. Tipo y causas
Tipo de AAGO Causas Casos parciales Total
Hemorrágico
Embarazo ectópico roto 38
Quiste de ovario roto sangrante 6
Hemorragia postoperatoria 3
Mioma fúndico sangrante 1 48
Vascular
Quiste de ovario a pedículo torcido 22
Hidrosalpinx torcido 1
Miomatosis + adherencias 1 24
Infeccioso- inflamatorio
Anexitis 10
Absceso tuboovárico 3
Aborto séptico-pelviperitonitis 1
Endomiometritis puerperal 1 15
Funcional
Cuerpo lúteo roto 2
Quispe folicular roto 1 3
Traumático
Perforación uterina 2 2
Asociado a gestación uterina
Apendicitis aguda 3
Quiste ovárico a pedículo torcido 2
Rotura uterina 2
Obstrucción intestinal 1
Traumatismo abdominal cerrado 1 9
Total 101
SIGNO DE JIMENEZ - QUASIMODO
CUADRO CLINICO
HISTORIA CLINICA COMPLETA: 90% DIAGNOSTICO
ANTECEDENTES PERSONALES NO PATOLOGICOS
ANTECEDENTES PERSONALES PATOLOGICOS
ANTECEDENTES HEREDOFAMILIARES
EXPLORACION FISICA COMPLETA
Antecedentes.
Ulcera gástrica o duodenal, síndrome ácido-péptico: Úlcera perforada.
Padecimiento biliar previo: Pancreatitis aguda, patología biliar.
Alcoholismo: Patología biliar, pancreática y sangrado por várices esofágicas.
Intoxicación profesional por plomo, puede dar el cólico saturnino.
El uso de AINES, antigripales: Gastritits hemorrágica.
Corticoides: Gastritis agudas hemorrágicas, úlceras gastrodudenales, perforación de
úlceras y divertículos colónicos.
Corticoterapia prolongada en pacientes críticos: insuficiencia suprarrenal aguda.
Antiespasmódicos: Íleo paralítico.
Pacientes operados: Oclusión intestinal mecánica por adherencias.
Traumatismos abdominales recientes, maniobras instrumentales diagnósticas o
terapéuticas.
1. Anorexia
2. Nausea
3. Vomito
4. Constipación
5. Obstipación
6. Calambres abdominales
7. Distención
8. Ileo
9. Diarrea
10. Sangrado
11. Melena
12. Hematoquezia.
13. Ictericia
14. Síntomas Urinarios
15. Antecedents ginecoobstetricos
INSPECCION INSPECCION
PALPACION AUSCULTACION
AUSCULTACION PALPACION
PERCUSION PERCUSION
SIGNOS
MC BURNEY
ROVSING
PALPA
DOLOR
CAPURRO
ESPINA
ILIACA
ANTERIOR Y
SUPERIOR
EXAMEN FISICO
• INSPECCION GENERAL
• SIGNOS VITALES
• INSPECCION
• AUSCULTACION
• PALPACION
signos específicos*
• PERCUSION
• Mc Burney, Murphy etc.
“SI REBOTA Y NO ES PELOTA NECESITA UNA RAJADOTA”
DOLOR VISCERAL, DOLOR SOMATICO, DOLOR REFERIDO.
COLICO, ARDOR, OPRESIVO, PENETRATNTE
EXPLORACION RECTAL Y PELVICA
LABORATORIO
• Biometría completa con grupo y Rh
• Química sanguínea
• Examen general de orina
• TP y TPT
• Amilasa , lipasa
• Enzimas cardiacas*
• PFH*
• Radiografías
• USG
• TAC
Pruebas diagnosticas
• Ecografía
• Tomografía axial computarizada
• Resonancia magnética nuclear
• Lavado peritoneal diagnóstico
• Laparoscopia
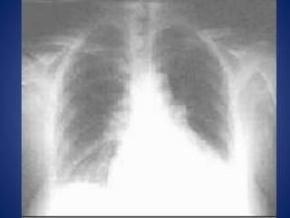
• Radiografía de tórax
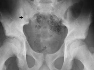
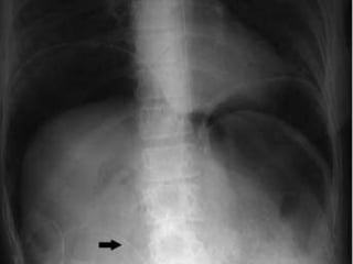
• Placas simples de abdomen
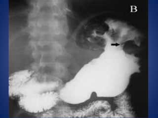
IMÁGENES CLASICAS DIAGNOSTICAS EN
EL 20%
SENSIBILIDAD 10%
SENSIBILIDAD 81 A 100%
ESPECIFICIDAD 60 A 100%
SENSIBILIDAD 80%
ESPECIFICIDAD 60%
ESPECIFICIDAD 50 A 84%
SENSIBILIDAD 77 A 97%
DIAGNOSTICO
PARACENTESIS
• PRESENCIA DE SANGRE
MACROSCOPICA
• + 100 000 ERITROS/mm3
• + 500 LEUCOCITOS/mm3
• PRESENCIA DE AMILASA
• PRESENCIA DE BILIS
• PRESENCIA DE BACTERIAS
MODIFICACIONES DEL CUADRO
CLINICO
• MEDICO
• EDAD DEL PACIENTE
• FARMACOS
• EDO. GENERAL DEL PACIENTE.
• ENFERMEDADES CRONICO-
DEGENERATIVAS.
PRINCIPIOS GENERALES DEL
TRATAMIENTO
• MANEJO PREOPERATORIO
• MANEJO TRANSOPERATORIO
• MANEJO POST OPERATORIO
MANEJO PREOPERATORIO
• MANTENIMIENTO
HIDROELECTROLITICO
ANALGESICOS y ANTIBIOTICOS
Normas generales:
1. Ayuno
2. Laboratorio e Imagenología
3. Hidratación
4. Antibióticos y analgésicos
5. Reevaluar cada 4 a 8 hs.
6. Interconsulta al especialista
7. Consentimiento informado
8. Sonda nasogástrica
9. Sonda de Foley
10. Cirugía de control de daños
11. Cirujano competente
TRATAMIENTO
LAPAROSCOPIA 95% EFICACIA
• DIAGNOSTICA
• TERAPEUTICA
Enfermera: entre a internet, vaya a
www.cirurgia.com y cliquee en el ícono “¿Qué hacer
cuando usted está totalmente perdido?”.
1. Peritonitis
2. Sepsis
3. Hipovolemia
4. Desequilibrio hidroelectrolítico
5. Malnutrición grave
6. Insuficiencia renal
7. Alteraciones cardiovasculares
8. Insuficiencia hepática
9. Disfunción orgánica múltiple
10. Muerte
COMPLICACIONES
PRONOSTICO
Magnitud
Tiempo de evolución
Oportunidad del tratamiento
y su indicación
Cirujano competente
CONSEJOS
• No administrar analgésicos, antie
espasmódicos, antiinflamatorios,
procinéticos, antisecretores H2,
inhibidores de bomba de
protones, hasta confirmar o
descartar el diagnóstico.
• No administrar antibióticos,
antisépticos, hasta no confirmar
o descartar el diagnóstico.
OLVIDAR
• SOBERBIA
• EGOCENTRISMO
• PEDANTERIA
• CINTIFICISMO
• CYBERDESTREZA
• EGOISMO
• EGOLATRIA
“Todos los cirujanos llevamos un cementerio
en el corazón que debemos visitar con
frecuencia para ser siempre humildes”
Ambrosio Paré
René Lerich
“Aplica a todos los médicos”
BIBLIOGRAFIA
1. Schwartz. Principios de Cirugía. Decima
edicion. 2015
2. J. A. Navarro y cols. Validitu of test performed
to diagnose acute abdominal pain in patients
admitted at an emergency departament. Rev.
Esp. Enferm. Dig. VOL. 101. n° 9, PP 610-
618,2009.
3. Laparotomía y/o laparoscopía diagnóstica.
GPC-IMSS-509-11

Abdomen agudo 16

  • 1.
    ABDOMEN AGUDO 2016 SIR ZACHARYCOPE 8 A 10 HS., 2 HS., = 2 SEMANAS Y 2 MESES PARA RECUPERACION
  • 2.
    DEFINICION SÍNDROME CLINICO ABDOMINALDE INICIO BRUSCO CARACTERIZADO POR DOLOR Y SINTOMAS ACOMPAÑANTES QUE REQUIERE DIAGNOSTICO Y TRATAMIENTO URGENTE (MOORE) 6 – 48 Horas 6 DIAS 10% de Consulta en Urgencias
  • 3.
    SINONIMOS ABDOMEN AGUDO: eldiagnóstico es FACIL VIENTRE EN MADERA: con aire libre en cavidad ABDOMEN QUIRURGICO: el que rebota requiere rajadota. Von Blumberg. SINDROME DOLOROSO ABDOMINAL: la duda DOLOR ABDOMINAL EN ESTUDIO: médico DOLOR ABDOMINAL DE ETIOLOGIA A DETERMINAR
  • 4.
    ABDOMEN AGUDO ¿TRAUMATICO? ¿NOTRAUMATICO? A. T. L. S. INTRABDOMINAL EXTRABDOMINAL INFLAMATORIO PARED OBSTRUCTIVO TORAX VASCULAR CARDIACO HEMORRAGICO METABOLICO NEOPLASICO
  • 6.
  • 7.
    10,682 CASOS DEDOLOR ABDOMINAL AGUDO 34% FUERON DOLOR ABDOMINAL NO ESPECIFICO 28% APENDICITIS AGUDA 10% COLECISTITIS AGUDA
  • 8.
    CLASIFICACION DE BOCKUSGRUPOA. Padecimientos intra abdominales que requieren cirugía urgente 1. Apendicitis aguda complicada (absceso o perforación) 2. Obstrucción intestinal con estrangulación: vólvulus de sigmoides, hernia estrangulada 3. Perforación de víscera hueca: úlcera péptica perforada, perforación diverticular de colon, perforación de íleon terminal, perforación de ciego o sigmoides secundarios a tumor maligno 4. Colecistitis aguda complicada (piocolecisto, enfisematosa en el diabético, íleo biliar 5. Aneurisma disecante de aorta abdominal 6. Trombosis mesentérica 7. Ginecológicas: quiste de ovario torcido, embarazo ectópico roto 8. Torsión testicular 9. Pancreatitis aguda grave (necroticohemorrágica)
  • 9.
    1. APENDICITIS AGUDA 2.ANEURISMA DE AORTA ABDOMINAL 3. PERFORACION DE VISCERA HUECA 4. OBSTRUCCION INTESTINAL CON O SIN ESTRANGULACION 5. ISQUEMIA INTESTINAL 6. COLECISTITIS AGUDA Y COLANGITIS 7. EMBARAZO ECTOPICO ROTO 8. ABSCESO INTRABDOMINAL 9. RUPTURA HEPÁTICA 10. RUPTURA DE BAZO
  • 10.
    CLASIFICACION DE BOCKUS GRUPOB. Padecimientos abdominales que no requieren cirugía 1. Enfermedad acidopéptica no complicada 2. Padecimientos hepáticos: hepatitis aguda, absceso hepático 3. Padecimientos intestinales (gastroenteritis, ileítis terminal, intoxicación alimentaria) 4. Infección de vías urinarias, cólico nefroureteral 5. Padecimientos ginecológicos: enfermedad pélvica inflamatoria aguda, dolor por ovulación o dolor intermenstrual 6. Peritonitis primaria espontánea (en cirróticos) 7. Hemorragia intramural del intestino grueso secundaria a anticoagulantes 8. Causas poco frecuentes: fiebre mediterránea, epilepsia abdominal, porfiria, saturnismo, vasculitis
  • 11.
  • 12.
    CLASIFICACION DE BOCKUS GRUPOC. Padecimientos extra abdominales que simulan abdomen agudo 1) Infarto agudo del miocardio y pericarditis aguda 2) Infección de vías urinarias y pielonefritis 3) Congestión pasiva del hígado y hepatitis, peritonitis por cirrosis 4) Neumonía y pancreatitis aguda 5) Cetoacidosis diabética y síndrome urémico en insuficiencia renal crónica 6) Insuficiencia suprarrenal aguda 7) Hematológicas: anemia de células falciformes, púrpura de Henoch-Schönlein 8) Porfiria, dismenorreas y ruptura de folículo de De Graff 9) Colon irritable y gastroenteritis 10) Fiebre mediterranea familiar 11) Intoxicación por plomo 12) Nervioso y Psicosis
  • 13.
    CAUSA Hemorrágica Intraluminal (Hemorragia digestiva) Inflamatoria Conperforación Sin perforación Mecánica (oclusión intestinal) Con compromiso vascular Sin compromiso vascular
  • 14.
    Vascular Infarto intestinal Aneurisma complicado Traumática Traumatismocerrado Traumatismo abierto Postoperatoria Hemorragia Dehiscencia de sutura Infeccioso Pancreatitis
  • 15.
    • TRANSTORNOS ENDOCRINOS •ENFERMEDADES INFECCIOSAS • TRANSTORNOS METABOLICO • ENFERMEDADES POR HIPERSENSIBILIDAD • VENENOS Y TOXINAS • ENFERMEDADES HEMATOLOGICAS ENFERMEDADES SISTEMICAS QUE SIMULAN ABDOMEN AGUDO
  • 16.
    CAUSAS SECUNDARIAS DE PSEUDOOBSTRUCCIONINTESTINAL COLAGENOPATIAS: ESCLERODERMIA, DERMATOMIOSITIS, LUPUS ERITEMATOSO SISTEMICO ALTERACIONES NEUROMUSCULARES: PARKIONSON, ESCLEROSIS MULTIPLE, DISTROFIA MUSCULAR PROGRESIVA, PSICOSIS, DISTROFIA MIOTONICA, EVC ALTERACIONES NEUROENDOCRINAS: DIABETES, HIPOTIROIDISMO, FEOCROMOCITOMA, HIPOPARATIROIDISMO FARMACOLOGICAS: ANTICOLINERGICOS, BLOQUEANTES GANGLIONARES, ANTIPARKINSONIANOS, ANTIDEPRESIVOS TRICICLICOS OTROS: SPRUE, DIVERTICULOSIS YEYUNAL, AMILOIDOSIS, PORFIRIA, COLON CATÁRTICO
  • 17.
    NIÑOS 1. Virosis amigdalitisHernia inguinal 2. Neumonia-pleuroneumonia Invaginación intestinal 3. Otitis Obstrucción intestinal 4. Gastro-enteritis Malrotación intestinal 5. Infección urinaria Divertículo de Meckel 6. Adenitis mesentérica Apendicitis aguda 7. Parasitosis
  • 18.
    PATOGENIA Dolor visceral: producido pordistensión, espasmo, isquemia e irritación química. Es profundo, difuso, mal localizado y de umbral alto. En procesos severos se acompaña de hiperestesia, hiperalgesia, hiperbaralgesia y rigidez muscular involuntaria; estos signos sugieren irritación peritoneal. Dolor somático: es más agudo y se origina en el peritoneo parietal, raíz del mesenterio y diafragma. Dolor referido: está en relación con el sitio del proceso original, la Irradiación a otras zonas por diversas inervaciones.
  • 19.
    DOLOR REPENTINO AGUDOE INSOPORTABLE
  • 20.
    INICIO RAPIDO DELDOLOR GRAVE Y CONSTANTE
  • 21.
    DOLOR GRADUAL CONSTANTE Dolor,hiperestesia, contractura local: FID (Tríada de Dieulafoy)
  • 22.
    DOLOR INTERMITENTE, COLICOEN AUMENTO CON INTERVALOS SIN DOLOR
  • 23.
    Diagnóstico diferencial deldolor por su localización CUADRANTE SUPERIOR DERECHO 1. Colecistitis aguda 2. Úlcera duodenal perforada 3. Pancreatitis aguda 4. Hepatitis aguda 5. Hepatomegalia congestiva aguda 6. Neumonía con reacción pleural 7. Pielonefritis aguda 8. Angina de pecho 9. Hepatitis aguda 10. Absceso hepático
  • 24.
    Diagnóstico diferencial deldolor por su localización CUADRANTE SUPERIOR IZQUIERDO 1. Rotura de bazo 2. Úlcera gástrica o yeyunal perforada 3. Pancreatitis aguda 4. Rotura de aneurisma aórtico 5. Colon perforado (tumor, cuerpo extraño) 6. Neumonía con reacción pleural 7. Pielonefritis aguda 8. Infarto miocárdico agudo
  • 25.
    Diagnóstico diferencial deldolor por su localización CENTRAL (PERIUMBILICAL) 1. Obstrucción intestinal 2. Apendicitis 3. Pancreatitis aguda 4. Trombosis mesentérica 5. Hernia inguinal estrangulada 6. Aneurisma aórtico en proceso de disección o rotura 7. Diverticulitis (intestino delgado o colon) 8. Uremia
  • 26.
    CUADRANTE INFERIOR DERECHO 1.Apendicitis (Cronología de Murphy) 2. Salpingitis aguda, absceso tubo ovárico 3. Embarazo ectópico roto 4. Quiste ovárico torcido 5. Adenitis mesentérica 6. Hernia inguinal estrangulada 7. Diverticulitis de Meckel 8. Diverticulitis cecal Diagnóstico diferencial del dolor por su localización
  • 27.
    CUADRANTE INFERIOR IZQUIERDO 1.Diverticulitis sigmoidea 2. Salpingitis aguda, absceso tubo ovárico 3. Embarazo ectópico roto 4. Quiste ovárico torcido 5. Hernia inguinal estrangulada 6. Colon descendente perforado (tumor, cuerpo, extraño) 7. Ileítis regional 8. Absceso del psoas 9. Cálculo ureteral Diagnóstico diferencial del dolor por su localización
  • 28.
    ABDOMEN AGUDO GINECOSBTETRICO Tabla1. Distribución por edad Edad Casos 20-24 años 10 25-29 años 19 30-34 años 36 35-39 años 24 40-44 años 9 > 45 años 3 Total 101 56.8%
  • 29.
    Tabla 2. Abdomenagudo gineco-obstétrico. Tipo y causas Tipo de AAGO Causas Casos parciales Total Hemorrágico Embarazo ectópico roto 38 Quiste de ovario roto sangrante 6 Hemorragia postoperatoria 3 Mioma fúndico sangrante 1 48 Vascular Quiste de ovario a pedículo torcido 22 Hidrosalpinx torcido 1 Miomatosis + adherencias 1 24 Infeccioso- inflamatorio Anexitis 10 Absceso tuboovárico 3 Aborto séptico-pelviperitonitis 1 Endomiometritis puerperal 1 15 Funcional Cuerpo lúteo roto 2 Quispe folicular roto 1 3 Traumático Perforación uterina 2 2 Asociado a gestación uterina Apendicitis aguda 3 Quiste ovárico a pedículo torcido 2 Rotura uterina 2 Obstrucción intestinal 1 Traumatismo abdominal cerrado 1 9 Total 101
  • 30.
    SIGNO DE JIMENEZ- QUASIMODO
  • 31.
    CUADRO CLINICO HISTORIA CLINICACOMPLETA: 90% DIAGNOSTICO ANTECEDENTES PERSONALES NO PATOLOGICOS ANTECEDENTES PERSONALES PATOLOGICOS ANTECEDENTES HEREDOFAMILIARES EXPLORACION FISICA COMPLETA
  • 32.
    Antecedentes. Ulcera gástrica oduodenal, síndrome ácido-péptico: Úlcera perforada. Padecimiento biliar previo: Pancreatitis aguda, patología biliar. Alcoholismo: Patología biliar, pancreática y sangrado por várices esofágicas. Intoxicación profesional por plomo, puede dar el cólico saturnino. El uso de AINES, antigripales: Gastritits hemorrágica. Corticoides: Gastritis agudas hemorrágicas, úlceras gastrodudenales, perforación de úlceras y divertículos colónicos. Corticoterapia prolongada en pacientes críticos: insuficiencia suprarrenal aguda. Antiespasmódicos: Íleo paralítico. Pacientes operados: Oclusión intestinal mecánica por adherencias. Traumatismos abdominales recientes, maniobras instrumentales diagnósticas o terapéuticas.
  • 33.
    1. Anorexia 2. Nausea 3.Vomito 4. Constipación 5. Obstipación 6. Calambres abdominales 7. Distención 8. Ileo 9. Diarrea 10. Sangrado 11. Melena 12. Hematoquezia. 13. Ictericia 14. Síntomas Urinarios 15. Antecedents ginecoobstetricos INSPECCION INSPECCION PALPACION AUSCULTACION AUSCULTACION PALPACION PERCUSION PERCUSION
  • 34.
  • 35.
  • 36.
  • 37.
    EXAMEN FISICO • INSPECCIONGENERAL • SIGNOS VITALES • INSPECCION • AUSCULTACION • PALPACION signos específicos* • PERCUSION • Mc Burney, Murphy etc. “SI REBOTA Y NO ES PELOTA NECESITA UNA RAJADOTA” DOLOR VISCERAL, DOLOR SOMATICO, DOLOR REFERIDO. COLICO, ARDOR, OPRESIVO, PENETRATNTE
  • 38.
  • 39.
    LABORATORIO • Biometría completacon grupo y Rh • Química sanguínea • Examen general de orina • TP y TPT • Amilasa , lipasa • Enzimas cardiacas* • PFH* • Radiografías • USG • TAC
  • 40.
    Pruebas diagnosticas • Ecografía •Tomografía axial computarizada • Resonancia magnética nuclear • Lavado peritoneal diagnóstico • Laparoscopia • Radiografía de tórax • Placas simples de abdomen
  • 42.
    IMÁGENES CLASICAS DIAGNOSTICASEN EL 20% SENSIBILIDAD 10%
  • 49.
    SENSIBILIDAD 81 A100% ESPECIFICIDAD 60 A 100%
  • 50.
  • 53.
    ESPECIFICIDAD 50 A84% SENSIBILIDAD 77 A 97%
  • 54.
    DIAGNOSTICO PARACENTESIS • PRESENCIA DESANGRE MACROSCOPICA • + 100 000 ERITROS/mm3 • + 500 LEUCOCITOS/mm3 • PRESENCIA DE AMILASA • PRESENCIA DE BILIS • PRESENCIA DE BACTERIAS
  • 55.
    MODIFICACIONES DEL CUADRO CLINICO •MEDICO • EDAD DEL PACIENTE • FARMACOS • EDO. GENERAL DEL PACIENTE. • ENFERMEDADES CRONICO- DEGENERATIVAS.
  • 56.
    PRINCIPIOS GENERALES DEL TRATAMIENTO •MANEJO PREOPERATORIO • MANEJO TRANSOPERATORIO • MANEJO POST OPERATORIO
  • 57.
  • 58.
    Normas generales: 1. Ayuno 2.Laboratorio e Imagenología 3. Hidratación 4. Antibióticos y analgésicos 5. Reevaluar cada 4 a 8 hs. 6. Interconsulta al especialista 7. Consentimiento informado 8. Sonda nasogástrica 9. Sonda de Foley 10. Cirugía de control de daños 11. Cirujano competente TRATAMIENTO
  • 59.
    LAPAROSCOPIA 95% EFICACIA •DIAGNOSTICA • TERAPEUTICA Enfermera: entre a internet, vaya a www.cirurgia.com y cliquee en el ícono “¿Qué hacer cuando usted está totalmente perdido?”.
  • 60.
    1. Peritonitis 2. Sepsis 3.Hipovolemia 4. Desequilibrio hidroelectrolítico 5. Malnutrición grave 6. Insuficiencia renal 7. Alteraciones cardiovasculares 8. Insuficiencia hepática 9. Disfunción orgánica múltiple 10. Muerte COMPLICACIONES
  • 61.
    PRONOSTICO Magnitud Tiempo de evolución Oportunidaddel tratamiento y su indicación Cirujano competente
  • 62.
    CONSEJOS • No administraranalgésicos, antie espasmódicos, antiinflamatorios, procinéticos, antisecretores H2, inhibidores de bomba de protones, hasta confirmar o descartar el diagnóstico. • No administrar antibióticos, antisépticos, hasta no confirmar o descartar el diagnóstico.
  • 63.
    OLVIDAR • SOBERBIA • EGOCENTRISMO •PEDANTERIA • CINTIFICISMO • CYBERDESTREZA • EGOISMO • EGOLATRIA
  • 64.
    “Todos los cirujanosllevamos un cementerio en el corazón que debemos visitar con frecuencia para ser siempre humildes” Ambrosio Paré René Lerich “Aplica a todos los médicos”
  • 65.
    BIBLIOGRAFIA 1. Schwartz. Principiosde Cirugía. Decima edicion. 2015 2. J. A. Navarro y cols. Validitu of test performed to diagnose acute abdominal pain in patients admitted at an emergency departament. Rev. Esp. Enferm. Dig. VOL. 101. n° 9, PP 610- 618,2009. 3. Laparotomía y/o laparoscopía diagnóstica. GPC-IMSS-509-11