Abdomen Agudo
Definición


Dolor súbito con duración menor a una semana (por lo general menos
de 48 horas) caracterizado por un conjunto de signos y
síntomas, generalmente alarmantes, provocado por enfermedades de
etiología diversa.
Fisiopatología del dolor abdominal
Dolor visceral

Dolor somático o parietal

Dolor referido
Dolor Visceral


Origen: vísceras y peritoneo visceral

Sistema
simpático

Ganglio
raquídeo

Asta posterior



Dolor de carácter sordo y localización poco precisa



Sintomatología vagal *

Tálamo
Dolor somático o
parietal



Origen: Pared abdominal y peritoneo parietal

Nervios
periféricos



Dermatomas

Dolor agudo, intenso y bien localizado

Hasta
posterior
Dolor Referido


Se percibe en regiones anatómicas diferentes a la zona de estimulación



Zona de estimulación comparte el segmento neuronal sensorial con el área
dolorosa

El dolor puede ser:
• Constante
• Intermitente
• Cólico
Estímulos desencadenantes
Inflamatorias

Mecánicos

-Liberación de sustancias en
Tracción, distensión, estiramie
nto.

los procesos inflamatorios
-Físicos o infecciosos

(histamina, prostaglandinas,
toxinas)

Isquémico
-Cese de irrigación
-Embolia, torsión, trombosis
Características del dolor

Caracteristicas
del dolor
Inicio subito

Rápidamente
progresivo y
bien delimitado
en min a hras

Sospecha
diagnostica
Rotura de anerisma,
perforación intestinal
embarazo ectópico roto,
isqemia mesenterica,
ruptura de quiste de
ovario

Colecistitis Aguda,
pancreatitis vólvulo, hernia
estrangulada, cólico
renoureteral
Inicio gradual en hras,
leve difuso. Progresa
a ser localizado y
constante

Dolor
intermitente
(cólico) y mal
localizado

Inflamación
peritoneal,
apendicitis,
diverticulitis, EPI,
obstrucción intestinal

Obstrucción intestinal
(espasmos dolor
ascendente intenso y
tolerable
Dolor constante

Inflamación peritoneal,
isquemia,
estrangulamiento
• Cardiacas: angina,
infarto de miocardio y
pericarditis
• Gástricas: esofagitis,
gastritis y úlcera
péptica
• Páncreas: tumores y
pancreatitis
• Vasculares: disección
aórtica e isquemia
mesentérica

Epigastrio

Cuadrante superior Izquierdo

Cuadrante superior derecho

• Biliares: Colecistitis,
colangitis,
coledocolitiasis
• Hepáticas: Absceso
hepático, hepatitis y
tumores
• Pulmonares:
Neumonía, neumotórax
• Cútaneas : H.zozter
• Renales: pielonefritis,
nefrolitiasis
• Colón: colitis y
diverticulitis

• Biliares: colecistitis,
coledocolitiasis y
colangitis
• Cardiacas: IAM y
pericarditis
• Pancreáticas: tumores
y pancreatitis
• Digestivas: esofagitis,
gastritis, úlcera
péptica, duodenitis
• Vasculares: disección
aórtica e isquemia
mesentérica
• Colon: apendicitis
temprana
• Gástricas:
esofagitis, úlcera
péptica tumor de
intestino delgado
u obstrucción
• Vasculares:
disección de la
aorta e isquemia
mesentérica

Suprapúbico

Periumbilical

Cuadrante inferior derecho

• Colon: apendicitis,
síndrome de
intestino irritable,
diverticulitis EII
• Ginecológicas:
embarazo
ectópico, torsión
ovárica, EPI,
tumores de ovario
• Renales:
nefrolitiasis,
pielonefritis

• Colon:
apendicitis, diverti
culitis, Ell, Síndro
me de intestino
irritable, EPI, tumo
res de ovario
• Renales: cistitis
nefrolitiasis, pielon
efritis
CAUSAS INTRAPERITONEALES
INFLAMATORIAS
• Peritoneal
• Úlcera péptica
perforada
• Pancreatitis
• Quiste ovárico roto
• Peritonitis bacteriana

• VISCERAS
HUECAS
• Apendicitis
• Colecistitis
• Gastroenteritis
• Gastritis
• EPI
• Diverticulitis
• colitis

• VISCERAS
SOLIDAS
• Pancreatitis
• Hepatitis
• Absceso
esplénico
• Linfadenitis
• Inflamación de
apendices
epiploicos
• EPI
• Endometritis
• MECANICAS
(obstrucción, diste
nsión aguda)

• Obstrucción
intestinal
• Adherencias, herni
as, neoplasias
• Intususcepción, ile
o biliar, cuerpos
extraños
• Parásitos
• Cálculos
• Esplenomegalia
• Quiste ovárico
• Embarazo ectópico

• ISQUEMIAS

• NEOPLASIAS

• Trombosis
mesentérica
• Infarto hepático,
esplénico
• Hernia
estrangulada

• Neoplasias
primarias
metastásicas
• MISCELANEAS
• Endometriosis
ENDOCRINAS

Cetoacidosis diabética
Hiperparatiroidismo
Insuficiencia suprarrenal
aguda
Hhipertiroidismo e
hipoparatiroidismo

MUSCULOESQUELETICAS

Hematoma muscular
Osteomielitis
Neurogénicas

Herpes zoster
Compresión nerviosa
Epilepsia/migraña abdominal

INFLAMATORIAS

Púrpura de HenochScholein
LES
Poliarteritis nodosa
Vasculitis
INFECCIOSAS

Bacteriana, parasitaria
Vírica (sarampión, paperas,
mononucleosis)

HEMATOLOGICAS

Crisis de células
falciformes
Leucemia Aguda
Estados hemolíticos
agudos
Coagulopatías
Anemia perniciosa
TOXINAS

Toxinas bacterianas
Insectos y animales
Metales
(plomo, arsénico, mercurio)
Hongos venenosos, drogas

PSICOGENAS

Ficticia, somatización
Síndrome de
Munchasen
VALORACION CLINICA
HISTORIA CLINICA
EXPLORACION

FISICA: INSPECCION, AUSCULTACION,PERCUSION, PALPACION




Adulto joven

Descartar:


Apendicitis
aguda, ulceras
perforadas y causas de
dolor abdominal médico
(no quirúrgico).



Mujer con obstrucción intestinal,
buscar hernias femorales



HISTORIA CLINICA

Patologias ligadas al sexo: Embarazo
ectopico, Endometriosis

Obesidad + edad madura, descartar
pancreatitis por colelitiasis y las
colecistitis



Anciano con dolor abdominal
agudo, descartar



Ulceras y/o neoplasias
perforadas,colecistitis complicada,
Ileo Biliar y/o colangitis,
diverticulitis,neoplasias,



Accidentes vasculares
mesentéricos



Aneurismas aórticos rotos
HISTORIA CLINICA


ATRIBUTOS DEL DOLOR
Características del dolor: localización,
cualidad, intensidad, inicio,
duración, factores que lo agravan y
lo atenúan



SINTOMAS ACOMPAÑANTES
GASTROINTESTINALES
Anorexia
Nauseas
Vomito
Diarrea
Estreñimiento

GENITOURINARIOS
Disuria
Urgencia
Hematuria
Incontinencia

GINECOLOGICOS
Menstruación
Enfermedades venéreas
Embarazos ectópicos
Abortos
Quistes, Fibromas
Enfermedad pélvica inflamatoria
ANTECEDENTES


Medicamentos
Antibioticos
AINES



Traumatismo recientes



Enfermedades crónicas



Cirugías previas



Intolerancia alimenticia: litiasis biliar
y pancreatitis
EXPLORACION FISICA
EXPLORACION FISICA


INSPECCION

Postura que adopta el paciente
Evaluar :


Pared abdominal anterior y
posterior



Flancos



Periné



Genitales
EXCAVADO
DELANTAL
GLOBOSO
BATRACIO

Tipo de
Abdomen:
Forma,
Superficie
y Simetría.

Características
del Vello
Pubiano

Características
del ombligo



Circulación
colateral

Características
de la piel

CARACTERISTICAS


AUSCULTACION

Presencia de ruidos hidroaéreos o
Borborigmos (5-30x’)
o

Presencia de ruidos intestinales: Íleo
Paralítico

o

Ausencia de ruidos intestinales: Íleo
Mecánico (por obstrucción intestinal)



SOPLOS



A nivel del Hígado : Un ruido de frote
por perihepatitis



A nivel del Bazo : un ruido de
frote por periesplenitis


PERCUSION



Permite delimitar órganos macizos,
tumoraciones, visceromegalias =
MATIDEZ



Vísceras llenas de aire= TIMPANISMO


PALPACION

Superficial: sensibilidad, resistencia,
tumoraciones.
Profunda : Necesaria para delimitar
Localización


Forma



Tamaño



Movilidad



Consistencia



Sensibilidad



pulsaciones
Signo

Descripción

Trastorno relacionado

Signo de Aarón

Dolor referido o sensación de dolor en epigastrio a la presión en el punto de
McBurney

Apendicitis aguda

Signo de Ballance

Matidez en ambos flancos; constante en el izquierdo y que cambia con la posición
sobre el lado derecho

Rotura esplénica

Signo de Blumberg

Dolor transitorio al rebote de la pared abdominal

Inflamación peritoneal

Signo de Carne

Desvanecimiento del dolor abdominal al contraer los músculos abdominales

Dolor abdominal de origen intrabdominal

Signo de Chandelier

Dolor abdominal y pélvico intenso a la manipulación del cuello uterino

Enfermedad inflamatoria pélvica

Signo de Claybrook

Transmisión de la respiración y latidos a través de la pared abdominal

Rotura intestinal

Signo de Cullen

Equimosis periumbilical

hemoperitoneo

signo de Danforth

Dolor en el hombro a la inspiración

hemoperitoneo

Signo de Fothergill

Masa abdominal que no cruza la línea media y persiste palpable con la contracción
muscular

Hematoma de los rectos

Signo de Grey Turner

Áreas locales descoloridas alrededor del ombligo y flancos

Pancreatitis hemorrágica

Signo de iliopsoas

Elevación y extensión de la pierna contra la presión del examinador, causa dolor

Apendicitis aguda

Signo de Kehr

Dolor en hombro izquierdo en supino y a la presionen región subcostal izquierda

hemoperitoneo

Signo de Murphy

Dolor a la palpación del cuadrante superior derecho durante la inspiración profunda

Colecistitis aguda

Signo de del obturador

Dolor hipogástrico a la flexión del musculo derecho hacia el tronco y rotación externa
en posición supina

Apendicitis, absceso pélvico

Signo de Ransohoff

Pigmentación amarilla periumbilical

Rotura de colédoco

Signo de Rovsing

Dolor referido al punto de McBurney a la presion en el colon descendente

Apendicitis aguda
ESTUDIOS COMPLEMENTARIOS
1.

Examen rectal para identificar masas, cuerpos extraños, hemorroides, sangre
oculta.

2.

Examen pélvico: en busca de adenopatías, masas, edema.

3.

Examen genital en mujeres: búsqueda de masas, sangrado o descarga
vaginal. Dolor a la movilización del cuello uterino, útero o anexos
Causas mas frecuentes de
dolor abdominales

Signos y síntomas

Laboratorios

Tratamiento quirúrgico

Apendicitis

•Dolor abdominal, en el
mesogastrio o epigastrio,
fosa iliaca derecha.

•Leucocitosis (entre 10 000 y
16 000 por mm3)

Si

•anorexia,
diarrea.

useas,

mito,

• En el cuadrante inferior
derecho se presentan
hiperestesia e
hiperbaralgesia.
•Dolor intenso bien definido
en el punto de McBurney,
rigidez muscular y dolor a la
descompresión

•El examen general de orina
es normal excepto en el
ndice retrocecal, que
involucra al
ter o a la
vejiga; esto puede hacer
pensar al nico en una
n de as urinarias.

•Las placas simples de
muestran una o dos asas
distendidas por gas,
ubicadas en el cuadrante
inferior derecho del
abdomen, puede apreciarse
el fecalito
Causa mas frecuente de
dolor

Signos y síntomas

Diagnostico

Tratamiento quirúrgico

Colecistitis

•La manifestación principal
es dolor abdominal en el
epigastrio o hipocondrio
derecho

•Con frecuencia, basta una
radiografía ordinaria del
abdomen para descubrir
los cálculos, sobre todo si
son ricos en calcio.

si

•náuseas, vómitos, fiebre
•ultrasonografia

•colecistografía
Causa mas frecuente de
dolor
Obstrucción intestinal

Signos y síntomas

Diagnostico

Tratamiento quirúrgico

• Radiografía suelen
descubrirse cantidades
anormalmente grandes de
gas en
intestino ,asas distendidas.

si
Causa mas frecuente de
dolor

Signos y síntomas

Diagnostico

Tratamiento quirúrgico

Enfermedad ginecológica
aguda
(embarazo ectópico)

•El dolor es el síntoma mas
constante, sensación de
peso o una punzada,
generalmente unilateral
(después se hace rebelde
a los analgésicos
habituales), se irradia a
región lumbar
•epigastrio, hipocondrio
derecho

•Dosificación de la fracción
beta de la gonadotropina
crónica, además pruebas
inmunológicas de
embarazo.

si

•Existe goteo intermitente
de sangre oscura,
maloliente. Se acompaña
de vértigos, zumbidos de
oídos, náuseas.

•Estudios ecográficos ya
sea vía abdominal o
transvaginal, demuestra
que el embarazo no está
en el interior del útero.
Causa mas frecuente de
dolor

Signos y síntomas

Diagnostico

Tratamiento quirúrgico

Pancreatitis

•Dolor intenso después
de una comida copiosa
•Dolor es en epigastrio
“cortante” o “perforante”
hacia la espalda y se
alivia al reclinarse hacia
delante.
•Nausea, vomito,
taquicardia, taquipnea,
hipotensión, hipertermia,
no existen ruidos
intestinales o están
disminuidos.
*hemorragia al
retroperitoneo (signo de
Cullen o signo de Grey
Turner)

•Hipoglucemia mayor a
200 mg/100ml

no

•Hipoalbuminemia e
hipocalcemia menor a
8mg/100ml.
•Amilasa y lipasa se
encontraran elevadas.

•tomografía
Diagnostico
ESTUDIOS PARACLINICOS
Biometría hemática


La principal indicación del recuento y fórmula leucocitaria es la
diferenciación entre apendicitis aguda y dolor abdominal inespecífico.

Leucocitosis : > apendicitis < colecistitis y 50% obstrucción, gastroenteritis en un
43% y dolor abdominal inespecífico en un 31%.
Como valor útil se toma 13.000 leucocitos/mm3; > apendicitis se encuentre
complicada



La valoración del hematocrito.

Caída del hematocrito nunca hemos de olvidar al aneurisma disecante de aorta
como posible responsable del cuadro clínico.
Química sanguínea


Urea y creatinina informan acerca de la función renal, que puede alterarse por
la deshidratación.

Hemorragia gastrointestinal (elevadas)
Enfermedades hepáticas (disminuidas)


Glucosa es útil ya que la cetoacidosis diabética es una de las principales
causas de abdomen agudo extraabdominal.



La hiperamilasemia a medida que el valor aumenta es más probable que se
trate de patología pancreática, valores mayores de 2.000 UI/L

(500-2000 UI/L): Ulcera péptica perforada, obstrucción del intestino delgado,
trombosis mesentérica, peritonitis, hepatitis viral, embarazo ectópico, anemia
intensa, toma de opiáceos, inflamación de glándulas salivares.
Examen general de orina


Es necesario que la muestra sea tomada correctamente, obteniendo la muestra
del chorro medio.

Estado hidroelectrolítico
Capacidad renal de concentración urinaria.



Debemos buscar la presencia de sangre, proteínas, bilirrubina, bacterias.


Electrocardiograma: El dolor abdominal puede ser la manifestación de una
enfermedad coronaria y a su vez el dolor torácico manifestación de una
patología abdominal.
ESTUDIOS PARACLINICOS
presencia del
líquido
intraabdominal


Radiografía simple de abdomen

niveles
hidroaéreos

abdomen agudo

distensión de
asas intestinales
datos de
irritación
peritoneal (íleon)

Delimitar siempre la sombra de los órganos
descritos y además los músculos psoas, el
contorno de la vejiga, la columna vertebral y la
pelvis.

Presencia de
abscesos

•TRES
PROYECCIONES
Decúbito supino.
Bipedestación.
Decúbitos laterales.
•IMÁGENES:
1. Ileo (distensión de
asas, niveles H-A).
2. Neumoperitoneo.
3. Calcificaciones (litiasis
biliar, renal, pancreática).


Radiografía de tórax: Puede llegar a ser muy útil pues un 8% de pacientes
con abdomen agudo tienen asociadas causas o condiciones de origen torácico
y hasta en un 30% las radiografías de tórax son anormales.


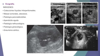
Ecografía.

IMÁGENES:
• Colecciones líquidas intraperitoneales.
• Masas tumorales, abscesos.

• Patología pancreáticobiliar.
• Apendicitis aguda
• Patología nefrourológica.
• Patología ginecológica.

• Aneurisma aórtico.


TAC para pacientes con dolor de abdomen con origen desconocido

INDICACIONES:

• Colecciones, abscesos, tumores.
• Estudio del retroperitoneo.
• Dudas diagnósticas con otros métodos
Abordaje terapéutico
ABORDAJE TERAPÉUTICO

Insiciones quirúrgicas de la pared abdominal anterior

1.
2.
3.
4.
5.
6.
7.

Supra umbilical
Pararectal superior derecha e izquierda
Supcostal
Infra umbilical
Pararectal inferior derecha e izquierda
Mac Burney
Pfannerstiel
ABORDAJE TERAPÉUTICO


Laparotomía inmediata

Aneurisma aórtico abdominal roto
Aneurisma vesical
Embarazo ectópico roto
Rotura esplénica o hepática espontanea


Laparotomía urgente

Se practica dentro de las primeras 24 hrs en urgencias

Estos casos se descubren durante la exploración y se corroboran con estudios

CLINICA

TERMINOS RADIOLOGICOS

Abdomen en madera
Dolor intenso localizado
Incremento progresivo de la gravedad
Distencion abdominal
Choque hipovolemico
Isquemia o deterioro ante manejo
conservador

Apendicitis aguda
Hernia estrangulada
Distensión o engrosamiento intestinal
Extravasación de medio de contraste
Oclusión mesentérica
Lesión sangrante
Perforación de víscera hueca


A 57 year-old woman presents to the emergency department
complaining of 24 hours of severe, steady epigastric abdominal pain,
radiating to her back, with several episodes of nausea and vomiting.

She has experienced similar painful episodes in the past, usually in
the evening following heavy meals, but the episodes always resolved
spontaneously within an hour or two. This time the pain did not
improve, so she sought medical attention. She has no medical history
and takes medications


She is married, has three children, ando does not drink alcohol or
smoke cigarette
On examination…


She is afebrile, tachycardic with a heart rate of 104 bmp, blood pressure 115/74
mmHg, and shallow respirations of 22 breaths per minute. She is moving
uncomfortably on the stretcher, her skin is warm and diaphoretic, and she has
scleral icterus. Her abdomen is soft, mildly distended with marked rigth upper
quadrant and epigastric tenderness to palpation, hypoactive bowel sounds, and

no masses or organomegaly appreciated.


Laboratory studies are significant for a total bilirubin (9.2 g/dL) with a direct
fraction of 4.8 g/dL, alkaline phosphatase 285 IU/L, aspartate aminotransferase

(AST) 78 IU/L, alanine aminotransferase (ALT) 92 IU/L and elevated amylase
level 1249 IU/L. Her leukocyte count is 16,500/mm
a) Acute pancreatitis

b) Acute cholecystitis

c) Biliary colic

d) Ascending cholangitis
a) Choledocholitiasis
b) Infection

c) Alcohol

d) Trauma
a) CT Abdomen

b) Abdominal ultrasonography

c) MRI

Abdomen Agudo

  • 1.
  • 2.
    Definición  Dolor súbito conduración menor a una semana (por lo general menos de 48 horas) caracterizado por un conjunto de signos y síntomas, generalmente alarmantes, provocado por enfermedades de etiología diversa.
  • 3.
    Fisiopatología del dolorabdominal Dolor visceral Dolor somático o parietal Dolor referido
  • 4.
    Dolor Visceral  Origen: víscerasy peritoneo visceral Sistema simpático Ganglio raquídeo Asta posterior  Dolor de carácter sordo y localización poco precisa  Sintomatología vagal * Tálamo
  • 5.
    Dolor somático o parietal  Origen:Pared abdominal y peritoneo parietal Nervios periféricos  Dermatomas Dolor agudo, intenso y bien localizado Hasta posterior
  • 6.
    Dolor Referido  Se percibeen regiones anatómicas diferentes a la zona de estimulación  Zona de estimulación comparte el segmento neuronal sensorial con el área dolorosa El dolor puede ser: • Constante • Intermitente • Cólico
  • 7.
    Estímulos desencadenantes Inflamatorias Mecánicos -Liberación desustancias en Tracción, distensión, estiramie nto. los procesos inflamatorios -Físicos o infecciosos (histamina, prostaglandinas, toxinas) Isquémico -Cese de irrigación -Embolia, torsión, trombosis
  • 8.
    Características del dolor Caracteristicas deldolor Inicio subito Rápidamente progresivo y bien delimitado en min a hras Sospecha diagnostica Rotura de anerisma, perforación intestinal embarazo ectópico roto, isqemia mesenterica, ruptura de quiste de ovario Colecistitis Aguda, pancreatitis vólvulo, hernia estrangulada, cólico renoureteral
  • 9.
    Inicio gradual enhras, leve difuso. Progresa a ser localizado y constante Dolor intermitente (cólico) y mal localizado Inflamación peritoneal, apendicitis, diverticulitis, EPI, obstrucción intestinal Obstrucción intestinal (espasmos dolor ascendente intenso y tolerable
  • 10.
  • 11.
    • Cardiacas: angina, infartode miocardio y pericarditis • Gástricas: esofagitis, gastritis y úlcera péptica • Páncreas: tumores y pancreatitis • Vasculares: disección aórtica e isquemia mesentérica Epigastrio Cuadrante superior Izquierdo Cuadrante superior derecho • Biliares: Colecistitis, colangitis, coledocolitiasis • Hepáticas: Absceso hepático, hepatitis y tumores • Pulmonares: Neumonía, neumotórax • Cútaneas : H.zozter • Renales: pielonefritis, nefrolitiasis • Colón: colitis y diverticulitis • Biliares: colecistitis, coledocolitiasis y colangitis • Cardiacas: IAM y pericarditis • Pancreáticas: tumores y pancreatitis • Digestivas: esofagitis, gastritis, úlcera péptica, duodenitis • Vasculares: disección aórtica e isquemia mesentérica
  • 12.
    • Colon: apendicitis temprana •Gástricas: esofagitis, úlcera péptica tumor de intestino delgado u obstrucción • Vasculares: disección de la aorta e isquemia mesentérica Suprapúbico Periumbilical Cuadrante inferior derecho • Colon: apendicitis, síndrome de intestino irritable, diverticulitis EII • Ginecológicas: embarazo ectópico, torsión ovárica, EPI, tumores de ovario • Renales: nefrolitiasis, pielonefritis • Colon: apendicitis, diverti culitis, Ell, Síndro me de intestino irritable, EPI, tumo res de ovario • Renales: cistitis nefrolitiasis, pielon efritis
  • 13.
    CAUSAS INTRAPERITONEALES INFLAMATORIAS • Peritoneal •Úlcera péptica perforada • Pancreatitis • Quiste ovárico roto • Peritonitis bacteriana • VISCERAS HUECAS • Apendicitis • Colecistitis • Gastroenteritis • Gastritis • EPI • Diverticulitis • colitis • VISCERAS SOLIDAS • Pancreatitis • Hepatitis • Absceso esplénico • Linfadenitis • Inflamación de apendices epiploicos • EPI • Endometritis
  • 14.
    • MECANICAS (obstrucción, diste nsiónaguda) • Obstrucción intestinal • Adherencias, herni as, neoplasias • Intususcepción, ile o biliar, cuerpos extraños • Parásitos • Cálculos • Esplenomegalia • Quiste ovárico • Embarazo ectópico • ISQUEMIAS • NEOPLASIAS • Trombosis mesentérica • Infarto hepático, esplénico • Hernia estrangulada • Neoplasias primarias metastásicas • MISCELANEAS • Endometriosis
  • 15.
    ENDOCRINAS Cetoacidosis diabética Hiperparatiroidismo Insuficiencia suprarrenal aguda Hhipertiroidismoe hipoparatiroidismo MUSCULOESQUELETICAS Hematoma muscular Osteomielitis
  • 16.
    Neurogénicas Herpes zoster Compresión nerviosa Epilepsia/migrañaabdominal INFLAMATORIAS Púrpura de HenochScholein LES Poliarteritis nodosa Vasculitis
  • 17.
    INFECCIOSAS Bacteriana, parasitaria Vírica (sarampión,paperas, mononucleosis) HEMATOLOGICAS Crisis de células falciformes Leucemia Aguda Estados hemolíticos agudos Coagulopatías Anemia perniciosa
  • 18.
    TOXINAS Toxinas bacterianas Insectos yanimales Metales (plomo, arsénico, mercurio) Hongos venenosos, drogas PSICOGENAS Ficticia, somatización Síndrome de Munchasen
  • 19.
    VALORACION CLINICA HISTORIA CLINICA EXPLORACION FISICA:INSPECCION, AUSCULTACION,PERCUSION, PALPACION
  • 20.
      Adulto joven Descartar:  Apendicitis aguda, ulceras perforadasy causas de dolor abdominal médico (no quirúrgico).  Mujer con obstrucción intestinal, buscar hernias femorales  HISTORIA CLINICA Patologias ligadas al sexo: Embarazo ectopico, Endometriosis Obesidad + edad madura, descartar pancreatitis por colelitiasis y las colecistitis  Anciano con dolor abdominal agudo, descartar  Ulceras y/o neoplasias perforadas,colecistitis complicada, Ileo Biliar y/o colangitis, diverticulitis,neoplasias,  Accidentes vasculares mesentéricos  Aneurismas aórticos rotos
  • 21.
    HISTORIA CLINICA  ATRIBUTOS DELDOLOR Características del dolor: localización, cualidad, intensidad, inicio, duración, factores que lo agravan y lo atenúan  SINTOMAS ACOMPAÑANTES GASTROINTESTINALES Anorexia Nauseas Vomito Diarrea Estreñimiento GENITOURINARIOS Disuria Urgencia Hematuria Incontinencia GINECOLOGICOS Menstruación Enfermedades venéreas Embarazos ectópicos Abortos Quistes, Fibromas Enfermedad pélvica inflamatoria
  • 22.
  • 23.
  • 24.
    EXPLORACION FISICA  INSPECCION Postura queadopta el paciente Evaluar :  Pared abdominal anterior y posterior  Flancos  Periné  Genitales
  • 25.
    EXCAVADO DELANTAL GLOBOSO BATRACIO Tipo de Abdomen: Forma, Superficie y Simetría. Características delVello Pubiano Características del ombligo  Circulación colateral Características de la piel CARACTERISTICAS
  • 26.
     AUSCULTACION Presencia de ruidoshidroaéreos o Borborigmos (5-30x’) o Presencia de ruidos intestinales: Íleo Paralítico o Ausencia de ruidos intestinales: Íleo Mecánico (por obstrucción intestinal)  SOPLOS  A nivel del Hígado : Un ruido de frote por perihepatitis  A nivel del Bazo : un ruido de frote por periesplenitis
  • 27.
     PERCUSION  Permite delimitar órganosmacizos, tumoraciones, visceromegalias = MATIDEZ  Vísceras llenas de aire= TIMPANISMO
  • 28.
     PALPACION Superficial: sensibilidad, resistencia, tumoraciones. Profunda: Necesaria para delimitar Localización  Forma  Tamaño  Movilidad  Consistencia  Sensibilidad  pulsaciones
  • 29.
    Signo Descripción Trastorno relacionado Signo deAarón Dolor referido o sensación de dolor en epigastrio a la presión en el punto de McBurney Apendicitis aguda Signo de Ballance Matidez en ambos flancos; constante en el izquierdo y que cambia con la posición sobre el lado derecho Rotura esplénica Signo de Blumberg Dolor transitorio al rebote de la pared abdominal Inflamación peritoneal Signo de Carne Desvanecimiento del dolor abdominal al contraer los músculos abdominales Dolor abdominal de origen intrabdominal Signo de Chandelier Dolor abdominal y pélvico intenso a la manipulación del cuello uterino Enfermedad inflamatoria pélvica Signo de Claybrook Transmisión de la respiración y latidos a través de la pared abdominal Rotura intestinal Signo de Cullen Equimosis periumbilical hemoperitoneo signo de Danforth Dolor en el hombro a la inspiración hemoperitoneo Signo de Fothergill Masa abdominal que no cruza la línea media y persiste palpable con la contracción muscular Hematoma de los rectos Signo de Grey Turner Áreas locales descoloridas alrededor del ombligo y flancos Pancreatitis hemorrágica Signo de iliopsoas Elevación y extensión de la pierna contra la presión del examinador, causa dolor Apendicitis aguda Signo de Kehr Dolor en hombro izquierdo en supino y a la presionen región subcostal izquierda hemoperitoneo Signo de Murphy Dolor a la palpación del cuadrante superior derecho durante la inspiración profunda Colecistitis aguda Signo de del obturador Dolor hipogástrico a la flexión del musculo derecho hacia el tronco y rotación externa en posición supina Apendicitis, absceso pélvico Signo de Ransohoff Pigmentación amarilla periumbilical Rotura de colédoco Signo de Rovsing Dolor referido al punto de McBurney a la presion en el colon descendente Apendicitis aguda
  • 30.
    ESTUDIOS COMPLEMENTARIOS 1. Examen rectalpara identificar masas, cuerpos extraños, hemorroides, sangre oculta. 2. Examen pélvico: en busca de adenopatías, masas, edema. 3. Examen genital en mujeres: búsqueda de masas, sangrado o descarga vaginal. Dolor a la movilización del cuello uterino, útero o anexos
  • 31.
    Causas mas frecuentesde dolor abdominales Signos y síntomas Laboratorios Tratamiento quirúrgico Apendicitis •Dolor abdominal, en el mesogastrio o epigastrio, fosa iliaca derecha. •Leucocitosis (entre 10 000 y 16 000 por mm3) Si •anorexia, diarrea. useas, mito, • En el cuadrante inferior derecho se presentan hiperestesia e hiperbaralgesia. •Dolor intenso bien definido en el punto de McBurney, rigidez muscular y dolor a la descompresión •El examen general de orina es normal excepto en el ndice retrocecal, que involucra al ter o a la vejiga; esto puede hacer pensar al nico en una n de as urinarias. •Las placas simples de muestran una o dos asas distendidas por gas, ubicadas en el cuadrante inferior derecho del abdomen, puede apreciarse el fecalito
  • 32.
    Causa mas frecuentede dolor Signos y síntomas Diagnostico Tratamiento quirúrgico Colecistitis •La manifestación principal es dolor abdominal en el epigastrio o hipocondrio derecho •Con frecuencia, basta una radiografía ordinaria del abdomen para descubrir los cálculos, sobre todo si son ricos en calcio. si •náuseas, vómitos, fiebre •ultrasonografia •colecistografía
  • 33.
    Causa mas frecuentede dolor Obstrucción intestinal Signos y síntomas Diagnostico Tratamiento quirúrgico • Radiografía suelen descubrirse cantidades anormalmente grandes de gas en intestino ,asas distendidas. si
  • 34.
    Causa mas frecuentede dolor Signos y síntomas Diagnostico Tratamiento quirúrgico Enfermedad ginecológica aguda (embarazo ectópico) •El dolor es el síntoma mas constante, sensación de peso o una punzada, generalmente unilateral (después se hace rebelde a los analgésicos habituales), se irradia a región lumbar •epigastrio, hipocondrio derecho •Dosificación de la fracción beta de la gonadotropina crónica, además pruebas inmunológicas de embarazo. si •Existe goteo intermitente de sangre oscura, maloliente. Se acompaña de vértigos, zumbidos de oídos, náuseas. •Estudios ecográficos ya sea vía abdominal o transvaginal, demuestra que el embarazo no está en el interior del útero.
  • 35.
    Causa mas frecuentede dolor Signos y síntomas Diagnostico Tratamiento quirúrgico Pancreatitis •Dolor intenso después de una comida copiosa •Dolor es en epigastrio “cortante” o “perforante” hacia la espalda y se alivia al reclinarse hacia delante. •Nausea, vomito, taquicardia, taquipnea, hipotensión, hipertermia, no existen ruidos intestinales o están disminuidos. *hemorragia al retroperitoneo (signo de Cullen o signo de Grey Turner) •Hipoglucemia mayor a 200 mg/100ml no •Hipoalbuminemia e hipocalcemia menor a 8mg/100ml. •Amilasa y lipasa se encontraran elevadas. •tomografía
  • 36.
  • 37.
  • 38.
    Biometría hemática  La principalindicación del recuento y fórmula leucocitaria es la diferenciación entre apendicitis aguda y dolor abdominal inespecífico. Leucocitosis : > apendicitis < colecistitis y 50% obstrucción, gastroenteritis en un 43% y dolor abdominal inespecífico en un 31%. Como valor útil se toma 13.000 leucocitos/mm3; > apendicitis se encuentre complicada  La valoración del hematocrito. Caída del hematocrito nunca hemos de olvidar al aneurisma disecante de aorta como posible responsable del cuadro clínico.
  • 39.
    Química sanguínea  Urea ycreatinina informan acerca de la función renal, que puede alterarse por la deshidratación. Hemorragia gastrointestinal (elevadas) Enfermedades hepáticas (disminuidas)  Glucosa es útil ya que la cetoacidosis diabética es una de las principales causas de abdomen agudo extraabdominal.  La hiperamilasemia a medida que el valor aumenta es más probable que se trate de patología pancreática, valores mayores de 2.000 UI/L (500-2000 UI/L): Ulcera péptica perforada, obstrucción del intestino delgado, trombosis mesentérica, peritonitis, hepatitis viral, embarazo ectópico, anemia intensa, toma de opiáceos, inflamación de glándulas salivares.
  • 40.
    Examen general deorina  Es necesario que la muestra sea tomada correctamente, obteniendo la muestra del chorro medio. Estado hidroelectrolítico Capacidad renal de concentración urinaria.  Debemos buscar la presencia de sangre, proteínas, bilirrubina, bacterias.
  • 41.
     Electrocardiograma: El dolorabdominal puede ser la manifestación de una enfermedad coronaria y a su vez el dolor torácico manifestación de una patología abdominal.
  • 42.
    ESTUDIOS PARACLINICOS presencia del líquido intraabdominal  Radiografíasimple de abdomen niveles hidroaéreos abdomen agudo distensión de asas intestinales datos de irritación peritoneal (íleon) Delimitar siempre la sombra de los órganos descritos y además los músculos psoas, el contorno de la vejiga, la columna vertebral y la pelvis. Presencia de abscesos •TRES PROYECCIONES Decúbito supino. Bipedestación. Decúbitos laterales. •IMÁGENES: 1. Ileo (distensión de asas, niveles H-A). 2. Neumoperitoneo. 3. Calcificaciones (litiasis biliar, renal, pancreática).
  • 46.
     Radiografía de tórax:Puede llegar a ser muy útil pues un 8% de pacientes con abdomen agudo tienen asociadas causas o condiciones de origen torácico y hasta en un 30% las radiografías de tórax son anormales.
  • 47.
     Ecografía. IMÁGENES: • Colecciones líquidasintraperitoneales. • Masas tumorales, abscesos. • Patología pancreáticobiliar. • Apendicitis aguda • Patología nefrourológica. • Patología ginecológica. • Aneurisma aórtico.
  • 48.
     TAC para pacientescon dolor de abdomen con origen desconocido INDICACIONES: • Colecciones, abscesos, tumores. • Estudio del retroperitoneo. • Dudas diagnósticas con otros métodos
  • 49.
  • 50.
    ABORDAJE TERAPÉUTICO Insiciones quirúrgicasde la pared abdominal anterior 1. 2. 3. 4. 5. 6. 7. Supra umbilical Pararectal superior derecha e izquierda Supcostal Infra umbilical Pararectal inferior derecha e izquierda Mac Burney Pfannerstiel
  • 51.
    ABORDAJE TERAPÉUTICO  Laparotomía inmediata Aneurismaaórtico abdominal roto Aneurisma vesical Embarazo ectópico roto Rotura esplénica o hepática espontanea
  • 52.
     Laparotomía urgente Se practicadentro de las primeras 24 hrs en urgencias Estos casos se descubren durante la exploración y se corroboran con estudios CLINICA TERMINOS RADIOLOGICOS Abdomen en madera Dolor intenso localizado Incremento progresivo de la gravedad Distencion abdominal Choque hipovolemico Isquemia o deterioro ante manejo conservador Apendicitis aguda Hernia estrangulada Distensión o engrosamiento intestinal Extravasación de medio de contraste Oclusión mesentérica Lesión sangrante Perforación de víscera hueca
  • 54.
     A 57 year-oldwoman presents to the emergency department complaining of 24 hours of severe, steady epigastric abdominal pain, radiating to her back, with several episodes of nausea and vomiting. She has experienced similar painful episodes in the past, usually in the evening following heavy meals, but the episodes always resolved spontaneously within an hour or two. This time the pain did not improve, so she sought medical attention. She has no medical history and takes medications  She is married, has three children, ando does not drink alcohol or smoke cigarette
  • 55.
    On examination…  She isafebrile, tachycardic with a heart rate of 104 bmp, blood pressure 115/74 mmHg, and shallow respirations of 22 breaths per minute. She is moving uncomfortably on the stretcher, her skin is warm and diaphoretic, and she has scleral icterus. Her abdomen is soft, mildly distended with marked rigth upper quadrant and epigastric tenderness to palpation, hypoactive bowel sounds, and no masses or organomegaly appreciated.  Laboratory studies are significant for a total bilirubin (9.2 g/dL) with a direct fraction of 4.8 g/dL, alkaline phosphatase 285 IU/L, aspartate aminotransferase (AST) 78 IU/L, alanine aminotransferase (ALT) 92 IU/L and elevated amylase level 1249 IU/L. Her leukocyte count is 16,500/mm
  • 56.
    a) Acute pancreatitis b)Acute cholecystitis c) Biliary colic d) Ascending cholangitis
  • 57.
  • 58.
    a) CT Abdomen b)Abdominal ultrasonography c) MRI