Dr. KIRK VASQUEZ
Croup y Epiglotitis
 Se refiere a un grupo de enfermedades
caracterizadas por diferentes grados de estridor,
tos perruna y ronquera.
 La gran mayoría de los casos se puede clasificar
como una laringotraqueitis o croup espasmódico
Epidemiologia
 Afecta a menores de 6 años
 1.5 veces mas en niños que niñas
 Es una de las causas mas comunes de dificultad
respiratoria aguda en niños
 Causada por múltiples agentes infecciosos, el
principal virus parainfluenza, influenza virus,
VSR,adenovirus, rinovirus. Metapneumovirus,
coronavirus.
 En los casos de laringotraqueobronquitis y
laringotraqueoneumonitis las bacterias están más
implicadas: S, Aurerus, Pneumococo, S. pyogenes,
M. Catarralis, C. Diphtheriae.
Fisiopatología
 Generalmente hay eritema y edema de las
paredes laterales de la tráquea, justo por debajo
de las cuerdas vocales.
 En el croup espasmódico hay un edema no
inflamatorio de la región subglótica
Características clínicas
 La mayoria de los pacientes presenta cuadros
leves
 Menos del 1% son casos severos
 Mortalidad de alrededor 1: 30,000
 Sintomas tienden a ser mas intensos durante la
noche, de forma abrupta.
 Estridor, tos perruna, ronquera y distress
respiratoria sintomas más caracteristicos.
 Frecuente síntomas respiratorios inespecíficos en
las 12-48 horas previas
 La tos desaparece en 48 hrs
Diagnóstico diferencial
Causas de estridor
Diagnóstico
 Clínico
 Síntomas clásicos
 Fiebre leve
 No hay apariencia tóxica
 Los rx solo si se trata de un caso atípico
 Los laboratorios por lo general no están
indicados
Figure 22: Croup
Yedururi S et al. Radiographics 2008;28:e29-e29
©2008 by Radiological Society of North America
Tratamiento
 Aire humidificado
 Corticoesteroides
 Via oral o IM
 Nebulizados no confieren ventajas
 Dosis 0.6 mg/kg dosis unica
 Epinefrina
 Mejora el pronóstico en casos de moderado a
severo
 Dosis:
 Racémica 0.5 cc en 3 cc de SSN
 L-epinefrina 2.5-5cc/dois en 3cc SSN
Epiglotitis
 Enfermedad infecciosa bacteriana severa que
afecta la epiglotis y estructuras contiguas.
 Supraglotitis termino más adecuado
 Actualmente enfermedad rara
 Hay edema de la glotis que inicia en su porción
lingual, el edema aumenta rápidamente hacia los
pilares ariepigloticos, aritenoides, y por último
hacia la laringosupraepiglótica.
 La reducción del calibre de la vía aérea provoca
el estridor característico.
FIGURE 2. Intraoperative endoscopic examination of
the
upper airway in the patient showed marked
inflammation
and edema of the supraglottic structures.
FIGURE 3. Intraoperative endoscopic examination of the
upper airway in the patient showed normally appearing vocal
cords, demonstrating that in patients with supraglottitis, the
vocal cords and subglottic region is usually spared
Manifestaciones clínicas
 Inicio abrupto
 Fiebre
 Estridor
 Dificultad para deglutir
 Dolor de garganta
 Respiración muy trabajosa
 Retracciones severas
 Afonia, ronquera y tos raros
Laboratorios
 Se deben retrasar hasta asegurar la vía aérea
 Hematología
 Hemocultivos
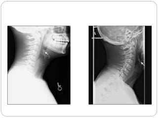
Rx
 Epiglotis edematizada
 Engrosamiento de los pilares aeriepigloticos
 Obliteración de la valécula
FIGURE 1. Lateral neck radiograph of the patient showed the
classic appearance of supraglottitis: (1) loss of cervical
lordosis,
(2) thick rounded epiglottis (‘‘thumb sign’’), (3) loss of the
vallecular air space, and (4) thickening of the aryepiglottic
folds.
Tratamiento
 Abc
 Garantizar la vía aérea
 No realizar procedimientos que causen mucho
dolor
 No causar ansiedad en en paciente
 Antibióticos
 Ceftiaxona 100 mg/kg día
 Cefotaxime 200 mg/kg día
 Esteroides no tienen beneficio
Croup y epiglotitis
Croup y epiglotitis
Croup y epiglotitis

Croup y epiglotitis

  • 1.
  • 2.
     Se refierea un grupo de enfermedades caracterizadas por diferentes grados de estridor, tos perruna y ronquera.  La gran mayoría de los casos se puede clasificar como una laringotraqueitis o croup espasmódico
  • 3.
    Epidemiologia  Afecta amenores de 6 años  1.5 veces mas en niños que niñas  Es una de las causas mas comunes de dificultad respiratoria aguda en niños  Causada por múltiples agentes infecciosos, el principal virus parainfluenza, influenza virus, VSR,adenovirus, rinovirus. Metapneumovirus, coronavirus.  En los casos de laringotraqueobronquitis y laringotraqueoneumonitis las bacterias están más implicadas: S, Aurerus, Pneumococo, S. pyogenes, M. Catarralis, C. Diphtheriae.
  • 4.
    Fisiopatología  Generalmente hayeritema y edema de las paredes laterales de la tráquea, justo por debajo de las cuerdas vocales.  En el croup espasmódico hay un edema no inflamatorio de la región subglótica
  • 5.
    Características clínicas  Lamayoria de los pacientes presenta cuadros leves  Menos del 1% son casos severos  Mortalidad de alrededor 1: 30,000  Sintomas tienden a ser mas intensos durante la noche, de forma abrupta.  Estridor, tos perruna, ronquera y distress respiratoria sintomas más caracteristicos.  Frecuente síntomas respiratorios inespecíficos en las 12-48 horas previas  La tos desaparece en 48 hrs
  • 6.
  • 7.
  • 8.
    Diagnóstico  Clínico  Síntomasclásicos  Fiebre leve  No hay apariencia tóxica  Los rx solo si se trata de un caso atípico  Los laboratorios por lo general no están indicados
  • 9.
    Figure 22: Croup YedururiS et al. Radiographics 2008;28:e29-e29 ©2008 by Radiological Society of North America
  • 11.
    Tratamiento  Aire humidificado Corticoesteroides  Via oral o IM  Nebulizados no confieren ventajas  Dosis 0.6 mg/kg dosis unica  Epinefrina  Mejora el pronóstico en casos de moderado a severo  Dosis:  Racémica 0.5 cc en 3 cc de SSN  L-epinefrina 2.5-5cc/dois en 3cc SSN
  • 18.
    Epiglotitis  Enfermedad infecciosabacteriana severa que afecta la epiglotis y estructuras contiguas.  Supraglotitis termino más adecuado  Actualmente enfermedad rara
  • 19.
     Hay edemade la glotis que inicia en su porción lingual, el edema aumenta rápidamente hacia los pilares ariepigloticos, aritenoides, y por último hacia la laringosupraepiglótica.  La reducción del calibre de la vía aérea provoca el estridor característico.
  • 20.
    FIGURE 2. Intraoperativeendoscopic examination of the upper airway in the patient showed marked inflammation and edema of the supraglottic structures.
  • 21.
    FIGURE 3. Intraoperativeendoscopic examination of the upper airway in the patient showed normally appearing vocal cords, demonstrating that in patients with supraglottitis, the vocal cords and subglottic region is usually spared
  • 22.
    Manifestaciones clínicas  Inicioabrupto  Fiebre  Estridor  Dificultad para deglutir  Dolor de garganta  Respiración muy trabajosa  Retracciones severas  Afonia, ronquera y tos raros
  • 24.
    Laboratorios  Se debenretrasar hasta asegurar la vía aérea  Hematología  Hemocultivos
  • 25.
    Rx  Epiglotis edematizada Engrosamiento de los pilares aeriepigloticos  Obliteración de la valécula
  • 26.
    FIGURE 1. Lateralneck radiograph of the patient showed the classic appearance of supraglottitis: (1) loss of cervical lordosis, (2) thick rounded epiglottis (‘‘thumb sign’’), (3) loss of the vallecular air space, and (4) thickening of the aryepiglottic folds.
  • 28.
    Tratamiento  Abc  Garantizarla vía aérea  No realizar procedimientos que causen mucho dolor  No causar ansiedad en en paciente  Antibióticos  Ceftiaxona 100 mg/kg día  Cefotaxime 200 mg/kg día  Esteroides no tienen beneficio

Notas del editor

  • #10 Figure 22:  Croup. (A) Lateral and (B) anteroposterior radiographs of the neck show symmetric narrowing of the subglottic airway and upper trachea.