UNIVERSIDAD CENTRAL DEL ECUADOR
INTEGRANTES:
LORENA ALMENDARIZ
ABBIER ARTEAGA
DOMENICA BAEZ
DERRAME PLEURAL
Es una acumulación patológica de liquido en la cavidad pleural
Se produce cuando se alteran las fuerzas homeostáticas que
controlan el flujo vascular y linfático que sale del espacio
pleural
http://www.slideshare.net/1645nelson/derrame-pleural-
LIQUIDO PLEURAL
La producción diaria normal de liquido pleural es de 0,1 a 0,2
ml/kg de peso corporal
Permanece menos 15 ml en el espacio pleural
Proteínas de 1 a 2gr / dl
PH 7,35 – 7,45
ESPACIO PLEURAL ES DE 0 A 20 MICRAS DE ESPESOR
http://www.slideshare.net/1645nelson/derrame-pleural-
CARACTERISTICAS DEL LIQUIDO
PLEURAL
Cantidad: .............................. 7-14 ml.
Proteínas: ............................. < 2gr./ml.
Células predominantes: ....... Linfocitos.
Ph. : ...................................... 7.35 – 7.45.
Glucosa: ............................... 70 – 105 ml.
FISIOPATOLOGIA
Aumento de la Producción
Aumento de la permeabilidad
Aumento de la Pr. Intravascular
Disminución de la Pr. del E.
Pleural
Disminución de la Pr. Oncótica
Aumento del Líquido Peritoneal
FISIOPATOLOGIA
Aumento de la permeabilidad
TB
Neoplasias
Neumonías
TEP
LES
Esclerodermia
http://www.slideshare.net/1645nelson/derrame-pleural-
14209615
FISIOPATOLOGIA
Aumento de la
Pr.
Intravascular
ICC
S. de vena
cava superior
http://www.slideshare.net/1645nelson/derrame-pleural-
14209615
FISIOPATOLOGIA
Disminución de la Pr. del
E. Pleural
Atelectasia
Colapso Pulmonar
FISIOPATOLOGIA
Disminución de la
Presión Oncótica
Hipoalbuminemia
Síndrome
Nefrótico
Cirrosis Hepática
http://www.slideshare.net/1645nelson/derrame-pleural-
FISIOPATOLOGIA
Aumento del
Líquido Peritoneal
Pancreatitis
Tumor de Meigs
Cirrosis
https://www.google.com.ec/search?q=tumor+de+Meigs&es_sm=93&sour
ce=lnms&tbm=isch&sa=
FISIOPATOLOGIA
Disminución de
la Absorción
Obstrucción
del Drenaje
Linfático
Elevación de la
Pr. Venosa
Sistémica
FISIOPATOLOGIA
Obstrucción del
Drenaje Linfático
Neoplasias
Fibrosis
Recepción
Ganglionar Amplia
https://www.google.com.ec/search?q=tumor+de+Meigs&es_sm=93&sour
ce=lnms&tbm=isch&sa=
CUADRO CLINICO
Disnea
Tos purulenta o seca
Dolor torácico en punta de costado
(izquierdo o derecho)
Hemoptisis
Fiebre
MATIDEZ A LA PERCUSIÓN
El ruido normal del pulmón a la percusión del
tórax es resonante
El ruido de un pulmón con presencia de derrame
pleural se los escucha MATE
http://www.slideshare.net/1645nelson/derrame-pleural-
14209615
CAUSAS DE DERRAME PLEURAL
TRASUDADO
Filtrados del plasma: aumento de la presión
hidrostática y disminución de la presión
oncotica
Aumento de la presión capilar
Patologías :
ICC
Cirrosis hepática
Síndrome nefrótico
Pericarditis obstructiva
CAUSAS DE DERRAME PLEURAL
EXUDADO
Liquido rico en proteínas resultado de la inflamación de
la pleura
Aumento de la permeabilidad capilar
Obstrucción del drenaje linfático
Patologías:
Infecciones bacterianas
Trauma (daño tisular)
Drogas
Hemotorax
http://www.slideshare.net/medicinecreed/derra
me-pleural
DIAGNOSTICO DIFERENCIAL
Cuando hay presencia de un derrame existe
un desplazamiento contralateral del
mediastino.
http://web.udl.es/usuaris/w4137451/webresp_vell/teoria/t
15/tema.htm
DIAGNOSTICO DIFERENCIAL
Atelectasia : existe un desplazamiento lateral o
contiguo de la estructuras anatómicas del
mediastino
http://web.udl.es/usuaris/w4137451/webresp_vell/teoria/t
15/tema.htm
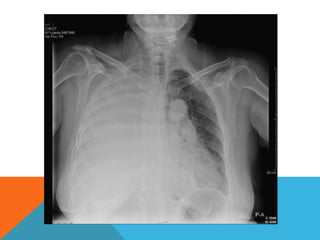
DERRAME PLEURAL MASIVO
Puede darse por:
Insuficiencia Cardiaca
Traumatismo
Metástasis
Nefrosis
Tuberculosis
Infarto pulmonar
Quilotorax
HIDRONEUMOTORAX
Puede darse por.
Introducción de aire por punción
Fistula Bronco pleural
Formación Bacteriana a nivel pleural
Rotura de lesiones periféricas
Traumatismos Abiertos
LOCULACIONES PLEURALES
Se dan en cámaras aisladas que se pueden
llenar de liquido
El liquido puede encapsularse en la cisura
menor
EMPIEMA PLEURAL
BIBLIOGRAFÍA
http://escuela.med.puc.cl/publ/AparatoRespiratorio/49Derra
mePleural.html
http://web.udl.es/usuaris/w4137451/webresp/info_compleme
ntaria/galeria/rxtorax.html
http://www.medicinacristiana.com/apps/photos/photo?photo
id=479773
Pedrosa C, Casanova R, Diagnostico por Imagen,
Compendio de Radiología Clínica, editorial Mc Graw-Hill

Derrame pleural