ENFERMEDADES DE LA PLEURA

  JUAN JAVIER MACIAS RODRIGUEZ
La pleura
• Es una membrana serosa que cubre el
  parenquima pulmonar, el mediastino, el
  diafragma y la reja costal
                 Pleura parietal     Pleura visceral
    Grosor       22um                55um
    Suplencia    Arteria frenica      Arteria pulmonar
    sanguinea    superior,
                 pericardiofrenicas y
                 pequenas ramas de
                 las intercostales
    Receptores   Si                  No
    sensitivos
Fisiologia
• El espacio pleural normalmente contiene entre 7 y
  14 cc de liquido, el cual es producido en los capilares
  sistemicos de la pleura parietal en una cantidad
  aproximada de 0.01cc/kg/h y se reabsorbe en los
  vasos linfaticos mediante los estomas de la pleura
  mediastinal e intercostal

• La capacidad de los estomas es de 0.30 a 0.40
  cc/kg/d
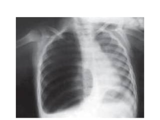
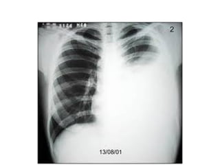
Derrame pleural
• Acumulacion anormal de liquido dentro del
  espacio pleural

• La causa mas frecuente es el aumento del
  liquido intersticial en el pulmon
AUMENTO DE LA
PRODUCCION
Aumento de la permeabilidad     Tuberculosis pleural
                                Neoplasias
Aumento de la presion           Insuficiencia cardiaca
intravascular
Disminucion de la presion del   Atelectasias
espacio pleural
Disminucion de la presion       Hipoalbuminemia
oncotica del plasma
Aumento de liquido en           Colecciones peritoneales
cavidad peritoneal
DISMINUCION DE LA
ABSORCION
Obstruccion del drenaje         Neoplasias
linfatico
Elevacion de presion venosa     Insuficiencia ventricular
sistemica                       derecha
Cuadro clinico
• Tos, Dolor pleuritico
• Disnea, Fiebre

HALLAZGOS EN EL EXAMEN FISICO
• Disminucion de la movilidad de la pared toracica
  en el lado comprometido, matidez a la percucion,
  reduccion de las vibraciones vocales a la
  palpacion y disminucion o ausencia de ruidos
  respiratorios a la auscultacion
Toracocentesis
• Es el procedimiento mediante el cual se extrae liquido de la
  cavidad pleural por medio de una aguja con fines diagnosticos
  o terapeuticos
• El liquido recolectado debe ser enviado con anticoagulante y
  procesado para citoquimico, incluyendo glucosa, proteinas,
  deshidrogenasa lactica, recuento celular diferencial, estudio
  de germenes, baciloscopia y cultivo para BK

 Complicaciones reflejo vasovagal, neumotorax, infeccion,
  hemotorax y la puncion de organos abdominales
Criterios de Light
                           TRASUDADO                EXUDADO
Proteinas liquido/serica   < 0.5                    > 0.5
DHL liquido                < 200                    > 200
DHL liquido/serica         < 0.6                    > 0.6




*Tambien se han utilizado el gradiente de albumina (> 1.2 g/dl trasudado) y
 La relacion de bilirrubinas para diferenciar los trasudados de los exudados
Caracteristicas macrospicas del liquido pleural
 Características                   Significado clínico
 Claro, amarillo pálido            Trasudado
 Claro, cetrino                    Exudado
 Rojizo o hemorrágico              Tumor, infarto pulmonar, trauma o Tb

 Turbio, amarillo                  Infección
 Turbio, verdoso                   Pleuritis reumatoidea
 Turbio, blanco lechoso            Quilotórax
 Amarillo espeso, tinte metálico   Pseudoquilotórax
 Pus (con o sin olor fétido)       Empiema
 Hemorrágico viscoso               Mesotelioma maligno
 Color pasta de anchoas            Absceso hepático amebiano drenado a
                                   tórax
Trasudados pleurales
Insuficiencia cardiaca      Enfermedad pericardica
Hipoalbuminemia             Embolismo pulmonar
Cirrosis                    Atelectasias
Sindrome nefrotico          Derrame postparto
Dialisis peritoneal         Urinotorax
Mixedema
Exudados pleurales
Neoplasicas                 Metastasicas, Mesotelioma
                            Linfoma
Enf. Gastrointestinal       Perforacion esofagica
                            Abceso intraabdominal
                            Pancreatitis
Infecciones                 Paraneumonicas, Tuberculosis
                            Actinomicosis, Nocardiosis
                            Virales, Amebiosis
Enf. Cardiovasculares       Embolismo pulmonar
                            Post-infarto
Enf. Colageno               Artritis reumatoidea
                            Lupus Eritematoso Sistemico
Enf. Urinarias              Obstruccion, Uremia
Asbestosis

Sarcoidosis
Metodos diagnosticos
RADIOLOGIA
DERRAME LIBRE
• Se produce una sombra de la misma densidad del corazon,
  que se localiza inicialmente en el angulo costofrenico
  posterior, tiene concavidad superior siendo mas alta en la
  region lateral que medial

• Para obliterar los angulos costofrenicos posterior y lateral se
  requieren 75 y 175 ml de liquido respectivamente
Radiologia
DERRAME SUBPULMONAR
• Con menor frecuencia la localizacion del derrame semeja
  una elevacion del hemidiafragma y su presencia puede ser
  demostrada con una rx en decubito lateral con rayo
  horizontal o con ecO

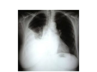
DERRAME MASIVO
• Desplazara al mediastino hacia el lado contrario, si esto no
  ocurre se debe sospechar en malignidad debido a
  obstruccion bronquial con atelectasia pulmonar, fijacion
  del mediastino como ocurre con la infiltracion tumoral de
  los ganglios linfaticos y atrapamiento del pulmon en el
  mesotelioma maligno
Radiologia
DERRAME INTRACISURAL
• Se denomina asi al liquido que se encuentra
  localizado entre las cisuras y toma una forma
  ovalada, dando la imagen de masa

DERRAME LOCULADO
• Se presenta cuando hay adherencias entre la pleura
  parietal y la visceral y se observa como una opacidad
  en la periferia del pulmon
Metodos diagnosticos
ECOGRAFIA
• Permite definir si una imagen es solida o liquida y es una
  excelente guia para dirigir la toracentesis, indicando el sitio y
  profundidad a la cual debe ser hecha

TOMOGRAFIA COMPUTARIZADA
• Tiene su indicacion mas precisa en la diferenciacion entre el
  empiema y el abceso pulmonar, pero tambien permite en
  caso de neoplasias establecer el grado de compromiso de las
  estructuras involucradas
Biopsia de pleura
• Procedimiento mediante el cual se obtienen fragmentos de la
  pleura parietal por medio de una aguja disenada para tal fin,
  como la de Cope o la de Abrams
• Se indica cuando existe un exudado de origen diferente al
  trauma, tromboembolismo o infeccion bacteriana

 Contraindicaciones ausencia de derrame, la anticoagulacion y
  la diatesis hemorragica
Toracoscopia
• Permite visualizar la pleura parietal, la superficie del pulmon,
  las estructuras del ilio y mediastino y tomar en forma dirigida
  biopsias de la pleura y del pulmon

• Indicado en presencia de un exudado, cuando el analisis del
  liquido y la biopsia pleural no permiten conocer el diagnostico
  etiologico del derrame
Tuberculosis pleural
• Generalmente se produce por la ruptura de un foco gaseoso
  subpleural en un paciente con una tuberculosis primaria, por
  lo que es poco frecuente la afeccion pulmonar concomitante

• La mayoria de los derrames tuberculosos se resuelven sin
  tratamiento, pero el 50% desarrollara una tuberculosis
  pulmonar posteriormente
Tuberculosis pleural
• El liquido pleural se caracteriza por un predominio de
  linfocitos y la glucosa puede o no estar disminuida, la
  baciloscopia del liquido es casi siempre negativa y el cultivo es
  positivo en solo un 30%
• La adenosina deaminasa (ADA) > 50 U/dl es altamente
  sensible y especifica para dx de pleuresia tuberculosa
• La biopsia presenta una pleuritis granulomatosa, no
  necesariamente con necrosis caseosa o presencia de bacilos
  acido alcohol resistentes
Derrame pleural maligno
• El liquido generalmente es hemorragico y con un predominio
  de linfocitos
• El dx se lo hace por el hallazgo de celulas tumorales en el
  liquido o en la biopsia
• Las causas mas comunes son cancer de pulmon, mama,
  estomago y ovario
• El drenaje del derrame solo se encuentra indicado cuando
  este produce sintomas importantes
Derrame pleural paraneumonico y
              empiema
• Los germenes mas frecuentemente encontrados son S.
  Pneumoniae, S. Aureus, H. Influenzae, bacterias Gram
  negativas y anaerobios

• La evolucion de un derrame paraneumonico tiene 3 fases de
  acuerdo a las caracteristicas del liquido: f. exudativa, f.
  fibrinopurulenta y f. de organizacion
Derrame pleural paraneumonico y
              empiema
• F. exudativa pH > 7.40, glucosa > 40mg, DHL < 100 U y pocos
  leucocitos
• F. fibrinopurulenta abundantes polimorfonucleares, bacterias,
  glucosa < 40mg y pH < 7.00

• F. de organización presenta gran proliferacion de fibroblastos
  produciendo una membrana fibrinosa que frecuentemente
  atrapa el pulmon y si el tratamiento no es oportuno, el
  empiema puede drenarse al pulmon produciendo una fistula
  broncopleural o puede drenarse a travez de la pared del torax
Tratamiento
• Cuando se encuentra en fase fibrinopurulenta la terapia debe
  incluir ademas de los antibioticos, la insercion de un tubo de
  drenaje el cual se retirara cuando se controle la infeccion,
  exista una expansion pulmonar adecuada y el drenaje sea
  inferior a 50ml/dia

• En la fase organizativa debera realizarse drenaje con tubo, si
  no es efectivo debido a la presencia de loculacion se puede
  insertar un nuevo tubo guiado por eco o tac, empiemectomia
  y decorticacion
Hemotorax
• Es la acumulacion de sangre en la cavidad pleural y se define
  como la presencia de un hematocrito en el liquido mayor del
  50% del hematocrito en sangre periferica
• La imagen rx es la del derrame pleural
• El tx debe ser el drenaje completo de la cavidad, el cual
  pudiera deter el sangrado por el contacto entre ambas
  pleuras
Hemotorax
• El tx inicial es la colocacion de un tubo para drenaje

• Cuando la perdida de sangre es mayor de 1.500ml, se
  encuentra indicada la toracotomia exploradora

• Cuando no se hace el drenaje oportuno, el hemotorax se
  puede coagular, originando sintomatologia que hace pensar
  en infeccion y cuyo tx es la toracotomia de limpieza
Quilotorax
• Presencia de quilo en el espacio pleural, el cual ocurre por
  lesion del conducto toracico
• El derrame es mas frecuentemente de origen traumatico pero
  puede ser secundario a invasion tumoral maligna
• El liquido pleural es de aspecto lechoso y con un alto
  contenido de trigliceridos, mas de 110mg/dl
• El tx consiste en el drenaje de la cavidad y una alimentacion
  pobre en grasas y suplementada con trigliceridos de cadena
  mediana
• Cuando el derrame persiste se puede proceder a la ligadura
  quirurgica del conducto toracico
Neumotorax
• Presencia de aire en la cavidad pleural, se clasifica en
  espontaneo, iatrogenico y traumatico

NEUMOTORAX ESPONTANEO
• Primario cuando ocurre en personas sanas y
  secundario cuando existe una enf. Pulmonar
  subyacente como el enfisema, tuberculosis
Neumotorax
NEUMOTORAX IATROGENICO
• Es una complicacion de procedimientos o intervenciones
  realizadas a nivel del cuello, torax y abdomen superior,
  tambien en paciente que requieren ventilacion mecanica

NEUMOTORAX TRAUMATICO
• Secundario a lesiones traumaticas abiertas o cerradas del
  torax
• La acumulacion de aire puede ocurrir por escape desde la via
  aerea o por entrada desde el exterior a traves de las lesiones
  de la pared toracica
Manifestaciones clinicas
• Dependen del grado de colapso pulmonar y de la
  reserva respiratoria del paciente
• Dolor, disnea, tos seca, cianosis

EXAMEN FISICO
• Gran volumen habra hiperresonancia, disminucion
  del fremito vocal y reduccion de los ruidos
  respiratorios del lado afecto
Neumotorax a tension
• Se presenta cuando la presion intrapleural es superior a la
  atmosferica durante la espiracion

• Este aumento de presion se transmite al mediastino
  ocacionando disminucion del retorno venoso y del gasto
  cardiaco manifestandose como una severa insuficiencia
  respiratoria acompañado de hipotension y diaforesis

• Rx desplazamiento de la traquea y mediastino
Diagnostico
• Se establece por la clinica sugestiva y la rx del torax
  que presenta una zona hiperlucida, sin trama
  pulmonar y limitado por la linea pleural en su borde
  interno

• La presencia de un hidroneumotorax en un paciente
  con trauma cerrado de torax debe hacer pensar en
  ruptura de esofago
Tratamiento
• Cuando hay sintomas debe ser drenado por toracostomia
  cerrada, si se presenta recurrencia debe practicarse
  pleurodesis
• En caso de fistula broncopleural se debe instalar una succion
  continua hasta que desaparezca y en caso de no hacerlo
  estara indicada la cirugia
• El tx del neumotorax a tension es el drenaje inmediato, el cual
  puede lograrse inicialmente por la insercion de una aguja
  gruesa a la cavidad pleural a travez del 2do espacio
  intercostal anterior, luego drenaje con tubo y pleurodesis
  para prevenir su recurrencia
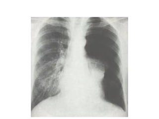
Fibrotorax
• Se denomina asi a la acumulacion de fibrina dentro del
  espacio pleural que se organiza en tejido fibroso

• Se produce, generalmente, como secuela de hemotorax,
  empiema o tuberculosis

• Esta fibrosis produce reduccion de los espacios intercostales,
  reduccion del tamaño del pulmon, ascenso del diafragma,
  desplazamiento del mediastino hacia el lado comprometido y
  sobredistension compensatoria del pulmon contralateral
Fibrotorax
• El sintoma mas importante es la disnea, puede existir
  tos, expectoracion e infeccion pulmonar
  sobreagregada, que favorece la aparicion de las
  bronquiectasias

• Aparte de la deformidad toracica se encuentra
  matidez, disminucion de los ruidos respiratorios y
  auscultacion de roncus
Fibrotorax
• En la rx se aprecia opacidad de la zona o lado comprometidos
  con retraccion de las costillas, escoliosis, desviacion del
  mediastino y ascenso del diafragma
• En ocaciones se observa calcificacion pleural
• Las pruebas de funcion pulmonar revelan un defecto
  restrictivo

 Tx decorticacion y si el pulmon atrapad se encuentra
  destruido pleuroneumonectomia
Tumores de la pleura
• Las neoplasias primarias de la pleura son los
  mesoteliomas

• Pueden ser benignos o maligos

• Su incidencia es baja
Mesotelioma localizado
• Tumor que se adhiere por un pediculo a la superficie de la
  pleura y tiene origen en las celulas mesoteliales o en el
  estroma
• Benigno frecuentemente asintomatico pero puede producir
  dolor y disnea

 La rx muestra imagen de masa rara vez acompanado de
  derrame pleural
 El dx se establece por puncion transtoracica o por el
  procedimiento quirurgico de reseccion el cual es curativo
Mesotelioma difuso
• Tumor maligno, frecuentemente relacionado con la
  exposicion al asbesto, el pulmon y organos vecinos son
  invadidos por contiguidad

• El derrame pleural es frecuente y sanguinolento, con
  predominio de linfocitos y alto contenido de acido hialuronico

 El tx de acuerdo al estadio
  del tumor puede incluir
  reseccion quirurgica, acom-
  panada de quimioterapia y
  radioterapia

Enfermedades de la pleura

  • 1.
    ENFERMEDADES DE LAPLEURA JUAN JAVIER MACIAS RODRIGUEZ
  • 2.
    La pleura • Esuna membrana serosa que cubre el parenquima pulmonar, el mediastino, el diafragma y la reja costal Pleura parietal Pleura visceral Grosor 22um 55um Suplencia Arteria frenica Arteria pulmonar sanguinea superior, pericardiofrenicas y pequenas ramas de las intercostales Receptores Si No sensitivos
  • 3.
    Fisiologia • El espaciopleural normalmente contiene entre 7 y 14 cc de liquido, el cual es producido en los capilares sistemicos de la pleura parietal en una cantidad aproximada de 0.01cc/kg/h y se reabsorbe en los vasos linfaticos mediante los estomas de la pleura mediastinal e intercostal • La capacidad de los estomas es de 0.30 a 0.40 cc/kg/d
  • 4.
    Derrame pleural • Acumulacionanormal de liquido dentro del espacio pleural • La causa mas frecuente es el aumento del liquido intersticial en el pulmon
  • 5.
    AUMENTO DE LA PRODUCCION Aumentode la permeabilidad Tuberculosis pleural Neoplasias Aumento de la presion Insuficiencia cardiaca intravascular Disminucion de la presion del Atelectasias espacio pleural Disminucion de la presion Hipoalbuminemia oncotica del plasma Aumento de liquido en Colecciones peritoneales cavidad peritoneal DISMINUCION DE LA ABSORCION Obstruccion del drenaje Neoplasias linfatico Elevacion de presion venosa Insuficiencia ventricular sistemica derecha
  • 6.
    Cuadro clinico • Tos,Dolor pleuritico • Disnea, Fiebre HALLAZGOS EN EL EXAMEN FISICO • Disminucion de la movilidad de la pared toracica en el lado comprometido, matidez a la percucion, reduccion de las vibraciones vocales a la palpacion y disminucion o ausencia de ruidos respiratorios a la auscultacion
  • 7.
    Toracocentesis • Es elprocedimiento mediante el cual se extrae liquido de la cavidad pleural por medio de una aguja con fines diagnosticos o terapeuticos • El liquido recolectado debe ser enviado con anticoagulante y procesado para citoquimico, incluyendo glucosa, proteinas, deshidrogenasa lactica, recuento celular diferencial, estudio de germenes, baciloscopia y cultivo para BK  Complicaciones reflejo vasovagal, neumotorax, infeccion, hemotorax y la puncion de organos abdominales
  • 8.
    Criterios de Light TRASUDADO EXUDADO Proteinas liquido/serica < 0.5 > 0.5 DHL liquido < 200 > 200 DHL liquido/serica < 0.6 > 0.6 *Tambien se han utilizado el gradiente de albumina (> 1.2 g/dl trasudado) y La relacion de bilirrubinas para diferenciar los trasudados de los exudados
  • 9.
    Caracteristicas macrospicas delliquido pleural Características Significado clínico Claro, amarillo pálido Trasudado Claro, cetrino Exudado Rojizo o hemorrágico Tumor, infarto pulmonar, trauma o Tb Turbio, amarillo Infección Turbio, verdoso Pleuritis reumatoidea Turbio, blanco lechoso Quilotórax Amarillo espeso, tinte metálico Pseudoquilotórax Pus (con o sin olor fétido) Empiema Hemorrágico viscoso Mesotelioma maligno Color pasta de anchoas Absceso hepático amebiano drenado a tórax
  • 10.
    Trasudados pleurales Insuficiencia cardiaca Enfermedad pericardica Hipoalbuminemia Embolismo pulmonar Cirrosis Atelectasias Sindrome nefrotico Derrame postparto Dialisis peritoneal Urinotorax Mixedema
  • 11.
    Exudados pleurales Neoplasicas Metastasicas, Mesotelioma Linfoma Enf. Gastrointestinal Perforacion esofagica Abceso intraabdominal Pancreatitis Infecciones Paraneumonicas, Tuberculosis Actinomicosis, Nocardiosis Virales, Amebiosis Enf. Cardiovasculares Embolismo pulmonar Post-infarto Enf. Colageno Artritis reumatoidea Lupus Eritematoso Sistemico Enf. Urinarias Obstruccion, Uremia Asbestosis Sarcoidosis
  • 12.
    Metodos diagnosticos RADIOLOGIA DERRAME LIBRE •Se produce una sombra de la misma densidad del corazon, que se localiza inicialmente en el angulo costofrenico posterior, tiene concavidad superior siendo mas alta en la region lateral que medial • Para obliterar los angulos costofrenicos posterior y lateral se requieren 75 y 175 ml de liquido respectivamente
  • 13.
    Radiologia DERRAME SUBPULMONAR • Conmenor frecuencia la localizacion del derrame semeja una elevacion del hemidiafragma y su presencia puede ser demostrada con una rx en decubito lateral con rayo horizontal o con ecO DERRAME MASIVO • Desplazara al mediastino hacia el lado contrario, si esto no ocurre se debe sospechar en malignidad debido a obstruccion bronquial con atelectasia pulmonar, fijacion del mediastino como ocurre con la infiltracion tumoral de los ganglios linfaticos y atrapamiento del pulmon en el mesotelioma maligno
  • 15.
    Radiologia DERRAME INTRACISURAL • Sedenomina asi al liquido que se encuentra localizado entre las cisuras y toma una forma ovalada, dando la imagen de masa DERRAME LOCULADO • Se presenta cuando hay adherencias entre la pleura parietal y la visceral y se observa como una opacidad en la periferia del pulmon
  • 18.
    Metodos diagnosticos ECOGRAFIA • Permitedefinir si una imagen es solida o liquida y es una excelente guia para dirigir la toracentesis, indicando el sitio y profundidad a la cual debe ser hecha TOMOGRAFIA COMPUTARIZADA • Tiene su indicacion mas precisa en la diferenciacion entre el empiema y el abceso pulmonar, pero tambien permite en caso de neoplasias establecer el grado de compromiso de las estructuras involucradas
  • 19.
    Biopsia de pleura •Procedimiento mediante el cual se obtienen fragmentos de la pleura parietal por medio de una aguja disenada para tal fin, como la de Cope o la de Abrams • Se indica cuando existe un exudado de origen diferente al trauma, tromboembolismo o infeccion bacteriana  Contraindicaciones ausencia de derrame, la anticoagulacion y la diatesis hemorragica
  • 20.
    Toracoscopia • Permite visualizarla pleura parietal, la superficie del pulmon, las estructuras del ilio y mediastino y tomar en forma dirigida biopsias de la pleura y del pulmon • Indicado en presencia de un exudado, cuando el analisis del liquido y la biopsia pleural no permiten conocer el diagnostico etiologico del derrame
  • 21.
    Tuberculosis pleural • Generalmentese produce por la ruptura de un foco gaseoso subpleural en un paciente con una tuberculosis primaria, por lo que es poco frecuente la afeccion pulmonar concomitante • La mayoria de los derrames tuberculosos se resuelven sin tratamiento, pero el 50% desarrollara una tuberculosis pulmonar posteriormente
  • 22.
    Tuberculosis pleural • Elliquido pleural se caracteriza por un predominio de linfocitos y la glucosa puede o no estar disminuida, la baciloscopia del liquido es casi siempre negativa y el cultivo es positivo en solo un 30% • La adenosina deaminasa (ADA) > 50 U/dl es altamente sensible y especifica para dx de pleuresia tuberculosa • La biopsia presenta una pleuritis granulomatosa, no necesariamente con necrosis caseosa o presencia de bacilos acido alcohol resistentes
  • 23.
    Derrame pleural maligno •El liquido generalmente es hemorragico y con un predominio de linfocitos • El dx se lo hace por el hallazgo de celulas tumorales en el liquido o en la biopsia • Las causas mas comunes son cancer de pulmon, mama, estomago y ovario • El drenaje del derrame solo se encuentra indicado cuando este produce sintomas importantes
  • 24.
    Derrame pleural paraneumonicoy empiema • Los germenes mas frecuentemente encontrados son S. Pneumoniae, S. Aureus, H. Influenzae, bacterias Gram negativas y anaerobios • La evolucion de un derrame paraneumonico tiene 3 fases de acuerdo a las caracteristicas del liquido: f. exudativa, f. fibrinopurulenta y f. de organizacion
  • 25.
    Derrame pleural paraneumonicoy empiema • F. exudativa pH > 7.40, glucosa > 40mg, DHL < 100 U y pocos leucocitos • F. fibrinopurulenta abundantes polimorfonucleares, bacterias, glucosa < 40mg y pH < 7.00 • F. de organización presenta gran proliferacion de fibroblastos produciendo una membrana fibrinosa que frecuentemente atrapa el pulmon y si el tratamiento no es oportuno, el empiema puede drenarse al pulmon produciendo una fistula broncopleural o puede drenarse a travez de la pared del torax
  • 26.
    Tratamiento • Cuando seencuentra en fase fibrinopurulenta la terapia debe incluir ademas de los antibioticos, la insercion de un tubo de drenaje el cual se retirara cuando se controle la infeccion, exista una expansion pulmonar adecuada y el drenaje sea inferior a 50ml/dia • En la fase organizativa debera realizarse drenaje con tubo, si no es efectivo debido a la presencia de loculacion se puede insertar un nuevo tubo guiado por eco o tac, empiemectomia y decorticacion
  • 27.
    Hemotorax • Es laacumulacion de sangre en la cavidad pleural y se define como la presencia de un hematocrito en el liquido mayor del 50% del hematocrito en sangre periferica • La imagen rx es la del derrame pleural • El tx debe ser el drenaje completo de la cavidad, el cual pudiera deter el sangrado por el contacto entre ambas pleuras
  • 28.
    Hemotorax • El txinicial es la colocacion de un tubo para drenaje • Cuando la perdida de sangre es mayor de 1.500ml, se encuentra indicada la toracotomia exploradora • Cuando no se hace el drenaje oportuno, el hemotorax se puede coagular, originando sintomatologia que hace pensar en infeccion y cuyo tx es la toracotomia de limpieza
  • 30.
    Quilotorax • Presencia dequilo en el espacio pleural, el cual ocurre por lesion del conducto toracico • El derrame es mas frecuentemente de origen traumatico pero puede ser secundario a invasion tumoral maligna • El liquido pleural es de aspecto lechoso y con un alto contenido de trigliceridos, mas de 110mg/dl • El tx consiste en el drenaje de la cavidad y una alimentacion pobre en grasas y suplementada con trigliceridos de cadena mediana • Cuando el derrame persiste se puede proceder a la ligadura quirurgica del conducto toracico
  • 31.
    Neumotorax • Presencia deaire en la cavidad pleural, se clasifica en espontaneo, iatrogenico y traumatico NEUMOTORAX ESPONTANEO • Primario cuando ocurre en personas sanas y secundario cuando existe una enf. Pulmonar subyacente como el enfisema, tuberculosis
  • 32.
    Neumotorax NEUMOTORAX IATROGENICO • Esuna complicacion de procedimientos o intervenciones realizadas a nivel del cuello, torax y abdomen superior, tambien en paciente que requieren ventilacion mecanica NEUMOTORAX TRAUMATICO • Secundario a lesiones traumaticas abiertas o cerradas del torax • La acumulacion de aire puede ocurrir por escape desde la via aerea o por entrada desde el exterior a traves de las lesiones de la pared toracica
  • 33.
    Manifestaciones clinicas • Dependendel grado de colapso pulmonar y de la reserva respiratoria del paciente • Dolor, disnea, tos seca, cianosis EXAMEN FISICO • Gran volumen habra hiperresonancia, disminucion del fremito vocal y reduccion de los ruidos respiratorios del lado afecto
  • 34.
    Neumotorax a tension •Se presenta cuando la presion intrapleural es superior a la atmosferica durante la espiracion • Este aumento de presion se transmite al mediastino ocacionando disminucion del retorno venoso y del gasto cardiaco manifestandose como una severa insuficiencia respiratoria acompañado de hipotension y diaforesis • Rx desplazamiento de la traquea y mediastino
  • 35.
    Diagnostico • Se establecepor la clinica sugestiva y la rx del torax que presenta una zona hiperlucida, sin trama pulmonar y limitado por la linea pleural en su borde interno • La presencia de un hidroneumotorax en un paciente con trauma cerrado de torax debe hacer pensar en ruptura de esofago
  • 38.
    Tratamiento • Cuando haysintomas debe ser drenado por toracostomia cerrada, si se presenta recurrencia debe practicarse pleurodesis • En caso de fistula broncopleural se debe instalar una succion continua hasta que desaparezca y en caso de no hacerlo estara indicada la cirugia • El tx del neumotorax a tension es el drenaje inmediato, el cual puede lograrse inicialmente por la insercion de una aguja gruesa a la cavidad pleural a travez del 2do espacio intercostal anterior, luego drenaje con tubo y pleurodesis para prevenir su recurrencia
  • 39.
    Fibrotorax • Se denominaasi a la acumulacion de fibrina dentro del espacio pleural que se organiza en tejido fibroso • Se produce, generalmente, como secuela de hemotorax, empiema o tuberculosis • Esta fibrosis produce reduccion de los espacios intercostales, reduccion del tamaño del pulmon, ascenso del diafragma, desplazamiento del mediastino hacia el lado comprometido y sobredistension compensatoria del pulmon contralateral
  • 40.
    Fibrotorax • El sintomamas importante es la disnea, puede existir tos, expectoracion e infeccion pulmonar sobreagregada, que favorece la aparicion de las bronquiectasias • Aparte de la deformidad toracica se encuentra matidez, disminucion de los ruidos respiratorios y auscultacion de roncus
  • 41.
    Fibrotorax • En larx se aprecia opacidad de la zona o lado comprometidos con retraccion de las costillas, escoliosis, desviacion del mediastino y ascenso del diafragma • En ocaciones se observa calcificacion pleural • Las pruebas de funcion pulmonar revelan un defecto restrictivo  Tx decorticacion y si el pulmon atrapad se encuentra destruido pleuroneumonectomia
  • 43.
    Tumores de lapleura • Las neoplasias primarias de la pleura son los mesoteliomas • Pueden ser benignos o maligos • Su incidencia es baja
  • 44.
    Mesotelioma localizado • Tumorque se adhiere por un pediculo a la superficie de la pleura y tiene origen en las celulas mesoteliales o en el estroma • Benigno frecuentemente asintomatico pero puede producir dolor y disnea  La rx muestra imagen de masa rara vez acompanado de derrame pleural  El dx se establece por puncion transtoracica o por el procedimiento quirurgico de reseccion el cual es curativo
  • 45.
    Mesotelioma difuso • Tumormaligno, frecuentemente relacionado con la exposicion al asbesto, el pulmon y organos vecinos son invadidos por contiguidad • El derrame pleural es frecuente y sanguinolento, con predominio de linfocitos y alto contenido de acido hialuronico  El tx de acuerdo al estadio del tumor puede incluir reseccion quirurgica, acom- panada de quimioterapia y radioterapia

Notas del editor

  • #22 Causa de derrame pleural mas frecuente en personas jovenes
  • #24 Causa mas frecuente de exudado en pacientes mayores de 60 anos Toracostomia cerrada y una pleurodesis quimica con tetraciclina o cualquier otro agente esclerosante como tratamiento paliativo para impedir la reacumulacion de liquido
  • #25 Es el asociado con neumonia bacteriana o abceso pulmonar Inmunocomprometidos ademas de los comunes hongos y parasitos El proceso puede tomar 3 semanas aprox
  • #27 En la fase cronica los antibioticos no son indispensables a menos que exista un estado septico concomitante La decisión de drenar debe basarse en la necesidad de controlar la infeccion y no de drenar por completo la cavidad pleural
  • #28 Puede ser producido por trauma o ruptura de adherencias
  • #29 Cronicamente puede evolucionar a un fibrotorax
  • #31 El quilo es un fluido formado por linfa y lípidos emulsionados que se produce en el intestino delgado como producto de la digestión de alimentos ricos en grasas
  • #32 n.Espontaneo ocurre con mayor frecuencia despues de los 40 Estudios han demostrado presencia de pequenas bullas subpleurales en pacientes con neumotorax espontaneo primario generalmente ubicadas en los vertices