UNIVERSIDAD AUTONOMA DE GUERRERO
       FACULTAD DE MEDICINA

          NEUMOLOGIA

   DR. RODOLFO ZUÑIGA ANDRADE

   ENFERMEDADES DE LA PLEURA

 DAVID EDUARDO PRESTEGUI MUÑOZ

    JORGE RAMIREZ PIOQUINTO

     BLANCA FLOR RIOS GOMEZ

              502
FISIOLOGIA DE LA CAVIDAD
  PLEURAL
 El exceso de liquido es extraido mediante bombeo
 por lod vasos linfaticos que se abren directamente
 desde la cavidad pleural hacia :




      Superficies laterales de la pleura parietal
                    El mediastino
        La superficie superior del diafragma




Tratado de fisiologia medica . Arthur c. Guyton 11° ediccion cap.38. pag 483
ESPACIO PLEURAL =
                                                       ESPACIO VIRTUAL
                                                       < de 15 ml


                                                       Presion negativa en el
                                                       liquido pleural


                                                         Tendencia al colapso
                                                         normal de los pulmones
                                                         : -4mm Hg




Tratado de fisiologia medica . Arthur c. Guyton 11° ediccion cap.38. pag 483
http://www.medynet.com/usuarios/jraguilar/Manual%20de%20urgencias%20y%2
http://web.udl.es/usuaris/w4137451/webresp_vell/teoria/t15/tema.htm


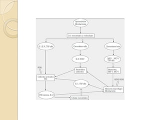
Fisiopatologia
Etiologias
   Trasudados
    ◦ Aumento de la presion hidrostatica
    ◦ Disminucion de la presion oncotica
                                    CRITERIOS DE LIGTH:
                            •Prot L.P./ Prot sericas = > 0.5

   Exudados                •LDH L.P./ Ldh sericas = >0.6

    ◦   Infecciones       •LDH L.P. = >200 UI/L
    ◦   Neoplasias            1 o mas hace dx de exudado
    ◦   Embolia de pulmon
    ◦   Enf. Del tejido conectivo
    ◦   Enf. intraabdominal

                     Semiologia medica, Argente, pp 592 - 597
DERRAME TUBERCULOSO
BLANCA FLOR RIOS GOMEZ

502
Derrame
     secundario a                                   Derrame sin
     tuberculosis                               infección pulmonar
       pulmonar                                     demostrable
       conocida




•   La tuberculosis pleural es una de las formas más frecuentes de
    tuberculosis extrapulmonares.
•   Recuento de leucocitos con predominio linfocitario >50%, LDH ↑.
•   Glucosa normal o baja, pH< 7.30.
•   ADA(adenosindeaminasa) > 44 U/L.
•   Aislamiento de bacilo de Koch en cultivo de líquido o macerado de Bx
    pleural.
http://www.cenave.gob.mx/tuberculosis/5.1.1/MODCAPA/M%C3%B3dulos%20de%20Capacitaci%C3%B3n%20TAES/Tuberculosis%20Pulmonar%20y%20Extrapulmonar/derrame_pleural_tuberculo
Rodriguez-Panadero F. manejo del paciente con derrame pleural :245
http://bvs.sld.cu/revistas/cir/vol45_3_06/cir04306.html

                                                                                         Fotografía de las lesiones pleurales,
                                                                                         blanquecinas que corresponden a los
                                                                                         granulomas tuberculosos.
http://default.qa.adam.com/content.aspx?productId=39&pid=5&gid=000125&print=1




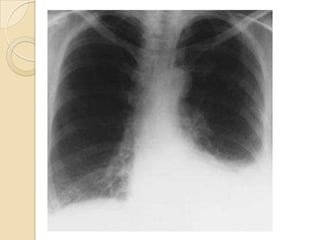
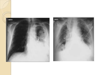
                                                                                Radiografía postero-anterior de tórax
                                                                                con derrame pleural izquierdo
     http://www.gefor.4t.com/rx/tuberculosis_derrame_pleural.ht
     ml




                                                                                http://www.mbeneumologia.org/mbe/bancoImagenes
                                                                                /imagenBig.aspx?id=5
http://www.mbeneumologia.org/mbe/bancoImagenes/im    RUIZ RODRIGUEZ, F.. Tuberculosis diseminada con derrame pleural. Rev. esp.
agenBig.aspx?id=126                                  sanid. penit. [online]. 2010, vol.12, n.3, pp. 99-99. ISSN 1575-0620
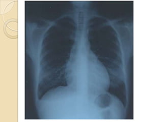
                                                    Flechas pequenas: zonas de concentracion de lesiones
Radiografía postero-anterior de tórax               micronodulares “en grano de mijo”. Flechas grandes: limites del
derrame pleural subpulmonar derecho.                derrame pleural.
Se aprecia elevación del hemidiafragma,
con lateralización de la cúpula
diafragmática y medialización del seno
costofrénico derecho.



                                                                               http://www.cpicmha.sld.cu/bvs/monografias/I
                                                                               magenesFrecTorax/tematicas/tb.htm

                                                                               Femenina. 75 años. APP: TB pulmonar,
                                                                               acude con fiebre de 38oC, tos y
                                                                               expectoración. RX de tórax PA. Aumento
                                                                               de la trama pulmonar con el aspecto de
                                                                               lesiones fibrosas. Imagen nodular de
                                                                               contornos irregulares y alta densidad
                                                                               radiográfica en el vértice
DERRAME PLEURAL EN LA
       NEUMONIA
           Son aquellos asociados a una
            neumonía bacteriana, absceso
            pulmonar o bronquiectasia




www.medynet.com/usuarios/jraguilar/Manual%20de%20urgencias%20y%20Emerg
encias/derrapleu
    Las indicaciones de tubo de toracostomía
     son:

    1- Presencia macroscópica de pus en el espacio pleural
    2- Microorganismos visibles en la tinción de Gram del líquido pleural
    3- Concentración de glucosa en el líquido pleural inferior a 50mg/dl
    4- pH del líquido pleural inferior a 7.




    www.medynet.com/usuarios/jraguilar/Manual%20de%20urgencias%20y%20Em
    ergencias/derrapleu
 Evolucion del derrame.
 1.- Estado exudativo
 2.- Estado fibropurulento
 3.- Estado de organización




www.medynet.com/usuarios/jraguilar/Manual%20de%20urgencias%20y%20Emerge
Clinica :

   INFECCIÓN POR BACTERIAS AEROBIAS :
    forma aguda con dolor torácico, esputo
    productivo y leucocitosis

 INFECCIÓN POR BACTERIAS
  ANAEROBIAS:
 forma subaguda, el 70% tienen síntomas de
  más de 7-10 días de evolución; tienen pérdida
  de peso, intensa leucocitosis, discreta anemia
www.medynet.com/usuarios/jraguilar/Manual%20de%20urgencias%20y%20Emer
 DX: Radiografia de torax
      Ecografia toracica
     Toracocentesis
 Tx: antibioticos
    Drenaje quirurgico
www.medynet.com/usuarios/jraguilar/Manual%20de%20urgencias%20y%20Emer
EMBOLIA PULMONAR
          El líquido pleural asociado a embolia
           pulmonar puede ser un exudado o un
           trasudado.
          TRASUDADO25%: Es consecuencia de
           un aumento de la presión arterial
           pulmonar elevada

            EXUDADO 75%: El líquido presente en
             el intersticio es de isquemia capilar o por
             isquemia de la pleura visceral

www.medynet.com/usuarios/jraguilar/Manual%20de%20urgencias%20y%20Em
CLINICA :
  Infiltrado parenquimatoso
 El derrame pleural es de pequeña
  cuantía
 TX: Prevenir la evolucion de un
  embolismo de pulmon
DERRAME PLEURAL
CAUSADO POR TUMORES
MALIGNOS
BLANCA FLOR RIOS GOMEZ

502
5% Secundarios a deterioro del
                                                                        drenaje linfático pleural de tumor
                                                                        mediastinico
     Primitivos
     -Carcinoma broncogenico
     a) Epidermoide o escamoso
     b) Adenocarcinoma
     c) Carcinoma neuroendocrino
     - Sarcomas
     - Carcinosarcoma
     -Neoplasias del sistema reticuloendotelial
     Metastasicas
     • Via hematogena
     • Via linfatica                                                       15% Cáncer de pulmón
     • Por contiguidad                                                     40% Carcinoma de mama
                                                                           6% Carcinoma de ovario
                                                                           7% Carcinoma de estomago
                                                                           20% Linfomas o leucemia



http://www.intramed.net/sitios/librovirtual1/pdf/librovirtual1_21.pdf
http://www.meb.uni-bonn.de/cancernet/spanish/103861.html
Fisiopatologia

    1. Metastasis pleurales con aumentos de la permeabilidad
       y obstruccion metastasica de los linfaticos pleurales
    2. Disminucion de la absorcion linfatica por compromiso de
       ganglios mediastinicos
    3. Obstruccion del conducto toracico (quilotorax)
    4. Obstruccion bronquial con atelectasia
    5. Hipoproteinemia




    •Tendencia a recidiva
    •Reaparición de la
    disnea
    •Expoliación proteica




http://escuela.med.puc.cl/publ/boletin/PatologiaPleural/DerramePleuralNeoplasico.ht
RADIOLOGIA




                                                                                      Masculino. 65 años. APP:
          56 años. APP: fumadora                  RX lateral del caso anterior.       neoplasia de recto. Nódulo de 3cm
          inveterada. A, A yPP de 30 lb de        Engrosamiento tumoral del hilio y   en región parahiliar izquierda.
          peso. VSG 78mm/h, Hb 8,4gr%.            opacidad parenquimatosa             Signos de enfisema pulmonar( EIC
          Engrosamiento hiliar derecho de         superior y posterior.               ensanchados, aumento del diámetro
          aspecto tumoral. Pequeña                                                    vertical del tórax). Lesiones fibrosas
          opacidad parenquimatosa por                                                 y algunas bullas asociadas. Aorta
          encima y por fuera. ID: neoplasia                                           ateromatosa, ligeramente elongada
          de pulmón a forma de                                                        y dilatada
          engrosamiento hiliar
http://www.cpicmha.sld.cu/bvs/monografias/ImagenesFrecTorax/tematicas/neoplasia
RX lateral derecha. La lesión         60años. APP: fumadora                      Fem. 54 años. APP: mastectomía
     ocupa el mediastino medio y           inveterada. MC: Dolor en el                derecha hace 2 años. MC: disnea:
     anterior. ID: neoplasia de            hombro izquierdo, expectoración            EF: MV ligeramente
     pulmón a forma mediastinal.           sanguinolenta. Masa tumoral en el          disminuido. RX tórax PA rotada. Alg
     DD: linfoma                           vértice izquierdo. Lisis del arco          unos nódulos metastásicos en ambos
                                           posterior de la 3ra y 4ta                  campos pulmonares. Llama la
                                           costillas. Tumor de Pancoast.              atención el contorno del mediastino
                                                                                      superior izquierdo.



                                               RX a las 7 semanas.
                                               Presenta A, A yPP de 10lb. Múltiples
                                               nódulos metastásicos en ambos
                                               campos pulmonares.
                                               Ensanchamiento del mediastino
                                               superior izquierdo por toma
                                               ganglionar. Doble contorno.
                                               Elevación del hemidiafragma
                                               izquierdo.


http://www.cpicmha.sld.cu/bvs/monografias/ImagenesFrecTorax/tematicas/neoplasia
Cuadro clinico
        -Compromiso del estado general
        - anorexia o baja de peso
        -Disnea
        -Dolor toracico sordo y cansado
        sin caracteristicas pleuriticas
                                                               Diagnostico
                                                               • Citologia:
                                                               -Exudado
                                                               -Linfocitario
                                                               -Hemorragico
                                                               -Hallazgo de celulas neoplasicas
                                                               • Biopsia
                                                               •Videotoracoscopia
                                                               •Linfocitosis >50%, LDH ↑ y glucosa < 60
                                                               mg/dl.



Hinshaw-Corwin H. enfermedades del torax 3era edicion: 622-623
http://escuela.med.puc.cl/publ/boletin/PatologiaPleural/DerramePleuralNeoplasico.h
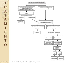
T
      R
      A
      T
      A
      M
      I
      E
      N
      T
      O




http://escuela.med.puc.cl/publ/boletin/PatologiaPleural/DerramePleuralNeoplasico.html
Derrame pleural en lupus
eritematoso sistemico y artritis
reumatoide
David Eduardo Prestegui Muñoz
LES y AR
            Epidemiologia:
             ◦ LES: 40 – 50% de px
             ◦ AR: 5%


           La pleuritis y el derrame pleural, a
            menudo con escasa expresividad
            radiológica, en AR, 25% es bilateral y
            75% se alterna. LES: en su mayoria
http://www.medynet.com/usuarios/jraguilar/Manual%20de%20urgencias%20y
            bilateral.
%20Emergencias/derrapleu.pdf
http://www.chospab.es/biblioteca/libros/GUIA_LUPUS_ERITOMASO.pdf
Dx diferencial
        Exudado de causa desconocida:
 Artritis reumatoide                                      Lupus eritematoso sistemico
 Glucosa: < 30 mg/dL                                      Glucosa: ≥ 80 mg/dL
 LDH: > 700 UI/L                                          LDH: < 500 UI/L
 pH: < 7.20                                               pH: > 7.35
 Factor reumatoide: 1/320                                 Anticuerpo antinucleares: 1/160
 Niveles altos de colesterol                              Consiente AAN L.P./AAN serico: 1

                                                         •PMN en padecimientos agudos
                                                         •linfocitos en crónicos,
                                                         •proteínas 43,5 g/dl

http://www.medynet.com/usuarios/jraguilar/Manual%20de%20urgencias%20y%20Emergencias/derra-
pleu.pdf
Massive pleural effusion in systemic lupus erythematosus: Mireya Elizabeth Gonza´ lez Leija, Mauricio Orrantia Vertiz y
Miguel A. Vazquez Zaragoza
Tratamiento
      Derrame por AR: resolucion
       espontanea en 3 meses.



      Derrame por LES: Corticoides;
       Prednisona 80mg/dia



http://www.medynet.com/usuarios/jraguilar/Manual%20de%2
0urgencias%20y%20Emergencias/derrapleu.pdf
OTRAS ENFERMEDADES
          COLÁGENO VASCULARES:
   El Síndrome de Churg-Strauss caracterizado por
    eosinofilia y vasculitis sistémica en pacientes con
    asma y rinitis. Los derrames pleurales ocurren en
    el 30% de los afectados LDH alto, bajo en glucosa
    y pH, y alto en el número de eosinófilos.
    tratamiento con corticoides.


   Síndrome de Sjögren, Granulomatosis de
    Wegener y la linfadenopatía angioinmunoblástica
    que pueden presentar derrames pleurales
    http://www.medynet.com/usuarios/jraguilar/Manual%20de%20urgen
    cias%20y%20Emergencias/derrapleu.pdf
TRASUDADO PLEURAL
     no cumplen ningún criterio de Light.
     La anormalidad primaria, en la mayoría de
      los casos, se origina en otros órganos
      distintos del pulmón y suelen ser el
      corazón, hígado o riñones.




www.medynet.com/usuarios/jraguilar/Manual%20de%20urgencias%20y%20Emerge
 Fracaso cardiaco
                                                congestivo : es la
                                                causa mas frecuente
                                                de derrame pleural.
                                               Disminución de la
                                                absorción de líquido
                                                intersticial del
                                                parénquima pulmonar
                                                por los linfáticos de la
                                                pleura parietal.
Tratado de fisiologia medica . Arthur c. Guyton 11° ediccion cap.38. pag 483
   CLINICAMENTE : disnea habitual,
             ortopnea, nicturia, edemas periféricos
             y aumento de la presión venosa
             yugular.

            TX: El tratamiento será con diuréticos
             y vasodilatadores; el derrame se
             reabsorberá espontáneamente en
             pocos días
www.medynet.com/usuarios/jraguilar/Manual%20de%20urgencias%20y%20Em
¿Qué es un derrame pleural?
       En el espacio que se encuentra entre
        la pleura parietal y la pleura visceral,
        denominada cavidad pleural, se
        encuentran 25 ml de liquido.




       Se denomina derrame a la
        acumulación anormal de ese liquido
Semiologia medica, Argente, pp 592 - 597
SINDROME DE MEIGS
Ascitis y derrame pleural en
asociación con una tumoración
sólida benigna ovárica


        Joe Vincent Meigs (1892-1963




 http://www.elmedicointeractivo.com/ap1/emiold/publicaciones/ejournalgyne
 cologyfebrero/115-120
 el 70% son derrames derechos y
 el 20% bilaterales.
 El líquido pleural es un exudado con pocos
  leucocitos (<1.000/mm3) y raramente hemático.


El diagnóstico: mujeres que presentan
  una masa pélvica, ascitis y derrame
  pleural
 El derrame se suele resolver en las 2
  primeras semanas postoperatorias
www.medynet.com/usuarios/jraguilar/Manual%20de%20urgencias%20y%20Em
ergencias/derrapleu
  se asocia con un fibroma, un
           tecoma o un tumor de Brenner . También se ha
             descrito asociado con tumores de las células
             granulosas (bajo grado de malignidad), teratomas,
             tumores de Krukengerb y papilomas de las
             trompas de Falopio.




www.medynet.com/usuarios/jraguilar/Manual%20de%20urgencias%20y%20Emerg
encias/derrapleu
   Si los mismos signos se asocian con tumores malignos, la
                enfermedad se denomina síndrome pseudo-Meigs




www.medynet.com/usuarios/jraguilar/Manual%20de%20urgencias%20y%20Emerge
ncias/derrapleu
Hemotorax
David Eduardo Prestegui Muñoz
Definicion
           Derrame pleural sanguinolento, con
            hematocrito >50%

           Etiologia:
            ◦ Traumatismos
            ◦ Aneurisma aortico

            Neoplasia y embolias tienen derrame
             sanguinolento, pero no hemotorax.
Harrison Medicina interna 17 edicion pp 1659
Semiologia medica, Argente, pp 592 - 597
Dx diferenciales
            Telangiectasia familiar hereditaria:
             historia familiar de lesiones mucosas y
             cutánea.

            Malformaciones arterio-venosas:
             espontaneo

            Traumatico: golpes, heridas por arma
             de fuego.
http://www.medynet.com/usuarios/jraguilar/Manual%20de%20urgen
cias%20y%20Emergencias/derrapleu.pdf
Tratamiento
   Manejo hemodinámico y el drenaje
    torácico.

   A veces puede estar indicada la
    toracoscopia

   Si la hemorragia continúa, debe
    realizarse toracotomía (>200ml/h).
http://www.medynet.com/usuarios/jraguilar/Manual%20de%20urgen
cias%20y%20Emergencias/derrapleu.pdf
Empiema
David Eduardo Prestegui Muñoz
Definicion:
   Presencia de infección bacteriana en el
    espacio pleura

   Derrames pleurales cuya disposición en la
    radiografía de tórax puede ser atípica.




    http://www.cirujanosdechile.cl/Revista/PDF%20Cirujanos%202009_03/
    6-Salguero.pdf
http://web.udl.es/usuaris/w4137451/webresp_vell/teoria/t15/tema.htm
Etiologia
            Microbina

             ◦ Aerobios: agudo, fiebre, dolor toracico,
               expectoracion, leucocitosis
             ◦ Anaerobios: subagudo, perdida de peso,
               leucocitosis activa, anemia leve.
             ◦ Tuberculosis: empiema cronico

            ◦ S. aureus
            ◦ S. pneumoniae
            ◦ Enterobacterias
 Harrison medicina interna 17 Ed
http://www.medynet.com/usuarios/jraguilar/Manual%20de%20urgen
cias%20y%20Emergencias/derrapleu.pdf
Clasificacion
   Extension de una infeccion
    adyacentes: neumonia, mediastinitis,
    abseceso subfrenico; S. aureus, D.
    pneumoniae

   Penetracion directa: traumatica o
    postquirurgica; S. aureus

   No aparente: metastasis hematogena:
    S. aureus
Diagnostico diferencial
         Derrame metaneumonico

          pH en líquido pleural < 7,20
          LDH en líquido pleural de > 1000 UI/L
          Glucosa en liquido pleural < 60 mg/dL
          Presencia de pus
          Cultivo positivo en líquido pleura


  Harrison medicina interna 17 Ed.
http://www.medynet.com/usuarios/jraguilar/Manual%20de%20urgen
cias%20y%20Emergencias/derrapleu.pdf
Tratamiento
              Secundario a infeccion adyacente o sin
               causa aparente:
               ◦ Ceftriaxona 2g/24h IV o Cefotaxima 2g/8h +
                 Clindamicina 600-900 mg/8h
               ◦ Amoxicilina-clavulanico: 2 g/8h o imipenem
                 1g/6-8h

              Empiema postraumatico o posquirurgico:
               ◦ Ceftriaxona, cefotaxima o cefepima +
                 cloxacilina, vancomicina o teicoplanina.

              Toracotomía abierta
Infecciones en Urgencias 3ra Ed Terapeutica antimicrobinana
G. Ruiz Palacios
FIBROTORAX
BLANCA FLOR RIOS GOMEZ

502
Acumulación de fibrina en el espacio pleural que se
                       transforma en una capa de tejido fibroso rigido




                  Causas:                                    Consecuencias:
                  -Hemotorax
                  - TBP                                      -Reduce la expansion pulmonar
                  - Empiema                                  - produce deficit ventilatorio
                                                             -Elevacion y fijacion del diafragma
                                                             -Desplazamiento del mediastino
                                                             hacia el lado afectado
                                                             -Enfisema compensador del otro
                                                             pulmon
                                                             -Escoliosis




http://es.scribd.com/doc/26792954/21/Fibrotorax
Hinshaw-Corwin H. enfermedades del torax 3era edicion: 630
Rx. Tórax PA. (A). posterior a la                 Rx. Tórax PA.(B). Disminución de los      Rx. Tórax PA.(C). Aumento
  insercion del tubo de tórax para                  espacios intercostales izquierdos,        compensatorio del volumen
  drenaje pleural. radiopacidad difusa              engrosamiento pleural severo ,            pulmonar derecho, mayor
  del hemitórax izquierdo, con colapso              borramiento de los senos costo-           aclaramiento del vértice y
  parcial pulmonar, desviación                      frénicos, elevación hemi-diafragma        disminución de espacios
  mediastinal hacia la derecha. Por                 izquierdo.escoliosis dorsal leve y poco   intercostales del hemitórax izquierdo.
  proceso neumonico con derrame                     aclaramiento del vertice porfibrosis      retracción del diafragma izquierdo,
  pleural.                                          pleural y atelectasia pulmonar.           escoliosis marcada por fibrotorax
                                                                                              severo.




http://www.geocities.ws/rdhenriquez/decorticacion-ped.html
Cortes tomograficos A - B - C - D : Desde carina hacia base del
                     tórax, dezplazamiento de la carina a la derecha, severo
                     engrosamiento pleural izquierdo, con tabicamiento, disminucion del
                     volumen del hemitorax izquierdo, además reporta areas de atelectasia
                     pulmonar en lóbulo inferior izquierdo.
http://www.geocities.ws/rdhenriquez/decorticacion-ped.html
Placas Pleurales
Definicion, Etiologia y
Clasificacion

               Manifestación más frecuente de
                exposición a asbesto.


             Comprometen principalmente los
              aspectos lateral y posterior de la
              pleura parietal; respetan los ápices
              pulmonares y los ángulos
              costofrénicos.
http://escuela.med.puc.cl/publ/boletin/patologiapleural/imageneol
ogia.html
   El grosor de las placas varía de 1 a
    más de 10 mm. Son bilaterales en un
    75% de los casos y tienden a ser
    asimétricas.




http://escuela.med.puc.cl/publ/boletin/patologiapleural/imageneo
logia.html
Radiografia
   Se ven como un engrosamiento pleural focal.

   Diferenciarse de depósitos grasos subpleurales,
    que tienden a ser bilaterales y simétricos.
   >40% tiende a calcificar




http://escuela.med.puc.cl/publ/boletin/patologiapleural/imageneo
logia.html
TUMORES PLEURALES
PRIMITIVOS
BLANCA FLOR RIOS GOMEZ

502
Mesotelioma maligno

       constituye el tumor primitivo de la
       pleura y puede ser localizado
       (benigno o maligno) o difuso
       (siempre maligno). El principal
       elemento relacionado con este tipo
       de tumor es el asbesto. El
       diagnóstico debe realizarse
       mediante biopsia pleural.

                                                                                 Engrosamiento pleural extenso con gruesos
                                                                                 nódulos característicos de
                                                                                 un mesotelioma (mesothelioma) maligno




                                                                        TAC: Afección de pleura mediastínica. Nódulos típicos
                                                                        de mesotelioma (mesothelioma) maligno


http://www.portalesmedicos.com/servs/mesotelioma_imagenes.htm
http://www.intramed.net/sitios/librovirtual1/pdf/librovirtual1_21.pdf
Hinshaw-Corwin H. enfermedades del torax 3era edicion: 631
http://escuela.med.puc.cl/publ/boletin/PatologiaPleural/DerramePleuralNeoplasico.ht
- L.P. exudado
                                                                        -Frecuentemente hemorrágico
                                                                        - pH<7,30.
                                                                        -Ocasionalmente es viscoso, debido a
                                                                        concentraciones elevadas de ácido
                                                                        hialurónico,
                                                                        -sensibilidad y especificidad son bajas.
             Mesotelioma (mesothelioma) pleural
             maligno en una niña de once años, que
             se manifestó por un derrame pleural
             masivo
             Radiografía de tórax (AP) que muestra
             un extenso derrame pleural izquierdo
             con desplazamiento mediastínico



http://www.portalesmedicos.com/servs/mesotelioma_imagenes.htm
http://www.intramed.net/sitios/librovirtual1/pdf/librovirtual1_21.pdf


http://escuela.med.puc.cl/publ/boletin/PatologiaPleural/DerramePleuralNeoplasico.ht
QUILOTORAX
BLANCA FLOR RIOS GOMEZ

502
• Desgarro del conducto torácico

        •linfoma invade el conducto torácico y lo origina enel 50% de los
        casos.

        •Puede originarse por traumatismo cerrado(accidentes de motor y
        punciones enla subclavia)

        •Aparece de 2 a 10 dias posterior al traumatismo

        •LP: blanco, inodoro, lechoso, concentración de TGR > 110 mg/dL

        • Tx: SEP si en 7 dias no cede ligadura del conducto




Hinshaw-Corwin H. enfermedades del torax 3era edicion: 634
http://es.scribd.com/doc/26792954/21/Fibrotorax
Diagnostico:
    -Niveles de triglicéridos superiores a 1.1
    mmol/L.
    -Recuento celular mayor de 1,000
    células/µL.
    - Fracción de linfocitos mayor del 80%.




http://www.archbronconeumol.org/bronco/ctl_servlet?_f=40&ident=13066
506
http://www.sccp.org.co/plantilas/Libro%20SCCP/Lexias/torax/quilotorax/quilotorax.h
Pleurodinia epidemica
Enfermedad de Bornholm
   a infección relacionada con el virus
    Coxsackie que provoca espasmos
    dolorosos en los músculos del pecho y la
    parte superior del abdomen.


   Dura 4 dias

   Abrazo del diablo

   Dolor unilateral
DIAGNOSTICO DIFERENCIAL
DE LOS DERRAMES
PLEURALES
BLANCA FLOR RIOS GOMEZ

502
METODOS DIAGNOSTICOS

               DIAGNOSTICO DE DERRAME PLEURAL
               MEDIANTE TECNICAS DE IMAGEN :


               1. RADIOGRAFIA DE TORAX PA
               2. RADIOGRAFIA DE TORAX LATERAL
               3. RADIOGRAFIA DE TORAX DECUBITO
                  LATERAL.
               4. ULTRASONOGRAFIA DE TORAX
               5. TOMOGRAFIA DEL TORAX



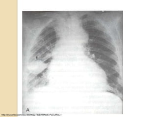
http://es.scribd.com/doc/36096227/DERRAME-PLEURAL-I
RADIOGRAFIA DE TORAX
                      No se puede detectar la etiología del
                       derrame
                      Hallazgos: borramiento del ángulo
                       costofrénico u opacificación de la base
                       del hemitórax.
                      El líquido forma una concavidad
                       superior denominada Menisco Pleural.



http://es.scribd.com/doc/36096227/DERRAME-PLEURAL-I
RADIOGRAFIA DE TORAX
                  Desplazamiento del mediastino hacia el
                   lado contrario al derrame.

                  En las radiografías laterales pueden
                   identificarse cantidades de líquido a partir
                   de 25-50 ml, y en las PA a partir de unos
                   200-300 ml


http://es.scribd.com/doc/36096227/DERRAME-PLEURAL-I
http://es.scribd.com/doc/36096227/DERRAME-PLEURAL-I
HALLAZGOS RADIOLOGICOS




http://es.scribd.com/doc/36096227/DERRAME-PLEURAL-I
http://es.scribd.com/doc/36096227/DERRAME-PLEURAL-I
HALLAZGOS RADILOGICOS




http://es.scribd.com/doc/36096227/DERRAME-PLEURAL-I
DERRAME INTERCISURAL




http://es.scribd.com/doc/36096227/DERRAME-PLEURAL-I
DERRAME PLEURAL
          PEQUEÑO




http://es.scribd.com/doc/36096227/DERRAME-PLEURAL-I
DERRAME PLEURAL VISTA
LATERAL




http://es.scribd.com/doc/36096227/DERRAME-PLEURAL-I
RADIOGRAFIA EN DECUBITO LATERAL

  Rx en Decúbito Lateral si existe duda
   (para confirmar la distribución libre del
   líquido pleural).
  Para realizar toracocentesis en base a la
   radiografía decúbito lateral será necesario
   la existencia de al menos de 1 cm de
   distancia de la línea horizontal del
   derrame y la pared interna del tórax.


http://es.scribd.com/doc/36096227/DERRAME-PLEURAL-I
POSICION DEL PACIENTE




http://es.scribd.com/doc/36096227/DERRAME-PLEURAL-I
RX EN DECUBITO LATERAL




http://es.scribd.com/doc/36096227/DERRAME-PLEURAL-I
DERRAME PLEURAL
                    UNILATERAL
    Tuberculosis
    Neumonía
    Infarto pulmonar
    Metástasis tumorales
    Tumores pleurales
    Linfomas
    Traumatismos torácicos
    Pancreatitis

http://es.scribd.com/doc/36096227/DERRAME-PLEURAL-I
DERRAME PLEURAL
BILATERAL
  ICC
  Colagenosis
  Enfermedades hepáticas
  Enfermedades renales




http://es.scribd.com/doc/36096227/DERRAME-PLEURAL-I
ECOGRAFIA TORAXICA
    Su mayor utilidad se basa en la localización de
     derrames pleurales pequeños o encapsulados
     consolidación.
    Permite detectar derrames muy pequeños (hasta 10
     ml).
    Masas pleurales.
    En casos de dudas de engrosamientos o derrames
     pleural.
    Guía para realizar la toracocentesis


http://es.scribd.com/doc/36096227/DERRAME-PLEURAL-I
TOMOGRAFIA
COMPUTARIZADA
    No tiene uso rutinario.
    Detecta derrames entre
     5-10 ml.
    Permite la detección del
     mediastino, parénquima
     pulmonar y espacio
     pleural.
    Líquido pleural, masas
     pulmonares, atelectasias
     nódulos pulmonares,
     abscesos.




http://es.scribd.com/doc/36096227/DERRAME-PLEURAL-I
Tomografía Computarizada
    Diferenciar:
     ◦ Lesión Pleural.
     ◦ Lesión Parénquima Pulmonar.
    Distinguir:
     ◦ Empiema de Absceso pulmonar.
    Detectar:
     ◦ Masas pleurales.
     ◦ Anormalidades del parénquima ocultadas.
    Delimitar derrame loculado.


http://es.scribd.com/doc/36096227/DERRAME-PLEURAL-I
TAC                     EMPIEMA




http://es.scribd.com/doc/36096227/DERRAME-PLEURAL-I
TORACOCENTESIS


              Es un procedimiento por medio del cual
               se extrae líquido del espacio pleural, a
               través de una aguja con fines
               diagnósticos y/o terapéuticos.




http://es.scribd.com/doc/36096227/DERRAME-PLEURAL-I
TORACOCENTESIS
                     Se puede realizar siempre que no hayan
                      alteraciones de la hemostasia.
                     Es MANDATORIA en pacientes con
                      derrame pleural que sospechamos que no
                      son de tipo trasudado (RX lateral el
                      derrame sea ≥ 1 cm).
                     TERAPEUTICA: Derrames pleurales
                      masivos con dificultad respiratoria (para
                      extraer un máximo de 1500 ml).


http://es.scribd.com/doc/36096227/DERRAME-PLEURAL-I
CONTRAINDICACIONES

                     Presencia de coagulopatías.
                     Alteraciones plaquetarias (<50,000
                      mm3)
                     Infección en el sitio de punción.
                     Falta de colaboración del paciente.




http://es.scribd.com/doc/36096227/DERRAME-PLEURAL-I
COMPLICACIONES
  Neumotórax.
  Hemotórax.
  Infección.
  Reflejo Vasovagal.
  Dolor.
  Hematoma subcutáneo.
  Edema pulmonar por reexpansión
   brusca.

http://es.scribd.com/doc/36096227/DERRAME-PLEURAL-I
http://es.scribd.com/doc/36096227/DERRAME-PLEURAL-I
http://es.scribd.com/doc/36096227/DERRAME-PLEURAL-I
http://es.scribd.com/doc/36096227/DERRAME-PLEURAL-I
http://es.scribd.com/doc/36096227/DERRAME-PLEURAL-I
CRITERIOS DE LIGHT Y LEE.
  1. Proteínas pleural/séricas >0.5
  2. Relación LDH pleural/sérica >0.6
  3. LDH pleural de más de 2/3 el límite
  superior de su valor normal en el
    suero.
  • Si cumple Uno de los Anteriores
   es EXUDADO.
  • Tienen una significancia diagnostica
    con una sensibilidad del 98% y
    especificidad del 77%
http://es.scribd.com/doc/36096227/DERRAME-PLEURAL-I
CARACTERISTICAS QUE DIFERENCIAN
                    EXUDADO DE TRASUDADO.
                PARAMETRO                             TRASUDADO EXUDADO
    Proteinas Líquido /
    Proteinas sericas
                                                        < 0.5      > 0.5

    DHL líquido                                        < 200 UI   > 200 UI

    DHL Líquido / DHL
    serica
                                                        < 0.6      > 0.6

    Cuando el líquido pleural es considerado trasudado no requiere estudios
    adicionales en la pleura; pues no enfermedad pleural y líquido es
    formado en respuesta fuerzas oncóticas o hidrostáticas.

http://es.scribd.com/doc/36096227/DERRAME-PLEURAL-I
OTROS CRITERIOS
DIAGNOSTICOS
       Colesterol total en líquido pleural
        mayor de 60 mg/dl
       Relación de colesterol pleural/sérico
        mayor 0.4
       La concentración de glucosa. Un
        resultado bajo (< 60 mg/dl) en el
        líquido pleural es sugestivo de
        empiema, neoplasia, TBC, LES o
        pleuresía reumática.




http://es.scribd.com/doc/36096227/DERRAME-PLEURAL-I
PARAMETROS BIOQUIMICOS SEGÚN
          SOSPECHA ETIOLOGICA


            AMILASA: perforación esofágica, pancreatitis.
            COLESTEROL: Diferenciar Exudado-trasudado,
             quilotorax, pseudoquilotorax.
            ADA(adenosindeaminasa) : tuberculosis pleural (>
             45U/L)
            FACTOR REUMATOIDE : artritis reumatoide (>
             1/320)
            ANA : AR, LES. ( 1/160 o cociente > 1 ).
            TRIGLICERIDOS : quilotorax ( > 110 mg/dl )
            ACIDO HIALURONICO: Mesotelioma ( >75 mg/L )

http://es.scribd.com/doc/36096227/DERRAME-PLEURAL-I
ESTUDIO DEL LIQUIDO PLEURAL

              SOSPECHA DE CAUSA
               INFECCIOSA:
            Tinción de Gram ( bacteriano) + Cultivo
            Baciloscopía + Cultivo BAAR TB ( 8 sem. )
            Directo y Cultivo para Hongos


            SOSPECHA DE MALIGNIDAD:
            Citológico ( Patología )


http://es.scribd.com/doc/36096227/DERRAME-PLEURAL-I
BIOPSIA PLEURAL
 Biopsia pleural cerrada.
 Por toracoscopia.




http://es.scribd.com/doc/36096227/DERRAME-PLEURAL-I

Enfermedades pleurales

  • 1.
    UNIVERSIDAD AUTONOMA DEGUERRERO FACULTAD DE MEDICINA NEUMOLOGIA DR. RODOLFO ZUÑIGA ANDRADE ENFERMEDADES DE LA PLEURA DAVID EDUARDO PRESTEGUI MUÑOZ JORGE RAMIREZ PIOQUINTO BLANCA FLOR RIOS GOMEZ 502
  • 2.
    FISIOLOGIA DE LACAVIDAD PLEURAL El exceso de liquido es extraido mediante bombeo por lod vasos linfaticos que se abren directamente desde la cavidad pleural hacia : Superficies laterales de la pleura parietal El mediastino La superficie superior del diafragma Tratado de fisiologia medica . Arthur c. Guyton 11° ediccion cap.38. pag 483
  • 3.
    ESPACIO PLEURAL = ESPACIO VIRTUAL < de 15 ml Presion negativa en el liquido pleural Tendencia al colapso normal de los pulmones : -4mm Hg Tratado de fisiologia medica . Arthur c. Guyton 11° ediccion cap.38. pag 483
  • 4.
  • 5.
  • 6.
    Etiologias  Trasudados ◦ Aumento de la presion hidrostatica ◦ Disminucion de la presion oncotica CRITERIOS DE LIGTH: •Prot L.P./ Prot sericas = > 0.5  Exudados •LDH L.P./ Ldh sericas = >0.6 ◦ Infecciones •LDH L.P. = >200 UI/L ◦ Neoplasias 1 o mas hace dx de exudado ◦ Embolia de pulmon ◦ Enf. Del tejido conectivo ◦ Enf. intraabdominal Semiologia medica, Argente, pp 592 - 597
  • 7.
  • 8.
    Derrame secundario a Derrame sin tuberculosis infección pulmonar pulmonar demostrable conocida • La tuberculosis pleural es una de las formas más frecuentes de tuberculosis extrapulmonares. • Recuento de leucocitos con predominio linfocitario >50%, LDH ↑. • Glucosa normal o baja, pH< 7.30. • ADA(adenosindeaminasa) > 44 U/L. • Aislamiento de bacilo de Koch en cultivo de líquido o macerado de Bx pleural.
  • 11.
  • 12.
    Rodriguez-Panadero F. manejodel paciente con derrame pleural :245
  • 13.
    http://bvs.sld.cu/revistas/cir/vol45_3_06/cir04306.html Fotografía de las lesiones pleurales, blanquecinas que corresponden a los granulomas tuberculosos. http://default.qa.adam.com/content.aspx?productId=39&pid=5&gid=000125&print=1 Radiografía postero-anterior de tórax con derrame pleural izquierdo http://www.gefor.4t.com/rx/tuberculosis_derrame_pleural.ht ml http://www.mbeneumologia.org/mbe/bancoImagenes /imagenBig.aspx?id=5
  • 14.
    http://www.mbeneumologia.org/mbe/bancoImagenes/im RUIZ RODRIGUEZ, F.. Tuberculosis diseminada con derrame pleural. Rev. esp. agenBig.aspx?id=126 sanid. penit. [online]. 2010, vol.12, n.3, pp. 99-99. ISSN 1575-0620 Flechas pequenas: zonas de concentracion de lesiones Radiografía postero-anterior de tórax micronodulares “en grano de mijo”. Flechas grandes: limites del derrame pleural subpulmonar derecho. derrame pleural. Se aprecia elevación del hemidiafragma, con lateralización de la cúpula diafragmática y medialización del seno costofrénico derecho. http://www.cpicmha.sld.cu/bvs/monografias/I magenesFrecTorax/tematicas/tb.htm Femenina. 75 años. APP: TB pulmonar, acude con fiebre de 38oC, tos y expectoración. RX de tórax PA. Aumento de la trama pulmonar con el aspecto de lesiones fibrosas. Imagen nodular de contornos irregulares y alta densidad radiográfica en el vértice
  • 15.
    DERRAME PLEURAL ENLA NEUMONIA  Son aquellos asociados a una neumonía bacteriana, absceso pulmonar o bronquiectasia www.medynet.com/usuarios/jraguilar/Manual%20de%20urgencias%20y%20Emerg encias/derrapleu
  • 16.
    Las indicaciones de tubo de toracostomía son:  1- Presencia macroscópica de pus en el espacio pleural  2- Microorganismos visibles en la tinción de Gram del líquido pleural  3- Concentración de glucosa en el líquido pleural inferior a 50mg/dl  4- pH del líquido pleural inferior a 7. www.medynet.com/usuarios/jraguilar/Manual%20de%20urgencias%20y%20Em ergencias/derrapleu
  • 17.
     Evolucion delderrame.  1.- Estado exudativo  2.- Estado fibropurulento  3.- Estado de organización www.medynet.com/usuarios/jraguilar/Manual%20de%20urgencias%20y%20Emerge
  • 18.
    Clinica :  INFECCIÓN POR BACTERIAS AEROBIAS : forma aguda con dolor torácico, esputo productivo y leucocitosis  INFECCIÓN POR BACTERIAS ANAEROBIAS:  forma subaguda, el 70% tienen síntomas de más de 7-10 días de evolución; tienen pérdida de peso, intensa leucocitosis, discreta anemia www.medynet.com/usuarios/jraguilar/Manual%20de%20urgencias%20y%20Emer
  • 19.
     DX: Radiografiade torax  Ecografia toracica  Toracocentesis  Tx: antibioticos  Drenaje quirurgico
  • 20.
  • 21.
    EMBOLIA PULMONAR  El líquido pleural asociado a embolia pulmonar puede ser un exudado o un trasudado.  TRASUDADO25%: Es consecuencia de un aumento de la presión arterial pulmonar elevada  EXUDADO 75%: El líquido presente en el intersticio es de isquemia capilar o por isquemia de la pleura visceral www.medynet.com/usuarios/jraguilar/Manual%20de%20urgencias%20y%20Em
  • 23.
    CLINICA :  Infiltrado parenquimatoso  El derrame pleural es de pequeña cuantía  TX: Prevenir la evolucion de un embolismo de pulmon
  • 24.
    DERRAME PLEURAL CAUSADO PORTUMORES MALIGNOS BLANCA FLOR RIOS GOMEZ 502
  • 25.
    5% Secundarios adeterioro del drenaje linfático pleural de tumor mediastinico Primitivos -Carcinoma broncogenico a) Epidermoide o escamoso b) Adenocarcinoma c) Carcinoma neuroendocrino - Sarcomas - Carcinosarcoma -Neoplasias del sistema reticuloendotelial Metastasicas • Via hematogena • Via linfatica 15% Cáncer de pulmón • Por contiguidad 40% Carcinoma de mama 6% Carcinoma de ovario 7% Carcinoma de estomago 20% Linfomas o leucemia http://www.intramed.net/sitios/librovirtual1/pdf/librovirtual1_21.pdf http://www.meb.uni-bonn.de/cancernet/spanish/103861.html
  • 26.
    Fisiopatologia 1. Metastasis pleurales con aumentos de la permeabilidad y obstruccion metastasica de los linfaticos pleurales 2. Disminucion de la absorcion linfatica por compromiso de ganglios mediastinicos 3. Obstruccion del conducto toracico (quilotorax) 4. Obstruccion bronquial con atelectasia 5. Hipoproteinemia •Tendencia a recidiva •Reaparición de la disnea •Expoliación proteica http://escuela.med.puc.cl/publ/boletin/PatologiaPleural/DerramePleuralNeoplasico.ht
  • 27.
    RADIOLOGIA Masculino. 65 años. APP: 56 años. APP: fumadora RX lateral del caso anterior. neoplasia de recto. Nódulo de 3cm inveterada. A, A yPP de 30 lb de Engrosamiento tumoral del hilio y en región parahiliar izquierda. peso. VSG 78mm/h, Hb 8,4gr%. opacidad parenquimatosa Signos de enfisema pulmonar( EIC Engrosamiento hiliar derecho de superior y posterior. ensanchados, aumento del diámetro aspecto tumoral. Pequeña vertical del tórax). Lesiones fibrosas opacidad parenquimatosa por y algunas bullas asociadas. Aorta encima y por fuera. ID: neoplasia ateromatosa, ligeramente elongada de pulmón a forma de y dilatada engrosamiento hiliar http://www.cpicmha.sld.cu/bvs/monografias/ImagenesFrecTorax/tematicas/neoplasia
  • 28.
    RX lateral derecha.La lesión 60años. APP: fumadora Fem. 54 años. APP: mastectomía ocupa el mediastino medio y inveterada. MC: Dolor en el derecha hace 2 años. MC: disnea: anterior. ID: neoplasia de hombro izquierdo, expectoración EF: MV ligeramente pulmón a forma mediastinal. sanguinolenta. Masa tumoral en el disminuido. RX tórax PA rotada. Alg DD: linfoma vértice izquierdo. Lisis del arco unos nódulos metastásicos en ambos posterior de la 3ra y 4ta campos pulmonares. Llama la costillas. Tumor de Pancoast. atención el contorno del mediastino superior izquierdo. RX a las 7 semanas. Presenta A, A yPP de 10lb. Múltiples nódulos metastásicos en ambos campos pulmonares. Ensanchamiento del mediastino superior izquierdo por toma ganglionar. Doble contorno. Elevación del hemidiafragma izquierdo. http://www.cpicmha.sld.cu/bvs/monografias/ImagenesFrecTorax/tematicas/neoplasia
  • 29.
    Cuadro clinico -Compromiso del estado general - anorexia o baja de peso -Disnea -Dolor toracico sordo y cansado sin caracteristicas pleuriticas Diagnostico • Citologia: -Exudado -Linfocitario -Hemorragico -Hallazgo de celulas neoplasicas • Biopsia •Videotoracoscopia •Linfocitosis >50%, LDH ↑ y glucosa < 60 mg/dl. Hinshaw-Corwin H. enfermedades del torax 3era edicion: 622-623 http://escuela.med.puc.cl/publ/boletin/PatologiaPleural/DerramePleuralNeoplasico.h
  • 30.
    T R A T A M I E N T O http://escuela.med.puc.cl/publ/boletin/PatologiaPleural/DerramePleuralNeoplasico.html
  • 31.
    Derrame pleural enlupus eritematoso sistemico y artritis reumatoide David Eduardo Prestegui Muñoz
  • 32.
    LES y AR  Epidemiologia: ◦ LES: 40 – 50% de px ◦ AR: 5%  La pleuritis y el derrame pleural, a menudo con escasa expresividad radiológica, en AR, 25% es bilateral y 75% se alterna. LES: en su mayoria http://www.medynet.com/usuarios/jraguilar/Manual%20de%20urgencias%20y bilateral. %20Emergencias/derrapleu.pdf http://www.chospab.es/biblioteca/libros/GUIA_LUPUS_ERITOMASO.pdf
  • 34.
    Dx diferencial Exudado de causa desconocida: Artritis reumatoide Lupus eritematoso sistemico Glucosa: < 30 mg/dL Glucosa: ≥ 80 mg/dL LDH: > 700 UI/L LDH: < 500 UI/L pH: < 7.20 pH: > 7.35 Factor reumatoide: 1/320 Anticuerpo antinucleares: 1/160 Niveles altos de colesterol Consiente AAN L.P./AAN serico: 1 •PMN en padecimientos agudos •linfocitos en crónicos, •proteínas 43,5 g/dl http://www.medynet.com/usuarios/jraguilar/Manual%20de%20urgencias%20y%20Emergencias/derra- pleu.pdf Massive pleural effusion in systemic lupus erythematosus: Mireya Elizabeth Gonza´ lez Leija, Mauricio Orrantia Vertiz y Miguel A. Vazquez Zaragoza
  • 35.
    Tratamiento  Derrame por AR: resolucion espontanea en 3 meses.  Derrame por LES: Corticoides; Prednisona 80mg/dia http://www.medynet.com/usuarios/jraguilar/Manual%20de%2 0urgencias%20y%20Emergencias/derrapleu.pdf
  • 36.
    OTRAS ENFERMEDADES COLÁGENO VASCULARES:  El Síndrome de Churg-Strauss caracterizado por eosinofilia y vasculitis sistémica en pacientes con asma y rinitis. Los derrames pleurales ocurren en el 30% de los afectados LDH alto, bajo en glucosa y pH, y alto en el número de eosinófilos. tratamiento con corticoides.  Síndrome de Sjögren, Granulomatosis de Wegener y la linfadenopatía angioinmunoblástica que pueden presentar derrames pleurales http://www.medynet.com/usuarios/jraguilar/Manual%20de%20urgen cias%20y%20Emergencias/derrapleu.pdf
  • 37.
    TRASUDADO PLEURAL  no cumplen ningún criterio de Light.  La anormalidad primaria, en la mayoría de los casos, se origina en otros órganos distintos del pulmón y suelen ser el corazón, hígado o riñones. www.medynet.com/usuarios/jraguilar/Manual%20de%20urgencias%20y%20Emerge
  • 38.
     Fracaso cardiaco congestivo : es la causa mas frecuente de derrame pleural. Disminución de la absorción de líquido intersticial del parénquima pulmonar por los linfáticos de la pleura parietal. Tratado de fisiologia medica . Arthur c. Guyton 11° ediccion cap.38. pag 483
  • 39.
    CLINICAMENTE : disnea habitual, ortopnea, nicturia, edemas periféricos y aumento de la presión venosa yugular.  TX: El tratamiento será con diuréticos y vasodilatadores; el derrame se reabsorberá espontáneamente en pocos días www.medynet.com/usuarios/jraguilar/Manual%20de%20urgencias%20y%20Em
  • 41.
    ¿Qué es underrame pleural?  En el espacio que se encuentra entre la pleura parietal y la pleura visceral, denominada cavidad pleural, se encuentran 25 ml de liquido.  Se denomina derrame a la acumulación anormal de ese liquido Semiologia medica, Argente, pp 592 - 597
  • 43.
    SINDROME DE MEIGS Ascitisy derrame pleural en asociación con una tumoración sólida benigna ovárica Joe Vincent Meigs (1892-1963 http://www.elmedicointeractivo.com/ap1/emiold/publicaciones/ejournalgyne cologyfebrero/115-120
  • 44.
     el 70%son derrames derechos y  el 20% bilaterales.  El líquido pleural es un exudado con pocos leucocitos (<1.000/mm3) y raramente hemático. El diagnóstico: mujeres que presentan una masa pélvica, ascitis y derrame pleural  El derrame se suele resolver en las 2 primeras semanas postoperatorias
  • 45.
  • 46.
     seasocia con un fibroma, un tecoma o un tumor de Brenner . También se ha descrito asociado con tumores de las células granulosas (bajo grado de malignidad), teratomas, tumores de Krukengerb y papilomas de las trompas de Falopio. www.medynet.com/usuarios/jraguilar/Manual%20de%20urgencias%20y%20Emerg encias/derrapleu
  • 47.
    Si los mismos signos se asocian con tumores malignos, la enfermedad se denomina síndrome pseudo-Meigs www.medynet.com/usuarios/jraguilar/Manual%20de%20urgencias%20y%20Emerge ncias/derrapleu
  • 48.
  • 49.
    Definicion  Derrame pleural sanguinolento, con hematocrito >50%  Etiologia: ◦ Traumatismos ◦ Aneurisma aortico Neoplasia y embolias tienen derrame sanguinolento, pero no hemotorax. Harrison Medicina interna 17 edicion pp 1659 Semiologia medica, Argente, pp 592 - 597
  • 50.
    Dx diferenciales  Telangiectasia familiar hereditaria: historia familiar de lesiones mucosas y cutánea.  Malformaciones arterio-venosas: espontaneo  Traumatico: golpes, heridas por arma de fuego. http://www.medynet.com/usuarios/jraguilar/Manual%20de%20urgen cias%20y%20Emergencias/derrapleu.pdf
  • 51.
    Tratamiento  Manejo hemodinámico y el drenaje torácico.  A veces puede estar indicada la toracoscopia  Si la hemorragia continúa, debe realizarse toracotomía (>200ml/h). http://www.medynet.com/usuarios/jraguilar/Manual%20de%20urgen cias%20y%20Emergencias/derrapleu.pdf
  • 52.
  • 53.
    Definicion:  Presencia de infección bacteriana en el espacio pleura  Derrames pleurales cuya disposición en la radiografía de tórax puede ser atípica. http://www.cirujanosdechile.cl/Revista/PDF%20Cirujanos%202009_03/ 6-Salguero.pdf http://web.udl.es/usuaris/w4137451/webresp_vell/teoria/t15/tema.htm
  • 54.
    Etiologia  Microbina ◦ Aerobios: agudo, fiebre, dolor toracico, expectoracion, leucocitosis ◦ Anaerobios: subagudo, perdida de peso, leucocitosis activa, anemia leve. ◦ Tuberculosis: empiema cronico ◦ S. aureus ◦ S. pneumoniae ◦ Enterobacterias Harrison medicina interna 17 Ed http://www.medynet.com/usuarios/jraguilar/Manual%20de%20urgen cias%20y%20Emergencias/derrapleu.pdf
  • 55.
    Clasificacion  Extension de una infeccion adyacentes: neumonia, mediastinitis, abseceso subfrenico; S. aureus, D. pneumoniae  Penetracion directa: traumatica o postquirurgica; S. aureus  No aparente: metastasis hematogena: S. aureus
  • 56.
    Diagnostico diferencial Derrame metaneumonico  pH en líquido pleural < 7,20  LDH en líquido pleural de > 1000 UI/L  Glucosa en liquido pleural < 60 mg/dL  Presencia de pus  Cultivo positivo en líquido pleura Harrison medicina interna 17 Ed. http://www.medynet.com/usuarios/jraguilar/Manual%20de%20urgen cias%20y%20Emergencias/derrapleu.pdf
  • 57.
    Tratamiento  Secundario a infeccion adyacente o sin causa aparente: ◦ Ceftriaxona 2g/24h IV o Cefotaxima 2g/8h + Clindamicina 600-900 mg/8h ◦ Amoxicilina-clavulanico: 2 g/8h o imipenem 1g/6-8h  Empiema postraumatico o posquirurgico: ◦ Ceftriaxona, cefotaxima o cefepima + cloxacilina, vancomicina o teicoplanina.  Toracotomía abierta Infecciones en Urgencias 3ra Ed Terapeutica antimicrobinana G. Ruiz Palacios
  • 58.
  • 59.
    Acumulación de fibrinaen el espacio pleural que se transforma en una capa de tejido fibroso rigido Causas: Consecuencias: -Hemotorax - TBP -Reduce la expansion pulmonar - Empiema - produce deficit ventilatorio -Elevacion y fijacion del diafragma -Desplazamiento del mediastino hacia el lado afectado -Enfisema compensador del otro pulmon -Escoliosis http://es.scribd.com/doc/26792954/21/Fibrotorax Hinshaw-Corwin H. enfermedades del torax 3era edicion: 630
  • 60.
    Rx. Tórax PA.(A). posterior a la Rx. Tórax PA.(B). Disminución de los Rx. Tórax PA.(C). Aumento insercion del tubo de tórax para espacios intercostales izquierdos, compensatorio del volumen drenaje pleural. radiopacidad difusa engrosamiento pleural severo , pulmonar derecho, mayor del hemitórax izquierdo, con colapso borramiento de los senos costo- aclaramiento del vértice y parcial pulmonar, desviación frénicos, elevación hemi-diafragma disminución de espacios mediastinal hacia la derecha. Por izquierdo.escoliosis dorsal leve y poco intercostales del hemitórax izquierdo. proceso neumonico con derrame aclaramiento del vertice porfibrosis retracción del diafragma izquierdo, pleural. pleural y atelectasia pulmonar. escoliosis marcada por fibrotorax severo. http://www.geocities.ws/rdhenriquez/decorticacion-ped.html
  • 61.
    Cortes tomograficos A- B - C - D : Desde carina hacia base del tórax, dezplazamiento de la carina a la derecha, severo engrosamiento pleural izquierdo, con tabicamiento, disminucion del volumen del hemitorax izquierdo, además reporta areas de atelectasia pulmonar en lóbulo inferior izquierdo. http://www.geocities.ws/rdhenriquez/decorticacion-ped.html
  • 62.
  • 63.
    Definicion, Etiologia y Clasificacion  Manifestación más frecuente de exposición a asbesto.  Comprometen principalmente los aspectos lateral y posterior de la pleura parietal; respetan los ápices pulmonares y los ángulos costofrénicos. http://escuela.med.puc.cl/publ/boletin/patologiapleural/imageneol ogia.html
  • 64.
    El grosor de las placas varía de 1 a más de 10 mm. Son bilaterales en un 75% de los casos y tienden a ser asimétricas. http://escuela.med.puc.cl/publ/boletin/patologiapleural/imageneo logia.html
  • 65.
    Radiografia  Se ven como un engrosamiento pleural focal.  Diferenciarse de depósitos grasos subpleurales, que tienden a ser bilaterales y simétricos.
  • 66.
    >40% tiende a calcificar http://escuela.med.puc.cl/publ/boletin/patologiapleural/imageneo logia.html
  • 67.
  • 68.
    Mesotelioma maligno constituye el tumor primitivo de la pleura y puede ser localizado (benigno o maligno) o difuso (siempre maligno). El principal elemento relacionado con este tipo de tumor es el asbesto. El diagnóstico debe realizarse mediante biopsia pleural. Engrosamiento pleural extenso con gruesos nódulos característicos de un mesotelioma (mesothelioma) maligno TAC: Afección de pleura mediastínica. Nódulos típicos de mesotelioma (mesothelioma) maligno http://www.portalesmedicos.com/servs/mesotelioma_imagenes.htm http://www.intramed.net/sitios/librovirtual1/pdf/librovirtual1_21.pdf Hinshaw-Corwin H. enfermedades del torax 3era edicion: 631 http://escuela.med.puc.cl/publ/boletin/PatologiaPleural/DerramePleuralNeoplasico.ht
  • 69.
    - L.P. exudado -Frecuentemente hemorrágico - pH<7,30. -Ocasionalmente es viscoso, debido a concentraciones elevadas de ácido hialurónico, -sensibilidad y especificidad son bajas. Mesotelioma (mesothelioma) pleural maligno en una niña de once años, que se manifestó por un derrame pleural masivo Radiografía de tórax (AP) que muestra un extenso derrame pleural izquierdo con desplazamiento mediastínico http://www.portalesmedicos.com/servs/mesotelioma_imagenes.htm http://www.intramed.net/sitios/librovirtual1/pdf/librovirtual1_21.pdf http://escuela.med.puc.cl/publ/boletin/PatologiaPleural/DerramePleuralNeoplasico.ht
  • 70.
  • 71.
    • Desgarro delconducto torácico •linfoma invade el conducto torácico y lo origina enel 50% de los casos. •Puede originarse por traumatismo cerrado(accidentes de motor y punciones enla subclavia) •Aparece de 2 a 10 dias posterior al traumatismo •LP: blanco, inodoro, lechoso, concentración de TGR > 110 mg/dL • Tx: SEP si en 7 dias no cede ligadura del conducto Hinshaw-Corwin H. enfermedades del torax 3era edicion: 634 http://es.scribd.com/doc/26792954/21/Fibrotorax
  • 72.
    Diagnostico: -Niveles de triglicéridos superiores a 1.1 mmol/L. -Recuento celular mayor de 1,000 células/µL. - Fracción de linfocitos mayor del 80%. http://www.archbronconeumol.org/bronco/ctl_servlet?_f=40&ident=13066 506 http://www.sccp.org.co/plantilas/Libro%20SCCP/Lexias/torax/quilotorax/quilotorax.h
  • 73.
  • 74.
    Enfermedad de Bornholm  a infección relacionada con el virus Coxsackie que provoca espasmos dolorosos en los músculos del pecho y la parte superior del abdomen.  Dura 4 dias  Abrazo del diablo  Dolor unilateral
  • 75.
    DIAGNOSTICO DIFERENCIAL DE LOSDERRAMES PLEURALES BLANCA FLOR RIOS GOMEZ 502
  • 76.
    METODOS DIAGNOSTICOS  DIAGNOSTICO DE DERRAME PLEURAL  MEDIANTE TECNICAS DE IMAGEN :  1. RADIOGRAFIA DE TORAX PA  2. RADIOGRAFIA DE TORAX LATERAL  3. RADIOGRAFIA DE TORAX DECUBITO  LATERAL.  4. ULTRASONOGRAFIA DE TORAX  5. TOMOGRAFIA DEL TORAX http://es.scribd.com/doc/36096227/DERRAME-PLEURAL-I
  • 77.
    RADIOGRAFIA DE TORAX  No se puede detectar la etiología del derrame  Hallazgos: borramiento del ángulo costofrénico u opacificación de la base del hemitórax.  El líquido forma una concavidad superior denominada Menisco Pleural. http://es.scribd.com/doc/36096227/DERRAME-PLEURAL-I
  • 78.
    RADIOGRAFIA DE TORAX  Desplazamiento del mediastino hacia el lado contrario al derrame.  En las radiografías laterales pueden identificarse cantidades de líquido a partir de 25-50 ml, y en las PA a partir de unos 200-300 ml http://es.scribd.com/doc/36096227/DERRAME-PLEURAL-I
  • 79.
  • 80.
  • 81.
  • 82.
  • 83.
  • 84.
    DERRAME PLEURAL PEQUEÑO http://es.scribd.com/doc/36096227/DERRAME-PLEURAL-I
  • 85.
  • 86.
    RADIOGRAFIA EN DECUBITOLATERAL  Rx en Decúbito Lateral si existe duda (para confirmar la distribución libre del líquido pleural).  Para realizar toracocentesis en base a la radiografía decúbito lateral será necesario la existencia de al menos de 1 cm de distancia de la línea horizontal del derrame y la pared interna del tórax. http://es.scribd.com/doc/36096227/DERRAME-PLEURAL-I
  • 87.
  • 88.
    RX EN DECUBITOLATERAL http://es.scribd.com/doc/36096227/DERRAME-PLEURAL-I
  • 89.
    DERRAME PLEURAL UNILATERAL  Tuberculosis  Neumonía  Infarto pulmonar  Metástasis tumorales  Tumores pleurales  Linfomas  Traumatismos torácicos  Pancreatitis http://es.scribd.com/doc/36096227/DERRAME-PLEURAL-I
  • 90.
    DERRAME PLEURAL BILATERAL ICC  Colagenosis  Enfermedades hepáticas  Enfermedades renales http://es.scribd.com/doc/36096227/DERRAME-PLEURAL-I
  • 91.
    ECOGRAFIA TORAXICA  Su mayor utilidad se basa en la localización de derrames pleurales pequeños o encapsulados consolidación.  Permite detectar derrames muy pequeños (hasta 10 ml).  Masas pleurales.  En casos de dudas de engrosamientos o derrames pleural.  Guía para realizar la toracocentesis http://es.scribd.com/doc/36096227/DERRAME-PLEURAL-I
  • 93.
    TOMOGRAFIA COMPUTARIZADA  No tiene uso rutinario.  Detecta derrames entre 5-10 ml.  Permite la detección del mediastino, parénquima pulmonar y espacio pleural.  Líquido pleural, masas pulmonares, atelectasias nódulos pulmonares, abscesos. http://es.scribd.com/doc/36096227/DERRAME-PLEURAL-I
  • 94.
    Tomografía Computarizada  Diferenciar: ◦ Lesión Pleural. ◦ Lesión Parénquima Pulmonar.  Distinguir: ◦ Empiema de Absceso pulmonar.  Detectar: ◦ Masas pleurales. ◦ Anormalidades del parénquima ocultadas.  Delimitar derrame loculado. http://es.scribd.com/doc/36096227/DERRAME-PLEURAL-I
  • 95.
    TAC EMPIEMA http://es.scribd.com/doc/36096227/DERRAME-PLEURAL-I
  • 96.
    TORACOCENTESIS  Es un procedimiento por medio del cual se extrae líquido del espacio pleural, a través de una aguja con fines diagnósticos y/o terapéuticos. http://es.scribd.com/doc/36096227/DERRAME-PLEURAL-I
  • 97.
    TORACOCENTESIS  Se puede realizar siempre que no hayan alteraciones de la hemostasia.  Es MANDATORIA en pacientes con derrame pleural que sospechamos que no son de tipo trasudado (RX lateral el derrame sea ≥ 1 cm).  TERAPEUTICA: Derrames pleurales masivos con dificultad respiratoria (para extraer un máximo de 1500 ml). http://es.scribd.com/doc/36096227/DERRAME-PLEURAL-I
  • 98.
    CONTRAINDICACIONES  Presencia de coagulopatías.  Alteraciones plaquetarias (<50,000 mm3)  Infección en el sitio de punción.  Falta de colaboración del paciente. http://es.scribd.com/doc/36096227/DERRAME-PLEURAL-I
  • 99.
    COMPLICACIONES  Neumotórax.  Hemotórax.  Infección.  Reflejo Vasovagal.  Dolor.  Hematoma subcutáneo.  Edema pulmonar por reexpansión brusca. http://es.scribd.com/doc/36096227/DERRAME-PLEURAL-I
  • 100.
  • 101.
  • 102.
  • 103.
  • 104.
    CRITERIOS DE LIGHTY LEE. 1. Proteínas pleural/séricas >0.5 2. Relación LDH pleural/sérica >0.6 3. LDH pleural de más de 2/3 el límite superior de su valor normal en el suero. • Si cumple Uno de los Anteriores es EXUDADO. • Tienen una significancia diagnostica con una sensibilidad del 98% y especificidad del 77% http://es.scribd.com/doc/36096227/DERRAME-PLEURAL-I
  • 105.
    CARACTERISTICAS QUE DIFERENCIAN EXUDADO DE TRASUDADO. PARAMETRO TRASUDADO EXUDADO Proteinas Líquido / Proteinas sericas < 0.5 > 0.5 DHL líquido < 200 UI > 200 UI DHL Líquido / DHL serica < 0.6 > 0.6 Cuando el líquido pleural es considerado trasudado no requiere estudios adicionales en la pleura; pues no enfermedad pleural y líquido es formado en respuesta fuerzas oncóticas o hidrostáticas. http://es.scribd.com/doc/36096227/DERRAME-PLEURAL-I
  • 106.
    OTROS CRITERIOS DIAGNOSTICOS  Colesterol total en líquido pleural mayor de 60 mg/dl  Relación de colesterol pleural/sérico mayor 0.4  La concentración de glucosa. Un resultado bajo (< 60 mg/dl) en el líquido pleural es sugestivo de empiema, neoplasia, TBC, LES o pleuresía reumática. http://es.scribd.com/doc/36096227/DERRAME-PLEURAL-I
  • 107.
    PARAMETROS BIOQUIMICOS SEGÚN SOSPECHA ETIOLOGICA  AMILASA: perforación esofágica, pancreatitis.  COLESTEROL: Diferenciar Exudado-trasudado, quilotorax, pseudoquilotorax.  ADA(adenosindeaminasa) : tuberculosis pleural (> 45U/L)  FACTOR REUMATOIDE : artritis reumatoide (> 1/320)  ANA : AR, LES. ( 1/160 o cociente > 1 ).  TRIGLICERIDOS : quilotorax ( > 110 mg/dl )  ACIDO HIALURONICO: Mesotelioma ( >75 mg/L ) http://es.scribd.com/doc/36096227/DERRAME-PLEURAL-I
  • 108.
    ESTUDIO DEL LIQUIDOPLEURAL  SOSPECHA DE CAUSA INFECCIOSA:  Tinción de Gram ( bacteriano) + Cultivo  Baciloscopía + Cultivo BAAR TB ( 8 sem. )  Directo y Cultivo para Hongos  SOSPECHA DE MALIGNIDAD:  Citológico ( Patología ) http://es.scribd.com/doc/36096227/DERRAME-PLEURAL-I
  • 109.
    BIOPSIA PLEURAL Biopsiapleural cerrada. Por toracoscopia. http://es.scribd.com/doc/36096227/DERRAME-PLEURAL-I