HEMORRAGIA
PARENQUIMATOSA
ESPONTANEA
Guillermo Enriquez Coronel
NEUROLOGIA 2020
Diagnóstico y Tratamiento de la
hemorragia intracerebral. Dr.
HEMORRAGIA PARENQUIMATOSA
• Es una colección de sangre dentro del
parénquima cerebral secundaria a una
rotura vascular no traumática.
• Gravedad variable, depende del tamaño,
tiempo de evolución y localización del
hematoma.
• Puede extenderse al sistema ventricular o
ESA.
Micheli-Fernández Pardal. Neurología 2ª Edición. Pág 61
EPIDEMIOLOGÍA
• Incidencia 6-35
35 pacientes x
100,000
habitantes por
año. Cifra
promedio de 13.
• Mayor número de
enfermos en
Japón, China y
afroamericanos
en USA,
hispanos.
• Predomina en el
sexo masc. <65
años
7:3
• Edad media en
hombres 61 años.
• Edad media en
mujeres: 65 años.
• 50% padece
hipertensión
arterial
II Congreso Virtual Neurocirugía . Hemorragia Parenquimatosa. Francisco Goyenechea Gutiérrez.
Instituto Nacional de Neurología y Neurocirugía. Ciudad de La Habana, Cuba
EPIDEMIOLOGÍA
• Tasa de mortalidad : 6 por 100,000 habitantes por año
• Se relaciona directamente con:
Tamaño del
hematoma (>50
ml pronóstico
muy malo).
Localización
Tiempo en que
se instaló
Edad
Demora en el dx
y tx
II Congreso Virtual Neurocirugía . Hemorragia Parenquimatosa. Francisco Goyenechea
Gutiérrez. Instituto Nacional de Neurología y Neurocirugía. Ciudad de La Habana, Cuba
CLASIFICACIÓN
PRIMARIAS
(80%)
Hemorragia
hipertensiva
(70%)
Angiopatía
amiloidea
(10%)
Debilitamiento de la pared de un vaso
por la presencia de trastornos
degenerativos
Ruptura del vaso de la red vascular
cerebral normal.
II Congreso Virtual Neurocirugía . Hemorragia Parenquimatosa. Francisco Goyenechea Gutiérrez. Instituto
Nacional de Neurología y Neurocirugía. Ciudad de La Habana, Cuba
SECUNDARIAS
(20%)
Malformaciones
vasculares.
a)Aneurismas
b)Malformaciones
arteriovenosas
Tumorales
Trastornos de la
coagulación
Vasculitis
-Enf. de Moya-Moya
-Sepsis
-Drogas
-Intoxicaciones
9% no se determina la causa
Enf. Moya-Moya:El paciente con
Moyamoya sufre estenosis progresiva y
oclusión de las arterias intracerebrales
basales.
II Congreso Virtual Neurocirugía . Hemorragia Parenquimatosa. Francisco Goyenechea Gutiérrez.
Instituto Nacional de Neurología y Neurocirugía. Ciudad de La Habana, Cuba
FACTORES DE RIESGO
Hipertensión Arterial:
induce alteraciones
degenerativas de la
pared de las arteriolas de
los vasos perforantes.
Diabetes Mellitus:
repercusión de esta
enfermedad metabólica
sobre el sistema vascular
Hábito de fumar:
Favorece la aparición
de alteraciones
vasculares.
El consumo diario de 50-
100 ml de alcohol: parece
que sus efectos son
consecuencia de las
alteraciones hepáticas que
puede inducir y su efecto
sobre la tensión arterial
sistémica.
Uso de
anticoagulantes.
II Congreso Virtual Neurocirugía . Hemorragia Parenquimatosa. Francisco Goyenechea Gutiérrez.
Instituto Nacional de Neurología y Neurocirugía. Ciudad de La Habana, Cuba
OTROS FACTORES
• Colesterol alto
• Elevación del hematocrito
• Aumento de la urea en sangre
• Dieta
• Terapia fibrinolítica (fase aguda de infarto
al miocardio) Activador tisular del
plasminógeno.
II Congreso Virtual Neurocirugía . Hemorragia Parenquimatosa. Francisco Goyenechea Gutiérrez.
Instituto Nacional de Neurología y Neurocirugía. Ciudad de La Habana, Cuba
LOCALIZACIÓN
• 50% en áreas de los núcleos grises basales:
– Putaminales, por compromiso de las arterias lentículo-estriadas
– Talámicas por afectación de las arterias tálamo-geniculadas),
• Lobares (31%) , estando la mitad próximos a la
encrucijada ventricular
– Lóbulo temporal- aneurismas de cerebral media
– Lóbulo frontal-aneurismas de comunicante anterior
• Cerebelosas (10%) con lesiones en las arterias
cerebelosas postero-inferiores o cerebelosas superiores
y
• Tronco cerebral (10%), sobre todo a nivel
protuberancial con compromiso de ramos perforantes
de la arteria basilar.
Diagnóstico y Tratamiento de la
hemorragia intracerebral. Dr.
Diagnóstico y Tratamiento de la
hemorragia intracerebral. Dr.
Diagnóstico y Tratamiento de la
hemorragia intracerebral. Dr.
ETIOPATOGENIA
• Hipertensión arterial crónica
– Cambios degenerativos en las paredes
arteriales sobre todo en la capa media y en
los vasos perforantes (arterioesclerosis)
– Incluyen diversos cambios
anatomopatológicos como: hialinosis,
microateromas, necrosis fibrinoide,
lipohialinosis y contribuyen a la formación de
microaneurismas.
Diagnóstico y Tratamiento de la
hemorragia intracerebral. Dr.
ETIOPATOGENIA
• 40% presenta pseudoaneurisma de
Charcot
Dilataciones saculares de las arteriolas mas
pequeñas, entre 0,1 y 0,2 mm, secundarias a
ausencia de fibras musculares lisas e
infiltración plasmocitaria de la pared vascular
y situadas en la bifurcación de los vasos
perforantes y que su ruptura da lugar a
pequeños hematomas y forma lagunas.
Diagnóstico y Tratamiento de la
hemorragia intracerebral. Dr.
Angiopatía amiloidea
Las hemorragias amiloideas
se observan en la sustancia
blanca del centro semioval
parieto-occipital.
Mal delimitadas
Múltiples
Diagnóstico y Tratamiento de la
hemorragia intracerebral. Dr.
ETIOPATOGENIA
• Tumores
• Aneurismas micóticos desarrollados por
endocarditis infecciosa.
• Drogadictos-vasculitis Episodio
hipertensivo por efecto simpaticomimético.
Diagnóstico y Tratamiento de la
hemorragia intracerebral. Dr.
FISIOPATOLOGÍA
Diagnóstico y Tratamiento de la
hemorragia intracerebral. Dr.
• HEMORRAGIA CEREBRAL
• Sangrado es de corta duración, no parece
prolongarse más allá de una hora.
• Sangramiento persistente se debe
sospechar de malformación vascular, una
coagulopatía o hemorragia de tumor.
• Se presentan en vigilia y actividad.
Diagnóstico y Tratamiento de la
hemorragia intracerebral. Dr.
Hemorragia
Hipertensión endocraneal
Alteración de los mecanismos
de autoregulación de la
circulación
Isquemia local
Edema
Desplaza al tejido sano,
disecando entre las fibras
de la sustancia blanca
Hemostasia-formación
de coagulo de
plaquetas, fibrina y GR
Disminuida en caso de medicación
anticoagulante, alcohol y
coagulopatías
Diagnóstico y Tratamiento de la
hemorragia intracerebral. Dr.
DÉFICIT CLÍNICO
Efecto de masa
Desplazamiento
del tejido
cerebral
Edema cerebral
Isquemia
Extensión a
ventrículos e
hidrocefalia
Diagnóstico y Tratamiento de la
hemorragia intracerebral. Dr.
HEMORRAGIA CEREBRAL
• Fagocitosis
• Reducción del volumen de la hemorragia y
el edema a partir de la 2da semana.
• Disminuye el tamaño de la lesión.
• Astrocitos proliferan malrginalmente al
hematoma en reabsorción
Diagnóstico y Tratamiento de la
hemorragia intracerebral. Dr.
Cuadro Clínico y Localización
• Déficit neurológico focal con perfil de
instalación aguda.
• Síntomas y signos de hipertensión
endocraneal.
– Hemiplejia
– Cefalea
– Vómitos
– Compromiso de conciencia
Diagnóstico y Tratamiento de la
hemorragia intracerebral. Dr.
Cuadro Clínico y localización
• Hemorragias putaminales o ganglionar
laterales.
Cefalea de localización
temporal en 67%
(hemorragias extensas)
Diagnóstico y Tratamiento de la
hemorragia intracerebral. Dr.
Cuadro clínico y localización
• Hemorragia Talámica o ganglionar medial
Rotura de vasos
circulantes
Hematoma
localizado y/o
lesión
destructiva
Involucra región
de pedúnculos
cerebrales y
mesencéfalo
Instalación aguda de
gravísimo compromiso
de conciencia
• Coma
• Sinergias flexoras de
decorticación o extensoras
de descerebración.
• Déficit sensitivo-motor
severo.
• Hemiplejia, desviación
conjugada de cabeza y ojos
a lado de la lesión
Hemianopsia homónima
Parálisis de miradas
conjugadas verticales hacia
arriba y anisocoria al
extenderse caudalmente
Diagnóstico y Tratamiento de la
hemorragia intracerebral. Dr.
Cuadro clínico y localización
• Las hemorragias talámicas
parenquimatosas mediales vaciadas al
ventrículo, pueden semejar el cuadro
clínico de la HSA espontánea por ruptura
de un aneurisma congénito con cefalea,
signos de irritación meníngea, confusión y
pocos signos de localización
Diagnóstico y Tratamiento de la
hemorragia intracerebral. Dr.
Cuadro clínico y localización
MAL PRONÓSTICO.
– Presencia de coma en primeras 24 hrs
– Anomalías pupilares
– Trastornos de miradas verticales
BUEN PRONÓSTICO.
Hemorragias pequeñas asociadas a HA.
MUY MAL PRONÓSTICO.
Hemorragias que se extienden a regiones
vecinas (temporal y/o parietales), cefalea,
hemianopsia homónima, alteraciones sensitivas
y motoras Diagnóstico y Tratamiento de la
hemorragia intracerebral. Dr.
Cuadro clínico y localización
• Hemorragias protuberanciales
PROTUBERANCIA
Sitio más frecuente
de las hemorragias en
el tallo cerebral
Resultado de la
ruptura de vasos
perforantes
paramedianos de la a.
basilar
Pacientes hipertensos
Hemorragia tegmento
medial- grave
Cefalea
Compromiso de
conciencia (coma)
Cuadriplejia
Alt. De la motilidad
ocular
Miosis con respuesta
conservada al
estímulo luminoso
No hay alt, del campo
visual, visión borrosa
o hemianopsia
homónima
Diagnóstico y Tratamiento de la
hemorragia intracerebral. Dr.
Cuadro Clínico y Localización
• Hemorragias cerebelosas
Déficit
neurológico
Ataxia de
tronco o
extremidades
Vértigo
Nistagmus
Alt en la
motilidad
ocular
Cefalea
Vómitos
Diagnóstico y Tratamiento de la
hemorragia intracerebral. Dr.
Incapacidad para caminar y
mantenerse de pie
Ataxia de la
marcha
Hemorragia del
vermis
Hemorragias
hemisféricas
(laterales)
Ataxia
segmentaria de
las extremidades
ipsilaterales
Hemorragias
mediales y
ventrales del
pedúnculo
cerebeloso
Triada: ataxia
de la marcha
Paresia facial
ipsilateral
Paresia de
mirada
conjugada
Diagnóstico y Tratamiento de la
hemorragia intracerebral. Dr.
HEMORRAGIA CEREBRAL
• Las hemorragias >3 cm, con invasión
intraventricular e hidrocefalia, presentan
un deterioro rápido de su condición
clínica, con mortalidad cercana al 33%
aún con tx quirúrgico.
Diagnóstico y Tratamiento de la
hemorragia intracerebral. Dr.
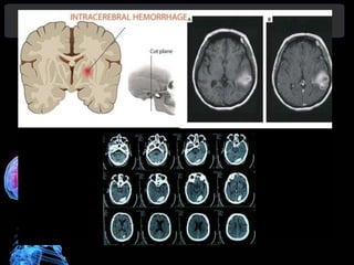
DIAGNÓSTICO
• Sexta década de la vida
• Antecedentes de varios años de hipertensión arterial
• Diurno en plena actividad o esfuerzo.
• Comienzo agudo, fulminante
• Frecuentemente cefalea inicial
• Hipertensión arterial al ingreso
• Alteración de conciencia
• Déficit motor evidente, hemiplejía facio braquio crural
• Ausencia de trauma o intoxicaciones
Diagnóstico y Tratamiento de la
hemorragia intracerebral. Dr.
DIAGNÓSTICO
• TC permite mostrar la presencia de una
HIP, HSA, infarto isquémico, o demostrar
una patología preexistente.
Diagnóstico y Tratamiento de la
hemorragia intracerebral. Dr.
DIAGNÓSTICO
• Evidencia el tamaño, localización, edema
satelite, desplazamientos por efecto de
masa, invasión ventricular y la
hidrocefalia.
• Permite orientar el tratamiento y estimar
un pronóstico
Diagnóstico y Tratamiento de la
hemorragia intracerebral. Dr.
DIAGNÓSTICO
• Algunos pacientes pueden presentar un
refuerzo periférico de la lesión al término
de la segunda semana, más frecuente en
hemorragias lobares y se puede confundir
con gliomas, metástasis o abscesos.
• RMN no ha significado una contribución
importante en el dx de ECV hemorrágico.
Diagnóstico y Tratamiento de la
hemorragia intracerebral. Dr.
Diagnóstico y Tratamiento de la
hemorragia intracerebral. Dr.
Diagnóstico y Tratamiento de la
hemorragia intracerebral. Dr.
Diagnóstico y Tratamiento de la
hemorragia intracerebral. Dr.
DIAGNÓSTICO
• Fondo de ojo: Sencillo, al alcance del medico
general nos permitirá evaluar el estado del árbol
vascular
• Laboratorio: Hemograma, hematocrito,
glucemia, creatinina, electrolitos y gases en
sangre.
• Punción lumbar: Solo indicada para el
diagnostico diferencial de los síndromes
meníngeos o para certificar la hemorragia
subaracnoidea, tras haber descartado
hipertensión endocraneana.Diagnóstico y Tratamiento de la
hemorragia intracerebral. Dr.
TRATAMIENTO
• Las medidas inmediatas son la
estabilización cardiorespiratoria, controlar
el aumento de la presión intracraneal
(PIC) y prevenir la ocurrencia de
convulsiones.
• Evaluación del estado de conciencia-
permeabilidad de la vía aérea.
• La presencia de hipoxia tiende a aumentar
la PIC
Diagnóstico y Tratamiento de la
hemorragia intracerebral. Dr.
TRATAMIENTO
• ECG <8- Intubación
• Cifras de PA media >125-135 mmHg
deben tratarse.
– Labetalol 10-20 mg IV, dosis puede repetirse
c/10 min hasta alcanzar 160 mg.
– Nitroprusiato IV, dosis inicial de 2 mcg/kg/min
Diagnóstico y Tratamiento de la
hemorragia intracerebral. Dr.
TRATAMIENTO
• Uso de anticoagulantes o fibrinolíticos,
efecto debe ser revertido con el uso de :
• Sulfato de protamina en infusión IV lenta
1mg por c/100 U de heparina plasmática
sobre un periodo de 10 min.
Diagnóstico y Tratamiento de la
hemorragia intracerebral. Dr.
Tratamiento de hipertensión
intracraneana
• Manitol, dosis inicial de 0.75-1 g/kg,
seguida por 0.25-0.5 g/kg cada 3 a 5
horas. No más de 5 días
• Barbitúricos IV. Pentobarbital a una dosis
de 1 a 5 mg/kg.
Neurología Micheli-Fernández
Tratamiento de hematomas
secundarios a anticoagulantes
• Iny IV de 10-20 mg de vitamina K seguida
por
• Infusión de factores de la coagulación II,
VII, IX y X o plasma fresco congelado
Diagnóstico y Tratamiento de la
hemorragia intracerebral. Dr.
TRATAMIENTO QUIRÚRGICO
Hemorragia cerebelosa:
• Hemorragias cerebelosas hemisféricas de diámetro <3
cm y sin hidrocefalia tienen buen pronóstico con
tratamiento no-quirúrgico.
• Hematomas de >3 cm de diámetro con hidrocefalia
supratentorial tienen tendencia a producir compresión
del tronco cerebral, que es frecuentemente fatal, a no
ser que sean tratados quirúrgicamente, con
ventriculostomía inicial, rápidamente seguida de
decompresión de la fosa posterior con drenaje del
hematoma.
Diagnóstico y Tratamiento de la hemorragia intracerebral. Dr.
Carlos Kase. Boston University.
TRATAMIENTO
Hemorragia lobar:
• Hemorragias lobares de tamaño intermedio (volúmen
de 20 a 60 cm3) son frecuentemente considerados
candidatos para tratamiento quirúrgico, especialmente
cuando se observa un progresivo deterioro del nivel de
conciencia en asociación con evidencia de aumento de
tamaño del hematoma en la TAC. Este abordaje
quirúrgico se favorece por la ubicación superficial del
hematoma, que hace que el traumatismo quirúrgico sea
menos importante que en casos de hematomas
hemisféricos profundos.
Diagnóstico y Tratamiento de la hemorragia
intracerebral. Dr. Carlos Kase. Boston University.
Diagnóstico y Tratamiento de la hemorragia
intracerebral. Dr. Carlos Kase. Boston University.
Diagnóstico y Tratamiento de la
hemorragia intracerebral. Dr.
Diagnóstico y Tratamiento de la
hemorragia intracerebral. Dr.
Diagnóstico y Tratamiento de la
hemorragia intracerebral. Dr.
Diagnóstico y Tratamiento de la
hemorragia intracerebral. Dr.
FIN DE LA PRESENTACION
GRACIAS POR SU ATENCION
Diagnóstico y Tratamiento de la
hemorragia intracerebral. Dr.

Hemorragia parenquimatosa 2020

  • 1.
    HEMORRAGIA PARENQUIMATOSA ESPONTANEA Guillermo Enriquez Coronel NEUROLOGIA2020 Diagnóstico y Tratamiento de la hemorragia intracerebral. Dr.
  • 2.
    HEMORRAGIA PARENQUIMATOSA • Esuna colección de sangre dentro del parénquima cerebral secundaria a una rotura vascular no traumática. • Gravedad variable, depende del tamaño, tiempo de evolución y localización del hematoma. • Puede extenderse al sistema ventricular o ESA. Micheli-Fernández Pardal. Neurología 2ª Edición. Pág 61
  • 3.
    EPIDEMIOLOGÍA • Incidencia 6-35 35pacientes x 100,000 habitantes por año. Cifra promedio de 13. • Mayor número de enfermos en Japón, China y afroamericanos en USA, hispanos. • Predomina en el sexo masc. <65 años 7:3 • Edad media en hombres 61 años. • Edad media en mujeres: 65 años. • 50% padece hipertensión arterial II Congreso Virtual Neurocirugía . Hemorragia Parenquimatosa. Francisco Goyenechea Gutiérrez. Instituto Nacional de Neurología y Neurocirugía. Ciudad de La Habana, Cuba
  • 4.
    EPIDEMIOLOGÍA • Tasa demortalidad : 6 por 100,000 habitantes por año • Se relaciona directamente con: Tamaño del hematoma (>50 ml pronóstico muy malo). Localización Tiempo en que se instaló Edad Demora en el dx y tx II Congreso Virtual Neurocirugía . Hemorragia Parenquimatosa. Francisco Goyenechea Gutiérrez. Instituto Nacional de Neurología y Neurocirugía. Ciudad de La Habana, Cuba
  • 5.
    CLASIFICACIÓN PRIMARIAS (80%) Hemorragia hipertensiva (70%) Angiopatía amiloidea (10%) Debilitamiento de lapared de un vaso por la presencia de trastornos degenerativos Ruptura del vaso de la red vascular cerebral normal. II Congreso Virtual Neurocirugía . Hemorragia Parenquimatosa. Francisco Goyenechea Gutiérrez. Instituto Nacional de Neurología y Neurocirugía. Ciudad de La Habana, Cuba
  • 6.
    SECUNDARIAS (20%) Malformaciones vasculares. a)Aneurismas b)Malformaciones arteriovenosas Tumorales Trastornos de la coagulación Vasculitis -Enf.de Moya-Moya -Sepsis -Drogas -Intoxicaciones 9% no se determina la causa Enf. Moya-Moya:El paciente con Moyamoya sufre estenosis progresiva y oclusión de las arterias intracerebrales basales. II Congreso Virtual Neurocirugía . Hemorragia Parenquimatosa. Francisco Goyenechea Gutiérrez. Instituto Nacional de Neurología y Neurocirugía. Ciudad de La Habana, Cuba
  • 7.
    FACTORES DE RIESGO HipertensiónArterial: induce alteraciones degenerativas de la pared de las arteriolas de los vasos perforantes. Diabetes Mellitus: repercusión de esta enfermedad metabólica sobre el sistema vascular Hábito de fumar: Favorece la aparición de alteraciones vasculares. El consumo diario de 50- 100 ml de alcohol: parece que sus efectos son consecuencia de las alteraciones hepáticas que puede inducir y su efecto sobre la tensión arterial sistémica. Uso de anticoagulantes. II Congreso Virtual Neurocirugía . Hemorragia Parenquimatosa. Francisco Goyenechea Gutiérrez. Instituto Nacional de Neurología y Neurocirugía. Ciudad de La Habana, Cuba
  • 8.
    OTROS FACTORES • Colesterolalto • Elevación del hematocrito • Aumento de la urea en sangre • Dieta • Terapia fibrinolítica (fase aguda de infarto al miocardio) Activador tisular del plasminógeno. II Congreso Virtual Neurocirugía . Hemorragia Parenquimatosa. Francisco Goyenechea Gutiérrez. Instituto Nacional de Neurología y Neurocirugía. Ciudad de La Habana, Cuba
  • 9.
    LOCALIZACIÓN • 50% enáreas de los núcleos grises basales: – Putaminales, por compromiso de las arterias lentículo-estriadas – Talámicas por afectación de las arterias tálamo-geniculadas), • Lobares (31%) , estando la mitad próximos a la encrucijada ventricular – Lóbulo temporal- aneurismas de cerebral media – Lóbulo frontal-aneurismas de comunicante anterior • Cerebelosas (10%) con lesiones en las arterias cerebelosas postero-inferiores o cerebelosas superiores y • Tronco cerebral (10%), sobre todo a nivel protuberancial con compromiso de ramos perforantes de la arteria basilar.
  • 10.
    Diagnóstico y Tratamientode la hemorragia intracerebral. Dr.
  • 11.
    Diagnóstico y Tratamientode la hemorragia intracerebral. Dr.
  • 12.
    Diagnóstico y Tratamientode la hemorragia intracerebral. Dr.
  • 13.
    ETIOPATOGENIA • Hipertensión arterialcrónica – Cambios degenerativos en las paredes arteriales sobre todo en la capa media y en los vasos perforantes (arterioesclerosis) – Incluyen diversos cambios anatomopatológicos como: hialinosis, microateromas, necrosis fibrinoide, lipohialinosis y contribuyen a la formación de microaneurismas. Diagnóstico y Tratamiento de la hemorragia intracerebral. Dr.
  • 14.
    ETIOPATOGENIA • 40% presentapseudoaneurisma de Charcot Dilataciones saculares de las arteriolas mas pequeñas, entre 0,1 y 0,2 mm, secundarias a ausencia de fibras musculares lisas e infiltración plasmocitaria de la pared vascular y situadas en la bifurcación de los vasos perforantes y que su ruptura da lugar a pequeños hematomas y forma lagunas. Diagnóstico y Tratamiento de la hemorragia intracerebral. Dr.
  • 15.
    Angiopatía amiloidea Las hemorragiasamiloideas se observan en la sustancia blanca del centro semioval parieto-occipital. Mal delimitadas Múltiples Diagnóstico y Tratamiento de la hemorragia intracerebral. Dr.
  • 16.
    ETIOPATOGENIA • Tumores • Aneurismasmicóticos desarrollados por endocarditis infecciosa. • Drogadictos-vasculitis Episodio hipertensivo por efecto simpaticomimético. Diagnóstico y Tratamiento de la hemorragia intracerebral. Dr.
  • 17.
    FISIOPATOLOGÍA Diagnóstico y Tratamientode la hemorragia intracerebral. Dr.
  • 18.
    • HEMORRAGIA CEREBRAL •Sangrado es de corta duración, no parece prolongarse más allá de una hora. • Sangramiento persistente se debe sospechar de malformación vascular, una coagulopatía o hemorragia de tumor. • Se presentan en vigilia y actividad. Diagnóstico y Tratamiento de la hemorragia intracerebral. Dr.
  • 19.
    Hemorragia Hipertensión endocraneal Alteración delos mecanismos de autoregulación de la circulación Isquemia local Edema Desplaza al tejido sano, disecando entre las fibras de la sustancia blanca Hemostasia-formación de coagulo de plaquetas, fibrina y GR Disminuida en caso de medicación anticoagulante, alcohol y coagulopatías Diagnóstico y Tratamiento de la hemorragia intracerebral. Dr.
  • 20.
    DÉFICIT CLÍNICO Efecto demasa Desplazamiento del tejido cerebral Edema cerebral Isquemia Extensión a ventrículos e hidrocefalia Diagnóstico y Tratamiento de la hemorragia intracerebral. Dr.
  • 21.
    HEMORRAGIA CEREBRAL • Fagocitosis •Reducción del volumen de la hemorragia y el edema a partir de la 2da semana. • Disminuye el tamaño de la lesión. • Astrocitos proliferan malrginalmente al hematoma en reabsorción Diagnóstico y Tratamiento de la hemorragia intracerebral. Dr.
  • 22.
    Cuadro Clínico yLocalización • Déficit neurológico focal con perfil de instalación aguda. • Síntomas y signos de hipertensión endocraneal. – Hemiplejia – Cefalea – Vómitos – Compromiso de conciencia Diagnóstico y Tratamiento de la hemorragia intracerebral. Dr.
  • 23.
    Cuadro Clínico ylocalización • Hemorragias putaminales o ganglionar laterales. Cefalea de localización temporal en 67% (hemorragias extensas) Diagnóstico y Tratamiento de la hemorragia intracerebral. Dr.
  • 24.
    Cuadro clínico ylocalización • Hemorragia Talámica o ganglionar medial Rotura de vasos circulantes Hematoma localizado y/o lesión destructiva Involucra región de pedúnculos cerebrales y mesencéfalo Instalación aguda de gravísimo compromiso de conciencia • Coma • Sinergias flexoras de decorticación o extensoras de descerebración. • Déficit sensitivo-motor severo. • Hemiplejia, desviación conjugada de cabeza y ojos a lado de la lesión Hemianopsia homónima Parálisis de miradas conjugadas verticales hacia arriba y anisocoria al extenderse caudalmente Diagnóstico y Tratamiento de la hemorragia intracerebral. Dr.
  • 25.
    Cuadro clínico ylocalización • Las hemorragias talámicas parenquimatosas mediales vaciadas al ventrículo, pueden semejar el cuadro clínico de la HSA espontánea por ruptura de un aneurisma congénito con cefalea, signos de irritación meníngea, confusión y pocos signos de localización Diagnóstico y Tratamiento de la hemorragia intracerebral. Dr.
  • 26.
    Cuadro clínico ylocalización MAL PRONÓSTICO. – Presencia de coma en primeras 24 hrs – Anomalías pupilares – Trastornos de miradas verticales BUEN PRONÓSTICO. Hemorragias pequeñas asociadas a HA. MUY MAL PRONÓSTICO. Hemorragias que se extienden a regiones vecinas (temporal y/o parietales), cefalea, hemianopsia homónima, alteraciones sensitivas y motoras Diagnóstico y Tratamiento de la hemorragia intracerebral. Dr.
  • 27.
    Cuadro clínico ylocalización • Hemorragias protuberanciales PROTUBERANCIA Sitio más frecuente de las hemorragias en el tallo cerebral Resultado de la ruptura de vasos perforantes paramedianos de la a. basilar Pacientes hipertensos Hemorragia tegmento medial- grave Cefalea Compromiso de conciencia (coma) Cuadriplejia Alt. De la motilidad ocular Miosis con respuesta conservada al estímulo luminoso No hay alt, del campo visual, visión borrosa o hemianopsia homónima Diagnóstico y Tratamiento de la hemorragia intracerebral. Dr.
  • 28.
    Cuadro Clínico yLocalización • Hemorragias cerebelosas Déficit neurológico Ataxia de tronco o extremidades Vértigo Nistagmus Alt en la motilidad ocular Cefalea Vómitos Diagnóstico y Tratamiento de la hemorragia intracerebral. Dr. Incapacidad para caminar y mantenerse de pie
  • 29.
    Ataxia de la marcha Hemorragiadel vermis Hemorragias hemisféricas (laterales) Ataxia segmentaria de las extremidades ipsilaterales Hemorragias mediales y ventrales del pedúnculo cerebeloso Triada: ataxia de la marcha Paresia facial ipsilateral Paresia de mirada conjugada Diagnóstico y Tratamiento de la hemorragia intracerebral. Dr.
  • 30.
    HEMORRAGIA CEREBRAL • Lashemorragias >3 cm, con invasión intraventricular e hidrocefalia, presentan un deterioro rápido de su condición clínica, con mortalidad cercana al 33% aún con tx quirúrgico. Diagnóstico y Tratamiento de la hemorragia intracerebral. Dr.
  • 32.
    DIAGNÓSTICO • Sexta décadade la vida • Antecedentes de varios años de hipertensión arterial • Diurno en plena actividad o esfuerzo. • Comienzo agudo, fulminante • Frecuentemente cefalea inicial • Hipertensión arterial al ingreso • Alteración de conciencia • Déficit motor evidente, hemiplejía facio braquio crural • Ausencia de trauma o intoxicaciones Diagnóstico y Tratamiento de la hemorragia intracerebral. Dr.
  • 33.
    DIAGNÓSTICO • TC permitemostrar la presencia de una HIP, HSA, infarto isquémico, o demostrar una patología preexistente. Diagnóstico y Tratamiento de la hemorragia intracerebral. Dr.
  • 34.
    DIAGNÓSTICO • Evidencia eltamaño, localización, edema satelite, desplazamientos por efecto de masa, invasión ventricular y la hidrocefalia. • Permite orientar el tratamiento y estimar un pronóstico Diagnóstico y Tratamiento de la hemorragia intracerebral. Dr.
  • 35.
    DIAGNÓSTICO • Algunos pacientespueden presentar un refuerzo periférico de la lesión al término de la segunda semana, más frecuente en hemorragias lobares y se puede confundir con gliomas, metástasis o abscesos. • RMN no ha significado una contribución importante en el dx de ECV hemorrágico. Diagnóstico y Tratamiento de la hemorragia intracerebral. Dr.
  • 36.
    Diagnóstico y Tratamientode la hemorragia intracerebral. Dr.
  • 37.
    Diagnóstico y Tratamientode la hemorragia intracerebral. Dr.
  • 38.
    Diagnóstico y Tratamientode la hemorragia intracerebral. Dr.
  • 39.
    DIAGNÓSTICO • Fondo deojo: Sencillo, al alcance del medico general nos permitirá evaluar el estado del árbol vascular • Laboratorio: Hemograma, hematocrito, glucemia, creatinina, electrolitos y gases en sangre. • Punción lumbar: Solo indicada para el diagnostico diferencial de los síndromes meníngeos o para certificar la hemorragia subaracnoidea, tras haber descartado hipertensión endocraneana.Diagnóstico y Tratamiento de la hemorragia intracerebral. Dr.
  • 40.
    TRATAMIENTO • Las medidasinmediatas son la estabilización cardiorespiratoria, controlar el aumento de la presión intracraneal (PIC) y prevenir la ocurrencia de convulsiones. • Evaluación del estado de conciencia- permeabilidad de la vía aérea. • La presencia de hipoxia tiende a aumentar la PIC Diagnóstico y Tratamiento de la hemorragia intracerebral. Dr.
  • 41.
    TRATAMIENTO • ECG <8-Intubación • Cifras de PA media >125-135 mmHg deben tratarse. – Labetalol 10-20 mg IV, dosis puede repetirse c/10 min hasta alcanzar 160 mg. – Nitroprusiato IV, dosis inicial de 2 mcg/kg/min Diagnóstico y Tratamiento de la hemorragia intracerebral. Dr.
  • 42.
    TRATAMIENTO • Uso deanticoagulantes o fibrinolíticos, efecto debe ser revertido con el uso de : • Sulfato de protamina en infusión IV lenta 1mg por c/100 U de heparina plasmática sobre un periodo de 10 min. Diagnóstico y Tratamiento de la hemorragia intracerebral. Dr.
  • 43.
    Tratamiento de hipertensión intracraneana •Manitol, dosis inicial de 0.75-1 g/kg, seguida por 0.25-0.5 g/kg cada 3 a 5 horas. No más de 5 días • Barbitúricos IV. Pentobarbital a una dosis de 1 a 5 mg/kg. Neurología Micheli-Fernández
  • 44.
    Tratamiento de hematomas secundariosa anticoagulantes • Iny IV de 10-20 mg de vitamina K seguida por • Infusión de factores de la coagulación II, VII, IX y X o plasma fresco congelado Diagnóstico y Tratamiento de la hemorragia intracerebral. Dr.
  • 45.
    TRATAMIENTO QUIRÚRGICO Hemorragia cerebelosa: •Hemorragias cerebelosas hemisféricas de diámetro <3 cm y sin hidrocefalia tienen buen pronóstico con tratamiento no-quirúrgico. • Hematomas de >3 cm de diámetro con hidrocefalia supratentorial tienen tendencia a producir compresión del tronco cerebral, que es frecuentemente fatal, a no ser que sean tratados quirúrgicamente, con ventriculostomía inicial, rápidamente seguida de decompresión de la fosa posterior con drenaje del hematoma. Diagnóstico y Tratamiento de la hemorragia intracerebral. Dr. Carlos Kase. Boston University.
  • 46.
    TRATAMIENTO Hemorragia lobar: • Hemorragiaslobares de tamaño intermedio (volúmen de 20 a 60 cm3) son frecuentemente considerados candidatos para tratamiento quirúrgico, especialmente cuando se observa un progresivo deterioro del nivel de conciencia en asociación con evidencia de aumento de tamaño del hematoma en la TAC. Este abordaje quirúrgico se favorece por la ubicación superficial del hematoma, que hace que el traumatismo quirúrgico sea menos importante que en casos de hematomas hemisféricos profundos. Diagnóstico y Tratamiento de la hemorragia intracerebral. Dr. Carlos Kase. Boston University.
  • 47.
    Diagnóstico y Tratamientode la hemorragia intracerebral. Dr. Carlos Kase. Boston University.
  • 48.
    Diagnóstico y Tratamientode la hemorragia intracerebral. Dr.
  • 49.
    Diagnóstico y Tratamientode la hemorragia intracerebral. Dr.
  • 50.
    Diagnóstico y Tratamientode la hemorragia intracerebral. Dr.
  • 51.
    Diagnóstico y Tratamientode la hemorragia intracerebral. Dr.
  • 52.
    FIN DE LAPRESENTACION GRACIAS POR SU ATENCION Diagnóstico y Tratamiento de la hemorragia intracerebral. Dr.