ANA MARÍA ANGEL ISAZA
RESIDENTE DE EMERGENCIAS
UNIVERSIDAD ICESI
HEMORRAGIA INTRACEREBRAL
INTRODUCCIÓN
• Es una emergencia médica.
• El 20% de los pacientes experimentarán una disminución en el
Glasgow de 2 o más puntos en las primeras horas.
• 15 - 23% expansión del hematoma.
• Requiere identificación y manejo temprano.
Moon JS, et al. Prehospital neurologic deterioration in patients with intracerebral hemorrhage. Crit Care Med. 2008
Brott T, et al. Early hemorrhage growth in patients with intracerebral hemorrhage. Stroke. 1997.
Fan JS, et al.. Emergency department neurologic deterioration in patients with spontaneous intracerebral hemorrhage: incidence, predictors, and prognostic significance. Acad Emerg Med. 2012
DEFINICIÓN
Sangrado focal desde un vaso sanguíneo hacia el
parénquima cerebral en ausencia de trauma o qx.
OMS: Desarrollo de signos clínicos de alteración focal o global de la
función cerebral, con síntomas que tienen una duración de 24h o más,
o que progresan hacia la muerte y no tienen otra causa aparente que
un origen vascular.
• La definición incluye la HSA, la hemorragia intracerebral (parenquimatosa),
hemorragia no traumática (espontanea) y la lesión por isquemia.
Hatano S. WHO Stroke control programme. WHO Chron. 1972;26: 456–458
Moon JS, et al. Prehospital neurologic deterioration in patients with intracerebral hemorrhage. Crit Care Med. 2008
Salman et al.BMJ 2009;339:b2586
• La hemorragia suele ser
parenquimatosa.
• Puede involucrar los espacios
subaracnoideos, subdurales, e
intraventriculares.
• Raramente compromete el
espacio epidural.
EPIDEMIOLOGÍA
• Afecta > 1 millon de personas anualmente a nivel mundial.
- Mayor incidencia en Asia.
• 10- 15% de los infartos en USA.
• Es considerado el infarto de mayor mortalidad.
- Más en países de bajos ingresos 30-48% vs 15-35%
- Viene en disminución en los últimos 15 años en un 25%
• Alta morbilidad:
- 62.8 millones de años de vida ajustados por discapacidad se perdieron vs 39.4 x acv isquémico.
• La principal causa es la hipertensión no controlada.
Mozaffarian D, et al. Heart disease and stroke statistics—2016 update a report from the American Heart Association. Circulation 2015.
Van Asch CJ, et al. Incidence, case fatality, and functional outcome of intracerebral haemorrhage over time, according to age, sex, and ethnic origin. Lancet Neurol 2010.
CLASIFICACIÓN
Primaria: 70-80%
- Ruptura espontanea de los vasos sanguineos por HTA o angiopatía amiloide.
• Lobar y no lobar.
• Supratentorial y infratentorial.
Secundaria
• Condiciones adquiridas y congénitas.
• Malformaciones, tumores, desordenes de la cogulación, vasculitis,
anticogulantes, trombosis venosa, drogas de abuso.
Dastur CK, Yu W. Current management of spontaneous intracerebral haemorrhage. Stroke and Vascular Neurology 2017
• Lesiones vasculares eStructurales (S)
• Medicación (M)
• Angiopatía amiloide (A)
• Enfermedad Sistémica (S)
• Hipertensión (H)
• Indeterminada (U)
Stroke. 2012;43:2592-2597.
N= 1013
K = 0.89
Stroke. 2012;43:2592-2597.
Malformaciones AV y
cavernomas
5%
5%
14%
Cirrosis,
trombocitopenia
Exclusión:
Hematoma
subdural/epidural
HIC traumática
Hemorragia x tumor no
vascular.
Hemorragia
subaracnoidea
Acv con transformación
hemorrágica
Stroke. 2012;43:2592-2597.
20%
35%
21%
ALTA MORBI- MORTALIDAD
• Supervivencia a 1 año post HIC: 46% (95% CI 43% - 49%)
• Supervivencia a 5 año post HIC: 29% (95% CI 26% - 33%)
• Riesgo anual de recurrencia: 1.3-7.4%
Poon MTC, et al. J Neurol Neurosurg Psychiatry 2014;85:660–667
ALTA MORBI- MORTALIDAD
100%
75%
50%
25%
0%
HIC ACV ISQ
Independientes
Dependientes
Muertos
20% de los ptes con HIC
son independientes a los 6
meses vs 60% de los ptes
con acv isquemico
Mortalidad a los 6 meses
30-50%
Resultados a los 6 meses
Manno EM, et al. Mayo clinic pract. 2005; 80: 420-433
Mayer SA et al Lancet neurol 2005: 4-66
PREDICTORES DE MORTALIDAD
• Edad
• Disminución del Glasgow
• Volumen alto de HIC
• Hemorragia intra-ventricular
• Localización profunda infra-tentorial.
Poon MTC, et al. J Neurol Neurosurg Psychiatry 2014;85:660–667
PREDICTORES DE MORTALIDAD
Meretoja et al SMASH-U: An Etiologic Classification of ICH. Stroke. 2012;43:2592-2597.
Poon Bell , Al-Shahi Salman.Epidemiology of Intracerebral Haemorrhage. Front Neurol Neurosci. 2015;37:1-12.
PREDICTORES DE MAL PRONÓSTICO
Sang Joon An, et al. pidemiology, Risk Factors, and Clinical Features of Intracerebral Hemorrhage: An Update Journal of Stroke 2017;19(1):3-10
NO HACER NADA
MATA!
NEUROLOGY 2007;68:1651–1657
Duplicación en el riesgo de
muerte a los 30 días.
HR 2.17 (IC 95% 1.38 - 3.41)
NEUROLOGY 2007;68:1651–1657
Diringer MN, Edwards DF. Admission to a neurologic/neurosurgical intensive care unit is associated with reduced mortality rate after
intracerebral hemorrhage. Crit Care Med. 2001.
Survival function of the Cox survival analysis plotted as the mean of the covariates
identified in the multiple regression indicating cumulative survival of patients admitted to
neurologic/ neurosurgical (Neuro) and general intensive care units.
[OR], 3.4; 95% [CI], 1.65–7.6
Mejores
cuidados menor
mortalidad
IDENTIFICAR LA HIC
HISTORIA EF LABORATORIOS NEUROIMAGEN
Dastur CK, Yu W. Current management of spontaneous intracerebral haemorrhage. Stroke and Vascular Neurology 2017
• Inicio súbito de sintomatología neurológica
• Vomito
• PAS > 220 mmHg
• Cefalea intensa
• Coma
• Disminución del nivel de consciencia
• Progresión de los síntomas en minutos a horas.
• Focalización: consecuencia del tissue shift y herniación
PRESENTACIÓN CLÍNICA
Dastur CK, Yu W. Current management of spontaneous intracerebral haemorrhage. Stroke and Vascular Neurology 2017
¿ISQUÉMICO O HEMORRÁGICO?
NEUROIMAGEN
TAC: sensible para identificar sangrado RMN T2 y eco gradiente: agudo y cronico
Nancy J. Fischbeina, et al. Nontraumatic Intracranial Hemorrhage. Neuroimag Clin N Am 20 (2010) 469–492
¿CUÁL ESCOGER?
Tiempo Costo Tolerancia Disponibilidad
Jeremy J. et al. Imaging of Intracranial Hemorrhage. Journal of Stroke 2017
Scott D. Smith et al, Hemorrhagic Stroke. Radiol Clin N Am 49 (2011) 27–45
Nancy J. Fischbeina, et al. Nontraumatic Intracranial Hemorrhage. Neuroimag Clin N Am 20 (2010) 469–492
¿HAY SANGRADO?
SI
¿PORQUÉ?
Angiotac
RM eco gradiente (GRE) + angioRM
Venografía MR
RM PARA IDENTIFICAR CAUSAS
ESPECIFICAS DEL SANGRADO
• Realizar estudios si hay signos sugestivos de trombosis venosa o
para estudio de lesiones secundarias.
• Evaluar la causa.
• Localización de la hemorragia.
• Edema.
• Evaluar el parénquima cerebral.
• Signo anormal en senos cerebrales.
• Aguda o Crónica.
Jeremy J. et al. Imaging of Intracranial Hemorrhage. Journal of Stroke 2017
Scott D. Smith et al, Hemorrhagic Stroke. Radiol Clin N Am 49 (2011) 27–45
Nancy J. Fischbeina, et al. Nontraumatic Intracranial Hemorrhage. Neuroimag Clin N Am 20 (2010) 469–492
Scott D. Smith et al, Hemorrhagic Stroke. Radiol Clin N Am 49 (2011) 27–45
Nancy J. Fischbeina, et al. Nontraumatic Intracranial Hemorrhage. Neuroimag Clin N Am 20 (2010) 469–492
T1W Agudo =desoxihemoglobina isointensa. T1W Subagudo temprano, señal alta. T1W Subagudo tardío.
T2W intensidad de señal baja, borde circundante brillante
=edema vasogénico.
T2W intensidad de señal central baja =
metahemoglobina intracel en el hematoma.
T2W señal alta en el hematoma =metahemoglobina extracel.
Edema vasogénico circundante, efecto de masa con hernia
uncal y compresión del cerebro medio.
CAUSAS Y PATRONES EN LA
NEUROIMAGÉN
• Efecto sistémico de la presión en las arterias pequeñas penetrantes.
• Desarrollo de hiperplasia e hialinizacion de la intima y degeneración
de la media. Predispone a necrosis focal y ruptura.
• Desarrollo de micro aneursimas (Charcot Bouchard), que se rompen y
resultan en sangrado.
Causas y patrones en neuromagén: HIPERTENSIÓN ARTERIAL- FISIOPATOLOGÍA
Jeremy J. et al. Imaging of Intracranial Hemorrhage. Journal of Stroke 2017
Scott D. Smith et al, Hemorrhagic Stroke. Radiol Clin N Am 49 (2011) 27–45
Nancy J. Fischbeina, et al. Nontraumatic Intracranial Hemorrhage. Neuroimag Clin N Am 20 (2010) 469–492
Causas y patrones en neuromagén: HIPERTENSIÓN ARTERIAL- FISIOPATOLOGÍA
60% 15-25
5-10% Dastur CK, Yu W. Stroke and Vascular Neurology 2017
• Los sangrados originados en los ganglios
basales y tronco cerebral tienen mayor
probabiliad de extensión al sistema
ventricular.
• Microsangrados en la distribución de los
vasos pequeños perforantes.
• Consecuencia de la arteriopatia
hipertensiva resultante en sangrado de
volumen pequeño que es generalmente
crónico y multifocal.
• MR: Microsangrado focal con perdida de
señal < 10mm
Causas y patrones en neuromagén: HIPERTENSIÓN ARTERIAL- LOCALIZACIÓN
Nancy J. Fischbeina, et al. Nontraumatic Intracranial Hemorrhage. Neuroimag Clin N Am 20 (2010) 469–492
EXPANSIÓN DEL HEMATOMA
• Aumento del hematoma – peor pronóstico funcional y muerte
• Tac las primeras 3h: Exapnsión de más de 1/3 del vol inicial 28 -38%.
¿Cómo identificar los ptes con alto riesgo de exapansión del sangrado?
Angiotac (extravasación focal del contraste) y TAC contrastado.
• Tiempo inicial de tac.
• Volumenes de sangrado grandes en tac inicial
• Anticogulantes orales.
• Hiperglicemia
• ERC
• Disfunción plaquetaria
• PA elevada Jeremy J. et al. Imaging of Intracranial Hemorrhage. Journal of Stroke 2017
Scott D. Smith et al, Hemorrhagic Stroke. Radiol Clin N Am 49 (2011) 27–45
Nancy J. Fischbeina, et al. Nontraumatic Intracranial Hemorrhage. Neuroimag Clin N Am 20 (2010) 469–492
EXPANSIÓN DEL HEMATOMA
Signo del punto en tac
• 1-2 mm foco de realice intenso within el
hematoma
• Pseudoaneurisma pequeño o
extravasación activa.
• Su hallazgo en el tac realizado dentro de
las 3 primeras horas del inicio de los
sintomas predice aumento del sangrado.
• Puntaje del signo del punto.
• Predictores: dimension máxima axial del
punto, atenuación máxima en el mayor
punto.
• Predice mortalidad y pobre funcionalidad.
Ederies A, et al. Postcontrast CT extravasation is associated with hematoma expansion in CTA spot negative patients. Stroke 2009
Delgado Almandoz JE. Systematic characterization of the computed tomography angiography spot sign in primary intracerebral hemorrhage Stroke 2009
Delgado Almandoz JE, et al. The spot sign score in primary intracerebral hemorrhage identifies patients at highest risk of in-hospital mortality and poor outcome among survivors. Stroke 2010.
Causas y patrones en neuromagén: ANGIOPATÍA AMILOIDEA
• Edad avanzada (>60 años)
• Depositos de peptido beta amilode en vasos de pequeño y mediano calibre.
• Los vasos afectados desarrollan degeneracion fibrinoide, necrosis y formacion de microaneurismas , los segmentos debilitados pueden romperse.
• Hay obliteración del lumen vascular – infartos - leucoencefalopatia
• Localización: Corteza y subcorteza en la sustancia blanca, ganglios basales y fosa posterior. Más en lobulo occipital y temporal.
• Pueden extenderse al espacio subaracnoideo.
• Microsangrados: hacia la periferia del cerebelo y región crotico-subcortical de los hemisferios.
Jeremy J. et al. Imaging of Intracranial Hemorrhage. Journal of Stroke 2017
Scott D. Smith et al, Hemorrhagic Stroke. Radiol Clin N Am 49 (2011) 27–45
Causas y patrones en neuromagén: MALFORMACIONES VASCULARES CEREBRALES
ARTERIOVENOSAS
• 4% HIC-
• Localización: drenaje
venoso profundo.
• Imagén: Vasos largos o
calcificaciones dentro del
hematoma , nido vascular.
4 TIPOS: Venosas, arteriovenosas, telangiectasias, cavernosas.
Riesgo de HIC: Arterio-Venosas y cavernosas.
Scott D. Smith et al, Hemorrhagic Stroke. Radiol Clin N Am 49 (2011) 27–45
Nancy J. Fischbeina, et al. Nontraumatic Intracranial Hemorrhage. Neuroimag Clin N Am 20 (2010) 469–492
Jeremy J. et al. Imaging of Intracranial Hemorrhage. Journal of Stroke 2017
Causas y patrones en neuromagén: MALFORMACIONES VASCULARES CEREBRALES
CAVERNOSAS
• La pared delgada sin musculo ni tejdo
elástico.
• Microhemorragias crónicas.
• Riesgo de re sangrado 4.5- 26% por año.
• La hemorragia es más pequeña que con las
AV.
• Puede contener calcificaciones.
• Imagen de crispeta.
• Venas tubulares que drenan a al seno o a la
superficie ependimaria
Scott D. Smith et al, Hemorrhagic Stroke. Radiol Clin N Am 49 (2011) 27–45
Nancy J. Fischbeina, et al. Nontraumatic Intracranial Hemorrhage. Neuroimag Clin N Am 20 (2010) 469–492
Causas y patrones en neuromagén: ACV ISQUÉMICO CON TRANSFORMACIÓN HEMORRAGICA
• Sangrado en el área de isquemia preexistente.
• 2 patrones: petequial y parenquimatoso (2 ss del acv).
Scott D. Smith et al, Hemorrhagic Stroke. Radiol Clin N Am 49 (2011) 27–45
Nancy J. Fischbeina, et al. Nontraumatic Intracranial Hemorrhage. Neuroimag Clin N Am 20 (2010) 469–492
Causas y patrones en neuromagén: OTROS
Más edema vasogenico,
Menor degradación de productos sanguineos.
Presencia de realice engrosado.
• Aneurisma cerebral 34% HIC
• Trombosis venoso del seno
• Embolismo septico
• Discrasias sanguineas
• Anticogulacion.
• Infecciones del SNC
• Aneurisma micotica
• Moyamoya
• Vaculitis
• Medicamentos vasoactivos.
Jeremy J. et al. Imaging of Intracranial Hemorrhage. Journal of Stroke 2017
Scott D. Smith et al, Hemorrhagic Stroke. Radiol Clin N Am 49 (2011) 27–45
Nancy J. Fischbeina, et al. Nontraumatic Intracranial Hemorrhage. Neuroimag Clin N Am 20 (2010) 469–492
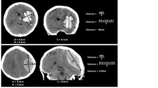
VOLUMEN DEL SANGRADO
• Predictor de mortalidad 30d > 60cm3
• Metodo ABC/2
• A = El mayor dm del hematoma
• B = dm medido a 90 grados hacia A.
• C = Número aproximado de cortes
que contienen el hematoma
multiplicado por el grosor del corte.
DOI: 10.1594/ranzcr2014/R-0129
PUNTAJES DE RIESGO
Neurocrit Care (2010) 13:141–151
Escalas de calificación clínica que sean fáciles de implementar
Stroke. 2001;32:891-897
Estratificar el riesgo de los pacientes al ingreso con respecto a la mortalidad a los 30 días.
• 5 variables clínicas y radiológicas (Puntaje de 0-6)
• Registro de pacientes con HIC durante 1997 a 1998 en 2 centros en USA
• n= 152
• Los predictores de mortalidad se identificaron con regresión logística.
• Se desarrolló una escala donde se ponderaron los predictores independientes de mortalidad
basados ​​en la fuerza de asociación.
oICH score
Se asignan los puntos dependientdo de la
fuerza de asociacion con el descenlace.
GCS= el mas fueremente asociado.
Se le dio el mayor peso en la escala
Se subdivido en 3 subgrupos para reflejar
mejor la influencia del GCS en descenlace.
• Solo 1 pte de 35 en el grupo de GCS de 3-4
sobrevivió a 30 dias
• Solo 5 de 60 pacientes con GCS de 13-15
murieron.
• 28 de 57 con FCS 5-12 mureron.
MORTALIDAD A 30 DÍAS
• Ningun paciente tuvo una puntuación de 6 porque ningún paciente con ICH infratentorial tuvo un hematoma
con volumen > 30 cm3 .
• Dado que ningún paciente con ICH de puntaje de 5 sobrevivió, se esperaría un puntaje de 6 estará asociado
a un riesgo muy alto de mortalidad.
Puntuación Mortalidad
0 0%
1 13%
2 26%
3 72%
4 97%
5 100%
• Es una escala de calificación clínica.
• Clasifica la gravedad de la HIC.
• Ayuda a mejorar la comunicación entre los MD y las familias.
• Puede ayudar a decidir el nivel apropiado para atender estos pacientes.
• NO SE USA PARA GUIAR EL TRATAMIENTO o DECIDIR LIMITAR ESFUEZOS.
• El autor principal realizó en 2003 las aclaraciones sobre el adecuado uso de la
escala después de escuchar que los MD deciden no tartar pacientes ni aceptar
la remisión de hospitals más pequeños basados en el puntaje de la escala.
TENER EN CUENTA:
Jamora RD, et al. The ICH score: predicting mortality and functional outcome in an Asian population. Stroke. 2003 Jan;34(1):6-7
• Validar la escala .
• Estudio prospectivo en 2001, con 243 patients
con HIC ingresados a 2 centros en Filipinas.
• Mortalidad a 30 días y Escala Rankin
Jamora RD, et al. The ICH score: predicting mortality and functional outcome in an Asian population. Stroke. 2003 Jan;34(1):6-7
PACIENTES PROCENTAJE PUNTAJE
0 0% 6
3 1% 5
18 7% 4
28 12% 3
52 21% 2
70 29% 1
72 30% 0
Jamora RD, et al. The ICH score: predicting mortality and functional outcome in an Asian population. Stroke. 2003 Jan;34(1):6-7
El puntaje es predictor de pobre
funcionalidad MRS >4 al egreso y aa
los 90 días.
Figure 2. The ICH score and proportion of patients with modified Rankin score of 4 at discharge and one month after discharge.
Al egreso
1 mes despues del egreso
Arq Neuropsiquiatr 2009;67(3-A):605-608
53 Ptes ingresados a UCI en Brazil con HIC con dx en
las primeras 24h.
Descenlace: mortalidad a 30 días y funcionalidad a 1
año.
Puntuación Mortalidad
0 11%
1 12.5%
2 44.4%
3 70%
4 100%
AUC = 0.804
(IC 95% 0.65-0.95)
P = 0.002
S =85.7%
E = 65.2%
Con un corte >2
Fig 2. 30-Day Kaplan Meier survival curve show the difference
between ICH Score > or ≤ 2, p
• Retrospectivo
• 141 ptes
• NIHSS no sesgs con ptes afasicos
• No es mejor para predceir mortalidad que la
original-
• No validación externa.
No incluye HIC
infratentorial
Comorbilidade
• APACHE II
• Edad.
GCS 4
subcategorias
Volumen se
divide en
categorias
Cohorte prospectiva 153 ptes con HIC primaria en Argentina, fue
igualmente predictiva para mortalidad y funcionalidad.
Neurocrit Care (2010) 13:141–151
PUNTAJES DE RIESGO
Neurocrit Care (2010) 13:141–151
Stroke. 2008;39:2304-2309.
Objetivo: Puntuación clínica para predecir la probabilidad de Independencia funcional (GOS > 4) a los 90 días.
Estudio prospectivo 629 pacientes con HIC al ingreso al hospital.
Escala de estratificación (2/3 de la cohorte) y validación (1/3 de la cohorte)
11 puntos – 5 componentes.
Edad-Localización- Volumen-GCS- compromiso cognitivo previo (para determinar estado pre morbido y el resultado
en la rehabilitación funcional- Cuestionario para deterioro cognitivo en la vejez IQCODE)
Exclusión: HIC por anticogulación.
Stroke. 2008;39:2304-2309.
Stroke. 2008;39:2304-2309.
El puntaje FUNC es una herramienta de evaluación clínica válida que identifica a los pacientes con HIC que alcanzarán independencia funcional .
Variables clínicas, NIHSS Y Extensión a espacio
subaracnoidea
No requiere calcular volumen
E 92% VPP 85% Funcionalidad
No es bueno para mortalidad.
Funcionalidad a 100 días
Indice Barthel para recuperación completa.
No incluye factores radiologicos ni cálculo de volumen
Se excluyeron los ptes en coma o intubados.
Opcion simplificada
La dialisis fue el predictor mas fuerte de
mortalidad. No validacion externa
Pensada para guiar tto, en HIC ganglio basal, dice cuando realizar
cirugia endoscopica y cuando manejo conservador.
Volumen > 50 cc qx.
Excluyó ptes con hematoma por anticogulación. MICH >2 qx.
Di Napoli et al. Stroke. 2007;38:e133–e135
Comparar la capcidad de las escalas para predecir mortalidad a 30d y el buen resultado funcional a 6 meses (GOSC 4).
Neurology® 2015;84:1739–1744
Predicted and observed mortality
Comparar la mortalidad de los
pacientes con orden de no reanimación
los primeros 5 días vs la mortalidad
esperada según el puntaje de la escala
HIC.
Estudio prospectivo multicenticro de
cohorte. 109 ptes
Mortalidad esperada 50%vs 20%.
60% de reducción del riesgo de
mortalidad relativa en comparación con
predicho.
A los 90 días:
21.5% Rankin de 5
21.5% de 4
MANEJO
HIC
MANEJO
• Presión arterial
• Cogulopatia
• Glicemia
• Temperatura
• Actividad convulsiva
• PIC
Neurology® 2015;84:1739–1744
CONTROL DE LA PRESIÓN ARTERIAL
Stroke. 2013;44:1846-1851
Los pacientes con PAS <132.8 mmHg o media aSBP
<130 mmHg, tienen las proporciones más bajas de
peores resultados clínicos.
Objetivo óptimo PAS en la HIC aguda es de aprox
130 mmH
Manning L.S. · Robinson T.G. New Insights in Intracerebral Hemorrhage. Front Neurol Neurosci. Basel, Karger, 2016,
ANTECEDENTES
N Engl J Med 2013;368:2355-65
• 144 hospitales., 21 países
• Pacientes: 2.839 con HIC espontanea en las primeras 6h con PAS elevada (150-220mmHg)
• TTO intensivo: Meta < 140mmHg en 1h (n= 719) y mantenerla por 7 días. Vs. < 180 mmhg. (n=
785)
• Descenlace primario: Muerte o fdisuncionalidad mayor. (Rankin >3) a 90 días
La reducción temprana de la PAS fue segura, sin un
aumento en los efectos adversos en el brazo de
tratamiento intensivo.
No hay aumento en la mortalidad o eventos adversos
con la reducción intensiva de la PA temprana en
pacientes con HIC y PAS elevada.
• Determinar la superioridad de la reducción intensiva de PAS.
• Nicardipino EV en 4.5h del inicio de los sx
• Objetivo primario: Muerte y Rankin 4-6 a 3 meses de la aleatorizacion.
• 1000 pacientes con HIC > 60cm3 y GCS >5
• Tto intensivo PAS 110-139 mmHg vs 140 – 179 mmHg
SBPs mínimo de los dos
grupos durante el primer 2
horas fueron 128.9 ± 16 y
141.1 ± 14.8 mm Hg,
respectivamente,
Mucho más bajos que 150 y
164 mm Hg en INTERACT-2.
No diferencias en mortalidad o
fucionalidad a los 90 días, Mas
IRA en el grupo grupo de tto
intensivo (PAS media 128 vs 141)
OJO CON LA
VARIABILIDAD
DE LA PAS
1 línea:
• Labetalol –Nicardipina
• Considerar esmolol
2 línea:
• Nitroglicerina
• Nitroprusiato *última
opción.
MEDICAMENTOS PARA EL CONTROL
DE LA PRESIÓN ARTERIAL
Toyoda K, Anderson CS, Mayer SA (eds): New Insights in Intracerebral Hemorrhage. Front Neurol Neurosci. Basel, Karger, 2016
Si INR > 1.4
Vitamina K 10mg + PCC (II,IX,X, VII)
(concentrado de complejo protrombinico)
Repetir INR 15-60min despues de PCC, si
elevado 2-4 U PFC
Reversión si el paciente se presente
entre 3-5 vidas medias de la
exposicion la medicamento.
Idarucizumab 5g IV en dos dosis
Si no hay
PCC factor 4 50 U/kg
Hemodilaisis
PCC 50 U/kg si la hemorragia ocurre entre
3-5 vidas medias de la exposición o si hay
falla hepatica.
Si se presenta dentro de las 2h de la
expisicion dar carbon activado
Andexanet alfa
Inicia 2h-24h
Suspender los antitromboticos
Reversión según el agente usado
Frontera JA, Lewin JJ, Rabinstein AA. Guideline for reversal of antithrombotics in intracranial hemorrhage. Neurocrit Care 2015;24:6–46.
Warfarina
Heparina de bajo peso molecular (enoxa, dalteparina)
Solo si la dosis es terapeutica y no con dosis profilaxtica.
Si la enoxaparina se administró entre las 8 h previas, administrar 1mg de protramina por
cada 1mg de enoxaparina .
Si la enoxaparina se administro 812h antes , 0.5mg de protramina por cada 1mg de
enoxaprina.
Para la reversion de dalteparina dar 1mg por cada 100 antiXa de HBPM, (max 50mg)
puede repetirse a la mitad de la dosis.
Puede darse rFVIIA solo si protramina contraindicada
Heparina no fraccionada en paciente con infusion de heparina.
Solo revertir heparina no fraccionada SC si aPTT esta prolongado.
Protamina 1mg por cada 100 U de heparina administradas en las 2-3h previas. (max
50mg)., puede repetirse a la mitad de la dosis inicial si el PTT sigue elevado.
rTPA: 10 unidades de crio
Si fibrinogeno <150mg/dl post crio considerar administrar crio adicional.
Si no hay crio o esta contraindicado, un agente antifibrinolitico; acido
tranexamico 10-15mg/kg IV
• Despues de que para el sangrado, iniciar heparina de bajo peso
molecular o heparina no fraccionada para prevencion de TVP en
pacientes con mobilidad reducida despues de 1-4 días del evento
(48h si el hematoma es estable).
• Filtro de vena cava si HIC con TVP/TEP.
• Considerar el tiempo desde el inicio de la hemorragia
• Estabilidad del hematoma
• Causa de la hemorragia
• Condición del pte
RECOMENDACIÓN RESPECTO AL INICIO
DE PROFILAXIS ANTITROMBOTICA
Toyoda K, Anderson CS, Mayer SA (eds): New Insights in Intracerebral Hemorrhage. Front Neurol Neurosci. Basel, Karger, 2016
ANTICONVULSIVANTES
• La fenitoina profilactica aumenta el riesgo de morir en HIC
- No aplica para los que sobreviven mas alla del 5 día.
• No hay reducción de las convulsiones con el manejo profilaxtico.
• No hay asociacion entre la convulsión y el descenlace neurologico o mortalidad si convulsiona.
• Convulsión: 10- 16% de los ptes con HIC la mayoria la 1 semana.
• Factores de Riesgo para epilepsia:
• Severidad de la hemorragia
• Localización cortical - lobar
• Convulsión inicial tardia.
• Pedir EEG si hay cambio en el estado menta no explicado por la gravedad de la lesión.
• Si se identifica convulsion en EEG dejar anticonvulsivante.
Passero et al., 2002, Vespa et al., 2003; Mullen et al., 2013, Messe et al., 2009, Naidech et al.,2009b
MONITORIA PIC
• Gcs 3-8
• Por efecto de masa, con evidencia clínica de herniación transtentorial y
aquellos con hidrocefalia significativa.
• PIC < 20mmHg
• CPP 50-70 mmHg
• Cabecera 30 gradso
• Sedación
• Evitar collar cervical
• Manitol /hipertonica para manejo de PIC elevada.
• Drenaje de LCR- dren ventricular.
Toyoda K, Anderson CS, Mayer SA (eds): New Insights in Intracerebral Hemorrhage. Front Neurol Neurosci. Basel, Karger, 2016
HEMORRAGIA IV
ECC ---Ventriculosotomia en UCI
Pte estable con HIC vol menor 30 ml que obtruyera el 3 o 4 ventriculo
12 dosis cada 8 horas de 1mg de alteplase o 0.9% salina y tac cada 24 h
Objetivo: Buen resultado nerurologico definido Rankin menor a 3 a oa 180 días.
Lancet 2017; 389: 603–11
Clot Lysis: Evaluating of accelerated resolution of intraventricular hemorrhage (CLEAR III) trial design and outcomes
Lancet 2017; 389: 603–11
Menor mortalidad en el grupo de tto.
En el grupo alteplasa, los ventrículos se abrieron
más rápidamente, sin embargo, el tratamiento
activo no mejoró el resultado funcional.
Hubo una disminución del 50% en las
probabilidades de muerte por rtPA en comparación
con la solución salina (OR ajustado 0,50; IC del 95%:
0,31 a 0,80; p = 0,004).
Sin embargo, la mayoría de estos sobrevivientes
terminaron con una discapacidad severa.
Los parámetros de seguridad favorecieron rtPA:
ventriculitis bacteriana (7% frente a 12%; RR 0,55; IC
del 95% 0,31 a 0,97; p = 0,048) y eventos adversos
graves (46% frente a 60%; RR 0,76; IC del 95% 0,64 a
0,90; p = 0.002).
La frecuencia de hemorragia sintomática fue similar
entre los grupos (RR 1.21; IC del 95%: 0.37 a 3.91; p
= 0.771). L
Lancet 2017; 389: 603–11
INTERVENCIÓN QX
• Controvertido
• Más en casos de HIC cerebelar.- QX si deterioro neurológico, hidrocefalia,
compresión del tallo, masa > 3cm de dm
• Teoricamente el drenaje del hematoma mejora el efecto de masa y la
inflamacion alrededor, reduce PIA y previene la herniación.
• Evacuación qx en HIC supratentorial y hemicraniectomia descompresiva
como medida salvadora.
• Disminución de la PIC - disminuir la mortalidad aumentando discapacidad.
Lancet 2017; 389: 603–11
Diseño con grupo paralelo.
83 centres, 27 países
N = 1033 ptes HIC supratentorial
Drenaje de hematoma en las primeras 24h
(n= 503) vs tto medico (n=530)
Seguimiento a 6 meses
No beneficio en
manejo qx
Mendelow AD, et al. Lancet 2005;365:387–97.
26% de los pacientes inicialmente
asignados al manejo conservador
terminaron en cirugía.
Pacientes con hematoma superficial lobar
menor 1cm de la corteza podrian
beneficiarse de qx, mientras que los que
ingresan en coma no.
Pacientes conscientes con HIC lobar superficial de 10 –
100ml sin hemorragia intraventricular 48h del ingreso.
78 centros, 27 países. N= 601 ptes
Qx temprana (12h) (307)vs manejo medico. (294)
Descenlace: pronóstico favorable o desfavolarble con
Glasgow extendido.
Resultados no favorables
59% qx. Vs 62 % médico.
Diferencia absoluta 3·7% [95% CI –4·3
- 11·6], OT 0·86 [0·62 - 1·20]; p=0·367
La cirugía temprana no aumenta la tasa de muerte o
discapacidad en 6 meses y podría tener una ventaja de
supervivencia pequeña pero clínicamente relevante para
los pacientes con HIC sin hemorragia intraventricular.
Lancet 2013;382:397–
¿CUÁNDO OPERAR?
Kim and Bae Management of Intracerebral Hemorrhage . Journal of Stroke 2017;19(1):28-39
LO NUEVO
1. Aspiración endoscópica
2. Terapia trombolítica y
aspiración del hematoma.
3. Activador tisular del
plasminógeno (tPA)
4. Trombolisis x Ultrasonido y
qx esterotaxica (Scuba)
Mould WA, et al. Minimally invasive surgery plus recombinant tissue-type plasminogen activator for intracerebral hemorrhage evacuation decreases perihematomal edema. Stroke 2013.
Minimally invasive surgery plus rt-PA in intracerebral
hemorrhage evacuation (MISTIE) trial design and outcomes
Curr Cardiol Rep (2018) 20:132
Uso de cateterizacion estereotaxica y dosis intermitente de
rTPA + aspiración.
Tendencia a la mejoria del edema perihematoma vs
manejo medico.
Ensayo clínico fase 3
78 Hospitales en USA, Canada, Europa, Australia, Asia.
Pacientes con HIC no traumatica, supratentorial de 30 cc o más.
1mg Alteplase cada 8 h hasta un total de 9 dosis. Vs Manejo médico.
Objetivo: Buen descenlace neurológico (RANKIN 0-3) a los 365 días.
N= 506 pacientes.
Hanley DF. Et al. Efficacy and safety of minimally invasive surgery with thrombolysis in intracerebral haemorrhage evacuation (MISTIE III): a randomised, controlled, open-label, blinded endpoint phase 3 trial. The lancet. 2019
Hanley DF. Et al. Efficacy and safety of minimally invasive surgery with thrombolysis in intracerebral haemorrhage evacuation (MISTIE III): a randomised, controlled, open-label, blinded endpoint phase 3 trial. The lancet. 2019
Ojo con el análisis, calcularon la muestra asumiendo que con el manejo convencional el 25% de los pacientes logran un ranking de 0-3, su
intensión era aumentar del 25% al 38% el rankin con la intervención, con esos datos calcularon 500 pacientes.
Lo que encontraron es que el 44% de los pacientes y no el 25% tuvieron un rankin de of 0–3 por ende, la muestra les quedo corta.
RESUMEN
FLUJOGRAMA DE MANEJO
URGENCIAS
Triage
Examen físico y neurológico
Evaular y asegurar VA
Canalizar y paraclinicos
Glucometria
O2 > SO2 92%
Monitoria continua
HIC
Sospecha de HIC
TAC cerebral simple
Puerta TAC < 20 min
Escala de severidad
Hemorragia IV con hidrocefalia, efecto
de masa, o herniación y disminución
del GCS --- VENTIRICULOSTOMIA
Metas:
sI PAS 150- 220 mmHg disminuir a 140-180
mmHg
Glicemia: 100-150 mg/dl
Temperatura: evitar fiebre
Si convulsión – tto
Si anticogulación – Revertir
Profilaxis para TVP: comp intermitente
Control PA
Labetalol 10mg IV
PAS 140-180mmHg
Herniación
Labetalol 20mg cada
1-2min
Infusión 1-8mg/min
Manitol 0.5-1mg IV
bolo o Hipertonica
Ventriculstomia
O Craneotomia
QX
• Hemorragia cerebelar con
deterioro GCOS,
hidrocefalia, compresion
del tallo,
• Hemorragia supratentorial
con deterior neurologico.
• Hidrocefalo con o sin
hemorragia
• Hemorragia G <8,
desplazamiento linea
media, PIC intratable
(descompresiva)
GRACIAS
Hemorragia intracerebral

Hemorragia intracerebral

  • 1.
    ANA MARÍA ANGELISAZA RESIDENTE DE EMERGENCIAS UNIVERSIDAD ICESI HEMORRAGIA INTRACEREBRAL
  • 2.
    INTRODUCCIÓN • Es unaemergencia médica. • El 20% de los pacientes experimentarán una disminución en el Glasgow de 2 o más puntos en las primeras horas. • 15 - 23% expansión del hematoma. • Requiere identificación y manejo temprano. Moon JS, et al. Prehospital neurologic deterioration in patients with intracerebral hemorrhage. Crit Care Med. 2008 Brott T, et al. Early hemorrhage growth in patients with intracerebral hemorrhage. Stroke. 1997. Fan JS, et al.. Emergency department neurologic deterioration in patients with spontaneous intracerebral hemorrhage: incidence, predictors, and prognostic significance. Acad Emerg Med. 2012
  • 3.
    DEFINICIÓN Sangrado focal desdeun vaso sanguíneo hacia el parénquima cerebral en ausencia de trauma o qx. OMS: Desarrollo de signos clínicos de alteración focal o global de la función cerebral, con síntomas que tienen una duración de 24h o más, o que progresan hacia la muerte y no tienen otra causa aparente que un origen vascular. • La definición incluye la HSA, la hemorragia intracerebral (parenquimatosa), hemorragia no traumática (espontanea) y la lesión por isquemia. Hatano S. WHO Stroke control programme. WHO Chron. 1972;26: 456–458 Moon JS, et al. Prehospital neurologic deterioration in patients with intracerebral hemorrhage. Crit Care Med. 2008
  • 4.
    Salman et al.BMJ2009;339:b2586 • La hemorragia suele ser parenquimatosa. • Puede involucrar los espacios subaracnoideos, subdurales, e intraventriculares. • Raramente compromete el espacio epidural.
  • 5.
    EPIDEMIOLOGÍA • Afecta >1 millon de personas anualmente a nivel mundial. - Mayor incidencia en Asia. • 10- 15% de los infartos en USA. • Es considerado el infarto de mayor mortalidad. - Más en países de bajos ingresos 30-48% vs 15-35% - Viene en disminución en los últimos 15 años en un 25% • Alta morbilidad: - 62.8 millones de años de vida ajustados por discapacidad se perdieron vs 39.4 x acv isquémico. • La principal causa es la hipertensión no controlada. Mozaffarian D, et al. Heart disease and stroke statistics—2016 update a report from the American Heart Association. Circulation 2015. Van Asch CJ, et al. Incidence, case fatality, and functional outcome of intracerebral haemorrhage over time, according to age, sex, and ethnic origin. Lancet Neurol 2010.
  • 6.
    CLASIFICACIÓN Primaria: 70-80% - Rupturaespontanea de los vasos sanguineos por HTA o angiopatía amiloide. • Lobar y no lobar. • Supratentorial y infratentorial. Secundaria • Condiciones adquiridas y congénitas. • Malformaciones, tumores, desordenes de la cogulación, vasculitis, anticogulantes, trombosis venosa, drogas de abuso. Dastur CK, Yu W. Current management of spontaneous intracerebral haemorrhage. Stroke and Vascular Neurology 2017
  • 7.
    • Lesiones vasculareseStructurales (S) • Medicación (M) • Angiopatía amiloide (A) • Enfermedad Sistémica (S) • Hipertensión (H) • Indeterminada (U) Stroke. 2012;43:2592-2597. N= 1013 K = 0.89
  • 8.
    Stroke. 2012;43:2592-2597. Malformaciones AVy cavernomas 5% 5% 14% Cirrosis, trombocitopenia Exclusión: Hematoma subdural/epidural HIC traumática Hemorragia x tumor no vascular. Hemorragia subaracnoidea Acv con transformación hemorrágica
  • 9.
  • 10.
    ALTA MORBI- MORTALIDAD •Supervivencia a 1 año post HIC: 46% (95% CI 43% - 49%) • Supervivencia a 5 año post HIC: 29% (95% CI 26% - 33%) • Riesgo anual de recurrencia: 1.3-7.4% Poon MTC, et al. J Neurol Neurosurg Psychiatry 2014;85:660–667
  • 11.
    ALTA MORBI- MORTALIDAD 100% 75% 50% 25% 0% HICACV ISQ Independientes Dependientes Muertos 20% de los ptes con HIC son independientes a los 6 meses vs 60% de los ptes con acv isquemico Mortalidad a los 6 meses 30-50% Resultados a los 6 meses Manno EM, et al. Mayo clinic pract. 2005; 80: 420-433 Mayer SA et al Lancet neurol 2005: 4-66
  • 12.
    PREDICTORES DE MORTALIDAD •Edad • Disminución del Glasgow • Volumen alto de HIC • Hemorragia intra-ventricular • Localización profunda infra-tentorial. Poon MTC, et al. J Neurol Neurosurg Psychiatry 2014;85:660–667
  • 13.
    PREDICTORES DE MORTALIDAD Meretojaet al SMASH-U: An Etiologic Classification of ICH. Stroke. 2012;43:2592-2597.
  • 14.
    Poon Bell ,Al-Shahi Salman.Epidemiology of Intracerebral Haemorrhage. Front Neurol Neurosci. 2015;37:1-12.
  • 15.
    PREDICTORES DE MALPRONÓSTICO Sang Joon An, et al. pidemiology, Risk Factors, and Clinical Features of Intracerebral Hemorrhage: An Update Journal of Stroke 2017;19(1):3-10
  • 16.
    NO HACER NADA MATA! NEUROLOGY2007;68:1651–1657
  • 17.
    Duplicación en elriesgo de muerte a los 30 días. HR 2.17 (IC 95% 1.38 - 3.41) NEUROLOGY 2007;68:1651–1657
  • 18.
    Diringer MN, EdwardsDF. Admission to a neurologic/neurosurgical intensive care unit is associated with reduced mortality rate after intracerebral hemorrhage. Crit Care Med. 2001. Survival function of the Cox survival analysis plotted as the mean of the covariates identified in the multiple regression indicating cumulative survival of patients admitted to neurologic/ neurosurgical (Neuro) and general intensive care units. [OR], 3.4; 95% [CI], 1.65–7.6 Mejores cuidados menor mortalidad
  • 19.
  • 20.
    HISTORIA EF LABORATORIOSNEUROIMAGEN Dastur CK, Yu W. Current management of spontaneous intracerebral haemorrhage. Stroke and Vascular Neurology 2017
  • 23.
    • Inicio súbitode sintomatología neurológica • Vomito • PAS > 220 mmHg • Cefalea intensa • Coma • Disminución del nivel de consciencia • Progresión de los síntomas en minutos a horas. • Focalización: consecuencia del tissue shift y herniación PRESENTACIÓN CLÍNICA Dastur CK, Yu W. Current management of spontaneous intracerebral haemorrhage. Stroke and Vascular Neurology 2017
  • 24.
  • 25.
    NEUROIMAGEN TAC: sensible paraidentificar sangrado RMN T2 y eco gradiente: agudo y cronico Nancy J. Fischbeina, et al. Nontraumatic Intracranial Hemorrhage. Neuroimag Clin N Am 20 (2010) 469–492
  • 26.
    ¿CUÁL ESCOGER? Tiempo CostoTolerancia Disponibilidad Jeremy J. et al. Imaging of Intracranial Hemorrhage. Journal of Stroke 2017 Scott D. Smith et al, Hemorrhagic Stroke. Radiol Clin N Am 49 (2011) 27–45 Nancy J. Fischbeina, et al. Nontraumatic Intracranial Hemorrhage. Neuroimag Clin N Am 20 (2010) 469–492
  • 27.
    ¿HAY SANGRADO? SI ¿PORQUÉ? Angiotac RM ecogradiente (GRE) + angioRM Venografía MR
  • 28.
    RM PARA IDENTIFICARCAUSAS ESPECIFICAS DEL SANGRADO • Realizar estudios si hay signos sugestivos de trombosis venosa o para estudio de lesiones secundarias. • Evaluar la causa. • Localización de la hemorragia. • Edema. • Evaluar el parénquima cerebral. • Signo anormal en senos cerebrales. • Aguda o Crónica. Jeremy J. et al. Imaging of Intracranial Hemorrhage. Journal of Stroke 2017 Scott D. Smith et al, Hemorrhagic Stroke. Radiol Clin N Am 49 (2011) 27–45 Nancy J. Fischbeina, et al. Nontraumatic Intracranial Hemorrhage. Neuroimag Clin N Am 20 (2010) 469–492
  • 29.
    Scott D. Smithet al, Hemorrhagic Stroke. Radiol Clin N Am 49 (2011) 27–45
  • 30.
    Nancy J. Fischbeina,et al. Nontraumatic Intracranial Hemorrhage. Neuroimag Clin N Am 20 (2010) 469–492
  • 31.
    T1W Agudo =desoxihemoglobinaisointensa. T1W Subagudo temprano, señal alta. T1W Subagudo tardío. T2W intensidad de señal baja, borde circundante brillante =edema vasogénico. T2W intensidad de señal central baja = metahemoglobina intracel en el hematoma. T2W señal alta en el hematoma =metahemoglobina extracel. Edema vasogénico circundante, efecto de masa con hernia uncal y compresión del cerebro medio.
  • 32.
    CAUSAS Y PATRONESEN LA NEUROIMAGÉN
  • 33.
    • Efecto sistémicode la presión en las arterias pequeñas penetrantes. • Desarrollo de hiperplasia e hialinizacion de la intima y degeneración de la media. Predispone a necrosis focal y ruptura. • Desarrollo de micro aneursimas (Charcot Bouchard), que se rompen y resultan en sangrado. Causas y patrones en neuromagén: HIPERTENSIÓN ARTERIAL- FISIOPATOLOGÍA Jeremy J. et al. Imaging of Intracranial Hemorrhage. Journal of Stroke 2017 Scott D. Smith et al, Hemorrhagic Stroke. Radiol Clin N Am 49 (2011) 27–45 Nancy J. Fischbeina, et al. Nontraumatic Intracranial Hemorrhage. Neuroimag Clin N Am 20 (2010) 469–492
  • 34.
    Causas y patronesen neuromagén: HIPERTENSIÓN ARTERIAL- FISIOPATOLOGÍA 60% 15-25 5-10% Dastur CK, Yu W. Stroke and Vascular Neurology 2017
  • 35.
    • Los sangradosoriginados en los ganglios basales y tronco cerebral tienen mayor probabiliad de extensión al sistema ventricular. • Microsangrados en la distribución de los vasos pequeños perforantes. • Consecuencia de la arteriopatia hipertensiva resultante en sangrado de volumen pequeño que es generalmente crónico y multifocal. • MR: Microsangrado focal con perdida de señal < 10mm Causas y patrones en neuromagén: HIPERTENSIÓN ARTERIAL- LOCALIZACIÓN Nancy J. Fischbeina, et al. Nontraumatic Intracranial Hemorrhage. Neuroimag Clin N Am 20 (2010) 469–492
  • 36.
    EXPANSIÓN DEL HEMATOMA •Aumento del hematoma – peor pronóstico funcional y muerte • Tac las primeras 3h: Exapnsión de más de 1/3 del vol inicial 28 -38%. ¿Cómo identificar los ptes con alto riesgo de exapansión del sangrado? Angiotac (extravasación focal del contraste) y TAC contrastado. • Tiempo inicial de tac. • Volumenes de sangrado grandes en tac inicial • Anticogulantes orales. • Hiperglicemia • ERC • Disfunción plaquetaria • PA elevada Jeremy J. et al. Imaging of Intracranial Hemorrhage. Journal of Stroke 2017 Scott D. Smith et al, Hemorrhagic Stroke. Radiol Clin N Am 49 (2011) 27–45 Nancy J. Fischbeina, et al. Nontraumatic Intracranial Hemorrhage. Neuroimag Clin N Am 20 (2010) 469–492
  • 37.
    EXPANSIÓN DEL HEMATOMA Signodel punto en tac • 1-2 mm foco de realice intenso within el hematoma • Pseudoaneurisma pequeño o extravasación activa. • Su hallazgo en el tac realizado dentro de las 3 primeras horas del inicio de los sintomas predice aumento del sangrado. • Puntaje del signo del punto. • Predictores: dimension máxima axial del punto, atenuación máxima en el mayor punto. • Predice mortalidad y pobre funcionalidad. Ederies A, et al. Postcontrast CT extravasation is associated with hematoma expansion in CTA spot negative patients. Stroke 2009 Delgado Almandoz JE. Systematic characterization of the computed tomography angiography spot sign in primary intracerebral hemorrhage Stroke 2009 Delgado Almandoz JE, et al. The spot sign score in primary intracerebral hemorrhage identifies patients at highest risk of in-hospital mortality and poor outcome among survivors. Stroke 2010.
  • 38.
    Causas y patronesen neuromagén: ANGIOPATÍA AMILOIDEA • Edad avanzada (>60 años) • Depositos de peptido beta amilode en vasos de pequeño y mediano calibre. • Los vasos afectados desarrollan degeneracion fibrinoide, necrosis y formacion de microaneurismas , los segmentos debilitados pueden romperse. • Hay obliteración del lumen vascular – infartos - leucoencefalopatia • Localización: Corteza y subcorteza en la sustancia blanca, ganglios basales y fosa posterior. Más en lobulo occipital y temporal. • Pueden extenderse al espacio subaracnoideo. • Microsangrados: hacia la periferia del cerebelo y región crotico-subcortical de los hemisferios. Jeremy J. et al. Imaging of Intracranial Hemorrhage. Journal of Stroke 2017
  • 39.
    Scott D. Smithet al, Hemorrhagic Stroke. Radiol Clin N Am 49 (2011) 27–45
  • 40.
    Causas y patronesen neuromagén: MALFORMACIONES VASCULARES CEREBRALES ARTERIOVENOSAS • 4% HIC- • Localización: drenaje venoso profundo. • Imagén: Vasos largos o calcificaciones dentro del hematoma , nido vascular. 4 TIPOS: Venosas, arteriovenosas, telangiectasias, cavernosas. Riesgo de HIC: Arterio-Venosas y cavernosas. Scott D. Smith et al, Hemorrhagic Stroke. Radiol Clin N Am 49 (2011) 27–45 Nancy J. Fischbeina, et al. Nontraumatic Intracranial Hemorrhage. Neuroimag Clin N Am 20 (2010) 469–492
  • 41.
    Jeremy J. etal. Imaging of Intracranial Hemorrhage. Journal of Stroke 2017
  • 42.
    Causas y patronesen neuromagén: MALFORMACIONES VASCULARES CEREBRALES CAVERNOSAS • La pared delgada sin musculo ni tejdo elástico. • Microhemorragias crónicas. • Riesgo de re sangrado 4.5- 26% por año. • La hemorragia es más pequeña que con las AV. • Puede contener calcificaciones. • Imagen de crispeta. • Venas tubulares que drenan a al seno o a la superficie ependimaria Scott D. Smith et al, Hemorrhagic Stroke. Radiol Clin N Am 49 (2011) 27–45 Nancy J. Fischbeina, et al. Nontraumatic Intracranial Hemorrhage. Neuroimag Clin N Am 20 (2010) 469–492
  • 44.
    Causas y patronesen neuromagén: ACV ISQUÉMICO CON TRANSFORMACIÓN HEMORRAGICA • Sangrado en el área de isquemia preexistente. • 2 patrones: petequial y parenquimatoso (2 ss del acv). Scott D. Smith et al, Hemorrhagic Stroke. Radiol Clin N Am 49 (2011) 27–45 Nancy J. Fischbeina, et al. Nontraumatic Intracranial Hemorrhage. Neuroimag Clin N Am 20 (2010) 469–492
  • 45.
    Causas y patronesen neuromagén: OTROS Más edema vasogenico, Menor degradación de productos sanguineos. Presencia de realice engrosado. • Aneurisma cerebral 34% HIC • Trombosis venoso del seno • Embolismo septico • Discrasias sanguineas • Anticogulacion. • Infecciones del SNC • Aneurisma micotica • Moyamoya • Vaculitis • Medicamentos vasoactivos. Jeremy J. et al. Imaging of Intracranial Hemorrhage. Journal of Stroke 2017 Scott D. Smith et al, Hemorrhagic Stroke. Radiol Clin N Am 49 (2011) 27–45 Nancy J. Fischbeina, et al. Nontraumatic Intracranial Hemorrhage. Neuroimag Clin N Am 20 (2010) 469–492
  • 46.
    VOLUMEN DEL SANGRADO •Predictor de mortalidad 30d > 60cm3 • Metodo ABC/2 • A = El mayor dm del hematoma • B = dm medido a 90 grados hacia A. • C = Número aproximado de cortes que contienen el hematoma multiplicado por el grosor del corte. DOI: 10.1594/ranzcr2014/R-0129
  • 48.
    PUNTAJES DE RIESGO NeurocritCare (2010) 13:141–151 Escalas de calificación clínica que sean fáciles de implementar
  • 49.
    Stroke. 2001;32:891-897 Estratificar elriesgo de los pacientes al ingreso con respecto a la mortalidad a los 30 días. • 5 variables clínicas y radiológicas (Puntaje de 0-6) • Registro de pacientes con HIC durante 1997 a 1998 en 2 centros en USA • n= 152 • Los predictores de mortalidad se identificaron con regresión logística. • Se desarrolló una escala donde se ponderaron los predictores independientes de mortalidad basados ​​en la fuerza de asociación. oICH score
  • 51.
    Se asignan lospuntos dependientdo de la fuerza de asociacion con el descenlace. GCS= el mas fueremente asociado. Se le dio el mayor peso en la escala Se subdivido en 3 subgrupos para reflejar mejor la influencia del GCS en descenlace. • Solo 1 pte de 35 en el grupo de GCS de 3-4 sobrevivió a 30 dias • Solo 5 de 60 pacientes con GCS de 13-15 murieron. • 28 de 57 con FCS 5-12 mureron.
  • 53.
    MORTALIDAD A 30DÍAS • Ningun paciente tuvo una puntuación de 6 porque ningún paciente con ICH infratentorial tuvo un hematoma con volumen > 30 cm3 . • Dado que ningún paciente con ICH de puntaje de 5 sobrevivió, se esperaría un puntaje de 6 estará asociado a un riesgo muy alto de mortalidad. Puntuación Mortalidad 0 0% 1 13% 2 26% 3 72% 4 97% 5 100%
  • 54.
    • Es unaescala de calificación clínica. • Clasifica la gravedad de la HIC. • Ayuda a mejorar la comunicación entre los MD y las familias. • Puede ayudar a decidir el nivel apropiado para atender estos pacientes. • NO SE USA PARA GUIAR EL TRATAMIENTO o DECIDIR LIMITAR ESFUEZOS. • El autor principal realizó en 2003 las aclaraciones sobre el adecuado uso de la escala después de escuchar que los MD deciden no tartar pacientes ni aceptar la remisión de hospitals más pequeños basados en el puntaje de la escala. TENER EN CUENTA:
  • 55.
    Jamora RD, etal. The ICH score: predicting mortality and functional outcome in an Asian population. Stroke. 2003 Jan;34(1):6-7 • Validar la escala . • Estudio prospectivo en 2001, con 243 patients con HIC ingresados a 2 centros en Filipinas. • Mortalidad a 30 días y Escala Rankin
  • 56.
    Jamora RD, etal. The ICH score: predicting mortality and functional outcome in an Asian population. Stroke. 2003 Jan;34(1):6-7 PACIENTES PROCENTAJE PUNTAJE 0 0% 6 3 1% 5 18 7% 4 28 12% 3 52 21% 2 70 29% 1 72 30% 0
  • 57.
    Jamora RD, etal. The ICH score: predicting mortality and functional outcome in an Asian population. Stroke. 2003 Jan;34(1):6-7 El puntaje es predictor de pobre funcionalidad MRS >4 al egreso y aa los 90 días. Figure 2. The ICH score and proportion of patients with modified Rankin score of 4 at discharge and one month after discharge. Al egreso 1 mes despues del egreso
  • 58.
    Arq Neuropsiquiatr 2009;67(3-A):605-608 53Ptes ingresados a UCI en Brazil con HIC con dx en las primeras 24h. Descenlace: mortalidad a 30 días y funcionalidad a 1 año.
  • 59.
    Puntuación Mortalidad 0 11% 112.5% 2 44.4% 3 70% 4 100% AUC = 0.804 (IC 95% 0.65-0.95) P = 0.002 S =85.7% E = 65.2% Con un corte >2 Fig 2. 30-Day Kaplan Meier survival curve show the difference between ICH Score > or ≤ 2, p
  • 60.
    • Retrospectivo • 141ptes • NIHSS no sesgs con ptes afasicos • No es mejor para predceir mortalidad que la original- • No validación externa. No incluye HIC infratentorial Comorbilidade • APACHE II • Edad. GCS 4 subcategorias Volumen se divide en categorias Cohorte prospectiva 153 ptes con HIC primaria en Argentina, fue igualmente predictiva para mortalidad y funcionalidad. Neurocrit Care (2010) 13:141–151
  • 61.
    PUNTAJES DE RIESGO NeurocritCare (2010) 13:141–151
  • 62.
    Stroke. 2008;39:2304-2309. Objetivo: Puntuaciónclínica para predecir la probabilidad de Independencia funcional (GOS > 4) a los 90 días. Estudio prospectivo 629 pacientes con HIC al ingreso al hospital. Escala de estratificación (2/3 de la cohorte) y validación (1/3 de la cohorte) 11 puntos – 5 componentes. Edad-Localización- Volumen-GCS- compromiso cognitivo previo (para determinar estado pre morbido y el resultado en la rehabilitación funcional- Cuestionario para deterioro cognitivo en la vejez IQCODE) Exclusión: HIC por anticogulación.
  • 64.
  • 65.
    Stroke. 2008;39:2304-2309. El puntajeFUNC es una herramienta de evaluación clínica válida que identifica a los pacientes con HIC que alcanzarán independencia funcional .
  • 66.
    Variables clínicas, NIHSSY Extensión a espacio subaracnoidea No requiere calcular volumen E 92% VPP 85% Funcionalidad No es bueno para mortalidad. Funcionalidad a 100 días Indice Barthel para recuperación completa. No incluye factores radiologicos ni cálculo de volumen Se excluyeron los ptes en coma o intubados. Opcion simplificada La dialisis fue el predictor mas fuerte de mortalidad. No validacion externa Pensada para guiar tto, en HIC ganglio basal, dice cuando realizar cirugia endoscopica y cuando manejo conservador. Volumen > 50 cc qx. Excluyó ptes con hematoma por anticogulación. MICH >2 qx.
  • 67.
    Di Napoli etal. Stroke. 2007;38:e133–e135 Comparar la capcidad de las escalas para predecir mortalidad a 30d y el buen resultado funcional a 6 meses (GOSC 4).
  • 68.
    Neurology® 2015;84:1739–1744 Predicted andobserved mortality Comparar la mortalidad de los pacientes con orden de no reanimación los primeros 5 días vs la mortalidad esperada según el puntaje de la escala HIC. Estudio prospectivo multicenticro de cohorte. 109 ptes Mortalidad esperada 50%vs 20%. 60% de reducción del riesgo de mortalidad relativa en comparación con predicho. A los 90 días: 21.5% Rankin de 5 21.5% de 4
  • 69.
  • 70.
    MANEJO • Presión arterial •Cogulopatia • Glicemia • Temperatura • Actividad convulsiva • PIC Neurology® 2015;84:1739–1744
  • 71.
    CONTROL DE LAPRESIÓN ARTERIAL Stroke. 2013;44:1846-1851 Los pacientes con PAS <132.8 mmHg o media aSBP <130 mmHg, tienen las proporciones más bajas de peores resultados clínicos. Objetivo óptimo PAS en la HIC aguda es de aprox 130 mmH
  • 72.
    Manning L.S. ·Robinson T.G. New Insights in Intracerebral Hemorrhage. Front Neurol Neurosci. Basel, Karger, 2016, ANTECEDENTES
  • 73.
    N Engl JMed 2013;368:2355-65 • 144 hospitales., 21 países • Pacientes: 2.839 con HIC espontanea en las primeras 6h con PAS elevada (150-220mmHg) • TTO intensivo: Meta < 140mmHg en 1h (n= 719) y mantenerla por 7 días. Vs. < 180 mmhg. (n= 785) • Descenlace primario: Muerte o fdisuncionalidad mayor. (Rankin >3) a 90 días
  • 75.
    La reducción tempranade la PAS fue segura, sin un aumento en los efectos adversos en el brazo de tratamiento intensivo. No hay aumento en la mortalidad o eventos adversos con la reducción intensiva de la PA temprana en pacientes con HIC y PAS elevada.
  • 76.
    • Determinar lasuperioridad de la reducción intensiva de PAS. • Nicardipino EV en 4.5h del inicio de los sx • Objetivo primario: Muerte y Rankin 4-6 a 3 meses de la aleatorizacion. • 1000 pacientes con HIC > 60cm3 y GCS >5 • Tto intensivo PAS 110-139 mmHg vs 140 – 179 mmHg
  • 78.
    SBPs mínimo delos dos grupos durante el primer 2 horas fueron 128.9 ± 16 y 141.1 ± 14.8 mm Hg, respectivamente, Mucho más bajos que 150 y 164 mm Hg en INTERACT-2. No diferencias en mortalidad o fucionalidad a los 90 días, Mas IRA en el grupo grupo de tto intensivo (PAS media 128 vs 141)
  • 79.
  • 80.
    1 línea: • Labetalol–Nicardipina • Considerar esmolol 2 línea: • Nitroglicerina • Nitroprusiato *última opción. MEDICAMENTOS PARA EL CONTROL DE LA PRESIÓN ARTERIAL Toyoda K, Anderson CS, Mayer SA (eds): New Insights in Intracerebral Hemorrhage. Front Neurol Neurosci. Basel, Karger, 2016
  • 81.
    Si INR >1.4 Vitamina K 10mg + PCC (II,IX,X, VII) (concentrado de complejo protrombinico) Repetir INR 15-60min despues de PCC, si elevado 2-4 U PFC Reversión si el paciente se presente entre 3-5 vidas medias de la exposicion la medicamento. Idarucizumab 5g IV en dos dosis Si no hay PCC factor 4 50 U/kg Hemodilaisis PCC 50 U/kg si la hemorragia ocurre entre 3-5 vidas medias de la exposición o si hay falla hepatica. Si se presenta dentro de las 2h de la expisicion dar carbon activado Andexanet alfa Inicia 2h-24h Suspender los antitromboticos Reversión según el agente usado
  • 82.
    Frontera JA, LewinJJ, Rabinstein AA. Guideline for reversal of antithrombotics in intracranial hemorrhage. Neurocrit Care 2015;24:6–46. Warfarina Heparina de bajo peso molecular (enoxa, dalteparina) Solo si la dosis es terapeutica y no con dosis profilaxtica. Si la enoxaparina se administró entre las 8 h previas, administrar 1mg de protramina por cada 1mg de enoxaparina . Si la enoxaparina se administro 812h antes , 0.5mg de protramina por cada 1mg de enoxaprina. Para la reversion de dalteparina dar 1mg por cada 100 antiXa de HBPM, (max 50mg) puede repetirse a la mitad de la dosis. Puede darse rFVIIA solo si protramina contraindicada Heparina no fraccionada en paciente con infusion de heparina. Solo revertir heparina no fraccionada SC si aPTT esta prolongado. Protamina 1mg por cada 100 U de heparina administradas en las 2-3h previas. (max 50mg)., puede repetirse a la mitad de la dosis inicial si el PTT sigue elevado. rTPA: 10 unidades de crio Si fibrinogeno <150mg/dl post crio considerar administrar crio adicional. Si no hay crio o esta contraindicado, un agente antifibrinolitico; acido tranexamico 10-15mg/kg IV
  • 83.
    • Despues deque para el sangrado, iniciar heparina de bajo peso molecular o heparina no fraccionada para prevencion de TVP en pacientes con mobilidad reducida despues de 1-4 días del evento (48h si el hematoma es estable). • Filtro de vena cava si HIC con TVP/TEP. • Considerar el tiempo desde el inicio de la hemorragia • Estabilidad del hematoma • Causa de la hemorragia • Condición del pte RECOMENDACIÓN RESPECTO AL INICIO DE PROFILAXIS ANTITROMBOTICA Toyoda K, Anderson CS, Mayer SA (eds): New Insights in Intracerebral Hemorrhage. Front Neurol Neurosci. Basel, Karger, 2016
  • 84.
    ANTICONVULSIVANTES • La fenitoinaprofilactica aumenta el riesgo de morir en HIC - No aplica para los que sobreviven mas alla del 5 día. • No hay reducción de las convulsiones con el manejo profilaxtico. • No hay asociacion entre la convulsión y el descenlace neurologico o mortalidad si convulsiona. • Convulsión: 10- 16% de los ptes con HIC la mayoria la 1 semana. • Factores de Riesgo para epilepsia: • Severidad de la hemorragia • Localización cortical - lobar • Convulsión inicial tardia. • Pedir EEG si hay cambio en el estado menta no explicado por la gravedad de la lesión. • Si se identifica convulsion en EEG dejar anticonvulsivante. Passero et al., 2002, Vespa et al., 2003; Mullen et al., 2013, Messe et al., 2009, Naidech et al.,2009b
  • 85.
    MONITORIA PIC • Gcs3-8 • Por efecto de masa, con evidencia clínica de herniación transtentorial y aquellos con hidrocefalia significativa. • PIC < 20mmHg • CPP 50-70 mmHg • Cabecera 30 gradso • Sedación • Evitar collar cervical • Manitol /hipertonica para manejo de PIC elevada. • Drenaje de LCR- dren ventricular. Toyoda K, Anderson CS, Mayer SA (eds): New Insights in Intracerebral Hemorrhage. Front Neurol Neurosci. Basel, Karger, 2016
  • 86.
    HEMORRAGIA IV ECC ---Ventriculosotomiaen UCI Pte estable con HIC vol menor 30 ml que obtruyera el 3 o 4 ventriculo 12 dosis cada 8 horas de 1mg de alteplase o 0.9% salina y tac cada 24 h Objetivo: Buen resultado nerurologico definido Rankin menor a 3 a oa 180 días. Lancet 2017; 389: 603–11
  • 87.
    Clot Lysis: Evaluatingof accelerated resolution of intraventricular hemorrhage (CLEAR III) trial design and outcomes Lancet 2017; 389: 603–11
  • 88.
    Menor mortalidad enel grupo de tto. En el grupo alteplasa, los ventrículos se abrieron más rápidamente, sin embargo, el tratamiento activo no mejoró el resultado funcional. Hubo una disminución del 50% en las probabilidades de muerte por rtPA en comparación con la solución salina (OR ajustado 0,50; IC del 95%: 0,31 a 0,80; p = 0,004). Sin embargo, la mayoría de estos sobrevivientes terminaron con una discapacidad severa. Los parámetros de seguridad favorecieron rtPA: ventriculitis bacteriana (7% frente a 12%; RR 0,55; IC del 95% 0,31 a 0,97; p = 0,048) y eventos adversos graves (46% frente a 60%; RR 0,76; IC del 95% 0,64 a 0,90; p = 0.002). La frecuencia de hemorragia sintomática fue similar entre los grupos (RR 1.21; IC del 95%: 0.37 a 3.91; p = 0.771). L Lancet 2017; 389: 603–11
  • 89.
    INTERVENCIÓN QX • Controvertido •Más en casos de HIC cerebelar.- QX si deterioro neurológico, hidrocefalia, compresión del tallo, masa > 3cm de dm • Teoricamente el drenaje del hematoma mejora el efecto de masa y la inflamacion alrededor, reduce PIA y previene la herniación. • Evacuación qx en HIC supratentorial y hemicraniectomia descompresiva como medida salvadora. • Disminución de la PIC - disminuir la mortalidad aumentando discapacidad. Lancet 2017; 389: 603–11
  • 90.
    Diseño con grupoparalelo. 83 centres, 27 países N = 1033 ptes HIC supratentorial Drenaje de hematoma en las primeras 24h (n= 503) vs tto medico (n=530) Seguimiento a 6 meses No beneficio en manejo qx Mendelow AD, et al. Lancet 2005;365:387–97. 26% de los pacientes inicialmente asignados al manejo conservador terminaron en cirugía. Pacientes con hematoma superficial lobar menor 1cm de la corteza podrian beneficiarse de qx, mientras que los que ingresan en coma no.
  • 91.
    Pacientes conscientes conHIC lobar superficial de 10 – 100ml sin hemorragia intraventricular 48h del ingreso. 78 centros, 27 países. N= 601 ptes Qx temprana (12h) (307)vs manejo medico. (294) Descenlace: pronóstico favorable o desfavolarble con Glasgow extendido. Resultados no favorables 59% qx. Vs 62 % médico. Diferencia absoluta 3·7% [95% CI –4·3 - 11·6], OT 0·86 [0·62 - 1·20]; p=0·367 La cirugía temprana no aumenta la tasa de muerte o discapacidad en 6 meses y podría tener una ventaja de supervivencia pequeña pero clínicamente relevante para los pacientes con HIC sin hemorragia intraventricular. Lancet 2013;382:397–
  • 92.
    ¿CUÁNDO OPERAR? Kim andBae Management of Intracerebral Hemorrhage . Journal of Stroke 2017;19(1):28-39
  • 93.
    LO NUEVO 1. Aspiraciónendoscópica 2. Terapia trombolítica y aspiración del hematoma. 3. Activador tisular del plasminógeno (tPA) 4. Trombolisis x Ultrasonido y qx esterotaxica (Scuba) Mould WA, et al. Minimally invasive surgery plus recombinant tissue-type plasminogen activator for intracerebral hemorrhage evacuation decreases perihematomal edema. Stroke 2013.
  • 94.
    Minimally invasive surgeryplus rt-PA in intracerebral hemorrhage evacuation (MISTIE) trial design and outcomes Curr Cardiol Rep (2018) 20:132 Uso de cateterizacion estereotaxica y dosis intermitente de rTPA + aspiración. Tendencia a la mejoria del edema perihematoma vs manejo medico.
  • 95.
    Ensayo clínico fase3 78 Hospitales en USA, Canada, Europa, Australia, Asia. Pacientes con HIC no traumatica, supratentorial de 30 cc o más. 1mg Alteplase cada 8 h hasta un total de 9 dosis. Vs Manejo médico. Objetivo: Buen descenlace neurológico (RANKIN 0-3) a los 365 días. N= 506 pacientes. Hanley DF. Et al. Efficacy and safety of minimally invasive surgery with thrombolysis in intracerebral haemorrhage evacuation (MISTIE III): a randomised, controlled, open-label, blinded endpoint phase 3 trial. The lancet. 2019
  • 96.
    Hanley DF. Etal. Efficacy and safety of minimally invasive surgery with thrombolysis in intracerebral haemorrhage evacuation (MISTIE III): a randomised, controlled, open-label, blinded endpoint phase 3 trial. The lancet. 2019 Ojo con el análisis, calcularon la muestra asumiendo que con el manejo convencional el 25% de los pacientes logran un ranking de 0-3, su intensión era aumentar del 25% al 38% el rankin con la intervención, con esos datos calcularon 500 pacientes. Lo que encontraron es que el 44% de los pacientes y no el 25% tuvieron un rankin de of 0–3 por ende, la muestra les quedo corta.
  • 98.
  • 99.
    URGENCIAS Triage Examen físico yneurológico Evaular y asegurar VA Canalizar y paraclinicos Glucometria O2 > SO2 92% Monitoria continua HIC Sospecha de HIC TAC cerebral simple Puerta TAC < 20 min Escala de severidad Hemorragia IV con hidrocefalia, efecto de masa, o herniación y disminución del GCS --- VENTIRICULOSTOMIA
  • 100.
    Metas: sI PAS 150-220 mmHg disminuir a 140-180 mmHg Glicemia: 100-150 mg/dl Temperatura: evitar fiebre Si convulsión – tto Si anticogulación – Revertir Profilaxis para TVP: comp intermitente Control PA Labetalol 10mg IV PAS 140-180mmHg Herniación Labetalol 20mg cada 1-2min Infusión 1-8mg/min Manitol 0.5-1mg IV bolo o Hipertonica Ventriculstomia O Craneotomia QX • Hemorragia cerebelar con deterioro GCOS, hidrocefalia, compresion del tallo, • Hemorragia supratentorial con deterior neurologico. • Hidrocefalo con o sin hemorragia • Hemorragia G <8, desplazamiento linea media, PIC intratable (descompresiva)
  • 101.