HERNIAS ABDOMINALES
Dr. Félix Arturo Delgado Guerrero.
Imagenologia diagnostica y terapéutica.
HERNIA
 Protrusión anormal del peritoneo parietal y de las vísceras a través
de una abertura normal o anormal de la cavidad a la que
pertenecen.
 El riesgo de hernias abdominales espontáneas es sustancial en la
población general, aproximadamente al 5%. La gran mayoría de
estas hernias son hernias inguinales (80% de los casos), mientras que
las hernias femorales representan el 5%; El 15% restante incluye los
tipos umbilical, epigástrico e incisional.
HERNIAS INGUINALES.
ANILLO
INGUINAL
PROFUNDO
CANAL INGUINAL
 Es un paso oblicuo, de dirección inferomedial (4cm), situado en la parte
inferior de la pared anterolateral del abdomen.
 Paralelo al ligamento inguinal.
 Dispone de un orificio en cada extremo.
Lugar donde se
evagina la fascia
transversa (interna),
lateral a la a.
epigástrica inferior
ANILLO
INGUINAL
SUPERFICIAL
Entre las fibras
diagonales de la
aponeurosis del m.
oblicuo externo
PARED ANTERIOR: Aponeurosis del oblicuo externo.
PARED POSTERIOR: Fascia transversa.
TECHO: Fibras arqueadas de los m. oblicuo interno y
transverso del abdomen.
SUELO: Cara superior del ligamento inguinal
HERNIA INGUINAL INDIRECTA
 Defecto congénito: proceso vaginal persistente.
 Abandona la cavidad abdominal. Lateral a los vasos epigástricos
inferiores y penetra en el anillo inguinal profundo
 Dispone de un saco herniario, formado por un proceso vaginal
persistente y las tres cubiertas fasciales del cordón espermático.
 Atraviesa todo el conducto inguinal.
 Sale por el anillo inguinal superficial.
 Entra casi siempre al escroto.
 Adquirida
 Debilidad de fascia transversal de pared posterior de conducto
inguinal (triángulo de Hesselbach)
 Medial a las arterias epigástricas inferiores
 Punto débil de pared abdominal anterior limitado por el
ligamento inguinal, arteria epigástrica inferior y borde
lateral de músculo recto anterior.
 Saco herniario constituido por fascia transversa.
 No atraviesa todo el canal inguinal.
 Casi nunca pasa al escroto.
HERNIA INGUINAL DIRECTA
EPIDEMIOLOGIA
 Edad
 Indirectas: infancia  senil 5ª década
 Directa : prevalencia aumenta con edad
 Genero
 H 20 : 1 M
 Directa
 H
 Riesgo de estrangulación
 Menor en DIRECTAS
 Moderado en INDIRECTAS
 40% en femorales
CLINICA
 Asintomático
 Dolor inguinal intermitente
 Masa palpable en ingle
 INDIRECTA: se palpa ligeramente durante maniobras de
Valsalva.
 DIRECTA: masa anterior bajo en el canal inguinal, se palpa con
maniobra de Valsalva.
 ESTRANGULADA: Distensión intestinal. Inflamación dolorosa
a tensión en ingle o escroto
ECOGRAFÍA
 Transductor lineal 7 – 10 MHz
 Escala de grises:
 Asas intestinales con peristaltismo dentro de la hernia inguinal.
 Supino / bipedestación / Valsalva
Valsalva:
 Hernia inguinal directa: plexo pampiniforme distendido se
ve desplazado por el saco herniario.
 Hernia inguinal indirecta: ingurgitación alterada del plexo
pampiniforme.
 Doppler color:
 Demuestra la arteria epigástrica inferior y la relación con el saco
herniario.
 Hernia estrangulada.
HERNIA DIRECTA
 Pasa anteromedial a vasos epigástricos inferiores
 Masa lateral a músculo recto
 «Signo lateral cresciente»
 CI desplazado y comprimido lateralmente, incluyendo grasa y demás
contenidos
HERNIA INDIRECTA
 Pasa superolateral a vaso epigástrico inferior  lateral y medial
siguiendo el CI
 Se muestra con el contenido habitual del CI, no se comprime ni
distorsiona
HERNIA INDIRECTA
HERNIA REDUCTIBLE
 Son aquellas que se introducen con facilidad en la cavidad
abdominal.
 Suelen protruir con esfuerzos (tos, Valsalva).
 Dolor por la distensión.
HERNIA IRREDUCTIBLE
 El contenido herniario no
puede ser reintroducido en la
cavidad abdominal.
 Puede ser debido a su gran
volumen.
 Irreductible = Incarcerada.
HERNIA INCARCERADA
 La irreductibilidad se acompaña de un trastorno del tránsito
intestinal, con un cierto grado de obstrucción intestinal.
 No existe compromiso vascular.
 Hallazgos:
 Líquido libre dentro de saco
 Engrosamiento pared intestinal
HERNIA ESTRANGULADA
 Compromiso vascular e
isquemia de la víscera
herniada.
 Complicación más grave.
 Hallazgos:
 Engrosamiento pared
 TC: Hipo o hiperdensidad
en su pared, así como
reforzamiento variable
 Estriación de grasa
mesentérica
 Ascitis
HERNIA FEMORAL
HERNIA FEMORAL
 SINÓNIMOS: Hernia crural, enteromerocele,
femorocele.
 Protrusión de contenido intraabdominal a lo largo de la
vaina femoral en el canal femoral, medial a la vena
femoral.
 Defecto congénito en la inserción de la fascia
transversalis en la rama iliopubiana.
 Se asocia a aumento de la presión intraabdominal.
HERNIA FEMORAL
 36% en pacientes mayores de 80 años.
 Predominantemente mujeres.
 Clinica: Inflamación, dolor, sensación de movimiento en
la ingle, abultamiento en l parte alta del muslo.
 Náusea, vómito si hay estrangulación.
HERNIA FEMORAL
 HALLAZGOS DE TC:
 Mejor prueba de imagen.
 Grasa epiploica o intestino se hernian hacia el canal
femoral mediales a la vena femoral.
 Saco herniario posterior al plano horizontal del
tubérculo del pubis.
HERNIA FEMORAL
HERNIA FEMORAL
HERNIA FEMORAL
HERNIA FEMORAL
 HALLAZGOS DE ECOGRAFÍA
 Doppler color.
 Se identifica el saco herniario que se extiende medial a la
vena femoral.
HERNIA FEMORAL
 DIAGNÓSTICOS DIFERENCIALES.
 Hernia inguinal
 Hematoma iatrógeno: arteriografía, biopsia de arteria
femoral.
 Adenopatías: Paciente con linfoma o metástasis.
 Hernia obturatriz: Hernia en la parte superolateral de
canal obturador.
HERNIA FEMORAL
 EVOLUCIÓN NATURAL:
 Pueden desplazar o estenosar la vena femoral.
 COMPLICACIONES:
 Incarceración 5-20% y/o estrangulación.
 MORBILIDAD:
 Relacionada con obstrucción intestinal.
HERNIA OBTURATRIZ
HERNIA OBTURATRIZ
Hernia pélvica que protruye a través del
agujero obturador.
 Evidencia por TC de intestino
herniado entre los músculos pectíneo
y obturador en mujeres de edad
avanzada
 > 90% en mujeres ancianas (80 años).
 < 1% de todas las hernias
HERNIA OBTURATRIZ
 CX:
 Obstrucción aguda o recurrente del intestino delgado.
 Masa dolorosa en la región del obturador.
 Signo de Howship-Romberg: dolor en la zona medial del
muslo/cadera con la abducción, extensión, rotación
interna de la rodilla; la flexión alivia el dolor. (irritación
del nervio obturador)
 Signo del Hannington-Kiff: ausencia del reflejo aductor
en el muslo.
HERNIA OBTURATRIZ
 RADIOGRAFÍA DE ABDOMEN O ESTUDIOS
BARITADOS:
 Obstrucción del intestino delgado con un asa fija que
contiene gas o medio de contraste en la región del
obturador.
HERNIA OBTURATRIZ
 HALLAZGOS DE TC:
 Asa de intestino que protruye a
través del agujero obturador.
 Frecuentemente:
 Asa ileal.
 Atrapada entre los músculos
obturador externo y pectíneo.
 Lado derecho.
HERNIA OBTURATRIZ
HERNIA OBTURATRIZ
HERNIA OBTURATRIZ
HERNIA OBTURATRIZ
 DIAGNÓSTICOS DIFERENCIALES:
 Hernia inguinal: Pasa a través del canal inguinal.
 Hernia perineal: Anterior: a través del diafragma
urogenital. Posterior: entre los músculos elevador del
ano y coxígeo.
HERNIA DE SPIEGEL
HERNIA DE SPIEGEL
 Hernia a través de un defecto en
la aponeurosis de los músculos
oblicuo interno y transverso
abdominal
 Hernia lateral al músculo recto,
inferior al ombligo, cubierta por
el músculo oblicuo externo
intacto o La aponeurosis del
oblicuo externo suele
permanecer intacta (el saco
herniario es intermuscular)
HERNIA DE SPIEGEL
HERNIA DE SPIEGEL
HERNIA DE SPIEGEL
 DIAGNÓSTICOS DIFERENCIALES:
 Hernia ventral: salen a través de la línea alba.
 Hernia umbilical: esta en línea media.
 Hernia a través de incisión de laparoscopía.
 Hematoma en la vaina de los rectos.
HERNIA UMBILICAL
HERNIA UMBILICAL
 Protrusión del contenido abdominal (grasa epiploica ±
intestino) en o a través de la pared abdominal anterior
por el anillo umbilical.
 Congénita/Adquirida.
 Aumento de la presión intraabdominal: obesidad,
gestación múltiple, ascitis.
HERNIA UMBILICAL
HERNIA UMBILICAL
HERNIA UMBILICAL
 DIAGNÓSTICOS DIFERENCIALES:
 Onfalocele: defecto congénito en la pared abdominal a
nivel del ombligo.
 Hernia ventral: epigástricas encima del ombligo,
hipogástricas debajo.
 Hernia de Spiegel: protruye en la línea semilunar y el
borde lateral del músculo recto.
HERNIA VENTRAL
 La mayoría aparecen en la línea media a través de las
aponeurosis que forman la línea alba 18-22% de los pacientes
tienen hernias múltiples.
 Los factores que i la probabilidad de que aparezca una hernia
incluyen obesidad, diabetes, esteroides, enfermedad
pulmonar.
 TC + C: considerar hacer que el paciente haga una maniobra
de Valsalva durante el estudio.
HERNIA VENTRAL
HERNIA VENTRAL
HERNIAS INTERNAS
HERNIAS INTERNAS
 Las hernias internas implican la protrusión de las vísceras a través del peritoneo o
mesenterio y en un compartimiento en la cavidad abdominal.
 La presentación más común es una obstrucción intestinal aguda de los pliegues
del intestino delgado que se desarrolla a través de aberturas normales o
anormales.
 Los orificios hernianos responsables son generalmente estructuras anatómicas
preexistentes, tales como agujeros, cavidades y fosas.
 Defectos patológicos del mesenterio y del peritoneo visceral, causados por Los
mecanismos congénitos, la cirugía, el trauma, la inflamación y la circulación, son
también posibles orificios de herniación.
HERNIAS INTERNAS CUADRO
CLINICO
 Obstrucción intestinal de inicio agudo.
 Las hernias internas son silenciosas si son fácilmente reductibles, pero la mayoría a
menudo causan malestar epigástrico.
 Dolor periumbilical.
 Episodios recurrentes de obstrucción intestinal
HERNIAS PARADUODENAL.
 Las fosas paraduodenales se originan como anomalías peritoneales
congénitas debido al fracaso de la fusión mesentérica con el peritoneo
parietal y una rotación anormal asociada durante el encarcelamiento del
intestino delgado bajo el colon en desarrollo
HERNIAS PARADUODENAL.
HERNIAS PARADUODENAL
NEUMATOSIS INTESTINAL
 Acumulaciones quísticas o lineales de aire en las capas sub serosa o submucosa de
la pared del aparato digestivo.
 Signo, no es una enfermedad.
Gas intraluminal en el aparato
digestivo: + presión intramural o
lesión de la mucosa = el gas
entra en la pared
Producción de gas por bacterias:
invasión bacteriana = tensión
elevada = difusión del gas
Gas pulmonar: disección aérea
 Primaria
15%.
Asintomática.
 Secundaria
85%.
Dolor y distensión ( causa).
Por isquemia, fármacos, etc.
Microscópicamente
PRIMARIA
 Múltiples quistes de pared fina llenos
de gas y no comunicados en la capa
subserosa o submucosa del intestino.
 Muscular y mucosa normales.
SECUNDARIA
 Líneas prominentes de gas paralelas
a la pared intestinal.
 Características necróticas,
inflamatorias, ulcerosas o isquémicas
Radiografía.
 Primaria: acumulaciones de aire
quísticas en la pared del colon.
 Secundaria: distribución lineal del gas
a lo largo del intestino delgado y el
colon, dilatación de asas intestinales.
 Signo de Rigler: el signo de la "doble
pared”: la visualization de ambas
superficies de la pared intestinal, por la
presencia de gas en contacto con ellas,
tanto en el interior del asa como por
fuera de ésta, por presencia de
neumoperitoneo
Estudios baritados.
PRIMARIA.
 Quistes radiotransparentes a lo largo del
contorno del colon
 Simulando seudopólipos inflamatorios
 Compresión concéntrica de la luz por los
quistes
 Marcada radiotransparencia de los quistes
llenos de gas
SECUNDARIA.
 Acumulaciones de gas moteadas, en
pompas de jabón, aspecto de estar
lleno de heces.
 Asas intestinales dilatadas ±
impresiones digitales
TC + C
Secundaria
 Distribución en banda o lineal del
aire en la pared del intestino
afectada.
 Forma lineal o curvilínea.
 Etiología isquémica: dilatación de la
luz intestinal (íleo), engrosamiento
parietal, realce anormal.
 Neumoperitoneo o neumorretroperitoneo.
 Gas en venas mesentéricas o portales.
 El gas biliar se concentra en los conductos centrales cerca de la porta hepática.
 ± trombosis arterial o venosa mesentéricas
 TCMD con ventana para pulmón, con el fin de detectar el gas intramural y venoso
Protocolo recomendado
 TCMD con contraste Lv. a 3-4 ml/s y colimación de 1,5-3 mm
 35 segundos de retraso para la adquisición de imágenes y se repite en fase venosa
pasados 80 segundos
 El agua como contraste oral facilita la angiografía porTC
 Reformateos multiplanares para la angiografía por TC
Hernias abdominales
Hernias abdominales

Hernias abdominales

  • 1.
    HERNIAS ABDOMINALES Dr. FélixArturo Delgado Guerrero. Imagenologia diagnostica y terapéutica.
  • 2.
    HERNIA  Protrusión anormaldel peritoneo parietal y de las vísceras a través de una abertura normal o anormal de la cavidad a la que pertenecen.  El riesgo de hernias abdominales espontáneas es sustancial en la población general, aproximadamente al 5%. La gran mayoría de estas hernias son hernias inguinales (80% de los casos), mientras que las hernias femorales representan el 5%; El 15% restante incluye los tipos umbilical, epigástrico e incisional.
  • 4.
  • 5.
    ANILLO INGUINAL PROFUNDO CANAL INGUINAL  Esun paso oblicuo, de dirección inferomedial (4cm), situado en la parte inferior de la pared anterolateral del abdomen.  Paralelo al ligamento inguinal.  Dispone de un orificio en cada extremo. Lugar donde se evagina la fascia transversa (interna), lateral a la a. epigástrica inferior ANILLO INGUINAL SUPERFICIAL Entre las fibras diagonales de la aponeurosis del m. oblicuo externo PARED ANTERIOR: Aponeurosis del oblicuo externo. PARED POSTERIOR: Fascia transversa. TECHO: Fibras arqueadas de los m. oblicuo interno y transverso del abdomen. SUELO: Cara superior del ligamento inguinal
  • 6.
    HERNIA INGUINAL INDIRECTA Defecto congénito: proceso vaginal persistente.  Abandona la cavidad abdominal. Lateral a los vasos epigástricos inferiores y penetra en el anillo inguinal profundo  Dispone de un saco herniario, formado por un proceso vaginal persistente y las tres cubiertas fasciales del cordón espermático.  Atraviesa todo el conducto inguinal.  Sale por el anillo inguinal superficial.  Entra casi siempre al escroto.
  • 7.
     Adquirida  Debilidadde fascia transversal de pared posterior de conducto inguinal (triángulo de Hesselbach)  Medial a las arterias epigástricas inferiores  Punto débil de pared abdominal anterior limitado por el ligamento inguinal, arteria epigástrica inferior y borde lateral de músculo recto anterior.  Saco herniario constituido por fascia transversa.  No atraviesa todo el canal inguinal.  Casi nunca pasa al escroto. HERNIA INGUINAL DIRECTA
  • 9.
    EPIDEMIOLOGIA  Edad  Indirectas:infancia  senil 5ª década  Directa : prevalencia aumenta con edad  Genero  H 20 : 1 M  Directa  H  Riesgo de estrangulación  Menor en DIRECTAS  Moderado en INDIRECTAS  40% en femorales
  • 10.
    CLINICA  Asintomático  Doloringuinal intermitente  Masa palpable en ingle  INDIRECTA: se palpa ligeramente durante maniobras de Valsalva.  DIRECTA: masa anterior bajo en el canal inguinal, se palpa con maniobra de Valsalva.  ESTRANGULADA: Distensión intestinal. Inflamación dolorosa a tensión en ingle o escroto
  • 11.
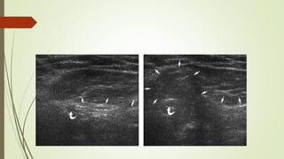
    ECOGRAFÍA  Transductor lineal7 – 10 MHz  Escala de grises:  Asas intestinales con peristaltismo dentro de la hernia inguinal.  Supino / bipedestación / Valsalva Valsalva:  Hernia inguinal directa: plexo pampiniforme distendido se ve desplazado por el saco herniario.  Hernia inguinal indirecta: ingurgitación alterada del plexo pampiniforme.  Doppler color:  Demuestra la arteria epigástrica inferior y la relación con el saco herniario.  Hernia estrangulada.
  • 15.
    HERNIA DIRECTA  Pasaanteromedial a vasos epigástricos inferiores  Masa lateral a músculo recto  «Signo lateral cresciente»  CI desplazado y comprimido lateralmente, incluyendo grasa y demás contenidos
  • 17.
    HERNIA INDIRECTA  Pasasuperolateral a vaso epigástrico inferior  lateral y medial siguiendo el CI  Se muestra con el contenido habitual del CI, no se comprime ni distorsiona
  • 19.
  • 20.
    HERNIA REDUCTIBLE  Sonaquellas que se introducen con facilidad en la cavidad abdominal.  Suelen protruir con esfuerzos (tos, Valsalva).  Dolor por la distensión.
  • 21.
    HERNIA IRREDUCTIBLE  Elcontenido herniario no puede ser reintroducido en la cavidad abdominal.  Puede ser debido a su gran volumen.  Irreductible = Incarcerada.
  • 22.
    HERNIA INCARCERADA  Lairreductibilidad se acompaña de un trastorno del tránsito intestinal, con un cierto grado de obstrucción intestinal.  No existe compromiso vascular.  Hallazgos:  Líquido libre dentro de saco  Engrosamiento pared intestinal
  • 23.
    HERNIA ESTRANGULADA  Compromisovascular e isquemia de la víscera herniada.  Complicación más grave.  Hallazgos:  Engrosamiento pared  TC: Hipo o hiperdensidad en su pared, así como reforzamiento variable  Estriación de grasa mesentérica  Ascitis
  • 24.
  • 25.
    HERNIA FEMORAL  SINÓNIMOS:Hernia crural, enteromerocele, femorocele.  Protrusión de contenido intraabdominal a lo largo de la vaina femoral en el canal femoral, medial a la vena femoral.  Defecto congénito en la inserción de la fascia transversalis en la rama iliopubiana.  Se asocia a aumento de la presión intraabdominal.
  • 26.
    HERNIA FEMORAL  36%en pacientes mayores de 80 años.  Predominantemente mujeres.  Clinica: Inflamación, dolor, sensación de movimiento en la ingle, abultamiento en l parte alta del muslo.  Náusea, vómito si hay estrangulación.
  • 27.
    HERNIA FEMORAL  HALLAZGOSDE TC:  Mejor prueba de imagen.  Grasa epiploica o intestino se hernian hacia el canal femoral mediales a la vena femoral.  Saco herniario posterior al plano horizontal del tubérculo del pubis.
  • 28.
  • 29.
  • 30.
  • 31.
    HERNIA FEMORAL  HALLAZGOSDE ECOGRAFÍA  Doppler color.  Se identifica el saco herniario que se extiende medial a la vena femoral.
  • 32.
    HERNIA FEMORAL  DIAGNÓSTICOSDIFERENCIALES.  Hernia inguinal  Hematoma iatrógeno: arteriografía, biopsia de arteria femoral.  Adenopatías: Paciente con linfoma o metástasis.  Hernia obturatriz: Hernia en la parte superolateral de canal obturador.
  • 33.
    HERNIA FEMORAL  EVOLUCIÓNNATURAL:  Pueden desplazar o estenosar la vena femoral.  COMPLICACIONES:  Incarceración 5-20% y/o estrangulación.  MORBILIDAD:  Relacionada con obstrucción intestinal.
  • 36.
  • 37.
    HERNIA OBTURATRIZ Hernia pélvicaque protruye a través del agujero obturador.  Evidencia por TC de intestino herniado entre los músculos pectíneo y obturador en mujeres de edad avanzada  > 90% en mujeres ancianas (80 años).  < 1% de todas las hernias
  • 38.
    HERNIA OBTURATRIZ  CX: Obstrucción aguda o recurrente del intestino delgado.  Masa dolorosa en la región del obturador.  Signo de Howship-Romberg: dolor en la zona medial del muslo/cadera con la abducción, extensión, rotación interna de la rodilla; la flexión alivia el dolor. (irritación del nervio obturador)  Signo del Hannington-Kiff: ausencia del reflejo aductor en el muslo.
  • 39.
    HERNIA OBTURATRIZ  RADIOGRAFÍADE ABDOMEN O ESTUDIOS BARITADOS:  Obstrucción del intestino delgado con un asa fija que contiene gas o medio de contraste en la región del obturador.
  • 40.
    HERNIA OBTURATRIZ  HALLAZGOSDE TC:  Asa de intestino que protruye a través del agujero obturador.  Frecuentemente:  Asa ileal.  Atrapada entre los músculos obturador externo y pectíneo.  Lado derecho.
  • 41.
  • 42.
  • 43.
  • 44.
    HERNIA OBTURATRIZ  DIAGNÓSTICOSDIFERENCIALES:  Hernia inguinal: Pasa a través del canal inguinal.  Hernia perineal: Anterior: a través del diafragma urogenital. Posterior: entre los músculos elevador del ano y coxígeo.
  • 45.
  • 46.
    HERNIA DE SPIEGEL Hernia a través de un defecto en la aponeurosis de los músculos oblicuo interno y transverso abdominal  Hernia lateral al músculo recto, inferior al ombligo, cubierta por el músculo oblicuo externo intacto o La aponeurosis del oblicuo externo suele permanecer intacta (el saco herniario es intermuscular)
  • 47.
  • 48.
  • 49.
    HERNIA DE SPIEGEL DIAGNÓSTICOS DIFERENCIALES:  Hernia ventral: salen a través de la línea alba.  Hernia umbilical: esta en línea media.  Hernia a través de incisión de laparoscopía.  Hematoma en la vaina de los rectos.
  • 50.
  • 51.
    HERNIA UMBILICAL  Protrusióndel contenido abdominal (grasa epiploica ± intestino) en o a través de la pared abdominal anterior por el anillo umbilical.  Congénita/Adquirida.  Aumento de la presión intraabdominal: obesidad, gestación múltiple, ascitis.
  • 52.
  • 54.
  • 55.
    HERNIA UMBILICAL  DIAGNÓSTICOSDIFERENCIALES:  Onfalocele: defecto congénito en la pared abdominal a nivel del ombligo.  Hernia ventral: epigástricas encima del ombligo, hipogástricas debajo.  Hernia de Spiegel: protruye en la línea semilunar y el borde lateral del músculo recto.
  • 56.
    HERNIA VENTRAL  Lamayoría aparecen en la línea media a través de las aponeurosis que forman la línea alba 18-22% de los pacientes tienen hernias múltiples.  Los factores que i la probabilidad de que aparezca una hernia incluyen obesidad, diabetes, esteroides, enfermedad pulmonar.  TC + C: considerar hacer que el paciente haga una maniobra de Valsalva durante el estudio.
  • 57.
  • 58.
  • 59.
  • 60.
    HERNIAS INTERNAS  Lashernias internas implican la protrusión de las vísceras a través del peritoneo o mesenterio y en un compartimiento en la cavidad abdominal.  La presentación más común es una obstrucción intestinal aguda de los pliegues del intestino delgado que se desarrolla a través de aberturas normales o anormales.  Los orificios hernianos responsables son generalmente estructuras anatómicas preexistentes, tales como agujeros, cavidades y fosas.  Defectos patológicos del mesenterio y del peritoneo visceral, causados por Los mecanismos congénitos, la cirugía, el trauma, la inflamación y la circulación, son también posibles orificios de herniación.
  • 62.
    HERNIAS INTERNAS CUADRO CLINICO Obstrucción intestinal de inicio agudo.  Las hernias internas son silenciosas si son fácilmente reductibles, pero la mayoría a menudo causan malestar epigástrico.  Dolor periumbilical.  Episodios recurrentes de obstrucción intestinal
  • 64.
    HERNIAS PARADUODENAL.  Lasfosas paraduodenales se originan como anomalías peritoneales congénitas debido al fracaso de la fusión mesentérica con el peritoneo parietal y una rotación anormal asociada durante el encarcelamiento del intestino delgado bajo el colon en desarrollo
  • 66.
  • 67.
  • 69.
  • 70.
     Acumulaciones quísticaso lineales de aire en las capas sub serosa o submucosa de la pared del aparato digestivo.  Signo, no es una enfermedad.
  • 71.
    Gas intraluminal enel aparato digestivo: + presión intramural o lesión de la mucosa = el gas entra en la pared Producción de gas por bacterias: invasión bacteriana = tensión elevada = difusión del gas Gas pulmonar: disección aérea
  • 72.
     Primaria 15%. Asintomática.  Secundaria 85%. Dolory distensión ( causa). Por isquemia, fármacos, etc.
  • 74.
    Microscópicamente PRIMARIA  Múltiples quistesde pared fina llenos de gas y no comunicados en la capa subserosa o submucosa del intestino.  Muscular y mucosa normales. SECUNDARIA  Líneas prominentes de gas paralelas a la pared intestinal.  Características necróticas, inflamatorias, ulcerosas o isquémicas
  • 75.
    Radiografía.  Primaria: acumulacionesde aire quísticas en la pared del colon.  Secundaria: distribución lineal del gas a lo largo del intestino delgado y el colon, dilatación de asas intestinales.
  • 76.
     Signo deRigler: el signo de la "doble pared”: la visualization de ambas superficies de la pared intestinal, por la presencia de gas en contacto con ellas, tanto en el interior del asa como por fuera de ésta, por presencia de neumoperitoneo
  • 77.
    Estudios baritados. PRIMARIA.  Quistesradiotransparentes a lo largo del contorno del colon  Simulando seudopólipos inflamatorios  Compresión concéntrica de la luz por los quistes  Marcada radiotransparencia de los quistes llenos de gas
  • 79.
    SECUNDARIA.  Acumulaciones degas moteadas, en pompas de jabón, aspecto de estar lleno de heces.  Asas intestinales dilatadas ± impresiones digitales
  • 80.
    TC + C Secundaria Distribución en banda o lineal del aire en la pared del intestino afectada.  Forma lineal o curvilínea.  Etiología isquémica: dilatación de la luz intestinal (íleo), engrosamiento parietal, realce anormal.
  • 82.
     Neumoperitoneo oneumorretroperitoneo.  Gas en venas mesentéricas o portales.  El gas biliar se concentra en los conductos centrales cerca de la porta hepática.  ± trombosis arterial o venosa mesentéricas
  • 84.
     TCMD conventana para pulmón, con el fin de detectar el gas intramural y venoso Protocolo recomendado  TCMD con contraste Lv. a 3-4 ml/s y colimación de 1,5-3 mm  35 segundos de retraso para la adquisición de imágenes y se repite en fase venosa pasados 80 segundos  El agua como contraste oral facilita la angiografía porTC  Reformateos multiplanares para la angiografía por TC

Notas del editor

  • #72 Diagram illustrates the proposed mech- anism for The development of pneumatosis in a large majority of cases. Mucosal damage along with mechanical factors force anaerobic bacteria into the Wall with subsequent cyst formation. Air = gas
  • #75 Endoscopia, en protrusiones polipoides, muchos quistes, con células gigantes.
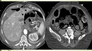
  • #81 Abdominal CT images show free air ( long arrows ) and small-bowel PI ( short arrows, C) but also hepatic portal venous gas (arrowheads B ) not seen on radiograph. At surgery, diffuse ischemia of small bowel was found. Patient died 1 week late.
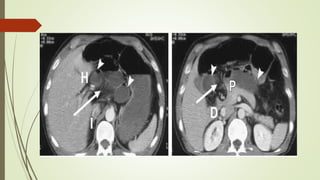
  • #84 GAS PORTA NEUMOBILIA