Hernias poco
frecuentes
Dra. M. Lorena Mireles Ramírez
Asesor: Dra. Ma de la Luz Caltzoncin
Hernias femorales
Hernias femorales
• La hernia femoral es la protrusión de una
viscera abdominal o pelviana a través del
anillo o el conducto femorales.
Grasa extraperitoneal
Hernia por deslizamiento
• Vejiga, útero
Hernias de la pared abdominal. Tratamiento actual.
2da edición 2009. Mayagoitia. Sección V Hernias poco
comunes
Hernias femorales
• 5-7% de todas las hernias
• 6:1 M:H
• 2:1 lado derecho
• 97% Adultos (mujeres)
Hernias de la pared abdominal. Tratamiento actual.
2da edición 2009. Mayagoitia. Sección V Hernias poco
comunes
Congénita
• Puede deberse a la existencia de un
saco preformado
Adquirida
• Mucho más común entre las que
están bajo el efecto del esfuerzo del
parto o el estreñimiento que entre
las que no lo están.
• Aumento de la presión
intraabdominal, la relajación del
anillo femoral o, un combinación de
ambos.
Hernias de la pared abdominal. Tratamiento actual.
2da edición 2009. Mayagoitia. Sección V Hernias poco
comunes
• Aumentos de la presión intraabdominal
• Causas iatrogénicas (15-45%) Previa
reparación de hernia inguinal y su
consecuente tracción del ligamento inguinal o
del tracto iliopúbico cranealmente abriendo el
anillo de entrada femoral
• Causas anatómicas ?
• Envejecimiento: Atrofia muscular de músculos
iliopsoas y pectíneo
Hernias de la pared abdominal. Tratamiento actual.
2da edición 2009. Mayagoitia. Sección V Hernias poco
comunes
Importancia actual
• Dx preqx difícil
• Causa frecuente de abdomen agudo por
obstrucción intestinal en mujeres, ancianos y
obesos
• Recurrencias altas: 3.1 al 30% a 5 años
• Controversia respecto a su tratamiento
Hernias de la pared abdominal. Tratamiento actual.
2da edición 2009. Mayagoitia. Sección V Hernias poco
comunes
Anatomía qx
• Canal femoral: Forma de cono de 1.5 a 2cm de
longitud cuyo vértice se sitúa superficialmente
en la fosa oval
• Anillo profundo (entrada) y anillo superficial
(salida)
• Con un diámetro anteroposterior de 10-14mm
y otro transverso de 12-16mm
Hernias de la pared abdominal. Tratamiento actual.
2da edición 2009. Mayagoitia. Sección V Hernias poco
comunes
Patogenia de hernia femoral
• El saco herniario se introduce por el anillo
femoral, por fuera de la porción curva del
ligamento iliopúbico, pasando frente al
ligamento de Cooper, en sentido posterior en
relación con el saco, y por debajo del
ligamento inguinal.
Hernias de la pared abdominal. Tratamiento actual.
2da edición 2009. Mayagoitia. Sección V Hernias poco
comunes
Clasificación
En función del trayecto y situación
HF típica: Protruye lateral a la VF
HF prevascular de Teale: Por encima de la VF
HF retrovascular de Serafini: Por debajo de la VF
HF externa o de Hesselbach: Superior y lateral a la AF
HF de Laugier: Protruye por el ligamento lacunar
HF pectínea de Callisen-Cloquet: Perfora la aponeurosis
pectínea y se aloja entre ésta y el músculo
HF Multidiverticular de Hesselbach: Atraviesa disstintos
orificios de la fascia cribiforme
En función del grado de penetrancia
del saco en el canal femoral
Estadio 1: Hernias internas y asintomáticas (dentro del
canal femoral)
Estadio 2: Hernias externas que protruyen fuera del canal
y son detectables clínicamente
Hernias de la pared abdominal. Tratamiento actual.
2da edición 2009. Mayagoitia. Sección V Hernias poco
comunes
Herniorrafias y Hernioplastías
• **Bassini (Ligamento inguinal-fascia pectínea)
• **Bassini-Kirshner (Ligamento inguinal-Ligamento de Cooper
• Lichtenstein
• Trabucco
• Bendavid
• Acceso inguinal:
• Cheatle Henry
• Nyhus
• Técnicas laparoscópicas
• TEP
Hernias de la pared abdominal. Tratamiento actual.
2da edición 2009. Mayagoitia. Sección V Hernias poco
comunes
Lichtenstein
• Hernioplastía sin tensión
• 70% de todas las intervenciones
• Colocación de un tapón de malla
• Malla: Tamaño adecuado 2x20cm o superior
en función del tamaño del defecto, se
configura al enrollarse en forma cilíndrica para
dar lugar a un tapón sólido y firme (debe ser
suficiente para obliterar adecuadamente el
canal femoral y los anillos de entrada y salida
Hernias de la pared abdominal. Tratamiento actual.
2da edición 2009. Mayagoitia. Sección V Hernias poco
comunes
• Fijación: En el borde inferior del tapón se fija a
la fascia pectínea, el borde medial se fija al
ligamento lacunar y el borde superior la
ligamento inguinal
• Puntos sueltos de monofilamento no
absorbible
• Evitar los puntos cerca del borde lateral para
evitar daño a la vena femoral
Hernias de la pared abdominal. Tratamiento actual.
2da edición 2009. Mayagoitia. Sección V Hernias poco
comunes
Incidencias intra y postoperatorias
• Seromas
• Hematomas locales
• Infrecuente: Movilización del tapón por una
deficiente fijación al canal, la migración al espacio
preperitoneal, vejiga o cavidad intraabdominal
• Trombosis o lesión iatrogénica de la vena femoral
• Infecciones
• Rechazo a la malla
• Recidivas -0.2%
Hernias de la pared abdominal. Tratamiento actual.
2da edición 2009. Mayagoitia. Sección V Hernias poco
comunes
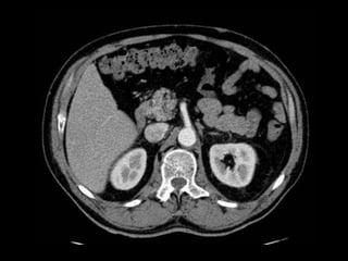
Hernia de Spiegel
Hernia de Spiegel
• Raras 0.12 y 2%
• Hernias intersticiales donde el saco herniario
penetra a través de la aponeurosis del
músculo transverso del abdomen y del
músculo oblicuo interno, pero permanece por
detrás de la aponeurosis del músculo oblicuo
externo.
• 60 y 80 años de vida
Hernias de la pared abdominal. Tratamiento actual.
2da edición 2009. Mayagoitia. Sección V Hernias poco
comunes
• Defecto en la línea semilunar inmediatamente
por debajo de la línea arcuata
Congénitas
Adquiridas
• Sitios donde penetran los vasos epigástricos
disminuyen la fortaleza de la pared
• Aumento de la presión intraabdominal
• Secundario a procedimientos laparoscópicos
Hernias de la pared abdominal. Tratamiento actual.
2da edición 2009. Mayagoitia. Sección V Hernias poco
comunes
Cuadro clínico
• Dolor con masa palpable o sin ella
• H:M 1.4:1
• Dolor pungitivo intermitente que se intensifica
a las maniobras de Valsalva
• Localización imprecisa y de larga evolución
• Tamaño de orificio importante
• Pequeño:
» 20-30% encarceramiento
» 14-21% estrangulamiento
Hernias de la pared abdominal. Tratamiento actual.
2da edición 2009. Mayagoitia. Sección V Hernias poco
comunes
Diagnóstico
• HC
• EF
• USG: Área libre de ecos, que está ocupada por tejido
conectivo, y se puede ver un eco fuerte si se encuentra
el intestino en contacto con el orificio herniario
• En caso de adherencias, la apo de Spiegel y el tejido
adherido tienen casi la misma intensidad ecográfica, lo
que puede confundir
• TAC: Permite identificar los músculos que constituyen
la pared abdominal anterior y el transverso del
abdomen, así como el contenido del saco herniario
Hernias de la pared abdominal. Tratamiento actual.
2da edición 2009. Mayagoitia. Sección V Hernias poco
comunes
Diagnóstico diferencial
• Hematomas postraumáticos de los músculos
rectos
Hernias de la pared abdominal. Tratamiento actual.
2da edición 2009. Mayagoitia. Sección V Hernias poco
comunes
Tratamiento
• En su mayoría el defecto es menor a 2cm
• Reparación con los propios tejidos del
paciente
• No tensión
• Técnica laparoscópica IPOM
Hernias de la pared abdominal. Tratamiento actual.
2da edición 2009. Mayagoitia. Sección V Hernias poco
comunes
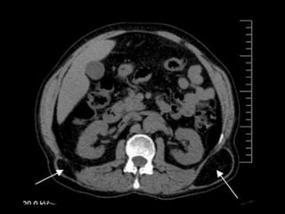
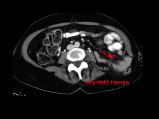
Hernias lumbares
Hernias lumbares
• -2%
Congénitas 10%
Grynfelt : Tríangulo superior de la región lumbar
Petit: Triángulo inferior
Traumáticas 25%
Fracturas costales múltiples con lesión de Nervios IC 11 y 12 y
con trauma asociado a cinturón de seguridad
Incisionales 50-60%
Cirugía urológica con lumbotomía y qx ortopédica por la toma
de grandes porciones de la cresta iliaca para injerto de hueso
Espontáneas
Trastornos neurológicos con atrofia muscular de la región
lumbar
Cuadro clínico
• Asintomáticas
• Aumento progresivo de volumen pequeño o
grande en la región de alguno de los flancos
• Riesgo de encarceración es de 25%
• Estrangulación 8-18%
• Más frecuente en las congénitas y en las
incisionales con múltiples operaciones y
anillos fibróticos poco distendibles
Hernias de la pared abdominal. Tratamiento actual.
2da edición 2009. Mayagoitia. Sección V Hernias poco
comunes
Métodos diagnósticos
• En pacientes muy obesos y con sacos herniarios
muy pequeños.
• USG dinámico, en reposo y con maniobra de
valsalva
• TAC dinámica
• RMN
• Electromiografía de la musculatura abdominal: El
pronóstico de la plastía es malo si se encuentra
una lesión nerviosa asociada, por dilatación
posterior de los músculos denervados lo cual
ocasionará recidiva
Hernias de la pared abdominal. Tratamiento actual.
2da edición 2009. Mayagoitia. Sección V Hernias poco
comunes
Abordaje terapéutico
• Recurrencia con técnicas de tensión: 50-65%
• Con malla disminución; pero con retos a
vencer…
Límites laterales
musculares en lugar
de aponeuróticos
•Los puntos con tensión,
tienden a desgarrar el
tejido muscular
Estructuras óseas
como límites
superior e inferior
•Al afrontar los límites
del defecto en forma
vertical, ocasionan un
defecto triangular
cercano al segmento
óseo por donde
recurrirá la hernia
Rango de movilidad
de la región amplio
•Ocasiona en el cierre
de las suturas una
importante tensión y
por lo tanto tendencia
de desgarrar
estructuras musculares
Hernias de la pared abdominal. Tratamiento actual.
2da edición 2009. Mayagoitia. Sección V Hernias poco
comunes
• Un alto porcentaje de hernias lumbares son
traumáticas
• 30% reparación por cierre primario
• 50% requieren material protésico
• 10% Vía laparoscópica
Hernias de la pared abdominal. Tratamiento actual.
2da edición 2009. Mayagoitia. Sección V Hernias poco
comunes
Reparación de hernia lumbar
• Técnica de Rives
• Consideraciones especiales
• Posición de lumbotomía
• Distancia de sisección 8cm, laboriosa a nivel
subcostal
• Malla de polipropileno ligero única opción con
cualquier combinación de material absorbible
• Fijación de malla mixta: suturas transcutáneas y
grapas (áreas óseas)
Hernias de la pared abdominal. Tratamiento actual.
2da edición 2009. Mayagoitia. Sección V Hernias poco
comunes
Técnicas
• Rives con acceso anterior
• Técnica de Sandwich (Rives anterior + Chevrel)
• Técnica intraperitoneal abierta
Hernias de la pared abdominal. Tratamiento actual.
2da edición 2009. Mayagoitia. Sección V Hernias poco
comunes
Complicaciones
• Seromas
• Granuloma de la herida
• Dolor crónico
• Flacidez de la región
• Recidiva
Hernias de la pared abdominal. Tratamiento actual.
2da edición 2009. Mayagoitia. Sección V Hernias poco
comunes
Hernia incisional
suprapúbica
Hernia incisional suprapúbica
• Se asocia a daño quirúrgico
• Cesárea 85%
• Prostatectomía
• Representa del 2 al 4% de todas las hernias
incisionales
• 4:1 M:H
Hernias de la pared abdominal. Tratamiento actual.
2da edición 2009. Mayagoitia. Sección V Hernias poco
comunes
Anatomía patológica
• Sínfisis del pubis área compleja
• Ligamento interóseo
• Ligamento anterior, superior e inferior del
pubis
• Ligamento arcuato del pubis (cara posterior e
inferior del pubis)
• Entrecruzamiento de fibras en línea media
Hernias de la pared abdominal. Tratamiento actual.
2da edición 2009. Mayagoitia. Sección V Hernias poco
comunes
• Colágeno denso, bajo nivel de irrigación y
poca elasticidad = complejidad de reparación
Hernias de la pared abdominal. Tratamiento actual.
2da edición 2009. Mayagoitia. Sección V Hernias poco
comunes
Cuadro clínico
• Dolor y tumor de reducción parcial o total
• Antecedente de qx
• Síntomas urinarios bajos
• Trastornos psicosomáticos relacionados con la
hernia: Impotencia sexual, frigidez, rechazo a
la intimidad
Hernias de la pared abdominal. Tratamiento actual.
2da edición 2009. Mayagoitia. Sección V Hernias poco
comunes
Valoración prequirúrgica
• Reducción de peso
• Antibióticos profilácticos
• Colocación de catéter vesical
Hernias de la pared abdominal. Tratamiento actual.
2da edición 2009. Mayagoitia. Sección V Hernias poco
comunes
Técnica quirúrgica
• Combinación de técnica de Rives + Bendavid con
colocación de malla de polipropileno
• La malla se coloca preperitoneal y retropúbico y
se fija con prolene a las siguientes estructuras:
• Ligamento arcuato
• Cara posterior del pubis
• Ambos ligamentos de Cooper
• Los músculos rectos lateralmente y sus aponeurosis con
puntos en U sobre ellas, y sin tensión en la línea de sutura
• Uso de drenaje subcutáneo
Hernias de la pared abdominal. Tratamiento actual.
2da edición 2009. Mayagoitia. Sección V Hernias poco
comunes
Complicaciones transquirúrgicas
• Lesión a la vejiga
• Disecarse perfectamente y en caso de daño,
suturar en 2 planos y mantener sonda foley
por al menos 12 o 14 días
Complicaciones postquirúrgicas
• Infección de herida quirúrgica
• Seroma
• Rechazo a la bioprótesis
• Recidiva
Hernia subcostal
Hernia subcostal
• Incisional
• 80% lado derecho (Colecistectomía)
• Saco herniario: epiplón mayor, intestino
delgado, ángulo hepático del colon, que
generalmente presentan adherencias entre sí
y se presentan con cuadros suboclusivos u
oclusivos
Hernias de la pared abdominal. Tratamiento actual.
2da edición 2009. Mayagoitia. Sección V Hernias poco
comunes
Etiopatogenia
• Cualquier factor que altere el proceso de
cicatrización
• Alteraciones generales: Obesidad,
malnutrición, EPOC
• Alteraciones intraoperatorias: tipo de incisión,
anestesia deficiente
• Alteraciones posoperatorias: Seroma,
hematoma, infección de herida, evisceración
Hernias de la pared abdominal. Tratamiento actual.
2da edición 2009. Mayagoitia. Sección V Hernias poco
comunes
Trastornos locales
• Pérdida de la sustancia parietal
• Atrofia y retracción de las fibras musculares
• La piel se reduce a una dermis mal
vascularizada, deprovista de TCS
Hernias de la pared abdominal. Tratamiento actual.
2da edición 2009. Mayagoitia. Sección V Hernias poco
comunes
Trastornos generales
• Disminución de la presión abdominal
• Descenso del diafragma
• Atonía progresiva
• Desórdenes respiratorios importantes
Hernias de la pared abdominal. Tratamiento actual.
2da edición 2009. Mayagoitia. Sección V Hernias poco
comunes
Diagnóstico
• Dolor en relación con el desgarro de los
tejidos y con la frecuente epiploitis
acompañante
• EF
• TAC
Hernias de la pared abdominal. Tratamiento actual.
2da edición 2009. Mayagoitia. Sección V Hernias poco
comunes
Tratamiento
• Sutura plano por plano
• Sutura y prótesis en Sandwich
• Prótesis retromuscular prefascial y prótesis
premusculoaponeurótica (Rives)
Hernias de la pared abdominal. Tratamiento actual.
2da edición 2009. Mayagoitia. Sección V Hernias poco
comunes
Hernias paraestomales
Hernias paraestomales
• Aparece en vecindad de una ileostomía o
colostomía
• Incidencia 10%
• 20% requerirán tratamiento quirúrgico
Hernias de la pared abdominal. Tratamiento actual.
2da edición 2009. Mayagoitia. Sección V Hernias poco
comunes
Cuadro clínico
• Dolor
• Obstrucción por incarceración de la hernia
Etiopatogenia
• Multifactorial
• Edad
• Género
• Irradiación previa
• Estado nutricional
• Diabetes
• Obesidad
• Enfermedad maligna
• Uso de corticosteroides
• Colocación de un estoma pararrectal, debido a la creación de zona
de debilidad en la pared abdominal adyacente a la línea semilunar,
lo más recomendable es el estoma a través del recto anterior del
abdomen
Hernias de la pared abdominal. Tratamiento actual.
2da edición 2009. Mayagoitia. Sección V Hernias poco
comunes
Indicaciones de qx
• Dificultad con el cuidado y manejo del estoma
• Tamaño importante de la hernia
• Oclusión intestinal
Hernias de la pared abdominal. Tratamiento actual.
2da edición 2009. Mayagoitia. Sección V Hernias poco
comunes
Técnicas quirúrgicas
• Reparación local
• Recolocación del estoma y cierre del defecto
aponeurótico
• Reconstrucción del tránsito intestinal y cierre
del defecto
• Reparación laparoscópica con malla
intraperitoneal
Hernias de la pared abdominal. Tratamiento actual.
2da edición 2009. Mayagoitia. Sección V Hernias poco
comunes
Gracias!

Hernias poco frecuentes

  • 1.
    Hernias poco frecuentes Dra. M.Lorena Mireles Ramírez Asesor: Dra. Ma de la Luz Caltzoncin
  • 2.
  • 3.
    Hernias femorales • Lahernia femoral es la protrusión de una viscera abdominal o pelviana a través del anillo o el conducto femorales. Grasa extraperitoneal Hernia por deslizamiento • Vejiga, útero Hernias de la pared abdominal. Tratamiento actual. 2da edición 2009. Mayagoitia. Sección V Hernias poco comunes
  • 4.
    Hernias femorales • 5-7%de todas las hernias • 6:1 M:H • 2:1 lado derecho • 97% Adultos (mujeres) Hernias de la pared abdominal. Tratamiento actual. 2da edición 2009. Mayagoitia. Sección V Hernias poco comunes
  • 5.
    Congénita • Puede debersea la existencia de un saco preformado Adquirida • Mucho más común entre las que están bajo el efecto del esfuerzo del parto o el estreñimiento que entre las que no lo están. • Aumento de la presión intraabdominal, la relajación del anillo femoral o, un combinación de ambos. Hernias de la pared abdominal. Tratamiento actual. 2da edición 2009. Mayagoitia. Sección V Hernias poco comunes
  • 6.
    • Aumentos dela presión intraabdominal • Causas iatrogénicas (15-45%) Previa reparación de hernia inguinal y su consecuente tracción del ligamento inguinal o del tracto iliopúbico cranealmente abriendo el anillo de entrada femoral • Causas anatómicas ? • Envejecimiento: Atrofia muscular de músculos iliopsoas y pectíneo Hernias de la pared abdominal. Tratamiento actual. 2da edición 2009. Mayagoitia. Sección V Hernias poco comunes
  • 8.
    Importancia actual • Dxpreqx difícil • Causa frecuente de abdomen agudo por obstrucción intestinal en mujeres, ancianos y obesos • Recurrencias altas: 3.1 al 30% a 5 años • Controversia respecto a su tratamiento Hernias de la pared abdominal. Tratamiento actual. 2da edición 2009. Mayagoitia. Sección V Hernias poco comunes
  • 9.
    Anatomía qx • Canalfemoral: Forma de cono de 1.5 a 2cm de longitud cuyo vértice se sitúa superficialmente en la fosa oval • Anillo profundo (entrada) y anillo superficial (salida) • Con un diámetro anteroposterior de 10-14mm y otro transverso de 12-16mm Hernias de la pared abdominal. Tratamiento actual. 2da edición 2009. Mayagoitia. Sección V Hernias poco comunes
  • 12.
    Patogenia de herniafemoral • El saco herniario se introduce por el anillo femoral, por fuera de la porción curva del ligamento iliopúbico, pasando frente al ligamento de Cooper, en sentido posterior en relación con el saco, y por debajo del ligamento inguinal. Hernias de la pared abdominal. Tratamiento actual. 2da edición 2009. Mayagoitia. Sección V Hernias poco comunes
  • 13.
    Clasificación En función deltrayecto y situación HF típica: Protruye lateral a la VF HF prevascular de Teale: Por encima de la VF HF retrovascular de Serafini: Por debajo de la VF HF externa o de Hesselbach: Superior y lateral a la AF HF de Laugier: Protruye por el ligamento lacunar HF pectínea de Callisen-Cloquet: Perfora la aponeurosis pectínea y se aloja entre ésta y el músculo HF Multidiverticular de Hesselbach: Atraviesa disstintos orificios de la fascia cribiforme En función del grado de penetrancia del saco en el canal femoral Estadio 1: Hernias internas y asintomáticas (dentro del canal femoral) Estadio 2: Hernias externas que protruyen fuera del canal y son detectables clínicamente Hernias de la pared abdominal. Tratamiento actual. 2da edición 2009. Mayagoitia. Sección V Hernias poco comunes
  • 15.
    Herniorrafias y Hernioplastías •**Bassini (Ligamento inguinal-fascia pectínea) • **Bassini-Kirshner (Ligamento inguinal-Ligamento de Cooper • Lichtenstein • Trabucco • Bendavid • Acceso inguinal: • Cheatle Henry • Nyhus • Técnicas laparoscópicas • TEP Hernias de la pared abdominal. Tratamiento actual. 2da edición 2009. Mayagoitia. Sección V Hernias poco comunes
  • 17.
    Lichtenstein • Hernioplastía sintensión • 70% de todas las intervenciones • Colocación de un tapón de malla • Malla: Tamaño adecuado 2x20cm o superior en función del tamaño del defecto, se configura al enrollarse en forma cilíndrica para dar lugar a un tapón sólido y firme (debe ser suficiente para obliterar adecuadamente el canal femoral y los anillos de entrada y salida Hernias de la pared abdominal. Tratamiento actual. 2da edición 2009. Mayagoitia. Sección V Hernias poco comunes
  • 19.
    • Fijación: Enel borde inferior del tapón se fija a la fascia pectínea, el borde medial se fija al ligamento lacunar y el borde superior la ligamento inguinal • Puntos sueltos de monofilamento no absorbible • Evitar los puntos cerca del borde lateral para evitar daño a la vena femoral Hernias de la pared abdominal. Tratamiento actual. 2da edición 2009. Mayagoitia. Sección V Hernias poco comunes
  • 21.
    Incidencias intra ypostoperatorias • Seromas • Hematomas locales • Infrecuente: Movilización del tapón por una deficiente fijación al canal, la migración al espacio preperitoneal, vejiga o cavidad intraabdominal • Trombosis o lesión iatrogénica de la vena femoral • Infecciones • Rechazo a la malla • Recidivas -0.2% Hernias de la pared abdominal. Tratamiento actual. 2da edición 2009. Mayagoitia. Sección V Hernias poco comunes
  • 22.
  • 23.
    Hernia de Spiegel •Raras 0.12 y 2% • Hernias intersticiales donde el saco herniario penetra a través de la aponeurosis del músculo transverso del abdomen y del músculo oblicuo interno, pero permanece por detrás de la aponeurosis del músculo oblicuo externo. • 60 y 80 años de vida Hernias de la pared abdominal. Tratamiento actual. 2da edición 2009. Mayagoitia. Sección V Hernias poco comunes
  • 24.
    • Defecto enla línea semilunar inmediatamente por debajo de la línea arcuata Congénitas Adquiridas • Sitios donde penetran los vasos epigástricos disminuyen la fortaleza de la pared • Aumento de la presión intraabdominal • Secundario a procedimientos laparoscópicos Hernias de la pared abdominal. Tratamiento actual. 2da edición 2009. Mayagoitia. Sección V Hernias poco comunes
  • 27.
    Cuadro clínico • Dolorcon masa palpable o sin ella • H:M 1.4:1 • Dolor pungitivo intermitente que se intensifica a las maniobras de Valsalva • Localización imprecisa y de larga evolución • Tamaño de orificio importante • Pequeño: » 20-30% encarceramiento » 14-21% estrangulamiento Hernias de la pared abdominal. Tratamiento actual. 2da edición 2009. Mayagoitia. Sección V Hernias poco comunes
  • 28.
    Diagnóstico • HC • EF •USG: Área libre de ecos, que está ocupada por tejido conectivo, y se puede ver un eco fuerte si se encuentra el intestino en contacto con el orificio herniario • En caso de adherencias, la apo de Spiegel y el tejido adherido tienen casi la misma intensidad ecográfica, lo que puede confundir • TAC: Permite identificar los músculos que constituyen la pared abdominal anterior y el transverso del abdomen, así como el contenido del saco herniario Hernias de la pared abdominal. Tratamiento actual. 2da edición 2009. Mayagoitia. Sección V Hernias poco comunes
  • 32.
    Diagnóstico diferencial • Hematomaspostraumáticos de los músculos rectos Hernias de la pared abdominal. Tratamiento actual. 2da edición 2009. Mayagoitia. Sección V Hernias poco comunes
  • 33.
    Tratamiento • En sumayoría el defecto es menor a 2cm • Reparación con los propios tejidos del paciente • No tensión • Técnica laparoscópica IPOM Hernias de la pared abdominal. Tratamiento actual. 2da edición 2009. Mayagoitia. Sección V Hernias poco comunes
  • 34.
  • 35.
    Hernias lumbares • -2% Congénitas10% Grynfelt : Tríangulo superior de la región lumbar Petit: Triángulo inferior Traumáticas 25% Fracturas costales múltiples con lesión de Nervios IC 11 y 12 y con trauma asociado a cinturón de seguridad Incisionales 50-60% Cirugía urológica con lumbotomía y qx ortopédica por la toma de grandes porciones de la cresta iliaca para injerto de hueso Espontáneas Trastornos neurológicos con atrofia muscular de la región lumbar
  • 40.
    Cuadro clínico • Asintomáticas •Aumento progresivo de volumen pequeño o grande en la región de alguno de los flancos • Riesgo de encarceración es de 25% • Estrangulación 8-18% • Más frecuente en las congénitas y en las incisionales con múltiples operaciones y anillos fibróticos poco distendibles Hernias de la pared abdominal. Tratamiento actual. 2da edición 2009. Mayagoitia. Sección V Hernias poco comunes
  • 41.
    Métodos diagnósticos • Enpacientes muy obesos y con sacos herniarios muy pequeños. • USG dinámico, en reposo y con maniobra de valsalva • TAC dinámica • RMN • Electromiografía de la musculatura abdominal: El pronóstico de la plastía es malo si se encuentra una lesión nerviosa asociada, por dilatación posterior de los músculos denervados lo cual ocasionará recidiva Hernias de la pared abdominal. Tratamiento actual. 2da edición 2009. Mayagoitia. Sección V Hernias poco comunes
  • 45.
    Abordaje terapéutico • Recurrenciacon técnicas de tensión: 50-65% • Con malla disminución; pero con retos a vencer… Límites laterales musculares en lugar de aponeuróticos •Los puntos con tensión, tienden a desgarrar el tejido muscular Estructuras óseas como límites superior e inferior •Al afrontar los límites del defecto en forma vertical, ocasionan un defecto triangular cercano al segmento óseo por donde recurrirá la hernia Rango de movilidad de la región amplio •Ocasiona en el cierre de las suturas una importante tensión y por lo tanto tendencia de desgarrar estructuras musculares Hernias de la pared abdominal. Tratamiento actual. 2da edición 2009. Mayagoitia. Sección V Hernias poco comunes
  • 46.
    • Un altoporcentaje de hernias lumbares son traumáticas • 30% reparación por cierre primario • 50% requieren material protésico • 10% Vía laparoscópica Hernias de la pared abdominal. Tratamiento actual. 2da edición 2009. Mayagoitia. Sección V Hernias poco comunes
  • 48.
    Reparación de hernialumbar • Técnica de Rives • Consideraciones especiales • Posición de lumbotomía • Distancia de sisección 8cm, laboriosa a nivel subcostal • Malla de polipropileno ligero única opción con cualquier combinación de material absorbible • Fijación de malla mixta: suturas transcutáneas y grapas (áreas óseas) Hernias de la pared abdominal. Tratamiento actual. 2da edición 2009. Mayagoitia. Sección V Hernias poco comunes
  • 49.
    Técnicas • Rives conacceso anterior • Técnica de Sandwich (Rives anterior + Chevrel) • Técnica intraperitoneal abierta Hernias de la pared abdominal. Tratamiento actual. 2da edición 2009. Mayagoitia. Sección V Hernias poco comunes
  • 51.
    Complicaciones • Seromas • Granulomade la herida • Dolor crónico • Flacidez de la región • Recidiva Hernias de la pared abdominal. Tratamiento actual. 2da edición 2009. Mayagoitia. Sección V Hernias poco comunes
  • 52.
  • 53.
    Hernia incisional suprapúbica •Se asocia a daño quirúrgico • Cesárea 85% • Prostatectomía • Representa del 2 al 4% de todas las hernias incisionales • 4:1 M:H Hernias de la pared abdominal. Tratamiento actual. 2da edición 2009. Mayagoitia. Sección V Hernias poco comunes
  • 54.
    Anatomía patológica • Sínfisisdel pubis área compleja • Ligamento interóseo • Ligamento anterior, superior e inferior del pubis • Ligamento arcuato del pubis (cara posterior e inferior del pubis) • Entrecruzamiento de fibras en línea media Hernias de la pared abdominal. Tratamiento actual. 2da edición 2009. Mayagoitia. Sección V Hernias poco comunes
  • 56.
    • Colágeno denso,bajo nivel de irrigación y poca elasticidad = complejidad de reparación Hernias de la pared abdominal. Tratamiento actual. 2da edición 2009. Mayagoitia. Sección V Hernias poco comunes
  • 57.
    Cuadro clínico • Dolory tumor de reducción parcial o total • Antecedente de qx • Síntomas urinarios bajos • Trastornos psicosomáticos relacionados con la hernia: Impotencia sexual, frigidez, rechazo a la intimidad Hernias de la pared abdominal. Tratamiento actual. 2da edición 2009. Mayagoitia. Sección V Hernias poco comunes
  • 58.
    Valoración prequirúrgica • Reducciónde peso • Antibióticos profilácticos • Colocación de catéter vesical Hernias de la pared abdominal. Tratamiento actual. 2da edición 2009. Mayagoitia. Sección V Hernias poco comunes
  • 59.
    Técnica quirúrgica • Combinaciónde técnica de Rives + Bendavid con colocación de malla de polipropileno • La malla se coloca preperitoneal y retropúbico y se fija con prolene a las siguientes estructuras: • Ligamento arcuato • Cara posterior del pubis • Ambos ligamentos de Cooper • Los músculos rectos lateralmente y sus aponeurosis con puntos en U sobre ellas, y sin tensión en la línea de sutura • Uso de drenaje subcutáneo Hernias de la pared abdominal. Tratamiento actual. 2da edición 2009. Mayagoitia. Sección V Hernias poco comunes
  • 62.
    Complicaciones transquirúrgicas • Lesióna la vejiga • Disecarse perfectamente y en caso de daño, suturar en 2 planos y mantener sonda foley por al menos 12 o 14 días
  • 63.
    Complicaciones postquirúrgicas • Infecciónde herida quirúrgica • Seroma • Rechazo a la bioprótesis • Recidiva
  • 64.
  • 65.
    Hernia subcostal • Incisional •80% lado derecho (Colecistectomía) • Saco herniario: epiplón mayor, intestino delgado, ángulo hepático del colon, que generalmente presentan adherencias entre sí y se presentan con cuadros suboclusivos u oclusivos Hernias de la pared abdominal. Tratamiento actual. 2da edición 2009. Mayagoitia. Sección V Hernias poco comunes
  • 67.
    Etiopatogenia • Cualquier factorque altere el proceso de cicatrización • Alteraciones generales: Obesidad, malnutrición, EPOC • Alteraciones intraoperatorias: tipo de incisión, anestesia deficiente • Alteraciones posoperatorias: Seroma, hematoma, infección de herida, evisceración Hernias de la pared abdominal. Tratamiento actual. 2da edición 2009. Mayagoitia. Sección V Hernias poco comunes
  • 68.
    Trastornos locales • Pérdidade la sustancia parietal • Atrofia y retracción de las fibras musculares • La piel se reduce a una dermis mal vascularizada, deprovista de TCS Hernias de la pared abdominal. Tratamiento actual. 2da edición 2009. Mayagoitia. Sección V Hernias poco comunes
  • 69.
    Trastornos generales • Disminuciónde la presión abdominal • Descenso del diafragma • Atonía progresiva • Desórdenes respiratorios importantes Hernias de la pared abdominal. Tratamiento actual. 2da edición 2009. Mayagoitia. Sección V Hernias poco comunes
  • 70.
    Diagnóstico • Dolor enrelación con el desgarro de los tejidos y con la frecuente epiploitis acompañante • EF • TAC Hernias de la pared abdominal. Tratamiento actual. 2da edición 2009. Mayagoitia. Sección V Hernias poco comunes
  • 71.
    Tratamiento • Sutura planopor plano • Sutura y prótesis en Sandwich • Prótesis retromuscular prefascial y prótesis premusculoaponeurótica (Rives) Hernias de la pared abdominal. Tratamiento actual. 2da edición 2009. Mayagoitia. Sección V Hernias poco comunes
  • 73.
  • 74.
    Hernias paraestomales • Apareceen vecindad de una ileostomía o colostomía • Incidencia 10% • 20% requerirán tratamiento quirúrgico Hernias de la pared abdominal. Tratamiento actual. 2da edición 2009. Mayagoitia. Sección V Hernias poco comunes
  • 75.
    Cuadro clínico • Dolor •Obstrucción por incarceración de la hernia
  • 76.
    Etiopatogenia • Multifactorial • Edad •Género • Irradiación previa • Estado nutricional • Diabetes • Obesidad • Enfermedad maligna • Uso de corticosteroides • Colocación de un estoma pararrectal, debido a la creación de zona de debilidad en la pared abdominal adyacente a la línea semilunar, lo más recomendable es el estoma a través del recto anterior del abdomen Hernias de la pared abdominal. Tratamiento actual. 2da edición 2009. Mayagoitia. Sección V Hernias poco comunes
  • 78.
    Indicaciones de qx •Dificultad con el cuidado y manejo del estoma • Tamaño importante de la hernia • Oclusión intestinal Hernias de la pared abdominal. Tratamiento actual. 2da edición 2009. Mayagoitia. Sección V Hernias poco comunes
  • 79.
    Técnicas quirúrgicas • Reparaciónlocal • Recolocación del estoma y cierre del defecto aponeurótico • Reconstrucción del tránsito intestinal y cierre del defecto • Reparación laparoscópica con malla intraperitoneal Hernias de la pared abdominal. Tratamiento actual. 2da edición 2009. Mayagoitia. Sección V Hernias poco comunes
  • 81.