HIPERTENSIÓN PULMONAR
MANEJO PERIOPERATORIO
JULY CATHERINE MORENO LEIVA
RESIDENTE ANESTESIOLOGIA
UNISANITAS
ABRIL 2014
INTRODUCCIÓN
 Pacientes con HP presentan Mayor morbilidad y
mortalidad perioperatoria en cirugía no cardiaca
 42% tienen 1 o más eventos adversos a corto plazo
 7% mortalidad (FVD Y FR)
 Otros grupos de riesgo
Mortalidad > 80 años 4,6%
Mortalidad >65 años 3,5%
MORBILIDAD PERIOPERATORIA
 Incidencia 15% - 42% de los pacientes
 Falla respiratoria postoperatoria (7% -28%)
 Insuficiencia cardiaca (10% -13,5%)
 Inestabilidad hemodinámica (8%)
 Disritmias (12%)
 Insuficiencia renal (7%)
 Sepsis (7% -10%)
 Isquemia / infarto de miocardio (4%)
 Extubación traqueal retardada (8% -21%)
 Mayor estancia en UCI y estancia hospitalaria
 mayores reingresos 30 días 16,7% vs 7,8% (NHP)
DEFINICIÓN
«se define como un grupo de enfermedades
caracterizadas por el aumento progresivo de la
resistencia vascular pulmonar que conduce a la falla del
ventrículo derecho y a la muerte prematura»
 Elevación persistente de PAP >25mmHg
 PAPm >25 mmHg reposo + RVP > 300 dinas y PAOP
< 15 mmhg
 4º Simposio Mundial de 2008 sobre HP celebrado en
Dana Point, California (EEUU)
¿DONDE ESTA EL PROBLEMA?
 Grupo 1: existe afectación exclusiva del árbol arterial pulmonar con resistencias arteriales
pulmonares elevadas y presiones de llenado del ventrículo izquierdo normales (HAP).
 Grupo 2: el problema radica en presiones de llenado del ventrículo izquierdo elevadas que
generan hipertensión venosa pulmonar, ya sea por disfunción sistólica, diastólica o valvulopatía.
 Grupo 3: caracterizado por enfermedad pulmonar, el problema clave es un desequilibrio de
ventilación/perfusión (V/Q).
 Grupo 4: corresponde a enfermedad tromboembólica crónica.
 Grupo 5: agrupa causas misceláneas, en donde el mecanismo puede ser multifactorial, poco
claro o no establecido
GRUPO 1
HIPERTENSIÓN PULMONAR ARTERIAL
 Enfermedad de arterias pulmonares distales
 Remodelación de la vasculatura pulmonar
Vasoconstricción arterias pulmonares
Hipertrofia del músculo liso
Proliferación de la íntima y la adventicia
Eventual fibrosis
Lesiones plexiformes complejas
Lesiones trombóticas
 Causa >PAP RVP NO eleva PCWP
 Reversible con vasodilatadores (temprano)
GRUPO 1
HIPERTENSIÓN PULMONAR ARTERIAL
 Cambios arteriales no evidentes
 Forma mas común de HP > 65% de los pacientes
 Aumento postcapilar de Arteria pulmonar
 Presión retrograda pasiva el corazón izquierdo
 HP mixta
>PAP x presiones de llenado VI elevadas
Cambios reactivos vasoconstricción + remodelación
GRUPO 2
HIPERTENSIÓN PULMONAR DEBIDA A
ENFERMEDAD CARDÍACA IZQUIERDA
 Fisiopatología similar
al grupo 1
 >PAP
 >RVP
 PCWP normal
 Estrategias de TTO
similares (1,3,4,5)
SAHOS 17% HP, riesgo de
progresar HP si tiene
enfermedad pulmonar de base
CLASIFICACIÓN
SIGNOS Y SINTOMAS
 NO son específicos
 Similares a los de falla cardiaca
 Retraso en el diagnostico
 Disnea de esfuerzo y fatiga (> frecuencia)
 Afecta VD (edema periférico, hepatomegalia,
ascitis, >PV yugular)
AYUDAS DIAGNÓSTICAS
 EKG/RX DE TORAX
Hallazgos poco sensibles y específicos
 GOLD STANDARD (cateterización de corazón
derecho)
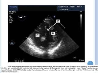
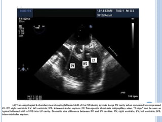
 ECO TT
Mejor método no invasivo
Estima PSAP
Tamaño/función VI/VD
Enfermedad valvular
Causa HP y efectos de esta sobre el corazón
CATETERIZACIÓN DE CORAZÓN DERECHO
 GOLD STANDARD
 Presión de fin de diástole VI
 Presión en cuña
 Presión de la aurícula izquierda
 Resistencia vascular pulmonar
 Determina grado de vasoreactividad (Guía para la
modalidad del tratamiento)
PROBLEMAS DEL ECO TT
 Fisher et al 1 H después de cateterización de
corazón derecho comparado con el estimado
48% sobre/subestimación de PAP x <10mmHg
Cateterización vs ETT: correlación 0,31-0,93
La gran discrepancia ocurre cuando la PAP >50 mmHg
o > 100mmHg
FISIOPATOLOGÍA HP
« El problema fundamental es la capacidad de
bombear sangre del VD a través del lecho pulmonar
garantizando así una adecuada precarga para el VI»
Foco de medidas y estrategias
terapéuticas
VENTRÍCULO
DERECHO
 5 mm de grosor
 Alta compleance
 Sensible a la postcarga
 Estructura de contracción compleja en contra de
una resistencia baja
 Si > P. circulación pulmonar = hipertrofia
concéntrica VD
 FEVD cae si > agudo PAP-RVP
 Propenso a la isquemia
 Dependencia del flujo coronario (Directamente proporcional a la PAS e
inversamente proporcional a la presión VD)
PRESIÓN DE PERFUSIÓN CORONARI
VD
VENTRÍCULO
DERECHO
 VD dilatado afecta el annulus de la válvula
tricuspidea = insuficiencia
 Exacerbación del estado de volumen del VD
 Falla del VD
 Desplazamieno del septum IV (interdependencia
interventricular)
 <volumen de fin de diástole VI= Falla
cardiaca=perfusión tisular inadecuada
COMPROMISO RENAL
 <gasto urinario
 > actividad sistema RAA
 > retención de H2O y Na
 > liberación de vasopresina
 Aumento del estado de volumen
 Aumento de la presión de llenado cardiaco q
empeora dilatación VD
COMPROMISO HEPÁTICO
 Congestión hepática pasiva = PVC
 > bilirrubina
 Si <GC/ hipoperfusión= isquemia hepática =
aumento de transaminasas
 La hiperbilirrubinemia es un fuerte predictor
independiente de pronóstico adverso en pacientes
con HP
CONSIDERACIONES PREQUIRURGICAS EN
HP
Considerar:
 Tipo de cirugía
 Estado funcional del paciente
 Severidad de la enfermedad
 comorbilidades
Considerar cancelación de cirugía o
posponer
-síntomas de exacerbación de falla cardiaca
-Hipoxia marcada
-acidosis metabólica
Optimización y cx electiva
-Test apropiado
-Optimización de volumen
-Manejo de síntomas (vasodilatadores/ inodilatadores sistémicos)
PREDICTORES DE MORBIMORTALIDAD EN
CX NO CARDIACA
MONITOREO INTRAOPERATORIO
LÍNEA ARTERIAL
 Reconocimiento rápido del deterioro hemodinámico
 Monitoreo de gases sanguíneos arteriales
(oxigenación/normocapnia)
 Falla cardiaca (<presión de pulso = < volumen
latido)
 Fluctuaciones respiratorias en las ondas
(hipovolemia y taponamiento cardiaco)
 Presión de llenado cardiaco
 Manejo del volumen ??
 Optimizar presión de perfusión a órgano terminal
 Cuidado!!!!
La relación entre la presión de llenado y el volumen
ventricular, solo puede ser determinado si la
compleance ventricular es conocida
MONITOREO INTRAOPERATORIO
PVC
MONITOREO INTRAOPERATORIO
CATÉTER DE LA ARTERIA PULMONAR
 No hay beneficio de PAP sobre
PVC
 Riesgo de ruptura de arteria
pulmonar
 No hay posibilidad de extrapolar
datos (estudios)
 Monitoreo de la PAP =
intervención terapéutica
MONITOREO INTRAOPERATORIO
ECO TRANSESOFÁGICO
 Monitoreo de la contractilidad cardiaca
 Estimación no invasiva de la PSAP
 Estimación del estado de volumen
 Actualmente no existen guías que soporten el rol
del eco intraqx en cx no cardiaca
TÉCNICA ANESTÉSICA
No hay una técnica anestésica específica que
garantice mayor seguridad para los pacientes con
HP
•Bloqueo simpático
•>RVP < circulación x el lecho pulmonar
•< precarga VI
ESPINAL
•Bolos titulados según respuesta hemodinámica
•Dolor POP<depresión respiratoria/<narcóticosEPIDURAL
•Sedación conciente
•Mayor hipoxemia e hipercapnia
•No toleran adecuadamente
CUIDADO
ANESTÉSICO
MONITORIZADO
(MAC)
ANESTESIA
GENERAL
MANEJO INTRAOPERATORIO
HP = reserva cardiaca limitada = hipotensión =
isquemia inadvertida
ETIOLOGÍA DE
HIPOTENSIÓN
SISTÉMICA
PRECARGA
POSTCARGA
CONTRACTILIDADRITMO
FRECUENCIA
PRECARGA
 Mantener función del VD es difícil
 Balance de líquidos intraoperatorios
 evitar hipo/hipervolemia (curva Starling)
 ECO TE : Remodelación cardiaca = > volumenes de fin
de diástole = alteración del tamaño VD
 PVC vs monitoreo medidas dinámicas
 Medir tendencias no valores absolutos
(TA/FC/SvmO2/lactato)
 «SWEET SPOT» habilidad y experiencia del
anestesiólogo
POSTCARGA
 Hipoxia
 Hipercapnia
 Acidosis
 Hiperinsuflación pulmonar
 Hipoinsuflación pulmonar
 hipotermia
Vasoconstricción
pulmonar
• RVP es mas baja en los volumenes`pulmonares mas cercanos a la
CFR
• Hiperinsuflación/atelctasias (compresión de vasos intra y
extraalveolares)
• PEEP >15 mmHg (<PaO2 >RVP)
POSTCARGA
MANEJO VENTILATORIO
CONTRACTILIDAD
 FE = marcador sustituto de la fuerza contráctil del
miocardio
 Aumento rápido de la postcarga del VD =
disminuye contractilidad VD
 Anestésicos = inotrópicos negativos
 Mantener ritmo sinusal
 Mejora precarga de VD
 FA= deterioro
hemodinámico
 cardioversión
 Fisiológica 60-90 x min
 Bradicardia
Sobredistensión VD
>tensión de la pared
> VO2
<GC
 Taquicardia
110 x min
< tiempo de llenado
<volumen sistólico
<GC
RITMO FRECUENCIA
MANEJO FARMACOLÓGICO EN
PACIENTES CON HP
VASODILAT
ADOR
PULMONAR
(< POSTCARGA
VD)
INOTROPIC
OS (SOPORTE
CONTRACTILIDA
D VD)
VASOCONS
TRICTOR
(SOPORTE PPC)
OPTIMIZACI
ÓN DE
VOLUMEN
OBJETIVOS HEMODINÁMICOS
PERIOPERATORIOS
MANEJO ANESTÉSICO
La mayoría de
medicamentos focalizados
en el grupo 1
HP DURANTE ANESTESIA
REDUCCIÓN DE LA POSTCARGA DEL VD
 Bloqueadores de los
canales de calcio (nifedipino,
diltiazem)
 Vasodilatadores (nitroglicerina,
nitroprusiato, nesiritide)
 Inhibidores de la
fosfodiesterasa 3 y 5
 Antagonistas de los
reseptores del endotelio
(bosentan, ambrisentan)
 Prostaciclina (epoprostend, iloprost)
 NO inhalado
TRATAMIENTO VASODILATADOR
PULMONAR
MANEJO POSTOPERATORIO
 Monitoreo continuo en UCI
 MORBIMORTALIDAD
Varios días después
Cambios de volumen
Aumento progresivo de la RVP
Deterioro de función VD
 Complicación mas común (falla respiratoria)
 Manejo del dolor pop (evita vasoconstricción
pulmonar inducida x catecolaminas)
 titulación de opioides
 Evitar hipoxia, hipercapnia, acidosis

Hipertensión pulmonar manejo perioperatorio

  • 1.
    HIPERTENSIÓN PULMONAR MANEJO PERIOPERATORIO JULYCATHERINE MORENO LEIVA RESIDENTE ANESTESIOLOGIA UNISANITAS ABRIL 2014
  • 2.
    INTRODUCCIÓN  Pacientes conHP presentan Mayor morbilidad y mortalidad perioperatoria en cirugía no cardiaca  42% tienen 1 o más eventos adversos a corto plazo  7% mortalidad (FVD Y FR)  Otros grupos de riesgo Mortalidad > 80 años 4,6% Mortalidad >65 años 3,5%
  • 3.
    MORBILIDAD PERIOPERATORIA  Incidencia15% - 42% de los pacientes  Falla respiratoria postoperatoria (7% -28%)  Insuficiencia cardiaca (10% -13,5%)  Inestabilidad hemodinámica (8%)  Disritmias (12%)  Insuficiencia renal (7%)  Sepsis (7% -10%)  Isquemia / infarto de miocardio (4%)  Extubación traqueal retardada (8% -21%)  Mayor estancia en UCI y estancia hospitalaria  mayores reingresos 30 días 16,7% vs 7,8% (NHP)
  • 4.
    DEFINICIÓN «se define comoun grupo de enfermedades caracterizadas por el aumento progresivo de la resistencia vascular pulmonar que conduce a la falla del ventrículo derecho y a la muerte prematura»  Elevación persistente de PAP >25mmHg  PAPm >25 mmHg reposo + RVP > 300 dinas y PAOP < 15 mmhg  4º Simposio Mundial de 2008 sobre HP celebrado en Dana Point, California (EEUU)
  • 6.
    ¿DONDE ESTA ELPROBLEMA?  Grupo 1: existe afectación exclusiva del árbol arterial pulmonar con resistencias arteriales pulmonares elevadas y presiones de llenado del ventrículo izquierdo normales (HAP).  Grupo 2: el problema radica en presiones de llenado del ventrículo izquierdo elevadas que generan hipertensión venosa pulmonar, ya sea por disfunción sistólica, diastólica o valvulopatía.  Grupo 3: caracterizado por enfermedad pulmonar, el problema clave es un desequilibrio de ventilación/perfusión (V/Q).  Grupo 4: corresponde a enfermedad tromboembólica crónica.  Grupo 5: agrupa causas misceláneas, en donde el mecanismo puede ser multifactorial, poco claro o no establecido
  • 7.
    GRUPO 1 HIPERTENSIÓN PULMONARARTERIAL  Enfermedad de arterias pulmonares distales  Remodelación de la vasculatura pulmonar Vasoconstricción arterias pulmonares Hipertrofia del músculo liso Proliferación de la íntima y la adventicia Eventual fibrosis Lesiones plexiformes complejas Lesiones trombóticas  Causa >PAP RVP NO eleva PCWP  Reversible con vasodilatadores (temprano)
  • 8.
  • 9.
     Cambios arterialesno evidentes  Forma mas común de HP > 65% de los pacientes  Aumento postcapilar de Arteria pulmonar  Presión retrograda pasiva el corazón izquierdo  HP mixta >PAP x presiones de llenado VI elevadas Cambios reactivos vasoconstricción + remodelación GRUPO 2 HIPERTENSIÓN PULMONAR DEBIDA A ENFERMEDAD CARDÍACA IZQUIERDA
  • 11.
     Fisiopatología similar algrupo 1  >PAP  >RVP  PCWP normal  Estrategias de TTO similares (1,3,4,5) SAHOS 17% HP, riesgo de progresar HP si tiene enfermedad pulmonar de base
  • 12.
  • 13.
    SIGNOS Y SINTOMAS NO son específicos  Similares a los de falla cardiaca  Retraso en el diagnostico  Disnea de esfuerzo y fatiga (> frecuencia)  Afecta VD (edema periférico, hepatomegalia, ascitis, >PV yugular)
  • 14.
    AYUDAS DIAGNÓSTICAS  EKG/RXDE TORAX Hallazgos poco sensibles y específicos  GOLD STANDARD (cateterización de corazón derecho)  ECO TT Mejor método no invasivo Estima PSAP Tamaño/función VI/VD Enfermedad valvular Causa HP y efectos de esta sobre el corazón
  • 15.
    CATETERIZACIÓN DE CORAZÓNDERECHO  GOLD STANDARD  Presión de fin de diástole VI  Presión en cuña  Presión de la aurícula izquierda  Resistencia vascular pulmonar  Determina grado de vasoreactividad (Guía para la modalidad del tratamiento)
  • 16.
    PROBLEMAS DEL ECOTT  Fisher et al 1 H después de cateterización de corazón derecho comparado con el estimado 48% sobre/subestimación de PAP x <10mmHg Cateterización vs ETT: correlación 0,31-0,93 La gran discrepancia ocurre cuando la PAP >50 mmHg o > 100mmHg
  • 18.
    FISIOPATOLOGÍA HP « Elproblema fundamental es la capacidad de bombear sangre del VD a través del lecho pulmonar garantizando así una adecuada precarga para el VI» Foco de medidas y estrategias terapéuticas
  • 19.
    VENTRÍCULO DERECHO  5 mmde grosor  Alta compleance  Sensible a la postcarga  Estructura de contracción compleja en contra de una resistencia baja  Si > P. circulación pulmonar = hipertrofia concéntrica VD  FEVD cae si > agudo PAP-RVP  Propenso a la isquemia  Dependencia del flujo coronario (Directamente proporcional a la PAS e inversamente proporcional a la presión VD)
  • 20.
  • 22.
    VENTRÍCULO DERECHO  VD dilatadoafecta el annulus de la válvula tricuspidea = insuficiencia  Exacerbación del estado de volumen del VD  Falla del VD  Desplazamieno del septum IV (interdependencia interventricular)  <volumen de fin de diástole VI= Falla cardiaca=perfusión tisular inadecuada
  • 24.
    COMPROMISO RENAL  <gastourinario  > actividad sistema RAA  > retención de H2O y Na  > liberación de vasopresina  Aumento del estado de volumen  Aumento de la presión de llenado cardiaco q empeora dilatación VD
  • 25.
    COMPROMISO HEPÁTICO  Congestiónhepática pasiva = PVC  > bilirrubina  Si <GC/ hipoperfusión= isquemia hepática = aumento de transaminasas  La hiperbilirrubinemia es un fuerte predictor independiente de pronóstico adverso en pacientes con HP
  • 26.
    CONSIDERACIONES PREQUIRURGICAS EN HP Considerar: Tipo de cirugía  Estado funcional del paciente  Severidad de la enfermedad  comorbilidades Considerar cancelación de cirugía o posponer -síntomas de exacerbación de falla cardiaca -Hipoxia marcada -acidosis metabólica Optimización y cx electiva -Test apropiado -Optimización de volumen -Manejo de síntomas (vasodilatadores/ inodilatadores sistémicos)
  • 27.
  • 28.
    MONITOREO INTRAOPERATORIO LÍNEA ARTERIAL Reconocimiento rápido del deterioro hemodinámico  Monitoreo de gases sanguíneos arteriales (oxigenación/normocapnia)  Falla cardiaca (<presión de pulso = < volumen latido)  Fluctuaciones respiratorias en las ondas (hipovolemia y taponamiento cardiaco)
  • 29.
     Presión dellenado cardiaco  Manejo del volumen ??  Optimizar presión de perfusión a órgano terminal  Cuidado!!!! La relación entre la presión de llenado y el volumen ventricular, solo puede ser determinado si la compleance ventricular es conocida MONITOREO INTRAOPERATORIO PVC
  • 30.
    MONITOREO INTRAOPERATORIO CATÉTER DELA ARTERIA PULMONAR  No hay beneficio de PAP sobre PVC  Riesgo de ruptura de arteria pulmonar  No hay posibilidad de extrapolar datos (estudios)  Monitoreo de la PAP = intervención terapéutica
  • 31.
    MONITOREO INTRAOPERATORIO ECO TRANSESOFÁGICO Monitoreo de la contractilidad cardiaca  Estimación no invasiva de la PSAP  Estimación del estado de volumen  Actualmente no existen guías que soporten el rol del eco intraqx en cx no cardiaca
  • 32.
    TÉCNICA ANESTÉSICA No hayuna técnica anestésica específica que garantice mayor seguridad para los pacientes con HP •Bloqueo simpático •>RVP < circulación x el lecho pulmonar •< precarga VI ESPINAL •Bolos titulados según respuesta hemodinámica •Dolor POP<depresión respiratoria/<narcóticosEPIDURAL •Sedación conciente •Mayor hipoxemia e hipercapnia •No toleran adecuadamente CUIDADO ANESTÉSICO MONITORIZADO (MAC) ANESTESIA GENERAL
  • 33.
    MANEJO INTRAOPERATORIO HP =reserva cardiaca limitada = hipotensión = isquemia inadvertida ETIOLOGÍA DE HIPOTENSIÓN SISTÉMICA PRECARGA POSTCARGA CONTRACTILIDADRITMO FRECUENCIA
  • 34.
    PRECARGA  Mantener funcióndel VD es difícil  Balance de líquidos intraoperatorios  evitar hipo/hipervolemia (curva Starling)  ECO TE : Remodelación cardiaca = > volumenes de fin de diástole = alteración del tamaño VD  PVC vs monitoreo medidas dinámicas  Medir tendencias no valores absolutos (TA/FC/SvmO2/lactato)  «SWEET SPOT» habilidad y experiencia del anestesiólogo
  • 35.
    POSTCARGA  Hipoxia  Hipercapnia Acidosis  Hiperinsuflación pulmonar  Hipoinsuflación pulmonar  hipotermia Vasoconstricción pulmonar • RVP es mas baja en los volumenes`pulmonares mas cercanos a la CFR • Hiperinsuflación/atelctasias (compresión de vasos intra y extraalveolares) • PEEP >15 mmHg (<PaO2 >RVP)
  • 36.
  • 37.
  • 38.
    CONTRACTILIDAD  FE =marcador sustituto de la fuerza contráctil del miocardio  Aumento rápido de la postcarga del VD = disminuye contractilidad VD  Anestésicos = inotrópicos negativos
  • 39.
     Mantener ritmosinusal  Mejora precarga de VD  FA= deterioro hemodinámico  cardioversión  Fisiológica 60-90 x min  Bradicardia Sobredistensión VD >tensión de la pared > VO2 <GC  Taquicardia 110 x min < tiempo de llenado <volumen sistólico <GC RITMO FRECUENCIA
  • 40.
    MANEJO FARMACOLÓGICO EN PACIENTESCON HP VASODILAT ADOR PULMONAR (< POSTCARGA VD) INOTROPIC OS (SOPORTE CONTRACTILIDA D VD) VASOCONS TRICTOR (SOPORTE PPC) OPTIMIZACI ÓN DE VOLUMEN
  • 41.
  • 42.
    MANEJO ANESTÉSICO La mayoríade medicamentos focalizados en el grupo 1
  • 43.
  • 44.
    REDUCCIÓN DE LAPOSTCARGA DEL VD  Bloqueadores de los canales de calcio (nifedipino, diltiazem)  Vasodilatadores (nitroglicerina, nitroprusiato, nesiritide)  Inhibidores de la fosfodiesterasa 3 y 5  Antagonistas de los reseptores del endotelio (bosentan, ambrisentan)  Prostaciclina (epoprostend, iloprost)  NO inhalado
  • 45.
  • 46.
    MANEJO POSTOPERATORIO  Monitoreocontinuo en UCI  MORBIMORTALIDAD Varios días después Cambios de volumen Aumento progresivo de la RVP Deterioro de función VD  Complicación mas común (falla respiratoria)  Manejo del dolor pop (evita vasoconstricción pulmonar inducida x catecolaminas)  titulación de opioides  Evitar hipoxia, hipercapnia, acidosis

Notas del editor

  • #3 FVD FALLA VENTRICULAR DERECHA FR FALLA RESPIRATORIA la HP puede ser un marcador de pobre pronostico y aumento de mortalidad en pacientes con falla cardiaca
  • #5 PVR mean PAP LAP/pulmonary artery flow (CO)] Normal PVR is approximately 1.1–1. 4 Wood units or about 90–120 dynes · s · cm5, and a PVR 300 dynes · s · cm5 is indicative of pulmonary hypertension. Pulmonary blood flow and volume are not always equal to or correlated with CO, because of intracardiac or other shunts.
  • #15 ESTIMA PSAP POR ECUACION DE BERNOULLI, GRADIENTE DE PRESION ENTRE EL VD Y LA AURICULA DERECHA SE MIDE EN EL JET DE REGURGITACION TRICUSPIDEA
  • #23 Presion de perfusion de organo terminal: PAM- PVC
  • #28 CIRUGIA MAYOR A 3 HORAS INDICE DE PERFORMANCE DEL MIOCARDIO DEL VD DE > 0,75 PRESION SISTOLICA DEL VD/PRESION SANGUINEA SISTÉMICA > 0,66
  • #33 ANESTESIA CONTROL DE LA VIA AEREA Y ESTADO RESPIRATORIO DEL PACIENTE
  • #41 PPC : presion de perfusion coronaria