Influenza
Rodrigo Cruz Coronel
Influenza
Virus gripal (influenza) (causa el 5-8 % de los
casos)
La infección se produce en forma de epidemias
desde invierno a primavera. Estacional
Prevención, diagnóstico y tratamiento de la Influenza estacional. Guía de Práctica Clínica: Guía de Referencia Rápida: México, CENETEC; 2020
Patogenia
Orthomyxoviridae forman los géneros Influenza A, Influenza B e Influenza C
A: infectan humanos y animales (mamíferos y aves.)
Los virus B: Humanos. Epidemias estacionales.
y C: humanos y porcinos.
El virus se fija a los receptores de las células del epitelio respiratorio, donde se replica en
las 48-72 horas siguientes
Prevención, diagnóstico y tratamiento de la Influenza estacional. Guía de Práctica Clínica: Guía de Referencia Rápida: México, CENETEC; 2020
Virus A
Se subdividen según
proteínas de superficie
HEMAGLUTININA (H).-
18 Y NEURAMINIDASA
(N) .- 11
Único Zoonosis
Prevención, diagnóstico y tratamiento de la Influenza estacional. Guía de Práctica Clínica: Guía de Referencia Rápida: México, CENETEC; 2020
2018 a 2019
7210 casos/ 811
defunciones
Letalidad 0.44%
Distribución:
•A (H1N1)- 67%
B -17%
A - (H3N2) 12%
A NO SUBTIPIFICADA-
4%
Defunciones:
•Retraso de Inicio de
tratamiento
•Atención tardía
•Ausencia de vacunación
•Presencia de
comorbilidades: HAS,
OBESIDAD, DM
Prevención, diagnóstico y tratamiento de la Influenza estacional. Guía de Práctica Clínica: Guía de Referencia Rápida: México, CENETEC; 2020
Estructura Y
Replicación.
Envoltura y genoma de ARN segmentado negativo.
Mutaciones y reorganizaciones
•Proteína de adhesión vírica y fusión.
•Neutralizacion de anticuerpos protectores
•Transcriben y replican su genoma en núcleos de células diana.
Hemaglutinina:
•Se dirigen a la proteína M2 (membrana)
•Inhiben el paso de perdida de envoltura
Amantadina y Rimantadina
•Inhiben la proteína neuraminidasa de los tipos A Y B
Zanamivir y oseltamivir
PatrickR. Murray, PhD., Ken S. Rosenthal, PhD., George S. Kobayashi, PhD., Michael A. Pfaller, MD. 2017. "MICROBIOLOGÍA MÉDICA"., 8tª Edición., Ed. Mosby
PatrickR. Murray, PhD., Ken S. Rosenthal, PhD., George S. Kobayashi, PhD., Michael A. Pfaller, MD. 2017. "MICROBIOLOGÍA MÉDICA"., 8tª Edición., Ed. Mosby
1.- Unión a receptores, fagocitado
y fundido
2.- perdida de envoltura. Ingresa
al nucleo
3.- transcripción y replicación
4.- Virus abandona la célula
5.- Destruye la celula
Patogenia
PatrickR. Murray, PhD., Ken S. Rosenthal, PhD., George S. Kobayashi, PhD., Michael A. Pfaller, MD. 2017. "MICROBIOLOGÍA MÉDICA"., 8tª Edición., Ed. Mosby
PatrickR. Murray, PhD., Ken S. Rosenthal, PhD., George S. Kobayashi, PhD., Michael A. Pfaller, MD. 2017. "MICROBIOLOGÍA MÉDICA"., 8tª Edición., Ed. Mosby
Clinica
fiebre con tos y congestión nasal,
y de fiebre con tos, debilidad y
caer en cama
escalofríos, sudoración y fiebre
tres días antes del inicio de la
enfermedad.
Exclusion: ausencia de síntomas
generales, ausencia de tos, ser
capaz de realizar las actividades
del día y no estar en cama.
Prevención, diagnóstico y tratamiento de la Influenza estacional. Guía de Práctica Clínica: Guía de Referencia Rápida: México, CENETEC; 2020
Clínica
Infección de
V.R.SUPERIORES:
Fiebre y Tos
Neumonía, Choque séptico, Sx Diestres Respiratorio
Agudo, Muerte.
Síntomas Gastrointestinales:
Diarrea. Comitos, dolor
abdominal, epixtasis,
gingivorragia y dolor torácico
Complicaciones
Hipoxemia, Disfunción Orgánica
multiple, Infecciones secundarias
bacterianas y fúngicas.
Prevención, diagnóstico y tratamiento de la Influenza estacional. Guía de Práctica Clínica: Guía de Referencia Rápida: México, CENETEC; 2020
Síntomas
Fiebre + 38°C, tos y cefalea, acompañados de uno o
más de los siguientes signos o síntomas:
• Escurrimiento nasal
• Enrojecimiento nasal
• Congestión nasal
• Dolor de articulaciones
• Dolor muscular
• Decaimiento (postración)
• Dolor al tragar
• Dolor de pecho
• Dolor de estómago
• Diarrea
GPC. Prevención, Diagnóstico y Tratamiento de la Influenza A (H1N1)
Clínica
• En neonatos y lactantes, puede presentarse como un síndrome febril sin foco
Test Dx de
Gripe
Prevención, diagnóstico y tratamiento de la Influenza estacional. Guía de Práctica Clínica: Guía de Referencia Rápida: México, CENETEC; 2020
Prevención, diagnóstico y tratamiento de la Influenza estacional. Guía de Práctica Clínica: Guía de Referencia Rápida: México, CENETEC; 2020
Tratamiento Antiviral
Elección: Oseltamivir,
Precozmente durante las
primeras 24-48 horas del
inicio del cuadro clínico en
niños con gripe confirmada
o sospechada
Hospitalizados con un
proceso respiratorio grave,
complicado o progresivo,
sobre todo, si presentan
factores de riesgo
Prevención, diagnóstico y tratamiento de la Influenza estacional. Guía de Práctica Clínica: Guía de Referencia Rápida: México, CENETEC; 2020
Prevención, diagnóstico y tratamiento de la Influenza estacional. Guía de Práctica Clínica: Guía de Referencia Rápida: México, CENETEC; 2020
Vacunación
OMS Inactivadas (IIV)
Contra Trivalentes
( IIIV3) Y
Tetravalentes
(IIV4)
Protegen de 3
virus de Influenza
A (H3N2), A
(H1N1) Y B
Atenuada de Virus
Vivos (LAIV4)
Tetravalente
Ademas contra
otro tipo B
Recombinante
(RIV3)
Mismos 3 virus
que la trivalente
Prevencion
Recomendación
Pediatricos = Grupo de riesgo
Todos de 6-8 meses de edad deben ser vacunados
Vacunación durante embarazo protege pasivamente a bebes de 6
meses.
6- 8 meses que no han recibido inmunización
2 dosis
1. Tan pronto como sea posible
2.- 4 semanas después
Y posteriormente anual
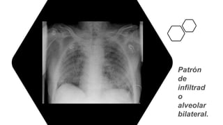
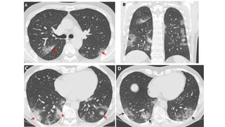
Imagen.
• Rx de tórax influenza que tengan:
• Exploración pulmonar anormal
• Sospecha de neumonía
• Tomografía de tórax:
• Desaturación
• Radiografía de tórax con datos sugestivos de neumonía
• Algunos patrones tomográficos frecuentes en influenza son:
• Vidrio despulido
• Engrosamiento de pared bronquial
• Localización difusa
Prevención, diagnóstico y tratamiento de la Influenza estacional. Guía de Práctica Clínica: Guía de Referencia Rápida: México, CENETEC; 2020
Patrón
de
infiltrad
o
alveolar
bilateral.
Daño
alveolar
difuso.
-Opacidades
redondeadas
-Engrosamiento de
los septos
interlobulares
-Ausencia de
nódulos y de patrón
de árbol en brote
Distribución
periférica típica,
puede ser útil para
diferenciar COVID-19
de influenza.

Influenza

  • 1.
  • 2.
    Influenza Virus gripal (influenza)(causa el 5-8 % de los casos) La infección se produce en forma de epidemias desde invierno a primavera. Estacional Prevención, diagnóstico y tratamiento de la Influenza estacional. Guía de Práctica Clínica: Guía de Referencia Rápida: México, CENETEC; 2020
  • 3.
    Patogenia Orthomyxoviridae forman losgéneros Influenza A, Influenza B e Influenza C A: infectan humanos y animales (mamíferos y aves.) Los virus B: Humanos. Epidemias estacionales. y C: humanos y porcinos. El virus se fija a los receptores de las células del epitelio respiratorio, donde se replica en las 48-72 horas siguientes Prevención, diagnóstico y tratamiento de la Influenza estacional. Guía de Práctica Clínica: Guía de Referencia Rápida: México, CENETEC; 2020
  • 4.
    Virus A Se subdividensegún proteínas de superficie HEMAGLUTININA (H).- 18 Y NEURAMINIDASA (N) .- 11 Único Zoonosis Prevención, diagnóstico y tratamiento de la Influenza estacional. Guía de Práctica Clínica: Guía de Referencia Rápida: México, CENETEC; 2020
  • 5.
    2018 a 2019 7210casos/ 811 defunciones Letalidad 0.44% Distribución: •A (H1N1)- 67% B -17% A - (H3N2) 12% A NO SUBTIPIFICADA- 4% Defunciones: •Retraso de Inicio de tratamiento •Atención tardía •Ausencia de vacunación •Presencia de comorbilidades: HAS, OBESIDAD, DM Prevención, diagnóstico y tratamiento de la Influenza estacional. Guía de Práctica Clínica: Guía de Referencia Rápida: México, CENETEC; 2020
  • 6.
    Estructura Y Replicación. Envoltura ygenoma de ARN segmentado negativo. Mutaciones y reorganizaciones •Proteína de adhesión vírica y fusión. •Neutralizacion de anticuerpos protectores •Transcriben y replican su genoma en núcleos de células diana. Hemaglutinina: •Se dirigen a la proteína M2 (membrana) •Inhiben el paso de perdida de envoltura Amantadina y Rimantadina •Inhiben la proteína neuraminidasa de los tipos A Y B Zanamivir y oseltamivir PatrickR. Murray, PhD., Ken S. Rosenthal, PhD., George S. Kobayashi, PhD., Michael A. Pfaller, MD. 2017. "MICROBIOLOGÍA MÉDICA"., 8tª Edición., Ed. Mosby
  • 7.
    PatrickR. Murray, PhD.,Ken S. Rosenthal, PhD., George S. Kobayashi, PhD., Michael A. Pfaller, MD. 2017. "MICROBIOLOGÍA MÉDICA"., 8tª Edición., Ed. Mosby 1.- Unión a receptores, fagocitado y fundido 2.- perdida de envoltura. Ingresa al nucleo 3.- transcripción y replicación 4.- Virus abandona la célula 5.- Destruye la celula
  • 8.
    Patogenia PatrickR. Murray, PhD.,Ken S. Rosenthal, PhD., George S. Kobayashi, PhD., Michael A. Pfaller, MD. 2017. "MICROBIOLOGÍA MÉDICA"., 8tª Edición., Ed. Mosby
  • 9.
    PatrickR. Murray, PhD.,Ken S. Rosenthal, PhD., George S. Kobayashi, PhD., Michael A. Pfaller, MD. 2017. "MICROBIOLOGÍA MÉDICA"., 8tª Edición., Ed. Mosby
  • 10.
    Clinica fiebre con tosy congestión nasal, y de fiebre con tos, debilidad y caer en cama escalofríos, sudoración y fiebre tres días antes del inicio de la enfermedad. Exclusion: ausencia de síntomas generales, ausencia de tos, ser capaz de realizar las actividades del día y no estar en cama. Prevención, diagnóstico y tratamiento de la Influenza estacional. Guía de Práctica Clínica: Guía de Referencia Rápida: México, CENETEC; 2020
  • 11.
    Clínica Infección de V.R.SUPERIORES: Fiebre yTos Neumonía, Choque séptico, Sx Diestres Respiratorio Agudo, Muerte. Síntomas Gastrointestinales: Diarrea. Comitos, dolor abdominal, epixtasis, gingivorragia y dolor torácico Complicaciones Hipoxemia, Disfunción Orgánica multiple, Infecciones secundarias bacterianas y fúngicas. Prevención, diagnóstico y tratamiento de la Influenza estacional. Guía de Práctica Clínica: Guía de Referencia Rápida: México, CENETEC; 2020
  • 12.
    Síntomas Fiebre + 38°C,tos y cefalea, acompañados de uno o más de los siguientes signos o síntomas: • Escurrimiento nasal • Enrojecimiento nasal • Congestión nasal • Dolor de articulaciones • Dolor muscular • Decaimiento (postración) • Dolor al tragar • Dolor de pecho • Dolor de estómago • Diarrea GPC. Prevención, Diagnóstico y Tratamiento de la Influenza A (H1N1)
  • 13.
    Clínica • En neonatosy lactantes, puede presentarse como un síndrome febril sin foco
  • 14.
  • 15.
    Prevención, diagnóstico ytratamiento de la Influenza estacional. Guía de Práctica Clínica: Guía de Referencia Rápida: México, CENETEC; 2020
  • 16.
    Prevención, diagnóstico ytratamiento de la Influenza estacional. Guía de Práctica Clínica: Guía de Referencia Rápida: México, CENETEC; 2020
  • 17.
    Tratamiento Antiviral Elección: Oseltamivir, Precozmentedurante las primeras 24-48 horas del inicio del cuadro clínico en niños con gripe confirmada o sospechada Hospitalizados con un proceso respiratorio grave, complicado o progresivo, sobre todo, si presentan factores de riesgo
  • 18.
    Prevención, diagnóstico ytratamiento de la Influenza estacional. Guía de Práctica Clínica: Guía de Referencia Rápida: México, CENETEC; 2020
  • 19.
    Prevención, diagnóstico ytratamiento de la Influenza estacional. Guía de Práctica Clínica: Guía de Referencia Rápida: México, CENETEC; 2020
  • 20.
    Vacunación OMS Inactivadas (IIV) ContraTrivalentes ( IIIV3) Y Tetravalentes (IIV4) Protegen de 3 virus de Influenza A (H3N2), A (H1N1) Y B Atenuada de Virus Vivos (LAIV4) Tetravalente Ademas contra otro tipo B Recombinante (RIV3) Mismos 3 virus que la trivalente
  • 21.
  • 22.
    Recomendación Pediatricos = Grupode riesgo Todos de 6-8 meses de edad deben ser vacunados Vacunación durante embarazo protege pasivamente a bebes de 6 meses. 6- 8 meses que no han recibido inmunización 2 dosis 1. Tan pronto como sea posible 2.- 4 semanas después Y posteriormente anual
  • 24.
    Imagen. • Rx detórax influenza que tengan: • Exploración pulmonar anormal • Sospecha de neumonía • Tomografía de tórax: • Desaturación • Radiografía de tórax con datos sugestivos de neumonía • Algunos patrones tomográficos frecuentes en influenza son: • Vidrio despulido • Engrosamiento de pared bronquial • Localización difusa Prevención, diagnóstico y tratamiento de la Influenza estacional. Guía de Práctica Clínica: Guía de Referencia Rápida: México, CENETEC; 2020
  • 25.
  • 26.
  • 28.
    -Opacidades redondeadas -Engrosamiento de los septos interlobulares -Ausenciade nódulos y de patrón de árbol en brote Distribución periférica típica, puede ser útil para diferenciar COVID-19 de influenza.