Colon
• Longitud de 1.5m con diametro de 3 a 8 cm
• La apendice se encuentra proximo a la valcula ileocecal en la base del
ciego
• El estudio radiologico para la valoracion inicial de cualquier patologia
colonica es el colon por enema
• Requiere una adecuada limpieza
Radiologia simple de abdomen
• Valorar datos adicionales
• Calcificaciones anormales
• Visceromegalias
• Colecciones ectopicas de gas
• Megacolon toxico
• Gas por obstruccion intestinal
• Isquemia intestinal
• apendicolitos
Colon por Enema
• Enema simple: sulfato de bario o hidrosoluble
• Para obstucciones, tamaño, contorno, posicion, haustras del colon
• Hidrosoluble para fistula o perforacion
• Doble contraste: sulfato de barrio y aire
• Lesiones planas y pequeñas ulceraciones
Colon por enema
Tomografia computarizada
• Bien observado por grasa extraperitoneal
• Se distingue del intestine anterior por las haustras, y bubujas del
contido fecal
Endoscopia virtual
• Por TC helicoidal
• Reproduces por reconstrucción computarizada la luz del colon
• Semeja una colonoscopia pero sin riesgo de perforación y no requiere
anestesia o sedacion
colonoscopia virtual
Ultrasonido
• Determinar el estado de la pared del colon y la extension extraluminal
de alguna lesion
• Para descartar
• Invaginacion intestinal, apendicitis
Imagen por Resonancia Magnetica
• Para valorar con mayor precision la recurrencia de cancer de recto
• Determina si existe extension del tumor en el suelo de la pelvis
Angiografia
• Para valorar:
• Embolia mesenterica aguda
• Trombosis arteriales
• Isquemia mesenterica no oclusiva
• Trombosis venosa mesenterica
Alteraciones congenitas
• Enfermedad de Hirschsprung
• Radiografia simple: patron obstructive
• Colon por enema: calibre normal, zona de transicion a nivel rectal – cono
invertido
• US: dilatacion de colon
• TC: define zona de transicion
Enfermedades inflamatorias e infecciones
• Colitis ulcerative cronica inespecifica
• Colon por enema: engrosamiento mucoso, perdida de aspecto liso y suave,
ulceraciones superficiales finas, ulceras en boton de camisa
• TC: engrosamiento (doble halo o tiro al blanco)
• Enfermedad diverticular
• Diagnostico, valoracion y complicaciones
• Radiografia simple: absceso pelvico con gas
• Colon por enema: diverticulos, alteraciones de mucosa, hipertrofia muscular,
espasmo, disminucion de caliber, fijacion de segment
• TC: diverticulos (saculaciones), hipertrofia muscular, proceso inflamatorio de
grasa pericolica
diverticulosis
• Rectocolitis ulcerative amibiana
• Colon por enema: patrón granular o espiculado de los contornos, espasmos
segmentarios, ulceras aftosas, ulceras en botón de camisa
• Colitis amibiana fulminante
• Radiografia simple: incremento densidad cuadrante inferior derecho, gas en
colon ascendente, distención de segmentos de colon
• Colon por enema: patrón de huellas digitiformes, contornos irregulares con
ulceraciones multiples
• US: engrosamiento de la pares
• Megacolon toxico:
• Rx simple: dilatación del colon, perdida de contornos y patrón de haustras,
seudopolipos
• Ameboma:
• Colon por enema: segmento afectado disminuido de calibre, perdida de
distensibilidad normal, mucosa irregular
• Colitis seudomembranosa
• TC: engrosamiento externo segmentario o difuso en un segmento o en todo el
colon. Signo del acordeon
• Infeccion por E. coli
• TC: estratificación mural, disminución de luz intestinal, aumento de densidad
de grasa periférica
• Tiflitis
• TC helicoidal: ciego distendido con engrosamiento de la pared y de la grasa
periférica
E. coli
• Apendicitis aguda
• Rx simple: niveles hidroaeros localizados al ciego o colon ascendente, signo
de colon interrumpido ileo, gas en colon transverso, escoliosis de concavidad
derecha, desaparición de la línea del psoas derecho, apendicolito
• US: evaluar si esta perforada, elección para embarazadas
• TC: para obesos
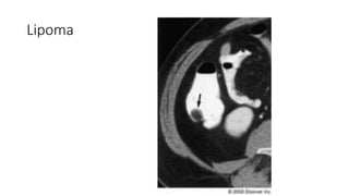
Tumores Benignos del Colon
• Mas frecunte el adenoma seguido por el lipoma
• Lipomas generalmente asintomáticos. Pueden causar intususcepción
o ulceración y necrosis
• Colonografia por TC: se localizan lesiones en submucosa con características de
grasa.
Lipoma
• Tumores de la apéndice
• Mucocele: tumor quístico mucinoso
• US: masa quística hipoecoica bien definida
• Colon por enema: impresión medial en el ciego
• TC: tumoración hipodensa con calcificación mural
• Polipos
• Adenomatoso: origen epitelio glandular
• Hiperplasicos: pequeños (5mm)
• Harmatosos: en niños y adultos jóvenes en recto o sigmoides. Pedunculados
• Colon por enema: doble contraste para estudiar mucosa. Valora si son sésiles
o pedunculados, mucosos o submucosos
• Colonoscopia por TC: detecta pólipos mayores de 6mm
Polipos
Tumores malignos del colon
• Adenocarcinoma
• Mas frecuente
• Enema de bario de doble contraste: masa polipoide, anular, de placa o
ulcerada
• TC: utilizada para la etapificacion
• Colonoscopia por TC: para los que no fue posible valorar el ciego en
colonoscopia normal
• IRM: proporciona una excelente visualización de la fascia mesorecta
• Linfoma
• Colon por enema: refleja el origen del tumor y si la afeccion en primaria o
secundaria. Si esta extendido sobre un largo segmento aquiere un aspecto de
manzana mordida
• TC: demuestra la extensión del proceso tumoral
Manzana mordida
Traumatismos abdominales
• Pueden ser por:
• Fuerzas compresivas
• Opresion o compresión externa
• Causan hematomas subcapsulares en órganos solidos o rotura de vísceras huecas
• Desaceleracion
• Causan estrechamientos o sección de objetos fijos con otros móviles
• Penetrantes
• Armas punzocortantes o armas de fuego
• La TC se hace en pasientes estables
• US en pacientes inestables
• Para detectar sangrado aunque el paciente aparente estar sano
• El US valora con rapidez liquido libre
• En paciente politraumatisado
• Rx de torax portátil para identificar lesiones que requieren tto inmediato
• Una TC y Rx lateral para valorar fracturas y lesiones a ligamentos
• TC de cráneo sin contraste para no confundir hemorragia subaracnoidea
• Primero se hace TC de cráneo y luego se puede hacer las otras (torax,
abdomen pelvis) con contraste

.pptx

  • 1.
    Colon • Longitud de1.5m con diametro de 3 a 8 cm • La apendice se encuentra proximo a la valcula ileocecal en la base del ciego
  • 2.
    • El estudioradiologico para la valoracion inicial de cualquier patologia colonica es el colon por enema • Requiere una adecuada limpieza
  • 3.
    Radiologia simple deabdomen • Valorar datos adicionales • Calcificaciones anormales • Visceromegalias • Colecciones ectopicas de gas • Megacolon toxico • Gas por obstruccion intestinal • Isquemia intestinal • apendicolitos
  • 4.
    Colon por Enema •Enema simple: sulfato de bario o hidrosoluble • Para obstucciones, tamaño, contorno, posicion, haustras del colon • Hidrosoluble para fistula o perforacion • Doble contraste: sulfato de barrio y aire • Lesiones planas y pequeñas ulceraciones
  • 5.
  • 6.
    Tomografia computarizada • Bienobservado por grasa extraperitoneal • Se distingue del intestine anterior por las haustras, y bubujas del contido fecal
  • 7.
    Endoscopia virtual • PorTC helicoidal • Reproduces por reconstrucción computarizada la luz del colon • Semeja una colonoscopia pero sin riesgo de perforación y no requiere anestesia o sedacion
  • 8.
  • 9.
    Ultrasonido • Determinar elestado de la pared del colon y la extension extraluminal de alguna lesion • Para descartar • Invaginacion intestinal, apendicitis
  • 10.
    Imagen por ResonanciaMagnetica • Para valorar con mayor precision la recurrencia de cancer de recto • Determina si existe extension del tumor en el suelo de la pelvis
  • 11.
    Angiografia • Para valorar: •Embolia mesenterica aguda • Trombosis arteriales • Isquemia mesenterica no oclusiva • Trombosis venosa mesenterica
  • 12.
    Alteraciones congenitas • Enfermedadde Hirschsprung • Radiografia simple: patron obstructive • Colon por enema: calibre normal, zona de transicion a nivel rectal – cono invertido • US: dilatacion de colon • TC: define zona de transicion
  • 13.
    Enfermedades inflamatorias einfecciones • Colitis ulcerative cronica inespecifica • Colon por enema: engrosamiento mucoso, perdida de aspecto liso y suave, ulceraciones superficiales finas, ulceras en boton de camisa • TC: engrosamiento (doble halo o tiro al blanco) • Enfermedad diverticular • Diagnostico, valoracion y complicaciones • Radiografia simple: absceso pelvico con gas • Colon por enema: diverticulos, alteraciones de mucosa, hipertrofia muscular, espasmo, disminucion de caliber, fijacion de segment • TC: diverticulos (saculaciones), hipertrofia muscular, proceso inflamatorio de grasa pericolica
  • 14.
  • 15.
    • Rectocolitis ulcerativeamibiana • Colon por enema: patrón granular o espiculado de los contornos, espasmos segmentarios, ulceras aftosas, ulceras en botón de camisa • Colitis amibiana fulminante • Radiografia simple: incremento densidad cuadrante inferior derecho, gas en colon ascendente, distención de segmentos de colon • Colon por enema: patrón de huellas digitiformes, contornos irregulares con ulceraciones multiples • US: engrosamiento de la pares
  • 16.
    • Megacolon toxico: •Rx simple: dilatación del colon, perdida de contornos y patrón de haustras, seudopolipos • Ameboma: • Colon por enema: segmento afectado disminuido de calibre, perdida de distensibilidad normal, mucosa irregular • Colitis seudomembranosa • TC: engrosamiento externo segmentario o difuso en un segmento o en todo el colon. Signo del acordeon
  • 17.
    • Infeccion porE. coli • TC: estratificación mural, disminución de luz intestinal, aumento de densidad de grasa periférica • Tiflitis • TC helicoidal: ciego distendido con engrosamiento de la pared y de la grasa periférica
  • 18.
  • 19.
    • Apendicitis aguda •Rx simple: niveles hidroaeros localizados al ciego o colon ascendente, signo de colon interrumpido ileo, gas en colon transverso, escoliosis de concavidad derecha, desaparición de la línea del psoas derecho, apendicolito • US: evaluar si esta perforada, elección para embarazadas • TC: para obesos
  • 20.
    Tumores Benignos delColon • Mas frecunte el adenoma seguido por el lipoma • Lipomas generalmente asintomáticos. Pueden causar intususcepción o ulceración y necrosis • Colonografia por TC: se localizan lesiones en submucosa con características de grasa.
  • 21.
  • 22.
    • Tumores dela apéndice • Mucocele: tumor quístico mucinoso • US: masa quística hipoecoica bien definida • Colon por enema: impresión medial en el ciego • TC: tumoración hipodensa con calcificación mural
  • 24.
    • Polipos • Adenomatoso:origen epitelio glandular • Hiperplasicos: pequeños (5mm) • Harmatosos: en niños y adultos jóvenes en recto o sigmoides. Pedunculados • Colon por enema: doble contraste para estudiar mucosa. Valora si son sésiles o pedunculados, mucosos o submucosos • Colonoscopia por TC: detecta pólipos mayores de 6mm
  • 25.
  • 26.
    Tumores malignos delcolon • Adenocarcinoma • Mas frecuente • Enema de bario de doble contraste: masa polipoide, anular, de placa o ulcerada • TC: utilizada para la etapificacion • Colonoscopia por TC: para los que no fue posible valorar el ciego en colonoscopia normal • IRM: proporciona una excelente visualización de la fascia mesorecta
  • 28.
    • Linfoma • Colonpor enema: refleja el origen del tumor y si la afeccion en primaria o secundaria. Si esta extendido sobre un largo segmento aquiere un aspecto de manzana mordida • TC: demuestra la extensión del proceso tumoral
  • 29.
  • 30.
    Traumatismos abdominales • Puedenser por: • Fuerzas compresivas • Opresion o compresión externa • Causan hematomas subcapsulares en órganos solidos o rotura de vísceras huecas • Desaceleracion • Causan estrechamientos o sección de objetos fijos con otros móviles • Penetrantes • Armas punzocortantes o armas de fuego
  • 31.
    • La TCse hace en pasientes estables • US en pacientes inestables • Para detectar sangrado aunque el paciente aparente estar sano • El US valora con rapidez liquido libre • En paciente politraumatisado • Rx de torax portátil para identificar lesiones que requieren tto inmediato • Una TC y Rx lateral para valorar fracturas y lesiones a ligamentos • TC de cráneo sin contraste para no confundir hemorragia subaracnoidea • Primero se hace TC de cráneo y luego se puede hacer las otras (torax, abdomen pelvis) con contraste