Litiasis biliar
• La colelitiasis es una enfermedad
  caracterizada por la presencia o
  formación de cálculos en la vesícula
  biliar.
Epidemiología
• mayor en mujeres que en varones
• entre el 15 y el 25 % de las mujeres son
  adultas
• el 7-15 % de los varones tienen
  colelitiasis.
Localización
• 85 % de las veces como localización única
  en vesícula
• 5 % restante, acompañado de litiasis en
  la VBP.
• la presencia de cálculos en la VBP se
  acompaña en el 95 % de las veces de
  cálculos en la vesícula
Cuadro clínico
• Cólico biliar
     • Dolor localizado o irradiado
     • Dolor relacionado con la ingesta
     • Dolor que dura menos de 6 hs y cede
       espontáneamente o con
       antiespasmódicos
     • Vómitos que no alivian el dolor
     • No hay fiebre, ni ictericia ni coluria
Métodos diagnósticos
•   Ecografía
•   Colangiografía directa
•   TAC
•   RMN
Tratamiento del cólico biliar
             simple
•   Reposo
•   Analgesia
•   Ayuno
Colecistitis aguda
• Proceso inflamatorio de la vesícula biliar
• Causas:
     •   Colelitiasis
     •   Edema de la mucosa (colecistitis alitiásica)
     •   la volvulación de la vesícula biliar,
     •   angulación del sifón vesicular,
     •   tumores benignos,
     •   quistes,
     •   cáncer vesicular
Cuadro clínico
•   Dolor
•   Masa palpable dolorosa
•   Náuseas
•   Vómitos
•   Fiebre
•   Ictericia
Laboratorio
•   Leucocitosis
•   Elevación de bilirrubina
•   Elevación de FAL
•   Elevación de amilasa
•   Elevación de transaminasas
Diagnóstico por imágenes
•   Radiografía de abdomen
•   Ecografía abdominal
•   TAC
•   Centellografía
•   RMN
Complicaciones
•   Perforación
•   Absceso pericolecístico
•   Empiema
•   Ruptura
•   Gangrena
•   Fistulización
•   Ileo biliar
Clases raras de colecistitis
•   Colecistitis aguda enfisematosa
•   Colecistitis aguda tifoídica
•   Colecistitis aguda por torsión
•   Colecistitis aguda por neoplasias
Tratamiento
• Tratamiento básico:
    •   Internación
    •   Ayuno
    •   PHP
    •   ATB
    •   SNG?
• Cirugía
Colecistitis crónica

• La colecistitis crónica se asocia con
  litiasis: es una lesión muy común de la
  vesícula litiásica. Puede ser una
  inflamación crónica de comienzo
  silencioso y evolución prolongada, o bien
  ser secundaria a crisis repetidas de
  colecistitis aguda.
Formas (colecistitis crónica)
• Vesícula escleroatrófica: pequeña, de lumen
  estrecho y pared fibrosa, amoldada sobre los
  cálculos del lumen que aparecen fuertemente
  adheridos a ella.
• 2. Hidrops vesicular: vesícula aumentada de
  volumen, pálida. Al corte, muy distendida por
  un líquido incoloro de aspecto sero-mucoso; un
  cálculo enclavado en el bacinete; pared fibrosa
  convertida en una delgada lámina.
• 3. Vesícula en porcelana: vesícula de pared
  fibrosa y calcificada: su superficie interna es
  blanca y lisa.
Diagnóstico y cuadro clínico
• Similares a la colecistitis aguda
Tratamiento
• Quirúrgico
Vesícula escleroatrófica
Paciente de sexo femenino de 67 años de edad,
sin antecedentes quirúrgicos ni generales de
importancia, que ingresa a la Unidad de
Emergencia por presentar dolor abdominal
difuso, vómitos y fiebre (38° C). Al examen
físico se pone de manifiesto un abdomen
francamente peritonítico (defensa y
descompresión) a predominio de flanco y fosa
ilíaca izquierda.
Laboratorio:
•Hematocrito 39%
•Recuento de Glóbulos Blancos 14.500
•Resto del laboratorio normal.
•Sedimento Urinario normal.
El cuadro se interpreta como Abdomen Agudo
Peritonítico sin etiología precisa.
Se realiza Videolaparoscopía Diagnóstica y se
arriba al diagnóstico etiológico de colopatía
diverticular con escaso líquido seroso en la
cavidad abdominal, el cual se aspira y envía para
cultivo.
Se instala tratamiento antibiotico (Ceftriaxona-
Metronidazol), antiespasmódicos y reposo
digestivo (sonda nasogástrica).
Al 3er. día posoperatorio la paciente no recupera
el tránsito intestinal, persiste con un abdomen
levemente doloroso y distendido sin reacción
peritoneal, con débito por la Sonda Nasogástrica
de 600 ml/día de débito entérico. Afebril con
hemodinámia normal. Se interpreta el cuadro
como suboclusivo por adherencia de asa
intestinal al colon izquierdo.
Se realiza Colon por Enema a baja presión con
material hidrosoluble con la intensión de
evidenciar fuga del material de contraste por
divertículo perforado no diagnosticado en la
cirugía. El estudio demuestra divertículos en
colon izquierdo y pasaje normal hasta ciego sin
lesiones órganicas ni fugas de la sustancia de
contraste. Se continúa el tratamiento médico.
A los 5 días del ingreso se observa una mejoría
significativa, no presenta dolor ni distensión
abdominal, catarsis espontánea escasa. Se inicia
tolerancia oral a líquidos y semisólidos. Se
recibe el cultivo del líquido de cavidad
abdominal en el cual no se hallan gérmenes.
A las 24 hs. presenta vómitos de tipo entérico, dolor y distensión
abdominal por lo cual se le realiza una Radiografía simple de abdomen
DIAGNÓSTICO ???
IIngresa al Servicio de Emergencia de nuestro Hospital, un
paciente de 25 años, con herida de bala. El orificio de
entrada era el cuarto espacio intercostal, en la línea media
clavicular derecha. No presentaba orificio de salida. Al
ingreso de hallaba:

a- Taquicardico: frecuencia 120/minuto.
b- Hipotenso: 90/60 mmHg.
c- Palidez generalizada de piel y mucosas. Ansiedad.
d- Taquipneico ( 25 x minuto). Ausencia de murmullo
vesicular. Hiperresonancia a la percusión.
e- Dolor Abdominal (con defensa a la descompresión en
región periumbilical y flanco derecho).
f- Respuesta al interrogatorio coherente.
Su conducta inicial sería:

•A. Control de la vía aérea. Rx de tórax. Eventual TAC.
•
B. Controlde la vía aérea y de la semiología torácica,
•Asegurar una vía central para la reposición de líquidos.
•
C. Asegurar la vía central y TAC de abdomen y tórax.
•
D. Pasar al paciente al quirófano para drenaje de hemotórax
y laparoscopía exploradora.
Ssu diagnóstico probable inicial es:
a. Hemotórax o neumotórax. Hemoperitoneo puro.
b. Hemotórax o neumotórax. Hemoperitoneo y probable
perforación de viscera hueca.
c. Neumotórax hipertensivo y hemoperitoneo.
d. Hemopericardio con hemoperitoneo.
Se realiza una placa de tórax, no hallándose el proyectil en la
región. Sin embargo, se comprueba un neumotórax derecho, de
grado II y hemotórax grado I. Su conducta es:

  a. Paracentesis con abocath.
b. Drenaje con tubo.
c. Toracotomía posterolateral derecha.
d. Conducta expectante.
Varón de 66 años que ingresa por fiebre
a estudio.

•Antecedentes personales:
HTA en tratamiento
DM Tipo 2 de larga evolución, en
tratamiento con insulina desde hacia 2
años
Hernia Hiatal por deslizamiento en
tratamiento con IBP
Herniorrafia inguinal derecha
No habitos tóxicos
•Enfermedad actual:

Desde hacia 2 semanas previa al ingreso
el paciente comienza con dolor
epigástrico irradiado a hipocondrio
derecho, escalofrios y fiebre de hasta 40º
C, mal estado general y cefalea.
REG.
Tª 38,8ºC
TA 140/90 FC 102 lpm
FR 20 rpm
ACP: rítmico sin soplos.Campos
pulmonares bien aireados
ABD: Blando y depresible con dolor
a la palpación en epigastrio y
en hipocondrio derecho, sin signos de
irritación peritoneal.
Hepatomegalia de 2 traveses de dedo.
Murphy negativo
Hb 14.1
Hto. 40%
Plaquetas 106.000
Leucos 5.200
Glucosa 123
Función renal y hepática normal.
Amilasas normales.
PCR 19.3
VSG 96
Serología VIH, Salmonella,
Brucela,LUES, Leismania, Ameba e
hidatidosis, Negativas
Rx Torax: sin evidencia de infiltrados
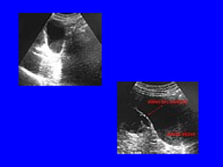
Ecografía (Urgencias): vesicula biliar
distendida
Conclusión: ABSCESO HEPÁTICO
SECUNDARIO A PERFORACIÓN
VESICULAR EN EL CURSO DE UNA
COLECISTITIS AGUDA
Dados los hallazgos exploratorios, el
paciente es intervenido via laparoscópica
realizandose colecistectomía y drenaje de
absceso hepático localizado en segmento
IV con comunicación con la cara
posterior vesicular y por el que drenaba
un líquido purulento.
Evolución clínica favorable y posterior
alta domiciliaria sin complicaciones.

Litiasis biliar

  • 1.
    Litiasis biliar • Lacolelitiasis es una enfermedad caracterizada por la presencia o formación de cálculos en la vesícula biliar.
  • 2.
    Epidemiología • mayor enmujeres que en varones • entre el 15 y el 25 % de las mujeres son adultas • el 7-15 % de los varones tienen colelitiasis.
  • 4.
    Localización • 85 %de las veces como localización única en vesícula • 5 % restante, acompañado de litiasis en la VBP. • la presencia de cálculos en la VBP se acompaña en el 95 % de las veces de cálculos en la vesícula
  • 5.
    Cuadro clínico • Cólicobiliar • Dolor localizado o irradiado • Dolor relacionado con la ingesta • Dolor que dura menos de 6 hs y cede espontáneamente o con antiespasmódicos • Vómitos que no alivian el dolor • No hay fiebre, ni ictericia ni coluria
  • 6.
    Métodos diagnósticos • Ecografía • Colangiografía directa • TAC • RMN
  • 13.
    Tratamiento del cólicobiliar simple • Reposo • Analgesia • Ayuno
  • 16.
    Colecistitis aguda • Procesoinflamatorio de la vesícula biliar • Causas: • Colelitiasis • Edema de la mucosa (colecistitis alitiásica) • la volvulación de la vesícula biliar, • angulación del sifón vesicular, • tumores benignos, • quistes, • cáncer vesicular
  • 19.
    Cuadro clínico • Dolor • Masa palpable dolorosa • Náuseas • Vómitos • Fiebre • Ictericia
  • 20.
    Laboratorio • Leucocitosis • Elevación de bilirrubina • Elevación de FAL • Elevación de amilasa • Elevación de transaminasas
  • 21.
    Diagnóstico por imágenes • Radiografía de abdomen • Ecografía abdominal • TAC • Centellografía • RMN
  • 22.
    Complicaciones • Perforación • Absceso pericolecístico • Empiema • Ruptura • Gangrena • Fistulización • Ileo biliar
  • 23.
    Clases raras decolecistitis • Colecistitis aguda enfisematosa • Colecistitis aguda tifoídica • Colecistitis aguda por torsión • Colecistitis aguda por neoplasias
  • 24.
    Tratamiento • Tratamiento básico: • Internación • Ayuno • PHP • ATB • SNG? • Cirugía
  • 25.
    Colecistitis crónica • Lacolecistitis crónica se asocia con litiasis: es una lesión muy común de la vesícula litiásica. Puede ser una inflamación crónica de comienzo silencioso y evolución prolongada, o bien ser secundaria a crisis repetidas de colecistitis aguda.
  • 26.
    Formas (colecistitis crónica) •Vesícula escleroatrófica: pequeña, de lumen estrecho y pared fibrosa, amoldada sobre los cálculos del lumen que aparecen fuertemente adheridos a ella. • 2. Hidrops vesicular: vesícula aumentada de volumen, pálida. Al corte, muy distendida por un líquido incoloro de aspecto sero-mucoso; un cálculo enclavado en el bacinete; pared fibrosa convertida en una delgada lámina. • 3. Vesícula en porcelana: vesícula de pared fibrosa y calcificada: su superficie interna es blanca y lisa.
  • 27.
    Diagnóstico y cuadroclínico • Similares a la colecistitis aguda
  • 28.
  • 29.
  • 31.
    Paciente de sexofemenino de 67 años de edad, sin antecedentes quirúrgicos ni generales de importancia, que ingresa a la Unidad de Emergencia por presentar dolor abdominal difuso, vómitos y fiebre (38° C). Al examen físico se pone de manifiesto un abdomen francamente peritonítico (defensa y descompresión) a predominio de flanco y fosa ilíaca izquierda.
  • 32.
    Laboratorio: •Hematocrito 39% •Recuento deGlóbulos Blancos 14.500 •Resto del laboratorio normal. •Sedimento Urinario normal.
  • 34.
    El cuadro seinterpreta como Abdomen Agudo Peritonítico sin etiología precisa.
  • 35.
    Se realiza VideolaparoscopíaDiagnóstica y se arriba al diagnóstico etiológico de colopatía diverticular con escaso líquido seroso en la cavidad abdominal, el cual se aspira y envía para cultivo.
  • 36.
    Se instala tratamientoantibiotico (Ceftriaxona- Metronidazol), antiespasmódicos y reposo digestivo (sonda nasogástrica).
  • 37.
    Al 3er. díaposoperatorio la paciente no recupera el tránsito intestinal, persiste con un abdomen levemente doloroso y distendido sin reacción peritoneal, con débito por la Sonda Nasogástrica de 600 ml/día de débito entérico. Afebril con hemodinámia normal. Se interpreta el cuadro como suboclusivo por adherencia de asa intestinal al colon izquierdo.
  • 38.
    Se realiza Colonpor Enema a baja presión con material hidrosoluble con la intensión de evidenciar fuga del material de contraste por divertículo perforado no diagnosticado en la cirugía. El estudio demuestra divertículos en colon izquierdo y pasaje normal hasta ciego sin lesiones órganicas ni fugas de la sustancia de contraste. Se continúa el tratamiento médico.
  • 39.
    A los 5días del ingreso se observa una mejoría significativa, no presenta dolor ni distensión abdominal, catarsis espontánea escasa. Se inicia tolerancia oral a líquidos y semisólidos. Se recibe el cultivo del líquido de cavidad abdominal en el cual no se hallan gérmenes.
  • 40.
    A las 24hs. presenta vómitos de tipo entérico, dolor y distensión abdominal por lo cual se le realiza una Radiografía simple de abdomen
  • 41.
  • 44.
    IIngresa al Serviciode Emergencia de nuestro Hospital, un paciente de 25 años, con herida de bala. El orificio de entrada era el cuarto espacio intercostal, en la línea media clavicular derecha. No presentaba orificio de salida. Al ingreso de hallaba: a- Taquicardico: frecuencia 120/minuto. b- Hipotenso: 90/60 mmHg. c- Palidez generalizada de piel y mucosas. Ansiedad. d- Taquipneico ( 25 x minuto). Ausencia de murmullo vesicular. Hiperresonancia a la percusión. e- Dolor Abdominal (con defensa a la descompresión en región periumbilical y flanco derecho). f- Respuesta al interrogatorio coherente.
  • 45.
    Su conducta inicialsería: •A. Control de la vía aérea. Rx de tórax. Eventual TAC. • B. Controlde la vía aérea y de la semiología torácica, •Asegurar una vía central para la reposición de líquidos. • C. Asegurar la vía central y TAC de abdomen y tórax. • D. Pasar al paciente al quirófano para drenaje de hemotórax y laparoscopía exploradora.
  • 46.
    Ssu diagnóstico probableinicial es: a. Hemotórax o neumotórax. Hemoperitoneo puro. b. Hemotórax o neumotórax. Hemoperitoneo y probable perforación de viscera hueca. c. Neumotórax hipertensivo y hemoperitoneo. d. Hemopericardio con hemoperitoneo.
  • 47.
    Se realiza unaplaca de tórax, no hallándose el proyectil en la región. Sin embargo, se comprueba un neumotórax derecho, de grado II y hemotórax grado I. Su conducta es: a. Paracentesis con abocath. b. Drenaje con tubo. c. Toracotomía posterolateral derecha. d. Conducta expectante.
  • 48.
    Varón de 66años que ingresa por fiebre a estudio. •Antecedentes personales: HTA en tratamiento DM Tipo 2 de larga evolución, en tratamiento con insulina desde hacia 2 años Hernia Hiatal por deslizamiento en tratamiento con IBP Herniorrafia inguinal derecha No habitos tóxicos
  • 49.
    •Enfermedad actual: Desde hacia2 semanas previa al ingreso el paciente comienza con dolor epigástrico irradiado a hipocondrio derecho, escalofrios y fiebre de hasta 40º C, mal estado general y cefalea.
  • 50.
    REG. Tª 38,8ºC TA 140/90FC 102 lpm FR 20 rpm ACP: rítmico sin soplos.Campos pulmonares bien aireados ABD: Blando y depresible con dolor a la palpación en epigastrio y en hipocondrio derecho, sin signos de irritación peritoneal. Hepatomegalia de 2 traveses de dedo. Murphy negativo
  • 51.
    Hb 14.1 Hto. 40% Plaquetas106.000 Leucos 5.200 Glucosa 123 Función renal y hepática normal. Amilasas normales. PCR 19.3 VSG 96 Serología VIH, Salmonella, Brucela,LUES, Leismania, Ameba e hidatidosis, Negativas Rx Torax: sin evidencia de infiltrados Ecografía (Urgencias): vesicula biliar distendida
  • 54.
    Conclusión: ABSCESO HEPÁTICO SECUNDARIOA PERFORACIÓN VESICULAR EN EL CURSO DE UNA COLECISTITIS AGUDA
  • 55.
    Dados los hallazgosexploratorios, el paciente es intervenido via laparoscópica realizandose colecistectomía y drenaje de absceso hepático localizado en segmento IV con comunicación con la cara posterior vesicular y por el que drenaba un líquido purulento. Evolución clínica favorable y posterior alta domiciliaria sin complicaciones.