Tuberculosis
Enfermedad infecto contagiosa producida por el
 Mycobacterium tuberculosis o Bacilo de Koch.
Se transmite por vía aérea (hablar, toser, etc.)
Una persona con TB no tratada contagiará a 10 ó
 15 personas en un año.
Incidencia de tuberculosis según OMS en el Perú
 es de aproximadamente 120 x 100,000 habitantes.
HISTORIA
Hay pruebas de existencia de la TB, por lo
menos desde el antiguo Egipto.
Los médicos griegos la denominaban: Tisis.
En 1868 Villemín pone en evidencia el
carácter infeccioso de la enfermedad.


En 1882 ROBERTO KOCH DEMUESTRA
la etiología bacteriana de la TB (bacilo de
Koch).
HISTORIA
Enfermedad infecto-contagiosa, de alta
mortalidad 70% y de curación con secuelas.
Causa estragos en la humanidad.
En 1947. Se utiliza el 1er. ATB: Estreptomicina.
En 1952 se descubre el 1er. y más eficaz
fármaco antituberculoso. La Isoniacida.
En 1970 se comienza a usar la Rifampicina.
Momia de un niño de 8 años, en el que el Dr.        Radiografía muestra la ubicación do un
Marvin Allison demostró la presencia de lesiones   absceso tuberculoso en la momia de un niño de
                por tuberculosis.                                     8 años.
             Museo Regional de Ica                            Museo Regional de lca
Tuberculosis




               PPD
Tuberculosis

 Prueba de la Tuberculina (PPD)
Tuberculosis
Tuberculosis

     Historia natural de la TBC
Tuberculosis




                  Dosis infectante: 10 bacterias en un
                   individuo susceptible
Tuberculosis
Tuberculosis
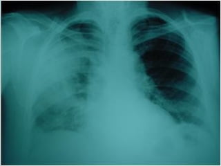
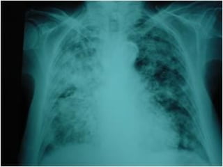
Tuberculosis pulmonar




Calcificaciones tras TBC   Caverna TBC   TBC miliar
primaria
Tuberculosis
Factores de transmisión
                                                               Ventilación

                  Oportunidad del       Concentración de
                                                               Radiación (luz solar)
                       Diagnostico     Gotitas infecciosas


                             Inicio del tratamiento
    BK (+), BK (+++)                                         Virulencia del M. TB
    Intensidad tos                                           Resistencia
                                                             del huésped




                                Patogénesis
 Enfermo                                                                     Huésped
Transmisión de tuberculosis y progresión de la
infección latente a enfermedad activa




 S m a ll PM Fujiwa ra PI M na g e m e nt o f Tube rc ulo s is in the Unite d S ta te s . N Engl J Med 2001;345(3):189-200
            ,           . a
En Perú………la actual tasa de mortalidad de la tuberculosis es de
50 x 100,000 y la tasa de prevalencia es de 2 %. La morbilidad es
mayor de 400 x 100,000. Hay una deficiencia de camas para
pacientes con tuberculosis de aproximadamente 3,500 en todo el
país…….
PERU                                                                               Área: 1’285,216 km2
                                                                                   Densidad Poblacional: 21 hab. x km2.
                                                                                   Tasa de Crecimiento Poblacional: 2.9 %
                                                                                   Población: 27’595,462
                                                                                   (8.7 millón en Lima y Callao)
                                                                                   2do país con mas alta carga de TB en la
                                                                                   Región: (34,534 casos en 2007)
                                                                                   2do país con mas alta tasa de morbilidad
                                                                                   e incidencia en la Región: (125 x100.000
                                                                                   para 2007).
                                                                                   58 % de casos de TB, 82 % de casos de
                                                                                   TB MDR y 93 % de casos de TB XDR en
                                                                                   Lima y Callao.




        Leyenda
         0.00 a 50.00 Bajo Riesgo
        50.01 a 105.28 Mediano Riesgo
        105.01 a más Alto Riesgo




Fuente: MINSA/DGSP/E strategia Sanitaria Nacional de Prev ención y Control de la
Tuberculosis
DISEÑANDO ESTRATEGIAS PARA LOS MOMENTOS
               EPIDEMIOLÓGICOS: LA HISTORIA

Década de los 80
  Baja cobertura del PNT, no se aseguraban los medicamentos, debilidad
  estructural en el sistema de salud
      Grandes cambios sociales, terrorismo, narcotráfico, poblaciones
  desplazadas

Visión:
  Abordaje Biomédico de la TB eminentemente asistencial
  Los programas sociales marcan época “El vaso de leche”.




               DECADA PERDIDA EN EL CONTROL DE LA TB
DISEÑANDO ESTRATEGIAS PARA LOS MOMENTOS
          EPIDEMIOLÓGICOS: LA HISTORIA
Década de los 90
  Años de dictadura, con un especial énfasis en el control de la
  natalidad, lucha frontal contra el terrorismo y narcotráfico
  Fujishock: Las inequidades sociales se acrecientan.
  Se implanta y desarrolla un programa vertical de control de tuberculosis.
     Presencia del aumento de casos de TB MDR tanto en población general y en
  población VIH.
  Transmisión en EESS entre los pacientes.

Visión:
   Abordaje de la TB eminentemente biomédico con inclusión de criterios de
   prevención. Criterios de prevención y diagnostico rápido.
       La comunidad se organiza como respuesta a la pobreza se desarrollan los
   comedores populares, aparecen las dirigencias comunales, a través de ONGs y
   grupos religiosos.




                             ESTRATEGIA DOTS
DISEÑANDO ESTRATEGIAS PARA LOS MOMENTOS
                 EPIDEMIOLÓGICOS: LA HISTORIA
Siglo XXI y sus cambios
   Desaparecen los programas verticales, se pierden fortalezas ganadas, se enfrentan
  grandes retos la Reforma del Sector Salud y el Proceso de Descentralización. Presencia de
  casos de TB MDR y XDR en población general y población VIH.

Visión:
      Romper paradigmas.
      Amplificación del DOTS: Cuáles son los límites del DOTS en un país de profundos cambios
       políticos y de medianos recursos???
      Enfoque integral e integrado del control de la TB.
      Alianzas Estratégicas.
      Promoción de la Ética y Derechos ciudadanos.
      El empoderamiento de las Organizaciones de Personas Afectadas de Tuberculosis:
       Fortalecimiento de la más antigua del país ASET Comas y el nacimiento de otras en el territorio
       nacional.




                         ESTRATEGIA ALTO A LA TUBERCULOSIS
¿Cómo detectamos y dónde detectamos un
paciente con tuberculosis?
Buscaremos toda persona con tos con flema por más
  de 15 días:
   En centros de salud y hospitales.
   Asilos.
   Centros de rehabilitación para fármaco dependencia.
   En penales.
   En colegios.
   En pacientes diabéticos.
   Pacientes con VIH.
   Pacientes con cáncer o inmunosuprimidos.
   Personal de salud.
   Estudiantes de ciencias de la salud.
   Etc.
¿Qué es un un sintomático respiratorio ?
Seguimiento Diagnóstico en S.R.
    sospechoso de TB Pulmonar
El diagnóstico de tuberculosis pulmonar en el
 adulto, se realiza fundamentalmente por el examen
 baciloscópico en el S.R. con dos muestras de esputo
Sin embargo existen S.R. con frotis negativo,
 sospechosos de tuberculosis y en quienes se decide
 realizar el seguimiento diagnóstico.
Tuberculosis Infantil
Criterio clínico.

Criterio bacteriológico.

Criterio epidemiológico.

Criterio inmunológico.

Criterio radiológico

Criterio anatomopatológico
Criterios de Stegen y Toledo
   Aislamiento de BK: 7
    puntos.                 Hasta 2 puntos: No es
   Granuloma                tuberculosis.
    específico: 4 puntos.
                            De 3 a 4 puntos: Diagnóstico
   PPD > 10 mm: 3
    puntos.                  es posible. Amerita estudios
   Antecedentes             más profundos.
    epidemiológicos: 2      De 5 a 6 puntos: Diagnóstico
    puntos.                  factible. Iniciar tratamiento.
   Radiografía             De 7 a más puntos:
    sugestiva: 2 puntos.
                             Diagnóstico es de certeza.
   Cuadro clínico
    sugestivo: 2 puntos.     Iniciar tratamiento.
Tuberculosis Infantil
Los criterios
 terapéuticos para
 adultos son válidos
 también para los niños
 con la excepción de ser
 manejados según dosis
 por peso.
En menores de 7 años de edad evaluar riesgo –
 beneficio de utilizar Estambutol y Quinolonas, sin
 embargo la experiencia nacional demuestra que a
 dosis x kg. de peso no se han encontrado
 reacciones adversas a éstas drogas.
Niños contactos de casos índices en tratamiento
 anterior o actual para TB MDR deberán ser
 evaluados por consultor intermedio y CERI para la
 decisión terapéuticas.
Tuberculosis y Diabetes Mellitus
La diabetes no controlada puede predisponer al
 desarrollo de la TB y la TB puede descompensar la
 diabetes.
¿Qué debemos hacer?
Solicitar cultivo y Ps antes de iniciar tratamiento.
Solicitar glucosa y Hb glicosilada al inicio control
 mensual del Glicemia.
Reevaluación con resultados de PS.
Se recomienda tratamiento de diabetes con
 insulina (i/c periódica con endocrinología).
Exámenes de laboratorio complementarios.
Evaluación conforme las normas con Rayos X de
 Tórax.
Tuberculosis y gestación
Bajo peso al nacer.
Pequeño para edad gestacional.
Prematuridad.
Placenta acreta.
Distress fetal agudo.
Muerte perinatal.
Es mayor el riesgo de no tratar a la madre a tiempo
 que el riesgo de eventos adversos.
La toma de placa radiográficas no está contra
 indicada como método de ayuda diagnóstica toda vez
 que la radiación es mínima para provocar tera
 togenicidad.
La gestante puede usar un mandil de plomo
 abdomino-pélvica.
Esta indicado:
  Tratamiento con drogas de 1º línea (H,R,Z,E)
  Los aminoglicócidos SM, K, AMK, CP se utilizarán a
   partir del 2º trimestre del embarazo, evaluar riesgo –
   beneficio.
  La SM, H, R y E cruzan la barrera hematoplacentaria.
  La H no tiene efecto teratogénico conocido, lo mismo
   pasa con el E y R.
  Los agentes antituberculosis pueden secretarse por la
   lactancia materna en muy pequeñas cantidades, por lo
   que la lactancia debe continuar, la madre solo usará
   mascarilla.
Tuberculosis y VIH
La prevalencia de infección por VIH en pacientes con
 TB es de 1.3 – 2.3%.
La tasa de incidencia de comorbilidad de TB-VIH es
 de 2.29 x 100,000 hab.
El 50% de pacientes con Sida en el Perú desarrollan
 TB en algún momento.
Se ha encontrado una prevalencia de 43% de TB MDR
 en pacientes con VIH.
¿Por qué es importante la Vigilancia de la co-infección TB
VIH?
Respuesta
Infección con VIH es el factor de riesgo más fuerte
 para la progresión de la TB latente a la TB activa
Las personas VIH+ tienen hasta 50 veces más chance
 de desarrollar la TB cada año comparado con
 personas VIH-negativas
El riesgo anual de desarrollar la TB activa es 10% en
 personas VIH+ (versus 10% durante toda su vida en
 pacientes VIH negativas)
Respuesta
Re-infección TB
   La re-infección por TB en áreas endémicas es mas común
   en individuos VIH+
   En un estudio, 62% de las recaídas de TB en personas
   VIH+ fueron re-infección, comparado con 6% en
   personas HIV negativas
Tuberculosis Multidrogo-Resistente (TB-MDR)
  Resistencia a INH y RIF
  Transmisión y mortalidad excesiva en poblaciones VIH+
XDR (Drogo-resistencia extensiva)
  Resistencia a INH y RIF y a la mayoría de drogas de
   segunda línea
Di Perri G, Cruciani M, Danzi MC, Luzzati R, De Checchi G, Malena M, et
al. Nosocomial epidemic of active tuberculosis among HIV-infected
patients. Lancet 1989;2:1502-4.
¿Cuál ha sido el impacto de la epidemia de VIH sobre la
epidemia de tuberculosis en América Latina?
País      Año % de casos TB en PVS   Tipo epidemia SIDA
El Salvador   2002         11.5           Concentrada
Guyana        2000         13.7           Generalizada
Haití         1999         63.8           Generalizada
Honduras      1997         13.9           Generalizada
Nicaragua     2002          2.5           Concentrada
Panamá        2002         24.8           Generalizada
Perú          2001         34.2           Concentrada
PER    CHI     ARG     COL     VEN    BR
                                                         A
Tuberculosis      39.2   22.4    20.5    18.6     1.7
P. C. P.          21.9    46.7    25.4    40.4   25.9    1
Cryptosporidium   21.6    12.1     4.3           15.5   12
Isospora          16.0     9.3                      0
Candidiasis        6.0     5.6   10.4
S. kaposi          8.1                           15.5   28
Criptococosis      5.6    9.3     6.2    10.9     8.6    6
Toxoplasmosis      4.4    9.3     6.3    10.9     6.9
C. M. V.           4.1    8.4     5.9               0    8
Histoplasmosis     1.6      0     4.7             3.4
Linfoma            0.6                              0
M. atípicas        0.3    1.9                     8.6
100
                       90
% de sobrevivientes




                       80
                       70
                       60
                       50
                       40
                       30
                       20
                       10
                        0
                            0   1   2   3   4   5   6   7   8   9    10   11   12   13   14   15

                                                TBC + VIH           VIH
La tuberculosis es el prototipo de infección que
 requiere de inmunidad celular para su control.
El VIH causa deterioro funcional y progresivo de
 los linfocitos T CD4  desarrolla TB.
Persona sin VIH  5-10% de desarrollar TB en
 toda su vida.
Persona con VIH  7-10% de desarrollar TB cada
 año de su vida.
I MPACTO S OCIAL
La epidemia del VIH/SIDA en el Perú afecta principalmente a las siguientes
poblaciones:


1.    Población Económicamente Activa:
      fuerza de trabajo, población más joven.

2.    Pobres.

3.    Personas que viven en las ciudades más
      pobladas.

4.    La costa (industria) y la selva
      (poblaciones indígenas), zonas de alta
      movilidad.
5.    PPL
6.    Población en Pobreza y Extrema pobreza

 Fuente: Ministerio de Salud del Perú
RECOMENDACIONES GENERALES
A TODO PACIENTE VIH POSITIVO SE LE DEBE REALIZAR:
Una buena historia clínica de antecedentes de TBC y contactos.
 Examen físico clínico completo.
 Radiografía de tórax, Bk esputo y cultivo.
 Profilaxis con isoniacida durante 12 meses, incluido contactos
   ( solo en casos indicados se realizará PPD).
 Esto aplica también para pacientes con Dx. De TBC
A todo paciente con Dx. de TBC iniciar rápidamente tto. Anti
  TBC, y valorar inicio a TARGA e implementar acciones de
  bioseguridad para reducir la transmisión.
Tratamientos
Resolución Ministerial Nº 579-2010 del 16 de Julio del
 2010.
Modificación del tratamiento de la tuberculosis.
  Drogas de Primera línea:
     (H) Isoniacida.
     (R) Rifampicina.

     (Z) Pirazinamida

     (E) Etambutol.
Esquema UNO 2HRZE/4R2H2
Todo paciente nunca tratado con dx de TB
 pulmonar o extrapulmonar, frotis positivo o
 negativo cultivo positivo o negativo.
Todo paciente que cuente con prueba de
 sensibilidad vigente (< de 3 meses) que indique
 pan sensible.
Todo paciente ANTES TRATADO (1º recaída,
 abandono recuperado por primera vez). Se le
 solicita PS previamente.
Si resulta drogo resistente será presentando al
 CERI.
Control de Contactos – QUIMIO PROFILAXIS.
Si hay una recaída dentro de los 6 primeros meses
 post alta, solicitar cultivo y PS e iniciar tratamiento
 estandarizado.
2-4 K, Cx, Z, E, Eto Cs/K2-3, Cx, Z, Eto, CS / CX, Eto, Cs,
 Z, E.
Transitorio mientras llega la PS.
Los expedientes deben pasar por el CERI y CERN.
Tratamiento empírico para TB MDR
 Transitorio (se basa en antecedentes del contacto).
 Se inicia sin disponer de la PS actual.
 Se debe considera el antecedente de fármacos
   previamente recibidos.
 Considerar la PS del caso índice.
 Pacientes que estando en esquema primario tiene un
   MODS ó Griess que indican resistencias a H y R.
Tratamiento individualizado.
  Es un esquema aprobado por el CERI en base a la PS del
   paciente.
  El tratamiento es diario de Lunes a Sábado.
  El tratamiento está dividido c/12h.
  ES DIRECTAMENTE SUPERVISADO EN BOCA.
  DURARÁ DE 18 A 24 MESES.
TB-XDR
El diagnóstico es exclusivamente laboratorial basado en la
 PS.
Es    IMPRESCINDIBLE          contar   con     PRUEBA    DE
 SENSIBILIDAD y tipificación de mycobacterium TB.
La TB-XDR se define como la resistencia simultanea a los dos
 núcleos principales para el tratamiento de la TB.
Núcleo del tratamiento de la TB sensible: R-H.
Núcleo del tratamiento de la TB MDR: quinolona +
 inyectable de 2º línea (K, Cp, Amk).
TB XDR = resistencia a H, R + quinolona + inyectable.
¿Cuándo hablamos de fracaso?
A esquema UNO… cultivo (+) al 4º mes de
 tratamiento.
Fracaso a tratamiento individualizado  la presencia
 de 2 cultivos positivos consecutivos con una
 diferencia de 30 días entre uno y otro a partir del
 sexto mes de tratamiento regular luego de la
 negativización.
Casos de tuberculosis MDR en personal de salud por
             DISAs/DIRESAs. Perú.
Transmisión de TB en los hospitales en Perú
• Brote de TB en el Personal de laboratorio del Hospital Guillermo
Almenara el año 1997

• Hospital A. Loayza encuentra una prevalencia de 16% de TB en
pacientes en un ambiente de medicina interna 2001

•Hospital Dos de Mayo se evidencia una incidencia de 42%, TB-MDR
en pacientes con coinfección TB-VIH.1999

• Hospital Carrión del Callao, demuestra incidencia creciente de
infección TB en personal de salud, relacionada al tiempo de
exposición. 2005

En Latinoamérica:

• Hospital Muñiz de Argentina en 1997 que tenía mas de 500 casos
de TB MDR
•Río de Janeiro entre 1993 y 1994 que encontraron altas tasas de TB
entre los pacientes hospitalizados
VENTILACIÓN
Existen muchas medidas para prevenir que las
 personas enfermen de tuberculosis, dentro de estas
 existen las medidas de control ambiental y una
 medida poco costosa es el mejoramiento de la
 ventilación natural.
La ventilación es el movimiento del aire y se puede usar
 para lograr dilución e intercambio de aire en una zona
 específica.
                            Puerta




          Flujo                                Flujo
           de               M        P          de
           aire                                 aire

                  Ventana                Ventana
Puerta




Flujo                                        Flujo
 de                                           de
 aire             P            M              aire


        Ventana                    Ventana
Puerta



              Flujo
               de
P              aire




M


                       Ventana




             Ventana
Puerta




 Flujo
  de
  aire
           M


                   Ventana

           P


         Ventana
Otro método más costoso es la luz ultravioleta.
Es germicida.
Se usan en salas de hospitalización y aislamiento
 para pacientes con TB-TB MDR.
Salas donde se realizan broncospias.
La exposición LUV puede ser dañina para la piel y
 ojos.
Por esta razón las lámparas deben ser instaladas
 en la partes superior de los cuartos o pasillos o en
 los conductos de aire.
Protección respiratoria
Tiene como objetivo proteger al personal de salud
 pero NO sustituye a las medidas de control
 ambiental.
Respiradores:
  Los que deben usar el personal de salud.
  Deben ajustarse a la cara evitando fugas en los bordes.
  Son desechables, pero bien tratados pueden durar
   varias semanas.
  Deben guardarse en lugares limpios y secos.
  No deben aplastarse.
  Los más usados son los respiradores N95.
Las Mascarillas no han sido diseñadas para proteger a
 las personas que las llevan puesta, pues no tiene un
 filtro especial.
Evita que la persona propague sus microorganismos
 capturando las partículas húmedas grandes cerca de
 la nariz y de la boca para el usuario.
La mascarilla N95 si brinda protección.
Muchas Gracias!!!
HAY PREGUNTAS?

Prevención y control de las tuberculosis - CICAT-SALUD

  • 2.
    Tuberculosis Enfermedad infecto contagiosaproducida por el Mycobacterium tuberculosis o Bacilo de Koch. Se transmite por vía aérea (hablar, toser, etc.) Una persona con TB no tratada contagiará a 10 ó 15 personas en un año. Incidencia de tuberculosis según OMS en el Perú es de aproximadamente 120 x 100,000 habitantes.
  • 3.
    HISTORIA Hay pruebas deexistencia de la TB, por lo menos desde el antiguo Egipto. Los médicos griegos la denominaban: Tisis. En 1868 Villemín pone en evidencia el carácter infeccioso de la enfermedad. En 1882 ROBERTO KOCH DEMUESTRA la etiología bacteriana de la TB (bacilo de Koch).
  • 4.
    HISTORIA Enfermedad infecto-contagiosa, dealta mortalidad 70% y de curación con secuelas. Causa estragos en la humanidad. En 1947. Se utiliza el 1er. ATB: Estreptomicina. En 1952 se descubre el 1er. y más eficaz fármaco antituberculoso. La Isoniacida. En 1970 se comienza a usar la Rifampicina.
  • 5.
    Momia de unniño de 8 años, en el que el Dr. Radiografía muestra la ubicación do un Marvin Allison demostró la presencia de lesiones absceso tuberculoso en la momia de un niño de por tuberculosis. 8 años. Museo Regional de Ica Museo Regional de lca
  • 6.
  • 7.
    Tuberculosis Prueba dela Tuberculina (PPD)
  • 8.
  • 9.
    Tuberculosis  Historia natural de la TBC
  • 10.
    Tuberculosis  Dosis infectante: 10 bacterias en un individuo susceptible
  • 11.
  • 12.
  • 13.
    Tuberculosis pulmonar Calcificaciones trasTBC Caverna TBC TBC miliar primaria
  • 14.
  • 15.
    Factores de transmisión Ventilación Oportunidad del Concentración de Radiación (luz solar) Diagnostico Gotitas infecciosas Inicio del tratamiento BK (+), BK (+++) Virulencia del M. TB Intensidad tos Resistencia del huésped Patogénesis Enfermo Huésped
  • 16.
    Transmisión de tuberculosisy progresión de la infección latente a enfermedad activa S m a ll PM Fujiwa ra PI M na g e m e nt o f Tube rc ulo s is in the Unite d S ta te s . N Engl J Med 2001;345(3):189-200 , . a
  • 17.
    En Perú………la actualtasa de mortalidad de la tuberculosis es de 50 x 100,000 y la tasa de prevalencia es de 2 %. La morbilidad es mayor de 400 x 100,000. Hay una deficiencia de camas para pacientes con tuberculosis de aproximadamente 3,500 en todo el país…….
  • 18.
    PERU Área: 1’285,216 km2 Densidad Poblacional: 21 hab. x km2. Tasa de Crecimiento Poblacional: 2.9 % Población: 27’595,462 (8.7 millón en Lima y Callao) 2do país con mas alta carga de TB en la Región: (34,534 casos en 2007) 2do país con mas alta tasa de morbilidad e incidencia en la Región: (125 x100.000 para 2007). 58 % de casos de TB, 82 % de casos de TB MDR y 93 % de casos de TB XDR en Lima y Callao. Leyenda 0.00 a 50.00 Bajo Riesgo 50.01 a 105.28 Mediano Riesgo 105.01 a más Alto Riesgo Fuente: MINSA/DGSP/E strategia Sanitaria Nacional de Prev ención y Control de la Tuberculosis
  • 19.
    DISEÑANDO ESTRATEGIAS PARALOS MOMENTOS EPIDEMIOLÓGICOS: LA HISTORIA Década de los 80 Baja cobertura del PNT, no se aseguraban los medicamentos, debilidad estructural en el sistema de salud Grandes cambios sociales, terrorismo, narcotráfico, poblaciones desplazadas Visión: Abordaje Biomédico de la TB eminentemente asistencial Los programas sociales marcan época “El vaso de leche”. DECADA PERDIDA EN EL CONTROL DE LA TB
  • 20.
    DISEÑANDO ESTRATEGIAS PARALOS MOMENTOS EPIDEMIOLÓGICOS: LA HISTORIA Década de los 90 Años de dictadura, con un especial énfasis en el control de la natalidad, lucha frontal contra el terrorismo y narcotráfico Fujishock: Las inequidades sociales se acrecientan. Se implanta y desarrolla un programa vertical de control de tuberculosis. Presencia del aumento de casos de TB MDR tanto en población general y en población VIH. Transmisión en EESS entre los pacientes. Visión: Abordaje de la TB eminentemente biomédico con inclusión de criterios de prevención. Criterios de prevención y diagnostico rápido. La comunidad se organiza como respuesta a la pobreza se desarrollan los comedores populares, aparecen las dirigencias comunales, a través de ONGs y grupos religiosos. ESTRATEGIA DOTS
  • 21.
    DISEÑANDO ESTRATEGIAS PARALOS MOMENTOS EPIDEMIOLÓGICOS: LA HISTORIA Siglo XXI y sus cambios Desaparecen los programas verticales, se pierden fortalezas ganadas, se enfrentan grandes retos la Reforma del Sector Salud y el Proceso de Descentralización. Presencia de casos de TB MDR y XDR en población general y población VIH. Visión:  Romper paradigmas.  Amplificación del DOTS: Cuáles son los límites del DOTS en un país de profundos cambios políticos y de medianos recursos???  Enfoque integral e integrado del control de la TB.  Alianzas Estratégicas.  Promoción de la Ética y Derechos ciudadanos.  El empoderamiento de las Organizaciones de Personas Afectadas de Tuberculosis: Fortalecimiento de la más antigua del país ASET Comas y el nacimiento de otras en el territorio nacional. ESTRATEGIA ALTO A LA TUBERCULOSIS
  • 22.
    ¿Cómo detectamos ydónde detectamos un paciente con tuberculosis? Buscaremos toda persona con tos con flema por más de 15 días:  En centros de salud y hospitales.  Asilos.  Centros de rehabilitación para fármaco dependencia.  En penales.  En colegios.  En pacientes diabéticos.  Pacientes con VIH.  Pacientes con cáncer o inmunosuprimidos.  Personal de salud.  Estudiantes de ciencias de la salud.  Etc.
  • 23.
    ¿Qué es unun sintomático respiratorio ?
  • 25.
    Seguimiento Diagnóstico enS.R. sospechoso de TB Pulmonar El diagnóstico de tuberculosis pulmonar en el adulto, se realiza fundamentalmente por el examen baciloscópico en el S.R. con dos muestras de esputo Sin embargo existen S.R. con frotis negativo, sospechosos de tuberculosis y en quienes se decide realizar el seguimiento diagnóstico.
  • 26.
    Tuberculosis Infantil Criterio clínico. Criteriobacteriológico. Criterio epidemiológico. Criterio inmunológico. Criterio radiológico Criterio anatomopatológico
  • 27.
    Criterios de Stegeny Toledo  Aislamiento de BK: 7 puntos. Hasta 2 puntos: No es  Granuloma tuberculosis. específico: 4 puntos. De 3 a 4 puntos: Diagnóstico  PPD > 10 mm: 3 puntos. es posible. Amerita estudios  Antecedentes más profundos. epidemiológicos: 2 De 5 a 6 puntos: Diagnóstico puntos. factible. Iniciar tratamiento.  Radiografía De 7 a más puntos: sugestiva: 2 puntos. Diagnóstico es de certeza.  Cuadro clínico sugestivo: 2 puntos. Iniciar tratamiento.
  • 28.
    Tuberculosis Infantil Los criterios terapéuticos para adultos son válidos también para los niños con la excepción de ser manejados según dosis por peso.
  • 29.
    En menores de7 años de edad evaluar riesgo – beneficio de utilizar Estambutol y Quinolonas, sin embargo la experiencia nacional demuestra que a dosis x kg. de peso no se han encontrado reacciones adversas a éstas drogas. Niños contactos de casos índices en tratamiento anterior o actual para TB MDR deberán ser evaluados por consultor intermedio y CERI para la decisión terapéuticas.
  • 30.
    Tuberculosis y DiabetesMellitus La diabetes no controlada puede predisponer al desarrollo de la TB y la TB puede descompensar la diabetes.
  • 31.
    ¿Qué debemos hacer? Solicitarcultivo y Ps antes de iniciar tratamiento. Solicitar glucosa y Hb glicosilada al inicio control mensual del Glicemia. Reevaluación con resultados de PS. Se recomienda tratamiento de diabetes con insulina (i/c periódica con endocrinología). Exámenes de laboratorio complementarios. Evaluación conforme las normas con Rayos X de Tórax.
  • 32.
    Tuberculosis y gestación Bajopeso al nacer. Pequeño para edad gestacional. Prematuridad. Placenta acreta. Distress fetal agudo. Muerte perinatal.
  • 33.
    Es mayor elriesgo de no tratar a la madre a tiempo que el riesgo de eventos adversos. La toma de placa radiográficas no está contra indicada como método de ayuda diagnóstica toda vez que la radiación es mínima para provocar tera togenicidad. La gestante puede usar un mandil de plomo abdomino-pélvica.
  • 34.
    Esta indicado: Tratamiento con drogas de 1º línea (H,R,Z,E) Los aminoglicócidos SM, K, AMK, CP se utilizarán a partir del 2º trimestre del embarazo, evaluar riesgo – beneficio. La SM, H, R y E cruzan la barrera hematoplacentaria. La H no tiene efecto teratogénico conocido, lo mismo pasa con el E y R. Los agentes antituberculosis pueden secretarse por la lactancia materna en muy pequeñas cantidades, por lo que la lactancia debe continuar, la madre solo usará mascarilla.
  • 36.
    Tuberculosis y VIH Laprevalencia de infección por VIH en pacientes con TB es de 1.3 – 2.3%. La tasa de incidencia de comorbilidad de TB-VIH es de 2.29 x 100,000 hab. El 50% de pacientes con Sida en el Perú desarrollan TB en algún momento. Se ha encontrado una prevalencia de 43% de TB MDR en pacientes con VIH.
  • 37.
    ¿Por qué esimportante la Vigilancia de la co-infección TB VIH?
  • 38.
    Respuesta Infección con VIHes el factor de riesgo más fuerte para la progresión de la TB latente a la TB activa Las personas VIH+ tienen hasta 50 veces más chance de desarrollar la TB cada año comparado con personas VIH-negativas El riesgo anual de desarrollar la TB activa es 10% en personas VIH+ (versus 10% durante toda su vida en pacientes VIH negativas)
  • 39.
    Respuesta Re-infección TB  La re-infección por TB en áreas endémicas es mas común en individuos VIH+  En un estudio, 62% de las recaídas de TB en personas VIH+ fueron re-infección, comparado con 6% en personas HIV negativas Tuberculosis Multidrogo-Resistente (TB-MDR) Resistencia a INH y RIF Transmisión y mortalidad excesiva en poblaciones VIH+ XDR (Drogo-resistencia extensiva) Resistencia a INH y RIF y a la mayoría de drogas de segunda línea
  • 40.
    Di Perri G,Cruciani M, Danzi MC, Luzzati R, De Checchi G, Malena M, et al. Nosocomial epidemic of active tuberculosis among HIV-infected patients. Lancet 1989;2:1502-4.
  • 41.
    ¿Cuál ha sidoel impacto de la epidemia de VIH sobre la epidemia de tuberculosis en América Latina?
  • 42.
    País Año % de casos TB en PVS Tipo epidemia SIDA El Salvador 2002 11.5 Concentrada Guyana 2000 13.7 Generalizada Haití 1999 63.8 Generalizada Honduras 1997 13.9 Generalizada Nicaragua 2002 2.5 Concentrada Panamá 2002 24.8 Generalizada Perú 2001 34.2 Concentrada
  • 43.
    PER CHI ARG COL VEN BR A Tuberculosis 39.2 22.4 20.5 18.6 1.7 P. C. P. 21.9 46.7 25.4 40.4 25.9 1 Cryptosporidium 21.6 12.1 4.3 15.5 12 Isospora 16.0 9.3 0 Candidiasis 6.0 5.6 10.4 S. kaposi 8.1 15.5 28 Criptococosis 5.6 9.3 6.2 10.9 8.6 6 Toxoplasmosis 4.4 9.3 6.3 10.9 6.9 C. M. V. 4.1 8.4 5.9 0 8 Histoplasmosis 1.6 0 4.7 3.4 Linfoma 0.6 0 M. atípicas 0.3 1.9 8.6
  • 45.
    100 90 % de sobrevivientes 80 70 60 50 40 30 20 10 0 0 1 2 3 4 5 6 7 8 9 10 11 12 13 14 15 TBC + VIH VIH
  • 47.
    La tuberculosis esel prototipo de infección que requiere de inmunidad celular para su control. El VIH causa deterioro funcional y progresivo de los linfocitos T CD4  desarrolla TB. Persona sin VIH  5-10% de desarrollar TB en toda su vida. Persona con VIH  7-10% de desarrollar TB cada año de su vida.
  • 48.
    I MPACTO SOCIAL La epidemia del VIH/SIDA en el Perú afecta principalmente a las siguientes poblaciones: 1. Población Económicamente Activa: fuerza de trabajo, población más joven. 2. Pobres. 3. Personas que viven en las ciudades más pobladas. 4. La costa (industria) y la selva (poblaciones indígenas), zonas de alta movilidad. 5. PPL 6. Población en Pobreza y Extrema pobreza Fuente: Ministerio de Salud del Perú
  • 49.
    RECOMENDACIONES GENERALES A TODOPACIENTE VIH POSITIVO SE LE DEBE REALIZAR: Una buena historia clínica de antecedentes de TBC y contactos.  Examen físico clínico completo.  Radiografía de tórax, Bk esputo y cultivo.  Profilaxis con isoniacida durante 12 meses, incluido contactos ( solo en casos indicados se realizará PPD).  Esto aplica también para pacientes con Dx. De TBC A todo paciente con Dx. de TBC iniciar rápidamente tto. Anti TBC, y valorar inicio a TARGA e implementar acciones de bioseguridad para reducir la transmisión.
  • 51.
    Tratamientos Resolución Ministerial Nº579-2010 del 16 de Julio del 2010. Modificación del tratamiento de la tuberculosis. Drogas de Primera línea:  (H) Isoniacida.  (R) Rifampicina.  (Z) Pirazinamida  (E) Etambutol.
  • 52.
    Esquema UNO 2HRZE/4R2H2 Todopaciente nunca tratado con dx de TB pulmonar o extrapulmonar, frotis positivo o negativo cultivo positivo o negativo. Todo paciente que cuente con prueba de sensibilidad vigente (< de 3 meses) que indique pan sensible. Todo paciente ANTES TRATADO (1º recaída, abandono recuperado por primera vez). Se le solicita PS previamente. Si resulta drogo resistente será presentando al CERI. Control de Contactos – QUIMIO PROFILAXIS.
  • 53.
    Si hay unarecaída dentro de los 6 primeros meses post alta, solicitar cultivo y PS e iniciar tratamiento estandarizado. 2-4 K, Cx, Z, E, Eto Cs/K2-3, Cx, Z, Eto, CS / CX, Eto, Cs, Z, E. Transitorio mientras llega la PS. Los expedientes deben pasar por el CERI y CERN.
  • 55.
    Tratamiento empírico paraTB MDR Transitorio (se basa en antecedentes del contacto). Se inicia sin disponer de la PS actual. Se debe considera el antecedente de fármacos previamente recibidos. Considerar la PS del caso índice. Pacientes que estando en esquema primario tiene un MODS ó Griess que indican resistencias a H y R.
  • 57.
    Tratamiento individualizado. Es un esquema aprobado por el CERI en base a la PS del paciente. El tratamiento es diario de Lunes a Sábado. El tratamiento está dividido c/12h. ES DIRECTAMENTE SUPERVISADO EN BOCA. DURARÁ DE 18 A 24 MESES.
  • 58.
    TB-XDR El diagnóstico esexclusivamente laboratorial basado en la PS. Es IMPRESCINDIBLE contar con PRUEBA DE SENSIBILIDAD y tipificación de mycobacterium TB. La TB-XDR se define como la resistencia simultanea a los dos núcleos principales para el tratamiento de la TB. Núcleo del tratamiento de la TB sensible: R-H. Núcleo del tratamiento de la TB MDR: quinolona + inyectable de 2º línea (K, Cp, Amk). TB XDR = resistencia a H, R + quinolona + inyectable.
  • 59.
    ¿Cuándo hablamos defracaso? A esquema UNO… cultivo (+) al 4º mes de tratamiento. Fracaso a tratamiento individualizado  la presencia de 2 cultivos positivos consecutivos con una diferencia de 30 días entre uno y otro a partir del sexto mes de tratamiento regular luego de la negativización.
  • 60.
    Casos de tuberculosisMDR en personal de salud por DISAs/DIRESAs. Perú.
  • 61.
    Transmisión de TBen los hospitales en Perú • Brote de TB en el Personal de laboratorio del Hospital Guillermo Almenara el año 1997 • Hospital A. Loayza encuentra una prevalencia de 16% de TB en pacientes en un ambiente de medicina interna 2001 •Hospital Dos de Mayo se evidencia una incidencia de 42%, TB-MDR en pacientes con coinfección TB-VIH.1999 • Hospital Carrión del Callao, demuestra incidencia creciente de infección TB en personal de salud, relacionada al tiempo de exposición. 2005 En Latinoamérica: • Hospital Muñiz de Argentina en 1997 que tenía mas de 500 casos de TB MDR •Río de Janeiro entre 1993 y 1994 que encontraron altas tasas de TB entre los pacientes hospitalizados
  • 62.
    VENTILACIÓN Existen muchas medidaspara prevenir que las personas enfermen de tuberculosis, dentro de estas existen las medidas de control ambiental y una medida poco costosa es el mejoramiento de la ventilación natural.
  • 63.
    La ventilación esel movimiento del aire y se puede usar para lograr dilución e intercambio de aire en una zona específica. Puerta Flujo Flujo de M P de aire aire Ventana Ventana
  • 64.
    Puerta Flujo Flujo de de aire P M aire Ventana Ventana
  • 65.
    Puerta Flujo de P aire M Ventana Ventana
  • 66.
    Puerta Flujo de aire M Ventana P Ventana
  • 67.
    Otro método máscostoso es la luz ultravioleta. Es germicida. Se usan en salas de hospitalización y aislamiento para pacientes con TB-TB MDR. Salas donde se realizan broncospias. La exposición LUV puede ser dañina para la piel y ojos. Por esta razón las lámparas deben ser instaladas en la partes superior de los cuartos o pasillos o en los conductos de aire.
  • 68.
    Protección respiratoria Tiene comoobjetivo proteger al personal de salud pero NO sustituye a las medidas de control ambiental. Respiradores: Los que deben usar el personal de salud. Deben ajustarse a la cara evitando fugas en los bordes. Son desechables, pero bien tratados pueden durar varias semanas. Deben guardarse en lugares limpios y secos. No deben aplastarse. Los más usados son los respiradores N95.
  • 70.
    Las Mascarillas nohan sido diseñadas para proteger a las personas que las llevan puesta, pues no tiene un filtro especial. Evita que la persona propague sus microorganismos capturando las partículas húmedas grandes cerca de la nariz y de la boca para el usuario. La mascarilla N95 si brinda protección.
  • 71.
  • 72.