Hospital Regional – Ramón Carrillo
Santiago del Estero
Servicio de Traumatología y Ortopedia
Año 2015
Dr. Targa, Juan José
Introducción
 La precisión diagnostica de los informes de la RM de la
rodilla esta entre el 85 y el 95%
 Evaluación de las lesiones meniscales, ligamentosas y
óseas. Mientras que muchas técnicas diagnósticas
invasivas y no invasivas pueden evaluar una o más de
estas lesiones, la RM es la única técnica que puede
evaluar con fiabilidad todas estas estructuras
articulares.
 también es altamente eficaz en el estudio de un gran
espectro de otras patologías como las congénitas,
neoplásicas y enfermedades inflamatorias de la
articulación y de los tejidos blandos adyacentes.
Antena de superficie
Paciente en supino
Rotación externa 10-20 grados
Metodología
Colocado y centrado el paciente, comienza la secuencia de
localización. Dando imágenes en los tres planos: axial,
sagital y coronal
axial
sagital coronal
 El sistema emplea señales de radiofrecuencia
en presencia de un campo magnético
controlado.
 Se define como RM a la capacidad de cientos de
átomos de absorber y emitir energía de
radiofrecuencia cunado son ubicados dentro de
un campo magnético controlado.
 El uso de campos de visión pequeños en el
rango de 10-14 cm mejora la resolución
espacial y facilita la valoración óptima de las
estructuras anatómicas de la rodilla.
 Se recomienda usar cortes pequeños de
4mm o 5mm de espesor
Axial
 Articulación patelofemoral
 Ligamentos
Sagital
 Meniscos
 Ligamentos cruzados
 Cartílago articular
Coronal
 Ligamentos colaterales
 Meniscos
 Ligamentos cruzados
Secuencias
 T1
 T2
 DP con saturación grasa
Tendones, Ligamentos y Meniscos son
siempre NEGROS
T1
 Meniscos
 Ligamentos
 Tendones
 NO cartilago articular
T2
 Liquido de derrame
 Irregularidad del contorno en fx
meniscal
 Quistes
 gangliones
DP fat sat
 Fx
 Contusión y edema oseo
Anatomía
 Láminas semilunares
de fibrocartílago
 Ensanchan la
superficie → >
congruencia
 Absorben energía
 M: forma de “C”
 L: forma de “O”
 Protegen cartílago
articular
MENISCOS
 La zona periférica del
cartílago se encuentra
vascularizada por las arterias
geniculares lateral y medial,
mientras que la región
interna es avascular.
Movilidad de los meniscos
El menisco externo avanza en extensión y
retrocede en flexión
El menisco interno es
menos móvil
Existe una cobertura ligamentaria que limita la movilidad de los meniscos.
El compartimiento interno es el compartimiento de la estabilidad y
el externo de la movilidad.
A. Williams (2002)
IRM con apoyo (squatt)
Translación fuera de la flexo-extensión y la rotación:
El cóndilo interno avanza 3.2 mm
El cóndilo externo recula 9.9 mm
Movilidad de los meniscos
Meniscos y cartílagos son requeridos de manera similar
Compartimiento externo Compartimiento interno
 Extra-articulares:
LIGAMENTOS
Rotuliano (A), LCL, LCM, Poplíteos Oblícuo & Arque
 Intra – articulares:
Cruzados, tranversal, meniscofemorales
mediallateral
Evita
hiperextensión
y
desplazamiento
posterior del
fémur o anterior
de la tibia
Evita
hiperflexión y
desplazamiento
anterior del
fémur o
posterior de la
tibia
Principal estabilizador
del fémur con rodilla en
flexión
Rx
Cartilago articular
• Rx= imagen indirecta
• RM = buen contraste y visualización
de tejidos circundantes
• RM alta resolución= detecta cambios
morfológicos en el cartílago
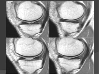
RM normal
AXIAL
CORONALES
SAGITAL
RM patológica
Lesiones Meniscales
2 criterios RM
 1=Presencia de señal intrameniscal que contacta con la
superfcie articular
 Hiperseñal intrameniscal= degeneración mucinosa
 Identificar lesión en 2 proyecciones
 2=Morfología meniscal anómala
 A menudo es hallazgo sutil de rotura meniscal con 2
excepciones (menisco discoide y la ondulación o buckling)
Menisco discoide
 Alteración congénita del desarrollo del menisco externo, es
la pérdida de la forma semilunar del menisco
 Esta anomalía los hace propensos a rotura
 El diagnóstico se realiza cuando se observa un
menisco marcadamente mayor que el menisco
normal.
Buckling
 Ondulación meniscal se
considera una variante
posicional caracterizada
por un pliegue unico
simétrico a lo largo del
borde libre del menisco
 Se presenta en flexión,
valgo y rotación externa
Tipos ruptura meniscal
 tres grandes tipos:
 Verticales
 Horizontales
 Mixtas
Tipos ruptura meniscal
 Verticales en el seno del espesor meniscal
 Completas : brecha desde la superficie superior meniscal
hasta la inferior
 Incompletas: respetan parcialmente el espesor meniscal
 A su vez, morfológicamente se dividen en longitudinales
simples, en asa de cubo, transversales o radiales y oblicuas.
Tipos ruptura meniscal
 Horizontales o “en boca de pez”
 Mixtas, que combinan trazos de rotura verticales
y horizontales; son las lesiones en pico de loro,
pediculadas y en asa de cubo doble o múltiple
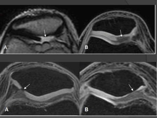
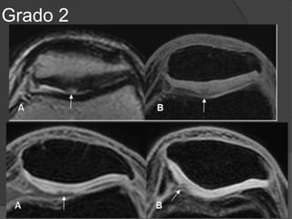
RM
Grado 1
Grado 2
Grado 2
Grado 3
Reporte de rotura meniscal
 Localización:
 tercios (cuerno anterior, cuerpo y cuerno
posterior)
○ Raíces meniscales centrales, unión de tercios
 Anchura del menisco se divide también en
tercios(periférica, zona blanca y borde interno
o libre)
Reporte de rotura meniscal
 Si es completa o no
 Longitud aproximada
 Rupturas múltiples se describen cada una por
separado
 Plano
 Axial:
○ Vertical: paralelas (long) o perpendiculares(radiales)
○ Horizontal
 Forma:
 Pico de loro, rotura oblicua con una orientación
radial en el borde libre meniscal con un trayecto
paralelo al eje del menisco cuando se extiende
perifericamente
 Mixtas: forma de estrella
 Asa de cubo: fragmento interno desplazado en la
escotadura intercondílea
○ Los fragmentos menores de un tercio del menisco,
pueden no ser detectados
○ Las roturas del menisco interno en asa tipicamente se
localizan bajo el LCP= signo doble LCP
○ Diferenciar de :LCA roto, ligamento meniscofemoral
roto, fragmento libre en la escotadura intercondílea
Errores de interpretación ruptura
meniscal
 Estructuras normales cuya proximidad a los
meniscos simulan roturas
 Tendón poplíteo está próximo al cuerno posterior del
menisco externo y el espacio entre ellos hiperintenso
simula una rotura meniscal
Lesiones en ligamentos
DISTENSION lesión provocada por la elongación de un
músculo o su inserción tendinosa al hueso
ESGUINCE lesión limitada a los ligamentos
- GRADO l . Rotura escasa de fibras del ligamento con
dolor localizado pero sin inestabilidad .
- GRADO 2 . Rotura de un número mayor de fibras con
mayor dolor e inflamación pero sin inestabilidad .
- GRADO 3 . Rotura completa con inestabilidad .
· + . Separación articular de 5 mm o menos .
· ++ . Separación articular de 5 a 10mm .
· +++. Separación articular de 10 mm o más .
Lesiones ligamentosas
 Pérdida de la hiposeñal fisiológica - sustituida por
alteraciones de señal debidas a edema y
equimosis de intensidad media en T1 e
hiperintensas en T2 .
 En rotura completa hay pérdida del trayecto
ligamentoso cuyos extremos se visualizan
separados por líquido sinovial.
 En roturas parciales - falta de nitidez en sus
contornos, con borramiento de sus límites debido
al edema y a la hx intraligamentosa.
LCA
 Rotura completa:
 Mas frecuentes en el extremo
proximal , difícil de visualizar en
sagitales por efecto de volumen
parcial con la cortical del cóndilo
externo. = axiales y cor.
 En las roturas intersticiales se
observa el ligamento engrosado e
hiperintenso.
 La avulsión distal = niños porque el
ligamento es más resistente que el
hueso inmaduro. Es importante
precisar el tamaño y grado de
desplazamiento del fragmento óseo
LCA
 Roturas crónicas
 no hay edema ni sinovitis
 pequeño derrame articular.
 LCA no se ve en sagital o coronal por
estar retraído
 LCA puede encontrarse adherido al
LCP falseando el test del cajón
anterior.
 La tibia aparece desplazada
anteriormente respecto al fémur
 Signo indirecto de rotura del LCA: el
aumento de la curvatura o
redundancia del LCP.
LCP
 Representa de 5-20% de todas las lesiones ligamentosas de
la rodilla.
 1.- Rotura es más frecuente en su tercio medio
 2.- Avulsiones femoral y tibial.
LCP
 El LCP normal es hipo-intenso en todas las secuencias homogéneo
 Su morfología del LCP depende
 Grado de flexión de la rodilla
 Integridad del LCA y del resto de estructuras de soporte
 Con la rodilla en extensión o con un grado mínimo de flexión, el
ligamento muestra un margen posterior convexo
 Si la rodilla está en flexión de más de 10º, el ligamento se tensa y
muestra un grosor ligeramente menor que en extensión.
LCP
 Roturas parciales
 Area hiperseñal y fibras ligamentosas visibles en todo el
trayecto del ligamento.
LCP Las roturas por avulsión
 Afectan generalmente a la inserción tibial
 El fragmento óseo tiene un desplazamiento mayor que en las
avulsiones del LCA
 Extenso edema y hemorragia subcondral en el lugar de la
avulsión.
LCM
 Se valora mejor en coronal,
hipointenso en todas las
secuencias
 En T2 puede verse una banda
de señal intermedia entre las
capas superficial y profunda
del ligamento que
corresponde a la bursa
intraligamentosa.
 Afectado con mayor frecuencia
LCM
 Lesiones se clasifican según su gravedad.
 Grado I: desgarros mínimos sin inestabilidad asociada.
 Grado II: rotura parcial con moderada inestabilidad
 Grado III: roturas completas del ligamento con
inestabilidad severa.
 El grado de la lesión puede establecerse clínicamente
con la maniobra de valgo forzado a 30º de flexión
Grado 1  Rotura microscópica
 RM las principales alteraciones son
periligamentosas.
 Grosor y señal de resonancia normal
 Edema y hx periligamentosa
Grado II
• Roturas parciales
• Ligamento engrosado y áreas de hiperseñal en T1 y T2.
• Las fibras ligamentosas están separadas del hueso
cortical debido a la presencia de edema y hemorragia.
Grado III
• Roturas completas
• RM: solución de continuidad
completa del ligamento
LCE
 Son menos frecuentes que las del
LCM.
 Mecanismo lesional
 Movimiento forzado en varo con la
pierna en rotación interna.
 Hiperextensión de la rodilla con
rotación externa. Asociándose a
lesiones de LCA o LCP.
El LCE se visualiza mejor coronal o sagital periférica.
Es útil la realización de secuencias 3D con posibilidad de
reconstrucción multiplanar para una mejor valoración
Cartílago articular
CONDROMALACIA :
 Pérdida de las propiedades biomecánicas del cartílago e inicia un círculo
vicioso, se produce un aumento de la carga articular que contribuye a la
progresión del daño cartilaginoso.
 Se asocia con traumatismos directos, fracturas, inestabilidad
fémororotuliana, meniscectomía y lesiones ligamentosas
Condromalacia
 El grado se determina por artroscopía.
 Grado 0: Normal.
 Grado 1: Reblandecimiento del cartílago.
 Grado 2: Ulceración poco profunda, menor del 50% del espesor.
 Grado 3: Ulcera profunda, mayor del 50% del espesor, pero que
no se extiende al hueso.
 Grado 4: Ulcera con exposición del hueso subcondral.
Grado 0
Grado 1
Grado 2
Grado 3
Grado 4
Lesiones oseas
 Osteocondrales
 Contusiones oseas
 Fracturas osteocondrales
 Osteocondritis disecante
 Fracturas
 Osteonecrosis
 Osteomielitis
 Sx. Osgood Schlatter
 Sx Sinding-Larsen-Johansson
Contusiones óseas
 Son microfracturas
trabeculares, sin fractura
cortical, pero con edema e
hiperemia medular
 RM:
 áreas mal definidas de
alteración de señal en la
médula ósea de
comportamiento hipointenso
en T1 e hiperintenso en T2
(dura 6-12 semanas)
Fracturas osteocondrales
Osteocondritis disecante
 lesión osteocondral originada por traumatismo (50%)
 Mas frecuente niños y adolescentes, en los que el cartílago
articular es más resistente que el hueso subcondral.
 1 y 2 no hay
cambios
artroscópicos
II
IV
Fracturas por estrés
Osteonecrosis
 Se instala cuanto el traumatismo produce daño
vascular
 Causas no traumáticas
 Embolización arterial: Hb-patías, descompresión, embolia
grasa pancreatitis
 Vasculitis : LES
 Presión intraósea elevada
 Inhibición de la angiogenia (esteroides)
 Tensión mecánica
 Exposición a radiación
Osteomielitis
 La osteomielitis hematógena de la rodilla se produce generalmente en
el esqueleto inmaduro
 Se localiza con mayor frecuencia en la metáfisis femoral distal y tibial
proximal.
 Produce una intensa respuesta inflamatoria en fases iniciales que en
RM
 patrón de edema óseo con márgenes imprecisos, siendo especialmente
sensibles FSE T2 con supresión grasa y STIR
 La utilización de gadolinio endovenoso permite determinar la extensión e
identificar abscesos o secuestros (áreas de realce periférico con centro
necrótico sin realce)
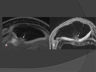
Quistes parameniscales
atipicos
Conclusión
 El correcto diagnóstico de las entidades
aquí descritas tiene implicaciones
terapéuticas. En muchas ocasiones, las
manifestaciones clínicas son muy
similares a las de la patología más
frecuente de ligamentos y meniscos
Lectura  RMN  de  rodilla

Lectura RMN de rodilla

  • 1.
    Hospital Regional –Ramón Carrillo Santiago del Estero Servicio de Traumatología y Ortopedia Año 2015 Dr. Targa, Juan José
  • 2.
    Introducción  La precisióndiagnostica de los informes de la RM de la rodilla esta entre el 85 y el 95%  Evaluación de las lesiones meniscales, ligamentosas y óseas. Mientras que muchas técnicas diagnósticas invasivas y no invasivas pueden evaluar una o más de estas lesiones, la RM es la única técnica que puede evaluar con fiabilidad todas estas estructuras articulares.  también es altamente eficaz en el estudio de un gran espectro de otras patologías como las congénitas, neoplásicas y enfermedades inflamatorias de la articulación y de los tejidos blandos adyacentes.
  • 3.
    Antena de superficie Pacienteen supino Rotación externa 10-20 grados
  • 5.
    Metodología Colocado y centradoel paciente, comienza la secuencia de localización. Dando imágenes en los tres planos: axial, sagital y coronal axial sagital coronal
  • 6.
     El sistemaemplea señales de radiofrecuencia en presencia de un campo magnético controlado.  Se define como RM a la capacidad de cientos de átomos de absorber y emitir energía de radiofrecuencia cunado son ubicados dentro de un campo magnético controlado.
  • 7.
     El usode campos de visión pequeños en el rango de 10-14 cm mejora la resolución espacial y facilita la valoración óptima de las estructuras anatómicas de la rodilla.  Se recomienda usar cortes pequeños de 4mm o 5mm de espesor
  • 9.
  • 11.
    Sagital  Meniscos  Ligamentoscruzados  Cartílago articular
  • 13.
    Coronal  Ligamentos colaterales Meniscos  Ligamentos cruzados
  • 14.
    Secuencias  T1  T2 DP con saturación grasa Tendones, Ligamentos y Meniscos son siempre NEGROS
  • 15.
    T1  Meniscos  Ligamentos Tendones  NO cartilago articular
  • 16.
    T2  Liquido dederrame  Irregularidad del contorno en fx meniscal  Quistes  gangliones
  • 17.
    DP fat sat Fx  Contusión y edema oseo
  • 19.
  • 20.
     Láminas semilunares defibrocartílago  Ensanchan la superficie → > congruencia  Absorben energía  M: forma de “C”  L: forma de “O”  Protegen cartílago articular MENISCOS
  • 21.
     La zonaperiférica del cartílago se encuentra vascularizada por las arterias geniculares lateral y medial, mientras que la región interna es avascular.
  • 22.
    Movilidad de losmeniscos El menisco externo avanza en extensión y retrocede en flexión El menisco interno es menos móvil Existe una cobertura ligamentaria que limita la movilidad de los meniscos. El compartimiento interno es el compartimiento de la estabilidad y el externo de la movilidad.
  • 23.
    A. Williams (2002) IRMcon apoyo (squatt) Translación fuera de la flexo-extensión y la rotación: El cóndilo interno avanza 3.2 mm El cóndilo externo recula 9.9 mm Movilidad de los meniscos
  • 24.
    Meniscos y cartílagosson requeridos de manera similar Compartimiento externo Compartimiento interno
  • 25.
     Extra-articulares: LIGAMENTOS Rotuliano (A),LCL, LCM, Poplíteos Oblícuo & Arque
  • 28.
     Intra –articulares: Cruzados, tranversal, meniscofemorales
  • 29.
    mediallateral Evita hiperextensión y desplazamiento posterior del fémur oanterior de la tibia Evita hiperflexión y desplazamiento anterior del fémur o posterior de la tibia Principal estabilizador del fémur con rodilla en flexión
  • 30.
    Rx Cartilago articular • Rx=imagen indirecta • RM = buen contraste y visualización de tejidos circundantes • RM alta resolución= detecta cambios morfológicos en el cartílago
  • 31.
  • 32.
  • 33.
  • 34.
  • 36.
  • 37.
    Lesiones Meniscales 2 criteriosRM  1=Presencia de señal intrameniscal que contacta con la superfcie articular  Hiperseñal intrameniscal= degeneración mucinosa  Identificar lesión en 2 proyecciones  2=Morfología meniscal anómala  A menudo es hallazgo sutil de rotura meniscal con 2 excepciones (menisco discoide y la ondulación o buckling)
  • 38.
    Menisco discoide  Alteracióncongénita del desarrollo del menisco externo, es la pérdida de la forma semilunar del menisco  Esta anomalía los hace propensos a rotura  El diagnóstico se realiza cuando se observa un menisco marcadamente mayor que el menisco normal.
  • 41.
    Buckling  Ondulación meniscalse considera una variante posicional caracterizada por un pliegue unico simétrico a lo largo del borde libre del menisco  Se presenta en flexión, valgo y rotación externa
  • 43.
    Tipos ruptura meniscal tres grandes tipos:  Verticales  Horizontales  Mixtas
  • 44.
    Tipos ruptura meniscal Verticales en el seno del espesor meniscal  Completas : brecha desde la superficie superior meniscal hasta la inferior  Incompletas: respetan parcialmente el espesor meniscal  A su vez, morfológicamente se dividen en longitudinales simples, en asa de cubo, transversales o radiales y oblicuas.
  • 45.
    Tipos ruptura meniscal Horizontales o “en boca de pez”  Mixtas, que combinan trazos de rotura verticales y horizontales; son las lesiones en pico de loro, pediculadas y en asa de cubo doble o múltiple
  • 47.
  • 48.
  • 49.
  • 50.
  • 51.
  • 55.
    Reporte de roturameniscal  Localización:  tercios (cuerno anterior, cuerpo y cuerno posterior) ○ Raíces meniscales centrales, unión de tercios  Anchura del menisco se divide también en tercios(periférica, zona blanca y borde interno o libre)
  • 56.
    Reporte de roturameniscal  Si es completa o no  Longitud aproximada  Rupturas múltiples se describen cada una por separado  Plano  Axial: ○ Vertical: paralelas (long) o perpendiculares(radiales) ○ Horizontal
  • 58.
     Forma:  Picode loro, rotura oblicua con una orientación radial en el borde libre meniscal con un trayecto paralelo al eje del menisco cuando se extiende perifericamente  Mixtas: forma de estrella  Asa de cubo: fragmento interno desplazado en la escotadura intercondílea ○ Los fragmentos menores de un tercio del menisco, pueden no ser detectados ○ Las roturas del menisco interno en asa tipicamente se localizan bajo el LCP= signo doble LCP ○ Diferenciar de :LCA roto, ligamento meniscofemoral roto, fragmento libre en la escotadura intercondílea
  • 61.
    Errores de interpretaciónruptura meniscal  Estructuras normales cuya proximidad a los meniscos simulan roturas  Tendón poplíteo está próximo al cuerno posterior del menisco externo y el espacio entre ellos hiperintenso simula una rotura meniscal
  • 62.
    Lesiones en ligamentos DISTENSIONlesión provocada por la elongación de un músculo o su inserción tendinosa al hueso ESGUINCE lesión limitada a los ligamentos - GRADO l . Rotura escasa de fibras del ligamento con dolor localizado pero sin inestabilidad . - GRADO 2 . Rotura de un número mayor de fibras con mayor dolor e inflamación pero sin inestabilidad . - GRADO 3 . Rotura completa con inestabilidad . · + . Separación articular de 5 mm o menos . · ++ . Separación articular de 5 a 10mm . · +++. Separación articular de 10 mm o más .
  • 63.
    Lesiones ligamentosas  Pérdidade la hiposeñal fisiológica - sustituida por alteraciones de señal debidas a edema y equimosis de intensidad media en T1 e hiperintensas en T2 .  En rotura completa hay pérdida del trayecto ligamentoso cuyos extremos se visualizan separados por líquido sinovial.  En roturas parciales - falta de nitidez en sus contornos, con borramiento de sus límites debido al edema y a la hx intraligamentosa.
  • 66.
    LCA  Rotura completa: Mas frecuentes en el extremo proximal , difícil de visualizar en sagitales por efecto de volumen parcial con la cortical del cóndilo externo. = axiales y cor.  En las roturas intersticiales se observa el ligamento engrosado e hiperintenso.  La avulsión distal = niños porque el ligamento es más resistente que el hueso inmaduro. Es importante precisar el tamaño y grado de desplazamiento del fragmento óseo
  • 68.
    LCA  Roturas crónicas no hay edema ni sinovitis  pequeño derrame articular.  LCA no se ve en sagital o coronal por estar retraído  LCA puede encontrarse adherido al LCP falseando el test del cajón anterior.  La tibia aparece desplazada anteriormente respecto al fémur  Signo indirecto de rotura del LCA: el aumento de la curvatura o redundancia del LCP.
  • 69.
    LCP  Representa de5-20% de todas las lesiones ligamentosas de la rodilla.  1.- Rotura es más frecuente en su tercio medio  2.- Avulsiones femoral y tibial.
  • 70.
    LCP  El LCPnormal es hipo-intenso en todas las secuencias homogéneo  Su morfología del LCP depende  Grado de flexión de la rodilla  Integridad del LCA y del resto de estructuras de soporte  Con la rodilla en extensión o con un grado mínimo de flexión, el ligamento muestra un margen posterior convexo  Si la rodilla está en flexión de más de 10º, el ligamento se tensa y muestra un grosor ligeramente menor que en extensión.
  • 72.
    LCP  Roturas parciales Area hiperseñal y fibras ligamentosas visibles en todo el trayecto del ligamento.
  • 73.
    LCP Las roturaspor avulsión  Afectan generalmente a la inserción tibial  El fragmento óseo tiene un desplazamiento mayor que en las avulsiones del LCA  Extenso edema y hemorragia subcondral en el lugar de la avulsión.
  • 74.
    LCM  Se valoramejor en coronal, hipointenso en todas las secuencias  En T2 puede verse una banda de señal intermedia entre las capas superficial y profunda del ligamento que corresponde a la bursa intraligamentosa.  Afectado con mayor frecuencia
  • 75.
    LCM  Lesiones seclasifican según su gravedad.  Grado I: desgarros mínimos sin inestabilidad asociada.  Grado II: rotura parcial con moderada inestabilidad  Grado III: roturas completas del ligamento con inestabilidad severa.  El grado de la lesión puede establecerse clínicamente con la maniobra de valgo forzado a 30º de flexión
  • 76.
    Grado 1 Rotura microscópica  RM las principales alteraciones son periligamentosas.  Grosor y señal de resonancia normal  Edema y hx periligamentosa
  • 77.
    Grado II • Roturasparciales • Ligamento engrosado y áreas de hiperseñal en T1 y T2. • Las fibras ligamentosas están separadas del hueso cortical debido a la presencia de edema y hemorragia.
  • 78.
    Grado III • Roturascompletas • RM: solución de continuidad completa del ligamento
  • 79.
    LCE  Son menosfrecuentes que las del LCM.  Mecanismo lesional  Movimiento forzado en varo con la pierna en rotación interna.  Hiperextensión de la rodilla con rotación externa. Asociándose a lesiones de LCA o LCP. El LCE se visualiza mejor coronal o sagital periférica. Es útil la realización de secuencias 3D con posibilidad de reconstrucción multiplanar para una mejor valoración
  • 80.
    Cartílago articular CONDROMALACIA : Pérdida de las propiedades biomecánicas del cartílago e inicia un círculo vicioso, se produce un aumento de la carga articular que contribuye a la progresión del daño cartilaginoso.  Se asocia con traumatismos directos, fracturas, inestabilidad fémororotuliana, meniscectomía y lesiones ligamentosas
  • 81.
    Condromalacia  El gradose determina por artroscopía.  Grado 0: Normal.  Grado 1: Reblandecimiento del cartílago.  Grado 2: Ulceración poco profunda, menor del 50% del espesor.  Grado 3: Ulcera profunda, mayor del 50% del espesor, pero que no se extiende al hueso.  Grado 4: Ulcera con exposición del hueso subcondral.
  • 82.
  • 83.
  • 84.
  • 86.
  • 89.
  • 91.
    Lesiones oseas  Osteocondrales Contusiones oseas  Fracturas osteocondrales  Osteocondritis disecante  Fracturas  Osteonecrosis  Osteomielitis  Sx. Osgood Schlatter  Sx Sinding-Larsen-Johansson
  • 92.
    Contusiones óseas  Sonmicrofracturas trabeculares, sin fractura cortical, pero con edema e hiperemia medular  RM:  áreas mal definidas de alteración de señal en la médula ósea de comportamiento hipointenso en T1 e hiperintenso en T2 (dura 6-12 semanas)
  • 94.
  • 95.
    Osteocondritis disecante  lesiónosteocondral originada por traumatismo (50%)  Mas frecuente niños y adolescentes, en los que el cartílago articular es más resistente que el hueso subcondral.
  • 96.
     1 y2 no hay cambios artroscópicos
  • 97.
  • 99.
  • 100.
  • 101.
    Osteonecrosis  Se instalacuanto el traumatismo produce daño vascular  Causas no traumáticas  Embolización arterial: Hb-patías, descompresión, embolia grasa pancreatitis  Vasculitis : LES  Presión intraósea elevada  Inhibición de la angiogenia (esteroides)  Tensión mecánica  Exposición a radiación
  • 104.
    Osteomielitis  La osteomielitishematógena de la rodilla se produce generalmente en el esqueleto inmaduro  Se localiza con mayor frecuencia en la metáfisis femoral distal y tibial proximal.  Produce una intensa respuesta inflamatoria en fases iniciales que en RM  patrón de edema óseo con márgenes imprecisos, siendo especialmente sensibles FSE T2 con supresión grasa y STIR  La utilización de gadolinio endovenoso permite determinar la extensión e identificar abscesos o secuestros (áreas de realce periférico con centro necrótico sin realce)
  • 106.
  • 107.
    Conclusión  El correctodiagnóstico de las entidades aquí descritas tiene implicaciones terapéuticas. En muchas ocasiones, las manifestaciones clínicas son muy similares a las de la patología más frecuente de ligamentos y meniscos