República Bolivariana de Venezuela
 Ministerio del Poder Popular para la Salud
   Dirección General Sectorial de Salud
    Hospital Universitario de Pediatría
            Dr. Agustín Zubillaga
   Postgrado de Infectología Pediátrica
         Barquisimeto, Estado Lara




ABSCESO CEREBRAL Y
ENPIEMA SUBDURAL

                            •       Dra. Adriana Sofía Rodríguez.
                                •   R2 de Infectología Pediátrica.
                                        5 de Abril del 2011
ABSCESO CEREBRAL
ABSCESO CEREBRAL

• Un absceso cerebral es una colección de pus
  localizada en el cerebro.

 • Los abscesos cerebrales no son frecuentes.
        Pueden ser causados a partir de la
 propagación de una infección en otra parte de
     la cabeza (como un diente, la nariz o el
  oído), de una herida que alcanza el cerebro o
   de una infección originada en otro lugar y
            propagada por la sangre.
ABSCESO CEREBRAL




• Es una masa de células inmunitarias, pus y
  otros materiales debido a una infección por
  bacterias u hongos.
ABSCESO CEREBRAL


• Lesión cerebral inflamatoria caracterizada por la
 colección de material purulento en el parénquima
  del tejido cerebral, que se complica posterior a:
       sinusitis en regiones paranasales, otitis
   medias, cirugía, traumatismos o bacteriemias
        provenientes de focos extracraneales.
HISTORIA

• Su patogénesis, clínica, tratamiento y pronóstico fue
  magistralmente descrito por Sir William Macewen en 1893
  en su monográfico sobre infecciones del sistema nervioso
  central (SNC).

• Macewen tuvo unos resultados excepcionalmente buenos en
  los abscesos que operó, con una mortalidad del 5%, lo que le
  llevó a concluir que en el absceso cerebral no
  complicado, operado a tiempo, la recuperación debe ser la
  regla.
•
HISTORIA

• Pese a ello, las tasas de mortalidad registradas en los años 70
  llegaban hasta el 50%.
• Desde entonces, gracias fundamentalmente al diagnóstico
  precoz con la TC cerebral, estas tasas de mortalidad han
  descendido hasta situarse en los años 90 entre el 5-10%.
• Todavía, no obstante, siguen siendo una patología grave, que
  requiere alto nivel de sospecha y una actuación terapéutica
  rápida.
HISTORIA
• El debate entre el drenaje del absceso, por un lado, y la
  cirugía abierta, por otro, es antiguo.
• Ya en 1926 ,Dandy se hacía eco de esta controversia, a favor
  del drenaje.

• El tratamiento mediante punción y drenaje del absceso
  presenta múltiples ventajas: permite con poca agresividad y
  anestesia local obtener material para cultivo y confirmación
  diagnóstica y alivia rápidamente la presión intracraneal;
  puede ser realizado en cualquier estadio de evolución del
  absceso; y la ayuda de la estereotaxia permite acceder a los
  abscesos más profundos o en áreas elocuentes del cerebro
EPIDEMIOLOGÍA


• Los abscesos cerebrales ocurren aproximadamente en 1 de cada
  100.000 personas.
• 1 por cada 10.000 ingresos hospitalarios.
• 1500-2000 casos por año en Estados Unidos.
•
• El absceso cerebral es una patología que se da entre personas
  jóvenes o de edad media (entre la segunda y cuarta décadas de la
  vida), con una inexplicable predilección por el sexo masculino
  (Doble de frecuencia).
• El 25% de los abscesos cerebrales ocurren en niños menores de 15
  años.
•
• De forma rara se presentan en neonatos pero tienen una alta
  morbi-mortalidad
EPIDEMIOLOGÍA

El AC es una entidad infrecuente en niños, en ocasiones letal y altamente invalidante en
la mayoría de los que padecen la enfermedad. Se calcula que el padecimiento se
presenta en 1/10.000 admisiones hospitalarias, aproximadamente 4 a 10 casos por año.

El 25% de los abscesos cerebrales se presentan en menores de 15 años, constituyendo el
grupo de 4 a 7 el más afectado; en menores de 2 años la enfermedad es
extremadamente infrecuente




       La mortalidad por AC ha disminuido en los últimos años, situación
   intimamente ligada al diagnóstico precoz y certero de la lesión mediante
   tomografía axial computarizada (TAC) e imagen de resonancia magnética
   (IRM), a técnicas quirúrgicas más seguras, al notable avance en la terapia
             antimicrobiana e identificación de agentes anaerobios
Microbiología

Una amplia gama de bacterias ha sido implicada en la etiología del AC.
En un tercio de los abscesos participan múltiples microorganismos, incluso flora
mixta, anaeróbica y aeróbica, destacando en el primer grupo:


Bacteroides, Prevotella
melaninogenica, Fusobacterium, Peptostreptococcus, Propionibacterium .
Estreptococos anaeróbicos y Bacteroides .

 Staphylococcus, Streptococcus, Streptococcus
pneumoniae, Haemophilus, Pseudomonas sp y enterobacterias (Escherichia
coli, Klebsiella pneumoniae, Proteus sp).


En 25 a 30% de los especimenes no existe crecimiento bacteriano.
La rotura del absceso cerebral dentro del sistema ventricular constituye
una complicación catastrófica y fatal en el 50%, dejando residuos
neurológicos severos e hidrocefalia en los sobrevivientes. La sospecha
diagnóstica se establece toda vez que el paciente sufre rápido deterioro
clínico, acompañado de fiebre, meningismo, alteración del estado de
conciencia y choque.


El líquido cefalorraquídeo (LCR) es la prueba diagnóstica más útil; los
pacientes presentan marcada pleocitosis (50.000 a 100.000 leucocitos
polimorfonucleares), hipoglucemia y formas bacterianas en la tinción
Gram y cultivo.
LOCALIZACIÓN


• de origen otógeno por el lóbulo temporal o cerebelo



• los de senos paranasales por el lóbulo frontal.



• origen hematógeno
FISIOPATOGENIA


Los gérmenes alcanzan el parénquima cerebral
(inoculación directa – fístulas), en el caso de
traumatismos o cirugía


     Infección en contigüidad (bien por invasión
     directa, bien por tromboflebitis de las venas
     emisarias)


                  Por embolismos sépticos procedentes de
               infecciones a distancia. Tradicionalmente las
                infecciones crónicas del oído y de los senos
                                paranasales
PROPAGACIÓN HEMÁTICA


• Son múltiples en 10%-50% de los casos.
• En 25% de los casos, no pudo hallarse la fuente que
  dio origen al absceso.
• El tórax es el sitio más frecuente.
• cardiopatía cianótica congénita
• (el riesgo estimado de la formación de abscesos es
  4%-7%), sobre todo, en la tetralogía de Fallot.
PROPAGACIÓN HEMÁTICA


• fístulas pulmonares arteriovenosas:
        50% de estos pacientes padecen el síndrome de Rendu-Osler
       (telangiectasia hemorrágica hereditaria) y hasta en 5% de estos
         pacientes aparecen abscesos cerebrales en algún momento.
•    Endocarditis bacteriana.
•   absceso dental
•   infecciones gastrointestinales
•   embolización séptica
PROPAGACIÓN POR CONTIGUIDAD


• Sinusitis purulenta: se propaga mediante una
  osteomielitis local o una flebitis de las venas
  emisarias.
• Prácticamente siempre se forma un absceso único.
• Es infrecuente en los niños porque ellos carecen de
  celdillas aéreas paranasales y mastoídeas.
• Esta vía de infección ha perdido preponderancia
  gracias al avance en el tratamiento de las
  sinusopatías
PROPAGACIÓN POR CONTIGUIDAD


• infecciones del oído medio y de las celdillas aéreas
  mastoideas —> abscesos alojados en el lóbulo
  temporal y en el cerebelo.
• Sinusitis nasal —> absceso del lóbulo frontal
• sinusitis esfenoidal.
• Odontógena (asociada a un procedimiento
  odontológico realizado en las 4 semanas anteriores)
ABSCESOS CEREBRALES
                   POR
                   CONTIGUIDAD                       Los metastásicos
                                                     se producen por
Al cerebro desde focos                               diseminación de
sépticos locales (senos                               un foco séptico
paranasales, oído                                         distante
medio, mastoides).

                                                     postraumáticos y los
     secundarios a                                     postquirúrgicos se
  sinusitis frontal se                                     producen
    localizan en los                                   generalmente por
   lóbulos frontales                                  inoculación directa
                              Secundarios a
    secundarios a
                          infecciones del oído     En un 10-20% de los
   sinusitis maxilar
                          medio y mastoides se     casos, los abscesos
     se localizan a
                           localizan a nivel del      son de origen
   nivel del lóbulo
                            lóbulo temporal o          desconocido
       temporal
                               cerebeloso.
Secundario a un traumatismo craneal penetrante o a un
             procedimiento neuroquirúrgico


• Cuando en el acceso quirúrgico se abre a alguna celdilla
  aérea.
• Puede ser secundarios en las heridas de bala (bala que
  atravesó un seno aéreo)
• Secundario a traumatismo penetrante.
• Uso prolongado de monitores de presión intracraneana.
La formación del absceso se produce en cuatro
etapas:

                 FASE I:
  de 2 a 3 días de duración, se produce
  una zona isquémica y necrótica en el                      FASE III.
    lugar de entrada del gérmen, con        de 10 a 13 días de duración, se delimita
inflamación y desarrollo de un infiltrado       la zona purulenta y aparece una
          leucocitario de células           neovascularización rodeando el proceso
polimorfonucleares y redondas rodeado
      de edema de tipo vasogénico.




               FASE II.
                                                           FASE IV.
 4 a 9 días de duración, se produce un
                                            a partir del día 14, el absceso se rodea
aumento de la zona necrótica y pus que
                                                    de una cápsula gliótica.
          se rodea el infiltrado
FACTORES DE RIESGO

• CARDIOPATÍAS CONGÉNITAS.
• Derivaciones cardíacas de derecha a izquierda
• Enfermedad crónica, como el cáncer o el síndrome
  de Osler-Weber-Rendu
• Sistema inmunitario debilitado, como el que se
  observa en los pacientes con SIDA
• Inmunodepresores (corticosteroides)
I. Gastón, J. Muruzábal, P .Infecciones del sistema nervioso central en urgencias . Anales Sis San
Navarra v.31 supl.1 Pamplona 2008
SÍNTOMAS

• Dolor de cabeza                • Reducción de la capacidad de
• Rigidez en cuello, hombros o     respuesta
  espalda                        • Coma eventual
• Dolor de cuello, hombros o     • Convulsiones
  espalda                        • Fiebre y escalofríos
• Vómitos                        • Cambios en la visión
• Cambios en el estado mental    • Pérdida de la función muscular
• Somnolencia                    • Disminución de la sensibilidad
• Confusión                      • Disminución en los
• Distracción                      movimientos
• Irritabilidad                  • Debilidad Problemas del habla
• Procesos de pensamiento          (afasia)
  lento                          • Otras dificultades del habla
                                 • Pérdida de coordinación
CLÍNICA

                                                           Síntomas más llamativos
                                                            reflejan la existencia de
Cefalea                                                       una lesión ocupante
   (70-97%)(progresiva y                                   intracerebral y signos de
 refractaria al tratamiento                                       hipertensión
 habitual), disminución del                                       endocraneal
    nivel de conciencia,
  focalidad neurológica y
      síndrome febril



        (náuseas y
    vómitos, letargo).                     Síndrome infeccioso (50-65%).
    El papiledema es            Síndrome de hipertensión endocraneana (70-90%),
  infrecuente antes de                        crisis convulsivas (40-50%)
 los dos años de edad.                    y un síndrome focal neurológico,
                              la afasia, los trastornos visuales y los trastornos de la
                                                        marcha
DIAGNÓSTICO




  Leucocitos periféricos: los                                    El papel de la PL es muy
valores pueden ser normales
                                       Hemocultivos:            discutible respecto de los
   o presentar un aumento         generalmente negativos.         abscesos cerebrales. Si
 moderado en 60%-70% de                                         bien las PL son anormales
                                                                en > 90% de los casos, no
 los casos (generalmente, >                                     proporcionan ningún dato
           10.000).                                             característico que indique
                                                               la presencia de un absceso.




                                                               de la infección en el LCR
  Proteínas C reactivas                    VSG:
                                                               obtenido de la PL (salvo
         (PCR):                   puede ser normal (sobre       que el absceso se haya
         ELEVADA                   todo, en la cardiopatía         abierto hacia los
                                 cianótica congénita, en la    ventrículos); los cultivos
                                que la policitemia disminuye         son positivos
                                           la VSG).
DIAGNÓSTICO

La introducción de la TAC y la RNM ha revolucionado el
diagnóstico, determinando el tamaño, localización y fase
evolutiva (fase de cerebritis o de absceso encapsulado), permite
planificar las opciones de tratamiento, y hace posible los
estudios de seguimiento por imagen


En la TAC es el de una lesión hipodensa rodeada de un anillo
realzado tras la administración de contraste puede dar también
información adicional como la extensión del edema que rodea al
absceso, la presencia de hidrocefalia o desplazamiento de linea
media.



• La RNM parece más sensible que la TAC en la fase de cerebritis, así
  como en la detección del edema cerebral asociado y de la
  extensión extraparenquimatosa de un absceso.
Indicación quirúrgica:
1.Efecto masa importante con evidencia de presión intracraneal elevada
2.Muy cerca del sistema ventricular (peligro inminente de irrupción
ventricular).
3.GCS< 9 Puntos
4.Deterioro neurológico progresivo
5.Aumento del absceso tras 2 semanas de antibioterapia
6.Mismo tamaño tras 4 semanas de antibioterapia.
ABSCESO CEREBRAL POR NOCARDIA


       El patógeno más frecuente de la nocardiosis es sobre todo la
      N. asteroides (otras especies tales como brasiliensis son menos
    comunes), es un actinomiceto aerobio que se encuentra en el suelo y
         que se inocula a través del aparato respiratorio y produce
           generalmente una infección localizada o diseminada.


      La extensión hematógena da lugar con frecuencia lesiones
     cutáneas e infecciones del SNC, sobre todo en pacientes con
                 enfermedades debilitantes crónicas:
                    Neoplasias: leucemia, linfoma.
               Tratamiento prolongado con esteroides
                 Enfermedad de Paget, Cushing, SIDA
                  Trasplantados renales o cardiacos.


Carlos Aboal y Cols.Absceso recidivante por Nocardia asteroides en una paciente portadora de poliglobulia
primariarq. Neuro-Psiquiatr. vol.64 no.2b São Paulo June 2006
ABSCESO CEREBRAL POR NOCARDIA

Se sospecha en los pacientes de riesgo elevado que presentan abscesos
                  subcutáneos y lesiones cerebrales:
                   Absceso cerebral: multiloculado
                 Ventriculitis en pacientes con Shunt
                               Meningitis
           Compresión epidural de osteomielitis vertebral



         Tratamiento: Incluye generalmente el trimetoprim-sulfametoxazol (TMP-SMZ)
                  junto con imipenem, ceftriaxona, cefuroxima o cefotaxima.
          La duración del tratamiento es por lo menos de 6 semanas, y el TMP-SMZ se
          continúa generalmente durante muchos meses debido al riesgo de recaída o
                                  de extensión hematógena.




    Carlos Aboal y Cols.Absceso recidivante por Nocardia asteroides en una paciente portadora de poliglobulia
    primariarq. Neuro-Psiquiatr. vol.64 no.2b São Paulo June 2006
ABSCESO CEREBRAL POR NOCARDIA
Se recomienda el manejo con medicamentos, no con
                cirugía, si la persona tiene:



•   Abscesos severos (poco común)
•   Un absceso pequeño (menos de 2 cm)
•   Un absceso profundo dentro del cerebro
•   Un absceso acompañado de meningitis
•   Derivaciones en el cerebro para hidrocefalia
•   Una enfermedad subyacente que hace que la
    cirugía sea peligrosa
Los corticoides, que hemos utilizado en un 75% de los
pacientes, son un tratamiento controvertido. Se sabe que los
      esteroides restablecen la integridad de la barrera
 hematoencefálica, disminuyendo su permeabilidad, dando
         lugar a una rápida desaparición del edema
  cerebral, mejorando los déficits del paciente y su nivel de
                         conciencia.



Pero su propia actividad antiinflamatoria e inmunosupresora es la
que los convierte en un tratamiento discutido en el caso de las
infecciones cerebrales.



M. Ortega-Martínez; J.M. Cabezudo. Abscesos piógenos encefálicos. Nuestra experiencia en 60
casos consecutivos. Neurocirugía v.17 n.1 Murcia feb. 2006
Según pusieron de relieve Quartey y cols. en 1976, los corticoides
        dificultan el encapsulamiento de la infección y facilitan su
                              diseminación.

      Esta conclusión, no obstante, no fue ratificada plenamente por
   Schroeder y cols. en un trabajo posterior (1987), quienes apreciaron
     sólo un retraso en la encapsulación, sin afectar a la mortalidad.

   Pese a ello, se aconseja restringir el uso de los esteroides a los casos
   de pacientes con incremento de la PIC con riesgo de enclavamiento y
                   retirarlos tan pronto como sea posible.
    Entre nosotros se han utilizado en un 75% de los pacientes, sin que
     parezcan haber influido de manera decisiva en el resultado final.




M. Ortega-Martínez; J.M. Cabezudo. Abscesos piógenos encefálicos. Nuestra experiencia en 60
casos consecutivos. Neurocirugía v.17 n.1 Murcia feb. 2006
M. Ortega-Martínez; J.M. Cabezudo. Abscesos piógenos encefálicos. Nuestra experiencia en 60
casos consecutivos. Neurocirugía v.17 n.1 Murcia feb. 2006
Expectativas (pronóstico)


• Si no se recibe tratamiento, un absceso
  cerebral casi siempre mortal.
• Con tratamiento, la tasa de mortalidad es
  aproximadamente del 10%.
• Algunos pacientes pueden presentar
  problemas neurológicos prolongados
  después de la cirugía
ANTIBIÓTICOS PARA LOS ABSCESOS CEREBRALES EN PERSONAS CON
  CARDIOPATÍA CONGÉNITA CIANÓTICA

  La cardiopatía congénita cianótica es un defecto congénito del corazón que causa
 anomalías hemodinámicas. El retorno venoso sistémico al lado derecho del corazón
   se deriva a través del defecto hacia la circulación sistémica y causa desaturación
arterial persistente y cianosis. Las personas con cardiopatía congénita cianótica están
en riesgo de desarrollar un absceso cerebral. La cirugía de derivación intracardíaca de
izquierda a derecha, en la cual la sangre no se filtra mediante la circulación pulmonar
   donde las bacterias son interceptadas por fagocitosis, puede permitir la entrada
  directa a la circulación cerebral. Además, la disminución de la oxigenación arterial
puede causar una policitemia compensatoria. El aumento de la viscosidad sanguínea
puede causar un área focal de isquemia que es un sitio propicio para el desarrollo de
una infección. La sangre derivada que contiene microorganismos puede sembrarse en
                      dichas lesiones, formando un absceso cerebral




        La Biblioteca Cochrane Plus.2011 Número 1 ISSN 1745-9990
ANTIBIÓTICOS PARA LOS ABSCESOS CEREBRALES EN PERSONAS CON
CARDIOPATÍA CONGÉNITA CIANÓTICA


Se encontraron 498 artículos (incluidos ocho artículos que no estaban en
   inglés), de los cuales 152 eran artículos sobre abscesos cerebrales. La
mayoría de estos 152 artículos eran series de casos clínicos e informes de
   casos. Se encontraron ocho informes potencialmente elegibles. Había
  series de casos clínicos de pacientes, algunos con cardiopatía congénita
cianótica, con absceso cerebral y la mayoría de los artículos mencionaron
el tipo de antibiótico usado como tratamiento (Abdullah 2001; Gonzalez-
    Garcia 1999; Hirsch 1983; Jansson 2004; Lu 2002; Mampalum 1988;
 Seneviratne Rde 2003; Yang 1981). Una revisión sobre el uso racional de
 los antibióticos para el tratamiento del absceso cerebral se publicó en el
            British Journal of Neurosurgery (British Society 2000).




     La Biblioteca Cochrane Plus.2011 Número 1 ISSN 1745-9990
ANTIBIÓTICOS PARA LOS ABSCESOS CEREBRALES EN PERSONAS CON
CARDIOPATÍA CONGÉNITA CIANÓTICA


        El tratamiento del absceso cerebral requiere un enfoque
       multidisciplinario. Los estudios por imágenes permiten el
     diagnóstico temprano y la rápida y precisa localización de las
 lesiones cerebrales que pueden requerir cirugía. La aspiración con
 aguja estereotáctica permite el drenaje terapéutico y proporciona
        especímenes de diagnóstico para la identificación de los
organismos causales. El tratamiento empírico con antibióticos debe
comenzarse según los probables agentes patógenos asociados que
dependen de la presunta fuente de infección y de los resultados de
   la tinción de Gram. Puede modificarse el régimen antibiótico, si
    fuera necesario, una vez que los resultados del cultivo del pus
  aspirado estén disponibles. Los estudios de imágenes seriadas se
     realizan para vigilar la respuesta terapéutica e identificar las
  lesiones recurrentes o secundarias que pueden requerir drenaje
                                 repetido.

    La Biblioteca Cochrane Plus.2011 Número 1 ISSN 1745-9990
COMPLICACIONES

• Meningitis grave y potencialmente mortal
• Epilepsia
• Pérdidas neurológicas permanentes
  (visión, habla, movimiento)
• Recurrencia de la infección
• Situaciones que requieren asistencia médica
EMPIEMA   SUBDURAL
El espacio subdural se encuentra delimitado externamente
por la duramadre e internamente por la aracnoides.

La hoz del cerebro, la tienda del cerebelo, la base del
cráneo, el foramen magnum y el canal espinal anterior
dividen a este espacio en grandes compartimentos donde la
infección puede localizarse y extenderse presentándose como
una LOE.

Dependiendo de la duración de la infección, el empiema
puede ser líquido o estar organizado y multiloculado.
Puede localizarse a nivel intracraneal o
espinal, constituyendo la primera localización el 13-23% de
todas las infecciones intracraneales que se presentan como
LOE, y siendo la segunda localización bastante más rara.
http://www.google.com/imgres?imgurl=http://www.neuropathologyweb.org/chapter5/i
mages5/5-1l.gif&imgrefurl=http://www.lookfordiagnosis.com/image
EMPIEMA SUBDURAL

• Un empiema subdural es una colección de pus entre el
  cerebro y el tejido que lo envuelve (las meninges), más que
  en el propio cerebro.

• Habitualmente el empiema subdural es una complicación de
  una sinusitis, infección grave del oído, una herida en la
  cabeza o el cerebro, una intervención quirúrgica o una
  infección de la sangre secundaria a una infección pulmonar.
• Los mismos tipos de bacterias que producen un absceso
  cerebral pueden también causar empiemas subdurales.
EMPIEMA SUBDURAL

   Es una colección de pus entre la duramadre y la
                      aracnoides.
  Es responsable de aproximadamente el 20% de las
              infecciones intracraneanas.
    En la actualidad la mortalidad es del 10 a 40%,
MICROBIOLOGÍA

Los gérmenes aislados más frecuentemente son los
estreptococos aeróbicos (43%) y las bacterias anaeróbicas (38%).

En los lactantes y niños menores de cinco años suele
presentarse como complicación de una meningitis y en niños
mayores secundariamente a sinusitis paranasal, otitis media o
mastoiditis.
MICROBIOLOGÍA

El índice del éxito en el cultivo bacteriológico del pus evacuado varía del
54-81%.
El Streptococcus y el Stafhylococcus aureus son los 2
patógenos más comunes implicados en enfermedad .
En particular los del grupo Streptococcus milleri
 (S. milleri y Streptococcus anginosus).

El Staphylococcus aureus se presenta con menor frecuencia.
Otros menos frecuentes son Escherichia coli, Bacteroides.
La Pseudomonas aeruginosa o Staphylococcus epidermidis
puede estar presente en casos relacionados con intervenciones
neuroquirúrgicas.

También se han descrito infecciones por Salmonella.
MICROBIOLOGÍA


Streptococcus (viridans y milleri) 30-50%.
Gérmenes Anaerobios 30-50%.
Bacilos Gram negativos 15%.
S aureus. 15%.
Otros gérmenes 5%.
Inmunodeprimidos (Hongos).
SIDA (Toxoplasma gondii).




               Flora mixta (Aerobia + Anaerobia) 20%.
               Polimicrobiana 60%



http://books.google.com/books?id=blBqyYvprgC&pg=PA305&lpg=PA305&dq=agentes+eti
ológicos+del+empiema+subdural+en+niños&source=bl&ots=
FISIOPATOLOGÍA




  Se presenta normalmente una o dos semanas
                                                      otitis media crónica
  después de un episodio de sinusitis, debido a
    diseminación intracraneal de la infección
   mediante tromboflebitis retrógrada de los
                 senos venosos.

                                                  por extensión directa a
                                                  través del hueso y de la
                                                  duramadre, como resultado
                                                  de la erosión de la pared
                                                  posterior del seno frontal
sinusitis paranasal, otitis media o
mastoiditis.
MANIFESTACIONES CLINICAS


Es una condición que plantea una amenaza para la vida, y presenta
síntomas relacionados con el aumento de la presión intracraneana, la
irritación meníngea, o la inflamación focal o cortical.

 cefalea, fiebre, rigidez de nuca y déficit neurológico.

 La cefalea inicialmente se localiza en el seno infectado u oído, siendo un
 dolor prominente que puede generalizarse a medida que la infección
 progresa.
 El vómito es frecuente con el aumento de la presión intracraneana.

 Cerca de la mitad de los pacientes presentan de forma temprana alteración
 del estado mental que puede progresar a estupor o coma, en ausencia de
 tratamiento.
Los signos focales más comunes son hemiparesias o
        hemiplejias; es frecuente encontrar parálisis
ocular, afasias, hemianopsia homónima, signos cerebelosos
               y pupilas dilatadas entre otros.

Las convulsiones focales o generalizadas están presentes en
                 más del 50% de los casos.

 La irritación meníngea se encuentra entre un 70 a 80% de
                       los pacientes.
DIAGNÓSTICO

 Debe sospecharse el diagnóstico de empiema
   subdural en cualquier paciente con signos
             meníngeos y focalidad
neurológica, particularmente cuando los déficits
  indican disfunción extensa de un hemisferio
                    cerebral.


                          La punción lumbar no se recomienda en
                          la actualidad por el riesgo potencial de
                          herniación cerebral
DIAGNÓSTICO


    La RNM y la TAC con contraste son los
           métodos diagnósticos de
elección, permitiendo además la detección de
   un foco parameníngeo responsable y de
          complicaciones asociadas.


               En la TAC sin contraste, el empiema suele manifestarse como
               un área hipodensa sobre un hemisferio o a lo largo de la hoz
               cerebral



            La RNM proporciona mejores datos que la TAC en relación con la
            naturaleza y extensión del empiema subdural.
            El empleo de gadolinio como medio de contraste aumenta la
            sensibilidad de esta técnica.
http://www.google.com/imgres?imgurl=http://pmj.bmj.com/content/86/1018/478/
F12.large.jpg&imgrefurl=http://www.lookfordiagnosis.com/images.php%3F
Absceso cerebral y Empiema subdural
Absceso cerebral y Empiema subdural

Absceso cerebral y Empiema subdural

  • 1.
    República Bolivariana deVenezuela Ministerio del Poder Popular para la Salud Dirección General Sectorial de Salud Hospital Universitario de Pediatría Dr. Agustín Zubillaga Postgrado de Infectología Pediátrica Barquisimeto, Estado Lara ABSCESO CEREBRAL Y ENPIEMA SUBDURAL • Dra. Adriana Sofía Rodríguez. • R2 de Infectología Pediátrica. 5 de Abril del 2011
  • 2.
  • 3.
    ABSCESO CEREBRAL • Unabsceso cerebral es una colección de pus localizada en el cerebro. • Los abscesos cerebrales no son frecuentes. Pueden ser causados a partir de la propagación de una infección en otra parte de la cabeza (como un diente, la nariz o el oído), de una herida que alcanza el cerebro o de una infección originada en otro lugar y propagada por la sangre.
  • 4.
    ABSCESO CEREBRAL • Esuna masa de células inmunitarias, pus y otros materiales debido a una infección por bacterias u hongos.
  • 5.
    ABSCESO CEREBRAL • Lesióncerebral inflamatoria caracterizada por la colección de material purulento en el parénquima del tejido cerebral, que se complica posterior a: sinusitis en regiones paranasales, otitis medias, cirugía, traumatismos o bacteriemias provenientes de focos extracraneales.
  • 6.
    HISTORIA • Su patogénesis,clínica, tratamiento y pronóstico fue magistralmente descrito por Sir William Macewen en 1893 en su monográfico sobre infecciones del sistema nervioso central (SNC). • Macewen tuvo unos resultados excepcionalmente buenos en los abscesos que operó, con una mortalidad del 5%, lo que le llevó a concluir que en el absceso cerebral no complicado, operado a tiempo, la recuperación debe ser la regla. •
  • 7.
    HISTORIA • Pese aello, las tasas de mortalidad registradas en los años 70 llegaban hasta el 50%. • Desde entonces, gracias fundamentalmente al diagnóstico precoz con la TC cerebral, estas tasas de mortalidad han descendido hasta situarse en los años 90 entre el 5-10%. • Todavía, no obstante, siguen siendo una patología grave, que requiere alto nivel de sospecha y una actuación terapéutica rápida.
  • 8.
    HISTORIA • El debateentre el drenaje del absceso, por un lado, y la cirugía abierta, por otro, es antiguo. • Ya en 1926 ,Dandy se hacía eco de esta controversia, a favor del drenaje. • El tratamiento mediante punción y drenaje del absceso presenta múltiples ventajas: permite con poca agresividad y anestesia local obtener material para cultivo y confirmación diagnóstica y alivia rápidamente la presión intracraneal; puede ser realizado en cualquier estadio de evolución del absceso; y la ayuda de la estereotaxia permite acceder a los abscesos más profundos o en áreas elocuentes del cerebro
  • 9.
    EPIDEMIOLOGÍA • Los abscesoscerebrales ocurren aproximadamente en 1 de cada 100.000 personas. • 1 por cada 10.000 ingresos hospitalarios. • 1500-2000 casos por año en Estados Unidos. • • El absceso cerebral es una patología que se da entre personas jóvenes o de edad media (entre la segunda y cuarta décadas de la vida), con una inexplicable predilección por el sexo masculino (Doble de frecuencia). • El 25% de los abscesos cerebrales ocurren en niños menores de 15 años. • • De forma rara se presentan en neonatos pero tienen una alta morbi-mortalidad
  • 10.
    EPIDEMIOLOGÍA El AC esuna entidad infrecuente en niños, en ocasiones letal y altamente invalidante en la mayoría de los que padecen la enfermedad. Se calcula que el padecimiento se presenta en 1/10.000 admisiones hospitalarias, aproximadamente 4 a 10 casos por año. El 25% de los abscesos cerebrales se presentan en menores de 15 años, constituyendo el grupo de 4 a 7 el más afectado; en menores de 2 años la enfermedad es extremadamente infrecuente La mortalidad por AC ha disminuido en los últimos años, situación intimamente ligada al diagnóstico precoz y certero de la lesión mediante tomografía axial computarizada (TAC) e imagen de resonancia magnética (IRM), a técnicas quirúrgicas más seguras, al notable avance en la terapia antimicrobiana e identificación de agentes anaerobios
  • 11.
    Microbiología Una amplia gamade bacterias ha sido implicada en la etiología del AC. En un tercio de los abscesos participan múltiples microorganismos, incluso flora mixta, anaeróbica y aeróbica, destacando en el primer grupo: Bacteroides, Prevotella melaninogenica, Fusobacterium, Peptostreptococcus, Propionibacterium . Estreptococos anaeróbicos y Bacteroides . Staphylococcus, Streptococcus, Streptococcus pneumoniae, Haemophilus, Pseudomonas sp y enterobacterias (Escherichia coli, Klebsiella pneumoniae, Proteus sp). En 25 a 30% de los especimenes no existe crecimiento bacteriano.
  • 12.
    La rotura delabsceso cerebral dentro del sistema ventricular constituye una complicación catastrófica y fatal en el 50%, dejando residuos neurológicos severos e hidrocefalia en los sobrevivientes. La sospecha diagnóstica se establece toda vez que el paciente sufre rápido deterioro clínico, acompañado de fiebre, meningismo, alteración del estado de conciencia y choque. El líquido cefalorraquídeo (LCR) es la prueba diagnóstica más útil; los pacientes presentan marcada pleocitosis (50.000 a 100.000 leucocitos polimorfonucleares), hipoglucemia y formas bacterianas en la tinción Gram y cultivo.
  • 13.
    LOCALIZACIÓN • de origenotógeno por el lóbulo temporal o cerebelo • los de senos paranasales por el lóbulo frontal. • origen hematógeno
  • 14.
    FISIOPATOGENIA Los gérmenes alcanzanel parénquima cerebral (inoculación directa – fístulas), en el caso de traumatismos o cirugía Infección en contigüidad (bien por invasión directa, bien por tromboflebitis de las venas emisarias) Por embolismos sépticos procedentes de infecciones a distancia. Tradicionalmente las infecciones crónicas del oído y de los senos paranasales
  • 15.
    PROPAGACIÓN HEMÁTICA • Sonmúltiples en 10%-50% de los casos. • En 25% de los casos, no pudo hallarse la fuente que dio origen al absceso. • El tórax es el sitio más frecuente. • cardiopatía cianótica congénita • (el riesgo estimado de la formación de abscesos es 4%-7%), sobre todo, en la tetralogía de Fallot.
  • 16.
    PROPAGACIÓN HEMÁTICA • fístulaspulmonares arteriovenosas: 50% de estos pacientes padecen el síndrome de Rendu-Osler (telangiectasia hemorrágica hereditaria) y hasta en 5% de estos pacientes aparecen abscesos cerebrales en algún momento. • Endocarditis bacteriana. • absceso dental • infecciones gastrointestinales • embolización séptica
  • 17.
    PROPAGACIÓN POR CONTIGUIDAD •Sinusitis purulenta: se propaga mediante una osteomielitis local o una flebitis de las venas emisarias. • Prácticamente siempre se forma un absceso único. • Es infrecuente en los niños porque ellos carecen de celdillas aéreas paranasales y mastoídeas. • Esta vía de infección ha perdido preponderancia gracias al avance en el tratamiento de las sinusopatías
  • 18.
    PROPAGACIÓN POR CONTIGUIDAD •infecciones del oído medio y de las celdillas aéreas mastoideas —> abscesos alojados en el lóbulo temporal y en el cerebelo. • Sinusitis nasal —> absceso del lóbulo frontal • sinusitis esfenoidal. • Odontógena (asociada a un procedimiento odontológico realizado en las 4 semanas anteriores)
  • 19.
    ABSCESOS CEREBRALES POR CONTIGUIDAD Los metastásicos se producen por Al cerebro desde focos diseminación de sépticos locales (senos un foco séptico paranasales, oído distante medio, mastoides). postraumáticos y los secundarios a postquirúrgicos se sinusitis frontal se producen localizan en los generalmente por lóbulos frontales inoculación directa Secundarios a secundarios a infecciones del oído En un 10-20% de los sinusitis maxilar medio y mastoides se casos, los abscesos se localizan a localizan a nivel del son de origen nivel del lóbulo lóbulo temporal o desconocido temporal cerebeloso.
  • 22.
    Secundario a untraumatismo craneal penetrante o a un procedimiento neuroquirúrgico • Cuando en el acceso quirúrgico se abre a alguna celdilla aérea. • Puede ser secundarios en las heridas de bala (bala que atravesó un seno aéreo) • Secundario a traumatismo penetrante. • Uso prolongado de monitores de presión intracraneana.
  • 23.
    La formación delabsceso se produce en cuatro etapas: FASE I: de 2 a 3 días de duración, se produce una zona isquémica y necrótica en el FASE III. lugar de entrada del gérmen, con de 10 a 13 días de duración, se delimita inflamación y desarrollo de un infiltrado la zona purulenta y aparece una leucocitario de células neovascularización rodeando el proceso polimorfonucleares y redondas rodeado de edema de tipo vasogénico. FASE II. FASE IV. 4 a 9 días de duración, se produce un a partir del día 14, el absceso se rodea aumento de la zona necrótica y pus que de una cápsula gliótica. se rodea el infiltrado
  • 24.
    FACTORES DE RIESGO •CARDIOPATÍAS CONGÉNITAS. • Derivaciones cardíacas de derecha a izquierda • Enfermedad crónica, como el cáncer o el síndrome de Osler-Weber-Rendu • Sistema inmunitario debilitado, como el que se observa en los pacientes con SIDA • Inmunodepresores (corticosteroides)
  • 25.
    I. Gastón, J.Muruzábal, P .Infecciones del sistema nervioso central en urgencias . Anales Sis San Navarra v.31 supl.1 Pamplona 2008
  • 26.
    SÍNTOMAS • Dolor decabeza • Reducción de la capacidad de • Rigidez en cuello, hombros o respuesta espalda • Coma eventual • Dolor de cuello, hombros o • Convulsiones espalda • Fiebre y escalofríos • Vómitos • Cambios en la visión • Cambios en el estado mental • Pérdida de la función muscular • Somnolencia • Disminución de la sensibilidad • Confusión • Disminución en los • Distracción movimientos • Irritabilidad • Debilidad Problemas del habla • Procesos de pensamiento (afasia) lento • Otras dificultades del habla • Pérdida de coordinación
  • 27.
    CLÍNICA Síntomas más llamativos reflejan la existencia de Cefalea una lesión ocupante (70-97%)(progresiva y intracerebral y signos de refractaria al tratamiento hipertensión habitual), disminución del endocraneal nivel de conciencia, focalidad neurológica y síndrome febril (náuseas y vómitos, letargo). Síndrome infeccioso (50-65%). El papiledema es Síndrome de hipertensión endocraneana (70-90%), infrecuente antes de crisis convulsivas (40-50%) los dos años de edad. y un síndrome focal neurológico, la afasia, los trastornos visuales y los trastornos de la marcha
  • 28.
    DIAGNÓSTICO Leucocitosperiféricos: los El papel de la PL es muy valores pueden ser normales Hemocultivos: discutible respecto de los o presentar un aumento generalmente negativos. abscesos cerebrales. Si moderado en 60%-70% de bien las PL son anormales en > 90% de los casos, no los casos (generalmente, > proporcionan ningún dato 10.000). característico que indique la presencia de un absceso. de la infección en el LCR Proteínas C reactivas VSG: obtenido de la PL (salvo (PCR): puede ser normal (sobre que el absceso se haya ELEVADA todo, en la cardiopatía abierto hacia los cianótica congénita, en la ventrículos); los cultivos que la policitemia disminuye son positivos la VSG).
  • 29.
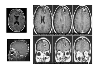
    DIAGNÓSTICO La introducción dela TAC y la RNM ha revolucionado el diagnóstico, determinando el tamaño, localización y fase evolutiva (fase de cerebritis o de absceso encapsulado), permite planificar las opciones de tratamiento, y hace posible los estudios de seguimiento por imagen En la TAC es el de una lesión hipodensa rodeada de un anillo realzado tras la administración de contraste puede dar también información adicional como la extensión del edema que rodea al absceso, la presencia de hidrocefalia o desplazamiento de linea media. • La RNM parece más sensible que la TAC en la fase de cerebritis, así como en la detección del edema cerebral asociado y de la extensión extraparenquimatosa de un absceso.
  • 30.
    Indicación quirúrgica: 1.Efecto masaimportante con evidencia de presión intracraneal elevada 2.Muy cerca del sistema ventricular (peligro inminente de irrupción ventricular). 3.GCS< 9 Puntos 4.Deterioro neurológico progresivo 5.Aumento del absceso tras 2 semanas de antibioterapia 6.Mismo tamaño tras 4 semanas de antibioterapia.
  • 31.
    ABSCESO CEREBRAL PORNOCARDIA El patógeno más frecuente de la nocardiosis es sobre todo la N. asteroides (otras especies tales como brasiliensis son menos comunes), es un actinomiceto aerobio que se encuentra en el suelo y que se inocula a través del aparato respiratorio y produce generalmente una infección localizada o diseminada. La extensión hematógena da lugar con frecuencia lesiones cutáneas e infecciones del SNC, sobre todo en pacientes con enfermedades debilitantes crónicas: Neoplasias: leucemia, linfoma. Tratamiento prolongado con esteroides Enfermedad de Paget, Cushing, SIDA Trasplantados renales o cardiacos. Carlos Aboal y Cols.Absceso recidivante por Nocardia asteroides en una paciente portadora de poliglobulia primariarq. Neuro-Psiquiatr. vol.64 no.2b São Paulo June 2006
  • 32.
    ABSCESO CEREBRAL PORNOCARDIA Se sospecha en los pacientes de riesgo elevado que presentan abscesos subcutáneos y lesiones cerebrales: Absceso cerebral: multiloculado Ventriculitis en pacientes con Shunt Meningitis Compresión epidural de osteomielitis vertebral Tratamiento: Incluye generalmente el trimetoprim-sulfametoxazol (TMP-SMZ) junto con imipenem, ceftriaxona, cefuroxima o cefotaxima. La duración del tratamiento es por lo menos de 6 semanas, y el TMP-SMZ se continúa generalmente durante muchos meses debido al riesgo de recaída o de extensión hematógena. Carlos Aboal y Cols.Absceso recidivante por Nocardia asteroides en una paciente portadora de poliglobulia primariarq. Neuro-Psiquiatr. vol.64 no.2b São Paulo June 2006
  • 33.
  • 34.
    Se recomienda elmanejo con medicamentos, no con cirugía, si la persona tiene: • Abscesos severos (poco común) • Un absceso pequeño (menos de 2 cm) • Un absceso profundo dentro del cerebro • Un absceso acompañado de meningitis • Derivaciones en el cerebro para hidrocefalia • Una enfermedad subyacente que hace que la cirugía sea peligrosa
  • 35.
    Los corticoides, quehemos utilizado en un 75% de los pacientes, son un tratamiento controvertido. Se sabe que los esteroides restablecen la integridad de la barrera hematoencefálica, disminuyendo su permeabilidad, dando lugar a una rápida desaparición del edema cerebral, mejorando los déficits del paciente y su nivel de conciencia. Pero su propia actividad antiinflamatoria e inmunosupresora es la que los convierte en un tratamiento discutido en el caso de las infecciones cerebrales. M. Ortega-Martínez; J.M. Cabezudo. Abscesos piógenos encefálicos. Nuestra experiencia en 60 casos consecutivos. Neurocirugía v.17 n.1 Murcia feb. 2006
  • 36.
    Según pusieron derelieve Quartey y cols. en 1976, los corticoides dificultan el encapsulamiento de la infección y facilitan su diseminación. Esta conclusión, no obstante, no fue ratificada plenamente por Schroeder y cols. en un trabajo posterior (1987), quienes apreciaron sólo un retraso en la encapsulación, sin afectar a la mortalidad. Pese a ello, se aconseja restringir el uso de los esteroides a los casos de pacientes con incremento de la PIC con riesgo de enclavamiento y retirarlos tan pronto como sea posible. Entre nosotros se han utilizado en un 75% de los pacientes, sin que parezcan haber influido de manera decisiva en el resultado final. M. Ortega-Martínez; J.M. Cabezudo. Abscesos piógenos encefálicos. Nuestra experiencia en 60 casos consecutivos. Neurocirugía v.17 n.1 Murcia feb. 2006
  • 37.
    M. Ortega-Martínez; J.M.Cabezudo. Abscesos piógenos encefálicos. Nuestra experiencia en 60 casos consecutivos. Neurocirugía v.17 n.1 Murcia feb. 2006
  • 38.
    Expectativas (pronóstico) • Sino se recibe tratamiento, un absceso cerebral casi siempre mortal. • Con tratamiento, la tasa de mortalidad es aproximadamente del 10%. • Algunos pacientes pueden presentar problemas neurológicos prolongados después de la cirugía
  • 39.
    ANTIBIÓTICOS PARA LOSABSCESOS CEREBRALES EN PERSONAS CON CARDIOPATÍA CONGÉNITA CIANÓTICA La cardiopatía congénita cianótica es un defecto congénito del corazón que causa anomalías hemodinámicas. El retorno venoso sistémico al lado derecho del corazón se deriva a través del defecto hacia la circulación sistémica y causa desaturación arterial persistente y cianosis. Las personas con cardiopatía congénita cianótica están en riesgo de desarrollar un absceso cerebral. La cirugía de derivación intracardíaca de izquierda a derecha, en la cual la sangre no se filtra mediante la circulación pulmonar donde las bacterias son interceptadas por fagocitosis, puede permitir la entrada directa a la circulación cerebral. Además, la disminución de la oxigenación arterial puede causar una policitemia compensatoria. El aumento de la viscosidad sanguínea puede causar un área focal de isquemia que es un sitio propicio para el desarrollo de una infección. La sangre derivada que contiene microorganismos puede sembrarse en dichas lesiones, formando un absceso cerebral La Biblioteca Cochrane Plus.2011 Número 1 ISSN 1745-9990
  • 40.
    ANTIBIÓTICOS PARA LOSABSCESOS CEREBRALES EN PERSONAS CON CARDIOPATÍA CONGÉNITA CIANÓTICA Se encontraron 498 artículos (incluidos ocho artículos que no estaban en inglés), de los cuales 152 eran artículos sobre abscesos cerebrales. La mayoría de estos 152 artículos eran series de casos clínicos e informes de casos. Se encontraron ocho informes potencialmente elegibles. Había series de casos clínicos de pacientes, algunos con cardiopatía congénita cianótica, con absceso cerebral y la mayoría de los artículos mencionaron el tipo de antibiótico usado como tratamiento (Abdullah 2001; Gonzalez- Garcia 1999; Hirsch 1983; Jansson 2004; Lu 2002; Mampalum 1988; Seneviratne Rde 2003; Yang 1981). Una revisión sobre el uso racional de los antibióticos para el tratamiento del absceso cerebral se publicó en el British Journal of Neurosurgery (British Society 2000). La Biblioteca Cochrane Plus.2011 Número 1 ISSN 1745-9990
  • 41.
    ANTIBIÓTICOS PARA LOSABSCESOS CEREBRALES EN PERSONAS CON CARDIOPATÍA CONGÉNITA CIANÓTICA El tratamiento del absceso cerebral requiere un enfoque multidisciplinario. Los estudios por imágenes permiten el diagnóstico temprano y la rápida y precisa localización de las lesiones cerebrales que pueden requerir cirugía. La aspiración con aguja estereotáctica permite el drenaje terapéutico y proporciona especímenes de diagnóstico para la identificación de los organismos causales. El tratamiento empírico con antibióticos debe comenzarse según los probables agentes patógenos asociados que dependen de la presunta fuente de infección y de los resultados de la tinción de Gram. Puede modificarse el régimen antibiótico, si fuera necesario, una vez que los resultados del cultivo del pus aspirado estén disponibles. Los estudios de imágenes seriadas se realizan para vigilar la respuesta terapéutica e identificar las lesiones recurrentes o secundarias que pueden requerir drenaje repetido. La Biblioteca Cochrane Plus.2011 Número 1 ISSN 1745-9990
  • 42.
    COMPLICACIONES • Meningitis gravey potencialmente mortal • Epilepsia • Pérdidas neurológicas permanentes (visión, habla, movimiento) • Recurrencia de la infección • Situaciones que requieren asistencia médica
  • 43.
    EMPIEMA SUBDURAL
  • 44.
    El espacio subduralse encuentra delimitado externamente por la duramadre e internamente por la aracnoides. La hoz del cerebro, la tienda del cerebelo, la base del cráneo, el foramen magnum y el canal espinal anterior dividen a este espacio en grandes compartimentos donde la infección puede localizarse y extenderse presentándose como una LOE. Dependiendo de la duración de la infección, el empiema puede ser líquido o estar organizado y multiloculado. Puede localizarse a nivel intracraneal o espinal, constituyendo la primera localización el 13-23% de todas las infecciones intracraneales que se presentan como LOE, y siendo la segunda localización bastante más rara.
  • 46.
  • 47.
    EMPIEMA SUBDURAL • Unempiema subdural es una colección de pus entre el cerebro y el tejido que lo envuelve (las meninges), más que en el propio cerebro. • Habitualmente el empiema subdural es una complicación de una sinusitis, infección grave del oído, una herida en la cabeza o el cerebro, una intervención quirúrgica o una infección de la sangre secundaria a una infección pulmonar. • Los mismos tipos de bacterias que producen un absceso cerebral pueden también causar empiemas subdurales.
  • 48.
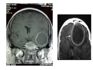
    EMPIEMA SUBDURAL Es una colección de pus entre la duramadre y la aracnoides. Es responsable de aproximadamente el 20% de las infecciones intracraneanas. En la actualidad la mortalidad es del 10 a 40%,
  • 49.
    MICROBIOLOGÍA Los gérmenes aisladosmás frecuentemente son los estreptococos aeróbicos (43%) y las bacterias anaeróbicas (38%). En los lactantes y niños menores de cinco años suele presentarse como complicación de una meningitis y en niños mayores secundariamente a sinusitis paranasal, otitis media o mastoiditis.
  • 50.
    MICROBIOLOGÍA El índice deléxito en el cultivo bacteriológico del pus evacuado varía del 54-81%. El Streptococcus y el Stafhylococcus aureus son los 2 patógenos más comunes implicados en enfermedad . En particular los del grupo Streptococcus milleri (S. milleri y Streptococcus anginosus). El Staphylococcus aureus se presenta con menor frecuencia. Otros menos frecuentes son Escherichia coli, Bacteroides. La Pseudomonas aeruginosa o Staphylococcus epidermidis puede estar presente en casos relacionados con intervenciones neuroquirúrgicas. También se han descrito infecciones por Salmonella.
  • 51.
    MICROBIOLOGÍA Streptococcus (viridans ymilleri) 30-50%. Gérmenes Anaerobios 30-50%. Bacilos Gram negativos 15%. S aureus. 15%. Otros gérmenes 5%. Inmunodeprimidos (Hongos). SIDA (Toxoplasma gondii). Flora mixta (Aerobia + Anaerobia) 20%. Polimicrobiana 60% http://books.google.com/books?id=blBqyYvprgC&pg=PA305&lpg=PA305&dq=agentes+eti ológicos+del+empiema+subdural+en+niños&source=bl&ots=
  • 52.
    FISIOPATOLOGÍA Sepresenta normalmente una o dos semanas otitis media crónica después de un episodio de sinusitis, debido a diseminación intracraneal de la infección mediante tromboflebitis retrógrada de los senos venosos. por extensión directa a través del hueso y de la duramadre, como resultado de la erosión de la pared posterior del seno frontal sinusitis paranasal, otitis media o mastoiditis.
  • 53.
    MANIFESTACIONES CLINICAS Es unacondición que plantea una amenaza para la vida, y presenta síntomas relacionados con el aumento de la presión intracraneana, la irritación meníngea, o la inflamación focal o cortical. cefalea, fiebre, rigidez de nuca y déficit neurológico. La cefalea inicialmente se localiza en el seno infectado u oído, siendo un dolor prominente que puede generalizarse a medida que la infección progresa. El vómito es frecuente con el aumento de la presión intracraneana. Cerca de la mitad de los pacientes presentan de forma temprana alteración del estado mental que puede progresar a estupor o coma, en ausencia de tratamiento.
  • 54.
    Los signos focalesmás comunes son hemiparesias o hemiplejias; es frecuente encontrar parálisis ocular, afasias, hemianopsia homónima, signos cerebelosos y pupilas dilatadas entre otros. Las convulsiones focales o generalizadas están presentes en más del 50% de los casos. La irritación meníngea se encuentra entre un 70 a 80% de los pacientes.
  • 55.
    DIAGNÓSTICO Debe sospecharseel diagnóstico de empiema subdural en cualquier paciente con signos meníngeos y focalidad neurológica, particularmente cuando los déficits indican disfunción extensa de un hemisferio cerebral. La punción lumbar no se recomienda en la actualidad por el riesgo potencial de herniación cerebral
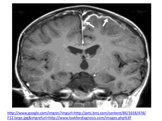
  • 56.
    DIAGNÓSTICO La RNM y la TAC con contraste son los métodos diagnósticos de elección, permitiendo además la detección de un foco parameníngeo responsable y de complicaciones asociadas. En la TAC sin contraste, el empiema suele manifestarse como un área hipodensa sobre un hemisferio o a lo largo de la hoz cerebral La RNM proporciona mejores datos que la TAC en relación con la naturaleza y extensión del empiema subdural. El empleo de gadolinio como medio de contraste aumenta la sensibilidad de esta técnica.
  • 58.