Universidad Anáhuac Mayab    Escuela de Medicina

                 Hematología

       Angélica Shantay Bautista Delgado
   Folato (Vit B9)
       Tetrahidrofolato y dihidrofolato (dihidrofolato reductasa)
       Reacciónes red-ox (NADPH)
       Síntesis   de   purinas   (ADN),   metionina        (AUG)y   timina
        (pirimidina)
       Conjugación para retener dentro de la célula por residuos
        de ac. Glutámico (conjugasa)
       Absorción en el intestino (duodeno y yeyuno proximal)
       Circulación       (metiltetrahidrofolato=      No     conjugada)
        *Homocisteína
       Si no hay conjugación= deficiencia intracelular de folato.
   Cobalamina (Vit B12)
       2 reacciones: Intramitocondrial (catabolismo de
        a.a.   y     ciclo   de    Krebs)    y     citosólica
        (homocisteína> metionina)
       Absorción:      Estómago       (secreciones      hay
        Haptocorrina)>       Duodeno     (s/HP)>      Lumen
        intestinal (Factor intrínseco)>Absorción (cubilina)
        >Circulación unida a Transcobalamina> Células
   Anemia Megaloblástica
       Deficiencia de folato o cobalamina.

       Deficiencia de folato= Nutricional (Alcoholicos, ancianos, px.
        Con hiperalimentación, anemia hemolítica, px. En
        hemodiálisis), esprue tropical, enfermedad celíaca.

       Deficiencia de cobalamina= anemia perniciosa, la porción
        de la mucosa gastrica que tiene las células parietales es
        destruida. (No hay FI) + Enfermedad desmielinizante.
        Resección gástrica, constricción o hipomotilidad intestinal o
        patologías en íleon terminal (absorción del complejo B-12 y
        FI)
   Ácido fólico (ácido pteroylglutámico) y sus
    derivados.
   *Residuos de ácido glutámico
   Tetrahidrofolato   (forma     reducida   y
    funcional) y sus derivados*
   *Dihidrofolato y dihidrofolato reductasa >
    Metrotexate
   Fuentes:
    espárragos, brócoli, endivias, espinaca, lechu
    ga,     habichuelas.      (1mg      x     100g)
    naranja, limón, plátano, fresa, melón, hígado, l
    evadura, hongos y cacahuates.
   Recomendado 50mcg, lo permitido 0.4mg.
   Total= 5mg
   Consumo           <5mcg/día=            Anemia
    megaloblástica en 4 meses.
   Absorción intestinal (Yeyuno proximal)

   Conjugasas (exopeptidasas) remueven los
    residuos de glutamato al final de la
    cadena de poliglutamatos conjugados
    (solo intracelularmente- 75%)

   Excreción renal 2-5mcg/día
   Anillo de corrina + nucleótido

   4   tipos:   2    cianocobalamina     (Vit.
    B12),   hidroxicobalamina,   2   coenzimas
    adenosilcobalamina     y   metilcobalamina
    (plasma)
   Alimentos:
       Origen animal
       Carne, hígado, mariscos, lácteos
       *Dieta vegana

   1.5mcg se absorben. Contenido de 2-5mg en
    adulto. 1mg en hígado.
   *Grandes       reservas,     años      en   aparecer   la
    deficiencia (0.1%)
   Requerimento diario de 2.4 mcg
   Metilmalonil CoA mutasa (ciclo de Krebs
   Metiltetrahidrofolato-homocisteína
    metiltransferasa. (Dimetilación)
   No enzimático:
       Detoxificante de cianuro
       Tabaco y otras comidas
       Tiocinato
       Neutralizador
   Deficiencia de cobalamina=
    anormalidad                      en
    metabolismo del folato.
   Hipótesis etiológicas de la
    AMGB
       Trampa de metilfolato
       Formate starvation
         ⇩de metionina en deficiencia de
          cobalamina hay ⇩ formato= ⇩
          metiltetrahidrofolato
   Estómago pH ácido unido a las HC-like protein
    *glándulas salivares*
   Absorción intestinal: Factor intrínseco *transporte
    al cuerpo* (Células parietales de la mucosa
    gástrica)> Duodeno
   Absorción      por   la    cubilina   (receptor   del   FI)
    *mucosa del íleon* >Circulación Portal
       Anemia megaloblástica autosómica recesiva
       Mala absorción íleon
   Mala síntesis de DNA. *Morfológicamente
   Precursores del eritrocito más grandes (más
    citoplasma   en   comparación     con     el
    núcleo, gránulos de «sal y pimienta» de
    cromatina (núcleo fenestrado)
   Metamielocito= «nucleo en herradura»
   Megacariocito= polilobulados.
   Causas más comunes: Deficiencia de
    folato y cobalamina.

   Mucho RNA y proteínas en el citoplasma (>
    vel. de síntesis) y DNA normal= Maduración
    retardada. Más tiempo de unión de los
    fragmentos de Okazaki y prolongación de
    la fase S.
   Fallo en la replicación de DNA
    dependiente de folato.
   dUTP >dTMP polimerasa, sensible a otros
    sustratos. Y sus mecanismos de esición y
    reparación fallan. = Porque no hay timina
   Rotura de la cadena de
    DNA, fragmentación >Apoptosis.
   Pocos síntomas hasta hematocrito muy
    deprimido.

   Debilidad, palpitación, fatiga, falta de
    aliento (disnea). Palidez, ictericia por
    hemólisis intramedular y extravascular.

   Conteo bajo de plaquetas y leucocitos.
   Cultivo celular
       Todas las líneas celulares estpan aectadas.
       Eritrocitos largos y ovales
       Actividad eritroide aumentada, pero mueren antes
       A mayor severidad, mayores cambios celulares
       Macrocitica    VCM=      >100-150    (no   en   deficiencia   de
        cobalamina)
       Deficiencia de folato=neutrófilos hipersegmentados

   Aspiración de médula ósea
       Sideroblastos (gránulos de hierro)
   Puede coexistir con anemia microcítica
    (deficiencia de hierro)
   Hay ↑ de plasma, bilirrubina y hierro. Y de
    lactato deshidrogenasa en suero.
       LDH1> LDH2

   Asociada a ERITROPOYESIS INEFECTIVA (>
    reticulocitos) y HEMÓLISIS.
Causas:
   Deficiencia en la dieta
       Ancianos, pobres, alcohólicos, hiperalimentación, hemodiálisis, gast
        rectomía, bebés con infección, diarrea, anemia hemolítica.
        Alimentos sobre cocinados. Cirrosis alcohólica

   Mala absorción
       Enfermedad                      celíaca,                     esprue
        tropical, diabetes, , escleroderma,, enteritis regional, resección
        intestinal.

   Aumento de los requerimientos
       Embarazo, dermatitis exofoliativa, anemia hemolítica, tx. Con
        metrotexate.
   Indicador temprano en suero: Folato en
    plasma o suero. *Muy variable a su
    consumo*

   En tejido es el folato en eritrocito no para
    ddx. En deficiencia de cobalamina
   Diagnósticos diferenciales
       Macrocitosis                                      en
        alcoholismo,   embarazo,     hepatopatias,   anemia
        aplásica, mielodisplasia.
       Causas    de   reticulocitosis   (anemia   hemolítica
        autoinmune
       ¿Dar Folato empíricamente para dierenciarlo de
        deficiencia de cobalamina?
       Buscar   causas   de    malabsorción     (enfermedad
        celíaca) No gluten, biopsia en yeyuno.
   Tratamiento:
       1-5mg/día

       Enf. Celíaca (folato + cobalamina)

       Embarazadas 400mcg/día

       Veganos

       Px. con tx. De metrotexate.
   Malabsorción = Anemia perniciosa = Falla de
    la producción de factor intrínseco.
   Anemia perniciosa
       Inicio >40 años
       Atrofia de la mucosa gástrica (autoinmune)
       Antibodies vs H+/K+ ATPasa
       Asociada     a      DM     Tipo         I,      enf.      De    la
        tiroides, agamaglobulinemia, hipoparatiroidismo, enf
        .   De   Addison,    vitiligo,    px.        Infertiles   y    con
        hipoespermia.
   Anemia perniciosa:
       Inicio insidioso, tendencia a ser enmascarada
        por multivitamínicos con ac. Ólico, muchas
        presentaciones atípicas (neurológicas)

       Se mide la absorción de Vit. B12 y se hace Test
        de Schilling (anticuerpo anti factor intrínseco)
        para confirmar el dx.
   Otras causas:
       Gastrectomía

       Sx. Zollinger-Ellison

       Enf. Intestinales

       Bilind Loop Sx.

       VIH/ SIDA

       Insuficiencia Pancreatica

       Dieta (veganos)
   Características clínicas
       Manifestaciones         no
        especiicas              de
        megaloblastosis, anemia, tr
        ombocitopenia, neutropeni
        a,                  lengua
        suave, cardiomiopatia, pali
        dez, piel amarilla, pérdida
        de peso
   Efectos neurológicos
       Asociado a la deficiencia de folato y con deficiencia de: N5 , N10 -
        methylene FH4 reductasa.
       Puede no haber anemia, no reversible com cobalamina si ya está
        muy avanzado.
       Parestesias en pies y dedos x neuropatía periferica, pérdida en la
        propiocepción y en las vibraciones.
       Ataxia espástica por desmielinización de las     columnas dorsal y
        lateral de la M.E.
       Demencia, somnoliencia, alteración del gusto y de la visión, psicosis
        franca (locura megaloblástica), depresión y esquizofrenia.
       Dx. Con MRI
Laboratorio
   Niveles de cobalamina en suero y plasma
       Bajo en la mayoría de los pacientes

   Holotranscobalamina en suero o plasma
       Falta validación

   Acido metilmalónico y homocisteína
       Normal (AMM) 0–3.4 mg/día >>>>> Elevado (también en IR)
       Elevadas, también en IR

   Factor intrínseco
       Test de Schilling «gold estándar» *Mide radiactividad en la orina**

   Supresión de desoxiuridina
       Solo en investigación
Tratamiento
   Parenteral       2-5mg/día      (resuelto   mínimo    en   2
    meses, sino buscar otra causa) o 1000-2000mcg V.O.
   1000mcg      I.M./día   x   2   semanas,    hasta    que   el
    hematocrito esté normal. Luego 1 vez al mes de por
    vida.
   Neurológico: 1000 mcg cada 2 semanas x 6 meses
   Ts. Hereditarios y transfusiones o cuando el hematocrito
    sea menor 15%
   Rápida trombocitopenia y leucopenia.
    Poco    cambio     en   la    serie    roja.   Dx.
    Aspiración de médula óssea.

   Causas:     Anestesia        con      N2O,     px.
    Trasfundidos, dialisis, o NPT, TMP.

   TX. Folato 5mg/ día y cobalamina 1mg/día
   Metrotexate

   Zimovudina

   Hidroxiurea

   Omeprazol (a largo plazo)

   Pemetrexed (antifolato, quimioterapia)

   Trimetropim
   En niños (genético)
   Defectos en las proteínas de unión a cobalamina
   Malabsorción selectiva de cobalamina, Anemia Megaloblástica Autosómica
    Recesiva (MGA1), enfermedad de Imerslund-Gräsbeck
   Deficiencia congénita de factor intrínseco
   Deficiencia de Transcobalamina y haptocorrina
   Anemia perniciosa juvenil
   Errores congpenitos del metabolismo de cobalamina (8)
   Aciduria por metilmalonil c/ p s/ homocisteinuria
   Errores congénitos del metabolismo de folato
   Malabsorción hereditaria de folato
   Deficiencia de dihidrofolato reductasa
   Deficiencia         de       5-Methyl    Fh4–Homocysteine
    Methyltransferasa
   Deficiencia de Metileno tetrahidrofolato reductasa
   Aciduria orotica hereditaria
   Sx. Lesch Nyhan
   Por deficiencia de tiamina
   Anemia diseritropoietica
   Refractaria
   Leucemia eritroide aguda.
   Williams. Hematology. 8ed. Ch. 41:
    Folate, Cobalamine and Megaloblastic
    Anemias.

Anemias megaloblásticas

  • 1.
    Universidad Anáhuac Mayab Escuela de Medicina Hematología Angélica Shantay Bautista Delgado
  • 2.
    Folato (Vit B9)  Tetrahidrofolato y dihidrofolato (dihidrofolato reductasa)  Reacciónes red-ox (NADPH)  Síntesis de purinas (ADN), metionina (AUG)y timina (pirimidina)  Conjugación para retener dentro de la célula por residuos de ac. Glutámico (conjugasa)  Absorción en el intestino (duodeno y yeyuno proximal)  Circulación (metiltetrahidrofolato= No conjugada) *Homocisteína  Si no hay conjugación= deficiencia intracelular de folato.
  • 3.
    Cobalamina (Vit B12)  2 reacciones: Intramitocondrial (catabolismo de a.a. y ciclo de Krebs) y citosólica (homocisteína> metionina)  Absorción: Estómago (secreciones hay Haptocorrina)> Duodeno (s/HP)> Lumen intestinal (Factor intrínseco)>Absorción (cubilina) >Circulación unida a Transcobalamina> Células
  • 4.
    Anemia Megaloblástica  Deficiencia de folato o cobalamina.  Deficiencia de folato= Nutricional (Alcoholicos, ancianos, px. Con hiperalimentación, anemia hemolítica, px. En hemodiálisis), esprue tropical, enfermedad celíaca.  Deficiencia de cobalamina= anemia perniciosa, la porción de la mucosa gastrica que tiene las células parietales es destruida. (No hay FI) + Enfermedad desmielinizante. Resección gástrica, constricción o hipomotilidad intestinal o patologías en íleon terminal (absorción del complejo B-12 y FI)
  • 5.
    Ácido fólico (ácido pteroylglutámico) y sus derivados.  *Residuos de ácido glutámico  Tetrahidrofolato (forma reducida y funcional) y sus derivados*  *Dihidrofolato y dihidrofolato reductasa > Metrotexate
  • 7.
    Fuentes: espárragos, brócoli, endivias, espinaca, lechu ga, habichuelas. (1mg x 100g) naranja, limón, plátano, fresa, melón, hígado, l evadura, hongos y cacahuates.  Recomendado 50mcg, lo permitido 0.4mg.  Total= 5mg  Consumo <5mcg/día= Anemia megaloblástica en 4 meses.
  • 9.
    Absorción intestinal (Yeyuno proximal)  Conjugasas (exopeptidasas) remueven los residuos de glutamato al final de la cadena de poliglutamatos conjugados (solo intracelularmente- 75%)  Excreción renal 2-5mcg/día
  • 10.
    Anillo de corrina + nucleótido  4 tipos: 2 cianocobalamina (Vit. B12), hidroxicobalamina, 2 coenzimas adenosilcobalamina y metilcobalamina (plasma)
  • 11.
    Alimentos:  Origen animal  Carne, hígado, mariscos, lácteos  *Dieta vegana  1.5mcg se absorben. Contenido de 2-5mg en adulto. 1mg en hígado.  *Grandes reservas, años en aparecer la deficiencia (0.1%)  Requerimento diario de 2.4 mcg
  • 12.
    Metilmalonil CoA mutasa (ciclo de Krebs  Metiltetrahidrofolato-homocisteína metiltransferasa. (Dimetilación)  No enzimático:  Detoxificante de cianuro  Tabaco y otras comidas  Tiocinato  Neutralizador
  • 13.
    Deficiencia de cobalamina= anormalidad en metabolismo del folato.  Hipótesis etiológicas de la AMGB  Trampa de metilfolato  Formate starvation  ⇩de metionina en deficiencia de cobalamina hay ⇩ formato= ⇩ metiltetrahidrofolato
  • 14.
    Estómago pH ácido unido a las HC-like protein *glándulas salivares*  Absorción intestinal: Factor intrínseco *transporte al cuerpo* (Células parietales de la mucosa gástrica)> Duodeno  Absorción por la cubilina (receptor del FI) *mucosa del íleon* >Circulación Portal  Anemia megaloblástica autosómica recesiva  Mala absorción íleon
  • 15.
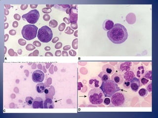
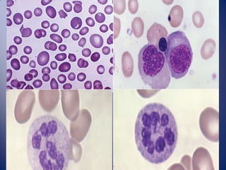
    Mala síntesis de DNA. *Morfológicamente  Precursores del eritrocito más grandes (más citoplasma en comparación con el núcleo, gránulos de «sal y pimienta» de cromatina (núcleo fenestrado)  Metamielocito= «nucleo en herradura»  Megacariocito= polilobulados.
  • 18.
    Causas más comunes: Deficiencia de folato y cobalamina.  Mucho RNA y proteínas en el citoplasma (> vel. de síntesis) y DNA normal= Maduración retardada. Más tiempo de unión de los fragmentos de Okazaki y prolongación de la fase S.
  • 19.
    Fallo en la replicación de DNA dependiente de folato.  dUTP >dTMP polimerasa, sensible a otros sustratos. Y sus mecanismos de esición y reparación fallan. = Porque no hay timina  Rotura de la cadena de DNA, fragmentación >Apoptosis.
  • 20.
    Pocos síntomas hasta hematocrito muy deprimido.  Debilidad, palpitación, fatiga, falta de aliento (disnea). Palidez, ictericia por hemólisis intramedular y extravascular.  Conteo bajo de plaquetas y leucocitos.
  • 21.
    Cultivo celular  Todas las líneas celulares estpan aectadas.  Eritrocitos largos y ovales  Actividad eritroide aumentada, pero mueren antes  A mayor severidad, mayores cambios celulares  Macrocitica VCM= >100-150 (no en deficiencia de cobalamina)  Deficiencia de folato=neutrófilos hipersegmentados  Aspiración de médula ósea  Sideroblastos (gránulos de hierro)
  • 22.
    Puede coexistir con anemia microcítica (deficiencia de hierro)  Hay ↑ de plasma, bilirrubina y hierro. Y de lactato deshidrogenasa en suero.  LDH1> LDH2  Asociada a ERITROPOYESIS INEFECTIVA (> reticulocitos) y HEMÓLISIS.
  • 23.
    Causas:  Deficiencia en la dieta  Ancianos, pobres, alcohólicos, hiperalimentación, hemodiálisis, gast rectomía, bebés con infección, diarrea, anemia hemolítica. Alimentos sobre cocinados. Cirrosis alcohólica  Mala absorción  Enfermedad celíaca, esprue tropical, diabetes, , escleroderma,, enteritis regional, resección intestinal.  Aumento de los requerimientos  Embarazo, dermatitis exofoliativa, anemia hemolítica, tx. Con metrotexate.
  • 24.
    Indicador temprano en suero: Folato en plasma o suero. *Muy variable a su consumo*  En tejido es el folato en eritrocito no para ddx. En deficiencia de cobalamina
  • 25.
    Diagnósticos diferenciales  Macrocitosis en alcoholismo, embarazo, hepatopatias, anemia aplásica, mielodisplasia.  Causas de reticulocitosis (anemia hemolítica autoinmune  ¿Dar Folato empíricamente para dierenciarlo de deficiencia de cobalamina?  Buscar causas de malabsorción (enfermedad celíaca) No gluten, biopsia en yeyuno.
  • 26.
    Tratamiento:  1-5mg/día  Enf. Celíaca (folato + cobalamina)  Embarazadas 400mcg/día  Veganos  Px. con tx. De metrotexate.
  • 27.
    Malabsorción = Anemia perniciosa = Falla de la producción de factor intrínseco.  Anemia perniciosa  Inicio >40 años  Atrofia de la mucosa gástrica (autoinmune)  Antibodies vs H+/K+ ATPasa  Asociada a DM Tipo I, enf. De la tiroides, agamaglobulinemia, hipoparatiroidismo, enf . De Addison, vitiligo, px. Infertiles y con hipoespermia.
  • 28.
    Anemia perniciosa:  Inicio insidioso, tendencia a ser enmascarada por multivitamínicos con ac. Ólico, muchas presentaciones atípicas (neurológicas)  Se mide la absorción de Vit. B12 y se hace Test de Schilling (anticuerpo anti factor intrínseco) para confirmar el dx.
  • 29.
    Otras causas:  Gastrectomía  Sx. Zollinger-Ellison  Enf. Intestinales  Bilind Loop Sx.  VIH/ SIDA  Insuficiencia Pancreatica  Dieta (veganos)
  • 30.
    Características clínicas  Manifestaciones no especiicas de megaloblastosis, anemia, tr ombocitopenia, neutropeni a, lengua suave, cardiomiopatia, pali dez, piel amarilla, pérdida de peso
  • 31.
    Efectos neurológicos  Asociado a la deficiencia de folato y con deficiencia de: N5 , N10 - methylene FH4 reductasa.  Puede no haber anemia, no reversible com cobalamina si ya está muy avanzado.  Parestesias en pies y dedos x neuropatía periferica, pérdida en la propiocepción y en las vibraciones.  Ataxia espástica por desmielinización de las columnas dorsal y lateral de la M.E.  Demencia, somnoliencia, alteración del gusto y de la visión, psicosis franca (locura megaloblástica), depresión y esquizofrenia.  Dx. Con MRI
  • 32.
    Laboratorio  Niveles de cobalamina en suero y plasma  Bajo en la mayoría de los pacientes  Holotranscobalamina en suero o plasma  Falta validación  Acido metilmalónico y homocisteína  Normal (AMM) 0–3.4 mg/día >>>>> Elevado (también en IR)  Elevadas, también en IR  Factor intrínseco  Test de Schilling «gold estándar» *Mide radiactividad en la orina**  Supresión de desoxiuridina  Solo en investigación
  • 33.
    Tratamiento  Parenteral 2-5mg/día (resuelto mínimo en 2 meses, sino buscar otra causa) o 1000-2000mcg V.O.  1000mcg I.M./día x 2 semanas, hasta que el hematocrito esté normal. Luego 1 vez al mes de por vida.  Neurológico: 1000 mcg cada 2 semanas x 6 meses  Ts. Hereditarios y transfusiones o cuando el hematocrito sea menor 15%
  • 34.
    Rápida trombocitopenia y leucopenia. Poco cambio en la serie roja. Dx. Aspiración de médula óssea.  Causas: Anestesia con N2O, px. Trasfundidos, dialisis, o NPT, TMP.  TX. Folato 5mg/ día y cobalamina 1mg/día
  • 35.
    Metrotexate  Zimovudina  Hidroxiurea  Omeprazol (a largo plazo)  Pemetrexed (antifolato, quimioterapia)  Trimetropim
  • 36.
    En niños (genético)  Defectos en las proteínas de unión a cobalamina  Malabsorción selectiva de cobalamina, Anemia Megaloblástica Autosómica Recesiva (MGA1), enfermedad de Imerslund-Gräsbeck  Deficiencia congénita de factor intrínseco  Deficiencia de Transcobalamina y haptocorrina  Anemia perniciosa juvenil  Errores congpenitos del metabolismo de cobalamina (8)  Aciduria por metilmalonil c/ p s/ homocisteinuria  Errores congénitos del metabolismo de folato  Malabsorción hereditaria de folato
  • 37.
    Deficiencia de dihidrofolato reductasa  Deficiencia de 5-Methyl Fh4–Homocysteine Methyltransferasa  Deficiencia de Metileno tetrahidrofolato reductasa  Aciduria orotica hereditaria  Sx. Lesch Nyhan  Por deficiencia de tiamina  Anemia diseritropoietica  Refractaria  Leucemia eritroide aguda.
  • 38.
    Williams. Hematology. 8ed. Ch. 41: Folate, Cobalamine and Megaloblastic Anemias.